Loading

JSM Heart Surgery Cases and Images

Sinus of Valsalva Aneurysm of the Non-Coronary Cusp with Intraluminal Thrombus: A Multimodality Imaging Case Report

Case Report | Open Access | Volume 5 | Issue 1
Article DOI :

  • 1. Assistant professor, Department of Cardiology, Nizam’s Institute of Medical Sciences, Hyderabad, Telangana, India
  • 2. Assistant professor, Department of Cardiology, Nizam’s Institute of Medical Sciences, Hyderabad, Telangana, India
  • 3. Assistant professor, Department of Cardiology, Nizam’s Institute of Medical Sciences, Hyderabad, Telangana, India
  • 4. HOD -Professor, Department of Cardiology, Nizam’s Institute of Medical Sciences, Hyderabad, Telangana, India
+ Show More - Show Less
Corresponding Authors
Neusha D, Assistant professor, Department of Cardiology, Nizam’s Institute of Medical Sciences, Hyderabad, Telangana, India
Abstract

Sinus of Valsalva Aneurysm (SOVA) is a rare cardiac anomaly that can present incidentally or with life-threatening complications such as rupture or thromboembolism. We report a case of a 49-year-old male evaluated for palpitations, in whom multimodality imaging revealed an aneurysm arising from the non-coronary cusp of the aortic sinus containing an eccentric mural thrombus. Transthoracic Echocardiography (TTE), Transesophageal Echocardiography (TEE), Cardiac Magnetic Resonance Imaging (MRI), and Computed Tomography Coronary Angiography (CTCA) provided complementary diagnostic information. This case highlights the role of multimodality imaging in characterizing sinus of Valsalva aneurysms and guiding individualized management.

INTRODUCTION

Sinus of Valsalva Aneurysm (SOVA) is a rare cardiac anomaly that may be congenital or acquired. It accounts for less than 1% of all congenital cardiac defects [1]. The aneurysm most commonly involves the right coronary sinus, while involvement of the non-coronary sinus is uncommon [2]. SOVAs are often asymptomatic but may present with arrhythmia, heart failure, or complications such as rupture or thromboembolism. We present a case of non-coronary cusp SOVA with mural thrombus identified incidentally through multimodality cardiac imaging.

CASE PRESENTATION

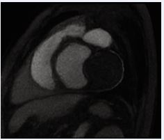
A 49-year-old male presented with complaints of intermittent palpitations for three years, increasing on exertion and associated with sweating. Clinical evaluation revealed atrial fibrillation with a controlled ventricular rate. Baseline echocardiography demonstrated a large mass in the interatrial septum measuring approximately 5.2 × 3.0 cm, suggestive of a cystic lesion with internal septations. Transesophageal Echocardiography (TEE) confirmed a large mass arising near the non-coronary sinus of Valsalva, raising suspicion of aneurysm with internal thrombus. Coronary angiography showed mild coronary artery disease. Cardiac MRI demonstrated an aneurysmal dilatation of the non-coronary cusp of the aortic sinus measuring 4.3 × 3.1 cm with eccentric mural thrombus, causing compression on the left atrium. No myocardial edema, perfusion defect, or late gadolinium enhancement was noted. CT coronary angiography further delineated a saccular aneurysm from the non-coronary sinus measuring 3.8 × 3.8 × 5.6 cm with non-enhancing thrombus, indenting the left atrium and right pulmonary vein. Calcified plaques causing mild luminal narrowing were noted in the left main coronary artery and left anterior descending artery. The total calcium score was 420. The cardiothoracic surgeon had assessed the operative risk to be significantly high in view of the patient’s very low body weight (40 kg), raising concerns regarding perioperative morbidity, hemodynamic instability, and postoperative recovery. These factors were clearly explained, and although surgery was advised, the patient declined the procedure after understanding the associated risks. In view of the high surgical risk and the patient’s informed refusal, we adopted a conservative management strategy. The patient was managed with rate control for atrial fibrillation and remains stable on follow-up (Figures 1-3).

https://www.jscimedcentral.com/public/assets/images/uploads/image-1765364818-1.JPG

Figure 1 Transthoracic Echocardiography showing large mass occupying the LA.

https://www.jscimedcentral.com/public/assets/images/uploads/image-1765364880-1.JPG

Figure 2 CT Coronary Angiogram depicting saccular aneurysm from non-coronary sinus compressing left atrium and right pulmonary vein with peripheral thrombus.

https://www.jscimedcentral.com/public/assets/images/uploads/image-1765364951-1.JPG

Figure 3 Cardiac MRI demonstrating aneurysmal dilation of non coronary cusp with eccentric thrombus, no myocardial edema, and preserved LV systolic function.

