Loading

JSM Dental Surgery

Dental Compression Syndrome

Research Article | Open Access | Volume 6 | Issue 2

  • 1. American Academy of Implant Dentistry, USA
+ Show More - Show Less
Corresponding Authors
Gene McCoy, American Academy of Implant Dentistry, USA
Abstract

Ironically, the controversies and confusion regarding occlusion have not influenced the way dentists restore the mastication system, but they have been a major distraction to focusing on the most insidious threat to the health and integrity of the system itself, vertical parafunction.

Vertical parafunction, aka; clenching, dental compression syndrome or DCS, averages 200 pounds per square inch, capable of 1,000 pounds per square inch, lasts twice as long as bruxism, has a multitude of etiological agents, and specifically focuses on the temporomandibular joint (TMJ). Clenching, unlike bruxism, cannot be managed by the practitioner.

KEYWORDS
  • Dental Compression Syndrome
  • Occlusion
  • Vertical parafunction
  • Temporomandibular joint
CITATION

Gene McCoy DDS (2024) Dental Compression Syndrome. JSM Dent Surg 6(2): 1044.

INTRODUCTION

Ironically, the controversies and confusion regarding occlusion have not influenced the way dentists restore the mastication system, but they have been a major distraction to focusing on the most insidious threat to the health and integrity of the system itself, vertical parafunction.

Vertical parafunction, aka; clenching, dental compression syndrome or DCS, averages 200 pounds per square inch, capable of 1,000 pounds per square inch, lasts twice as long as bruxism, has a multitude of etiological agents, and specifically focuses on the temporomandibular joint (TMJ) [1]. Clenching, unlike bruxism, cannot be managed by the practitioner.

While the condyles of bruxers seem to slide past the menisci, the condyles of DCS patients target them directly resulting in trauma and displacement. Early intervention was to replace these cartilaginous discs with Teflon coated implants. The results were disastrous resulting in the recall of 25,000 TMJ implants. The horror stories detailed patients who were suicidal, barely functional, under heavy pain medication with one implant ending up in the brain: the cause-clenching [2].

Clenching however, does not always result in TMD. Susceptibility might be compared to Carpal Tunnel Syndrome; not everyone who types is affected. It depends on the patient’s biological resistance and resiliency. Imagine patients compressing their teeth every single day with a force of 200 pounds per square inch; it’s going to take its toll. Since it occurs while awake it is the patient’s responsibility; however, it is our mandate to recognize the signs and consul each affected patient.

DCS is classified as a syndrome because of the unique deformations that it creates:

Non-Carious Lesions (NCLs)

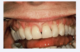
These deformations, aka sets, are multi-shaped examples of hard tissue fatigue due to compression failure. Fatigue applies to changes in the properties of a material due to repeated applications of stress or strain-in this case, compression failure from DCS. If an object, such as a tennis ball, rebounds to its original shape after repeated compressions, it is said to be elastic in nature. However, if an object exhibits residual defects after repeated compression, it is said to be plastic in nature. Biological structures, such teeth and bone are termed viscoelastic and are subject to deformation. Engineers refer to this type of fatigue as corrosion fatigue (Figure 1) [3].

Figure 1 Non-Carious Lesions (NCLs)

Figure 1: Non-Carious Lesions (NCLs)

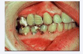
The Cupola

The most common compression NCL is a perfectly rounded depression Aka; occlusal dimples, found at the tips of functional cusps (Figure 2).

Figure 2 Occlusal dimples, found at the tips of functional cusps

Figure 2: Occlusal dimples, found at the tips of functional cusps

Nothing of significance has been written about them except that they are associated with compression. Although the cupola contrasts dramatically in geometric design with the wedge shaped NCL, there are two striking similarities, i.e., they are both site specific in that they are found at sites of high stress on teeth, and they exhibit a glassy sheen.

Kornfeld wrote about this phenomenon in 1932 when he observed that these defects were hard, smooth, and glasslike in appearance [4]. The author suggests that this glassy effect is due to the exit of positive ions produced by the compression of appetite crystals in the dentition and the alveolar bone [5], due to a piezoelectric effect. The result is a mechanical deformation due to positive ions being emitted through these focal points of high stress which explains the glassy effect and the loss of tooth structure as well. It is not unusual to find these glassy concavities on the first molars only as they appear first in the transgression from deciduous to secondary dentition and receive the full force of compression which is reduced with the emergence of the remaining dentition.

