Loading

JSM Medical Case Reports

Multidisciplinary Approach in Managing Recurrent Adenoid Cystic Carcinoma of Bartholin

Case Report | Open Access | Volume 6 | Issue 1

  • 1. Department of Medical Oncology, Fondazione Policlinico Universitario Campus Bio-Medico, Rome, Italy
+ Show More - Show Less
Corresponding Authors
Tea Zeppola, Department of Medical Oncology, Fondazione Policlinico Universitario Campus Bio-Medico, Rome, Italy
Abstract

Bartholin Gland (BG) carcinoma is an uncommon malignancy, comprising less than 5% of all vulvar cancers [1]. Adenoid Cystic Carcinoma (ACC) makes up 10-30% of these cases, following squamous cell carcinoma and adenocarcinoma in prevalence [2]. While ACC is most frequently observed in the minor and major salivary glands, it can also manifest in other secretory glands, such as the tracheobronchial tree, esophagus, breast, and BG. ACC is marked by a slow progression and low tendency for lymph node involvement, but it has a significant potential for hematogenous metastasis, which can occur long after the primary tumor is diagnosed [3]. Because of its rarity, there are no specific recommendations for the management of ACC of BG (ACCBG) and the treatment must be decided in multidisciplinary staff and following the guidelines of the vulvar cancer 

Keywords

• Adenoidcystic Carcinoma of Bartholin’s Gland

• Cryoablation

CITATION

Zeppola T, Scafetta R, Speziale E, Vincenzi B, Pantano F, et al. (2024) Multidisciplinary Approach in Managing Recurrent Adenoid Cystic Carcinoma of Bartholin’s Gland: A Case Report. JSM Med Case Rep 6(1): 1014.

CASE REPORT

Initial Diagnosis and Treatment

In August 2003, a 47-year-old female patient underwent a radical hemivulvectomy and systematic left inguinal and pelvic lymphadenectomy for an infiltrative ACCBG, which displayed perineural and muscular invasion. The posterior margin was positive, but no lymph node involvement was observed (0/15 nodes positive). Postoperatively, the patient received three cycles of carboplatin AUC 5 and taxol 175 mg /mq, followed by an additional three cycles of carboplatin alone for an allergic reaction to taxol.

Recurrence and Subsequent Treatments

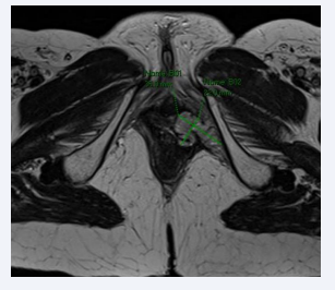
In July 2017, the patient experienced another recurrence in the left vulvar region with involvement of the elevator any muscle. An MRI on July 9, 2018, revealed a 33 mm solid mass infiltrating surrounding tissues and partially ulcerating, with apparent invasion of the anterior aspect of the left elevator any muscle (Figure 1)..

Figure 1: Giugno 2007.

Figure 1: Giugno 2007.

Systemic Therapy and Disease Management A multidisciplinary team decided to initiate monotherapy with weekly cisplatin 20mg/mq from February 2019, until June 2020, followed by a follow-up period. Cisplatin therapy resumed from October 2020 to March 2021. Despite stable disease on 

imaging in March 2021, the patient experienced severe local pain due to nerve and muscle infiltration, poorly managed by opioids. In April 2021, she started treatment with capecitabine (1500 mg/ day), but after two cycles, she discontinued due to poor tolerance and worsening mucosal burning in the anal and vaginal areas.

From July 11 to July 15, 2022, she received RT to the vulvar lesion (total dose of 20 Gy, fractionation of 400 cGy/day). The pelvic RMI of March 2023 showed progression disease so she received carboplatin AUC 2 on days 1, 8, of a 21-day cycle schedule until June 2023. An MRI performed on May 2023 revealed a stable 3 cm lesion in the left vulvar region, infiltrating the vaginal orifice and the distal third of the left lateral vaginal wall, as well as the left ischiocavernosus and bulbospongiosus muscles, reaching the medial cortical profile of the left ischiopubic ramus (Figure 3). Due to the onset of hearing loss, the patient was switched to follow-up care. A biopsy of the left vaginal neoplasm confirmed recurrent ACC.