DISCUSSION

Sinus of Valsalva Aneurysms (SOVAs) can be congenital, resulting from deficiency in the elastic and muscular tissues of the aortic wall, or acquired, secondary to trauma, infection, or degenerative aortopathy [3]. Non-coronary cusp involvement, as in our patient, is the least common type and may remain asymptomatic until complications develop [4]. Thrombus formation within the aneurysm is a rare occurrence but carries risk of systemic embolization [5]. Multimodality imaging is crucial for diagnosis: echocardiography defines morphology and hemodynamics, CT angiography delineates anatomic detail and calcification, while MRI assesses tissue composition and thrombus characterization [6]. Management depends on aneurysm size, symptoms, and associated lesions. Surgical repair is recommended for large or symptomatic aneurysms or those with risk of rupture [7]. Our patient, with moderate aneurysm size, mural thrombus, and no rupture or hemodynamic compromise, even though we advised surgery in view of life-threatening complications, patient refused surgery. Hence, he was managed conservatively with imaging follow-up.

CONCLUSION

Non-coronary sinus of Valsalva aneurysm with mural thrombus is an uncommon clinical entity. Multimodality imaging combining echocardiography, CT, and MRI provides comprehensive evaluation for diagnosis, risk assessment, and management planning. Early recognition and appropriate imaging surveillance are essential to prevent catastrophic complications.

AUTHOR CONTRIBUTION AND PATIENT CONSENT

All authors contributed to the conception, drafting, and revision of this manuscript and approved the final version for publication. Informed written consent was obtained from the patient for publication of this case and accompanying images.

REFERENCES
  1. Feldman DN, Roman MJ. Aneurysms of the sinuses of Valsalva. Cardiol. 2006; 106: 73-81.
  2. Takach TJ, Reul GJ, Duncan JM, Cooley DA, Livesay JJ, Ott DA, et al. Sinus of Valsalva aneurysm or fistula: management and outcome. Ann Thorac Surg. 1999; 68: 1573-1577.
  3. Moustafa S, Mookadam F, Cooper L, Adam G, Zehr K, Stulak J, et al. Sinus ofValsalva aneurysms--47 years of a single center experience and systematic overview of published reports. Am J Cardiol. 2007; 99: 1159-1164.
  4. Weinreich M, Yu PJ, Trost B. Sinus of valsalva aneurysms: review of the literature and an update on management. Clin Cardiol. 2015; 38: 185-189.
  5. Tandon V, Goel PK, Mehta V. Thrombus formation in unruptured sinus of Valsalva aneurysm: a rare cause of embolic stroke. Indian Heart J. 2023; 75: 76-79.
  6. Saremi F, Channual S, Gurudevan SV. Imaging of the sinuses of Valsalva: normal anatomy and pathologic entities. Radiographics. 2020; 40: 829-855.
  7. Zhao B, Zhang H, Hu S. Surgical management of unruptured sinus of Valsalva aneurysm: experience from a tertiary center. Eur J Cardiothorac Surg. 2024; 65: e12-e18.

Neusha D (2025) Sinus of Valsalva Aneurysm of the Non-Coronary Cusp with Intraluminal Thrombus: A Multimodality Imaging Case Report. JSM Heart Surg Case Images 5(1): 1014.

