Loading

JSM Dentistry

In-Office Tooth Bleaching Treatment Using Light-Activated Hydrogen Peroxide Agent: A Case Report

Case Report | Open Access | Volume 2 | Issue 1

  • 1. Department of Operative Dentistry, School of Dentistry, Federal University of Pelotas, Brazil
  • 2. Private Dental Clinician, Porto Alegre, Rio Grande do Sul, Brazil
+ Show More - Show Less
Corresponding Authors
Eliseu Aldrighi Münchow, Department of Operative Dentistry, School of Dentistry, Federal University of Pelotas, Pelotas, Rio Grande do Sul, Brazil, 96015-560, Tel: 55 53 32226690 / 135;
Abstract

 Tooth bleaching has become a popular cosmetic treatment among patients that want to enhance their esthetic appearance. In addition, light-activated bleaching gels have been growing among dental professionals mainly due to the fastening of the whitening procedure and/or therapeutic purposes. Thus, the objective of this case report was to present the bleaching protocol and efficacy of a light-activated bleaching agent. A 35% hydrogen peroxide gel (Lase Peroxide Sensy, DMC Equipments, Brazil) was applied following the manufacturer directions and using a hybrid light-laser source (Whitening Lase II, DMC). After the bleaching procedure, a satisfactory whitening effect was achieved. Therefore, tooth bleaching using light-activated materials is effective and mayaccelerate the whitening process.

Keywords

• Tooth bleaching

• Hydrogen peroxide agent

• Light-activation

Citation

Münchow EA, Martini T, Valente LL, Isolan CP, Piva E (2014) In-Office Tooth Bleaching Treatment Using Light-Activated Hydrogen Peroxide Agent: A Case Report. JSM Dent 2(1): 1020.

INTRODUCTION

Tooth bleaching treatments have emerged in dentistry with a unique but important purpose: to white darkened or stained teeth. Currently, two modalities are available, namely the in-office and the home-use regimens where the former uses materials applied by the professional and the latter one those self-applied by the patients [1]. Notwithstanding, both treatments use hydrogen or carbamide peroxide-based agents, which have been demonstrating effectiveness in whitening stained teeth, even those severely discolored [2,3]. Despite of differences regarding the type and concentration of material used, bleaching agents also differ in the way they are applied [4]. While some products do not need an additional activation procedure, several bleaching agents have been currently marketed with supplementary light sources in an attempt of enhance the bleaching efficacy and/ or reduce post-sensitivity side-effects. Nevertheless, according to a systematic review the benefit of the additional use of light is limited [3], and several studies have been demonstrating conflicted results [5-9]. Additionally, another systematic review has concluded that light increases the risk of tooth sensitivity without improving the bleaching effect [10].

Independently of bringing or not benefits to the bleaching treatment, light activated bleaching products are very attractive because they accelerate the clinical procedure by reducing the material’s total time of application and because sometimes the light source presents a laser component, which is associated to therapeutic effect that may reduce inflammatory response and/ or tooth sensitivity [3]. Hence, the aim of this case report was to present the bleaching protocol and efficacy of a light-activated bleaching agent.

CASE HISTORY

A 24-years-old female was referred to the Department of Operative Dentistry looking for dental bleaching treatment. It was the first time she requested for this cosmetic procedure, and after anamneses and clinical examination it was observed that the patient had her teeth only moderately yellowed (Figure 1) with no report of high consumption of coffee, tea or wine.

Initial case – the patient had her teeth moderately yellowed.

Figure 1 Initial case – the patient had her teeth moderately yellowed.

Notwithstanding, she insisted on receiving the bleaching treatment, so an in-office bleaching regimen was suggested. First the tooth color shade was verified using a color shade guide (Vitapan Classical) by visual examination, and the color shade B2 was chosen as the best match with the patient’s natural teeth (Figure 2).

 Color shade selection using the color shade guide (Vitapan Classical).  The shade B2 was chosen.

Figure 2 Color shade selection using the color shade guide (Vitapan Classical). The shade B2 was chosen.

Next, OptraGate (Ivoclair Vivadent, Amherst, NY, USA) was used to ensure relative isolation and to provide a full view of the anterior and posterior teeth, and Lase Protect (DMC Equipments, São Carlos, SP, Brazil) was applied at the contour of the gingival tissue in an attempt to avoid the contact between the bleaching gel and the gingiva (Figure 3).

