Critical Analysis of Induction Capability of Bone Allograft
- 1. Department of Oral and Maxillofacial, Private practice, USA
Abstract
Background: To avoid the problems associated with harvesting autogenous donor graft bone, substitutes have been developed to act as an osteoconductive matrix and provide osteoinductive potential. The efficacy of any bone-graft material depends upon the presence of osteoblasts, or stem cells that can develop into osteoblasts, and cytokines and growth factors that regulate the bone-formational work of the osteoblasts.
Purpose: To investigate whether commercially available allograft materials contain RNA, an essential precursor to production of the cytokines and growth factors necessary to induce bone formation.
Materials and Methods: Seven commercially available allograft samples were genetically analyzed, along with samples of peripheral blood from two randomly chosen patients, to determine the presence of RNA as an indicator of cytokines and growth factors.
Results: Although RNA was found in both the venous blood samples and the commercial allograft samples, the RNA in all the allograft samples was found to be substantially degraded. The blood samples contained intact RNA.
Conclusion: Because the allograft samples that were analyzed lacked intact RNA, they cannot be considered to be osteoinductive. However, the addition of peripheral blood and/or bone marrow aspirate to the graft materials could add osteoinductive capability and thus enhance the chances for bone-grafting success.
Keywords
• Cytokine
• Growth factor
• Bone graft
• Bone marrow aspirate
• Peripheral blood
• RNA
• Ribonucleic acid
Citation
Smiler DG (2017) Critical Analysis of Induction Capability of Bone Allograft. JSM Dent Surg 2(1): 1010.
INTRODUCTION
Bone grafts are used to induce and support healing in reconstructive surgery of the musculoskeletal system. Autogenous bone from various sites remains the gold standard. However, the morbidity associated with the harvest of bone graft has caused practitioners to seek methods of enhancing healing with bone graft substitutes. The term bone graft substitute describes a spectrum of products that have various effects on bone-healing and are categorized as osteoinductive, osteoconductive, or osteogenic. However, many available products have trade names that are misleading and promote confusion for the surgeon. This paper proposes to end the confusion with the presentation of evidenced based information that provides the surgeon with knowledge upon which to base the decision on which bone graft substitute is efficacious.
Bone healing, modeling, and remodeling all depend on the biologic process of osteogenesis. Osteogenesis requires the osteoinductive stimulation of osteoblasts, the only cells that produce bone, within a suitable osteoconductive matrix [1-4]. This osteoinductive component signals the undifferentiated mesenchymal cells to differentiate along the osteogenic pathway. A material that promotes mitogenesis of undifferentiated mesenchymal cells leading to the formation of osteoprogenitor cells is considered to be osteoinductive [5]. Marshall Urist, in 1960, identified a protein within demineralized bone matrix that could induce new bone formation when implanted into an extraskeletal ectopic site and named this protein bone-morphogenetic-protein (BMP) [6]. Further research and investigation identified a family of osteoinductive molecules [7]. By the 1990’s it became clear that the BMP;s (at least fifteen had been discovered) were part of the larger transforming growth factor (TGF) superfamily of molecules. The question for surgeons is what material, if any, possess the properties of osteoinduction that could be used in treatment.
To answer this question the clinician should rely on assessment of evidenced based scientific studies. These studies are grouped as therapeutic, prognostic, diagnostic, or economic to provide a level of evidence based rating [8].
Because of its osteogenic activity, autogenous bone from sites such as the iliac crest has traditionally been used as a bone-grafting material. Osteoblasts that survive transplantation have no capacity for division. Their role is limited to producing bone matrix and mineralizing that matrix. Furthermore some researchers believe that up to 80% of the transplanted cells of autogenous bone grafts die either at the time of harvesting, during storage, or at the time of placement [9]. But at the time of their death, the various bone cells liberate bone morphogenetic protein (BMP) and other morphogenetic factors that begin inducing the transformation of undifferentiated stem cells that have been attracted to the recipient bed [10-12].
Because autogenous bone-graft donor sites have been associated with pain, inflammation, infection, additional blood loss, and extra operating time, numerous approaches to reducing or eliminating the dependence upon autogenous bone grafts have been investigated [13,14]. Ideally, any substitute for autogenous bone should be composed of the same minerals as human bone, namely hydroxyapatite. It also should have sufficient microporosity to enable absorption of blood and nutrients. Like trabecular bone, it should have an interconnecting macroporosity with a large surface-to-area volume ratio to promote osteoblastic activity. The material should resorb slowly, as it is replaced by host bone [15,16]. Graft materials that are not fully resorbable limit the volume of new bone formation. Currently three categories of autogenous bone substitutes are available: xenografts, alloplasts, and allografts. Xenografts come from a different species, e.g. cow, algae, coral, and so on, from which all protein material has been removed that would identify the species of origin [17].While xenografts of bovine origin may be morphologically similar to human bone, they have no osteoinductive potential [18]. Such grafts also typically do not resorb and remain encapsulated within the graft as particles walled off from the host bone. Coral (Interpore 200) has largely been abandoned in this indication due to its uncertain clinical tolerance and failure to resorb [19- 21].
