Loading

JSM Dentistry

Oral Stem Cells and Regeneration Therapies

Review Article | Open Access | Volume 8 | Issue 1

  • 1. Department of Oral Biology, Paris Cité University, France
+ Show More - Show Less
Corresponding Authors
Michel Goldberg, Department of Oral Biology, Faculty of Fundamental and Biomedical Sciences, Paris Cité University, France, Tel: 33-6-62676709;
Abstract

Following symmetric or asymmetric divisions, stem cells are defined by three major  properties: self-renewal, clonogenic proliferation, and multipotent or pluripotent cells,  susceptible to differentiate into several distinct lineages. At the end of the successive phases,  they become terminally differentiated cells. Oral stem cells take origin in niches where a local  microenvironment supports the repair and regeneration of tissues or organs. The progeny of  stem cells share a similar gene expression profile for a variety of transcriptional regulators,  extracellular matrix proteins, growth factors/receptors, cell adhesion molecules, and some  lineage makers characteristic of fibroblasts, endothelial cells, smooth muscle cells, odontoblasts,  and osteoblasts. The identification of perivascular cells as a native source of mesenchymal  progenitor cells pave the way to the development of novel oral regenerative therapies 

Keywords

• Stem cells

• Self-renewal

• Clonogenic proliferation

• Terminally differentiated cells

• Oral regenerative therapies

Citation

Goldberg M (2020) Oral Stem Cells and Regeneration Therapies. JSM Dent 8(1): 1122.

INTRODUCTION

Biological properties of stem cells

Stem cells are defined by three major properties:

a. They are capable to undergo long-term self-renewal and never become senescent,

b. They display clonogenic proliferation,

c. When they divide, daughter cells give rise to multilineage cells, becoming ultimately terminal differentiated cells.

Symmetric division gives rise to one daughter cell dentical to the original stem cell, whereas the other daughter undergo terminal differentiation. Asymmetric stem cell division ensures stem cell renewal and a progeny of cells establish the repair and regeneration of tissues and organs.

During asymmetric stem cell division, Notch signaling is inhibited in one of the two daughter cells while it is activated in the other, enabling to generate two different cell types. Notch promotes human stem cells (HSCs) self-renewal and inhibits cell differentiation. HSCs are regulated by signals which form the HSC niche and express Jagged [1].

The maintenance and regulation of normally quiescent stem cell populations are tightly controlled by the local microenvironment. Both the supportive connective tissues of bone marrow and dental pulp contain stromal stem cell populations with high proliferative potentials capable of regenerating their respective microenvironments, including bone and dentin (Figure 1)[2].

 Stem cells derived from the inner cell mass of blastocyte stage human embryos differentiate into several cell types having the potential to replace or régénérat tissues.

Figure 1 : Stem cells derived from the inner cell mass of blastocyte stage human embryos differentiate into several cell types having the potential to replace or régénérat tissues.

Precursors of functional osteoblasts, the bone marrow stromal stem cells [BMSSCs] and dental pulp stem cells were initially identified by their capacity to form clonogenic cell clusters (colony-forming units fibroblast [CFU-F]) in vitro. The progeny of ex-vivo expanded BMSSCs and DPSCs share a similar gene expression profile for a variety of transcriptional regulators, extracellular matrix proteins, growth factors/receptors, cell adhesion molecules, and some lineage makers characteristic of fibroblasts, endothelial cells, smooth muscle cells, and osteoblasts [3]. The embryonic and adult SCs are able to differentiate along at least one (unipotent) and/or a number of interactions between stem cells and the non-stem cell multiple (multipotent) lineages. The capability of multilineage differentiation is one of their characteristics. This is essential for their potential use for therapeutic purposes. (Figure 2) [4].

Perivascular niche and multipotency of mesenchymal stem cells (MSC)

Figure 2: Perivascular niche and multipotency of mesenchymal stem cells (MSC)

Highly vasculogenic subfractions of side population (SP) were isolated based on CD31 and CD146 expression associated to the dental pulp. The transplanted cells were near the newly formed vasculature and expressed several proangiogenic factors, such as VEGF-A, G-CSF, GM-CSF, and MMP3. Conditioned medium from these subfractions showed mitogenic and antiapoptotic activities. Subfractions of SP cells are a new stem cell source for cell-based therapy to stimulate angiogenesis/vasculogenesis during tissue regeneration [5].

The origin and fate of stem cells

The source of mesenchymal stem cells (MSCs) is the bone marrow (BM), also known as marrow stromal cells or mesenchymal progenitor cells. Therefore, the term ‘‘Stromal Cell’’ was proposed. They are self-renewable, multipotent or pluripotent cells, susceptible to differentiate into several distinct mesenchymal lineages. Stem cells undergo differentiation into cells with different lineages. The early isolated stem cells demonstrated frequently alkaline phosphatase reactivity, partial cytodifferentiation, and their ability to form mineralized nodules. They were isolated on the basis of methods founded on the adherence of marrow derived fibroblast-like cells to the plastic substrate of the cell culture plate, and a concomitant lack of adherence of marrow-derived hematopoietic cells [6]. The secretion of a broad range of bioactive molecules by MSCs, such as growth factors, cytokines and chemokines, constitutes their most biologically significant role under injury conditions. These cells are part of a perivascular niche in vivo. Research involving MSCs described an adherent, non-hematopoietic cell type present in the bone marrow of different species that could form fibroblastic colonies in vitro. These cells were termed fibroblastic colonyforming units, and the in vitro progeny of CFU-Fs have the ability to differentiate along osteogenic, adipogenic and chondrogenic pathways in vitro and when implanted in vivo [7].

Initial cultures of the adherent MSC population have been labeled by a panel of antibodies targeting a wide range of cellsurface antigens and peptides such as SH2 (CD105), SH3, SH4 (CD73), SB-10, and a group of other adhesion molecules and growth factor/cytokine receptors including CD166, CD54, CD102, CD121a, b, CD123, CD124, CD49. Also, initial cultures of MSCs are known to co-express a heterogeneous group of genes characteristic of hematopoietic and multiple mesenchymal lineages such as the osteogenic lineage (Cbfa1, alkaline phosphatase, osteocalcin, and osteopontin) and the adipocytic lineage (lipoprotein lipase). MSCs are negative to cell markers of endothelial cells (CD31), monocytes/macrophages (CD14), lymphocytes (CD11a/LFA-1), leukocytes (CD45), red blood cells (glycophorin A), and other hematopoietic cells (CD3, CD14, CD19, CD34, CD38, and CD66b). Cultured MSCs synthesize also a wide range of cytokines and growth factors, including stem cell factor, interleukin-7 (IL-7), IL-8, IL-11, transforming growth factor-β (TGF-β), cofilin, galectin-1, laminin-receptor 1, cyclophilin A, and matrix metalloproteinase-2 (MMP-2) [8-11].

Minimal criteria to define multipotent mesenchymal stromal cells are the following:

1) The cells should be adherent to plastic;

2) The cells are positive for CD73, CD90 and CD 105 and

3) negative for CD11b or CD14, CD19 or CD79a, CD34, CD45 and HLA-DR; and

4) they differentiate into osteoblasts, adipocytes and chondroblasts in vitro.

The suggestion that MSCs are associated with blood vessels in vivo, suggest that pericytes, that are located on the abluminal side of blood vessels in close contact with endothelial cells, show great similarity to MSCs in vitro and may behave as tissue specific SCs in vivo.

The term ‘‘pericyte’’ is used here for the sake of simplification, as many names can be used for these peri-endothelial cells depending on their anatomical location and whether or not they are embedded in the basement membrane that surrounds blood vessels.

MSC paracrine effects can be divided into trophic (‘‘nurturing’’), immunomodulatory, anti-scarring and chemoattractant. The trophic effects of MSCs can be further subdivided into antiapoptotic, supportive (stimulation of mitosis, proliferation and differentiation of organ-intrinsic precursor or stem cells) and angiogenic. Two of these molecules, vascular cell adhesion molecule 1 (VCAM-1, aka CD106) and E-selectin (CD62E), are ligands for the MSC surface molecules integrin α4/ β1 (CD49d/ CD29) and CD44, respectively.

Many molecules are known to be chemoattractive and stimulatory for different immune cells. They include IL-1β, IL6, IL-7, IL-12, IL-16, IL-1 receptor antagonist, TNF-α, TNF-β, epithelial neutrophil-activating protein 78, eotaxin, IL-8, monocyte chemoattractant protein 1, macrophage inflammatory protein (MIP)-1α, MIP-1β, RANTES, intercellular adhesion molecule-1 (ICAM-1), VCAM-1, G-CSF, GM-CSF, growth hormone, stem cell factor (SCF), VEGF165, bFGF, thyroid-stimulating hormone (TSH), CD40 and CD40 ligand (see Figure 3) [8-12].

 Paracrine effects of cultured MSCs

Figure 3 : Paracrine effects of cultured MSCs

Bone markers are expressed by dental pulp stem cells (alkaline phosphatase, type I collagen, osteonectin, osteopontin, and osteocalcin), and fibroblasts (type III collagen and fibroblast growth factor). They are also positive for CD73, CD90, and Stro-1.

