Loading

JSM Dentistry

Fluorides in Dental Tissues: Caries Prevention and Fluorosis

Review Article | Open Access | Volume 8 | Issue 1

  • 1. Department of Oral Biology, Paris Cité University, France
+ Show More - Show Less
Corresponding Authors
Michel Goldberg, Department of Oral Biology, Faculty of Fundamental and Biomedical Sciences, Paris Cité University, France, Tel: 33-6-62676709;
Abstract

Cariostatic effects of fluorides play important role is caries prevention, both administrated  systemically and/or topically. Tunnels located inside apatite crystals are acting as ions  exchangers favoring diffusion pathways and substitution of ions such as fluorides inside the crystal  lattice. Fluorides increase the solubility of the mineral components and the remineralization  process. Systemic fluoride decreases the number and severity of the carious lesions. At low  doses, white spots appear resulting from enamel hypomineralization. Pittings forming horizontal  lines, groves and altered enamel surfaces merging into large pigmented defects (from brown  to black) contribute to enamel pathologies (hypoplasia, and enamel staining). The needs for  fluoride consumption have been carefully identified. The effects of topical applications have  been evaluated according to the age of the patient, the frequency of ingestion, and the mode  of absorption (community water fluoridation, tablets and salt fluoridation, fluoride-containing  tooth pastes, mouth rinses, varnishes, silver diamine fluoride, and remineralization agents). The  decision concerning the fluoride levels and how they are administered should be balanced  between the risk of developing caries and dental fluorosis.

Keywords

• Fluoride

• Prevention

• Community water

• Salt

• Varnishes

• Toothpastes

• Fluorosis

Citation

Goldberg M (2020) Fluorides in Dental Tissues: Caries Prevention and Fluorosis. JSM Dent 8(1): 1123.

INTRODUCTION

Systemic vs. topical fluoride administration

Systemic fluoride comes from ingested sources and is deposited in teeth that are forming in children. Topical fluoride is from other sources (community water, food, beverages, toothpastes, mouth-rinses, gels, foams, and varnishes). Concerns about an increasing incidence of dental fluorosis have modified the recommendations for fluoride use.

• F- taken during pregnancy is evaluated to 1mg active F taken daily from 4 months of gravidity.

• After birth, F- drops from birth to 2 years of age. Fluoride uptake should be 0.5-milligram tablet daily for children aged 2-3 years.

• For 12 years children with high caries experience: Flozenges (0.25 three times per day up to the age 16 years, then 0.25 mg, four to six times daily).

• During the first 3 years of life, and younger than 6 years, there is only a limited evidence regarding the effectiveness of F- supplement in preventing caries. The effectiveness of F- supplements, in caries prevention in primary teeth is weak, whereas in permanent teeth, the daily use of supplements prevents dental caries.

• The use of supplements during the first 6 years is associated with a significant increase in fluorosis.

Dental enamel comprised 96% mineral (by volume), similar to hydroxyapatite (HAp) (Ca10(PO4 )6 (OH)2 ), free (1%) and bound (2,6%) water (for a total of 3.6%), and organic components 0.4- 0.6 % , including proteins and lipids [1-5]. The spaces between the prisms and crystallites are filled with water and organic material, forming diffusion pathways for acids. Mineral components include fluoride ions. Tunnels have been evidenced, acting as ions exchangers [2,5]. Fluoride substitutions in the crystalline lattice induce very feeble variations of the crystallographic network. Gains in measurements indicate variations between a few millimeters and a few hundred angstroms. Calcium apatites are important in biology because they form the mineral part of bone and teeth that is essential to these structures. They take part in the mineralization process, and prevent caries. Fluorides increase the resistance of the mineral to acid dissolution [6,7].

Long-term exposure to low fluoride levels in the solution (such as between 0.01 and 10 ppm F) from either systemic or topical sources results in fluoride incorporation that would be defined as “firmly” bound fluoride, since it is part of the apatitic structure. This fluoride present in the solid phase is also known as fluorohydroxyapatite or “systemic” fluoride. With the increasing fluoride concentration, an additional chemical reaction with the formation of significant amounts of calcium fluoride (CaF2 or “CaF2 - like” material) begins to dominate. Fluoride concentrations ranging from 100-10,000 ppm F are required to produce CaF2 as a reaction product. These concentrations are present in topical applications, such as professional gels and varnishes, or over the counter toothpastes and mouth rinses (Figures 1-6).

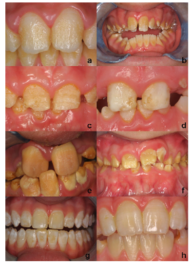
Figure 1: Dental fluorosis. (a) Mild fluorosis with slight accentuation of the perikymata, (b) moderate fluorosis, showing a white opaque appearance, (c) moderate, white opaque enamel with some discoloration and pitting, (d) severe fluorosis

Figure 1: Dental fluorosis. (a) Mild fluorosis with slight accentuation of the perikymata, (b) moderate fluorosis, showing a white opaque appearance, (c) moderate, white opaque enamel with some discoloration and pitting, (d) severe fluorosis

Fluorosis

Figure 2: Fluorosis

 Fluorosis

Figure 3: Fluorosis

 Fluorosis

Figure 4: Fluorosis

 Fluorosis

Figure 5: Fluorosis

 Fluorosis

Figure 6: Fluorosis

The Cariostatic effect of fluoride was attributed to the incorporation of fluoride in the hydroxyapatite crystal lattice and the reduced solubility of the so-formed fluoridated hydroxyapatite [6-9].

The current evidence from clinical and laboratory studies suggest that the caries-preventive mode of action of fluoride is mainly topical. Specifically, fluoride continually present in the oral fluids affects the demineralization and remineralization processes. Fluoride present in the solution surrounding the crystals (enamel fluid) in a sub-ppm range is able to adsorb to the surface of the carbonated apatite crystals, inhibiting demineralization [10].