Alloplasts are synthetic materials such as tri-calcium phosphate and hydroxyapatite. Their architecture may be morphologically similar to human trabecular bone, and unlike xenografts, they may resorb completely, to be replaced by host bone. Calcium phosphate substitutes are osteoconductive, but they are not osteoinductive unless growth factors, BMPs, bone marrow aspirate, or other osteoinductive substances are added to create a composite graft [22].They do not provide a high level of structural support because they are brittle and have little tensile strength. They increase bone formation by providing an osteoconductive matrix for host osteogenic cells to create bone under the influence of host osteoinductive factors [23].
Allograft is acellular non-vital bone that comes from another human, typically a cadaver. Approximately one-third of the bone grafts used in North America are allografts [24,25]. Allografts can be processed as a powder, cancellous or cortical chips, wedges, pegs, dowels, or struts. In addition, they can be machined into shapes, such as screws, for specific situations. Such material usually is not rejected by the bone recipient. Although concerns have been raised about the risk of disease transmission and/or infection, adherence to proper processing techniques appears to have eliminated that risk. The FDA requires testing for HIV1 (human immunodeficiency-1), HIV-2, and HCV (hepatitis-C virus) antibody. Many states also require testing for hepatitis-B core antibody. The AATB (American Association of Tissue Banks) requires additional testing for HTLV-I (human T-cell lymphotropic virus-I) and HTLV-II antibodies. Additional testing for HIV with use of polymerase chain reaction and for hepatitis with use of nucleic acid amplification as well as testing for cytomegalovirus and syphilis antibodies is frequently done. A more significant question relates to the extent to which allograft materials can be considered osteoinductive.
Incorporation of an allograft is via passive osteoconduction and healing differs according to the type of allograft. Cortical strut grafts are incorporated by creeping substitution through the process of intramembranous bone formation at the cortical junctions [26,27]. Cancellous allograft chips or powders are incorporated via the osteoconductive creeping substitution of new bone within the framework [28].
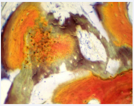
Demineralized bone matrix is an allograft and contains type1 collagen, non-collagenous proteins, and osteoinductive growth factors [29]. Polarized light highlights the lamellar pattern of mature bone from which the demineralized allograft was derived (Figure 1).
Figure 1: Particle of demineralized allograft viewed under polarized light demonstrating the lamellar pattern of the mature bone from which it was derived. Stevenel’s blue and Van Gieson’s picric fuchsin.
The first stage of incorporation of the allograft to the recipient site is revascularization. Re-population of the bone matrix with living cells depends on revascularization of the graft. Osteocytes within the bone matrix controls the biochemical activity around the lacuna in which it is located (Figure 2).
Figure 2: A vital osteocyte in a lacuna of a particle of demineralized allograft (green). Revascularization of the particle of demineralized allograft is required. Stevenel’s blue and Van Gieson’s picric fuchsin.
Calcification of the demineralized allograft scaffold begins in the region of the osteocytes as small spherical depositions of calcium (calcoshperites). These deposits coalesce and are bridged in the pattern of mature bone as the demineralized allograft is being reossified (Figure 3).
Figure 3: Particle of demineralized allograft that is being re-ossified. New bone formation (yellowish-green stain) lined by osteoblasts is forming along the surface of the demineralized allograft. Stevenel’s blue and Van Gieson’s picric fuchsin.
The allograft is not remodeled or resorbed by osteoclasts until it becomes vital bone.
Studies of animals have documented the osteoinductive effects of demineralized bone matrix however, there is a paucity of clinical studies with similar findings [30,31]. Isolated case reports and uncontrolled retrospective reviews have suggested potential therapeutic effects of demineralized bone matrix [32,33]. Tiedeman et al. [34], reported on an uncontrolled case series of forty-eight patients in whom demineralized bone matrix had been used in conjunction with bone marrow for the treatment of skeletal injuries. Thirty-nine patients were available for follow-up, and thirty of them showed healing. The most common diagnosis for the patients who did not have healing was persistent nonunion. However, since there was no control group, the role of demineralized bone matrix in the thirty patients who had healing remains unknown [35].