Dental pulp stem cells demonstrate a clonogenic population. Expression of markers such as CD90 (Thy1), CD73 (Nt5e), CD105 (Eng) markers and multi-lineage differentiation follow appropriate stimulation. They display multilineage differentiation giving rise to osteo-/odontoblastic, adipogenic, and neurogenic cells.

Mesenchymal stromal stem cells (Figure 4) display high expression for CD 29, CD44, CD105, CD73, CD90, and HLA I characteristic of hematopoietic stem cells. They express nestin, a neural cell marker, but they lack expression of CD45, CD34, CD14, CCD11b, CD79α, CD19 and HLA-II surface molecules (Figure 4).

 From MSC to the differentiation compartment

Figure 4: From MSC to the differentiation compartment

Differences appear between embryonic and adult SCs. The proliferation rate of bone marrow-derived mesenchymal stem cells, embryonic stem cells (SHED) and adult SCs differs substantially from adult dental pulp SCs. Genes that participate in pathways related to extracellular matrix proteins of SHED display 2.0 fold more proliferation rate compared with adult dental pulp stem cells [8].

It is suggested that STRO-1+ /c-Kit+ /CD34− hDPSCs and STRO-1+ /c-Kit+ /CD34+ hDPSCs might represent two distinct stem cell populations, with different properties. These results trigger further analyses investigating the hypothesis that more than a single stem cell population resides within the dental pulp [9].

Five types of human dental stem cells have been isolated and characterized (Table 1)

Table 1: Five types of human dental stem cells.

1

 Dental pulp stem cells (DPSCs)

2

Stem cells from exfoliated deciduous teeth (SHED)

3

 Stem cells from apical papilla (SCAP) and

4

 Periodontal ligament stem cells (PDLSCs)

5

Cells of the follicle sac

Among them, all except SHED are from permanent teeth. These dental stem cells are considered as mesenchymal stem cells (MSCs) and possess different levels of capacities to become specific tissue forming cells. DPSCs and SHED are from the pulp and SCAP is from the pulp precursor tissue, the so-called apical papilla [10].

Mesenchymal stem cells are residing in the apical papilla. Pericytes are in vivo counterparts of Mesenchyme Stem/Stromal Cells. MSCs were identified as colony-forming unit fibroblasts able to be transformed into osteoblasts after osteogenic differentiation.

Pericytes localize around the endothelial layer in capillaries and microvessels, where they are embedded within the basement membrane and can be identified based on the expression of markers including CD146 (cluster of differentiation), MCAM (melanoma cell adhesion molecule), PDGFRb (CD140b, platelet derived growth factor receptor beta), NG2 (neural/glial antigen 2), CSPG4 (chondroitin sulfate proteoglycan 4), and αSMA (alpha smooth muscle actin, ACTA1, (actin alpha 1 skeletal muscle).

The identification of perivascular cells as a native source of mesenchymal progenitor cells open the way to the development of novel regenerative therapies with improved efficacy using well-defined cell populations

Embryonic and adult oral stem cells

Embryonic stem cells were isolated from the inner mass of developing blastocyte. The outer layer of trophoblast give rise to the placenta, and ES cells are derived fom the inner mass. They are capable of multilineage differentiation. They differentiate into derivative of three embryonic germ layers : endoderm, ectoderm, and mesoderm. They are pluripotent, capable of differentiating into cells derived from the three germ layers. They are immortal in culture and may be maintained for several hundred passages in an undifferentiated state, maintaining a normal chromosomal composition. Surface markers have been identified as CD9, CD24, alkaline phosphatase and genes involved in pluripotency including Oct-4, Rex-1, SOX-2, Nanog, LIN28, Thy-1, and SSEA-3 and -4.

Adult stem cells are clonogenic cells capable of self-renewal and multilineage differentiation. They are rare and do not display characteristic morphology or surface markers allowing to distinguish between embryonic and mature cells. A CD34- or CD133-positive, CD-38 and lineage-negative population contains other cell types and hematopoietic stem cells, also present in “negative” populations. Bone marrow mesenchymal stem cells may differentiate into osteoblasts. They are able to adhere and proliferate in scaffolds, and they can also differentiate into odontoblastic lineage cells. These cells were identifed as coloniy forming unit-fibroblasts that are adherent, spindle-shaped cells. They proliferate to form colonies, and are capable of osteogenesis [9,10].

Human MSCs decline with age. In newborn 1/10,000, are scored at 10 years, 1/100,000 at 30 years, 1/ 250,000 to 1/400,000 at 50 years, and ½,000,000 at 80 years [11].

From SHED, adult stem cells differentiate into a broad range of different cell types. SHED form sphere-like clusters when cultured in neurogenic medium. Immature DPSCs express the embryonic cell markers Oct4, Nanog, stage-specific embryonic antigens (SSEA-3, SSEA-4) and tumor recognition antigens (TRA-1-60 and TRA-1-81). Odontoblasts and osteoblasts express mineralized matrix proteins, such as dentin matrix protein 1, fibronectin, type I collagen, alkaline phosphatase, osteonectin, osteopontin, bone sialoprotein, and osteocalcin.

Postnatal dental pulp contains cells that are clonogenic, highly proliferative, and capable of regenerating a tissue, properties that effectively define them as stem cells. A protocol specifically allows identifying and isolates the subpopulations of dental pulp pluripotent-like stem cells (DPPSC). These cells are SSEA4+, OCT3/4+, NANOG+, SOX2+, LIN28+, CD13+, CD105+, CD34-, CD45-, CD90+, CD29+, CD73+, STRO1+ and CD146-, and showing genetic stability in vitro based on genomic analysis. Induced pluripotent stem (iPS) cells, which are reprogrammed as somatic cells with similar characteristics to ESC, constitute a viable alternative.

It was observed that fold expression of several pluripotent markers such as OCT4, SOX2, NANOG, and REX1 were higher (>2) in human deciduous as compared with DPSCs. However, DPSCs showed higher expression of neuroectodermal markers PAX6, GBX2, and nestin (fold expression >100). Similarly, higher neurosphere formation and neuronal marker expression were found in the differentiated DPSCs into neuron-like cells as compared with SCD. Gene variations occurred within the different sources of the same stem cells, and these variations determine their lineage propensity toward a specific destination, shown to be committed toward neuronal lineage [12].

Postnatal (or adult) stem cells are pluripotent. These cells retain a developmental potential that is more restricted than for embryonic stem cells. Adult stem cells were initially thought to have a differentiation capacity limited to their tissue of origin, however studies have demonstrated that stem cells have the capacity to differentiate into cells of mesodermal, endodermal and ectodermal origins.

A variety of names have been used to describe the cell population isolated from collagenase digests of adipose tissue. The following terms have been used to identify the same adipose tissue cell population: Adipose-Derived Stem/Stromal Cells. Adult-derived stem cells may also be adipose-derived stem cells undergoing osteogenic, neural, and chondrogenic differentiation [13,14].

Niches of stem cells

Stem-cell populations are established in ‘niches’. The stem cell ‘niche’ provides a specialized microenvironment that preserves their repopulating capacity [15]. They regulate lineage specific differentiation of mesenchymal stem cells. The niche is responsible for maintaining and controlling a quiescent stem cell population that is capable of responding according to host requirements. Key components of the niche include direct interactions between stem cells and neighboring cells, secreted factors, inflammation and scarring, extracellular matrix (ECM), physical parameters such as shape or shear stress and tissue stiffness or elasticity. The MSC niche was proposed as a specialized micro-environment needed to retain their « steamness ».

Plastic-adherent multipotent cells can be isolated from many adult tissue types. A primary function of the niche is to anchor stem cells. In addition to N-cadherin, other types of adhesion molecules, including integrins, play an important role in the microenvironment/stem cell interaction [15-17].

Niches constitute specific anatomic locations that regulate how SCs participate in tissue generation, maintenance and repair. The “niche” is composed of cellular components, the microenvironment, and signals emanating from the support cells (supportive microenvironment).

The stem cells niche was identified, and the niche size was controlled [18]. Communication between stem cells and niche cells may be direct, through physical interactions, or indirect, through secreted factors that mediate communication between cells that are not in direct contact, but mediated by secreted factors. The niche saves stem cells from depletion, while protecting the host from over-exuberant stem-cell proliferation. It constitutes a basic unit of tissue physiology, integrating signals that mediate the response of stem cells to the needs of organisms [19]. Mechanisms of stem cell maintenance are key to the regulation of homeostasis and contribute to aging. Until recently, niches were a theoretical concept strongly supported by the observation that transplanted stem cells survive and grow only in particular tissue locations.

Multiple stem cell niches were identified in different zones of dental pulp. They expressed nestin, vimentin and Oct3/4 proteins, while STRO-1 protein localization was restricted to perivascular niche [20]. Using STRO-1, CD146 and pericyte-associated antigen, the DPSC niche was localized in the perivascular and perineural sheath regions. Dental stem cells display positive markers: STRO1, CD13, CD44, CD24, CD29, CD73, CD90, CD105, CD106, CD146, Oct4, Nanog and β 2 integrin, and negative markers: CD14, CD34, CD45 and HLA-DR. Like all MSCs, dental stem cells are also heterogeneous and the various markers listed previously are expressed by subpopulations of stem cells [20].

