Our Experience in Extra-Pelvic Causes of Sciatica and Review of Literature
- 1. Department of Anatomy - Histology - Embryology, University of Patras, Greece
- 2. Department of Orthopaedis, University of Patras, Greece
ABSTRACT
The most common spinal etiology of sciatica, even in children, is lumbar inter-vertebral disk herniation. Several diseases related either to vertebras and inter-vertebral joints (such as infection, tumors, spondylolysthesis, and facet joints hypertrophy) or to spinal neurological structures (such as neural tumors or infection) can also produce sciatica symptoms. Rare extra-pelvic pathologies, which cause pressure or irritation of the sciatic nerve through its course in the gluteal area and/ or lower limb, should always be investigated in cases of sciatica, especially in patients without remarkable low back pain. These pathologies may be related either to diseases of the neural tissue (such as peripheral nerve tumor) or to other musculoskeletal disorders (such as muscular or soft tissues contractures, as well as bony diseases), able to cause dysfunction of the nerve. Diagnosis of sciatica may be limited, especially if the clinician, the physical examination and the routine radiological examination (X-ray or MRI scan) are exclusively focused to the lumbar spine only. In this paper, we present two cases of sciatica, with extra-pelvicetiology, where nerve dysfunction resulted to irritation because of nerve impingement on hip implants (acetabular metal cage in one case and reconstruction plate for fracture fixation in the other) and we review the analogue literature.
KEYWORDS
• Sciatica
• Extra-spinal sciatic nerve pressure
• Extra pelvic sciatica
CITATION
Syggelos SA, Megas P, Tyllianakis M, Papachristou DJ, Panagiotopoulos EC (2017) Our Experience in Extra-Pelvic Causes of Sciatica and Review of Literature. JSM Neurosurg Spine 5(2): 1083.
INTRODUCTION
Diagnosis and treatment of patients presenting with sciatica can be challenging [1-5]. In most of the cases a thorough clinical examination of the lumbar spine and the painful lower limb, accompanied with a lumbar MRI scan usually establish the presence of lumbar disk herniation, facet joints hypertrophy or other pathologies, like spondylolysthesis, which can cause irritation of one or more lower lumbar (L4, L5) or S1 roots. Rare intra-spinal causes of sciatica such as intra-spinal ganglion cysts or crystal hypertrophic arthroplasty of facet joints have been previously reported and can usually be diagnosed or ruled out with the routine imaging tests [6,7]. The incidence of extrapelvic pathologies may be higher in patients with a history of operation(s) of the hip or the pelvis, because of the anatomic relationship of the nerve with the pelvic zone. Following diagnosis, the appropriate conservative or surgical treatment then can be offered to the patient. In cases with negative clinical and imaging findings of the lumbar spine, the patient’s sciatic nerve dysfunction and other extra or intra pelvic pathologies can be ruled out.
CASES PRESENTATION
Case 1
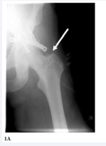
A 50-years old polytrauma patient with intra-articularfracture of the left acetabulum and fracture of the contralateral forearm, who initially was operated in another trauma center, was referred to our orthopedic department one week after his accident because of drop-foot of the operated limb. The surgery occurred six hours after a road traffic accident and included an open reduction and internal fixation of posterior - superior acetabular rim fracture with plate and screws (Figure 1A)
Figure 1: (A): Insufficient fixation of acetabular fracture with long and not properly contoured plate. Notice the lateral end of the plate being not attached to underlying bone (arrow).
as well as internal fixation of both bones of his forearm with plate and screws (not shown).
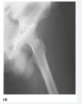
Our case examination revealed that according to his medical reports, the patient had not any neurovascular malfunction before these operations and his inability to dorsiflex his ankle joint as well as sensory deficit in the common peroneal nerve dermatomes, were diagnosed immediately after his recovery in the operating theatre. The electromyography findings, that were performed 10 days after the initiation of his symptoms, indicated dysfunction of the peroneal nerve at the level of the hip operation. The x-ray documented sufficient reduction of the fracture but insufficient (size and position of the plate) fixation (Figure 1A). Through the same Kocher Langebeck approach, which was previously used for primary fracture platting, the fixation metalwork was dissected. The sciatic nerve was found to be uncut but edematous lying underneath the lateral end of the plate which was not in contact to the underlying bone (long mal-positioned plate not properlycurved – Figure (1A) arrow). The plate was carefully removed and a new reconstruction plate, properly curved was used with screws for fracture fixation (Figure 1B).
