Implantology and Prothodontics at Crossroads - Classic vs. Modern Treatment Concepts
- 1. HarderMehl Dental Clinic, Germany
Abstract
Lost teeth reduce the oral health related quality of life significantly and affect the psychological state of the person concerned negatively. Nowadays, replacement of teeth with implants is a common procedure and patients embrace the possibilities to restore their quality of life. As there are numerous ways to restore a patient’s dentition, this article exemplarily uses two case reports to illuminate the decision making which treatment concepts to choose for full mouth reconstructions.
Keywords
• Full mouth reconstruction
• All-on-4TM
• Fixed teeth in a day
• Bone block
• Bone grafting
• Implants
• Prosthodontics
• Bridge
• FPD
• Crown
• Denture
• Oral health related life quality
• OHIP
Citation
Mehl C, Bösch T (2016) Implantology and Prothodontics at Crossroads - Classic vs. Modern Treatment Concepts. JSM Dent Surg 1(1): 1003.
INTRODUCTION
Except for wisdom teeth, tooth loss is very often accompanied by reduced oral health related quality of life and negative psychological consequences [1-4]. Tooth loss has a profound impact on the lives of some people, especially when tooth loss is taken as a serious event of life [1-4]. Removable solutions appear as a second-choice therapy compared to fixed restorations, since poorer long-term survival rates and the desire of many patients to obtain fixed teeth are evident [5-10]. In recent years the expectations of the patients on the surgeon has shifted significantly towards implant placement combined with immediate function [11-14]. Successful osseointegration of dental implants depends on the amount of bone directly contacting the titanium surface without soft tissue intervention [15]. Incomplete or destructive changes at the bone-implant contact area (BIC) can lead to implant failure [15-17]. The BIC has been reported to be around 45±16% without any implant surface modifications for conventional implant procedures [18]. With additional surface modifications, e.g. acid-etching, fluoride-apposition or carbon-oxygen application, values between 50-75% BIC could be achieved [19-21]. Technical surface advancements are important for the success of immediate function, especially in patients with compromised general health situations [22-24]
Dental implants have greatly improved the restorative choices available to patients and dentists [9]. However, there is a large variability of treatment concepts and possibilities to restore the oro-facial system of compromised dentitions [9]. This article shows the surgical, prosthetic and laboratory procedures of two comprehensive rehabilitations using dental implants and fixed restorations and discussing alternatives, advantages and disadvantages of the used methods.
CASE REPORT 1 - THE CLASSICAL APPROACH
In 2014 the then 44 year-old female patients presented herself in our clinic with the wish to improve her intraoral situation. The general medical history was uneventful. The patient reported that she had gradually lost her teeth. According to her, most of her teeth were extracted due to caries, periodontal disease and invasive dentistry. She had received a complete prosthetic rehabilitation with removable dentures 13 years ago (Figure 1 and Figure 2a-e).
Figure 1: En-face view of the patient exhibiting a unesthetic and worn removable denture.
Figure 2: Initial situation of the patient with (a) upper jaw, (b) lower jaw, (c and d) 13 year-old denture in place and (e) en-face view of the actual restoration.
The telescopic prosthesis was fixed on the abutment teeth 16, 23, 26 and in the lower jaw on 34, 33, 41 and 42. Her main goal was to have fixed teeth and a palate free restoration to taste food again properly. After discussing all the options, it was decided to restore her dentition with fixed denture prostheses (FDPs) supported by implants in the upper jaw in regio 15, 14, 13, 12, 22, 24, 25 and in the lower jaw in regio 36, 35, 44 and 45. The necessity of extensive bone augmentation was discussed (Figure 3).
Figure 3: Initial radiological situation shown in a DVT indicating the need for extensive augmentation procedures.
