Loading

JSM Medical Case Reports

Prenatal Diagnosis and Elective Cesarean Management of a Giant Placental Chorioangioma: A Case Report

Case Report | Open Access | Volume 7 | Issue 1
Article DOI :

  • 1. Department of Obstetrics and Gynecology, Vithas Hospital Las Palmas, Atlántico Medio University, Spain
+ Show More - Show Less
Corresponding Authors
David De la Torre, Department of Obstetrics and Gynecology, Vithas Hospital Las Palmas, Atlántico Medio University, Spain
Abstract

Background: Placental chorioangioma is a rare benign vascular tumour. Large lesions can be associated with significant maternal and fetal morbidity. Early prenatal diagnosis is critical for risk stratification and optimized perinatal care.

Case Presentation: We report a case of a giant placental chorioangioma diagnosed at 18 weeks’ gestation in a 33-year-old primigravida. Serial ultrasound and Doppler evaluations showed stable lesion size and normal fetal hemodynamics. At 38 weeks, elective cesarean delivery resulted in the birth of a healthy neonate.

Conclusion: This case highlights the importance of accurate prenatal diagnosis and multidisciplinary management. Conservative surveillance can be effective in the absence of fetal compromise, and elective cesarean delivery represents a safe option for large vascular placental tumours.

Keywords

• Placental chorioangioma

• Prenatal diagnosis

• Doppler ultrasound

• Elective cesarean section

• Fetal surveillance

Citation

De la Torre D, Marrero MAB, Cros EC. (2026) Prenatal Diagnosis and Elective Cesarean Management of a Giant Placental Chorioangioma: A Case Report. JSM Med Case Rep 7(1): 1016.

INTRODUCTION

Placental chorioangioma is the most common benign non-trophoblastic tumour of the placenta, originally described in 1798 [1]. It consists of a vascular hamartoma composed of proliferating capillaries within the placental stroma [2]. The incidence is approximately 0.5–1% in histopathological series, but clinically significant lesions are rare [2,3]. Lesions smaller than 5 cm are typically asymptomatic. However, giant chorioangiomas (≥5 cm) may act as arteriovenous shunts and lead to high-output cardiac failure, hydrops fetalis, polyhydramnios, fetal anaemia, and preterm delivery [4,5]. Advances in high resolution ultrasound and Doppler imaging have facilitated early prenatal diagnosis and enhanced fetal surveillance. We present a case of a giant placental chorioangioma managed conservatively until term with a favourable outcome.

CASE PRESENTATION

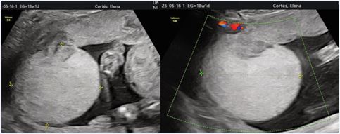
A 33-year-old primigravida was referred to our maternal–fetal medicine unit at 18 weeks’ gestation due to a suspected placental mass. The pregnancy had been uncomplicated, with no relevant medical or obstetric history. Ultrasound examination revealed a well-defined, hypoechoic, vascular placental mass measuring 5.9 × 6.5 cm, located near the umbilical cord insertion on the fetal surface (Figure 1).

https://www.jscimedcentral.com/public/assets/images/uploads/image-1774843325-1.JPG

Figure 1: Prenatal ultrasound image demonstrating a well-defined, hypoechoic placental mass located on the fetal surface near the umbilical cord insertion. Colour Doppler imaging shows abundant low-resistance arterial blood flow within the lesion, consistent with a giant placental chorioangioma.

Colour Doppler imaging demonstrated abundant low-resistance arterial flow, consistent with a diagnosis of placental chorioangioma. Fetal biometry, Doppler studies—including middle cerebral artery peak systolic velocity (MCA-PSV)—and amniotic fluid volume were within normal limits. Serial ultrasound examinations were performed every two weeks. The lesion remained stable in size, and no evidence of fetal anaemia, hydrops fetalis, or growth restriction was observed. Maternal condition remained stable throughout pregnancy. At 38 weeks’ gestation, an elective cesarean section was performed due to breech presentation and the vascular nature of the tumour, with concern for potential intrapartum complications. A healthy female neonate weighing 3070 g was delivered, with Apgar scores of 9 and 10 at 1 and 5 minutes, respectively. Gross examination of the placenta revealed an 8.0 × 6.8 cm vascular mass on the fetal surface (Figure 2).

https://www.jscimedcentral.com/public/assets/images/uploads/image-1774843389-1.JPG

Figure 2: Gross and histopathological findings of the placental chorioangioma. Macroscopic examination reveals a large, well-circumscribed vascular mass on the fetal surface of the placenta. Histological analysis shows numerous capillary-sized vessels lined by benign endothelial cells within the placental stroma, confirming the diagnosis of placental chorioangioma.