There are numerous demineralized bone matrix formulations and all have been shown to have osteoinductive effects in animals, but we are not aware of any evidence base scientific studies of the use of demineralized bone matrix alone in humans. One prospective controlled study showed equivalent rates of spinal fusion between sides in patients who had been treated with autograft on one side and a 2:1-ratio composite of Grafton DBM (gel) and autograft on the other, suggesting a potential use of Grafton DBM as a bone-graft extender [36].There is only anecdotal information available regarding similar applications in patients with long-bone fractures and non-unions. There is varied effectiveness of demineralized bone from an assortment of manufacturers [37]. Because these materials were originally developed as reprocessed human tissues, clearance for marketing from the United States Food and Drug Administration (FDA) was achieved without the need for randomized controlled trials comparing their efficacy with that of autologous bone.
The central dogma of molecular biology, first enunciated by Francis Crick in 1970 deals with the detailed transfer of sequential information [38,39]. It is a framework for understanding the transfer of cellular information, in the most common or general case, in living organisms. There are three major classes of biologic polymers that occur normally in most cells and describe the flow of biological information: DNA and RNA (both nucleic acids) and protein. DNA can be copied to DNA (DNA replication), DNA information can be copied into messenger-RNA, (transcription), and proteins can be synthesized using the information in mRNA (messenger RNA) as a template (translation). To correctly transmit genetic information, the DNA must be replicated faithfully. Replication is carried out by a complex group of proteins [40].
The synthesis of any protein or peptide is preceded by translation of information contained within mRNA. In the absence of RNA, no protein or peptide can be synthesized. Proteins or peptides are composed of genetic information found within mRNA. In general, each mRNA molecule goes on to make a specific protein or set of proteins [41,42].Tissue samples lacking intact RNA are devoid of proteins. If a graft material is lacking in peptides or protein molecules it does not possess cytokines or growth factors.
The purpose of this study was to investigate and compare the osteoinductive properties of allograft bone to venous blood or bone marrow aspirate by evaluation of the precursor to protein synthesis, RNA, and further, to suggest an alternative method of providing the biologic array of cytokines and growth factors with the patients peripheral blood or bone marrow aspirate.
METHOD AND STUDY DESIGN
Data was collected from samples of seven commercially available graft material and analyzed for ribonucleic acid (RNA) content. Samples were purchased and relabeled (A-G) to conceal their identity. All materials were within their shelf life and required no special handling during transportation. As RNA is a precursor for protein synthesis this procedure was done prior to sending samples for microarray analysis to identify cytokines and growth factors within each sample.
The seven materials were (A)-DynaGraft-D (Keystone Dental, Burlington, MA), (B)-Puros DBM Putty (Zimmer Dental, Carlsbad, CA), (C)-LifeNet Demineralized Cortical Bone (Salvin Dental Specialties, Charlotte, NC), (D)-AlloOss Mineralized Human Bone (Ace Surgical Supply, Brockton, MA), (E)-Regenaform Moldable Allograft Paste (Exactech, Gainesville, FL), (F)-Bacterin OsteoBlock (Riemser, Research Triangle Park, NC), (G) Bacterin OsteoSponge Block (Riemser, Research Triangle Park, NC). All were allografts and advertised as being osteoinductive. The samples were sent to a gene-array analysis facility (SABiosciences, Frederick, MD) for RNA analysis.
In order to compare the concentration of RNA in the bonegraft material samples with the levels found in bone marrow aspirate and human venous blood, venous blood and bone marrow aspirate also were collected from two patients, ages 76 years and 23 years, selected at random from one of the authors’ practices. Both patients were in good systemic health, and both provided informed consent. Bone marrow aspiration followed the protocol outlined by Smiler and Soltan [43].
After the blood and bone marrow aspirate were collected, a 0.5 mL sample of each was placed into a 2 mL tube pre-loaded with RNA later (Applied Biosystems/Ambion, Austin, TX) and thoroughly mixed. This reagent stabilizes RNA in tissue samples to preserve the gene expression profile. The labeled tubes of blood and bone marrow aspirate were stored at -20 degrees centigrade and shipped overnight on dry ice to the gene-array analysis facility (SABiosciences, Frederick, MD).
At the analysis facility, the following steps were taken.
RNA extraction
RNA was extracted from each sample using the RiboPureTMBlood Kit (Applied Biosystems/Ambion, Austin, TX) according to the manufacturer’s instructions.