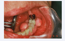
Deformation of Bone – Exostosis

Articles on torus palatinus and torus mandibularis have appeared since 1814 [6]. Although there is no consensus as to their etiology, many associate their occurrence with TMDs and masticatory hyperfunction [7]. Specifically, the negative ions generated from the compression of appetite crystals are responsible for the aggregates of new bone growth. This may well explain the metallic taste that people experience from time to time (Figure 3,4).

Figure 3 Deformation of Bone – Exostosis

Figure 3: Deformation of Bone – Exostosis

Figure 4 Deformation of Bone – Exostosis

Figure 4: Deformation of Bone – Exostosis

Deformations of Restorative Materials

Fatigue easily manifests itself in prostheses and restorative materials such as amalgam and acrylic. Termed Luder Lines or molecular slip bands, the molecules in the alloy are rearranging themselves under the influence of compressive strain (Figures 5 and 6). One can demonstrate the effect by bending a metal coat hanger back and forth and examining the stress configuration that is produced [8].

Figure 5 Deformations in acrylic

Figure 5: Deformations in acrylic

Figure 6 Deformations in acrylic

Figure 6: Deformations in acrylic

Fatigue in Acrylic appears as wavy lines or sets (Figures 7 and 8).

Figure 7 Fatigue in Acrylic appears as wavy lines or sets

Figure 7: Fatigue in Acrylic appears as wavy lines or sets

Figure 8 Fatigue in Acrylic appears as wavy lines or sets

Figure 8: Fatigue in Acrylic appears as wavy lines or sets

The deformations in the oral environment are important diagnostic tools, but their appearance does not mean that the patient is currently affected with DCS, as it may have been from a prior stressful period in their lives.

CONCLUSIONS

Disorders of the TMJ affect 61 million Americans; the most likely etiological factor aside from trauma, parafunctional forces generated from grinding (bruxism) and clenching (DCS) of teeth. While bruxism can be managed with a guard; DCS cannot. Dentists can only monitor for its signs and advise patients as to the many etiological factors that may initiate its onset.

DCS is a formidable threat to implant reconstructions due to the reduced volume of alveolar bone which is beneficial in dispersing parafunctional forces when clenching does occur. Reactively relying on occlusal schemes to minimize these forces is secondary to proactively elevating patient’s awareness.

Gene McCoy DDS (2024) Dental Compression Syndrome. JSM Dent Surg 6(2): 1044.

