Descending Thoracic Aortic Thrombus as an Extreme Form of Harlequin Syndrome in an ECMELLA Patient: A Case Report
- 1. Department of Cardiac and Vascular surgery, Klinikum Bayreuth, Germany
- 2. Medical Campus Oberfranken (MCO), Friedrich-Alexander-University Erlangen Nuremberg
- 3. Department of Radiology, Universita?tsklinikum Erlangen, Germany
Abstract
Background: Patients in cardiogenic shock undergoing ECLS/ECMO therapy with peripheral cannulation are at risk of Harlequin syndrome. Symptoms can vary according to the level of the watershed.
Case description: 49-year-old male receiving ECMELLA therapy after suffering from cardiogenic shock following a large anterior STEMI experiencing symptoms of Harlequin syndrome due to a large descending aortic thrombus perioperatively before receiving LVAD therapy. Medical therapy was successfully inducted.
Conclusion: Although rarely seen, Harlequin syndrome can have severe clinical implications and mimic malperfusion. Treatment can be crucial in patients receiving LVAD therapy as complications affect morbidity and survival.
Keywords: ECMELLA; Harlequin Syndrome; Aortic Thrombus; LVAD
Abbreviations: DTAT: Descending thoracic aortic thrombus; LV: left ventricle; LVAD: Left Ventricular Assist Device
Introduction
In patients with cardiogenic shock, ECMELLA therapy provides a novel promising approach with the goal to recover LV function. Venting the LV via IMPELLA (Abiomed, Danvers, MA, USA) helps unloading the LV and therefore increasing the chance of regaining LV function. Bringing additionally relatively unsaturated blood into the ascending aorta or the aortic arch can bring the risk of causing Harlequin syndrome. Harlequin syndrome is a complication which can sometimes occur in patients receiving ECLS via peripheral cannulation. In case of a simultaneous lung insufficiency there may be a differential hypoxemia between the upper and lower part of the body. Clinical presentation differs according to the level of the watershed [1]. Descending thoracic aortic thrombus (DTAT) is a rare, in most cases accidental finding with a variety of symptoms. Most common symptoms include chest pain, back pain, abdominal pain, dyspnea, claudication and neurological deficits [2]. Different treatment options have been described: Medical therapy with anticoagulation, open surgical removement and transcatheter endovascular aortic repair (TEVAR). Medical therapy is the most frequently used initial therapy, TEVAR can be used when initial medical therapy is unsuccessful. Surgical removement has been an option in the past but is not frequently used anymore as of today [3]. Most obvious and most feared complication is systemic arterial embolization. Often, the diagnosis of DTAT is made when an embolic event occurs.
Case Presentation
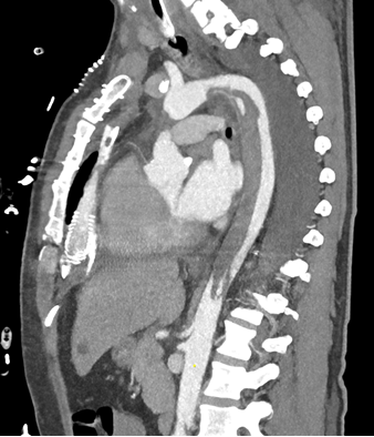
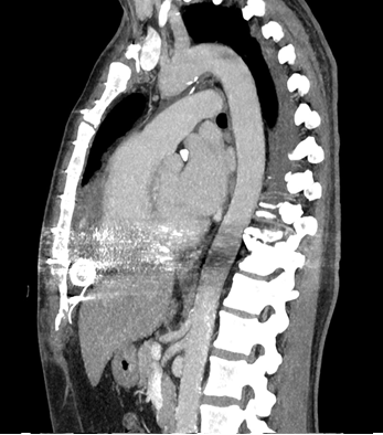
49-year-old male was transferred to our center to be evaluated for LVAD implantation and possibly HTx listing after receiving ECMELLA therapy in an external hospital due to a large anterior STEMI with cardiogenic shock. After neurological evaluation via perfusion-cCT and informed consent of the family he was planned for LVAD implantation on day 7 after the myocardial infarction. In the days before the surgery, patient received therapy of a pneumonia and the pulmonary edema resulting from the cardiogenic shock. Surgery went uneventful without any complications. Right heart function was satisfactory, so there was no need for right heart assist device. ECMELLA was explanted intraoperatively. On postoperative day 3, the patient showed signs of rhabdomyolysis and symptoms of malperfusion of the left leg as well as possible malperfusion of the abdomen. CK was 23.533 U/l, although CK-MB was initially normal. Hs-Troponin was in decline, reaching values of 71670 pg/ml (peak: 244630 pg/ml on day 0 postoperatively) Myoglobin was 61711 µg/l and liver enzymes were highly elevated (GLDH: 9895 U/l, GOT: 5184 U/l, GPT: 3577 U/l). Therefore, a CT-angiography was performed revealing a large descending thoracic aortic thrombus (DTAT, length approx. 20 cm, beginning distal of the left subclavian artery expanding downwards until the coeliac trunk). Thrombus formation was most likely the result of the watershed caused by ECMELLA therapy and the thrombogenicity of the IMPELLA device itself as an extreme form of a Harlequin syndrome. Medical therapy with heparin was inducted, target aPTT was set to a minimum of 60 seconds. In the following week, CK and myoglobin returned to preoperative values under the use of continuous renal replacement. In the following days in ICU, even though distal leg perfusion was installed on the day of receiving ECMO, the patient showed increasing malperfusion of the left leg where the IMPELLA used to be in place. After a couple of days, a clear demarcation was seen and our vascular surgery colleagues recommended amputation of the left thigh. ICU stay was prolonged due to several complications including dialysis due to the renal impairment, pneumonia and wound healing disorder/lyphatic fistula following the amputation. After admission to the ward on postoperative day 52, the patient did well and after permission of the vascular surgeons cumarine therapy was inducted. On postoperative day 60, bridging with heparin was stopped when an INR of greater than 2 was achieved. A follow up CT-angiography on day 74 revealed complete remission of the DTAT.
Figure 1

Figure 1: Large descending thoracic aortic thrombus beginning distal of the left subclavian artery expanding downwards until the coeliac trunk
Figure 2

Figure 2: Complete removal of the descending thoracic aortic thrombus after medical treatment
Discussion
Although very rarely seen, Harlequin syndrome can occur in patients undergoing ECMELLA treatment. Diagnosis can be difficult as symptoms are not specific. In this special population, medical/conservative therapy looks to be a good and less invasive treatment. Although only one third of DTAT are completely resolved through medical therapy [3], it was successful in our case. As systemic embolization can occur at any time, early treatment can benefit morbidity and increase survival.
References
- Rao P, Khalpey Z, Smith R, Burkhoff D, Kociol RD. Venoarterial Extracorporeal Membrane Oxygenation for Cardiogenic Shock and Cardiac Arrest. Circ Heart Fail. 2018; 11: e004905.
- Nguyen Q, Ma X, Vervoort D, Luc JGY. Management Strategies for Descending Thoracic Aortic Thrombus: A Review of the Literature. Innovations (Phila). 2022; 17: 283-296.
- Meyermann K, Trani J, Caputo FJ, Lombardi JV. Descending thoracic aortic mural thrombus presentation and treatment strategies. J Vasc Surg. 2017; 66: 931-936.