Loading

JSM Dentistry

The Dental Pulp: Composition, Properties and Functions

Review Article | Open Access | Volume 5 | Issue 1

  • 1. Faculty of Fundamental and Biomedical Sciences, René Descartes University, France
  • 2. Department of Anatomy and Cell Biology, Osaka Medical College, Japan
+ Show More - Show Less
Corresponding Authors
Michel Goldberg, INSERM UMR-S 1124 and Université Paris Descartes, Sorbonne, Paris Cité, Cellules souches, Signalisation et Prions 75006 Paris, France, 45 rue des Saints Pères, Paris 75006,
Abstract

Derived from neural crests, the mature pulp is due to the proliferation and condensation of apical cells implicated in root lengthening. Adult cells are bound together by intercellular junctions (desmosomes and gap junctions), forming a network. They are further transported to the crown. Root lengthening is associated to tooth eruption and to vertical sliding. Composed by type I and III collagens, fibronectin, tenascin, and other non-collagenous proteins that include a series of proteoglycans, the extracellular matrix is favoring the sliding of pulp cells. A micro-vascular network differing in the root and crown, supply the blood flow. Endothelial cells, pericytes and lymphatic vessels are contributing to direct the vascular implication to pulp development. Inflammatory and immunocompetent cells are present with in the pulp, namely dendritic cells, macrophages, lymphocytes and endothelial cells. They add to the different forms of the immune response of the dental pulp implicated in the different types of programed cell death. Nerves play role in the neutrophin family, identified within the pulp. Neuromediators are released near the nerves. Stem cells issued from the pulp of permanent and deciduous teeth, from the apical papilla and from the dental follicle, contribute to pulp healing and regeneration. Sliding of the pulp cells from the apical to the coronal pulp, and later the lateral sliding due to the effects of Wnt visualized after BIO implantation, are factors implicated in the formation of reparative and reactionary dentin, and consequently to pulp healing.

Keywords

• Dental pulp

• Programed cell death

• Stem cells

Citation

Goldberg M, Hirata A (2017) The Dental Pulp: Composition, Properties and Functions. JSM Dent 5(1): 1079.

INTRODUCTION

The dental pulp is enclosed in a rigid environment comprising three mineralized tissues: dentine, enamel and cementum. This strong mechanical support protects the pulp from the microbialrich oral environment. During the initial carious attack, the pulp turn out to be inflamed and gradually, the evolution of the lesion leads to pulp necrosis and infection. Afterward, the inflammation expands to the surrounding alveolar bone [1].

Three stages of tooth formation are well identified in vivo 1) the crown should be completed, 2) root formation and eruption was achieved, and 3) the whole length of the root was complete. Attempts were carried out for culturing pulp cells, even a mixture of cells at immature and mature stages. Cultured in vitro for 15 days, pulp cells became ALP-positive and produced a calcified matrix, as judged from the von Kossa staining. However, the success for obtaining primary pulp cultures displays significant variability. Unpredictability was found during the different evaluations performed to establish cell lines. The proliferative activity was unrelated to donor age, individuals and passage number [2]. Altogether, these studies highlight the difficulties in establishing homogeneous and reliable cell lines from dental pulps.

Embryologically, the dental pulp derives from neural crest cells. Proliferation and condensation of the cells lead to the formation of a dental papilla, from which the mature pulp is derived (Figure 1).

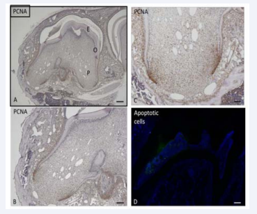
 1 A, B, and C: Proliferation visualized by the cell nuclear  antibody (PCNA). PCNA positive cells are present in the apical  zone (in the apical cell-rich zone). D: Apoptotic cells are stained  in the apical zone of the root (TUNEL staining). Roots are in the  process of lengthening. P= pulp, O= odontoblasts, E= enamel. Bars:  A,C=300micrometers; B,D = 75micrometers

Figure 1 A, B, and C: Proliferation visualized by the cell nuclear antibody (PCNA). PCNA positive cells are present in the apical zone (in the apical cell-rich zone). D: Apoptotic cells are stained in the apical zone of the root (TUNEL staining). Roots are in the process of lengthening. P= pulp, O= odontoblasts, E= enamel. Bars: A,C=300micrometers; B,D = 75micrometers

The peripheral odontoblasts and subodontoblastic Hoehl’s cell layer are located in the lateral parts of the pulp, with different origins and differentiation programs. In addition to pulp fibroblasts, the dental pulp has high incidence on sensory nerves and on the capillary network. Immunocompetent cells are also implicated in pulp defense. Inflammatory processes lead to pulp wounding and degeneration. Regeneration of the pulp is mainly under the control of stem cells, cells side population, and growth and transcription factors (Figures 2, 3).

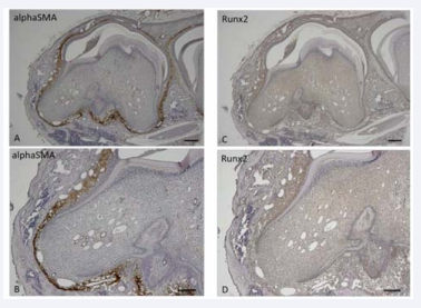
 2 A & B: Immunolabeling of the periodontal ligament by alpha  Smooth Muscle Antibody (SMA). C & D: tooth germ labeling by Runx2  antibody. Bars: A, C = 200 ?m, B, D =300 ?m.

Figure 2 A & B: Immunolabeling of the periodontal ligament by alpha Smooth Muscle Antibody (SMA). C & D: tooth germ labeling by Runx2 antibody. Bars: A, C = 200 μm, B, D =300 μm.

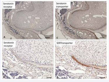
 Root apical zone of the forming tooth. A & B: Immunolabeling  for serotonin receptor. Bar= 100µm. C & D: immunolabeling for  serotonin transporter. Bars: A, C = 300 ?m, B, D =75 ?m.

Figure 3 Root apical zone of the forming tooth. A & B: Immunolabeling for serotonin receptor. Bar= 100µm. C & D: immunolabeling for serotonin transporter. Bars: A, C = 300 μm, B, D =75 μm.

Adult pulp cells are bound by intercellular junctions, mostly desmosome-like and gap junctions [3,4]. Tight junctions were not identified. Intercellular junctions bind together pulp cells, which form a syncytium. This implies that pulp cells are transported from the central part of the root to the crown, from the apical pulp to the outer limits of the crown. Pulp cells are located just beneath the sub-odontoblastic, the so-called Hoehl’s layer. Obviously, the pulp cells are not transported individually or separately toward the outer part of the pulp, despite the presence of processes acting independently. They are sliding and/or transported altogether from the apical papilla to the coronal pulp.