Relative isolation performed using OptraGate (Ivoclair) and gingival  protection using Lase Protect (DMC Equipments).

Figure 3 Relative isolation performed using OptraGate (Ivoclair) and gingival protection using Lase Protect (DMC Equipments).

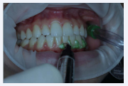
Then, the 35% Lase Peroxide Sensy bleaching agent (DMC), which is a hydrogen peroxide-based gel, was applied following the manufacturer directions: 39 drops of peroxide (phase 1) was mixed to 13 drops of thickener (phase 2) with the aid of a spatula and the mixture was applied using a syringe, covering the buccal surface of all anterior teeth plus the pre-molar ones (Figure 4-a); the gel was then irradiated with the Whitening Lase II hybrid light source (DMC) for 6 minutes (Figure 4-b), and after 10 minutes of application, the gel changed its color (Figure 4-c), denoting that it has lost its active state; finally, the gel was removed from the tooth surface with an aspirator tip and cleaned with some gauze (Figure 4-d), and the bleaching gel was newly applied following the same protocol aforementioned.

Bleaching protocol for each application of the 35% Lase Peroxide  Sensy gel: after mixture of phases 1 and 2 the gel was applied with the aid of  a syringe, covering the buccal surface of premolars and anterior teeth (a); next  the gel was irradiated with the Whitening Lase II hybrid light source (DMC  Equipments) for 6 minutes (b); after 10 minutes of contact between the gel  and the teeth, the former changed its color (c); so the gel was removed from  the teeth surfaces with an aspirator tip and cleaned with some gauze (d). The  clinical steps from “a” to “d” were repeated.

Figure 4 Bleaching protocol for each application of the 35% Lase Peroxide Sensy gel: after mixture of phases 1 and 2 the gel was applied with the aid of a syringe, covering the buccal surface of premolars and anterior teeth (a); next the gel was irradiated with the Whitening Lase II hybrid light source (DMC Equipments) for 6 minutes (b); after 10 minutes of contact between the gel and the teeth, the former changed its color (c); so the gel was removed from the teeth surfaces with an aspirator tip and cleaned with some gauze (d). The clinical steps from “a” to “d” were repeated.

After the second application of the bleaching gel, it could be observed a satisfactory whitening of the teeth, where before the bleaching treatment the patient’s color shade was matched as B2 (Figure 5-a) and right after the bleaching procedure it was whitened to the BL3 color shade (Figure 5-b).

Immediate post-bleaching visualization of the whitening effect  achieved with the bleaching treatment by positioning the initial color shade  selected (B2) over the bleached teeth (a); and new color shade achieved (BL3,  Vitapan Classical) (b).

Figure 5 Immediate post-bleaching visualization of the whitening effect achieved with the bleaching treatment by positioning the initial color shade selected (B2) over the bleached teeth (a); and new color shade achieved (BL3, Vitapan Classical) (b).

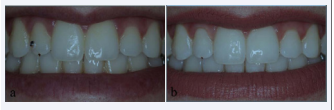
The initial and final images of this case report are shown in Figure 6 (a and b, respectively).

Initial (a) and final (b) images from the present case report. The final  photo was taken after one week of bleaching treatment.

Figure 6 Initial (a) and final (b) images from the present case report. The final photo was taken after one week of bleaching treatment.

DISCUSSION

Tooth bleaching has become popular in dentistry, and people have been increasingly requesting for this cosmetic treatment. The patient from the present case report was young and her teeth were not extremely darkened (Figure 2), as a B2 color shade is one of the whitest possible shades. However, the patient was anxious for having whiter teeth. Considering that only a yellowish staining pattern was present, the in-office tooth bleaching regimen was suggested, which was promptly accepted by the patient. In-office regimens generally results in faster whitening effect, mainly due to the high concentrated gels used when compared to the home-use regimen, which uses materials with low peroxide concentration but during higher periods of application [11]. Bleaching agents act by an oxidation process of the pigments adhered to the enamel or dentin substrates [12] or by oxidizing the dental organic matrix [13]. Consequently, they act by contact, and according to previous reports bleaching agents are powerful substances that may produce allergenic reactions when they enter in contact with soft tissues, mainly gingiva and lips [14,15]. Thus, two protective products were used in the present case report: the OptraGate and the gingival barrier Lase Protect (Figure 3), which had satisfactorily protected the lips and the gingival tissues, respectively.