In November 2023, for worsening pain, she started gemcitabine (800 mg/m² on days 1, 8, and 15 of a 28-day cycle) but only completed one month of treatment before discontinuing due to increased pain and decreased quality of life. Consequently, she started oral cyclophosphamide (50 mg/day). This treatment was stopped on January 2024 due to worsening vaginal discharge and pain.

Recent Developments and Current Status

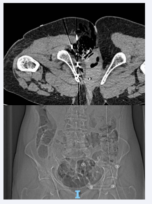
Following a multidisciplinary discussion, considering the significant pain symptoms severely affecting the patient’s quality of life, she was selected for cryoablation of the pelvic lesion (Figure 2-4), which was subsequently performed in January 2024. MRIs performed in February and April 2024 showed stable disease. Currently, the patient is under oncological follow-up, with significant pain relief managed by paracetamol and codeine.

Figure 2: Pelvic MRI with constrast showing ovoidal lesion 33 x 16 mm.

Figure 2: Pelvic MRI with constrast showing ovoidal lesion 33 x 16 mm.

Figure 3: Pelvic MRI with constrast showing 3 cm lesion in the left vulvar  region, infiltrating the vaginal orifice and the distal third of the left lateral  vaginal wall, as well as the left ischiocavernosus and bulbospongiosus muscles,  reaching the medial cortical profile of the left ischiopubic ramus.

Figure 3: Pelvic MRI with constrast showing 3 cm lesion in the left vulvar region, infiltrating the vaginal orifice and the distal third of the left lateral vaginal wall, as well as the left ischiocavernosus and bulbospongiosus muscles, reaching the medial cortical profile of the left ischiopubic ramus.

Figure 4: Procedure of cryoablation of the pelvic lesion, with the formation at  an Iceball measuring 51 x 34 x 35 mm.

Figure 4: Procedure of cryoablation of the pelvic lesion, with the formation at an Iceball measuring 51 x 34 x 35 mm.

CONCLUSION AND DISCUSSION

BG is a small gland located within the labia minora3. Lesions affecting the BG include a variety of benign and malignant tumours, premalignant lesions, mesenchymal lesions, lymphomas, and inflammatory conditions, with cysts and abscesses being the most prevalent. Malignancies of BG include several histological subtypes, such as adenocarcinoma, squamous cell carcinoma, transitional cell carcinoma, ACC, and undifferentiated adenocarcinoma [4]. ACC is a rare tumor that more commonly affects the head and neck region, especially the minor salivary glands, parotid, and sublingual glands, as well as the glandular tissues of the nasal passages and tracheobronchial tree. In the context of Bartholin’s gland, ACC accounts for only 10-15% of BG malignancies, 2-7% of vulvar carcinomas, and less than 1% of genital tumours [4]. ACC is characterized by slow growth, perineural and lymphatic invasion, and a propensity for local recurrence rather than distant metastasis. Symptoms are often nonspecific, including pain, burning sensations, a palpable mass, dyspareunia, or pruritus, with a painful nodule being the most common presentation [5,6]. Distant metastases, when they occur, typically involve the bones and lungs and can arise long after initial diagnosis [7]. In our patient’s, a local recurrence occurred four years post-diagnosis, with further progression after an additional ten years. There are no established guidelines for the surgical or systemic treatment of ACCBG, often following the protocols for vulvar neoplasms. Recommended surgical interventions include simple or radical vulvectomy, with or without lymph node dissection [8]. Studies, such as that by Yang, et al, indicate higher recurrence rates following simple excision compared to radical vulvectomy (68.9% vs. 42.8%). Recurrence rates were similar for patients with both negative (52.1%) and positive (52.9%) surgical margins, although half of the patients with positive margins received adjuvant radiotherapy, suggesting that surgical margin status is crucial in determining recurrence risk [9]. Chemotherapy is recommended for advanced or inoperable ACCBG, though standard regimens are not well established. A large retrospective study highlighted the benefit of chemoradiotherapy over radiotherapy alone for unrespectable tumours, with higher overall survival rates in the chemoradiotherapy group [10]. While there are no standard systemic therapies for advanced or recurrent/metastatic ACC, studies in cervical cancer suggest the potential use of platinum- based treatments. Enrolment in clinical trials and molecular investigations for targeted therapies are recommended. In our patient NGS analysis revealed no gene rearrangements or alterations, despite focal cytoplasmic and membrane positivity for pan-TRK in the neoplastic cells. Despite the limited literature on systemic treatments for ACCBG, these tumours pose significant challenges due to frequent pelvic recurrences and associated pain, severely impacting quality of life. Given the complexity and rarity of this tumor, a multidisciplinary approach is essential for optimal management. This collaborative strategy should involve oncologists, radiologists, surgeons, pathologists, and pain management specialists to tailor a comprehensive and personalized treatment plan. Cryoablation, a minimally invasive procedure that uses extreme cold to destroy abnormal tissue, emerges as a valuable option in this multidisciplinary framework. It is particularly advantageous for patients with recurrent or inoperable tumours, where conventional surgical methods may not be feasible or have been previously exhausted. Cryoablation works by inducing ice formation within the tumor, inducing tissue necrosis and cell death with minimal damage to normal tissues beyond the tumor margin [11]. The technique offers several benefits such the possibility to alleviate pain with the distruption of tumor cells directly responsible for nerve irritation. It is usually associated with shorter recovery periods compared to traditional surgery and it can be used in conjunction with other therapies, such as chemotherapy. This multimodal approach can enhance overall treatment efficacy. In our patient’s case, the decision to use cryoablation followed a multidisciplinary discussion, acknowledging the significant and debilitating pain that compromised her quality of life. Despite multiple systemic treatments, including chemotherapy and radiotherapy, the patient’s pain persisted, underscoring the need for a more targeted intervention. The cryoablation procedure, performed in January 2024, aimed not only to control the local recurrence but also to provide symptomatic relief. The outcomes were promising, with the patient reporting significant pain reduction and stabilization of the disease as confirmed by follow-up imaging in February and April 2024. In summary, a multidisciplinary approach integrating local treatments offers a robust framework for managing ACCBG, particularly for recurrent or inoperable cases. Further research is needed to optimize treatment strategies and improve quality of life for patients with this rare cancer.