Pulp cells display cilia. Their motility influence aggregation and/or disintegration of the intercellular matrix. Type I and type III collagen fibrils are well identified in the intercellular matrix [5,6]. They form a stable network despite the presence of MMPs (matrix metalloproteases) implicated in extracellular matrix remodeling [7]. Pulp cells migrate and they slide together with extracellular matrix renovation. Small aggregates of proteoglycans (PGs) punctuate the thin collagen fibrils. There are also some indications that as an amorphous gel, PGs facilitate the migration of pulp fibroblasts within the dental pulp [4].

Root

lengthening Three zones have been identified in molars after beads implantation (Figures 4-6).

 Respective location of the apical cell-rich zone, the apical  papilla mesenchyme and radicular dental pulp. These are niches for  stem cells at early stages of root formation. (at 1 to 3 days).

Figure 4 Respective location of the apical cell-rich zone, the apical papilla mesenchyme and radicular dental pulp. These are niches for stem cells at early stages of root formation. (at 1 to 3 days).

A & D: After the preparation of a cavity (asterisk) three zones  are identified in the rat’s molar. In B & C: Zones I is labeled with  PCNA. In E and F: Labeling of root (zone III) with PCNA. Bar= 100 µm.

Figure 5 A & D: After the preparation of a cavity (asterisk) three zones are identified in the rat’s molar. In B & C: Zones I is labeled with PCNA. In E and F: Labeling of root (zone III) with PCNA. Bar= 100 µm.

A & D: Zones I, II and III in the molar after the preparation  of a cavity (asterisk). Coronal zone labeled with PCNA (zone I); E & F:  Zone III: apical zone of the molar.

Figure 6 A & D: Zones I, II and III in the molar after the preparation of a cavity (asterisk). Coronal zone labeled with PCNA (zone I); E & F: Zone III: apical zone of the molar.

 A: H&E staining of a sham rat. B: PCNA labeling. Molar day  2. Bar= 100µm.

Figure 7 A: H&E staining of a sham rat. B: PCNA labeling. Molar day 2. Bar= 100µm.

Zone I and zone II are located in the crown, namely they occupy the isthmus between the mesial and central pulp. In contrast, zone III is located in the apical root [8,9]. PCNA labeling is important in the root, and more restricted in the crown. It is also in zone III that a few cells underwent apoptosis. Apoptotic cells are rare and only detectable near the apex (Figures 1,4-8).

 8 A & B: Sham rat. The apical cell-rich zone is labeled. C & D:  Labeling after 2 days with leucine-rich amelogenin peptide (LRAP).  The radicular dental pulp is labeled. Bar= 100µm

Figure 8 A & B: Sham rat. The apical cell-rich zone is labeled. C & D: Labeling after 2 days with leucine-rich amelogenin peptide (LRAP). The radicular dental pulp is labeled. Bar= 100µm

They are disseminated in the apical zone and in the pulp located in the root. No labeling appears in the coronal parts, at least 7 days after beads implantation. Cell proliferation implies that root lengthening occurs essentially in the forming root. In the surrounding apical zone, an apical cell-rich zone is seen, followed by the apical papilla mesenchyme. The radicular dental pulp is located in the root, and this is the place where pulp cells differentiate into odontoblasts and in the sub-odontoblastic layer (the so-called Hoehl’s layer) (Figures 9,10,13-14).

 Schematic sliding of stem cells from the apical cell-rich zone  to the apical papilla mesenchyme, followed by migration of the cells  toward the radicular dental pulp. PCNA labeling of pulp cells after 1-3  days.

Figure 9 Schematic sliding of stem cells from the apical cell-rich zone to the apical papilla mesenchyme, followed by migration of the cells toward the radicular dental pulp. PCNA labeling of pulp cells after 1-3 days.

10 A: Localization in the apical cell-rich zone. B: After beads  implantation, cell migration starts. C: Sham molar. Labeled cells are  present in the apical cell-rich zone. D: After implantation of beads  loaded with LRAP labeled cells are present in the radicular dental  pulp.

Figure 10 A: Localization in the apical cell-rich zone. B: After beads implantation, cell migration starts. C: Sham molar. Labeled cells are present in the apical cell-rich zone. D: After implantation of beads loaded with LRAP labeled cells are present in the radicular dental pulp.

11 a: Implantation of agarose beads loaded with A-4 (an  amelogenin peptide with exon 4 deletion), after 8 days. PCNA labeled  cells are located beneath the odontoblast layer and in the crown. b &  c: At 15 days, no labeling is detected in the root and labeled cells are  seen in the crown around the beads. Bar= 100µm.

Figure 11 a: Implantation of agarose beads loaded with A-4 (an amelogenin peptide with exon 4 deletion), after 8 days. PCNA labeled cells are located beneath the odontoblast layer and in the crown. b & c: At 15 days, no labeling is detected in the root and labeled cells are seen in the crown around the beads. Bar= 100µm.

12 PCNA labeling after 8 (a) and 15 days (b). Cells have  migrated from the apical part to the crown, around the agarose beads.  Bar= 100µm.

Figure 12 PCNA labeling after 8 (a) and 15 days (b). Cells have migrated from the apical part to the crown, around the agarose beads. Bar= 100µm.

 Detection of apoptotic cells in the odontoblast layer.  A: H&E labeling. B: Apoptotic cells are labeled using the TUNEL  method (terminal deoxynucleotididyl transferase (TdT)- mediated  biotinylabeled dUTP nick end labeling). Bar= 100µm.

Figure 13 Detection of apoptotic cells in the odontoblast layer. A: H&E labeling. B: Apoptotic cells are labeled using the TUNEL method (terminal deoxynucleotididyl transferase (TdT)- mediated biotinylabeled dUTP nick end labeling). Bar= 100µm.

 14 A & B Immunostaining of apoptotic cells with a  transglutaminase antibody. Some sub-odontoblastic Hoehl’s cells are  labeled. No labeling is seen in the odontoblast layer (O), and in the  dental pulp (P). Bar= 100µm.

Figure 14 A & B Immunostaining of apoptotic cells with a transglutaminase antibody. Some sub-odontoblastic Hoehl’s cells are labeled. No labeling is seen in the odontoblast layer (O), and in the dental pulp (P). Bar= 100µm.

The cells slide from the apical cell-rich zone to the apical papilla mesenchyme. Odontoblasts and Hoehl’s cells migrate toward the dental pulp beneath the lateral margins. They start to synthetize and secrete the mantle dentin, a process followed by the formation of circumpulpal dentine. After a limited lengthening associated with tooth eruption, the coronal part forms and the tooth emerge in the oral cavity.

Pulp-derived fibroblasts: composition

The tooth pulp is composed by a syncytium or stellateappearing fibroblasts. Gap junctions link cells. Desmosomes also contribute to establish intercellular junctions. The width of the cell body varies in shape, displaying several cell processes. The width of the cells ranged from 9 to 15μm, with some cell processes extending up to 22μm in length [10].

They synthetize type I collagen, fibronectin, osteonectin and bone sialoprotein. Dipeptidyl peptidase I, cathepsins B and D, may also contribute to the degradation of native type I collagen in vitro [7,11].