Tooth bleaching treatment using in-office materials are commonly applied for approximately 45 minutes per each clinical meeting. Interestingly, the product used in the present case report (Lase Peroxide Sensy) was applied for only 20 minutes (two applications of 10 minutes each) since it is light-irradiated, fact that accelerates the whitening process [16]. It could be observed a satisfactory whitening outcome, where the patient was satisfied with the result achieved. Moreover, reducing the time that the patient is under treatment is extremely important because neither the clinician nor the patient get tired and clinical time is saved for meeting up more patients.

Even though light-activated bleaching agents are commonly associated to higher tooth sensitivity, mainly because it is believed that the light may heat the tooth leading to possible pulp injuries [3], the present case report had no sign of post-bleaching sensitivity, as stated by the patient itself in the next clinical meeting. This may have occurred probably due to the laser component of the Whitening Lase II hybrid light source used to irradiate the gel. Therefore, the combination of light sources (at least that used in this report) with dental bleaching agents is an interesting option to bleaching treatments, demonstrating satisfactory results.

Bleaching is a procedure that removes staining substances from the tooth surface. Considering this, the consumption of staining substances (e.g., coffee, tea, wine) after bleaching may promote a faster darkening of the substrate, vanishing with the whitening effect. Notwithstanding, our patient has related no high consumption of these substances. According to a doubleblind randomized clinical trial (followed-up for 2-years) patient’s reported that their tooth shade relapsed from mild to moderate when compared to the 1-month evaluation [17]. This shows that bleaching is a procedure that should be repeated after some period of time, since the patient’s dietary behavior may individually imply in faster or slower darkening of teeth. In contrast, the study of Giachetti et al. [18] resulted in satisfactory and long-lasting (nine-month follow-up) bleaching, showing that this esthetic procedure may be considered an effective treatment.

 

CONCLUSION

The bleaching treatment using the light-irradiated bleaching product reported in this case report has demonstrated efficacy and no post-bleaching sensitivity, showing that light may be an interesting complimentary procedure in the fastening of the whitening process.

REFERENCES

1. Demarco FF, Meireles SS, Masotti AS. Over-the-counter whitening agents: a concise review. Braz Oral Res. 2009; 23 Suppl 1: 64-70.

2. Bonafé E, Bacovis CL, Iensen S, Loguercio AD, Reis A, Kossatz S. Tooth sensitivity and efficacy of in-office bleaching in restored teeth. J Dent. 2013; 41: 363-369.

3. Buchalla W, Attin T. External bleaching therapy with activation by heat, light or laser--a systematic review. Dent Mater. 2007; 23: 586- 596.

4. Matis BA, Cochran MA, Eckert G. Review of the effectiveness of various tooth whitening systems. Oper Dent. 2009; 34: 230-235.

5. Alomari Q, El Daraa E. A randomized clinical trial of in-office dental bleaching with or without light activation. J Contemp Dent Pract. 2010; 11: E017-024.

6. Kugel G, Ferreira S, Sharma S, Barker ML, Gerlach RW. Clinical trial assessing light enhancement of in-office tooth whitening. J Esthet Restor Dent. 2009; 21: 336-347.

7. Marson FC, Sensi LG, Vieira LC, Araújo E. Clinical evaluation of inoffice dental bleaching treatments with and without the use of lightactivation sources. Oper Dent. 2008; 33: 15-22.

8. Mondelli RF, Azevedo JF, Francisconi AC, Almeida CM, Ishikiriama SK. Comparative clinical study of the effectiveness of different dental bleaching methods - two year follow-up. J Appl Oral Sci. 2012; 20: 435- 443.

9. Ontiveros JC, Paravina RD. Color change of vital teeth exposed to bleaching performed with and without supplementary light. J Dent. 2009; 37: 840-847.

10. He LB, Shao MY, Tan K, Xu X, Li JY. The effects of light on bleaching and tooth sensitivity during in-office vital bleaching: a systematic review and meta-analysis. J Dent. 2012; 40: 644-653.