Received : 08 Dec 2025
Accepted : 04 Dec 2025
Published : 05 Dec 2025
Journals
Annals of Otolaryngology and Rhinology
ISSN : 2379-948X
Launched : 2014
JSM Schizophrenia
Launched : 2016
Journal of Nausea
Launched : 2020
JSM Internal Medicine
Launched : 2016
JSM Hepatitis
Launched : 2016
JSM Oro Facial Surgeries
ISSN : 2578-3211
Launched : 2016
Journal of Human Nutrition and Food Science
ISSN : 2333-6706
Launched : 2013
JSM Regenerative Medicine and Bioengineering
ISSN : 2379-0490
Launched : 2013
JSM Spine
ISSN : 2578-3181
Launched : 2016
Archives of Palliative Care
ISSN : 2573-1165
Launched : 2016
JSM Nutritional Disorders
ISSN : 2578-3203
Launched : 2017
Annals of Neurodegenerative Disorders
ISSN : 2476-2032
Launched : 2016
Journal of Fever
ISSN : 2641-7782
Launched : 2017
JSM Bone Marrow Research
ISSN : 2578-3351
Launched : 2016
JSM Mathematics and Statistics
ISSN : 2578-3173
Launched : 2014
Journal of Autoimmunity and Research
ISSN : 2573-1173
Launched : 2014
JSM Arthritis
ISSN : 2475-9155
Launched : 2016
JSM Head and Neck Cancer-Cases and Reviews
ISSN : 2573-1610
Launched : 2016
JSM General Surgery Cases and Images
ISSN : 2573-1564
Launched : 2016
JSM Anatomy and Physiology
ISSN : 2573-1262
Launched : 2016
JSM Dental Surgery
ISSN : 2573-1548
Launched : 2016
Annals of Emergency Surgery
ISSN : 2573-1017
Launched : 2016
Annals of Mens Health and Wellness
ISSN : 2641-7707
Launched : 2017
Journal of Preventive Medicine and Health Care
ISSN : 2576-0084
Launched : 2018
Journal of Chronic Diseases and Management
ISSN : 2573-1300
Launched : 2016
Annals of Vaccines and Immunization
ISSN : 2378-9379
Launched : 2014
Annals of Reproductive Medicine and Treatment
ISSN : 2573-1092
Launched : 2016
JSM Brain Science
ISSN : 2573-1289
Launched : 2016
JSM Biomarkers
ISSN : 2578-3815
Launched : 2014
JSM Biology
ISSN : 2475-9392
Launched : 2016
Archives of Stem Cell and Research
ISSN : 2578-3580
Launched : 2014
Annals of Clinical and Medical Microbiology
ISSN : 2578-3629
Launched : 2014
JSM Pediatric Surgery
ISSN : 2578-3149
Launched : 2017
Journal of Memory Disorder and Rehabilitation
ISSN : 2578-319X
Launched : 2016
JSM Tropical Medicine and Research
ISSN : 2578-3165
Launched : 2016
JSM Head and Face Medicine
ISSN : 2578-3793
Launched : 2016
JSM Cardiothoracic Surgery
ISSN : 2573-1297
Launched : 2016
JSM Bone and Joint Diseases
ISSN : 2578-3351
Launched : 2017
JSM Bioavailability and Bioequivalence
ISSN : 2641-7812
Launched : 2017
JSM Atherosclerosis
ISSN : 2573-1270
Launched : 2016
Journal of Genitourinary Disorders
ISSN : 2641-7790
Launched : 2017
Journal of Fractures and Sprains
ISSN : 2578-3831
Launched : 2016
Journal of Autism and Epilepsy
ISSN : 2641-7774
Launched : 2016
Annals of Marine Biology and Research
ISSN : 2573-105X
Launched : 2014
JSM Health Education & Primary Health Care
ISSN : 2578-3777
Launched : 2016
JSM Communication Disorders
ISSN : 2578-3807
Launched : 2016
Annals of Musculoskeletal Disorders
ISSN : 2578-3599
Launched : 2016
Annals of Virology and Research
ISSN : 2573-1122
Launched : 2014
JSM Renal Medicine
ISSN : 2573-1637
Launched : 2016
Journal of Muscle Health
ISSN : 2578-3823
Launched : 2016
JSM Genetics and Genomics
ISSN : 2334-1823
Launched : 2013
JSM Anxiety and Depression
ISSN : 2475-9139
Launched : 2016
Clinical Journal of Heart Diseases
ISSN : 2641-7766
Launched : 2016
Annals of Medicinal Chemistry and Research
ISSN : 2378-9336
Launched : 2014
JSM Pain and Management
ISSN : 2578-3378
Launched : 2016
JSM Women's Health
ISSN : 2578-3696
Launched : 2016
Clinical Research in HIV or AIDS
ISSN : 2374-0094
Launched : 2013
Journal of Endocrinology, Diabetes and Obesity
ISSN : 2333-6692
Launched : 2013
Journal of Substance Abuse and Alcoholism
ISSN : 2373-9363
Launched : 2013
JSM Neurosurgery and Spine
ISSN : 2373-9479
Launched : 2013
Journal of Liver and Clinical Research
ISSN : 2379-0830
Launched : 2014
Journal of Drug Design and Research
ISSN : 2379-089X
Launched : 2014
JSM Clinical Oncology and Research
ISSN : 2373-938X
Launched : 2013
JSM Bioinformatics, Genomics and Proteomics
ISSN : 2576-1102
Launched : 2014
JSM Chemistry
ISSN : 2334-1831