Figure 1B: After revision of fixation with properly curved and positioned reconstruction plate and screws.
Care was given to sciatic nerve during the manipulations of osteosynthesis not to be further damaged (traction or injury by surgical instruments) and to be rested in a safe position, not in contact to new metalwork and covered with adequate soft tissues before closure. The postoperative period was uneventful. Post-surgical follow up revealed the clinical signs of recovery of the sensory element of the nerve (subsided numbness and improvement of sensation), occurred 30 days after the fixation-revision surgery while the patient underwent intensive physiotherapy. Partial recovery of the motor function of the peroneal nerve occurred about one month later. However, total motor nerve recovery did not occur, despite continued intensive long-term physiotherapy.
Case 2
A 60 years old female patient underwent, in our clinic, a primary total hip replacement (THA) with a protrusion cage with screws and cemented cup, because of insufficient acetabular bone stock. The patient had a successful post-operative recovery. One month post-surgery, she started complaining for sciatica, with moderate pain and progressive difficulty while walking and she visited orthopedic surgeons in her living town. She finally returned to our clinic ten months after the primary THA with drop foot and electromyography findings indicating pressure of the peroneal nerve at the level of the operated hip joint. The x-ray documented a vertically positioned protrusion cage with its lower part not anchored to the sciatic bone (Figures 2A,2B).
Figure 2: Anteroposterior (A) and lateral (B) x-ray of total hip replacement with protrusion cup vertically positioned. Notice that the lower part of the cage is not in contact to the underlying sciatic bone (pointed with black arrow), laying inside the muscles.
The patient was subjected to an acetabular cup revision surgery using a Muller ring with screws and cemented cup. During the operation, sciatic nerve was found uncut but edematous surrounded by inflamed scar tissue behind the lower part of the cage which initially was not anchored close to sciatic bone. After the removal of the cage the nerve was carefully dissected and all scar tissues were removed. The new acetabular prosthesis was implanted and the nerve was double checked and embedded in a secure soft tissue envelope. The postoperative period was uneventful. Ten months post operation, the patient still usesthe drop foot splint (without any motor improvement) but she reports that the sciatica pain has significantly decreased (more than 50% according to pre and postoperative measurements of Visual Analogue Scale scores).
DISCUSSION
Extra-pelvic causes of sciatica can be categorized according to the tissue, where the pathology, which leads to sciatic nerve irritation, is originated from. Injuries and diseases of the bony and articular structures of the pelvis, the nerve itself or the surrounding muscles and soft tissues can be presented with sciatica symptoms.
Disorders of bones and articulations
This wide category includes bony pathologies that result either to a musculoskeletal disease, injuries or iatrogenic actions such as operations of the hip or the acetabulum.
One common example is sacroilitis. Clinical symptoms of sacroilitis are not always clearly located at the sacroiliac joint and Gaesalen’s test [8] should always been performed while examining a patient complaining for sciatica. Joint inflammation may be unilateral or bilateral and often is accompanied to edema, able to compress the sciatic nerve. MRI findings are indicative and in addition to special blood test, seronegative or rheumatoid spondyloarthropathy can be diagnosed [9].
Other ‘bony’ causes of sciatica are osteophytes and tumors. Excessive bony osteophytes or malunions of previous pelvic fractures may compress sciatic nerve. Bone tumors, primary or metastatic, located either to pelvis or to proximal femur can also cause extra spinal sciatica. The pain experienced by these patients is frequently reported to have different characteristics including symptom onset, duration, and response to pain relief medication [10]. Previous history of cancer should always be a red flag, especially in patients with sciatica without low back pain; hence late metastatic lesions even from rare primary tumors, like parotid carcinoma, have been reported ten years after treatment of primary disease [11]. Fortunately, primary pelvic tumors (including sacrum) are rare [10] and usually begin with localized pain in the posterior pelvic girdle which later radiates along thepath of sciatic nerve, when the whole nerve or usually L5 or S1 roots are affected.