In culture, pulp fibroblasts synthetize type III collagen. In vitro, proteoglycans are synthetized and degraded by adult fibroblasts. Identified as chondroitin sulfate (CS), dermatan sulfate (DS) and heparan sulfate (HS), DS and CS are the principal GAGs associated with the cell layers. CS and DS correspond to decorin and biglycan. Versican and syndecan are also identified. After 10-15 days, cultured fibroblasts produce mineralized nodules. Pulp fibroblasts release predominantly glycoproteins with an apparent molecular weight of 230,000 but other species are also seen, the major fucosylated glycoprotein being fibronectin.

Fibroblasts (or pulpoblasts, according to Baume, 1980)[12] are involved in the mineralization of hard dental tissues. The main ECM molecules are type I and III collagens, and non-collagenous proteins such as fibronectin, tenascin, osteonectin and osteocalcin, and glycosaminoglycans including hyaluronic acid, chondroitin sulfate, heparan sulfate (CS, HS) and phospholipids.

The effects of DMP-1 on interleukin-6 (IL-6) and interleukin-8 (IL-8) are unclear [13]. Pulpoblasts are identified on the basis of immunoreactivity against vimentin and collagen 1α1 by immunofluorescence and negative staining to CD45, CD34 and cytokeratin. Inhibition of the p38 mitogen-activated protein kinase pathway blocked the proinflammatory effect of DMP-1 on dental pulp. The cells produce MMPs (collagenase-2, collagenase-9, also named gelatinases), and matrix metalloproteinase-3 (the “socalled” stromelysine). The tissue inhibitors of MMPs (TIMPs) play role in dental pulp destruction [11].

Collagen degradation was stimulated by IL-1α and inhibited by MMPs inhibitors. IL-α1 increased the secreted protein level of TIMP-1, and only affected the level of TIMP-2. It was concluded that IL-1α induces pulp destruction by different regulations of MMPs and TIMPs.

Matrix metalloproteinase-8 (MMP-8) is expressed by pulp tissue. The effect of TGF-β1 down-regulated the expression, synthesis, and activation of MMP-8. Odontoblast-derived gelatinases participate in the organization of dentine organic matrix prior to mineralization [14].

Pulp vascularization and microvascular network - Angiogenesis: role of human pulp fibroblasts

The branches of artery entered the papilla by the apex. Resin casts [15] show in the root canal a peripheral fishnet arrangement, with central arterioles and venules. In the crown, a terminal sub-odontoblastic capillary network display veinous-veinous anastomosis, ending by capillaries and arterioveinous anastomosis. Firstly, feeding arterioles (35-45 μm in diameter) are continuous with 2d feeding arterioles (24-34μm in diameter). Terminal arterioles (16-23μm), pre-capillaries (12-15μm), capillaries (>8μm), post-capillaries venules (12- 23μm), collecting venules (24-50μm) and finally large venules (>50μm) form a continuous vascular bed within the dental pulp [16]. Shunts about 8-15μm in diameter are seen along the coronal pulp. Endothelial cells (intima and media, bearing a smooth muscle type) are covered by a continuous layer of flat pericytes. They are embedded in thin microstructures of the pericellular and extracellular matrix (adventice). They are limiting capillaries lumens where blood and blood cells are circulating [17].

Lymphatic microcirculation: substance P was seen to reduce the diastolic diameter by 56%, and the systolic diameter by 47%. When 0.2 to 0.3 cc of sterile colloidal carbon was injected in the pulp horn, and the teeth extracted 1 to 3h later, capillaries were characterized by a thin endothelium with large intercellular clefts, absence or incompleteness of basement membrane, absence of pericytes, absence of luminal red blood cells. The presence of a filamentous material and surrounding collagen fibrils were noted, displaying with some structural variations [18].

FGF-2 and VEGF are expressed in human dental pulp fibroblasts. The expression is increased after injury. Angiogenin factors are necessary for pulp healing, especially at the pulp injury site [19].

The dental pulp has a high blood flow, estimated to be 40- 50 ml/min/100g of pulp tissue. Shunt vessels have also been observed. They can be arterio-veinous anastomoses, venousvenous anastomoses or U-turn loops. The dental pulp is composed by a gelatin-like material (proteoglycans and other glycoproteins), reinforced by irregularly arranged and interlaced collagen fibers. The primary function of pulp capillaries is to supply oxygen and nutrients to its constituent cells. It provides also an exit route for metabolic waste products from the tissue. Waste products are removed from the pulp by venules, collecting lymph in ganglia and the circulating blood in large vessels.

Perivascular niche of postnatal mesenchymal stem cells were identified in human bone marrow and dental pulp [20]. Human bone marrow stromal cells and dental pulp stem cells were isolated by immuno-electron using the antibody STRO1 that recognizes an antigen on perivascular cells. Freshly isolated STRO-1 positive are expressed by von Willebrand factor, CD146, smooth muscle cells and pericytes (alpha-smooth muscle actin, CD146 and a pericyte associated antigen (3G5) by immunohistochemistry, FACS and immunomagnetic bead selection. This helps to understand the factors that regulate the formation of mineralized matrices. The exact location, developmental potential, and ontogeny of these stem cells are largely unknown. Identification of mesenchymal stem cell niches in bone marrow and dentin pulp help to elucidate the fundamental conditions necessary to selectively maintain and expand primitive multipotential populations in vitro, directing their developmental potentials in vivo.

Inflammatory cells & immunocompetent cells

Immune defense mechanisms of the dental pulp are divided into two major populations: B-lymphocytes and T-lymphocytes [21]. B-lymphocytes produce antibodies against specific antigens following blast formation, proliferation, and maturation into plasma cells. T-lymphocytes are divided into T helper cells (CD4+) and cytotoxic T-cells (CD8+). Upon activation, they secrete several cytokines, a group of biologically active molecules that regulate the intensity and /or duration of the immune response by stimulating or inhibiting the action of various target cells. CD4+ T-lymphocytes are further classified into Th1 and Th2 cells. The Th1 cells produce interleukin (IL)-2 and interferon-gamma (IFN-g) and they are involved in activation of macrophages, whereas Th2 produce cytokines such as IL-4, IL-5 and IL-6 and stimulate proliferation and differentiation of B-lymphocytes (Table 1).

Table 1: Properties of antigen-presenting cells.

Cell Type

Expression of Class II MHC molecules

Co-stimulatory molecules

Dendritic cells

Constitutive

Constitutive

Macrophages

Inducible

Inducible

B-lymphocytes

Constitutive

Inducible

Endothelial cells

Inducible

Constitutive

Various epithelial and mesenchymal cells

Inducible

?

Dendritic cells (DCs) and macrophages belong to separate lineages. They share several properties in terms of morphology, phenotype and function. Macrophages predominantly act as scavenger cells. They can produce biologically active substances including (i) microbicidal enzymes and reactive oxygen species; (ii) several cytokines, such as IL-1; IL-6, and tumor necrosis factor (TNF); and (iii) growth factors for fibroblasts and endothelial cells that promote wound repair.