Among the identified stem cells, DPSCs, SHED and SCAP are potentially suitable cell sources for pulp/dentin regeneration However, only the c-kit+-enriched bone marrow cells can acquire the characteristics of odontoblasts. Two independent studies have

a. Identified a subset of osteoblastic cells (N-cadherin+CD45−) to which HSCs physically attach in the bone marrow,

b. Identified an N-cadherin/β-catenin adherens complex between HSCs and osteoblastic cells,

c. Shown that Jagged1, generated from osteoblasts, influences HSCs by signaling through the Notch receptor,

d. Demonstrate that the number of N-cadherin + osteoblastic lining cells controls the number of HSCs.

The ECM not only anchors stem cells but also directs their fate. Soluble growth factors increased the local concentration of agonists to which target populations in the niche are exposed. The interaction of the ECM with stem cells depends not only on its protein composition but also on its physical properties. There is strong evidence that ECM surface topography and bulk stiffness can profoundly influence stem cell behavior. Understanding the way that stem cells interact with their supporting niche, defined the totality of the stem-cell microenvironment.

Angiogenic factors

It was considered that the use of angiogenic inducing factors, such as VEGF and/or PDGF, should enhance and accelerate the pulp angiogenesis. Synthetic scaffolds, such as PLG, can be fabricated with impregnated growth factors. Human bone marrow-derived mesenchymal stem cells have the potential to differentiate into mesenchymal tissues in vitro and in vivo. Cultured in presence of 2% fetal calf serum and 50 ng/ml vascular endothelial growth factor, the cells differentiate into endothelial-like cells [21].

Neuron differentiation

With respect to innervation, it is likely that generated/ regenerated pulp contains ingrown nerve fibers from and adjacent to natural tissues. DPSCs have been shown to either produce neurotrophic factors or possess neural differentiation potential. The reason why dentin is so sensitive to various irritations is due to the hydrodynamic activities of the dentinal tubules in association with the sensory A-δ fibers extending into the dentinal tubules in the predentin layer. Since the newly generated dentin does not appear to have well-organized dentinal tubules, even if the regenerated A-δ fibers reach the pulp–dentin junction, it may not cause the normal dentin sensitivity that natural teeth display [22].

Human DPSCs grew out of the neurospheres in vitro and established a neurogenic differentiated hDPSC culture characterized by an increased expression of neuronal markers such as neuronal nuclei, microtubule-associated protein 2, neural cell adhesion molecule, growth-associated protein 43, synapsin I, and synaptophysin enzyme-linked immunosorbent assay. Neurogenic maturation of hDPSC demonstrate that these cells are capable of neuronal commitment following neurosphere formation, and they are characterized by distinct morphological and electrophysiological properties of functional neuronal cells. The perikaryon of the cells was characterized by a large central nucleus with a prominent nucleolus. Organelles included an extended Golgi apparatus and RER, indicate an increased packing of proteins in membrane-bound vesicles [23].

Human DPSCs can differentiate into Schwann cells and support neural outgrowth in vitro [24]. In addition, neurites were myelinated in a 3-dimensional collagen type I hydrogel neural tissue construct. Human DPSCs have the potential to differentiate along the neural lineage. Even in an undifferentiated state, hDPSCs already express neural markers like S100, β-IIItubulin, and nerve growth factor receptor p75 and they are able to produce and secrete a range of NFs, ciliary neurotrophic factor, vascular endothelial growth factor, brain-derived neurotrophic factor, glia-derived neurotrophic factor, and nerve growth factor b, enhancing and guiding axonal outgrowth. To evaluate the expression of glial markers, immunocytochemical staining was performed with antibodies against laminin, p75, GFAP, CD104, and nestin in hDPSCs, d-hDPSCs, and Schwann cells. Both Schwann cells and hDPSCs showed a positive immune reaction for laminin, p75, GFAP, and CD104. Furthermore, expression of the early neural marker nestin decreased in differentiated cell cultures compared to hDPSCs and was not detected in Schwann cells

The hematopoietic stem cell niche : The niche functions as a physical anchor for stem cells. Different types of stromal cells regulate stem cell activation, proliferation, and differentiation. Many signal molecules have been shown to be involved in regulation of stem cell behavior, through the JAK-Stat pathway. Among these, the BMP and Wnt signal pathways have emerged as common pathways for controlling stem cell self-renewal and lineage fate. The stem cell niche exhibits an asymmetric structure [25-28].

Two types of useful makers have been identified. Firstly, it contain distinctive structures related to their early state of differentiation, such as aggregates of endoplasmic reticulum-like vesicles (called the spectrosome). Secondly, components of the signaling pathways are involved in stem cell maintenance and in daughter cell programming. HSCs represent only about 1 out of every 30,000 cells (0.003%) in the bone marrow. This provides evidence that the niche microenvironment is localized and not a general tissue property. Distinct ‘‘stromal’’ cell types initially guide niche morphogenesis and continue to directly contact and signal to resident stem cells. The chemokine CXCL12 is required for the maintenance of bone marrow and is expressed by both perivascular and endosteal cells. Many niches have been shown to depend on additional signals that may function indirectly to maintain niche integrity. Some niche signals function to program daughter cells rather than to regulate the stem cells themselves. Niches also share a requirement for a system to ensure that stem cells remain in the niche following stem cell division [26].

Adult dental mesenchymal stem cell (MSCs) niches have the capacity to self-renew and differentiate along multiple lineages. They are influenced by a specialized « microenvironment » contributing to tissue maintenance, tooth growth and repair (regeneration). They expressed certain markers and following specific stimulation, differentiate into cells having the characteristicss of osteoblasts, chondrocytes, odontoblasts, and adipocytes. The niche of stem cells are composed of microenvironmental factors that enable them to maintain tissue homeostasis. The niche also safeguards against excessive stem cell production. Signaling molecules such as Wnt, Notch, Fibroblast growth factor (FGF) and Hedgehog proteins are regulators of stem cell functions, inducing proliferation or differentiation [27,28].

Notch receptors are evolutionarily conserved transmembrane proteins that bind to Notch specific ligands (Jagged1, Jagged2, Delta-like1, Delta-like3, Delta-like4). TACE/ADAM10 and γ-secretase presenilins cleave Notch proteins and release their intracellular domain (NICD) that contains nuclear localization signals.

There is a consensus that MSCs do not express CD11b (an immune cell marker), glycophorin-A (an erythroid lineage marker), or CD45 (a marker of all hematopoietic cells). CD34, a marker of hematopoietic stem cell (HSC) is rarely expressed in human MSCs, although it is positive in mice. CD31 (expressed on endothelial and hematopoietic cells) and CD117 (a hematopoietic stem/progenitor cell marker) are almost always absent from human and mouse MSCs. Positive markers include Stro-1. CD106, or VCAM-1 (vascular cell adhesion molecule-1), is expressed on blood vessel endothelial and adjacent cells, consistent with a perivascular location of MSCs [29].

Because they are involved in cell adhesion, chemotaxis, and signal transduction, a perivascular nature of the MSC niche is suggested on the basis of the expression of α- smooth muscle actin. Isolated from all tissue types tested and from the immunohistochemical localization, they were localized in perivascular sites. MSCs were found with the use of the markers Stro-1 and CD146, lining blood vessels in human bone marrow and dental pulp.

Endosteal niche maintain cell quiescence over the long term, whereas the perivascular niche maintains cell proliferation. The DPSC niche was identified by antibodies against STRO-1, CD146, and pericyte-associated antigen (3G5). Immunolabeling was found in the perivascular and perineural sheath regions. These cells stained the perivascular region, with small clusters of cells in the extravascular regions.

Granulocyte-colony stimulating factor induces subsets of dental pulp stem cells to form mobilized dental pulp stem cells, expressing a high level of proliferation, migration and antiapoptotic effects, and displaying regeneration potential [30].

Bone marrow–derived mesenchymal stem cells are multipotent stem cells and have been the most studied MSCs. Bone Marrow stromal cells are progenitors of skeletal tissue components. They may also contribute to the formation of neural and myogenic cells, and to vascular walls [31]. Studies on the transplantability of marrow stromal cells are inscribed into the general problem of bone marrow transplantation (BMT). Transplantation of marrow stromal cell strains allows for an ectopic development of hematopoietic tissue at the site of transplantation.

Regardless of whether genomic or cytoplasmic sequences are the target of gene therapy, the efficacy of all of these new technologies depend on:

a. The efficiency at which the reagents are incorporated into BMSCs in the ex-vivo environment;

b. The selection of specific targets, and

c. The maintenance of the ability of BMSCs to function appropriately in vitro.

They undergo osteogenic differentiation when stimulated by osteogenic reagents in vitro. When the cells are transplanted into immunocompromised mice, they are capable of forming bone and inducing hematopoietic marrow. This colony-forming cell population showed a high uptake rate for bromodeoxyuridine (indicative of cell proliferation) and exhibiting over 70 population doublings in vitro.

THE USEFULNESS OF STEM CELLS IN DENTAL THERAPIES

Stem cells from the apical papilla (SCAP)

Another population of mesenchymal stem cells residing in the apical papilla of permanent immature teeth recently has been discovered and was termed stem cells from the apical papilla (SCAP) [32,33]. These stem cells appear to be the source of odontoblasts that are responsible for the formation of root dentin.

