Radicular Cysts Review
- 1. Department of Endodontics, New York University, USA
- 2. Private practice, Italy
- 3. Department of Endodontics, University of Queensland, Australia
Abstract
Radicular cyst is a pathologic cavity partially or completely lined by epithelium in an area of apical periodontitis that is the result of root canal infection of a tooth. The radicular cysts are presumably formed by inflammatory proliferation of epithelial cell rests of Malassez in the inflamed periapical tissues. Although several theories have been proposed as possible causes of cyst formation, the exact mechanism is still not clear. The prevalence of radicular cysts ranges from 15 to 20 % of all endodontic periapical osteolytic lesions. Histologically, radicular cysts can be categorized into pocket and true cyst. The radicular cyst appears as an osteolytic periapical radiolucent lesion around the apex of an endodontically involved tooth on conventional radiography and cone beam computed tomography. It is impossible to diagnose a radicular cyst clinically. The definitive diagnosis of a radicular cyst can only be made through histological examination of biopsy specimens. Therefore, all cyst-like periapical lesions associated with endodontically involved teeth should be initially treated with non-surgical root canal therapy. Because radicular cysts are caused by root canal infection, it is believed that pocket type of radicular cyst can be treated by conventional root canal therapy, however true type of radicular cysts may have to be managed surgically. Recurrence of radicular cysts is rare unless the root canal infection of a tooth persists because radicular cysts are not self-sustaining lesion such as developmental or neoplastic cysts. The prognosis of radicular cysts is favorable after endodontic treatment.
Keywords
• Cyst formation
• Inflammatory origin
• Non-surgical root canal therapy
• Radicular cysts
Citation
Lin LM, Ricucci D, Kahler B (2017) Radicular Cysts Review. JSM Dent Surg 2(2): 1017.
ABBREVIATIONS
RANK: Receptor Activator of Nuclear Factor Kappa-B; RANKL: Receptor Activator of Nuclear Factor Kappa-Bligand; OPG: Osteoprotegerin
INTRODUCTION
According to the World Health Organization, cysts in the jawbone can be classified as developmental, neoplastic, and inflammatory origin [1,2]. Radicular cyst is of inflammatory origin and believed to be formed by inflammatory proliferation of epithelial cell rests of Malassez in the area of apical periodontitis of a tooth having an infected necrotic pulp. Therefore, a radicular cyst is the product of apical periodontitis and can be categorized as pocket and true cysts Histologically. Radicular cysts cannot be diagnosed clinically using conventional radiographic and cone beam computed tomographic images and can only be definitively diagnosed by histological examination of biopsy specimens. Because radicular cysts are caused by root canal infection, it is believed that radicular cysts can be treated by conventional root canal therapy [3].
Epidemiology
Radicular cysts are the most common type of all jawbone cysts and comprise about 52-68% of all the cysts affecting the jawbone [4,5]. However, the prevalence of radicular cysts is only about 15% of all periapical osteolytic lesions associated with endodontically involved teeth [6]. Approximately, 9% are true cysts and 6% pocket cysts [6]. The anterior region of the maxilla and premolar region of the mandible are more frequently involved than other parts of the jaw bone by radicular cysts [7].
Pathogenesis
Radicular cysts are formed in the area of apical periodontitis of endodontic ally involved teeth. Therefore, periapical alveolar bone has to be resorbed by immuno-inflammatory process that involves interaction between osteocytes, osteoblasts, and osteoclastsas well as RANK-RANKL/OPG system [8,9], before a radicular cyst can be formed. It is believed that inflammatory cytokines and growth factors released during apical periodontitis can stimulate epithelial cell rests of Malassez, which are the remnants of disintegrated Hertwig’s epithelial toot sheath in the apical periodontal ligament to proliferate and form a cyst [10- 12]. Apparently, some of the epithelial cells in the islands or nests of epithelial cell rests of Malassez must maintain the regenerative potential of stem cells because mature epithelial cells are not able to undergo intensive proliferation [12]. Similar to the basal cells of most epithelium, the basal cells of epithelial cell rests of Malassez may also behave like stem cells. After receiving appropriate signals such as inflammatory cytokine and growth factors, the basal cells can be stimulated to proliferate and form a cyst. Although several theories, nutritional deficiency [13], abscess formation [14], and merging of proliferated epithelial islands [11], have been proposed as possible scenarios of cyst formation, the exact mechanism of cyst formation is still not clear.