Fluoride present in the oral fluids alters the rate of naturally occurring dissolution and reprecipitation processes. During tooth dissolution, chemical changes occur. The solubility of enamel powder increases dramatically with a decreased pH. A high concentration of fluoride in solution leads to low enamel dissolution. Occurring only in the solid phase, the solubility is only slightly affected. The enamel surface layer accumulating fluoride remains relatively intact, while the sub-surface enamel dissolves

There is an observed inhibitory effect of fluoride on remineralization to the above-mentioned effects of fluoride on crystal growth. The remaining porosity of the surface layer is sufficient to allow mass transfer to the deeper regions. Excesses of fluoride lead to anomalous apatite growth on the seeded surfaces. Progresses are observed in two discrete manners: (1) Crystal elongation along the c-axis is initiated by deposition of small protrusions on the basal plane, and (2) the growth reaction on the side prism planes is characterized by the advancement of growth. These steps are corresponding to one or a few unit-cell thicknesses.

Dentin structure and composition

Compared to enamel composition, in dentin the mineral phase is decreased and comprises only 70%. The water increases up to 10-12 % and organic components account for 20 %. Compared to enamel crystallites, the dentin crystallites have much smaller dimensions. Carbonate, magnesium, sodium, potassium, chloride, fluoride, potassium, sulfur, copper, silica, iron, and zinc are all included in the mineral phase. The following weight and molar ratio for enamel and dentin are Ca: P (weight) 2.08/2.07 and molar for both are 1.64. The network of HAp forms a hexagonal mesh, parallel to the c-axis, leaving, as it is the case for enamel, open tunnels. The diameter of the tunnel varies between 3 and 3.5 Å.

Intertubular dentin, peritubular dentin, and intraluminal mineralization constitute dentin compartments, which react differently to the carious decay. Tiny crystals, 70nm in length, 10nm thick are present along and between collagen fibrils in the intertubular dentin. Isodiametric crystals (a=b=25nm, c=9nm) load the homogeneous peritubular dentin. The lumen of the tubules is partially or totally closed by 100nm long needle-like crystals, which looks very similar to apatitic crystals, white lookite and/or amorphous calcium phosphate. Apatitic-like reprecipitations and occluded tubules containing various forms of calcium phosphate are especially numerous in the sclerotic zone. Beneath this layer, dentin looks “normal” and in the pulp, reparative or reactionary tertiary dentin and pulp stones (calcospherites) or diffuse mineralization are seen.

It is well documented that fluoride prevents a significant percentage of new lesions, and therefore contribute to the control of the disease. Early lesions may be detected and remineralization arrests the unfavorable evolution of the disease.

Topical fluoride ions, in the presence of calcium and phosphate ions, promote the formation of fluoroapatite by a process referred to as remineralization. The non-invasive treatment of early caries lesions by remineralization has the potential to be a major advance in the clinical management of the disease [7-10].

If the primary source is fluoridated water, the child will not require fluoride supplementation, even if he (or she) primarily drinks bottled water, because the teeth are exposed to fluoride through cooking and brushing. The risk of fluorosis is high if fluoride supplements are given to a child consuming fluoridated water. Caries is a disease caused by a group of oral streptococcal micro-organisms, comprised primarily of S. mutans that occurs in three phases:

1) Initial interaction with the tooth surface mediated by adhesions;

2) Accumulation of the bacteria in a biofilm and the production of glucose and glucanes by the bacterial enzyme glucosyl transferase;

3) The formation of lactic, pyruvic, acetic, propionic and butyric acids that excerpt noxious effects (demineralization) on enamel surfaces.

In adult, the role of systemic fluorides prevents caries among patients of all ages [10-12]. However, this role appears to be limited and primarily has a topical effect. Cariostatic mechanisms are linked to the oral environment, excerpt effects on plaque colonization, composition and metabolic activities, on mouth rinses, and water fluoridation. The slow dissolution of calcium fluoride deposited in initial caries lesions has for consequence to maintain the fluoride concentration locally for longer period of time Early childhood caries (ECC) appears to be a virulent form of dental caries, causing extensive rapid destruction of deciduous teeth. Other terms for such diseases are “baby bottle tooth decay” and/or “nursing caries”. Frequent consumption of sugar favors the establishment of cariogenic bacteria and provides continuous substrate that influences the initiation and progression of caries. Teeth become less susceptible to decay over time [13-17]. The enamel matures, incorporating orally available ions including fluoride. Therefore, a tooth is more susceptible to caries immediately after eruption until final maturation [17,19].

Topical fluoride ions, in the presence of calcium and phosphate ions, promote the formation of fluoroapatite in tooth enamel. Fluoride ions promote the formation of fluoroapatite in enamel in the presence of calcium and phosphate ions produced during enamel demineralization by plaque bacterial organic acids. This may be the major mechanism of fluoride ion’s action in preventing enamel demineralization [8]. Fluoride can also determinate the remineralization of previously demineralized enamel if enough salivary or plaque calcium and phosphate ions is available when fluoride is applied. The non-invasive treatment of early caries lesions by remineralization is a major advance in the clinical management of the disease. However, for every two fluoride ions, 10 calcium ions and six phosphate ions are required to form one unit cell of fluoroapatite [Ca10(PO4 )6 F2 ]. Following topical application of fluoride ions, the availability of calcium and phosphate ions can be the limiting factor for enamel remineralization [8-15].

Fluoride therapy in the prevention of dental caries has been is developed in the form of varnish, gel, mouth rinse, and toothpaste. The decline of caries has been attributed to the Cariostatic efficacy of fluoride. It has been recommended for the amount of drinking water 0.7µg/ml (ppm). This could vary between 0.7 ppm in warmer climate to 1.2 in cooler climates. Fluoride-containing products were introduced with extensive water, salt, and milk fluoridation. Gels, varnishes, rinses, and/or prophylaxis pastes may contribute to remineralization systems. (Figure 7,8) [1,7,21].