REFERENCES
  1. Evin C, Just PA, Borghese B, Fabiano E, Bennani S, Canny E, et al. Adenoid cystic carcinoma of Bartholin’s gland, a case report with genomic data and literature review. Cancer Radiother. 2023; 27: 328-336. doi: 10.1016/j.canrad.2023.01.001. Epub 2023 Feb 8. PMID:36759241.
  2. Johnson LR, Nair RP, Sambasivan S, Mony RP, Gangadharan J, Kumar A, et al. Adenoid Cystic Carcinoma of Vulva-11 Years’ Single- Institution Experience. J Obstet Gynaecol India. 2017; 67: 196-201. doi: 10.1007/s13224-016-0935-6. Epub 2016 Sep 19. PMID:28546667; PMCID: PMC5425633.
  3. Ouldamer L, Chraibi Z, Arbion F, Barillot I, Body G. Bartholin’s gland carcinoma: epidemiology and therapeutic management. Surg Oncol. 2013; 22: 117-122. doi: 10.1016/j.suronc.2013.02.004. Epub 2013 Mar 14. PMID: 23499140.
  4. Heller DS, Bean S. Lesions of the Bartholin gland: a review. J Low Genit Tract Dis. 2014; 18: 351-357. doi: 10.1097/LGT.0000000000000016. PMID: 24914884.
  5. Sahincio?lu O, Berker B, Güngör M, Kankaya D, Sertçelik A. Adenoid cystic carcinoma of the Bartholin’s gland: a rare tumor unmarked by persistent vulvar pain in a postmenopausal woman. Arch Gynecol Obstet. 2008; 278: 473-476. doi: 10.1007/s00404-008-0601-z. Epub 2008 Feb 19. PMID: 18283472.
  6. Woida FM, Ribeiro-Silva A. Adenoid cystic carcinoma of the Bartholin gland: an overview. Arch Pathol Lab Med. 2007; 131: 796-798. doi: 10.5858/2007-131-796-ACCOTB. PMID: 17488169.
  7. Kumar R, Singhal M, Acharya R, Kudesia S, Chawla N. Adenoid cystic carcinoma of Bartholin’s gland—A rare entity likely to be misdiagnosed. Rev Esp Patolo. 2011; 44: 213-215.
  8. Oonk MHM, Planchamp F, Baldwin P, Mahner S, Mirza MR, Fischerová D, et al. European Society of Gynecological Oncology Guidelines for the Management of Patients with Vulvar Cancer - Update 2023. Int J Gynecol Cancer. 2023; 33: 1023-1043. doi: 10.1136/ijgc-2023- 004486. PMID: 37369376; PMCID: PMC10359596.
  9. Yang SY, Lee JW, Kim WS, Jung KL, Lee SJ, Lee JH, et al. Adenoid cystic carcinoma of the Bartholin’s gland: report of two cases and review of the literature. Gynecol Oncol. 2006; 100: 422-425. doi: 10.1016/j. ygyno.2005.08.030. Epub 2005 Sep 27. PMID: 16194566.
  10. Rao YJ, Chin RI, Hui C, Mutch DG, Powell MA, Schwarz JK, et al. Improved survival with definitive chemoradiation compared to definitive radiation alone in squamous cell carcinoma of the vulva: A review of the National Cancer Database. Gynecol Oncol. 2017; 146: 572-579. doi: 10.1016/j.ygyno.2017.06.022. Epub 2017 Jun 27. PMID: 28662775.
  11. Solomon LA, Munkarah AR, Vorugu VR, Deppe G, Adam B, Malone JM Jr, et al. Image-guided percutaneous cryotherapy for the management of gynecologic cancer metastases. Gynecol Oncol. 2008; 111: 202-207. doi: 10.1016/j.ygyno.2008.08.003. Epub 2008 Sep 16. PMID:18799209.