Received : 07 Oct 2024
Accepted : 30 Oct 2024
Published : 02 Nov 2024
Journals
Annals of Otolaryngology and Rhinology
ISSN : 2379-948X
Launched : 2014
JSM Schizophrenia
Launched : 2016
Journal of Nausea
Launched : 2020
JSM Internal Medicine
Launched : 2016
JSM Hepatitis
Launched : 2016
JSM Oro Facial Surgeries
ISSN : 2578-3211
Launched : 2016
Journal of Human Nutrition and Food Science
ISSN : 2333-6706
Launched : 2013
JSM Regenerative Medicine and Bioengineering
ISSN : 2379-0490
Launched : 2013
JSM Spine
ISSN : 2578-3181
Launched : 2016
Archives of Palliative Care
ISSN : 2573-1165
Launched : 2016
JSM Nutritional Disorders
ISSN : 2578-3203
Launched : 2017
Annals of Neurodegenerative Disorders
ISSN : 2476-2032
Launched : 2016
Journal of Fever
ISSN : 2641-7782
Launched : 2017
JSM Bone Marrow Research
ISSN : 2578-3351
Launched : 2016
JSM Mathematics and Statistics
ISSN : 2578-3173
Launched : 2014
Journal of Autoimmunity and Research
ISSN : 2573-1173
Launched : 2014
JSM Arthritis
ISSN : 2475-9155
Launched : 2016
JSM Head and Neck Cancer-Cases and Reviews
ISSN : 2573-1610
Launched : 2016
JSM General Surgery Cases and Images
ISSN : 2573-1564
Launched : 2016
JSM Anatomy and Physiology
ISSN : 2573-1262
Launched : 2016
Annals of Emergency Surgery
ISSN : 2573-1017
Launched : 2016
Annals of Mens Health and Wellness
ISSN : 2641-7707
Launched : 2017
Journal of Preventive Medicine and Health Care
ISSN : 2576-0084
Launched : 2018
Journal of Chronic Diseases and Management
ISSN : 2573-1300
Launched : 2016
Annals of Vaccines and Immunization
ISSN : 2378-9379
Launched : 2014
JSM Heart Surgery Cases and Images
ISSN : 2578-3157
Launched : 2016
Annals of Reproductive Medicine and Treatment
ISSN : 2573-1092
Launched : 2016
JSM Brain Science
ISSN : 2573-1289
Launched : 2016
JSM Biomarkers
ISSN : 2578-3815
Launched : 2014
JSM Biology
ISSN : 2475-9392
Launched : 2016
Archives of Stem Cell and Research
ISSN : 2578-3580
Launched : 2014
Annals of Clinical and Medical Microbiology
ISSN : 2578-3629
Launched : 2014
JSM Pediatric Surgery
ISSN : 2578-3149
Launched : 2017
Journal of Memory Disorder and Rehabilitation
ISSN : 2578-319X
Launched : 2016
JSM Tropical Medicine and Research
ISSN : 2578-3165
Launched : 2016
JSM Head and Face Medicine
ISSN : 2578-3793
Launched : 2016
JSM Cardiothoracic Surgery
ISSN : 2573-1297
Launched : 2016
JSM Bone and Joint Diseases
ISSN : 2578-3351
Launched : 2017
JSM Bioavailability and Bioequivalence
ISSN : 2641-7812
Launched : 2017
JSM Atherosclerosis
ISSN : 2573-1270
Launched : 2016
Journal of Genitourinary Disorders
ISSN : 2641-7790
Launched : 2017
Journal of Fractures and Sprains
ISSN : 2578-3831
Launched : 2016
Journal of Autism and Epilepsy
ISSN : 2641-7774
Launched : 2016
Annals of Marine Biology and Research
ISSN : 2573-105X
Launched : 2014
JSM Health Education & Primary Health Care
ISSN : 2578-3777
Launched : 2016
JSM Communication Disorders
ISSN : 2578-3807
Launched : 2016
Annals of Musculoskeletal Disorders
ISSN : 2578-3599
Launched : 2016
Annals of Virology and Research
ISSN : 2573-1122
Launched : 2014
JSM Renal Medicine
ISSN : 2573-1637
Launched : 2016
Journal of Muscle Health
ISSN : 2578-3823
Launched : 2016
JSM Genetics and Genomics
ISSN : 2334-1823
Launched : 2013
JSM Anxiety and Depression
ISSN : 2475-9139
Launched : 2016
Clinical Journal of Heart Diseases
ISSN : 2641-7766
Launched : 2016
Annals of Medicinal Chemistry and Research
ISSN : 2378-9336
Launched : 2014
JSM Pain and Management
ISSN : 2578-3378
Launched : 2016
JSM Women's Health
ISSN : 2578-3696
Launched : 2016
Clinical Research in HIV or AIDS
ISSN : 2374-0094
Launched : 2013
Journal of Endocrinology, Diabetes and Obesity
ISSN : 2333-6692
Launched : 2013
Journal of Substance Abuse and Alcoholism
ISSN : 2373-9363
Launched : 2013
JSM Neurosurgery and Spine
ISSN : 2373-9479
Launched : 2013
Journal of Liver and Clinical Research
ISSN : 2379-0830
Launched : 2014
Journal of Drug Design and Research
ISSN : 2379-089X
Launched : 2014
JSM Clinical Oncology and Research
ISSN : 2373-938X
Launched : 2013
JSM Bioinformatics, Genomics and Proteomics
ISSN : 2576-1102
Launched : 2014
JSM Chemistry
ISSN : 2334-1831