Any sample of allograft material that was larger-grained than powder was pulverized and mixed with TRIzol Reagent, a monophasic solution of phenol and guanidine isothiocyanate used for isolating total RNA from cells and tissues. During sample homogenization or lysis, the reagent maintains the integrity of the RNA, while disrupting cells and dissolving cell components. The TRIzol RNA isolation protocol was then followed to extract any existing RNA from the allograft samples.
After extraction, the TRIzol-extracted RNA from each of the samples was analyzed on a NanoDrop 2000 spectrophotometer (Thermo Fisher Scientific, Wilmington, DE), and 230, 260, and 280 absorbance readings were obtained. The integrity and purity of the RNA from each sample was then analyzed on an Agilent Bioanalyzer (Quantum Analytics Inc., Foster City, CA).
The blood samples and bone marrow aspirate samples were analyzed using a RiboPure Blood Kit (Applied Biosystems/ Ambion, Austin, TX). The kit combines two methods of RNA purification to remove common blood-sample contaminants (protein, heme, genomic DNA, and RNases). The RNA recovered using the kit was then analyzed on the spectrophototometer, to assess the electrokinetic phenomenon of the samples [44,45], and Agilent Bioanalyzer.
RNA quality control
RNA samples were run on an Agilent Bioanalyzer (Quantum Analytics Inc., Foster City, CA). The integrity of RNA is assessed by looking at 18s & 28s rRNA peaks and the RNA integrity number (RIN). RNA concentrations were measured using the nano drop, and all samples had 260/280 ratios above 2.0 and 260/230 ratios above 1.7. The assessment of RNA integrity is a critical first step in obtaining gene expression data. The RIN has been designed to provide unambiguous assessment of RNA integrity with peaks at 18s and 28s specifically to identify RNA within a specimen. A RIN of 10 indicates intact RNA (Figure 4), a RIN of 6 indicates that the RNA is partially degraded within the specimen; the RIN of 3 indicates that the RNA within the specimen is strongly degraded, and a RIN of 2 or below proves that the specimen does not contain RNA (Figure 5).
Figure 4: RIN number 10 indicating intact RNA.
Figure 5: RIN number 2 indicating No RNA.
RESULTS
Allograft samples
The samples of allograft tested are completely devoid of ribonucleic acid and therefore devoid of cytokine peptides. (Figures 6) through 12 graphically represent the associated RIN number (Ribonucleic acid Integrity Number) data and results for each sample. Graft materials analyzed for RNA in this study included;
Sample A: DynaGraft-D (Figure 6)
Figure 6: Sample A: DynaGraft-D, No RNA.
Sample B: Puros Allograft DBM Putty (Figure 7)
Figure 7: Sample B: Puros Allograft DBM Putty, No RNA.
Sample C: Life Net (Figure 8)
Figure 8: Sample C: Life Net, no RNA.
Sample D: AlloOss mineralized cortico/cancellous particulate (Figure 9)
Figure 9: Sample D: AlloOss mineralized cortico/cancellous particulate No RNA.
Sample E: Regenaform contains DBM and bone chips (Figure 10)
Figure 10: Sample E: Regenaform contains DBM and bone chips, No RNA.
Sample F: Riemser Bacterin Allograft Bone Block (Figure 11)
Figure 11: Sample F: Riemser OsteoSponge, No RNA.
Sample G: Riemser OsteoSponge (Figure 12)
Figure 12: Peripheral Blood 76 y/o patient - Excellent ribosomal RNA Integrity.
These samples offer no inductive capability as a graft material.
The RNA concentrations of venous blood samples and bone marrow aspirate samples tested showed excellent peaks at 18s and 28s indicating integrity of RNA and therefore content of cytokines and growth factors. (Figures 13) through 16 graphically represent the associated RIN number data for each sample.
Figure 13: Bone Marrow Aspirate 76 y/o patient - Excellent ribosomal RNA Integrity.
Ribosomal RNA band integrity of peripheral blood and bone marrow aspirate
Analysis of the electrophoretic fraction of each RNA sample of autogenous peripheral blood and bone marrow aspirate verifies distinction at both the 18s and 28s ribosomal RNA (rRNA) bands showing sharp peaks indicating excellent ribosomal RNA Band Integrity (RIN) of a high-quality total RNA preparation. (Figures 14) through 19 graphically represent the associated RIN number (Ribonucleic acid Integrity Number) data and results for patient 76 year of age (Figures 14,15), and patient 23 years (Figure 16).
Figure 14: Peripheral Blood 23 y/o patient - Excellent ribosomal RNA Integrity.
Figure 15: Bone Marrow Aspirate 23 y/o patient - Excellent ribosomal RNA Integrity.