T-lymphocytes are now recognized as essential resident of the dental pulp. CD4+ and CD8+ lymphocytes were first detected in the normal human pulp. B-lymphocytes are rarely encountered in the normal dental pulp, and a significant role for B-lymphocytes is not obvious. Macrophages (histiocytes) show heterogeneity in terms of cytochemical markers expression. These cells express class II molecules with increased age of the animals.

Mast cells contain several bioactive substances (histamine, leukotrienes, and platelet-activating factor. They participate in neurogenic inflammation releasing histamine in response to neuropeptides.

Odontoblast-like cells differ from the pulp fibroblast response to TLR2-, TLR3- and TLR4-specific agonists. The respective roles of these cells in dental pulp innate immunity include the extent to which they influence immature DC migration [17]. Odontoblastlike cells stimulated with LTA initiate an immune response by producing chemokines and recruiting immature dendritic cells (DC).

Extensive cell death and tissue necrosis, also called coagulation necrosis, may also occur. More recently, a cascade of three stages was identified. There is actually a need for redefinitions of the physiopathological events, which might occur. Necrosis provokes a slight irritation and stimulates pulp repair. Cell migration and proliferation control mesenchymal and endothelial pulp cells, and also the formation of collagen. Necrosis affected pulp cells. Caspases exist in an active proform in the cytosol. Pyroptosis is a physiologically important form of cell death. Apoptosis or programed cell death is an active process characterized by cell shrinkage, membrane blebbing, formation of apoptotic cell bodies, chromatin condensation and genomic fragmentation [22].

Cellular components are necessary for the initial recognition and the subsequent processing of antigens that elicits an immune defense reaction. Immune cells in the dental pulp are peripheral T cells (helper/inducer and cytotoxic/suppressor). Cells presenting the major antigens are the DCs, histiocytes/ macrophages, mega-karyocytes, hematopoietic precursor cells, and osteo/odontoblast progenitors present foreign antigens as HLA-DR antigens on the cell surface to CD4 T-lymphocytes. Other antigen-presenting cells are similar to macrophages, four times more common than the DCs.

In the intact pulp, two distinct DCs populations have been identified. CD11c+ are present at the pulp-dentin border, beneath occlusal fissures, whereas F4/80+ DCs are almost concentrated in the perivascular region of the inner pulp and in the subodontoblastic layer. CD11c+ DCs express Toll-like receptors 2 and 4 and are CD205 positive. F4/80+ migrate from the inner pulp, increase in size, and display CD86 expression. Anti-inflammatory agents, including steroids, interleukin-1 (IL- 1) receptor antagonist, soluble tumor necrosis factor (TNF) receptor, IL-10, nitric oxide (NO), heme oxygenase-1, and regulatory T lymphocytes (Tregs), are produced in order to limit tissue damage. Nemosis, necrosis, apoptosis are implicated in apical reparative dentinogenesis.

Odontoblasts, dental pulp fibroblasts and immature DCs are involved in dental pulp immune response to oral pathogens invading dentine during the carious process. Pro-inflammatory cytokines are produced during inflammation. As a response to tumor necrosis factor alpha (TNF-α), interleukin-1 beta (IL-Iβ) and interleukin-8 (CXCL8) upon stimulation with lipoteichoic acid (LTA), and Toll-like receptor 2 are activated [23]. In inflamed pulp, the cell origin of TNF-α is unknown, whereas IL1β is produced by macrophages, and CXCL8 by macrophages, lymphocytes, endothelial cells and odontoblasts. In response to TLR2 activation by LTA, TNF-α, IL-1β and CXCL8 are produced by odontoblasts, dental pulp fibroblasts and immature DCs.

Pulp innervation

During initiation, nerves are seen below the primordium and its presumptive area. During the bud formation, nerves are seen below the dental papilla. They form a plexus at early cap stage, nerve emerging from the basal plexus. Later, innervation is seen around the follicle, and later innervation of the papilla is seen inside the pulp papilla during tooth development. Penetration of the human dental papilla occurs at the same time dentinogenesis starts. At later stages, pulp contains substance P and somatostatins, which are neuropeptides associated with small diameter nociceptive fibers. Monoamines, vaso-active intestinal peptide (VIP) have been located in autonomic fibers in the dental pulp. Developmental studies of substance P-containing neurons and cholinergic and mono-aminergic neurons correlate with stages of innervation of tooth development [24].

The receptor tyrosine kinases ErbB3, ErbB4, and neuroregulin-1 mRNA are expressed locally in a different way during tooth development [25].

Antisera to S-100 protein, neurofilament protein, neuronespecific enolase and protein gene product 9.5 are markers of pulp innervation [26]. PGP 9.5 is the most superior marker.

Four members of the neurotrophin family have been identified in mammals: nerve growth factor (NGF), brainderived neurotrophic factor (BDNF), neurotrophin-3 (NT-3) and neurotrophin-4/5 (NT-4/5) [27]. Neuropeptides substance P (SP), neurokinin A (NKA), calcitonin gene-related peptide (CGRP), neuropeptide Y (NPY) and vasoactive intestinal polypeptide (VIP) have growth regulatory properties on pulpal cells in vitro [28]. Neuropeptides (CGRP and SP) may be involved in pulp development (proliferation) and in wound healing after pulpal injury [29,30].

Most nerve fibers in the dental pulp are unmyelinated. A-beta, A-delta and C-fibers have been also identified as non-myelinated sympathetic fibers. Although some larger fibers are present, myelinated fibers in the A-delta range are also recognized. Some cellular substances are associated with nociceptive nerve cells, namely substance P (SP), calcitonin gene related peptide (CGRP) and fluoride-resistant acid phosphatase (FRAP). Carbonic anhydrase (CA), GM1 ganglioside (choleragenoid binding receptor), and RT 97, a monoclonal antibody against neurofilament protein are expressed [31].

Pain sensitivity to thermal stimuli, thermal change, mechanical deformation or trauma induces pain. Careful regulation of blood flow is of critical importance, and alterations are the first to occur with the onset of pulp inflammation. The maxillary artery enters the tooth via arterioles feeding. Pulp vessels are organized in a hierarchical system. Central arterioles form a capillary network located at the periphery of the pulp and the blood drains into venules at the center of the pulp.

Perivascular sympathetic nerves liberate noradrenaline (adrenergic post-ganglionic fibers) and possible neuropeptide Y causing a reduction of pulp blood flow (SP or CGRP). Sensory nerves involved in pulp pain perception and transduction are branches of maxillary and mandibular divisions of the trigeminal nerve. Small branches enter the apical foramina and progress coronally and peripherally following the blood vessels and they branch extensively subjacent to the cell-rich zone, forming the plexus of Raschkow. The plexus contains both large myelinated A-δ and A-β fibers (2-5 μm in diameter) and the smaller C fibers (0.3 – 1.2 μm). Almost all the A-δ fibers are located in the coronal portion of the pulp, with the greater density in the pulp horn.