Histopathological analysis demonstrated numerous capillary-sized vessels lined by benign endothelial cells, confirming the diagnosis of placental chorioangioma. Postoperative recovery was uneventful, and both mother and infant were discharged on the third postpartum day.

DISCUSSION

Placental chorioangioma represents a benign vascular malformation rather than a true neoplasm [2]. Lesion size and vascularity largely determine clinical impact. While small chorioangiomas are usually asymptomatic, giant lesions can act as arteriovenous shunts, diverting significant fetal cardiac output and predisposing to complications such as fetal anaemia, hydrops fetalis, and high-output cardiac failure [3-6].

Large chorioangiomas can cause fetal and maternal complications via several mechanisms:

  1. Arteriovenous shunting, increasing cardiac preload and leading to high-output cardiac failure.
  2. Sequestration of red cells and platelets within the tumour, contributing to anaemia and thrombocytopenia.
  3. Increased transudation across the tumour surface, producing polyhydramnios.
  4. Altered placental perfusion leading to placental insufficiency and growth restriction [4,5].

Maternal complications, including preeclampsia and preterm labour, justify close monitoring. Prenatal ultrasound and Doppler are the main diagnostic tools. Typical findings include a hypoechoic mass with internal vascularity, often near the cord insertion. Differential diagnoses include placental teratoma, intervillous thrombus, subchorionic hematoma, and partial hydatidiform mole [7]. Management depends on lesion size, vascularity, and fetal condition. Expectant management with close monitoring is appropriate for stable cases [4]. Interventional options such as fetoscopic laser coagulation, embolization, intrauterine transfusion, or amnioreduction may be considered in complicated cases [8,9]. In our case, conservative surveillance was appropriate due to stable fetal parameters. Elective cesarean delivery was selected to reduce risks associated with labour in the presence of a large vascular tumour [10]. The mode of delivery is individualized based on tumour characteristics and fetal condition. Cesarean delivery is recommended for large vascular lesions, particularly near the umbilical cord insertion, to minimize intrapartum haemorrhage and cord compression [5]. With timely diagnosis and management, outcomes are favourable.

CONCLUSION

Prenatal detection of placental chorioangioma through detailed ultrasound and Doppler evaluation is essential for risk stratification. Conservative management can be successful in the absence of fetal compromise. Elective cesarean section is a safe delivery route for large vascular lesions. This case highlights the value of multidisciplinary care in rare placental tumours. 

De la Torre D, Marrero MAB, Cros EC. (2026) Prenatal Diagnosis and Elective Cesarean Management of a Giant Placental Chorioangioma: A Case Report. JSM Med Case Rep 7(1): 1016.