In order to examine whether SCAP are distinct from DPSCs, SCAP and DPSCs from the same tooth were isolated and grown in cultures under the same conditions. Ex vivo–expanded SCAP were also found to express the cell-surface molecule STRO 1.When compared with DPSCs, it was found that SCAP showed a significantly greater bromodeoxyuridine uptake rate, number of population doublings, tissue regeneration capacity, and number of STRO-1–positive cells, that are co-expressed with dentinogenic markers [bone sialophosphoprotein (BSP), osteocalcin (OCN), and growth factors receptors (FGFR1, TGFβRI)]. To distinguish the cell rich zone in mature pulp, it was termed “apical cell rich zone”. Apical papilla appears to contain less blood vessels and cellular components than do the dental pulp and the apical cell rich zone.

Neurogenesis : Endogenous axon guidance was induced by adult human dental pulpo-genitor/stem cells (DPSCs) [34]. Implanted dental pulp stem cells were mediated via the chemokine CXCL12, also known as stromal cell-derived factor-1, and its receptor CXCR4. DPSCs differentiate into functionally active neurons, influencing endogenous recruitment of neural stem cells, and generating neurospheres. Nerve growth factor, brain-derived neurotrophic factor, glial-derived neurotrophic factor (GDNF), and CXCL12, also known as stromal cell-derived factor-1, are expressed by dental pulp cells. These factors have also been implicated in axon guidance. CXCL12, interacting via its cognate receptor CXCR4, has been shown to possess axon guidance activities in the nervous system and to instigate recruitment of dental pulp cells after injury. CXCL12/CXCR4 interactions patterned sensory development.

One potential use of regenerative endodontic therapy may be the repair of root canal perforations. In addition to nutrients and systemic in-situ interactions, the three main components believed to be essential for tissue regeneration are stem cells, scaffold, and growth factors. Collagen served as the scaffold and dentin matrix protein 1 (DMP1) was the growth factor. The triad of DPSCs, collagen scaffold, and DMP1 induce an organized matrix formation, which may lead to hard tissue formation [35].

Dental follicle progenitors cells (DFPCs) (Figures 5- 7)

Numerous pro-and anti-angiogenic factors such as vascular endothelial growth factor, monocyte chemotactic protein-1, plasminogen activator inhibitor-1 (PAI-1) and endostatin were found both at the mRNA and protein level. They were able to significantly induce HMEC-1 migration in vitro. They possess the capacity to differentiate into numerous cell types in vitro including odontoblasts, osteoblasts, chondroblasts, adipocytes, and neuronal cells. Stem cells promote angiogenesis in two distinct fashions:

(1) The so-called paracrine effect by stimulating the formation of blood vessels from the host tissue through secretion of angiogenic factors,

(2) By differentiating themselves into endothelial cells and thereby actively participating in the newly formed vascular structures.

Concerning paracrine induction of angiogenesis, hDPSC were previously shown to express several angiogenic factors such as vascular endothelial growth factor (VEGF), plateletderived growth factor (PDGF) and fibroblast growth factor (FGF2). Several studies indicate that hDPSC also have angiogenic potential in vivo [36] (Figures 5-7).

Dental pulp stem cells (DPSCs) may differentiate into neuron and before Dental induced Pluripotent stem cells (iPSC), β - Dental pulp stem cells (DPSCs) may differentiate into neuron, cardiomyocytes, chondrocytes, osteoblasts, liver cells and β cells of islet of pancreas.

They are derived from various dental tissues such as human exfoliated deciduous teeth, apical papilla, periodontal ligament and dental follicle tissue [37].

Dental follicle cells (DFCs) were evaluated by using embryonic stem cells markers (OCT4 and SOX2), mesenchymal stem cells markers, neural stem cells markers (Nestin), neural crest stem cells markers and a glial cells marker. They were weakly positive for CD90. The dental follicle contains a significant proportion of neural stem/progenitors cells, expressing b-III-tubulin (90%) and nestin (70%) [38].

Dental Induced pluripotent stem cells (iPS)

Dental tissues derived from ectomesenchyme harbor mesenchymal-like stem/progenitor cells.

Many stem/progenitor cells from discarded dental tissues may be reprogrammed into iPS cells. The 4 factors Lin28/Nanog/ Oct4/Sox2, c-Myc/Klf4/Oct4/Sox2 carried by viral vectors were used to reprogram different dental stem/progenitor cells: stem cells from exfoliated deciduous teeth (SHED), stem cells from apical papilla (SCAP), and dental pulp stem cells (DPSCs). All can be reprogrammed into iPS cells exhibiting a morphology indistinguishable from human embryonic stem (hES) cells in cultures and expressing hES cell markers such as SSEA-4, TRA1-60, TRA-1-80, TRA-2-49, Nanog, Oct4, and Sox2. Human bone marrow stromal stem cells (BMSSCs) and dental pulp stem cells (DPSCs) may be isolated by immunoselection using the antibody STRO-1, which recognizes an antigen on perivascular cells in bone marrow and dental pulp tissue [3].

Stem/progenitor cells can be reprogrammed into iPS cells. The 4 factors carried by viral vectors were used to reprogram different dental stem/progenitor cells: stem cells from exfoliated deciduous teeth (SHED), stem cells from apical papilla (SCAP), and dental pulp stem cells (DPSCs) [39,40]. The 3 lines exhibited a morphology indistinguishable from human embryonic stem (hES) cells in cultures [41]. The research on stem cells is mostly related to the understanding of the biology and behavior comportment of embryonic, adult, and inducible pluripotent stem cells. Four transcription factors are sufficent to reprogram human somatic cells to pluripotent stem cells that exhibit the essential characteristics of embryonic stem (ES) cells [42].

The definitive characteristics of a stem cell as self-renewal and differentiation into somatic (adult) cells was postulated by studying somatic stem cells of the hematopoietic system.

Dental tissues derived from ectomesenchyme harbor mesenchymal-like stem/progenitor cells Reprogrammation of iPS cells from discarded dental tissues may be obtained from stem/ progenitor cells. They were used to reprogram 3 different cells. It has been shown that all 3 can be reprogrammed into iPS cells at a higher rate than fibroblasts. They exhibited a morphology indistinguishable from human embryonic stem (hES) cells in cultures and expressed cell markers such as SSEA-4, TRA-1-60, TRA-1-80, TRA-2-49, Nanog, Oct4, and Sox2 [39-42].

A different group of differentiated cells

Figure 5: A different group of differentiated cells

 A4 cells; Adipocytes, Chondrocytes expression, and A4 von Kossa mineralization

Figure 6: A4 cells; Adipocytes, Chondrocytes expression, and A4 von Kossa mineralization

Tissue engineering implicates cells, signals, and scaffolds

Figure 7: Tissue engineering implicates cells, signals, and scaffolds

Stem cells and endodontic therapies: root lenghtening, pulp regeneration and/or closure (Apexogenesis and apexification)

The key procedures are

(1) Minimal or no instrumentation of the root canal disinfection or irrigation of the canal system,

(2) The disinfection is associated with an intra-canal medication using a triple-antibiotic paste between appointments,

(3) The treated tooth is sealed with mineral trioxide aggregate (MTA) and glass ionomer/resin cement at the completion of the treatment. Periodical follow-ups will take place to observe any continued maturation of the root. This strategy is leading to root apexification.

Using a paste containing Augmentin as an intracanal medicament, the formation of root apex was expanding, but without increase in toot length (apexogenesis). Nosrat et al. [44], concluded that the closure of the root apex is possible (apexification) without pulp regenerationthese therapies constitute two alternatives possibilities to endodontic treatment. However, the precocious treatment accompanying a relatively thin dentin walls of the canals place the tooth at greater risk for root fracture over time. The treatment objective is to maximize the opportunity for apical development and closure, known as apexification, enhancing root dentin formation. Apexogenesis is a phenomenon implicating a vital pulp. It takes in consideration the role that stem cells may have in the continued root development, This is related to the biological activity of Hertwig’s epithelial root sheath (HERS), implicated in root development and shape. Stem cells have the capacity to self-replicate and differentiate into specialized tissue type. The odontoblasts (and Höhl cells) secrete dentin and are integral to the pulp–dentin complex. Primary dentin is formed until the full length of the root development is reached. This is followed by dentin formation that proceed as secondary dentinogenesis and eruption. Apexogenesis continues at a slower rate throughout the lifetime of the individual. As the root and pulp develop, the dental papilla located apically to the developing pulp (a region called apical papilla) will contribute to the root formation. HERS is very sensitive to trauma and once destroyed by trauma or by infection, the normal root development is stopped without further differentiation of odontoblasts.

The procedure that induces apexogenesis is undertaken to preserve the remaining vital tissue and allow completion of root formation and in addition, to apical maturation. Apexification is connected to the immature teeth with a necrotic pulp.

Apexification is then performed to treat immature teeth with non-vital pulp by inducing a calcified barrier at the open apex [32,45]. Pulp necrosis arrest further root development of an immature permanent tooth. To induce the formation of an apical hard tissue barrier, the method used specifically is named apexification. Because of its high pH, calcium hydroxide not only weakens the root but may also inhibit new tissue formation within the canal. The possibility of vital tissue regeneration in the root canal space with a continuous increase in root thickness and length has been demonstrated for immature teeth. There are three major components in tissue engineering inplicated in apexogenesis and apexification:

(i) Cells that are capable of hard tissue formation (odontoblasts and pulp cells),

(ii) Scaffolds that can support cell growth and differentiation,

(iii) Molecules that provide signalling.