1,25-dihydroxyvitamin D3 and TGF-β [32] have examined the effects of 1,25-(OH)2 and TGF-β on the synthesis of SPARC and ALP activity in human pulp fibroblasts. The interaction of TGF-β and 1,25 (OH)2 D3 may influence the function and differentiation of dental pulp fibroblasts [32].

Pulp STEM cells

Human dental pulp stem cells (DPSCs) are characterized by the self-renewal capability, multilineage differentiation capacity and clonogenic efficiency [33,34]. Like osteoblasts, pulp cells express bone markers such as bone sialoprotein, alkaline phosphatase, type I collagen and osteocalcin. They express members of the TGF-β superfamily and cytokines. Oil red O-positive lipid clusters showed a significant up-regulation of PPARγ2 and lipoprotein lipase. Multipotent pulp cells differentiate into osteogenic, chondrogenic, and adipogenic stable mesoblastic phenotypes. They express dentin sialoprotein (DSP), bone sialoprotein (BSP), dentin matrix protein 1 (DMP1), MEPE and type I collagen. DPSCs were positive for MSCs markers CD13, CD29, CD44, CD73, CD90, CD105, CD146, and negative for the hematopoietic markers, CD45 and HLA-DR.

In the apical papilla apexogenesis involve the proliferation of a population of mesenchymal stem cells residing near the end of the root. They are named stem cells from the apical papilla (SCAP), very similar to dental pulp stem cells (DPSCs). These cells express the cell-surface STRO-1. They are sources of odontoblasts, responsible for the formation of root dentin. Isolation and characterization of these stem cells favor their contribution to a root continuously in construction and maturation, and their potential utilization for pulp/dentin regeneration [35,36]. In addition to their dentinogenic differentiation, Alizarin Redpositive nodules formed during SCAP cultures after 4 weeks of induction. They exhibit adipogenic and neurogenic differentiation capabilities and express specific markers such as dentin sialophosphoprotein and CBFA1/Runx2 molecules. They may present an appropriate cell source for neural tissue regeneration. Mesenchymal-stem-cell-like (MSC) derived from bone marrow (BMMSCs) are promising alternative multipotent MSC sources [37-39]. These cells have the capacity for self-renewal and multilineage differentiation potential and clonogenic efficiency. They give rise to osteogenic, chondrogenic, adipogenic, myogenic, and neurogenic cells. They play role in regenerative medicine [35]. Human mesenchymal cells were evaluated by Pittenger et al. [39], as being about 0.001 to 0.01% of the grand total of pulp cells. According to Sloan and Waddington (2009), the subset of undifferentiated cells can represent in the dental pulp as little as 1% of the total cell population. Side population (SP) cells in human deciduous dental pulp were evaluated as 2% of the total cells [40]. According to Kenmotsu et al. [41], approximately 0.40% of the pulp cells may be stem cells or side population when they are found in young rats, whereas only 0.11% is found in old rats (Table 2).

Table 2: Five different human stem/progenitor cells have been isolated and characterized

-Dental pulp stem cells (DPSCs),

-Stem cells from exfoliated deciduous teeth (SHED),

-Periodontal ligament stem cells (PDLSCs),

-Stem cells from apical papilla (SCAP), and

-Dental follicle progenitor cells (DFPCs).

Human dental pulp stem cells were mainly isolated from adults. Cells cultured in medium promoting differentiation toward cells of the osteo/odontoblastic lineage become alkalinephosphatase–positive. They produce a calcified matrix and form dentin-like matrix on scaffold in vivo.

As a regenerative response to caries, stem/progenitor cells have the potential utility in induction of reparative dentine. A population of side population was isolated from dental pulp, based on the exclusion of the DNA binding dye Hoechst 33342 by flow cytometry and compared its cell-renewal capacity and multipotency with non-SP cells, suggesting longer proliferative lifespan and self-renewal capacity of SP cells. Expression of type II collagen and aggrecan confirmed chondrogenic conversion of SP cells (30%). Adipogenic conversion was demonstrated by proliferator-activated receptor γ and adaptator protein 2 showing adipogenic conversion. Neurofilaments and neuromodulin confirmed neurogenic conversion (90%). Bmp2-stimulated the expression of Dspp and the expression of DSPP and Enamelysin in three-dimensional pellet cultures [42] (Figures 15-17).

Figure 15-17 After 7 days the mesial pulp chamber is slightly  inflamed (figure 15). After 14 days, the isthmus between the mesial  and central pulp chamber is filled with a mineralized tissue (Figure  16). The central pulp chamber and the isthmus are totally mineralized  (Figure 17). Bar= 200?m

Figure 15-17 After 7 days the mesial pulp chamber is slightly inflamed (figure 15). After 14 days, the isthmus between the mesial and central pulp chamber is filled with a mineralized tissue (Figure 16). The central pulp chamber and the isthmus are totally mineralized (Figure 17). Bar= 200μm.

The activation of Wnt signaling by 6-bromoindirubin-3’- oxime (BIO), a pharmacological GSK-3-specific inhibitor of glycogen synthase kinase-3, which inactivate efficient pathway activation in regulating human and mouse embryonic stem cells maintain the undifferentiated phenotype of the two embryonic stem cells sustains expression of the pluripotent state-specific transcription factors Oct-3/4, Rex-1 and Nanog. Wnt signaling is endogenously activated in undifferentiated mouse ESCs and down-differentiated upon differentiation. BIO-mediated Wnt activation is functionally reversible. This suggests that the use of GSK-3 specific inhibitors such as BIO may have practical applications in regenerative medicine [43]. The GSK-3 inhibitor BIO promotes proliferation of the terminally differentiated mammalian cells because it is believed that they are unable to divide and maintain self-renewal in embryonic stem cells. It is shown that the maintenance of self-renewal and the induction of proliferation share common molecular pathways [44] (Figures 18-20).

Figure 18-20 Sham 7days to 28 days: the mesial horn and the isthmus  are filled by mineralized tissue. Bar= 200?m.

Figure 18-20 Sham 7days to 28 days: the mesial horn and the isthmus are filled by mineralized tissue. Bar= 200μm.

In the sham group mineralization was limited to the mesial part and seen at the junction between the mesial root and mesial pulp horn. Twenty eight days after implantation, reparative dentine was seen along the mesial pulp chamber and reactionary dentine filled the mesial pulp and the isthmus connecting the mesial and central pulp was totally mineralized.

Seven days after implantation of beads loaded with BIO in the mesial pulp chamber, no visible reaction was ever seen. After 14 days, the central part of the pulp chamber was filled by reactionary dentin formed along the walls of the central pulp. A calciotraumatic line was clearly detectable between the dentine formed before bead implantation. The central horn was largely filled by a heterogeneous mineralization. After 28 days, a large part of the mesial pulp chamber, the isthmus located between the mesial and central parts of the pulp chamber, and nearly all the central pulp were filled by a mineralized heterogeneous structure. The distal pulp chamber was not mineralized, and the cell didn’t display any evidence of proliferation. It was clearly seen that BIO implantation produced the shift of the mineralized tissue from the mesial part toward the central part of the pulp. Obviously, sliding of the mineralized pulp horn occurred after BIO implantation from the mesial to the central parts of the pulp chamber (Figures 21-23).