We have presented two cases of sciatica in patients who had been subjected to hip operations. Regarding the first case it is known that platting a superior-posterior acetabular rim fracture usually brings the sciatic nerve in danger because of the exposure as well as the possibility of acute or late nerve irritation by the metalwork. In our case the fact that nerve dysfunction occurred immediately postoperatively could be related either to injury of the nerve during the surgical manipulations or to pressure on the nerve caused by hematoma or the metalwork. During revision of plate fixation the nerve was found underneath the end of the plate which was not properly contoured to be in contact to the underlying bone.
Regarding the second case the fact that a protrusion cage had been used for a primary hip replacement indicates that the surgeon possibly had intraoperative difficulties because of inadequate bone stock or intraoperative fracture. Nerve complications after primary total hip replacement (THA) occur in 0.06% to 2.2% of operated patients and symptoms (sensory or/ and motor deficits indicating partial or total nerve dysfunction) may initiate immediately after the operation or during the early or late postoperative period [12-14]. In case of immediate initiation, factors such as neurological injury related to the exposure (especially posterior exposure of the hip) or to pressure by surgical instruments or massive hematoma formation must be investigated. Excessive swelling of the muscles may also lead to analogue symptoms. In these cases, urgent exploration and decompression of the nerve (such as evacuation of hematoma and bleeding control) has the best prognosis for future nerve function [15]. Early sciatica may also occur when the operated limb has excessively been lengthened or if hip lateral offset is increased significantly causing tension on the external hip rotators [14]. If sciatica occurs during the late postoperative period different pathologies may be responsible. It has been described entrapment of the nerve in the scar tissue, which has been developed during the healing process of the soft tissue envelope of the operated site [16]. Direct pressure of the nerve by large cystic masses developed around loose hip arthroplasty implants may also occur [17].
The position and the size of the implants can also be a cause of sciatic nerve irritation, if the nerve impinges on the metalwork. In cases, like the one we describe, where huge acetabular cups or reconstruction cages and/or screws have been used, irritation of the nerve from part of metalwork may occur. Our findings are similar to these already published [18,19], describing poor outcome in cases where sciatica developed during the late postoperative period. It has been well established that sciatica in patients with THA or revision of acetabular prosthesis, where metal cages have been used, should always be a red flag for the clinician because of the high percentage of impingement of sciatic nerve on the components that have been implanted. Migration of metalwork, like wires from grater trochanter may also cause analogue problem to the nerve but is more easily diagnosed with a simple x-ray [20]. Pressure of the nerve by metalwork is usually worse that the pressure caused by soft tissues. So, prompt diagnosis and treatment are very important for the outcome.
Disorders of the nerve
The second category of pathologies that can produce pressure of the sciatic nerve and disturb its function may originate from the nerve itself. Nerve malfunction may result to endogenous neuro genic disease such as sciatic neuritis, intrinsic neuro genic tumors or herpes zoster. Sciatic neuritis is a non-specific condition that can follow previous operations or injections in the lumbar or gluteal area. Because of non-remarkable findings in clinical examination, neuritis can easily be misdiagnosed. MRI scan can show indicative findings of nerve inflammation [9].
Nerve tumors can either be benign (like neurofibromas, perineurinonas or schwannomas) or malignant peripheral nerve sheath tumors (MPNST), which are rare and arise either from pre-existing plexiform neurofibromas or as a spontaneous mutation [21].
Regarding herpes zoster, the neurological symptoms arising from the sciatic nerve can be remarkable but the clinical suspicion is usually easy, when the clinician recognizes the characteristic skin lesions along the affected dermatomes. The radiological tests are not indicative and the patient should be referred to a dermatologist [21].
DISORDERS OF SURROUNDING SOFT TISSUES
The third category of causes includes pathologies affecting the muscles and soft tissues around the nerve. The alterations of the surrounding structures can produce pressure on the nerve resulting to radiating pain and nerve malfunction.