Dental pulp stem cells are able to differentiate into functional odontoblast-like cells with an active mineralization potential and they may be used in dental tissue engineering via stem cell–based approaches. Dental pulp stem cells are shown to be active by an increased alkaline phosphatase activity, dentine sialoprotein expression and formation of mineralized nodules. Platelet-rich plasma is a natural reservoir of various growth factors that can be collected, unlike the chemically processed molecules or recombinant proteins producing undesired side effects and expose the tissue to unnecessary risks. The use of platelet-rich plasma (PRP) in combination of DPCs may be beneficial for new tissue formation and for apical closure (apexification) [46-51].

The protocol for pulp revascularization/revitalization begins with root canal irrigation with minimal instrumentation and then continues with disinfection with an antibiotic mixture. The most commonly reported dressing is a triple antibiotic paste, which consists of ciprofloxacin, metronidazole, and minocycline. After disinfection of the canal system, the antibiotics allowed to induce bleeding into the root canal space, a phenomenon under the control of mechanically irritating the periapical tissues. It is presumed that the blood clot serves as a scaffold in which stem cells from the apical papilla populate the clot. In addition, growth factors released from platelets and the dentinal walls serve as a promoter for stem cell division and differentiation processes [45- 50].

Immunohistochemistry and gene profile analysis have identified in dental tissues perivascular cells by using markers, CD146/MUC18, 3G5, CD-44, VCAM-1; alkaline phosphatase and α-smooth muscle actin in differing proportions on STRO-1 positive cells. Fibroblast growth factor, transforming growth factor beta (TGFβ) superfamily including bone morphogenic proteins, platelet-derived growth factor and insulin-like growth factor have specific and sometimes overlapping functions in stem cell control. BMPs appear to be the key regulators of apexification. The cell line needs to be grown and expanded before being implanted into the root canal, resulting in protracted clinical treatment times. The implanted cells then need to reliably adhere to the disinfected root canal walls which may dictate a change in the way clinicians debride and disinfect root canals. Lastly, the implanted tissue lacks a crucial vascular supply, and it is technically difficult to replant the three-dimensional regenerated pulp without damaging the cells. When an open root apex exists, a similar scaffold design adjacent to a vascular supply may assist apexification by thickening and closing the apical portion of the root with hard tissue.

No published reports are involving the use of genetically manipulated cells for apexogenesis or apexification procedures. Research is in its early stages in terms of identifying novel genes and finding appropriate vectors for controlled cell-specific safe delivery. The phenotype repopulating the open root apex has still to be selected by environmental factors [46].

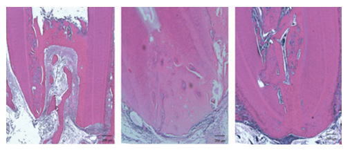
The apical part of the root includes three compartments: an apical cell-rich zone (where apical stem cells are mostly located and constitute a reservoir of undifferentiated pulp cells progenitors (abbreviated as SCAP by Sonoyama et al. [33]. Cells are located in the apical papilla mesenchyme, and in the radicular dental pulp [43- 50] (Figure 8-11).

 Different apical closure types in group dental pulp cells + platelet rich plasma. Some bone-like tissue form a bridge and merge with cementum-like  tissue to close the apex.

Figure 8 : Different apical closure types in group dental pulp cells + platelet rich plasma. Some bone-like tissue form a bridge and merge with cementum-like  tissue to close the apex.

 Gene frequency in the apical pulp compared with the coronal pulp

Figure 9: Gene frequency in the apical pulp compared with the coronal pulp

 Cells, scaffold and signals are implicated in oral stem cells regulation and differentiation.

Figure  10 : Cells, scaffold and signals are implicated in oral stem cells regulation and differentiation.

The promise of oral stem cell research & therapies

Figure 11: The promise of oral stem cell research & therapies

SCAFFOLDING MATERIALS FOR CELL THERAPIES AND PULP REGENERATION

The three key ingredients for tissue engineering are

a. Signals for morphogenesis,

b. Stem cells for responding to morphogens and

c. The scaffold of extracellular matrix.

The pulp tissue contains stem/progenitor cells that potentially differentiate into odontoblasts in response to bone morphogenetic proteins. Two strategies aimed to regenerate dentin. Firstly, it is an in vivo therapy, where BMP proteins or BMP genes are directly applied to the exposed or amputated pulp. Secondly, an ex vivo therapy consists of isolation of stem/progenitor cells from pulp tissue, differentiation into odontoblasts with recombinant BMPs or BMP genes that are finally transplanted autogenously to regenerate dentin [48].

The scaffold provides a physicochemical three-dimensional microenvironment for cell growth and differentiation, promoting cell adhesion and migration. The scaffold serves as a carrier for morphogen in proteins and cell therapy. Scaffold should be effective for transport of nutrients, and oxygen. It should be gradually degraded and replaced by regenerative tissue, retaining the feature of the final tissue structure. They should have biocompatibility, nontoxicity, and proper physical and mechanical strength. Natural polymers such as collagen and glycosaminoglycan offer good biocompatibility, and bioactivity. Commonly used synthetic materials are polylactic acid, polyglycolic acid), polylactic-co-glycolic acid. Synthetic hydrogels include polyethylene glycol-based polymers, and those modified with cell surface adhesion peptides, such as arginine, glycine, and aspartic acid (RGD), can improve cell adhesion and matrix synthesis within the three-dimensional network. Scaffolds may contain inorganic compounds such as hydroxyapatite and calcium phosphate.

Morphogens include bone morphogenetic proteins, fibroblast growth factors, wingless-proteins, Hedgehog proteins, and tumor necrotic factor families. BMP family members are sequentially involved in embryonic tooth development. Six different Bmps (Bmp2 to Bmp7) are co-expressed temporally and spatially. The interactions between epithelium and mesenchyme are important in tooth development. Bmp2, Bmp4 and Bmp7 signals expressed in the enamel knot influence both epithelial and mesenchymal cells and they are responsible for the maintenance of the enamel knot and the subsequent morphogenesis of epithelium. Two transmembrane receptors are expressed in the dental pulp. Bmp signals are transduced from the plasma membrane to the nucleus through a limited number of Smad proteins, receptor-activated Smads (R-Smads), common mediator Smads (co-Smads), and inhibitory Smads (I-Smads). Many Smad-interacting proteins have been detected and determine the outcome of the signaling. The regenerative potential of dental pulp, particularly in mature teeth, has been considered to be extremely limited. However, our improved understanding of pulpal inflammation and repair and improved dental materials and technologies make vital pulp therapy a viable alternative to root canal treatment. Our knowledge in this regard and the future potential of saving or even regenerating the pulp becomes a routine dental procedure [51, 52]. Regenerative endodontics is the creation and delivery of tissues to replace diseased, missing, and traumatized pulp [51,53]. To create a more practical endodontic tissue engineering therapy, pulp stem cells must be organized into a threedimensional structure that can support cell organization and vascularization. This can be accomplished by using a porous polymer scaffold seeded with pulp stem cells. A scaffold should contain growth factors to contribute to stem cell proliferation and differentiation, leading to improved and faster tissue development.

To achieve the goal of pulp tissue reconstruction, scaffolds must meet some specific requirements. Biodegradability is essential, since scaffolds need to be absorbed by the surrounding tissues without the necessity of surgical removal.

The types of scaffold materials available are natural or synthetic, biodegradable or permanent. The synthetic materials include polylactic acid, polyglycolic acid, and polycaprolactone, which are all common polyester materials that degrade within the human body. All these scaffolds have been successfully used for tissue engineering applications because they are degradable fibrous structures with the capability to support the growth of various different stem cell types. This has led researchers to concentrate efforts to engineer scaffolds at the nanostructural level and modify cellular interactions with the scaffold. Scaffolds may also be constructed from natural materials. In particular, different derivatives of the extracellular matrix have been studied to evaluate their ability to support cell growth. Several proteic materials, such as collagen or fibrin, and polysaccharidic materials, like chitosan or glycosaminoglycans (GAGs), need additional studies.

This will allow tissue engineered pulp tissue to be administered in a soft three-dimensional scaffold matrix, such as a polymer hydrogel. Hydrogels have the potential to be noninvasive and easy to deliver into root canal systems. In theory, the hydrogel may promote pulp regeneration by providing a substrate for cell proliferation and differentiation. Problems encoutered in the past with hydrogels included limited control over tissue formation and development. Advances in formulation have dramatically improved their ability to support cell survival. Despite these advances, hydrogels are still at an early stage of research, and this type of delivery system, although promising, has yet to be proven to be functional in vivo.

New techniques involving viral or nonviral vectors can deliver genes for growth factors, morphogens, transcription factors, and extracellular matrix molecules into target cell populations. Viral vectors are modified to avoid the possibility of causing disease. Several viruses have been genetically modified to deliver genes. Nonviral gene delivery systems include plasmids, peptides, gene guns, DNA-ligand complexes, electroporation, sonoporation, and cationic liposomes. The choice of gene delivery system depends on the accessibility and physiological characteristics of the target cell population.