Since the clinical and radiographic examination revealed a residual dentition worth preserving theremaining teeth were planned to be restored with crowns. In the upper jaw we planned single crowns on 16, 15, 14, 13, 23, 24, 25 and 26 and a FDP on 12-22 using fully veneered non-precious alloy frameworks (Cobalt-Chromium alloy, Wirobond MI+, Bego, Bremen). In the lower jaw overall three FDPs were planned: 36- 34, 34-42 and 43-46. As happened in this case, in our clinic the first step of a treatment is always taking a photographic status and stone plaster models of the current situation mounted in an articulator. Then a set-up of the pursued final situation was manufactured by the dental technician and tested in the patient (Figure 4a and 4b).
Figure 4: Sep-up of the future final situation (a) smiling and (b) with retracted lips.
After approval of the set-up by the patient, the augmentation operation was intensively discussed with the patient.
In a five hour operation under general anesthesia the upper and lower jaw soft tissue was lifted by means of a full flap (Figure 5a). Then an external sinuslift was performed on both sides and filled with xenogenic bone of porcine origin (mp3, Osteobiol, Tecnoss/Adsystems, Vaterstätten, Germany) (Figure 5b-e).
Figure 5: Augmentation operation with (a) creating access to the residual bone in the upper jaw using a full flap, (b) and (c) Sinuslift procedures on both sides, (d) and (e) inserting the xenogenic porcine bone grafting material, (f) augmenting the upper jaw buccally using xenogenic bone of bovine origin and (g) and membranes to cover the bone.
Following the sinuslift the rest of the upper jaw was augmented using xenogenic bone of bovine origin (BioOss, Geistlich, BadenBaden, Germany) and membranes (Osseoguard flex, now ZimmerBiomet, Warsaw, IN, USA) (Figure 5f and Figure 5g).
The augmentation in the lower jaw was performed also using a full flap approach and bone grafts from both lineae obliquae (external oblique ridge), which were fixed with titanium screws (Medicon, Unterhaching, Germany) on the residual bone. The bone blocks were covered with xenogenic bone grafting material (BioOss, Geistlich) and membranes (Osseoguard flex, Zimmer Biomet) (Figure 6 a-e).
Figure 6: Augmentation operation in the lower jaw using a full flap and (a) and (b) bone grafts from both lineae obliquae (external oblique ridge), (c) fixed with titanium screws on the residual bone and (d) cover the bone blocks with xenogenic bone grafting material of bovine origin and membranes.
Five month after the augmentation an implant drilling template originating from the set-up was produced (Figure. 7a and Figure 7b), checked intra-orally in habitual occlusion (Figure 7c) and used to re-calculate the length of the implants to be placed with an X-ray (Figure 7d). Afterwards the implants in the upper and lower jaw were placed sub-crestally using a full thickness flap (Figure 7 e-i).
Figure 7: Preparation prior to the implant placement we fabricated implant drilling templates here in the view basally containing steel balls with a known diameter (a) in the upper jaw, (b) the lower jaw, (c) checked in occlusion and (d) with a X-ray to re-calculate the implant length and diameter. (e) Showing the upper jaw at re-entry, exposing the newly grown bone into where the implants were then placed using (f) osteotomy techniques and (g) the drilling template. (h) and (i) show the sutured situation in the upper- and lower jaw. The lower jaw implants were placed analogue to the upper jaw. (j) An OPT was taken to check the implant placement.
In order not to waste any bone we used 7osteotomy techniques in the upper jaw (Figure 7f). After suturing the wound (Figure 7h and Figure 7i), taking an OPT (Figure 7j) and removal of the stitches 14 days later, the implant were left to osseointegrate for four month. After four month the soft tissues around the implants presented themselves without any signs of inflammation (Figure 8a and b).
Figure 8: Four month after the implant placement impressions were taken. The soft tissue around the implants presented themselves without any signs of inflammation (a) in the upper jaw and (b) in the lower jaw.
Open implant healing enabled us to skip the implant exposure. To start the restorative phase we took an open tray impression in both jaws (Permadyne, 3M Espe, Landsberg am Lech, Germany). Since for the technician a precisely documented relation of the jaws is of utmost importance, we took the bite twice (Figure 9) - one bite to produce the abutments and another bite rested on the implant abutments to ensure absolute precision.