Figure 21-23 Bio implanted for 7-28 days induce the formation of a  mineralized tissue in the isthmus between the mesial and central pulp  chambers. Bar= 200?m.

Figure 21-23 Bio implanted for 7-28 days induce the formation of a mineralized tissue in the isthmus between the mesial and central pulp chambers. Bar= 200μm.

To conclude, firstly mesenchymal cells slide from the apical part to the sub-odontoblastic border (the so-called Hoehl’s cell layer)(see root lengthening). Then, secondly, odontoblasts migrate toward the coronal pulp, and BIO influences the migration between the mesial to the central pulp chamber parts. The first and second cell sliding constitute crucial events leading to the formation of reactionary and reparative dentine, and subsequently to pulp mineralization (Figures 15-17).

REFERENCES

1. Yu C, Abbott PV. An overview of the dental pulp: its functions and responses to injury. Aust Dent J. 2007; 52: 4-16.

2. Moule AJ, Li H, Bartold PM. Donor variability in the proliferation of human dental pulp fibroblasts. Aust Dent J. 1995; 40: 110-114.

3. Smith AJ, Lesot H. Induction and regulation of crown dentinogenesis: embryonic events as a template for dental tissue repair? Crit Rev Oral Biol Med. 2001; 12: 425-437.

4. Huang GT, Sonoyama W, Liu Y, Liu H, Wang S, Shi S. The hidden treasure in apical papilla: the potential role in pulp/dentin regeneration and bioroot engineering. J Endod. 2008; 34: 645-651.

5. Linde A, Goldberg M. Dentinogenesis. Crit Rev Oral Biol Med. 1993; 4: 679-728.

6. Martinez EF, Machado de Souza SO, Corrêa L, Cavalcanti de Araújo V. Immunohistochemical localization of tenascin, fibronectin, and type III collagen in human dental pulp. J Endod. 2000; 26: 708-711.

7. Lkhider M, Castino R, Bouguyon E, Isidora C, Ollivier-Bousquet M. Cathepsin D released by lactating rat mammary epithelial cells is involved in prolactin cleavage under physiological conditions. J Cell Sci. 2004; 117: 5155-5164.

8. Harichane Y, Hirata A, Dimitrova-Nakov S, Granja I, Goldberg A, Kellermann O, et al. Pulpal progenitors and dentin repair. Adv Dent Res. 2011; 23: 307-312.

9. Goldberg M. Pulp healing and regeneration: more questions than answers. Adv Dent Res. 2011; 23: 270-274.

10. Avery JK, Han SS. The formation of collagen fibrils in the dental pulp. J Dent Res. 1961; 40: 1248- 1261.

11. Cooper PR, Holder MJ, Smith AJ. Inflammation and regeneration in the dentin-pulp complex: a double-edged sword. J Endod. 2014; 40: 46- 51.

12. Baume IJ. Biology of the pulp and dentin. In Monographs of Oral Science. Basel S. Karger AG; 1980.

13. Abd-Elmeguid A, Yu DC, Kline LW, Moqbel R, Vliagoftis H. Dentin matrix protein-1 activates dental pulp fibroblasts. J Endod. 2012; 38: 75-80.

14. Palosaari H, Wahlgren J, Larmas M, Rönkä H, Sorsa T, Salo T, et al. The expression of MMP-8 in human odontoblasts and dental pulp cells is down-regulated by TGF-beta1. J Dent Res. 2000; 79: 77-84.

15. Takahashi K. Vascular architecture of dog pulp using corrosion resin cast examined under a scanning electron microscope. J Dent Res. 1985; 64: 579-584.

16. Kim S. Regulation of pulpal blood flow. J Dent Res. 1985; 64 Spec No: 590-596.

17. Staquet MJ, Durand SH, Colomb E, Roméas A, Vincent C, Bleicher F, et al. Different roles of odontoblasts and fibroblasts in immunity. J Dent Res. 2008; 87: 256-261.

18. Frank RM, Wiedemann P, Fellinger E. Ultrastructure of lymphatic capillaries in the human dental pulp. Cell Tissue Res. 1977; 178: 229- 238.

19. Tran-Hung L, Mathieu S, About I. Role of human pulp fibroblasts in angiogenesis. J Dent Res. 2006; 85: 819-823.

20. Shi S, Gronthos S. Perivascular niche of postnatal mesenchymal stem cells in human bone marrow and dental pulp. J Bone Miner Res. 2003; 18: 696-704.

21. Jontell M, Okiji T, Dahlgren U, Bergenholtz G. Immune defense mechanisms of the dental pulp. Crit Rev Oral Biol Med. 1998; 9: 179- 200.

22. Goldberg M, Njeh A, Uzunoglu E. Is Pulp Inflammation a Prerequisite for Pulp Healing and Regeneration? Mediators Inflamm. 2015; 2015: 347649.

23. Keller JF, Carrouel F, Colomb E, Durand SH, Baudouin C, Msika P, et al.Tool-like receptor 2 activation by lipoteichoic acid induces differential production of pro-inflammatory cytokines in human odontoblasts, dental fibroblasts and immature dendritic cells. Immunobiology. 2010; 215: 53-59.

24. Mohamed SS, Atkinson ME. A histological study of the innervation of developing mouse teeth. J Anat. 1983; 136: 735-749.

25. Fried K, Risling M, Tidcombe H, Gassmann M, Lillesaar C. Expression of ErbB3, ErbB4, and neuregulin-1 mRNA during tooth development. Dev Dyn. 2002; 224: 356-360.

26. Rodd HD, Boissonade FM. Innervation of human tooth pulp in relation to caries and dentition type. J Dent Res. 2001; 80: 389-93.

27. Fried K, Nosrat C, Lillesaar C, Hildebrand C. Molecular signaling and pulpal nerve development. Crit Rev Oral Biol Med. 2000; 11: 318-32.

28. Park SH, Hsiao GY, Huang GT. Role of substance P and calcitonin gene-related peptide in the regulation of interleukin-8 and monocyte chemotactic protein-1 expression in human dental pulp. Int Endo J. 2004; 37: 185-192.

29. Bongenhielm U, Haegerstrand A, Theodorsson E, Fried K. Effects of neuropeptides on growth of cultivated rat molar pulp fibroblasts. Regul Pept. 1995; 60: 91-98.

30. Trantor IR, Messer HH, Birner R. The effects of neuropeptides (calcitonin gene-related peptide and substance P) on cultured human pulp cells. J Dent Res. 1995; 74: 1066-1071.