An ideal scaffold should promote cell attachment and provide a conducive environment for pulp or dentin regeneration. Natural polymers include natural extracellular matrix components such as collagen and fibronectin, typically biocompatible and biodegradable.

Hyaluronic acid sponge has been used in dental pulp regeneration. Chitosan monomers. In vivo, direct pulp capping with chitosan monomer showed that chitosan monomer induced (1) minimal inflammatory cell infiltration after 1 day, (2) promoted proliferation of pulp fibroblasts after 3 days, and (3) induced mineralization by odontoblastic cells after 5 and 7 days. A number of additional synthetic polymers have been suggested as potential scaffolds for pulp regeneration. The synthetic polymers are non-toxic, biodegradable and allow precise manipulation of the physico-chemical properties [53].

PULP REGENERATION AND DENTINOGENESIS

BMP are members of the transforming growth factor (TGF)- beta family. They were originally identified as regulators of cartilage and bone formation. They play an important role in embryogenesis and morphogenesis of various organs and tissues, including teeth. It has been demonstrated that human recombinant BMP (rhBMP-2, rhBMP-7) induce dentinogenesis. The response of dental pulp cells to BMPs suggests that the cells present receptors for these bioactive molecules. BMP receptors (BMPR) are serine/threonine kinases that include type I receptors and the type II receptor. It was demonstrated that dental pulp cells (SHED, DPSC, fibroblasts) express BMPR-IA, BMPRIB and BMP-II receptors. When SHED were cultured in tooth slice and were stimulated with VEGF, VEGFR2 expression was observed after the first day of stimulation. After 28 days, SHED also began to express PECAM-1 and VE cadherin, thus suggesting that SHED progressively acquired an endothelial phenotype when exposed to VEGF [53].

The pulp tissue engineered SHED injected into full-length root canals with either Puramix™ (a peptide hydrogel) or collagen type I (rh collagen) differentiate into functional odontoblasts and facilitate the completion of root formation in necrotic immature permanent teeth [53].

This indicates that for regenerative endodontics to be successful, the disinfection of necrotic root canal systems must be accomplished in a fashion that does not impede the healing and integration of tissue engineered pulp with the root canal walls. The choice of an irrigant is of great importance, because the irrigant acts as a lubricant during instrumentation, flushes debris and microorganisms out of the canal, and reacts with pulp, necrotic tissues, and microorganisms and their subproducts.

Chemical chelating agents are used to remove the smear layer from root canal walls, Several solutions have been investigated for removing smear layers, including doxycycline, a tetracycline congener; citric acid, and, most recently, MTAD. MTAD is an aqueous solution of 3% doxycycline, 4.25% citric acid, and 0.5% polysorbate 80 detergent. This biocompatible intracanal irrigant is commercially available as a two-part set that is mixed on demand (BioPure MTAD, DentsplyTulsa, Tulsa, OK). In this product, doxycycline hyclate is used instead of its free base, to increase the water solubility of this broad spectrum antibiotic. MTAD has been reported to be effective in removing endodontic smear layers, eliminating microbes that are resistant to conventional endodontic irrigants and dressings, and providing sustained antimicrobial activity through the affinity of doxycycline to bind to dental hard tissues (Table 2,3) [50-53].

Table 2. Summary of the barriers to be addressed to permit the introduction of regenerative endodontics.

1

Disinfection and shaping of root canals in a fashion to permit regenerative endodontics

 

(a) Chemomechanical debridement - cleaning and shaping root canals

 

(b) Irrigants - 6% sodium hypochlorite and 2% chlorhexidine gluconate and alternatives

 

 (C) Medicaments - Calcium hydroxide, triple antibiotics, MTAD, and alternatives

2

Creation of replacement pulp-dentin tissues

 

(a) Pulp revascularization by apex instrumentation

 

(b) Stem cells; allogenic, autologous, xenogenic, umbilical cord sources

 

(c) Growth factors; BMP-2, -4, -7; TGF-b1,-b2,-b3

 

(d) Gene therapy; identification of mineralizing genes

 

(e)Tissue engineering; cell culture, scaffolds, hydrogels

3

Delivery of replacement pulp-dentin tissues

 

(a) Surgical implantation methods

 

(b) Injection site

4

Dental restorative materials

 

(a) Improve the quality of sealing between restorative materials and dentin

 

(b)  Ensure long-term sealing to prevent recurrent pulpitis

5

Measuring appropriate clinical outcomes

 

(a) Vascular blood flow

 

(b) Mineralizing odontoblastoid cells

 

(c) Intact afferent innervations

 

(e) Lack of signs or symptoms

Table 3 : Developmental approaches for oral regenerative  endodontic techniques - Scaffolds are implicated in pulp tissue regeneration.

CONCLUSIONS

Following symmetric or asymmetric divisions, stem cells are defined by three major properties: self-renewal, clonogenic proliferation, and multipotent or pluripotent cells, susceptible to differentiate into several distinct lineages. At the end of the cascade of successive phases, they become terminally differentiated cells. Five dental SC have been identified in the pulp and in the surrounding tissus. In addition to the dental pulp stem cells (DPSCs), stem cells from exfoliated deciduous teeth (SHED), from the apical papilla (SCAP), and periodontal ligament, and cells of the follicle sac were recognized. They may contribute to apexogenesis when the pulp is still alife, or after a trauma or infection, they keep the potential for apexification with or without root canal regeneration. Stem cells, extracellular matrix components, growth and transcription factors, and/or viral vectors may be used to reprogram progenitor cells, in close association with a bioactive non-toxic scaffold. Altogether, these steps are effective in removing endodontic smear layers. They should eliminate microbes that are resistant to conventional endodontic irrigants and dressings. This is a pre-requisite before any attempt to regenerate the root pulp. These procedures pave the way to novel endocontic therapies, allowing the repair of radicular pulp, with tissue reformation associated to the binding of the regenerated pulp to dental hard tissues, and the tight closure, forming an impermeable seal to the tooth apex.

REFERENCES

1. Mitsiadis TA, Barrandon O, Rochat A, Barrandon Y, De Bari C. Stem cell niches in mammals. Exp Cell Res. 2007; 313: 3377-3385.

2. Krebsbach PH, Gehron Robey P. Dental and skeletal stem cells : potential cellular therapeutics for craniofacial regeneration. J Dent. Education. 2002; 66: 766- 773.

3. Shi S, Gronthos S. Perivascular niche of postnatal mesenchymal stem cells in human bone marrow and dental pulp. J Bone Miner Res. 2003; 18: 696-704.

4. Oh M, Nör JE. The perivascular niche and self-renewal of stem cells. Frontiers in Physiol. 2015; 6: 1-6.

5. Iohara K, Zheng L, Ito M, Nabekura J, Wakita H, Nakamura H, et al. A novel stem cell source for vasculogenesis in ischemia: subfraction of side population cells from dental pulp. Stem Cells. 2008; 26: 2408- 2418.

6. Alhadlaq A, Mao JJ. Mesenchymal stem cells: isolation and therapeutics. Stem cells and development. 2004; 13: 436-448.

7. Meirelles LDS, Fontes AM, Covas DT, Caplan AI. Mechanisms involved in the therapeutic properties of mesenchymal stem cells. Cytokine & Growth factor Reviews. 2009; 20: 419-427.

8. Nakamura S, Yamada Y, Katagiri W, Sugito T, Ito K, Ueda M. Stem cell proliferation pathways comparison between human exfoliated deciduous teeth and dental pulp stem cells by gene expression profile from promissing dental pulp. J Endod. 2009; 35: 1536-1542.

9. Pisciotta A, Carnevale G, Meloni S, Riccio M, De Bias S, Gibellini L, et al. Human dental pulp stem cells (hDPSCs) : isolation, enrichment and comparative differentiation of two sub-populations. Dev Biol. 2015; 15: 1-16.

10. Huang G T-J. A paradigm shift in endodontic management of immature teeth: conservation of stem cells for regeneration. J Dent. 2008; 36: 379-386.

11. Caplan AI. Adult mesenchymal stem cells for tissue engineering versus regenerativee medicine. J Cell Physiol. 2007; 213: 341-347.

12. Govindasamy V, Abdullah AN, Ronald VS, Musa S, Adura Z, Zain RB, et al. Inherent differential propensity of dental pulp stem cells derived from human deciduous and permanent teeth. J Endod. 2010; 36: 1504-1515.

13. Bunnell BA, Flaat M, Gagliardi C, Patel B, Ripoli C. Adipose-derived stem cells : isolation, expansion and differentiation. Methods. 2008; 45: 115-120.

14. Paduano F, Marrelli M, Amantea M, Rengo C, Rengo S, Goldberg M, et al. Adipose tissue as a strategic source of mesenchymal stem cells in bone regeneration: a topical review on the most promising craniomaxillofacial applications. Int J Molecular Sciences. 2017; 18: 2140- 2152.

15. Schofield R. The relationship between the spleen colony forming cell and the hematopoïetic stem cell. Blood Cells. 1978; 4: 7-25.