Structural changes occurring during tooth maturation

Figure 7: Structural changes occurring during tooth maturation

Fluoride apatite reaction (in blue HaP crystal, F- in black: fluoride ions are adsorbed onto the crystal)

Figure 8: Fluoride apatite reaction (in blue HaP crystal, F- in black: fluoride ions are adsorbed onto the crystal)

TOPICAL FLUORIDE

The panel of experts recommends topical fluoride agents only for people who are at elevated risk of developing dental caries [18-20]. A 2.26 % fluoride varnish (for children younger than 6 years) or 1.23 percent fluoride gel (APF) for patients 6 years-old or older may contribute efficiently to caries prevention.

Different fluoride compounds, different vehicles, and concentrations have been used with different frequencies and durations of application. These variables influence the clinical outcome with respect to caries prevention and management. The efficacy of topical fluoride in caries prevention depends on a) the concentration of fluoride used, b) the frequency and duration of application, and, c) the specific fluoride compound used.

For non-cavitated smooth surface carious lesions in a moderate caries-risk patient, the appropriate fluoride regimen would be semi-annual professional topical application of a fluoride varnish containing 5 percent NaF (22,600 ppm of fluoride). The patient should use daily for at least one minute a fluoridated dentifrice containing NaF, MFP, or SnF2 (1,000- 1,500 ppm of fluoride), and once daily for one minute a fluoride mouth rinse containing NaF % (230 ppm of fluoride). If the noncavitated carious lesion involves a pit or fissure, the application of an occlusal sealant would be the most appropriate preventive therapy.

In order to avoid unintentional ingestion and the risk of fluorosis in children less than six years of age, fluoride rinses and gels should not be used at home. Furthermore, when using a fluoride dentifrice, children should apply only a pea-size portion on the brush, should be instructed not to eat or swallow the paste, and should expectorate thoroughly after brushing. Tooth brushing should be done under parental supervision.

Effect of community water fluoridation

Water fluoridation shows a DMFS score decrease about 36% in patients aged 5-17 years. This oral route of administration has played a dominant role in the decline in caries (29% reduction of the tooth decay) and must continue to be a major prevention methodology [2].

As preventive agent, for pre-school children, the optimal fluoride level seems to be between 0.7 and 1.2ppm and should be climate dependent. For children aged between 3 to 5 years, less than 0.7ppm F- seems optimal. Above these values, dental fluorosis becomes prevalent [20-24].

The optimum level of artificially fluoridated water is around 1 ppm. The reduction of carious lesions varies between 40% to 70% in children and 40% to 60% in adults. A maximum concentration of 1.5 ppm fluoride in drinking water was set by the World Health Organization. Above 2ppm moderate to severe fluorosis was detected. Chronologically, the “window of vulnerability” to dental fluorosis involving the permanent anterior teeth lies between birth and the age of six years. This value of 0.05 mg F-/kg body weight is at the lower end of a range from 0.04 to 0.07mg F/kg, which has been reported as an optimal or threshold intake. The establishment of 1.0 ppm F- as the recommended optimum level was based on extensive epidemiological data. The recommendation of 1.0 mg F- supplements for children three years and older in nonfluoridated communities was based on estimated fluid intake, which may vary from day to day, but is relatively constant on a weekly basis, and is directly related to mean temperature.

Water fluoridation prevents about 27% of caries among adults of all ages. The development and implementation of fluoride programs assist all members of this group [23].

Opponents to water fluoration express concern about the quality and source of fluoride, claiming that the additives in their concentrated form are highly toxic and are by-products of the production of phosphate fertilizer and may include other contaminants, such as arsenic.

Fluoride tablets administration

In organizing a program for the administration of fluoride supplements, three approaches may be considered:

o Daily administration at home,

o Administration at school and in the kindergarten,

o A combination of home and school administration.

Toxic levels of fluoride are possible, particularly in children, as a result of ingesting large quantities of fluoride supplements. The toxic dose of elemental fluoride is 5 to 10 mg of fluoride per kilogram of body weight. Lethal doses in children have been calculated to be between 8 and 16 mg/kg. When prescribing sodium fluoride supplements, it is recommended to limit the quantity prescribed to no more than a 4-month supply [24-30].

Salt fluoridation

Among the multiple strategies related to caries prevention, water fluoridation, salt and milk fluoridation and the use of affordable fluoridated toothpastes play a major roles in public health. The salt fluoridisation programmes takes place in this context [27]. Salt may be used as a vehicle for fluoride. Domestic or table salts are taken within the limits of 150 to 300 µg per day. These values constitute the recommended limits for adults as well as adolescents [28].

The full potential of salt fluoridation is reached when most of the salt for human consumption is fluoridated. It is important to distribute fluoridated salt through channels used by the low socio-economic stratum.

Effects of topical application

Toothpastes, fluoride rinses, fluoride releasing varnish, evidenced preeruptive effects improving apatite crystallinity during the pre-eruptive maturation period are tools used for topical applications. Post-eruptive enamel maturation on remineralization of demineralized enamel produces a thermodynamically stable crystal that is more resistant to aciddissolution. Although crystallinity improvement and decreased solubility are phenomena that occur both pre- and posteruptively, the major post-eruptive effect of fluoride on dental enamel is the remineralization of previously demineralized enamel. Water fluoridation and fluoride dentifrices are the major sources of continuous fluoride action within the oral cavitv. While evidence supports both pre-eruptive and post-eruptive fluoride effects, current research favors greater role for post-eruptive fluoride [7,28-30].