31. Fried K, Arvidsson J, Robertson B, Brodin E, Theodorsson E. Combined retrograde tracing and enzyme/immunohistochemistry of trigeminal ganglion cell bodies innervating tooth pulps in the rat. Neuroscience 1989; 33: 101-109.

32. Pavasant P, Yongchaitrakul T, Pattamapun K, Arksornnukit M. The synergistic effect of TGF-beta and 25-dihydroxyvitamin D3 on SPARC synthesis and alkaline phosphatase activity in human pulp fibroblasts. Arch Oral Biol. 2003; 48: 717-722.

33. Gronthos S, Brahim J, Li W, Fisher LW, Cherman N, Boyde A, et al. Stem cell properties of human dental pulp stem cells. J Dent Res. 2002; 81: 531-535.

34. Takeda T, Tezuka Y, Horiuchi M, Hosono K, Iida K, Hatakeyama D, et al. Characterization of dental pulp stem cells of human tooth germs. J Dent Res. 2008; 87: 676-681.

35. Huang GT, Gronthos S, Shi S. Mesenchymal stem cells derived from dental tissues vs. those from other sources: their biology and role in regenerative medicine. J Dent Res. 2009; 88: 792-806.

36. Hirata A, Sugahara T, Nakamura H. Localization of runx2, osterix, and osteopontin in tooth root formation in rat molars. J Histochem Cytochem. 2009; 57: 397-403.

37. Caplan AI. Mesenchymal stem cells. J Orthop Res. 1991; 9: 641-650.

38. Prockop DJ. Marrow stromal cells as stem cells for nonhematopoietic tissues. Science. 1997; 276: 71-74.

39. Pittenger MF, Mackay AM, Beck SC, Jaiswal RK, Douglas R, Mosca JD, et al. Multilineage potential of adult human mesenchymal stem cells. Science. 1999; 284: 143-147.

40. Wang J, Wei X, Ling J, Huang Y, Huo Y, Zhou Y. The presence of a side population and its marker ABCG2 in human deciduous dental pulp cells. Biochem Biophys Res Commun. 2010; 400: 334-339.

41. Kenmotsu M, Matsuzaka K, Kokubu E, Azuma T, Inoue T. Analysis of side population cells derived from dental pulp tissue. Int Endod J. 2010; 43: 1132-1142.

42. Iohara K, Zheng L, Ito M, Tomokiyo A, Matsushita K, Nakashima M. Side population cells isolated from porcine dental pulp tissue with self-renewal and multipotency for dentinogenesis, chondrogenesis, adipogenesis, and neurogenesis. Stem Cells. 2006; 24: 2493-2503.

43. Sato N, Meijer L, Skaltsounis L, Greengard P, Brivanlou AH. Maintenance of pluripotency in human and mouse embryonic stem cells through activation of Wnt signaling by a pharmacological GSK-3- specific inhibitor. Nat Med. 2004; 10: 55-63.

44. Tseng AS, Engel FB, Keating MT. The GSK-3 inhibitor BIO promotes proliferation in mammalian cardiomyocytes. Chem Biol. 2006; 13: 957-963.

 Goldberg M, Hirata A (2017) The Dental Pulp: Composition, Properties and Functions. JSM Dent 5(1): 1079.