One not so rare but easily misdiagnosed condition is gluteal compartment syndrome (GCS), which can result to trauma, prolonged pressure or bleeding during or after operations, immobilization, altered consciousness levels due to drug overdose or alcohol intoxication [22,23]. Increased pressure inside the compartment, which is inelastic due to the surrounding deep fascia, can lead to muscular necrosis, irreparable sciatic nerve damage, acidosis and renal failure due to rhabdomyolysis. Pathology is analogue to the respective syndrome of the upper or lower limb compartments but diagnosis is more difficult because swelling and edema are not so obvious. High clinical suspicion, especially in patients that lay supine, is necessary for diagnosis. Urgent compartment decompression remains the gold standard therapy. In cases of delayed diagnosis, sciatic nerve malfunction and symptoms may be permanent [22-24], with poor outcome. In some cases, partial recovery may be achieved. Colleagues of our department have contributed in two publications reporting cases with GCS [22,23]. Other muscular or soft tissues diseases that may cause sciatica are gluteal abscesses (after exposures or injections), soft tissues tumors that can be either benign (heterotopic ossification, lipoma) or malignant (such as metastatic lesions to psoas muscle) [21], injuries and/or edema of posterior femoral muscles near their insertion to ischial tuberosity [25], edema or inflammation of the external rotators of the hip and piriformis syndrome. Pathology of external rotators muscles including piriformis can sometimes be more complicated, accordingly to possible anatomical variations of the relationship of sciatic nerve to these muscles [26,27]. These muscular pathologies are usual in active patients but are also related to body weight, especially in patientswho have decreased mobility. In many cases, it is difficult to prove the diagnosis even after the exploration of the nerve because the histopathological findings may not be specific [28].
Many publications are available regarding diagnosis and treatment of piriformis syndrome which is the most common muscular pathology leading to sciatica, because of the strong relationship of the course of sciatic nerve and muscle [27]. Several clinical tests like Freiberg’s [29], may be helpful for diagnosis. Treatment options include conservative treatment and physiotherapy or exploration and nerve decompression in cases with persistent symptoms [26]. During the last decade, all the mentioned above muscular pathologies, which cause irritation or entrapment of the sciatic nerve in the deep gluteal space, are described as deep gluteal syndrome (DGS) [30,31]. This wide description also includes the rare ischiofemoral impingement which can cause sciatica and it is characterized by abnormalities of quadratus femoris muscle and narrowing of the space between the lesser trochanter of the femur and the ischial bone. It is usually seen in women and common causes are history of surgery (hip replacement), fracture or arthritis, hamstrings tendinopathy, or congenital [32,33].
Pelvic heterotopic ossification may be present in young active patients and usually results to muscular injuries that lead to intramuscular hematoma formation. This hematoma may lead to ectopic bone mass formation which according to its size and location may irritate the sciatic nerve. We already have published an analogue case and our findings were similar to those reported by Lopez et al some years later [34,35]. The formation of heterotopic bony mass usually follows injuries near to the tendon bone insertion site. In both cases the ectopic bone was close to the sciatic tuberosity (Figure 3),
Figure 3: Anteroposterior (3A) pelvic and lateral (3B) right hip x-rays Two circumferential bony masses are pointed by white arrows. CT scan images (3C and 3D) where the ectopic bone is pointed by black arrows. MRI images (3E and 3F) where the pathology is pointed by white arrows.
where the muscles of the flexor compartment of the thigh mostly originate. In our case symptoms where increased while the patient was sitting. In both cases the size of the ectopic bony tissue was considerable, able to affect the ischiofemoral space, causing a ‘kind’ of deep gluteal syndrome (DGS), as described above. After the ectopic bone removal the patients recovered fully, without signs of recurrence in at least 2 years follow up period. In both cases the symptoms of the affected hip were mild and could have been under-estimated. Electromyography findings may be helpful as long as were indicative in our case (deep peroneal nerve dysfunction with pathological measurement of f-wave latency). Lopez et al, in order to differentiate diagnosis performed a selective L4-L5 foraminal nerve root block, which was negative [35]. So, in similar cases at least an antero-posterior pelvic x-ray should always be thoroughly reviewed.