Zeppola T, Scafetta R, Speziale E, Vincenzi B, Pantano F, et al. (2024) Multidisciplinary Approach in Managing Recurrent Adenoid Cystic Carcinoma of Bartholin’s Gland: A Case Report. JSM Med Case Rep 6(1): 1014

Received : 31 May 2024
Accepted : 20 Jun 2024
Published : 22 Jun 2024
Journals
Annals of Otolaryngology and Rhinology
ISSN : 2379-948X
Launched : 2014
JSM Schizophrenia
Launched : 2016
Journal of Nausea
Launched : 2020
JSM Internal Medicine
Launched : 2016
JSM Hepatitis
Launched : 2016
JSM Oro Facial Surgeries
ISSN : 2578-3211
Launched : 2016
Journal of Human Nutrition and Food Science
ISSN : 2333-6706
Launched : 2013
JSM Regenerative Medicine and Bioengineering
ISSN : 2379-0490
Launched : 2013
JSM Spine
ISSN : 2578-3181
Launched : 2016
Archives of Palliative Care
ISSN : 2573-1165
Launched : 2016
JSM Nutritional Disorders
ISSN : 2578-3203
Launched : 2017
Annals of Neurodegenerative Disorders
ISSN : 2476-2032
Launched : 2016
Journal of Fever
ISSN : 2641-7782
Launched : 2017
JSM Bone Marrow Research
ISSN : 2578-3351
Launched : 2016
JSM Mathematics and Statistics
ISSN : 2578-3173
Launched : 2014
Journal of Autoimmunity and Research
ISSN : 2573-1173
Launched : 2014
JSM Arthritis
ISSN : 2475-9155
Launched : 2016
JSM Head and Neck Cancer-Cases and Reviews
ISSN : 2573-1610
Launched : 2016
JSM General Surgery Cases and Images
ISSN : 2573-1564
Launched : 2016
JSM Anatomy and Physiology
ISSN : 2573-1262
Launched : 2016
JSM Dental Surgery
ISSN : 2573-1548
Launched : 2016
Annals of Emergency Surgery
ISSN : 2573-1017
Launched : 2016
Annals of Mens Health and Wellness
ISSN : 2641-7707
Launched : 2017
Journal of Preventive Medicine and Health Care
ISSN : 2576-0084
Launched : 2018
Journal of Chronic Diseases and Management
ISSN : 2573-1300
Launched : 2016
Annals of Vaccines and Immunization
ISSN : 2378-9379
Launched : 2014
JSM Heart Surgery Cases and Images
ISSN : 2578-3157
Launched : 2016
Annals of Reproductive Medicine and Treatment
ISSN : 2573-1092
Launched : 2016
JSM Brain Science
ISSN : 2573-1289
Launched : 2016
JSM Biomarkers
ISSN : 2578-3815
Launched : 2014
JSM Biology
ISSN : 2475-9392
Launched : 2016
Archives of Stem Cell and Research
ISSN : 2578-3580
Launched : 2014
Annals of Clinical and Medical Microbiology
ISSN : 2578-3629
Launched : 2014
JSM Pediatric Surgery
ISSN : 2578-3149
Launched : 2017
Journal of Memory Disorder and Rehabilitation
ISSN : 2578-319X
Launched : 2016
JSM Tropical Medicine and Research
ISSN : 2578-3165
Launched : 2016
JSM Head and Face Medicine
ISSN : 2578-3793
Launched : 2016
JSM Cardiothoracic Surgery
ISSN : 2573-1297
Launched : 2016
JSM Bone and Joint Diseases
ISSN : 2578-3351
Launched : 2017
JSM Bioavailability and Bioequivalence
ISSN : 2641-7812
Launched : 2017
JSM Atherosclerosis
ISSN : 2573-1270
Launched : 2016
Journal of Genitourinary Disorders
ISSN : 2641-7790