11. Marshall K, Berry TG, Woolum J. Tooth whitening: current status. Compend Contin Educ Dent. 2010; 31: 486-492, 494-5.

12. Villalta P, Lu H, Okte Z, Garcia-Godoy F, Powers JM. Effects of staining and bleaching on color change of dental composite resins. J Prosthet Dent. 2006; 95: 137-142.

13. Eimar H, Siciliano R, Abdallah MN, Nader SA, Amin WM, Martinez PP, et al. Hydrogen peroxide whitens teeth by oxidizing the organic structure. J Dent. 2012; 40 Suppl 2: e25-33.

14. Volk J, Leyhausen G, Dogan S, Geurtsen W. Additive effects of TEGDMA and hydrogenperoxide on the cellular glutathione content of human gingival fibroblasts. Dent Mater. 2007; 23: 921-926.

15. Yoshida A, Yoshino F, Makita T, Maehata Y, Higashi K, Miyamoto C, et al. Reactive oxygen species production in mitochondria of human gingival fibroblast induced by blue light irradiation. J Photochem Photobiol B. 2013; 129: 1-5.

16. Mondelli RF, Azevedo JF, Francisconi AC, Almeida CM, Ishikiriama SK. Comparative clinical study of the effectiveness of different dental bleaching methods - two year follow-up. J Appl Oral Sci. 2012; 20: 435- 443.

17. Meireles SS, Santos IS, Bona AD, Demarco FF. A double-blind randomized clinical trial of two carbamide peroxide tooth bleaching agents: 2-year follow-up. J Dent. 2010; 38: 956-963.

18. Giachetti L, Bertini F, Bambi C, Nieri M, Scaminaci Russo D. A randomized clinical trial comparing at-home and in-office tooth whitening techniques: A nine-month follow-up. J Am Dent Assoc. 2010; 141: 1357-1364

Münchow EA, Martini T, Valente LL, Isolan CP, Piva E (2014) In-Office Tooth Bleaching Treatment Using Light-Activated Hydrogen Peroxide Agent: A Case Report. JSM Dent 2(1): 1020.