DISCUSSION & CONCLUSION
Irritation and/or dysfunction of sciatic nerve, not related to spinal problems, can be associated to many endogenous or exogenous factors. Diagnosis in a lot of cases is difficult especially when the routine lumbar MRI scan indicates coexisting degenerative changes, of the lumbar spine, such as disk herniation or spondyloarthropathy.
The clinician must always consider the possible extrapelvic pathologies which may be responsible for the symptoms especially in patients with history of hip or pelvic surgery.Careful orthopaedic and neurological clinical examination accompanied to thorough radiological (plain x-rays, CT or MRI scan)and nerve root (electromyography) testing, can help the clinician to exclude the ‘obvious’ from his differential diagnosis and search for the real pathology which is responsible for sciatica. In difficult, to diagnose, cases especially when previous operations of the hip or pelvis have been performed, magnetic resonance neurography can show exactly the pathology of the nerve [25]. Finally the earliest diagnosis is made and appropriate treatment is offered the patient the better outcome is expected.
REFERENCES
- Shillito J. Pediatric lumbar disc surgery: 20 patients under 15 years of age. Surg Neurol. 1996; 46: 14-18.
- Ortolan EG, Sola CA, Gruenberg MF, Carballo Vazquez F. Giant sacral schwannoma. A case report. Spine (Phila Pa 1976). 1996; 21: 522-526.
- Yuksel KZ, Senoglu M, Yuksel M, Gul M. Brucellar spondylo-discitis with rapidly progressive spinal epidural abscess presenting with sciatica. Spinal Cord. 2006; 44: 805-808.
- Dudeney S, O'Farrell D, Bouchier-Hayes D, Byrne J. Extraspinal causes of sciatica. A case report. Spine (Phila Pa 1976). 1998; 23: 494-496.
- Naderi S, Manisali M, Acar F, Ozaksoy D, Mertol T, Arda MN. Factors affecting reduction in low-grade lumbosacral spondylolisthesis. J Neurosurg: Spine. 2003; 99: 151-156.
- Kao CC, Uihlein A, Bickel WH, Soule EH. Lumbar intraspinal extradural ganglion cyst. J Neurosurg. 1968; 29: 168-72.
- Mahmud T, Basu D, Dyson PH. Crystal arthropathy of the lumbar spine: a series of six cases and a review of the literature. J Bone Joint Surg Br. 2005; 87: 513-517.
- Van der Wurff P, Hagmeijer RH, Meyne W. Clinical tests of the sacroiliac joint. A systematic methodological review. Part 1: Reliability. Man Ther. 2000; 5: 30-36.
- Kulcu DG, Naderi S. Differential diagnosis of intraspinal and extraspinal non-discogenic sciatica. J Clin Neurosci. 2008; 15: 1246-1252.
- Bickels J, Kahanovitz N, Rubert CK, Henshaw RM, Moss DP, Meller I, et al. Extraspinal bone and soft-tissue tumors as a cause of sciatica. Clinical diagnosis and recommendations: analysis of 32 cases. Spine (Phila Pa 1976). 1999; 24: 1611-1616.
- Le Manac'h AP, Rousselet MC, Massin P, Audran M, Levasseur R. Extraspinal sciatica revealing late metastatic disease from parotid carcinoma. Joint Bone Spine. 2010; 77: 64-66.
- Oldenburg M, Müller RT. The frequency, prognosis and significance of nerve injuries in total hip arthroplasty. Int Orthop. 1997; 21: 1-3.
- Pekkarinen J, Alho A, Puusa A, Paavilainen T. Recovery of sciatic nerve injuries in association with total hip arthroplasty in 27 patients. J Arthroplasty. 1999; 14: 305-311.
- Schmalzried TP, Amstutz HC, Dorey FJ. Nerve palsy associated with total hip replacement. Risk factors and prognosis. J Bone Joint Surg Am. 1991; 73: 1074-1080.
- Butt AJ, Mc Carthy T, Kelly IP, Glynn T, Mc Coy G. Sciatic nerve palsy secondary to postoperative haematoma in primary total hip replacement. J Bone Joint Surg Br. 2005; 87: 1465-1467.
- Wettstein M, Garofalo R, Mouhsine E. Painful total hip replacement due to sciatic nerve entrapment in scar tissue and lipoma. Musculoskelet Surg. 2010; 94: 77-80.