16. Friedenstein AJ, Chailakhjan RK, Lalykina KS. The development of fibroblast colonies in monolayer cultures of guinea-pig bone marrow and spleen cells. Cell Tissue Kinet. 1970; 3: 393- 403.

17. Pittenger MF, Mackay AM, Beck SC, Jaiswal RK, Douglas R, Mosca JD, et al. Multilineage potential of adult human mesenchymal stem cells. Science. 1999; 284: 143-147.

18. Zhang J, Niu C, Ye L, Huang H, He X, Tong W-G, et al. Identification of the haematopoietic stem cell niche and control of the niche size. Nature. 2003; 425: 836-841. 1

19. Lane SW, Williams DA, Watt FM. Modulating the stem cell niche for tissue regeneration. Nat Biotechnol. 2014 ; 32: 795-803.

20. Lizier NF, Kerkis A, Gomes CM, Hebling J, Oliveira CF, Caplan AI, et al. Scaling-up of dental pulp stem cells isolated from multiple niches. Plos One. 2012 ; 7: 39885.

21. Oswald J, Boxberger S, Jorgensen B, Feldmann S, Ehninger G, Bornhäuser M, et al. Mesenchymal stem cells can be differentiated into endothelial cells in vitro. Stem cells. 2004; 22: 377-384.

22. Huang GT. Pulp and dentin tissue engineering and regeneration: current progress. Regen Med. 2009; 4: 697-707.

23. Gervois P, Struys T, Hilkens P, Bronckaerts A, Ratajczak J, Politis C, et al. Neurogenic maturation of human dental pulp stem cells following neurosphere generation induces morphological and electrophysiological characteristics of functional neurons. Stem Cells Dev. 2015; 24: 296-311.

24. Martens W, Sanen K, Georgiou M, Struys T, Bronckaers A, Ameloot M, et al. Human dental pulp stem cells can differentiate into Schwann cells and promote and guide neurite outgrowth in an aligned tissueengineered collagen construct in vitro. FASEB J. 2014; 28: 1634-1643.

25. Li L, Xie T. Stem cell niches: structure and function. Annu Rev Cell Dev Biol. 2005; 21: 605-631.

26. Morrison SJ, Spradling AC. Stem cells and niches: mechanisms that promote stem cell maintenance through out life. Cell. 2008; 132: 598- 611.

27. Moore KA, Lemischka IR. Stem cells and their niches. Science. 2006; 311: 1880-1885.

28. Mitsiadis TA, Feki A, Papaccio G, Caton J. Dental pulp stem cells, niches, and Notch signaling in tooth injury. Adv Dent Res. 2011; 23: 275-279..29. Kolf CM, Cho E, Tuan RS. Mesenchymal stromal cells- Biology of adult mesenchymal stem cells : regulation of niche, self-renewal and differentiation. Arthritis Res Therapy. 2007; 9: 1-10.

30. Nakashima M, Iohara K. Mobilized dental pulp stem cells for pulp regeneration: initiation of clinical trial. J Endod. 2014; 40: 26-32.

31. Bianco P, Riminucci M, Gronthos S, Gehron Robey P. Bone marrow stromal stem cells: nature, biology, and potential applications. Stem Cells. 2001; 19: 180-192.

32. Huang G T, Sonoyama W, Liu Y, Liu H, Wang S, Shi S. The hidden treasure in apical papilla : the potential role in pulp/dentin regeneration and bioroot engineering. J Endod. 2008; 34: 645-651.

33. Sonoyama W, Liu Y, Yamaza T, Tuan RS, Wang S, Shi S, et al. Characterization of the apical papilla and its residing stem cells from human immature permanent teeth: a pilot study. J Endod. 2008; 34: 166-171.

34. Arthur A, Shi S, Zannettino ACW, Fujii N, Gronthos S, Koblar SA. Implanted adult human dental pulp stem cells induce endogeneous axon guidance. Stem Cells. 2009; 27: 2229-2237. 

35. Prescott RS, Alsanea R, Fayad MI, Johnson BR, Wenckus CS, Hao J, et al. In-vivo generation of dental pulp-like tissue using human pulpal stem cells, a collagen scaffold and Dentin Matrix Protein 1 following subcutaneous transplantation in mice. J Endod. 2008; 34: 421-426.

36. Bronckaers A, Hilkens P, Fanton Y, Struys T, Gervois P, Politis C, et al. Angiogenic properties of human dental pulp stem cells. Plos One. 2013; 8: 71110.

37. Potdar PD, Jethmalani YD. Human dental pulp stem cells : applications in future regenerative medicine. World J Stem Cells. 2015; 7: 839-851.

38. De Lima RL, Holanda Afonso RC, Neto VM, Bolognese AM, Dos Santos MFH, Gomes de Souza M Human dental follicle cells express embryonic, mesenchymal and neural stem cells markers. Arch Oral Biol. 2017; 73: 121-128.

39. Takahashi K, Yamanaka S. Induction of pluripotent stem cells from mouse embryonic and adult fibroblast cultures by defined factors. Cell. 2006; 126: 663-676.

40. Takahashi K, Tanabe K, Ohnuki M, Narita M, Ichisaka T, Tomoda K, et al. Induction of pluripotent stem cells from adult human fibroblasts by defined factors. Cell. 2007; 131: 861-872.

41. Yan X, Qin H, Qu RS, Shi S, Huang GT. iPS cells reprogrammed from mesenchyme-like stem/progenitor cells of dental tissue origin. Stem cells and development. 2010; 19: 469-480.

42. Yu J, Vodyanik MA, Smuga-Otto K, Frane JL, Tian S, Nie J, et al. Induced pluripotent stem cell lines derived from human somatic cells. Science. 2007; 318: 1917-1920.

43. Zhu W, Zhu X, Huang GT, Cheung GSP, Dissanayaka WL, Zhang C. Regeneration of dental pulp tissue in immature teeth with apical periodontitis using platelet-rich plasma and dental pulp cells. Int Endod J. 2013; 46: 962-970.

44. Nosrat A, Li KL, Vir K, Hicks ML, Fouad AF. Is pulp regeneration necessary for root maturation? J Endod. 2013; 39: 1291-1295.

45. Friedlander LT, Cullinan MP, Love RM. Dental stem cells and their potential role in apexogenesis and apexification. Internat Endod J. 2009; 42: 955-962.

46. Kim S-H, Kim S, Shin Y, Lee H-S, Jeon M, Kim S, et al. Comparative gene expression analysis of the coronal pulp and apical pulp complex in human immature teeth. J Endod. 2016; 42: 752-759. .

47. Tziafas D. The future role of a molecular approach to pulp-dentinal regeneration. Caries Res. 2004; 38: 341- 320.

48. Nakashima M, Akmine A. The application of tissue engineering to regeneration of pulp and dentin in endodontics. J Endod. 2005; 31: 711-718.

49. Trope M. Regenerative potential of dental pulp. J Endod. 2008; 34: 13- 17.

50. Murray PE, Garcia-Godoy F, Hargreaves KM. Regenerative endodontics: a review of current status and a call for action. J Endod. 2007; 33: 377-390.

51. Kim SK, Zhou J, Ye L, Cho S, Suzuki T, Fu SY, et al. Regenerative endodontics: barriers and strategies for clinical translation. Dent Clin North Am. 2012; 56: 639-649.

52. Demarco FF, Conde MCM, Cavalcanti BN, Casagrande L, Sakai VT, Nör JE. Dental pulp tissue engineering. Braz Dent J. 2011; 22: 3-14.

53. Rosa V, Zhang Z, Grande RHM, Nör JE. Dental pulp tissue engineering in full-length human root canal. J Dent Res. 2013; 92: 970-975

Goldberg M (2020) Oral Stem Cells and Regeneration Therapies. JSM Dent 8(1): 1122.