Launched : 2013
Journal of Trauma and Care
ISSN : 2573-1246
Launched : 2014
JSM Surgical Oncology and Research
ISSN : 2578-3688
Launched : 2016
Annals of Food Processing and Preservation
ISSN : 2573-1033
Launched : 2016
Journal of Radiology and Radiation Therapy
ISSN : 2333-7095
Launched : 2013
JSM Physical Medicine and Rehabilitation
ISSN : 2578-3572
Launched : 2016
Annals of Clinical Pathology
ISSN : 2373-9282
Launched : 2013
Annals of Cardiovascular Diseases
ISSN : 2641-7731
Launched : 2016
Journal of Behavior
ISSN : 2576-0076
Launched : 2016
Annals of Clinical and Experimental Metabolism
ISSN : 2572-2492
Launched : 2016
Clinical Research in Infectious Diseases
ISSN : 2379-0636
Launched : 2013
JSM Microbiology
ISSN : 2333-6455
Launched : 2013
Journal of Urology and Research
ISSN : 2379-951X
Launched : 2014
Journal of Family Medicine and Community Health
ISSN : 2379-0547
Launched : 2013
Annals of Pregnancy and Care
ISSN : 2578-336X
Launched : 2017
JSM Cell and Developmental Biology
ISSN : 2379-061X
Launched : 2013
Annals of Aquaculture and Research
ISSN : 2379-0881
Launched : 2014
Clinical Research in Pulmonology
ISSN : 2333-6625
Launched : 2013
Journal of Immunology and Clinical Research
ISSN : 2333-6714
Launched : 2013
Annals of Forensic Research and Analysis
ISSN : 2378-9476
Launched : 2014
JSM Biochemistry and Molecular Biology
ISSN : 2333-7109
Launched : 2013
Annals of Breast Cancer Research
ISSN : 2641-7685
Launched : 2016
Annals of Gerontology and Geriatric Research
ISSN : 2378-9409
Launched : 2014
Journal of Sleep Medicine and Disorders
ISSN : 2379-0822
Launched : 2014
JSM Burns and Trauma
ISSN : 2475-9406
Launched : 2016
Chemical Engineering and Process Techniques
ISSN : 2333-6633
Launched : 2013
Annals of Clinical Cytology and Pathology
ISSN : 2475-9430
Launched : 2014
JSM Allergy and Asthma
ISSN : 2573-1254
Launched : 2016
Journal of Neurological Disorders and Stroke
ISSN : 2334-2307
Launched : 2013
Annals of Sports Medicine and Research
ISSN : 2379-0571
Launched : 2014
JSM Sexual Medicine
ISSN : 2578-3718
Launched : 2016
Annals of Vascular Medicine and Research
ISSN : 2378-9344
Launched : 2014
JSM Biotechnology and Biomedical Engineering
ISSN : 2333-7117
Launched : 2013
Journal of Hematology and Transfusion
ISSN : 2333-6684
Launched : 2013
JSM Environmental Science and Ecology
ISSN : 2333-7141
Launched : 2013
Journal of Cardiology and Clinical Research
ISSN : 2333-6676
Launched : 2013
JSM Nanotechnology and Nanomedicine
ISSN : 2334-1815
Launched : 2013
Journal of Ear, Nose and Throat Disorders
ISSN : 2475-9473
Launched : 2016
JSM Ophthalmology
ISSN : 2333-6447
Launched : 2013
Journal of Pharmacology and Clinical Toxicology
ISSN : 2333-7079
Launched : 2013
Annals of Psychiatry and Mental Health
ISSN : 2374-0124
Launched : 2013
Medical Journal of Obstetrics and Gynecology
ISSN : 2333-6439
Launched : 2013
Annals of Pediatrics and Child Health
ISSN : 2373-9312
Launched : 2013
JSM Clinical Pharmaceutics
ISSN : 2379-9498
Launched : 2014
JSM Foot and Ankle
ISSN : 2475-9112
Launched : 2016
JSM Alzheimer's Disease and Related Dementia
ISSN : 2378-9565
Launched : 2014
Journal of Addiction Medicine and Therapy
ISSN : 2333-665X
Launched : 2013
Journal of Veterinary Medicine and Research
ISSN : 2378-931X
Launched : 2013
Annals of Public Health and Research
ISSN : 2378-9328
Launched : 2014
Annals of Orthopedics and Rheumatology
ISSN : 2373-9290
Launched : 2013
Journal of Clinical Nephrology and Research
ISSN : 2379-0652
Launched : 2014
Annals of Community Medicine and Practice
ISSN : 2475-9465
Launched : 2014
Annals of Biometrics and Biostatistics
ISSN : 2374-0116
Launched : 2013
JSM Clinical Case Reports
ISSN : 2373-9819
Launched : 2013
Journal of Cancer Biology and Research
ISSN : 2373-9436
Launched : 2013
Journal of Surgery and Transplantation Science
ISSN : 2379-0911
Launched : 2013
Journal of Dermatology and Clinical Research
ISSN : 2373-9371
Launched : 2013
JSM Gastroenterology and Hepatology
ISSN : 2373-9487
Launched : 2013
Annals of Nursing and Practice
ISSN : 2379-9501
Launched : 2014
JSM Dentistry
ISSN : 2333-7133
Launched : 2013
Author Information X