Clinical and radiographic presentation
Radicular cysts usually present as an osteolytic lesion at the periapical area of a tooth with an infected necrotic pulp on conventional radiography and cone beam computed tomography. It is believed if an osteolytic periapical lesion is more than 2 cm2 in diameter, it may be a cystic lesion [15,16]. In addition, if a welldemarcated periapical osteolytic lesion is bordered by a thin rim of cortical bone, there is a strong probability that the lesion is a cyst [17,18]. Radicular cysts are usually asymptomatic unless they become infected.
Histopathology
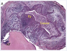
Radicular cysts are a pathologic cavity partially or completely lined by non-keratinized stratified squamous epithelium in an area of apical periodontitis of a tooth with infected necrotic pulp. In active infection, the epithelial lining of the cysts is thick and irregular, and infiltrated with inflammatory cells. In inactive infection, the epithelial lining is thin and regular, and has minimal infiltration of inflammatory cells. The lumen of the cysts may contain cholesterol crystals [6]. Histologically, radicular cysts have been classified as pocket (bay) (Figure 1) and true type of cysts [6,19], (Figure 2) In pocket cysts, the cyst lumen opens into the apical root canal, while the cyst cavity is completely enclosed by epithelial lining in true cysts [6].
Figure 1: The lumen of radicular cyst opens into the apical canal. There is extensive epithelial proliferation of cyst epithelial lining infiltrated by many inflammatory cells. RC, root canal; Ep, epithelium (hematoxylin-eosin stain, original magnification x25). From Lin et al. J Endod 2009; 35: 607-615.
Figure 2: A cavity is completely enclosed by epithelium and separated from the root apex. The lumen of radicular cyst does not open into the apical root canal. There is also extensive proliferation of cyst epithelial lining infiltrated by many inflammatory cells. AF, apical foramen; Ep, epithelium (hematoxylin-eosin stain, original magnfication x25). From Lin et al., 2009; 35: 607-615.
DIAGNOSIS
Conventional radiography and cone beam computed tomography are able to detect changes at tissue or organ level but not at cellular level. Although several studies have demonstrated that computed tomography could differentiate radicular cysts from periapical granulomas [20-22], it is impossible to diagnose a radicular cyst with certainty clinically without histological confirmation [23]. Therefore, all endodontic periapical lesions including cyst-like lesions should be initially managed with nonsurgical endodontic treatment.
Treatment
Radicular cysts are a very unique disease entity and different from developmental and neoplastic cysts. Both developmental and neoplastic cysts are self-sustaining lesions and have to be removed surgically if necessary. Because radicular cysts are of inflammatory nature, it is believed that most radicular cysts can be treated with non-surgical root canal therapy [3,6,24,25]. However, it was suggested that true radicular cysts might have to be treated surgically [6]. Decompression procedures followed by non-surgical root canal therapy have also been recommended to manage large radicular cysts, especially those lesions very close to vital structures such as maxillary sinus, mental foramen, or mandibular canal [26-28]. Failure of radicular cysts to regress after non-surgical and surgical treatment is due to persistent root canal infection or reinjection and not due to the self-sustaining nature of the cysts [3,10]. Treatment outcome of radicular cysts is favorable.
CONCLUSION
Radicular cysts are of inflammatory origin and formed in the area of apical periodontitis of a tooth having infected necrotic pulp. Radio graphically, radicular cysts appear as an osteolytic lesion at the periapex of endodontic ally involved teeth. It is impossible to diagnose a radicular cyst clinically; accordingly all endodontic periapical lesions should be initially treated with conventional root canal therapy.
REFERENCES
1. Main DM. Epithelial jaw cysts: 10 years of the WHO classification. J Oral Pathol. 1985; 14: 1-7.
4. Shear M. Cysts of the oral regions. 3rd edn. Oxford, Wright. 1992.
5. Killey HC, Kay LW, Seward GR. 3rd edn. Edinburgh and London Churhill Livingston 1977.
6. Nair PN. New perspectives on radicular cysts: do they heal? Int Endod J. 1998; 31: 155-160.
19. Simon JH. Incidence of periapical cysts in relation to the root canal. J Endod. 1980; 6: 845-848.
26. Neaverth EJ, Burg HA. Decompression of large periapical cystic lesions. J Endod. 1982; 8: 175-182.