The difference that a very small amount of fluoride (<1ppm) has upon demineralization and remineralization is remarkable. This may be accomplished with fluoridated toothpastes,supplemented with fluoride mouthrinses, CPP-ACP containing chewing gum, and application of fluoride varnishes. The role of systemic fluorides appears to be limited and primarily fluoride has a topical effect. Fluoride influences reaction rates with dissolution and transformation of various calcium phosphate mineral phases within tooth structure. The incorporation of minimal amounts of fluoride into HAP yields FHAP that resists demineralization to similar level as FAP.

Redistribution of fluoride released from the advancing front with deposition of fluoride-containing mineral phases within the surface zone and the body of the lesion may also occur. This results in an increased resistance to further acid attacks along the enamel surface. In addition, enamel caries has a higher uptake of fluoride from exogenous topical fluoride sources, when compared with sound enamel.

Topical fluoride mechanisms in reducing demineralization and enhancing remineralization include:

• An antimicrobial effect via inhibition of bacterial metabolic pathways following diffusion of hydrogen fluoride into bacteria.

• Desorption of bacteria from HAP and reduction in bacterial adherence to HAP.

• Elevation of plaque pH indirectly, limiting the action of SM and lactobacilli.

• Reduction in caries susceptibility of recently erupted teeth and root surfaces, via post-eruption maturation.

• Inhibition of demineralization of the HAP crystals of enamel and root surfaces.

• Enhance the remineralization process by acting as a “catalyst” and influencing the reaction rate in mineral phase formation and transformation.

• Exchange fluorine ions for hydroxyl ions in HAP and allow for lower critical pH for tooth mineral containing FHAP.

• Recharge fluoride-releasing preventive and restorative materials.

Clinical implications recommend the following for people at risk of developing dental caries:

o 2.26 percent fluoride varnish

o or 1.23 percent fluoride gel,

o or a prescription-strength, home-use 0.5 percent fluoride gel or paste

o or 0.09 percent fluoride mouthrinse for patients 6 years or older.

As part of the evidence-based approach to care, these clinical recommendations should be integrated with the practitioner’s judgment and the patient’s needs [8,31,32].

Toothpastes- (or dentifrices)

Most fluoride toothpastes contain as active ingredient sodium fluoride, sodium monofluorophosphate, or stannous fluoride as the active ingredient. High-concentration toothpaste (5000 ppm) is available by prescription only. Sodium fluoride can be recommended for children 6 years and older and adolescents who are at high risk of caries and are able to expectorate after brushing [33,34].

Fluoride mouthrinses

Originally they were available only on a prescription basis as a 0.05% NaF rinse (230 ppm F) used daily and 0.2% NaF rinse (920 ppm F) used weekly or fortnightly. Subsequently, several low -fluoride-concentration products (0.05% NaF rinse, 0.1% SnF2 rinse, APF rinse containing 0.2% F-, and a 0.1% SnF2 gel) were permitted to be sold on an over-the-counter basis. The efficacy of fluoride mouthrinses in caries reduction varies with the concentration used, the compliance of the patient, and whether the user is living in a fluoride-deficient or optimally fluoridated community. Generally, a caries reduction of about 30% has been reported when 10 mL of rinse was used for 60 s. [9].

The link between fluorides, dental caries and fluorosis, topical fluoride applications, fluoride toothpastes, and salt and milk fluoridation was established. Water fluoridation and use of fluoride toothpastes and mouthrinses significantly reduce the prevalence of dental caries.

Systematic reviews have established that:

1. Water fluoridation reduces the prevalence of dental caries (% with dmft /DMFT > 0) by 15% and in absolute terms by 2.2 dmft /DMFT.

2. Fluoride toothpastes and mouthrinses reduce the DMFS 3-year increment by 24-26%.

3. There is no credible evidence that water fluoridation is associated with any adverse health effects.

4. At certain concentrations of fluoride, water fluoridation is associated with an increased risk of unaesthetic dental fluorosis although further analysis suggested that the risk might be substantially greater in naturally fluoridated areas and less in artificially fluoridated areas.

5. There is a paucity of research into any possible adverse effects of fluoride toothpastes and rinses [10].

Fluoride varnishes

Three major fluoride varnishes are available [31,33-35]. On the basis of the percentage of fluoride, which was either 2.26 percent or 0.1 percent, studies were carried out in populations with various levels of dental caries. Although the panel found a benefit with 0.5 percent fluoride paste or gel treatment in children younger than 6 years, it judged that the potential for harm outweighed this benefit. Patients at low risk of developing caries may not need additional fluoride interventions, whereas caries in people at high risk appears at times to be refractory to additional intensive preventive interventions. For people at risk of developing dental caries, the recommended concentrations were 2.26 percent fluoride. Varnish was advised for children younger than 6 years [12,31-36].

For noncavitated smooth surface carious lesions for moderate caries-risk patients, the appropriate fluoride would be semi-annual professional topical application of a fluoride varnish containing 5 percent NaF (22,600 ppm of fluoride). In addition, the patient should use twice daily for at least one minute a fluoridated dentifrice containing NaF, MFP, or SnF (1,000- 1,500 ppm of fluoride), and once daily for one minute a fluoride mouthrinse containing 0.05 percent NaF (230 ppm of fluoride).

The management of the high caries-risk patient requires the use of several preventive interventions. Children should apply only a pea-size portion on the brush. They should be instructed not to eat or swallow the paste, and should expectorate thoroughly after brushing. Tooth brushing should be done under parental supervision [13]. Efficacy is related to the concentration of F used, the frequency, and the specific fluoride used. Many different fluoride agents have been tested for topical use in caries prevention and duration of the application. Caries reductions of 46 to 67% was observed in proximal surfaces.