Figure 9: Precise relation of the jaws.
Three weeks later we cemented the final work and took X-rays (Figure 10 a-e).
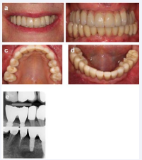
Figure 10: Finally finished after nearly one year after the initial consultation (a) en-face smiling, (b) en-face with retracted lips, (c) upper jaw and (d) lower jaw. (e) Bite-wing of the right side and peri-apical X-ray of the lower left side one year after completion of the restoration, a root canal treatment had to be performed on tooth 34 due to a peri-apical inflammation.
As can be seen in Figure (10b) the posteriors were restored in cross bite. Main reason was the palatal oriented adsorption of the upper jaw and the buccal oriented adsorption of the lower jaw. This is a regular occurrence for patients with long established edentulism. From start to finish we needed a total of 12 months. The patient’s teeth are monitored and cleaned half yearly.
CASE REPORT 2 - THE MODERN APPROACH
In 2016 the 65 year-old male patients presented himself in our clinic. The general medical history was uneventful. The patient reported that he didn’t care much about his teeth, but with retirement approaching, he wanted to enjoy life again to the full. According to him most of his teeth were extracted due to caries and invasive dentistry. He had received removable dentures some years ago, but didn’t wear them (Figure 11a and Figure 11b).
Figure 11: Initial situation (a) en-face with retracted lips and (b) radiological.
After discussing all the options, it was decided to restore his lower jaw dentition with a root canal treatment for tooth 34 and two cantilever FDPs on either side. The options for the upper jaw were discussed and the patient decided to remove all the remaining teeth and to go for a screw retained FDP on four implants (all-on-4TM).
Again a photographic status was taken and stone plaster models of the current situation were mounted in an articulator. Then a set-up of the pursued final situation was manufactured by the dental technician and tested in the patient. After approval of the set-up by the patient, the lower jaw cantilever FDPs and the final upper jaw denture were produced within two visits and on the second visit the all-on-4TM operation was intensively discussed with the patient.
In a three hour operation in general anesthesia we removed the upper jaw residual dentition (Figure 12a), lifted the tissue by means of a full flap (Figure 12b), removed the inflammatory tissue (Figure 12b) and leveled the residual bone (Figure 12c).
Figure 12: (a) Removing the residual dentition in the upper jaw, (b) the inflammatory tissue thoroughly, (c) levelling the residual bone by around 2-4 mms, (d) lifting the sinus on the right side, (e) sequentially drilling for the implant cavities, (f) covering the sockets and sharp edges with xenogenic bone grafting material, (g) closing the wound and place impression copings, (h) place a composite reinforced wire to improve rigidity, (i) take the impression and (j) the bite. (k) The temporary abutments were incorporated in the denture, and were then (l) placed onto the implants and (m) the screw accesses are covered with Teflon. (n) The patient after three days with a slight swelling evident. (o) The X-ray checking the implant positions.
Due to the anterior extension of the right maxillary sinus an external sinuslift was performed and filled again with xenogenic bone of porcine origin (mp3, Osteobiol, Tecnoss/Adsystems, Vaterstätten, Germany) (Figure 12d). Following the sinuslift the implant cavities were drilled using a template (Figure 12e). After inserting the implants (Nobel Active, Nobel Biocare, Kloten, Switzerland) with a torque between 50 and 70 Ncm, the mesostructure was placed with 35 Ncm (Multi-units straight and angled, Nobel Biocare). Now we filled the extraction sockets using xenogenic bone of bovine origin (BioOss, Geistlich, Baden-Baden, Germany) and membranes (Osseoguard, Zimmer Biomet) (Figure 12f). After suturing the wound, we placed impression copings for open tray impressions (Figure 12g), connected them via an individually bent orthodontic wire and composite (Ceramill, Amann-Girrbach, Pforzheim) (Figure 12h) and took an impression (Permadyne, 3M Espe, Landsberg am Lech, Germany) (Figure 12i). Afterwards the bite was taken with the prefabricated denture (R-SI-Line, Metal-bite, R-dental, Hamburg, Germany) (Figure 12j). The impression and the denture including the bite were delivered to the laboratory. In approximately three hours the temporary abutments were inserted into the denture and the denture relined. Six hours after the patient entered the surgery we placed the denture with 15 Ncm and covered the screw access holes with Teflon. After three month a metal framework was placed into the denture and the denture was relined. The patient’s teeth are monitored and cleaned half yearly.