Received : 09 Dec 2016
Accepted : 10 Feb 2017
Published : 12 Feb 2017
Journals
Annals of Otolaryngology and Rhinology
ISSN : 2379-948X
Launched : 2014
JSM Schizophrenia
Launched : 2016
Journal of Nausea
Launched : 2020
JSM Internal Medicine
Launched : 2016
JSM Hepatitis
Launched : 2016
JSM Oro Facial Surgeries
ISSN : 2578-3211
Launched : 2016
Journal of Human Nutrition and Food Science
ISSN : 2333-6706
Launched : 2013
JSM Regenerative Medicine and Bioengineering
ISSN : 2379-0490
Launched : 2013
JSM Spine
ISSN : 2578-3181
Launched : 2016
Archives of Palliative Care
ISSN : 2573-1165
Launched : 2016
JSM Nutritional Disorders
ISSN : 2578-3203
Launched : 2017
Annals of Neurodegenerative Disorders
ISSN : 2476-2032
Launched : 2016
Journal of Fever
ISSN : 2641-7782
Launched : 2017
JSM Bone Marrow Research
ISSN : 2578-3351
Launched : 2016
JSM Mathematics and Statistics
ISSN : 2578-3173
Launched : 2014
Journal of Autoimmunity and Research
ISSN : 2573-1173
Launched : 2014
JSM Arthritis
ISSN : 2475-9155
Launched : 2016
JSM Head and Neck Cancer-Cases and Reviews
ISSN : 2573-1610
Launched : 2016
JSM General Surgery Cases and Images
ISSN : 2573-1564
Launched : 2016
JSM Anatomy and Physiology
ISSN : 2573-1262
Launched : 2016
JSM Dental Surgery
ISSN : 2573-1548
Launched : 2016
Annals of Emergency Surgery
ISSN : 2573-1017
Launched : 2016
Annals of Mens Health and Wellness
ISSN : 2641-7707
Launched : 2017
Journal of Preventive Medicine and Health Care
ISSN : 2576-0084
Launched : 2018
Journal of Chronic Diseases and Management
ISSN : 2573-1300
Launched : 2016
Annals of Vaccines and Immunization
ISSN : 2378-9379
Launched : 2014
JSM Heart Surgery Cases and Images
ISSN : 2578-3157
Launched : 2016
Annals of Reproductive Medicine and Treatment
ISSN : 2573-1092
Launched : 2016
JSM Brain Science
ISSN : 2573-1289
Launched : 2016
JSM Biomarkers
ISSN : 2578-3815
Launched : 2014
JSM Biology
ISSN : 2475-9392
Launched : 2016
Archives of Stem Cell and Research
ISSN : 2578-3580
Launched : 2014
Annals of Clinical and Medical Microbiology
ISSN : 2578-3629
Launched : 2014
JSM Pediatric Surgery
ISSN : 2578-3149
Launched : 2017
Journal of Memory Disorder and Rehabilitation
ISSN : 2578-319X
Launched : 2016
JSM Tropical Medicine and Research
ISSN : 2578-3165
Launched : 2016
JSM Head and Face Medicine
ISSN : 2578-3793
Launched : 2016
JSM Cardiothoracic Surgery
ISSN : 2573-1297
Launched : 2016
JSM Bone and Joint Diseases
ISSN : 2578-3351
Launched : 2017
JSM Bioavailability and Bioequivalence
ISSN : 2641-7812
Launched : 2017
JSM Atherosclerosis
ISSN : 2573-1270
Launched : 2016
Journal of Genitourinary Disorders
ISSN : 2641-7790
Launched : 2017
Journal of Fractures and Sprains
ISSN : 2578-3831
Launched : 2016
Journal of Autism and Epilepsy
ISSN : 2641-7774
Launched : 2016
Annals of Marine Biology and Research
ISSN : 2573-105X
Launched : 2014
JSM Health Education & Primary Health Care
ISSN : 2578-3777
Launched : 2016
JSM Communication Disorders
ISSN : 2578-3807
Launched : 2016
Annals of Musculoskeletal Disorders
ISSN : 2578-3599
Launched : 2016
Annals of Virology and Research
ISSN : 2573-1122
Launched : 2014
JSM Renal Medicine
ISSN : 2573-1637
Launched : 2016
Journal of Muscle Health
ISSN : 2578-3823
Launched : 2016
JSM Genetics and Genomics
ISSN : 2334-1823
Launched : 2013
JSM Anxiety and Depression
ISSN : 2475-9139
Launched : 2016
Clinical Journal of Heart Diseases
ISSN : 2641-7766
Launched : 2016
Annals of Medicinal Chemistry and Research
ISSN : 2378-9336
Launched : 2014
JSM Pain and Management
ISSN : 2578-3378
Launched : 2016
JSM Women's Health
ISSN : 2578-3696
Launched : 2016
Clinical Research in HIV or AIDS
ISSN : 2374-0094
Launched : 2013
Journal of Endocrinology, Diabetes and Obesity
ISSN : 2333-6692
Launched : 2013
Journal of Substance Abuse and Alcoholism
ISSN : 2373-9363
Launched : 2013
JSM Neurosurgery and Spine
ISSN : 2373-9479
Launched : 2013
Journal of Liver and Clinical Research
ISSN : 2379-0830
Launched : 2014
Journal of Drug Design and Research
ISSN : 2379-089X
Launched : 2014
JSM Clinical Oncology and Research
ISSN : 2373-938X
Launched : 2013
JSM Bioinformatics, Genomics and Proteomics
ISSN : 2576-1102
Launched : 2014
JSM Chemistry
ISSN : 2334-1831
Launched : 2013
Journal of Trauma and Care
ISSN : 2573-1246
Launched : 2014
JSM Surgical Oncology and Research
ISSN : 2578-3688
Launched : 2016
Annals of Food Processing and Preservation
ISSN : 2573-1033
Launched : 2016
Journal of Radiology and Radiation Therapy
ISSN : 2333-7095
Launched : 2013
JSM Physical Medicine and Rehabilitation
ISSN : 2578-3572
Launched : 2016
Annals of Clinical Pathology
ISSN : 2373-9282
Launched : 2013
Annals of Cardiovascular Diseases
ISSN : 2641-7731
Launched : 2016
Journal of Behavior
ISSN : 2576-0076
Launched : 2016
Annals of Clinical and Experimental Metabolism
ISSN : 2572-2492
Launched : 2016
Clinical Research in Infectious Diseases
ISSN : 2379-0636
Launched : 2013
JSM Microbiology
ISSN : 2333-6455
Launched : 2013
Journal of Urology and Research
ISSN : 2379-951X
Launched : 2014
Journal of Family Medicine and Community Health
ISSN : 2379-0547
Launched : 2013
Annals of Pregnancy and Care
ISSN : 2578-336X
Launched : 2017
JSM Cell and Developmental Biology
ISSN : 2379-061X
Launched : 2013
Annals of Aquaculture and Research
ISSN : 2379-0881
Launched : 2014
Clinical Research in Pulmonology
ISSN : 2333-6625
Launched : 2013
Journal of Immunology and Clinical Research
ISSN : 2333-6714
Launched : 2013
Annals of Forensic Research and Analysis
ISSN : 2378-9476
Launched : 2014
JSM Biochemistry and Molecular Biology
ISSN : 2333-7109
Launched : 2013
Annals of Breast Cancer Research
ISSN : 2641-7685
Launched : 2016
Annals of Gerontology and Geriatric Research
ISSN : 2378-9409
Launched : 2014
Journal of Sleep Medicine and Disorders
ISSN : 2379-0822
Launched : 2014
JSM Burns and Trauma
ISSN : 2475-9406
Launched : 2016
Chemical Engineering and Process Techniques
ISSN : 2333-6633
Launched : 2013
Annals of Clinical Cytology and Pathology
ISSN : 2475-9430
Launched : 2014
JSM Allergy and Asthma
ISSN : 2573-1254
Launched : 2016
Journal of Neurological Disorders and Stroke
ISSN : 2334-2307
Launched : 2013
Annals of Sports Medicine and Research
ISSN : 2379-0571
Launched : 2014
JSM Sexual Medicine
ISSN : 2578-3718
Launched : 2016
Annals of Vascular Medicine and Research
ISSN : 2378-9344
Launched : 2014
JSM Biotechnology and Biomedical Engineering
ISSN : 2333-7117
Launched : 2013
Journal of Hematology and Transfusion
ISSN : 2333-6684
Launched : 2013
JSM Environmental Science and Ecology
ISSN : 2333-7141
Launched : 2013
Journal of Cardiology and Clinical Research
ISSN : 2333-6676
Launched : 2013
JSM Nanotechnology and Nanomedicine
ISSN : 2334-1815
Launched : 2013
Journal of Ear, Nose and Throat Disorders
ISSN : 2475-9473
Launched : 2016
JSM Ophthalmology
ISSN : 2333-6447
Launched : 2013
Journal of Pharmacology and Clinical Toxicology
ISSN : 2333-7079
Launched : 2013
Annals of Psychiatry and Mental Health
ISSN : 2374-0124
Launched : 2013
Medical Journal of Obstetrics and Gynecology
ISSN : 2333-6439
Launched : 2013
Annals of Pediatrics and Child Health
ISSN : 2373-9312
Launched : 2013
JSM Clinical Pharmaceutics
ISSN : 2379-9498
Launched : 2014
JSM Foot and Ankle
ISSN : 2475-9112
Launched : 2016
JSM Alzheimer's Disease and Related Dementia
ISSN : 2378-9565
Launched : 2014
Journal of Addiction Medicine and Therapy
ISSN : 2333-665X
Launched : 2013
Journal of Veterinary Medicine and Research
ISSN : 2378-931X
Launched : 2013
Annals of Public Health and Research
ISSN : 2378-9328
Launched : 2014
Annals of Orthopedics and Rheumatology
ISSN : 2373-9290
Launched : 2013
Journal of Clinical Nephrology and Research
ISSN : 2379-0652
Launched : 2014
Annals of Community Medicine and Practice
ISSN : 2475-9465
Launched : 2014
Annals of Biometrics and Biostatistics
ISSN : 2374-0116
Launched : 2013
JSM Clinical Case Reports
ISSN : 2373-9819
Launched : 2013
Journal of Cancer Biology and Research
ISSN : 2373-9436
Launched : 2013
Journal of Surgery and Transplantation Science
ISSN : 2379-0911
Launched : 2013
Journal of Dermatology and Clinical Research
ISSN : 2373-9371
Launched : 2013
JSM Gastroenterology and Hepatology
ISSN : 2373-9487
Launched : 2013
Annals of Nursing and Practice
ISSN : 2379-9501
Launched : 2014
Author Information X