Received : 02 Dec 2013
Accepted : 04 Dec 2013
Published : 23 Dec 2013
Journals
Annals of Otolaryngology and Rhinology
ISSN : 2379-948X
Launched : 2014
JSM Schizophrenia
Launched : 2016
Journal of Nausea
Launched : 2020
JSM Internal Medicine
Launched : 2016
JSM Hepatitis
Launched : 2016
JSM Oro Facial Surgeries
ISSN : 2578-3211
Launched : 2016
Journal of Human Nutrition and Food Science
ISSN : 2333-6706
Launched : 2013
JSM Regenerative Medicine and Bioengineering
ISSN : 2379-0490
Launched : 2013
JSM Spine
ISSN : 2578-3181
Launched : 2016
Archives of Palliative Care
ISSN : 2573-1165
Launched : 2016
JSM Nutritional Disorders
ISSN : 2578-3203
Launched : 2017
Annals of Neurodegenerative Disorders
ISSN : 2476-2032
Launched : 2016
Journal of Fever
ISSN : 2641-7782
Launched : 2017
JSM Bone Marrow Research
ISSN : 2578-3351
Launched : 2016
JSM Mathematics and Statistics
ISSN : 2578-3173
Launched : 2014
Journal of Autoimmunity and Research
ISSN : 2573-1173
Launched : 2014
JSM Arthritis
ISSN : 2475-9155
Launched : 2016
JSM Head and Neck Cancer-Cases and Reviews
ISSN : 2573-1610
Launched : 2016
JSM General Surgery Cases and Images
ISSN : 2573-1564
Launched : 2016
JSM Anatomy and Physiology
ISSN : 2573-1262
Launched : 2016
JSM Dental Surgery
ISSN : 2573-1548
Launched : 2016
Annals of Emergency Surgery
ISSN : 2573-1017
Launched : 2016
Annals of Mens Health and Wellness
ISSN : 2641-7707
Launched : 2017
Journal of Preventive Medicine and Health Care
ISSN : 2576-0084
Launched : 2018
Journal of Chronic Diseases and Management
ISSN : 2573-1300
Launched : 2016
Annals of Vaccines and Immunization
ISSN : 2378-9379
Launched : 2014
JSM Heart Surgery Cases and Images
ISSN : 2578-3157
Launched : 2016
Annals of Reproductive Medicine and Treatment
ISSN : 2573-1092
Launched : 2016
JSM Brain Science
ISSN : 2573-1289
Launched : 2016
JSM Biomarkers
ISSN : 2578-3815
Launched : 2014
JSM Biology
ISSN : 2475-9392
Launched : 2016
Archives of Stem Cell and Research
ISSN : 2578-3580
Launched : 2014
Annals of Clinical and Medical Microbiology
ISSN : 2578-3629
Launched : 2014
JSM Pediatric Surgery
ISSN : 2578-3149
Launched : 2017
Journal of Memory Disorder and Rehabilitation
ISSN : 2578-319X
Launched : 2016
JSM Tropical Medicine and Research
ISSN : 2578-3165
Launched : 2016
JSM Head and Face Medicine
ISSN : 2578-3793
Launched : 2016
JSM Cardiothoracic Surgery
ISSN : 2573-1297
Launched : 2016
JSM Bone and Joint Diseases
ISSN : 2578-3351
Launched : 2017
JSM Bioavailability and Bioequivalence
ISSN : 2641-7812
Launched : 2017
JSM Atherosclerosis
ISSN : 2573-1270
Launched : 2016
Journal of Genitourinary Disorders
ISSN : 2641-7790
Launched : 2017
Journal of Fractures and Sprains
ISSN : 2578-3831
Launched : 2016
Journal of Autism and Epilepsy
ISSN : 2641-7774
Launched : 2016
Annals of Marine Biology and Research
ISSN : 2573-105X
Launched : 2014
JSM Health Education & Primary Health Care
ISSN : 2578-3777
Launched : 2016
JSM Communication Disorders
ISSN : 2578-3807
Launched : 2016
Annals of Musculoskeletal Disorders
ISSN : 2578-3599
Launched : 2016
Annals of Virology and Research
ISSN : 2573-1122
Launched : 2014
JSM Renal Medicine
ISSN : 2573-1637
Launched : 2016
Journal of Muscle Health
ISSN : 2578-3823
Launched : 2016
JSM Genetics and Genomics
ISSN : 2334-1823
Launched : 2013
JSM Anxiety and Depression
ISSN : 2475-9139
Launched : 2016
Clinical Journal of Heart Diseases
ISSN : 2641-7766
Launched : 2016
Annals of Medicinal Chemistry and Research
ISSN : 2378-9336
Launched : 2014
JSM Pain and Management
ISSN : 2578-3378
Launched : 2016
JSM Women's Health
ISSN : 2578-3696
Launched : 2016
Clinical Research in HIV or AIDS
ISSN : 2374-0094
Launched : 2013
Journal of Endocrinology, Diabetes and Obesity
ISSN : 2333-6692
Launched : 2013
Journal of Substance Abuse and Alcoholism
ISSN : 2373-9363
Launched : 2013
JSM Neurosurgery and Spine
ISSN : 2373-9479
Launched : 2013
Journal of Liver and Clinical Research
ISSN : 2379-0830
Launched : 2014
Journal of Drug Design and Research
ISSN : 2379-089X
Launched : 2014
JSM Clinical Oncology and Research
ISSN : 2373-938X
Launched : 2013
JSM Bioinformatics, Genomics and Proteomics
ISSN : 2576-1102