DISCUSSION
Since dental procedures incorporating implants have a wide distribution and the level of knowledge has increased significantly in the population, the restoration of the quality of life with implants is in high demand.[25, 26] As described above, the time used for conventional implant restorations (classic procedure), including the incorporation of the definitive prosthesis can take up to 1-1.5 years in cases with large augmentations and/or long healing time of implants.[27,28] This situation often leads to increased stress levels in patients, who can muster no more patience for the final prosthetic restoration after a strenuous surgical treatment phase [29]. That’s why it is important to consider more time- and costeffective alternatives like the all-on-4TM procedure [30,31]. Using this method, edentulous patients or patients with an extractable residual dentition might be restored within a month, avoiding frequent and long treatments and are helped to an enormous oral related quality of life improvement [30,31]. Not long ago angulated abutments and placement of off-axis implants was frowned upon. And indeed, the use of inclined implants increases stress on the peri-implant cortical bone [32]. However, when used in conjunction with a short cantilever (e.g. a premolar), inclined implants decreased stress on peri-implant cortical bone [32] compared to a “six-implant concept”. Stress decreased with increase in angulation - at 45 degrees, stress decreased by 45% again compared to a six-implant concept [32]. Overall, the 45° angulation for the posterior all-on-4TM implants seems to have no negative impact on the survival rate [33]. Implant survival rates in the maxilla (92.5-100%), in the mandible (93-100%) and restoration survival rates (99.2-100%) prove that the all-on-4TM concept provides comparable data to conventional procedures [31,33,34], and hence is a viable treatment option for edentulous patients with atrophic alveolar ridges circumventing traditional grafting procedures [35]. However, the final decision has to be reached in open and fair fashion between patient and dentist. The dentist should under no circumstances pressure the patient to a method of his/her choosing [36-38]. For all-on-4 the decision to remove healthy teeth the patients personality and the prognosis of the residual teeth needs to be taken into consideration. As you could see in our two cases described above, the decision can be quite diametrical in comparable situations. The decision whether healthy teeth should be sacrificed, is not just a dental-ethical question, but also a functional one, since the tactility of a purely implant-supported restoration is about 10 times lower than with a restoration incorporating teeth [39].
With regard to the material selection in the conventional case, we used CAD/CAM produced non-precious alloy frameworks (cobalt-chromium alloy), which were then individually veneered. Compared to restorations featuring zirconium dioxide frameworks fewer ceramic fractures (chipping) occur [40,41]. In order to reduce costs a milled and individualized full zirconium dioxide restoration is possible. However, this choice can lead to chipping of the opposing dentition [42].
With regard to cost the conventional/classic approach as described above reduced to one jaw is about 25-30 k$. In comparison the all-on-4TM procedure is significantly cheaper with around 18 k$. The additional advantage of the modern approach is the easy reparability. Unscrewing the denture (15 minutes), repairing e.g. a fracture in the dental laboratory (20 minutes) and refitting it (15 minutes) takes far less time and is less complicated than redoing a full-arch FDP in case of a ceramic fracture.
Certainly the most important factor for the success of a comprehensive prosthetic restoration is the good cooperation and communication between the patient, dentist and dental laboratory. The dentist/implantologist and the dental technician should visualize the final restoration already in the planning phase with a set-up or wax-up, which can then easily be used for aesthetic and functional fitting and planning of the implant position. Only when all parties participating in the treatment know the goal, the way can be walked together. For the preservation of the restorations a good oral hygiene and regular recall is essential. In addition, care should be taken for newly occurring systemic diseases [23,24].