The main product deposited on the enamel surface and on subsurface carious lesions after the application of topical vehicles with high fluoride content is calcium fluoride, or CaF2 . Topical vehicles with low fluoride concentration tend to deposit fluorapatite, or Ca10(PO4 )6 F2 While fluorapatite remains permanently bound within the crystalline structure, most of the CaF2 precipitates on the enamel surface. The antibacterial effect was weak. The main cariostatic effect of fluoride is caused by the remineralization of early carious lesions [14].

Silver diamine fluoride

It is an antimicrobial, promoting remineralization and the ammonia stabilizes high concentrations in solution. Silver diamine fluoride is a non-invasive procedure, quick and simple to use [35]. The carious lesion becomes black. There is no pulp damage. The progression of the carious lesion is arrested or slows down the rate of caries progression [17].

Silver diamine fluoride is used for caries arrest and treatment of dentin hypersensitivity. Topical applications result in development of a squamous layer, partially plugging dentinal tubules. Penetration in enamel is about 25 micrometers, and 50-200 micrometers into dentin. Topical applications of varnish twice a year (for 2 or 3 years) prevent caries. The administration of silver diamine fluoride at 0.95mg/kg per child leaves a relative safety margin. Silver diamine fluoride darkes carious lesions. Patients noted a transient metallic or bitter taste.

Remineralizing agents

An acidulated calcifying fluid (pH 5.0) was more effective than a neutral calcifying fluid (pH 7.0) in enhancing remineralization. Calcifying fluid with 1 mM calcium resulted in more remineralization than calcifying fluid with 3 mM calcium, while the higher concentration calcifying fluid resulted in a greater increase in the surface zone depth. This includes:

a) Combining remineralizing agents with fluoride to enhance fluoride’s anticaries effectiveness.

b) Combining remineralizing agents with a lower dosage of fluoride decrease the possibility of dental fluorosis in young children without losing effectiveness.

c) The use of remineralizing materials as independent agents with fluoride use in the background.

Delivery methods for remineralization materials include toothpastes, mouthrinses, gels, pastes, chewing gums, lozenges, foods and beverages. Casein phosphopeptide (CPP) amorphous calcium-phosphate (ACP) complexes increase the level of calcium phosphate in plaque, inhibit in situ demineralization of enamel, enhance in situ remineralization, and reduce caries activity. A chewing gum containing 2.5% α-tricalcium phosphate was also found to significantly increase the ion activity product of saliva with respect to hydroxyapatite.

Different topical agents have been applied clinically at high concentrations with the intent of arresting active caries lesions and/or prevent further caries progression. All the methods and concentration used were efficient [18].

Prevention should be adapted to the local situation (caries free- or caries-susceptible patients, the water level of fluoride and salt supplies), and topical fluor (toothpastes, mouth rinses, and varnishes), taking into account the risk of fluorosis in case of overdoses [19,36].

ENAMEL FLUOROSIS

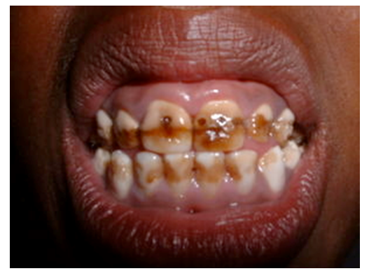
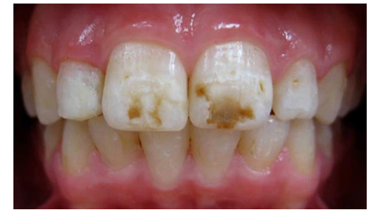
Fluorosis is the side effect of too high or repeated doses, either after systemic supplementations or after topical application. Teeth alterations start with white spots, that became brown and dark (e.g. in North Africa the so-called darmous). Structural alteration are also noted, namely hypomineralizations, pitting and loss of the enamel surface (bands of hypoplastic enamel). Radiolucent outer third of the enamel makes the fluorotic enamel very similar to the early carious decay (white-spot with a porous sub-surface) whereas deeper alterations appear with fluorosis (hypoplastic enamel) (Table 1) [37,38].

Table 1:  Classification of the clinical appearance of fluorotic enamel (Tooth fluorosis).

TF score 0

The normal transfluence of the glossy creamy white enamel remains after wiping and drying of the surface

TF score 1

Thin white opaque lines are seen running across the tooth surface. Such lines are found on all parts of the surface. The lines correspond to the position of the perikymata. In some cases, a slight "snowcapping" of cusps / incisal edges may also be seen

TF score 2

The opaque white lines are more pronounced and frequently merge to form small cloudy areas scattered over the whole surface. "Snowcapping" of incisal edges and cusp tips is common

TF score 3

Merging of the white lines occurs, and cloudy areas of opacity occur, spread over many parts of the surface

TF score 4

The entire surface exhibits a marked opacity or appears chalky white. Parts of the surface exposed to attrition or wear appear as being less affected

TF score 5

The entire surface is opaque, and there are round pits (focal loss of the outermost enamel) that are less than 2 mm in diameter

TF score 6

The small pits may frequently be seen merging in the opaque enamel to form bands that are less than 2 mm in vertical height

TF score 7

There is a loss of the outermost area, and less than half the surface is involved. The remaining intact enamel is opaque

TF score 8

The loss of the outermost enamel involves more than half the enamel. The remaining intact enamel is opaque

TF score 9

The loss of the major part of the outer enamel results in a changé of the anatomical shape of the surface/tooth. A cervical rim of opaque enamel is often noted