Launched : 2017
Journal of Fractures and Sprains
ISSN : 2578-3831
Launched : 2016
Journal of Autism and Epilepsy
ISSN : 2641-7774
Launched : 2016
Annals of Marine Biology and Research
ISSN : 2573-105X
Launched : 2014
JSM Health Education & Primary Health Care
ISSN : 2578-3777
Launched : 2016
JSM Communication Disorders
ISSN : 2578-3807
Launched : 2016
Annals of Musculoskeletal Disorders
ISSN : 2578-3599
Launched : 2016
Annals of Virology and Research
ISSN : 2573-1122
Launched : 2014
JSM Renal Medicine
ISSN : 2573-1637
Launched : 2016
Journal of Muscle Health
ISSN : 2578-3823
Launched : 2016
JSM Genetics and Genomics
ISSN : 2334-1823
Launched : 2013
JSM Anxiety and Depression
ISSN : 2475-9139
Launched : 2016
Clinical Journal of Heart Diseases
ISSN : 2641-7766
Launched : 2016
Annals of Medicinal Chemistry and Research
ISSN : 2378-9336
Launched : 2014
JSM Pain and Management
ISSN : 2578-3378
Launched : 2016
JSM Women's Health
ISSN : 2578-3696
Launched : 2016
Clinical Research in HIV or AIDS
ISSN : 2374-0094
Launched : 2013
Journal of Endocrinology, Diabetes and Obesity
ISSN : 2333-6692
Launched : 2013
Journal of Substance Abuse and Alcoholism
ISSN : 2373-9363
Launched : 2013
JSM Neurosurgery and Spine
ISSN : 2373-9479
Launched : 2013
Journal of Liver and Clinical Research
ISSN : 2379-0830
Launched : 2014
Journal of Drug Design and Research
ISSN : 2379-089X
Launched : 2014
JSM Clinical Oncology and Research
ISSN : 2373-938X
Launched : 2013
JSM Bioinformatics, Genomics and Proteomics
ISSN : 2576-1102
Launched : 2014
JSM Chemistry
ISSN : 2334-1831
Launched : 2013
Journal of Trauma and Care
ISSN : 2573-1246
Launched : 2014
JSM Surgical Oncology and Research
ISSN : 2578-3688
Launched : 2016
Annals of Food Processing and Preservation
ISSN : 2573-1033
Launched : 2016
Journal of Radiology and Radiation Therapy
ISSN : 2333-7095
Launched : 2013
JSM Physical Medicine and Rehabilitation
ISSN : 2578-3572
Launched : 2016
Annals of Clinical Pathology
ISSN : 2373-9282
Launched : 2013
Annals of Cardiovascular Diseases
ISSN : 2641-7731
Launched : 2016
Journal of Behavior
ISSN : 2576-0076
Launched : 2016
Annals of Clinical and Experimental Metabolism
ISSN : 2572-2492
Launched : 2016
Clinical Research in Infectious Diseases
ISSN : 2379-0636
Launched : 2013
JSM Microbiology
ISSN : 2333-6455
Launched : 2013
Journal of Urology and Research
ISSN : 2379-951X
Launched : 2014
Journal of Family Medicine and Community Health
ISSN : 2379-0547
Launched : 2013
Annals of Pregnancy and Care
ISSN : 2578-336X
Launched : 2017
JSM Cell and Developmental Biology
ISSN : 2379-061X
Launched : 2013
Annals of Aquaculture and Research
ISSN : 2379-0881
Launched : 2014
Clinical Research in Pulmonology
ISSN : 2333-6625
Launched : 2013
Journal of Immunology and Clinical Research
ISSN : 2333-6714
Launched : 2013
Annals of Forensic Research and Analysis