Received : 08 Jan 2020
Accepted : 28 Jan 2020
Published : 30 Jan 2020
Journals
Annals of Otolaryngology and Rhinology
ISSN : 2379-948X
Launched : 2014
JSM Schizophrenia
Launched : 2016
Journal of Nausea
Launched : 2020
JSM Internal Medicine
Launched : 2016
JSM Hepatitis
Launched : 2016
JSM Oro Facial Surgeries
ISSN : 2578-3211
Launched : 2016
Journal of Human Nutrition and Food Science
ISSN : 2333-6706
Launched : 2013
JSM Regenerative Medicine and Bioengineering
ISSN : 2379-0490
Launched : 2013
JSM Spine
ISSN : 2578-3181
Launched : 2016
Archives of Palliative Care
ISSN : 2573-1165
Launched : 2016
JSM Nutritional Disorders
ISSN : 2578-3203
Launched : 2017
Annals of Neurodegenerative Disorders
ISSN : 2476-2032
Launched : 2016
Journal of Fever
ISSN : 2641-7782
Launched : 2017
JSM Bone Marrow Research
ISSN : 2578-3351
Launched : 2016
JSM Mathematics and Statistics
ISSN : 2578-3173
Launched : 2014
Journal of Autoimmunity and Research
ISSN : 2573-1173
Launched : 2014
JSM Arthritis
ISSN : 2475-9155
Launched : 2016
JSM Head and Neck Cancer-Cases and Reviews
ISSN : 2573-1610
Launched : 2016
JSM General Surgery Cases and Images
ISSN : 2573-1564
Launched : 2016
JSM Anatomy and Physiology
ISSN : 2573-1262
Launched : 2016
JSM Dental Surgery
ISSN : 2573-1548
Launched : 2016
Annals of Emergency Surgery
ISSN : 2573-1017
Launched : 2016
Annals of Mens Health and Wellness
ISSN : 2641-7707
Launched : 2017
Journal of Preventive Medicine and Health Care
ISSN : 2576-0084
Launched : 2018
Journal of Chronic Diseases and Management
ISSN : 2573-1300
Launched : 2016
Annals of Vaccines and Immunization
ISSN : 2378-9379
Launched : 2014
JSM Heart Surgery Cases and Images
ISSN : 2578-3157
Launched : 2016
Annals of Reproductive Medicine and Treatment
ISSN : 2573-1092
Launched : 2016
JSM Brain Science
ISSN : 2573-1289
Launched : 2016
JSM Biomarkers
ISSN : 2578-3815
Launched : 2014
JSM Biology
ISSN : 2475-9392
Launched : 2016
Archives of Stem Cell and Research
ISSN : 2578-3580
Launched : 2014
Annals of Clinical and Medical Microbiology
ISSN : 2578-3629
Launched : 2014
JSM Pediatric Surgery
ISSN : 2578-3149
Launched : 2017
Journal of Memory Disorder and Rehabilitation
ISSN : 2578-319X
Launched : 2016
JSM Tropical Medicine and Research
ISSN : 2578-3165
Launched : 2016
JSM Head and Face Medicine
ISSN : 2578-3793
Launched : 2016
JSM Cardiothoracic Surgery
ISSN : 2573-1297
Launched : 2016
JSM Bone and Joint Diseases
ISSN : 2578-3351
Launched : 2017
JSM Bioavailability and Bioequivalence
ISSN : 2641-7812
Launched : 2017
JSM Atherosclerosis
ISSN : 2573-1270
Launched : 2016
Journal of Genitourinary Disorders
ISSN : 2641-7790
Launched : 2017
Journal of Fractures and Sprains
ISSN : 2578-3831
Launched : 2016
Journal of Autism and Epilepsy
ISSN : 2641-7774
Launched : 2016
Annals of Marine Biology and Research
ISSN : 2573-105X
Launched : 2014
JSM Health Education & Primary Health Care
ISSN : 2578-3777
Launched : 2016
JSM Communication Disorders
ISSN : 2578-3807
Launched : 2016
Annals of Musculoskeletal Disorders
ISSN : 2578-3599
Launched : 2016
Annals of Virology and Research
ISSN : 2573-1122
Launched : 2014
JSM Renal Medicine
ISSN : 2573-1637
Launched : 2016
Journal of Muscle Health
ISSN : 2578-3823
Launched : 2016
JSM Genetics and Genomics
ISSN : 2334-1823
Launched : 2013
JSM Anxiety and Depression
ISSN : 2475-9139
Launched : 2016
Clinical Journal of Heart Diseases
ISSN : 2641-7766
Launched : 2016
Annals of Medicinal Chemistry and Research
ISSN : 2378-9336
Launched : 2014
JSM Pain and Management
ISSN : 2578-3378
Launched : 2016
JSM Women's Health
ISSN : 2578-3696
Launched : 2016
Clinical Research in HIV or AIDS
ISSN : 2374-0094
Launched : 2013
Journal of Endocrinology, Diabetes and Obesity
ISSN : 2333-6692
Launched : 2013
Journal of Substance Abuse and Alcoholism
ISSN : 2373-9363
Launched : 2013
JSM Neurosurgery and Spine
ISSN : 2373-9479
Launched : 2013
Journal of Liver and Clinical Research
ISSN : 2379-0830
Launched : 2014
Journal of Drug Design and Research
ISSN : 2379-089X
Launched : 2014
JSM Clinical Oncology and Research
ISSN : 2373-938X
Launched : 2013
JSM Bioinformatics, Genomics and Proteomics
ISSN : 2576-1102
Launched : 2014
JSM Chemistry
ISSN : 2334-1831
Launched : 2013
Journal of Trauma and Care
ISSN : 2573-1246
Launched : 2014
JSM Surgical Oncology and Research
ISSN : 2578-3688
Launched : 2016
Annals of Food Processing and Preservation
ISSN : 2573-1033
Launched : 2016
Journal of Radiology and Radiation Therapy
ISSN : 2333-7095
Launched : 2013
JSM Physical Medicine and Rehabilitation
ISSN : 2578-3572
Launched : 2016
Annals of Clinical Pathology
ISSN : 2373-9282
Launched : 2013
Annals of Cardiovascular Diseases
ISSN : 2641-7731
Launched : 2016
Journal of Behavior
ISSN : 2576-0076
Launched : 2016
Annals of Clinical and Experimental Metabolism
ISSN : 2572-2492
Launched : 2016
Clinical Research in Infectious Diseases
ISSN : 2379-0636
Launched : 2013
JSM Microbiology
ISSN : 2333-6455
Launched : 2013
Journal of Urology and Research
ISSN : 2379-951X
Launched : 2014
Journal of Family Medicine and Community Health
ISSN : 2379-0547
Launched : 2013
Annals of Pregnancy and Care
ISSN : 2578-336X
Launched : 2017
JSM Cell and Developmental Biology
ISSN : 2379-061X
Launched : 2013
Annals of Aquaculture and Research
ISSN : 2379-0881
Launched : 2014
Clinical Research in Pulmonology
ISSN : 2333-6625
Launched : 2013
Journal of Immunology and Clinical Research
ISSN : 2333-6714
Launched : 2013
Annals of Forensic Research and Analysis
ISSN : 2378-9476
Launched : 2014
JSM Biochemistry and Molecular Biology
ISSN : 2333-7109
Launched : 2013
Annals of Breast Cancer Research
ISSN : 2641-7685
Launched : 2016
Annals of Gerontology and Geriatric Research
ISSN : 2378-9409
Launched : 2014
Journal of Sleep Medicine and Disorders
ISSN : 2379-0822
Launched : 2014
JSM Burns and Trauma
ISSN : 2475-9406
Launched : 2016
Chemical Engineering and Process Techniques
ISSN : 2333-6633
Launched : 2013
Annals of Clinical Cytology and Pathology
ISSN : 2475-9430
Launched : 2014
JSM Allergy and Asthma
ISSN : 2573-1254
Launched : 2016
Journal of Neurological Disorders and Stroke
ISSN : 2334-2307
Launched : 2013
Annals of Sports Medicine and Research
ISSN : 2379-0571
Launched : 2014
JSM Sexual Medicine
ISSN : 2578-3718
Launched : 2016
Annals of Vascular Medicine and Research
ISSN : 2378-9344
Launched : 2014
JSM Biotechnology and Biomedical Engineering
ISSN : 2333-7117
Launched : 2013
Journal of Hematology and Transfusion
ISSN : 2333-6684
Launched : 2013
JSM Environmental Science and Ecology
ISSN : 2333-7141
Launched : 2013
Journal of Cardiology and Clinical Research
ISSN : 2333-6676
Launched : 2013
JSM Nanotechnology and Nanomedicine
ISSN : 2334-1815
Launched : 2013
Journal of Ear, Nose and Throat Disorders
ISSN : 2475-9473
Launched : 2016
JSM Ophthalmology
ISSN : 2333-6447
Launched : 2013
Journal of Pharmacology and Clinical Toxicology
ISSN : 2333-7079
Launched : 2013
Annals of Psychiatry and Mental Health
ISSN : 2374-0124
Launched : 2013
Medical Journal of Obstetrics and Gynecology
ISSN : 2333-6439
Launched : 2013
Annals of Pediatrics and Child Health
ISSN : 2373-9312
Launched : 2013
JSM Clinical Pharmaceutics
ISSN : 2379-9498
Launched : 2014
JSM Foot and Ankle
ISSN : 2475-9112
Launched : 2016
JSM Alzheimer's Disease and Related Dementia
ISSN : 2378-9565
Launched : 2014
Journal of Addiction Medicine and Therapy
ISSN : 2333-665X
Launched : 2013
Journal of Veterinary Medicine and Research
ISSN : 2378-931X
Launched : 2013
Annals of Public Health and Research
ISSN : 2378-9328
Launched : 2014
Annals of Orthopedics and Rheumatology
ISSN : 2373-9290
Launched : 2013
Journal of Clinical Nephrology and Research
ISSN : 2379-0652
Launched : 2014
Annals of Community Medicine and Practice
ISSN : 2475-9465
Launched : 2014
Annals of Biometrics and Biostatistics
ISSN : 2374-0116
Launched : 2013
JSM Clinical Case Reports
ISSN : 2373-9819
Launched : 2013
Journal of Cancer Biology and Research
ISSN : 2373-9436
Launched : 2013
Journal of Surgery and Transplantation Science
ISSN : 2379-0911
Launched : 2013
Journal of Dermatology and Clinical Research
ISSN : 2373-9371
Launched : 2013
JSM Gastroenterology and Hepatology
ISSN : 2373-9487
Launched : 2013
Annals of Nursing and Practice
ISSN : 2379-9501
Launched : 2014
Author Information X