REFERENCES
  1. Trautz OR. Cristalline organization of dental mineral. In “Structural and chemical organization of teeth” AEW Miles editor. 1967; 165-200.
  2. Montel G. Conceptions actuelles sur la structure et la constitution des apatites synthétiques comparables aux apatites biologiques. Colloques Internationaux CNRS. N° 230- Physicochimie et ristallographie des apatites d’intéret biologique. 1975; 13-18.
  3. Aoba T. The effect of fluoride on apatite structure and growth. Crit Rev Oral Biol Med. 1997; 8: 136-153.
  4. Elliott JC. Structure, crystal chemistry and density of enamel apatites. Ciba Found Symp. 1997; 205: 54-67.
  5. Mathew M, Takagi S. Structures of biological minerals in dental research. J Res Natl Inst Stand Technol. 2001; 106: 1035-1044.
  6. Ten Cate JM, Featherstone JDB. Mechanistic aspects of the interactions between fluoride and dental enamel. Crit Rev Oral Biol Medicine. 1991; 2: 283-296.
  7. Featherstone JDB. Dental caries: a dynamic disease process. Aust Dent J. 2008; 53: 286-291.
  8. Gonzalez-Cabezas C. The chemistry of caries: remineralization and demineralization events with direct clinical relevance. Dent Clin N Am. 2010; 54: 469-478.
  9. Anusavice KJ. Present and future approaches for the control of caries. J Dent Education. 2005; 69: 538- 554.
  10. Featherstone JDB. The science and practice of caries prevention. J Am Dent Assoc. 2000; 131: 887-899.
  11. Arends J, Jongebloed WL. Ultrastructural studies of synthetic apatite crystals. J Dent Res. 1979; 58: 837-842.
  12. Fejerskov O, Thylstrup A, Larsen MJ. Rational use of fluorides in caries prevention. A concept based on possible cariostatic mechanisms. Acta Odontol Scand. 1981; 39: 241-249.
  13. Twetman S, Axelson S, Dahlgren H, Holm A-K, Källestäl C, Lagerlof F, et al. Caries-preventive effect of fluoride toothpaste: a systematic review. Acta Odontol Scand. 2003; 61: 347- 355.
  14. Wong MCM, Clarkson J, Glenny AM, Lo ECM, Marinho VCC, Tsong BWK, et al. Cochranee Review on the benefits/risks of fluoride toothpastes. J Dent Res. 2011; 90: 573-579.
  15. Newbrun E. Topical fluorides in caries prevention and management: a North American perspective. J Dent Educ. 2001; 65: 1078- 1083.
  16. Chen H, Czajka-Jakubbowska A, Spencer NJ, Mansfield JF, Robinson C, Clarkson BH. Effects of systemic fluoride and in vitro fluoride treatment on enamel crystals. J Dent Res. 2006; 85: 1042-1045.
  17. Lyaruu DM, Medina JF, Sarvide S, Bervoets TJM, Evert V, DenBesten P, et al. Barrier formation: potential molecular mechanism of enamel fluorosis. J Dent Res. 2014; 93; 96-102.
  18. Dean HT. Endemic fluorosis and its relation to dental caries. Public Health Rep. 1938; 121: 213-219.
  19. DenBesten P, Li W. Chronic fluoride toxicity: dental fluorosis. Monogr Oral Sci. 2011; 22: 81-96.
  20. Rozier RG, Adair S, Graham F, Iafolla T, Kingman A, Kohn W, et al. Evidence-based clinical recommendations on the prescription of dietary fluoride supplements for caries prevention- a report of the American Dental Association Council on Scientific Affairs. J Am. Dent Assoc. 2010; 141: 1480-1489.
  21. Ten Cate JM. Contemporary perspective on the use of fluoride products in caries prevention. Br Dent J. 2013; 214: 161-167.
  22. Griffin SO, Regnier E, Griffin PM, Huntley V. Effectiveness of fluoride in preventing caries in adults. J Dent Res. 2007; 86: 410-415.
  23. Clark MB, Slayton RL. Fluoride use in caries prevention in the primary care setting. Pediatrics. 2014; 134: 626-633.
  24. Fan Y, Sun Z, Moradian-Oldak J. Controlled remineralization of enamel in the presence of amelogenin and fluoride. Biomaterials. 2009; 30: 478-483.
  25. Gonzalez-Cabezas C. The chemistry of caries: remineralization and demineralization events with direct clinical relevance. Dent Clin N Am. 2010; 54: 469-478.
  26. Reynolds EC. Calcium phosphate-based remineralization systems: scientific evidence? Aust Dent J. 2008; 53: 268-273.
  27. Marthaler TM, Petersen PE. Salt fluoridation- an alternativer in automatic prevention of dental caries. Int Dent J. 2005; 55: 351-358.
  28. Brunelle JA, Carlos JP. Recent trends in dental caries in U.S. children and the effect of water fluoridation. J Dent Res. 1990; 69: 723-727.
  29. Newbrun E. Current regulations and recommendations concerning water fluoridation, fluoride supplements, and topical fluoride agents. J Dent Res. 1992; 71: 1255-1265.
  30. Petersen PE, Lennon MA. Effective use of fluorides for the prevention of dental caries in the 21st century: the WHO approach. Community Dent Oral Epidemiol. 2004; 32: 319-321.
  31. Beltran-Aguilar ED, Goldstein JW, Lockwood SA. Fluoride varnishes. A review of their clinical use, cariostatic mechanism, efficacy and safety. J Am Dent Assoc. 2000; 131: 589- 596.
  32. Weyant RJ, Tracy SL, Anselmo T, Beltran-Aguilar ED, Kevin J Donly, William A Frese, et al. Topical fluoride for caries prevention. J Am Dent Assoc. 2013; 144: 1279-1291.
  33. Newbrun E. Topical fluorides in caries prevention and management: a North American perspective. J Dent Educ. 2001; 65: 1078-1083.
  34. Horst JA, Ellenikiotis H, Milgrom PM. UCSF protocol for caries arrest using silver diamine fluoride: rationale, indications, and consent. J Calif Dent Assoc. 2016; 44: 16-28.
  35. Chu CH, Lo ECM. Promoting caries arrest in children with silver diamine fluoride: a review. Oral Health Prev Dent. 2008; 6: 315-321.
  36. Zero DT. Dentifrices, mouthwashes, and remineralization/caries arrestment strategies. BMC Oral Health. 2006; 6: 9-22.
  37. Thylstrup A, Fejerskov O. Clinical appearance of dental fluorosis in permanent teeth in relation to histological changes. Community Dent Oral Epidemiol. 1978; 6: 315-328.
  38. Fejerskov O, Larsen MJ, Richards A, Baelum V. Dental tissue effects of fluoride. Adv Dent Res. 1994; 8: 15-31.