ISSN : 2378-9476
Launched : 2014
JSM Biochemistry and Molecular Biology
ISSN : 2333-7109
Launched : 2013
Annals of Breast Cancer Research
ISSN : 2641-7685
Launched : 2016
Annals of Gerontology and Geriatric Research
ISSN : 2378-9409
Launched : 2014
Journal of Sleep Medicine and Disorders
ISSN : 2379-0822
Launched : 2014
JSM Burns and Trauma
ISSN : 2475-9406
Launched : 2016
Chemical Engineering and Process Techniques
ISSN : 2333-6633
Launched : 2013
Annals of Clinical Cytology and Pathology
ISSN : 2475-9430
Launched : 2014
JSM Allergy and Asthma
ISSN : 2573-1254
Launched : 2016
Journal of Neurological Disorders and Stroke
ISSN : 2334-2307
Launched : 2013
Annals of Sports Medicine and Research
ISSN : 2379-0571
Launched : 2014
JSM Sexual Medicine
ISSN : 2578-3718
Launched : 2016
Annals of Vascular Medicine and Research
ISSN : 2378-9344
Launched : 2014
JSM Biotechnology and Biomedical Engineering
ISSN : 2333-7117
Launched : 2013
Journal of Hematology and Transfusion
ISSN : 2333-6684
Launched : 2013
JSM Environmental Science and Ecology
ISSN : 2333-7141
Launched : 2013
Journal of Cardiology and Clinical Research
ISSN : 2333-6676
Launched : 2013
JSM Nanotechnology and Nanomedicine
ISSN : 2334-1815
Launched : 2013
Journal of Ear, Nose and Throat Disorders
ISSN : 2475-9473
Launched : 2016
JSM Ophthalmology
ISSN : 2333-6447
Launched : 2013
Journal of Pharmacology and Clinical Toxicology
ISSN : 2333-7079
Launched : 2013
Annals of Psychiatry and Mental Health
ISSN : 2374-0124
Launched : 2013
Medical Journal of Obstetrics and Gynecology
ISSN : 2333-6439
Launched : 2013
Annals of Pediatrics and Child Health
ISSN : 2373-9312
Launched : 2013
JSM Clinical Pharmaceutics
ISSN : 2379-9498
Launched : 2014
JSM Foot and Ankle
ISSN : 2475-9112
Launched : 2016
JSM Alzheimer's Disease and Related Dementia
ISSN : 2378-9565
Launched : 2014
Journal of Addiction Medicine and Therapy
ISSN : 2333-665X
Launched : 2013
Journal of Veterinary Medicine and Research
ISSN : 2378-931X
Launched : 2013
Annals of Public Health and Research
ISSN : 2378-9328
Launched : 2014
Annals of Orthopedics and Rheumatology
ISSN : 2373-9290
Launched : 2013
Journal of Clinical Nephrology and Research
ISSN : 2379-0652
Launched : 2014
Annals of Community Medicine and Practice
ISSN : 2475-9465
Launched : 2014
Annals of Biometrics and Biostatistics
ISSN : 2374-0116
Launched : 2013
JSM Clinical Case Reports
ISSN : 2373-9819
Launched : 2013
Journal of Cancer Biology and Research
ISSN : 2373-9436
Launched : 2013
Journal of Surgery and Transplantation Science
ISSN : 2379-0911
Launched : 2013
Journal of Dermatology and Clinical Research
ISSN : 2373-9371
Launched : 2013
JSM Gastroenterology and Hepatology
ISSN : 2373-9487
Launched : 2013
Annals of Nursing and Practice
ISSN : 2379-9501
Launched : 2014
JSM Dentistry
ISSN : 2333-7133
Launched : 2013
Author Information X