Received : 19 Jan 2026
Accepted : 24 Mar 2026
Published : 25 Mar 2026
Journals
Annals of Otolaryngology and Rhinology
ISSN : 2379-948X
Launched : 2014
JSM Schizophrenia
Launched : 2016
Journal of Nausea
Launched : 2020
JSM Internal Medicine
Launched : 2016
JSM Hepatitis
Launched : 2016
JSM Oro Facial Surgeries
ISSN : 2578-3211
Launched : 2016
Journal of Human Nutrition and Food Science
ISSN : 2333-6706
Launched : 2013
JSM Regenerative Medicine and Bioengineering
ISSN : 2379-0490
Launched : 2013
JSM Spine
ISSN : 2578-3181
Launched : 2016
Archives of Palliative Care
ISSN : 2573-1165
Launched : 2016
JSM Nutritional Disorders
ISSN : 2578-3203
Launched : 2017
Annals of Neurodegenerative Disorders
ISSN : 2476-2032
Launched : 2016
Journal of Fever
ISSN : 2641-7782
Launched : 2017
JSM Bone Marrow Research
ISSN : 2578-3351
Launched : 2016
JSM Mathematics and Statistics
ISSN : 2578-3173
Launched : 2014
Journal of Autoimmunity and Research
ISSN : 2573-1173
Launched : 2014
JSM Arthritis
ISSN : 2475-9155
Launched : 2016
JSM Head and Neck Cancer-Cases and Reviews
ISSN : 2573-1610
Launched : 2016
JSM General Surgery Cases and Images
ISSN : 2573-1564
Launched : 2016
JSM Anatomy and Physiology
ISSN : 2573-1262
Launched : 2016
JSM Dental Surgery
ISSN : 2573-1548
Launched : 2016
Annals of Emergency Surgery
ISSN : 2573-1017
Launched : 2016
Annals of Mens Health and Wellness
ISSN : 2641-7707
Launched : 2017
Journal of Preventive Medicine and Health Care
ISSN : 2576-0084
Launched : 2018
Journal of Chronic Diseases and Management
ISSN : 2573-1300
Launched : 2016
Annals of Vaccines and Immunization
ISSN : 2378-9379
Launched : 2014
JSM Heart Surgery Cases and Images
ISSN : 2578-3157
Launched : 2016
Annals of Reproductive Medicine and Treatment
ISSN : 2573-1092
Launched : 2016
JSM Brain Science
ISSN : 2573-1289
Launched : 2016
JSM Biomarkers
ISSN : 2578-3815
Launched : 2014
JSM Biology
ISSN : 2475-9392
Launched : 2016
Archives of Stem Cell and Research
ISSN : 2578-3580
Launched : 2014
Annals of Clinical and Medical Microbiology
ISSN : 2578-3629
Launched : 2014
JSM Pediatric Surgery
ISSN : 2578-3149
Launched : 2017
Journal of Memory Disorder and Rehabilitation
ISSN : 2578-319X
Launched : 2016
JSM Tropical Medicine and Research
ISSN : 2578-3165
Launched : 2016
JSM Head and Face Medicine
ISSN : 2578-3793
Launched : 2016
JSM Cardiothoracic Surgery
ISSN : 2573-1297
Launched : 2016
JSM Bone and Joint Diseases
ISSN : 2578-3351
Launched : 2017
JSM Bioavailability and Bioequivalence
ISSN : 2641-7812
Launched : 2017
JSM Atherosclerosis
ISSN : 2573-1270
Launched : 2016
Journal of Genitourinary Disorders
ISSN : 2641-7790
Launched : 2017
Journal of Fractures and Sprains
ISSN : 2578-3831
Launched : 2016
Journal of Autism and Epilepsy
ISSN : 2641-7774
Launched : 2016
Annals of Marine Biology and Research
ISSN : 2573-105X
Launched : 2014
JSM Health Education & Primary Health Care
ISSN : 2578-3777
Launched : 2016
JSM Communication Disorders
ISSN : 2578-3807
Launched : 2016
Annals of Musculoskeletal Disorders
ISSN : 2578-3599
Launched : 2016
Annals of Virology and Research
ISSN : 2573-1122
Launched : 2014
JSM Renal Medicine
ISSN : 2573-1637
Launched : 2016
Journal of Muscle Health
ISSN : 2578-3823
Launched : 2016
JSM Genetics and Genomics
ISSN : 2334-1823
Launched : 2013
JSM Anxiety and Depression
ISSN : 2475-9139
Launched : 2016
Clinical Journal of Heart Diseases
ISSN : 2641-7766
Launched : 2016
Annals of Medicinal Chemistry and Research
ISSN : 2378-9336
Launched : 2014
JSM Pain and Management
ISSN : 2578-3378
Launched : 2016
JSM Women's Health
ISSN : 2578-3696
Launched : 2016
Clinical Research in HIV or AIDS
ISSN : 2374-0094
Launched : 2013
Journal of Endocrinology, Diabetes and Obesity
ISSN : 2333-6692
Launched : 2013
Journal of Substance Abuse and Alcoholism
ISSN : 2373-9363
Launched : 2013
JSM Neurosurgery and Spine
ISSN : 2373-9479
Launched : 2013
Journal of Liver and Clinical Research
ISSN : 2379-0830
Launched : 2014
Journal of Drug Design and Research
ISSN : 2379-089X
Launched : 2014
JSM Clinical Oncology and Research
ISSN : 2373-938X
Launched : 2013
JSM Bioinformatics, Genomics and Proteomics
ISSN : 2576-1102
Launched : 2014