Goldberg M (2020) Fluorides in Dental Tissues: Caries Prevention and Fluorosis. JSM Dent 8(1): 1123.

Received : 08 Jan 2020
Accepted : 05 Feb 2020
Published : 07 Feb 2020
Journals
Annals of Otolaryngology and Rhinology
ISSN : 2379-948X
Launched : 2014
JSM Schizophrenia
Launched : 2016
Journal of Nausea
Launched : 2020
JSM Internal Medicine
Launched : 2016
JSM Hepatitis
Launched : 2016
JSM Oro Facial Surgeries
ISSN : 2578-3211
Launched : 2016
Journal of Human Nutrition and Food Science
ISSN : 2333-6706
Launched : 2013
JSM Regenerative Medicine and Bioengineering
ISSN : 2379-0490
Launched : 2013
JSM Spine
ISSN : 2578-3181
Launched : 2016
Archives of Palliative Care
ISSN : 2573-1165
Launched : 2016
JSM Nutritional Disorders
ISSN : 2578-3203
Launched : 2017
Annals of Neurodegenerative Disorders
ISSN : 2476-2032
Launched : 2016
Journal of Fever
ISSN : 2641-7782
Launched : 2017
JSM Bone Marrow Research
ISSN : 2578-3351
Launched : 2016
JSM Mathematics and Statistics
ISSN : 2578-3173
Launched : 2014
Journal of Autoimmunity and Research
ISSN : 2573-1173
Launched : 2014
JSM Arthritis
ISSN : 2475-9155
Launched : 2016
JSM Head and Neck Cancer-Cases and Reviews
ISSN : 2573-1610
Launched : 2016
JSM General Surgery Cases and Images
ISSN : 2573-1564
Launched : 2016
JSM Anatomy and Physiology
ISSN : 2573-1262
Launched : 2016
JSM Dental Surgery
ISSN : 2573-1548
Launched : 2016
Annals of Emergency Surgery
ISSN : 2573-1017
Launched : 2016
Annals of Mens Health and Wellness
ISSN : 2641-7707
Launched : 2017
Journal of Preventive Medicine and Health Care
ISSN : 2576-0084
Launched : 2018
Journal of Chronic Diseases and Management
ISSN : 2573-1300
Launched : 2016
Annals of Vaccines and Immunization
ISSN : 2378-9379
Launched : 2014
JSM Heart Surgery Cases and Images
ISSN : 2578-3157
Launched : 2016
Annals of Reproductive Medicine and Treatment
ISSN : 2573-1092
Launched : 2016
JSM Brain Science
ISSN : 2573-1289
Launched : 2016
JSM Biomarkers
ISSN : 2578-3815
Launched : 2014
JSM Biology
ISSN : 2475-9392
Launched : 2016
Archives of Stem Cell and Research
ISSN : 2578-3580
Launched : 2014
Annals of Clinical and Medical Microbiology
ISSN : 2578-3629
Launched : 2014
JSM Pediatric Surgery
ISSN : 2578-3149
Launched : 2017
Journal of Memory Disorder and Rehabilitation
ISSN : 2578-319X
Launched : 2016
JSM Tropical Medicine and Research
ISSN : 2578-3165
Launched : 2016
JSM Head and Face Medicine
ISSN : 2578-3793
Launched : 2016
JSM Cardiothoracic Surgery
ISSN : 2573-1297
Launched : 2016
JSM Bone and Joint Diseases
ISSN : 2578-3351
Launched : 2017
JSM Bioavailability and Bioequivalence
ISSN : 2641-7812
Launched : 2017
JSM Atherosclerosis
ISSN : 2573-1270
Launched : 2016
Journal of Genitourinary Disorders
ISSN : 2641-7790
Launched : 2017
Journal of Fractures and Sprains
ISSN : 2578-3831
Launched : 2016
Journal of Autism and Epilepsy
ISSN : 2641-7774
Launched : 2016
Annals of Marine Biology and Research
ISSN : 2573-105X
Launched : 2014
JSM Health Education & Primary Health Care
ISSN : 2578-3777
Launched : 2016
JSM Communication Disorders
ISSN : 2578-3807
Launched : 2016
Annals of Musculoskeletal Disorders
ISSN : 2578-3599
Launched : 2016
Annals of Virology and Research
ISSN : 2573-1122
Launched : 2014
JSM Renal Medicine
ISSN : 2573-1637
Launched : 2016
Journal of Muscle Health
ISSN : 2578-3823
Launched : 2016
JSM Genetics and Genomics
ISSN : 2334-1823
Launched : 2013
JSM Anxiety and Depression
ISSN : 2475-9139
Launched : 2016
Clinical Journal of Heart Diseases
ISSN : 2641-7766
Launched : 2016
Annals of Medicinal Chemistry and Research
ISSN : 2378-9336
Launched : 2014
JSM Pain and Management
ISSN : 2578-3378
Launched : 2016
JSM Women's Health
ISSN : 2578-3696
Launched : 2016
Clinical Research in HIV or AIDS
ISSN : 2374-0094
Launched : 2013
Journal of Endocrinology, Diabetes and Obesity
ISSN : 2333-6692
Launched : 2013
Journal of Substance Abuse and Alcoholism
ISSN : 2373-9363
Launched : 2013
JSM Neurosurgery and Spine
ISSN : 2373-9479
Launched : 2013
Journal of Liver and Clinical Research
ISSN : 2379-0830
Launched : 2014
Journal of Drug Design and Research
ISSN : 2379-089X
Launched : 2014
JSM Clinical Oncology and Research
ISSN : 2373-938X
Launched : 2013