Launched : 2014
JSM Chemistry
ISSN : 2334-1831
Launched : 2013
Journal of Trauma and Care
ISSN : 2573-1246
Launched : 2014
JSM Surgical Oncology and Research
ISSN : 2578-3688
Launched : 2016
Annals of Food Processing and Preservation
ISSN : 2573-1033
Launched : 2016
Journal of Radiology and Radiation Therapy
ISSN : 2333-7095
Launched : 2013
JSM Physical Medicine and Rehabilitation
ISSN : 2578-3572
Launched : 2016
Annals of Clinical Pathology
ISSN : 2373-9282
Launched : 2013
Annals of Cardiovascular Diseases
ISSN : 2641-7731
Launched : 2016
Journal of Behavior
ISSN : 2576-0076
Launched : 2016
Annals of Clinical and Experimental Metabolism
ISSN : 2572-2492
Launched : 2016
Clinical Research in Infectious Diseases
ISSN : 2379-0636
Launched : 2013
JSM Microbiology
ISSN : 2333-6455
Launched : 2013
Journal of Urology and Research
ISSN : 2379-951X
Launched : 2014
Journal of Family Medicine and Community Health
ISSN : 2379-0547
Launched : 2013
Annals of Pregnancy and Care
ISSN : 2578-336X
Launched : 2017
JSM Cell and Developmental Biology
ISSN : 2379-061X
Launched : 2013
Annals of Aquaculture and Research
ISSN : 2379-0881
Launched : 2014
Clinical Research in Pulmonology
ISSN : 2333-6625
Launched : 2013
Journal of Immunology and Clinical Research
ISSN : 2333-6714
Launched : 2013
Annals of Forensic Research and Analysis
ISSN : 2378-9476
Launched : 2014
JSM Biochemistry and Molecular Biology
ISSN : 2333-7109
Launched : 2013
Annals of Breast Cancer Research
ISSN : 2641-7685
Launched : 2016
Annals of Gerontology and Geriatric Research
ISSN : 2378-9409
Launched : 2014
Journal of Sleep Medicine and Disorders
ISSN : 2379-0822
Launched : 2014
JSM Burns and Trauma
ISSN : 2475-9406
Launched : 2016
Chemical Engineering and Process Techniques
ISSN : 2333-6633
Launched : 2013
Annals of Clinical Cytology and Pathology
ISSN : 2475-9430
Launched : 2014
JSM Allergy and Asthma
ISSN : 2573-1254
Launched : 2016
Journal of Neurological Disorders and Stroke
ISSN : 2334-2307
Launched : 2013
Annals of Sports Medicine and Research
ISSN : 2379-0571
Launched : 2014
JSM Sexual Medicine
ISSN : 2578-3718
Launched : 2016
Annals of Vascular Medicine and Research
ISSN : 2378-9344
Launched : 2014
JSM Biotechnology and Biomedical Engineering
ISSN : 2333-7117
Launched : 2013
Journal of Hematology and Transfusion
ISSN : 2333-6684
Launched : 2013
JSM Environmental Science and Ecology
ISSN : 2333-7141
Launched : 2013
Journal of Cardiology and Clinical Research
ISSN : 2333-6676
Launched : 2013
JSM Nanotechnology and Nanomedicine
ISSN : 2334-1815
Launched : 2013
Journal of Ear, Nose and Throat Disorders
ISSN : 2475-9473
Launched : 2016
JSM Ophthalmology
ISSN : 2333-6447
Launched : 2013
Journal of Pharmacology and Clinical Toxicology
ISSN : 2333-7079
Launched : 2013
Annals of Psychiatry and Mental Health
ISSN : 2374-0124
Launched : 2013
Medical Journal of Obstetrics and Gynecology
ISSN : 2333-6439
Launched : 2013
Annals of Pediatrics and Child Health
ISSN : 2373-9312
Launched : 2013
JSM Clinical Pharmaceutics
ISSN : 2379-9498
Launched : 2014
JSM Foot and Ankle
ISSN : 2475-9112
Launched : 2016
JSM Alzheimer's Disease and Related Dementia
ISSN : 2378-9565
Launched : 2014
Journal of Addiction Medicine and Therapy
ISSN : 2333-665X
Launched : 2013
Journal of Veterinary Medicine and Research
ISSN : 2378-931X
Launched : 2013
Annals of Public Health and Research
ISSN : 2378-9328
Launched : 2014
Annals of Orthopedics and Rheumatology
ISSN : 2373-9290
Launched : 2013
Journal of Clinical Nephrology and Research
ISSN : 2379-0652
Launched : 2014
Annals of Community Medicine and Practice
ISSN : 2475-9465
Launched : 2014
Annals of Biometrics and Biostatistics
ISSN : 2374-0116
Launched : 2013
JSM Clinical Case Reports
ISSN : 2373-9819
Launched : 2013
Journal of Cancer Biology and Research
ISSN : 2373-9436
Launched : 2013
Journal of Surgery and Transplantation Science
ISSN : 2379-0911
Launched : 2013
Journal of Dermatology and Clinical Research
ISSN : 2373-9371
Launched : 2013
JSM Gastroenterology and Hepatology
ISSN : 2373-9487
Launched : 2013
Annals of Nursing and Practice
ISSN : 2379-9501
Launched : 2014
Author Information X