JSM Chemistry
ISSN : 2334-1831
Launched : 2013
Journal of Trauma and Care
ISSN : 2573-1246
Launched : 2014
JSM Surgical Oncology and Research
ISSN : 2578-3688
Launched : 2016
Annals of Food Processing and Preservation
ISSN : 2573-1033
Launched : 2016
Journal of Radiology and Radiation Therapy
ISSN : 2333-7095
Launched : 2013
JSM Physical Medicine and Rehabilitation
ISSN : 2578-3572
Launched : 2016
Annals of Clinical Pathology
ISSN : 2373-9282
Launched : 2013
Annals of Cardiovascular Diseases
ISSN : 2641-7731
Launched : 2016
Journal of Behavior
ISSN : 2576-0076
Launched : 2016
Annals of Clinical and Experimental Metabolism
ISSN : 2572-2492
Launched : 2016
Clinical Research in Infectious Diseases
ISSN : 2379-0636
Launched : 2013
JSM Microbiology
ISSN : 2333-6455
Launched : 2013
Journal of Urology and Research
ISSN : 2379-951X
Launched : 2014
Journal of Family Medicine and Community Health
ISSN : 2379-0547
Launched : 2013
Annals of Pregnancy and Care
ISSN : 2578-336X
Launched : 2017
JSM Cell and Developmental Biology
ISSN : 2379-061X
Launched : 2013
Annals of Aquaculture and Research
ISSN : 2379-0881
Launched : 2014
Clinical Research in Pulmonology
ISSN : 2333-6625
Launched : 2013
Journal of Immunology and Clinical Research
ISSN : 2333-6714
Launched : 2013
Annals of Forensic Research and Analysis
ISSN : 2378-9476
Launched : 2014
JSM Biochemistry and Molecular Biology
ISSN : 2333-7109
Launched : 2013
Annals of Breast Cancer Research
ISSN : 2641-7685
Launched : 2016
Annals of Gerontology and Geriatric Research
ISSN : 2378-9409
Launched : 2014
Journal of Sleep Medicine and Disorders
ISSN : 2379-0822
Launched : 2014
JSM Burns and Trauma
ISSN : 2475-9406
Launched : 2016
Chemical Engineering and Process Techniques
ISSN : 2333-6633
Launched : 2013
Annals of Clinical Cytology and Pathology
ISSN : 2475-9430
Launched : 2014
JSM Allergy and Asthma
ISSN : 2573-1254
Launched : 2016
Journal of Neurological Disorders and Stroke
ISSN : 2334-2307
Launched : 2013
Annals of Sports Medicine and Research
ISSN : 2379-0571
Launched : 2014
JSM Sexual Medicine
ISSN : 2578-3718
Launched : 2016
Annals of Vascular Medicine and Research
ISSN : 2378-9344
Launched : 2014
JSM Biotechnology and Biomedical Engineering
ISSN : 2333-7117
Launched : 2013
Journal of Hematology and Transfusion
ISSN : 2333-6684
Launched : 2013
JSM Environmental Science and Ecology
ISSN : 2333-7141
Launched : 2013
Journal of Cardiology and Clinical Research
ISSN : 2333-6676
Launched : 2013
JSM Nanotechnology and Nanomedicine
ISSN : 2334-1815
Launched : 2013
Journal of Ear, Nose and Throat Disorders
ISSN : 2475-9473
Launched : 2016
JSM Ophthalmology
ISSN : 2333-6447
Launched : 2013
Journal of Pharmacology and Clinical Toxicology
ISSN : 2333-7079
Launched : 2013
Annals of Psychiatry and Mental Health
ISSN : 2374-0124
Launched : 2013
Medical Journal of Obstetrics and Gynecology
ISSN : 2333-6439
Launched : 2013
Annals of Pediatrics and Child Health
ISSN : 2373-9312
Launched : 2013
JSM Clinical Pharmaceutics
ISSN : 2379-9498
Launched : 2014
JSM Foot and Ankle
ISSN : 2475-9112
Launched : 2016
JSM Alzheimer's Disease and Related Dementia
ISSN : 2378-9565
Launched : 2014
Journal of Addiction Medicine and Therapy
ISSN : 2333-665X
Launched : 2013
Journal of Veterinary Medicine and Research
ISSN : 2378-931X
Launched : 2013
Annals of Public Health and Research
ISSN : 2378-9328
Launched : 2014
Annals of Orthopedics and Rheumatology
ISSN : 2373-9290
Launched : 2013
Journal of Clinical Nephrology and Research
ISSN : 2379-0652
Launched : 2014
Annals of Community Medicine and Practice
ISSN : 2475-9465
Launched : 2014
Annals of Biometrics and Biostatistics
ISSN : 2374-0116
Launched : 2013
JSM Clinical Case Reports
ISSN : 2373-9819
Launched : 2013
Journal of Cancer Biology and Research
ISSN : 2373-9436
Launched : 2013
Journal of Surgery and Transplantation Science
ISSN : 2379-0911
Launched : 2013
Journal of Dermatology and Clinical Research
ISSN : 2373-9371
Launched : 2013
JSM Gastroenterology and Hepatology
ISSN : 2373-9487
Launched : 2013
Annals of Nursing and Practice
ISSN : 2379-9501
Launched : 2014
JSM Dentistry
ISSN : 2333-7133
Launched : 2013
Author Information X