- Fischer SR, Christ DJ, Roehr BA. Sciatic neuropathy secondary to total hip arthroplasty wear debris. J Arthroplasty. 1999; 14: 771-774.
- Nozawa M, Matsuda K, Maezawa K, Kim S, Maeda K, Kaneko K. Delayed sciatic nerve injury by posterior flange of reinforcement ring after acetabular revision surgery. J Arthroplasty. 2013; 28: 197.
- Bistolfi A, Massazza G, Deledda D, Lioce E, Crova M. Operative Management of Sciatic Nerve Palsy due to Impingement on the Metal Cage after Total Hip Revision: Case Report. Case Rep Med. 2011; 2011: 830296.
- Asnis SE, Hanley S, Shelton PD. Sciatic neuropathy secondary to migration of trochanteric wire following total hip arthroplasty. Clin Orthop Relat Res. 1985; 226-228.
- Ailianou A, Fitsiori A, Syrogiannopoulou A, Toso S, Viallon M, Merlini L, et al. Review of the principal extra spinal pathologies causing sciatica and new MRI approaches. Br J Radiol. 2012; 85: 672-681.
- Kumar V, Saeed K, Panagopoulos A, Parker PJ. Gluteal compartment syndrome following joint arthroplasty under epidural anaesthesia: a report of 4 cases. J Orthop Surg (Hong Kong). 2007; 15: 113-117.
- Panagiotopoulos AC, Vrachnis I, Kraniotis P, Tyllianakis M. Gluteal compartment syndrome following drug-induced immobilization: a case report. BMC Res Notes. 2015; 8: 35.
- David V, Thambiah J, Kagda FH, Kumar VP. Bilateral gluteal compartment syndrome. A case report. J Bone Joint Surg Am. 2005; 87: 2541-2545.
- Bucknor MD, Steinbach LS, Saloner D, Chin CT. Magnetic resonance neurography evaluation of chronic extraspinal sciatica after remote proximal hamstring injury: a preliminary retrospective analysis. Neurosurg. 2014; 121: 408-414.
- Cassidy L, Walters A, Bubb K, Shoja MM, Tubbs RS, Loukas M. Piriformis syndrome: Implications of anatomical variations, diagnostic techniques, and treatment options. Surg Radiol Anat. 2012; 34: 479-486.
- Smoll NR. Variations of the piriformis and sciatic nerve with clinical consequence: a review. Clin Anat. 2010; 23: 8-17.
- Mc Cabe FJ, Mc Cabe JP. An Unusual Presentation of Right-Sided Sciatica with Foot Drop. Case Rep Orthop. 2016; 9024368.
- Niu CC, Lai PL, Fu TS, Chen LH, Chen WJ. Ruling out piriformis syndrome before diagnosing lumbar radiculopathy. Chang Gung Med J. 2009; 32: 182-187.
- Martin HD, Palmer IJ. History and physical examination of the hip: the basics. Curr Rev Musculoskelet Med. 2013; 6: 219-225.
- Martin HD, Shears SA, Johnson JC, Smathers AM, Palmer IJ. The endoscopic treatment of sciatic nerve entrapment/deep gluteal syndrome. Arthroscopy. 2011; 27: 172-181.
- Ulusoy OL, Tutar S, Ozturk E, Mutlu A, Mutlu H. Ischiofemoral impingement syndrome: another cause of extraspinal sciatica. Spine J. 2016; 16: 527.
- Torriani M, Souto SC, Thomas BJ, Ouellette H, Bredella MA. Ischiofemoral impingement syndrome: an entity with hip pain and abnormalities of the quadratus femoris muscle. AJR Am J Roentgenol. 2009; 193: 186-190.
- Panagiotopoulos EC, Syggelos SA, Plotas A, Tsigkas G, Dimopoulos P. Sciatica due to extrapelvic heterotopic ossification: a case report. J Med Case Rep. 2008; 2: 298.
- Lopez WO, Vialle EN, Barbosa DC, Vialle LR. Sciatica due to heterotopic ossification: case illustration. J Neurosurg Spine. 2015; 22: 192-193.