JSM Bioinformatics, Genomics and Proteomics
ISSN : 2576-1102
Launched : 2014
JSM Chemistry
ISSN : 2334-1831
Launched : 2013
Journal of Trauma and Care
ISSN : 2573-1246
Launched : 2014
JSM Surgical Oncology and Research
ISSN : 2578-3688
Launched : 2016
Annals of Food Processing and Preservation
ISSN : 2573-1033
Launched : 2016
Journal of Radiology and Radiation Therapy
ISSN : 2333-7095
Launched : 2013
JSM Physical Medicine and Rehabilitation
ISSN : 2578-3572
Launched : 2016
Annals of Clinical Pathology
ISSN : 2373-9282
Launched : 2013
Annals of Cardiovascular Diseases
ISSN : 2641-7731
Launched : 2016
Journal of Behavior
ISSN : 2576-0076
Launched : 2016
Annals of Clinical and Experimental Metabolism
ISSN : 2572-2492
Launched : 2016
Clinical Research in Infectious Diseases
ISSN : 2379-0636
Launched : 2013
JSM Microbiology
ISSN : 2333-6455
Launched : 2013
Journal of Urology and Research
ISSN : 2379-951X
Launched : 2014
Journal of Family Medicine and Community Health
ISSN : 2379-0547
Launched : 2013
Annals of Pregnancy and Care
ISSN : 2578-336X
Launched : 2017
JSM Cell and Developmental Biology
ISSN : 2379-061X
Launched : 2013
Annals of Aquaculture and Research
ISSN : 2379-0881
Launched : 2014
Clinical Research in Pulmonology
ISSN : 2333-6625
Launched : 2013
Journal of Immunology and Clinical Research
ISSN : 2333-6714
Launched : 2013
Annals of Forensic Research and Analysis
ISSN : 2378-9476
Launched : 2014
JSM Biochemistry and Molecular Biology
ISSN : 2333-7109
Launched : 2013
Annals of Breast Cancer Research
ISSN : 2641-7685
Launched : 2016
Annals of Gerontology and Geriatric Research
ISSN : 2378-9409
Launched : 2014
Journal of Sleep Medicine and Disorders
ISSN : 2379-0822
Launched : 2014
JSM Burns and Trauma
ISSN : 2475-9406
Launched : 2016
Chemical Engineering and Process Techniques
ISSN : 2333-6633
Launched : 2013
Annals of Clinical Cytology and Pathology
ISSN : 2475-9430
Launched : 2014
JSM Allergy and Asthma
ISSN : 2573-1254
Launched : 2016
Journal of Neurological Disorders and Stroke
ISSN : 2334-2307
Launched : 2013
Annals of Sports Medicine and Research
ISSN : 2379-0571
Launched : 2014
JSM Sexual Medicine
ISSN : 2578-3718
Launched : 2016
Annals of Vascular Medicine and Research
ISSN : 2378-9344
Launched : 2014
JSM Biotechnology and Biomedical Engineering
ISSN : 2333-7117
Launched : 2013
Journal of Hematology and Transfusion
ISSN : 2333-6684
Launched : 2013
JSM Environmental Science and Ecology
ISSN : 2333-7141
Launched : 2013
Journal of Cardiology and Clinical Research
ISSN : 2333-6676
Launched : 2013
JSM Nanotechnology and Nanomedicine
ISSN : 2334-1815
Launched : 2013
Journal of Ear, Nose and Throat Disorders
ISSN : 2475-9473
Launched : 2016
JSM Ophthalmology
ISSN : 2333-6447
Launched : 2013
Journal of Pharmacology and Clinical Toxicology
ISSN : 2333-7079
Launched : 2013
Annals of Psychiatry and Mental Health
ISSN : 2374-0124
Launched : 2013
Medical Journal of Obstetrics and Gynecology
ISSN : 2333-6439
Launched : 2013
Annals of Pediatrics and Child Health
ISSN : 2373-9312
Launched : 2013
JSM Clinical Pharmaceutics
ISSN : 2379-9498
Launched : 2014
JSM Foot and Ankle
ISSN : 2475-9112
Launched : 2016
JSM Alzheimer's Disease and Related Dementia
ISSN : 2378-9565
Launched : 2014
Journal of Addiction Medicine and Therapy
ISSN : 2333-665X
Launched : 2013
Journal of Veterinary Medicine and Research
ISSN : 2378-931X
Launched : 2013
Annals of Public Health and Research
ISSN : 2378-9328
Launched : 2014
Annals of Orthopedics and Rheumatology
ISSN : 2373-9290
Launched : 2013
Journal of Clinical Nephrology and Research
ISSN : 2379-0652
Launched : 2014
Annals of Community Medicine and Practice
ISSN : 2475-9465
Launched : 2014
Annals of Biometrics and Biostatistics
ISSN : 2374-0116
Launched : 2013
JSM Clinical Case Reports
ISSN : 2373-9819
Launched : 2013
Journal of Cancer Biology and Research
ISSN : 2373-9436
Launched : 2013
Journal of Surgery and Transplantation Science
ISSN : 2379-0911
Launched : 2013
Journal of Dermatology and Clinical Research
ISSN : 2373-9371
Launched : 2013
JSM Gastroenterology and Hepatology
ISSN : 2373-9487
Launched : 2013
Annals of Nursing and Practice
ISSN : 2379-9501
Launched : 2014
Author Information X