Figure 16: 23 yo patient bone marrow aspirate.
DISCUSSION
The assessment of RNA integrity is a critical first step in obtaining meaningful gene expression data. To assess RNA quality all samples were evaluated using an automated capillaryelectrophoresis systems. The Agilent 2100 bio analyzer and RNA Lab Chip® were used in the determination of RNA quality. Profiles generated on the Agilent 2100 bio analyzer yielded information on the concentration and quality of RNA, generated ribosomal ratios of the samples, and allowed for visual inspection of extracted information about RNA sample integrity (RIN) from a bio analyze electrophoretic trace [46].
The RNA integrity number (RIN) is an algorithm for evaluation using 18s to 28s RNA ratio and also assigning integrity values to RNA measurements. The RIN algorithm is applied to electrophoretic RNA measurements that supply information about the RNA integrity [47]. Using electrophoretic separation on micro fabricated chips, RNA samples are separated and subsequently detected via laser induced fluorescence detection. The electropherogram provides a detailed visual assessment of the quality of an RNA sample. The assessment of RNA integrity (RIN) is a critical first step in obtaining meaningful gene expression data. A RNA Integrity Number (RIN) higher than five suggests good total RNA quality and higher than eight as perfect total RNA for downstream application [48].
Ribosomal RNA (rRNA) is the central component of the ribosome, the protein manufacturing machinery of all living cells. The function of the rRNA is to provide a mechanism for decoding mRNA into amino acids and to interact with the tRNA’s during translation by providing peptidyl transferase activity. The tRNA then brings the necessary amino acids corresponding to the appropriate mRNA codon. Gene expression is the process by which information from a gene is used in the synthesis of a functional gene product. Gene regulation gives the cell control over structure and function, and is the basis for cellular differentiation, morphogenesis [49].
The studies of cytokines and growth factors have great potential to expand scientific knowledge of biological systems. Growth factors and cytokines promote cell differentiation, cell adhesion, proliferation, and migration by modulating the synthesis of proteins, other growth factors, and receptors [50]. In the current investigation, the content of ribonucleic acid in commercially available allograft material and autogenous peripheral blood was analyzed. The allograft material tested contained only severely degraded RNA and therefore was incapable of synthesizing any protein material, including cytokines and growth factors. However, the samples of peripheral venous blood and bone marrow aspirate tested positive for intact RNA and with RNA integrity number sufficient to provide downstream cellular applications. Previous research by the authors has identified cytokines and growth factors within peripheral venous blood and bone marrow aspirate [51]. Although demineralized bone matrix has been shown to be effective in producing bone in a non-osseous site in animals it has never been demonstrated to produce this effect in patients.
CONCLUSION
To my knowledge, there have been no studies in which the investigators carefully evaluated the osteo inductive properties of allograft bone and compared to venous blood or bone marrow aspirate.
The present study was designed to evaluate cytokine and growth factor concentration in commercially available allografts. The precursor to protein synthesis, RNA was not found in commercially available allografts tested, but was found in venous blood and bone marrow aspirate. Therefore, none of the graft matrices examined contained any cytokine or growth factor (including bone morphogenetic protein). This observation proves that commercially available off-the shelf graft materials do not contain inductive capability.
However, the challenge to add inductive cytokines and growth factors is easily solved by obtaining the patients peripheral blood or bone marrow aspirate and combining with a suitable graft matrix. Either contains the biologic array of cytokines and growth factors that are missing from the graft matrix. The author has found that the process of bone graft healing is enhanced when venous blood or bone marrow aspirate is combined with fully resorbable alloplast matrix or alloplast morphologically similar to bone and with micro and macroporous.
REFERENCES
1. Rosen V, Theis RS. The BMP proteins in bone formation and repair. Trends Genet. 1992; 8: 97-102.
4. Smiler DS. Bone grafting: materials and modes of action. Pract Perio Aesthet Dent. 1996; 8: 413-416.
6. Urist MR. Bone: formation by autoinduction. Sci. 1965; 150: 893-899.
7. Wozney JM. The bone morphogenic protein family and osteogenesis. Mol Reprod Dev. 1992; 32: 160-167.
10. Burchard H. Biology of bone transplantation. Orth Clin North Am. 1987; 18:187-196.
22. Smiler D, Soltan M. Decision tree for bone graft success. Implant Dent. 2006; 15: 122-128.
38. Crick F.H.C. On Protein Synthesis. Symp Soc Biol. 1958; 139-163.
39. Crick F. Central Dogma of Molecular Biology. Nature. 1970; 227, 561- 563.