Launched : 2013
Journal of Trauma and Care
ISSN : 2573-1246
Launched : 2014
JSM Surgical Oncology and Research
ISSN : 2578-3688
Launched : 2016
Annals of Food Processing and Preservation
ISSN : 2573-1033
Launched : 2016
Journal of Radiology and Radiation Therapy
ISSN : 2333-7095
Launched : 2013
JSM Physical Medicine and Rehabilitation
ISSN : 2578-3572
Launched : 2016
Annals of Clinical Pathology
ISSN : 2373-9282
Launched : 2013
Annals of Cardiovascular Diseases
ISSN : 2641-7731
Launched : 2016
Journal of Behavior
ISSN : 2576-0076
Launched : 2016
Annals of Clinical and Experimental Metabolism
ISSN : 2572-2492
Launched : 2016
Clinical Research in Infectious Diseases
ISSN : 2379-0636
Launched : 2013
JSM Microbiology
ISSN : 2333-6455
Launched : 2013
Journal of Urology and Research
ISSN : 2379-951X
Launched : 2014
Journal of Family Medicine and Community Health
ISSN : 2379-0547
Launched : 2013
Annals of Pregnancy and Care
ISSN : 2578-336X
Launched : 2017
JSM Cell and Developmental Biology
ISSN : 2379-061X
Launched : 2013
Annals of Aquaculture and Research
ISSN : 2379-0881
Launched : 2014
Clinical Research in Pulmonology
ISSN : 2333-6625
Launched : 2013
Journal of Immunology and Clinical Research
ISSN : 2333-6714
Launched : 2013
Annals of Forensic Research and Analysis
ISSN : 2378-9476
Launched : 2014
JSM Biochemistry and Molecular Biology
ISSN : 2333-7109
Launched : 2013
Annals of Breast Cancer Research
ISSN : 2641-7685
Launched : 2016
Annals of Gerontology and Geriatric Research
ISSN : 2378-9409
Launched : 2014
Journal of Sleep Medicine and Disorders
ISSN : 2379-0822
Launched : 2014
JSM Burns and Trauma
ISSN : 2475-9406
Launched : 2016
Chemical Engineering and Process Techniques
ISSN : 2333-6633
Launched : 2013
Annals of Clinical Cytology and Pathology
ISSN : 2475-9430
Launched : 2014
JSM Allergy and Asthma
ISSN : 2573-1254
Launched : 2016
Journal of Neurological Disorders and Stroke
ISSN : 2334-2307
Launched : 2013
Annals of Sports Medicine and Research
ISSN : 2379-0571
Launched : 2014
JSM Sexual Medicine
ISSN : 2578-3718
Launched : 2016
Annals of Vascular Medicine and Research
ISSN : 2378-9344
Launched : 2014
JSM Biotechnology and Biomedical Engineering
ISSN : 2333-7117
Launched : 2013
Journal of Hematology and Transfusion
ISSN : 2333-6684
Launched : 2013
JSM Environmental Science and Ecology
ISSN : 2333-7141
Launched : 2013
Journal of Cardiology and Clinical Research
ISSN : 2333-6676
Launched : 2013
JSM Nanotechnology and Nanomedicine
ISSN : 2334-1815
Launched : 2013
Journal of Ear, Nose and Throat Disorders
ISSN : 2475-9473
Launched : 2016
JSM Ophthalmology
ISSN : 2333-6447
Launched : 2013
Journal of Pharmacology and Clinical Toxicology
ISSN : 2333-7079
Launched : 2013
Annals of Psychiatry and Mental Health
ISSN : 2374-0124
Launched : 2013
Medical Journal of Obstetrics and Gynecology
ISSN : 2333-6439
Launched : 2013
Annals of Pediatrics and Child Health
ISSN : 2373-9312
Launched : 2013
JSM Clinical Pharmaceutics
ISSN : 2379-9498
Launched : 2014
JSM Foot and Ankle
ISSN : 2475-9112
Launched : 2016
JSM Alzheimer's Disease and Related Dementia
ISSN : 2378-9565
Launched : 2014
Journal of Addiction Medicine and Therapy
ISSN : 2333-665X
Launched : 2013
Journal of Veterinary Medicine and Research
ISSN : 2378-931X
Launched : 2013
Annals of Public Health and Research
ISSN : 2378-9328
Launched : 2014
Annals of Orthopedics and Rheumatology
ISSN : 2373-9290
Launched : 2013
Journal of Clinical Nephrology and Research
ISSN : 2379-0652
Launched : 2014
Annals of Community Medicine and Practice
ISSN : 2475-9465
Launched : 2014
Annals of Biometrics and Biostatistics
ISSN : 2374-0116
Launched : 2013
JSM Clinical Case Reports
ISSN : 2373-9819
Launched : 2013
Journal of Cancer Biology and Research
ISSN : 2373-9436
Launched : 2013
Journal of Surgery and Transplantation Science
ISSN : 2379-0911
Launched : 2013
Journal of Dermatology and Clinical Research
ISSN : 2373-9371
Launched : 2013
JSM Gastroenterology and Hepatology
ISSN : 2373-9487
Launched : 2013
Annals of Nursing and Practice
ISSN : 2379-9501
Launched : 2014
JSM Dentistry
ISSN : 2333-7133
Launched : 2013
Author Information X