Loading

JSM Pediatric Neurology

Cerebellar Agenesis with developmental delay case report: -Negelle Arsi General Hospital and Medical College, Ethiopia

Case Report | Open Access | Volume 5 | Issue 1
Article DOI :

  • 1. Department of Internal Medicine, Negelle Arsi General Hospital and Medical College, Ethiopia
  • 2. Department of Radiology, Negelle Arsi General Hospital and Medical College, Ethiopia
  • 3. Department of Pediatrics and Child Health, Negelle Arsi General Hospital and Medical College, Ethiopia
+ Show More - Show Less
Corresponding Authors
Zerihun Bogale, Internal Medicine Department, Negelle Arsi General Hospital and Medical College, Negelle Arsi, Oromia, Ethiopia, Tel: 0913833157
Abstract

Background: Cerebellar agenesis (CA) is a rare congenital disorder characterized by the complete absence of the cerebellum, leading to severe motor and cognitive impairments. Its varied symptoms often mimic other neurological conditions, making diagnosis challenging, especially in resource-limited settings like Ethiopia. This highlights the need for greater awareness and improved diagnostics for better management.

Case: An 8-year-old girl presented with a history of inability to walk since birth. She was delivered at home and hospitalized for two days shortly after birth. Her developmental milestones were significantly delayed; she achieved head control at 3 years of age and began speaking at 4 years. Her vaccinations were up to date.On physical examination, she appeared healthy, with stable vital signs and good nutritional status. There were no abnormalities in the chest, and her heart sounds (S1 and S2) were normal, with no murmurs or gallops. The abdomen was soft and non-tender. Neurological examination revealed a normal mental status, with a Glasgow Coma Scale (GCS) score of 15/15. However, spastic tone and muscle atrophy were noted in her lower extremities. Despite this, motor strength was preserved at 5/5 in all extremities. The combination of her clinical presentation and developmental history pointed to an underlying neurological condition, requiring further investigation.

Conclusion: Early recognition of neurological disorders in children with developmental delays and timely evaluation and imaging are essential to diagnosis rare abnormalities such as Cerebellar agenesis. Early diagnosis can guide appropriate management, im prove outcomes, and prevent further complications.

Keywords

• Ethiopia

• Negelle Arsi

• Developmental Delay

• Cerebellar Agenesis

Citation

Bogale Z, Geleto G, Leta B, Yosef1 D, Daba G (2025) Cerebellar Agenesis with developmental delay case report: -Negelle Arsi General Hos pital and Medical College, Ethiopia.. JSM Pediatr Neurol 5(1): 1021.

INTRODUCTION

Cerebellar agenesis is a very rare condition characterized by the complete absence of cerebellar tissue [1-3]. Cerebellar agenesis results from developmental malformation or prenatal/perinatal disruption, though its exact cause remains unclear [2-4]. Age at the time of diagnosis of cerebellar agenesis has been from a few weeks of life and up to 71 years of age [1]. Cerebellar agenesis presents with highly variable symptoms, ranging from no noticeable effects to significant motor and cognitive impairments [1-5]. Individuals with cerebellar agenesis may experience mild to moderate motor issues, such as ataxia, dysarthria, and delayed motor development [1-4]. In severe cases, cerebellar agenesis can lead to significant motor and cognitive impairments, including intellectual disability, epilepsy, and hydrocephalus. Some cases are discovered incidentally during imaging for unrelated conditions or at autopsy [3 6]. Imaging, particularly magnetic resonance imaging (MRI), plays a key role in diagnosing cerebellar agenesis [1-6]. In cerebellar agenesis, imaging studies, reveal the absence of cerebellar tissue within the posterior fossa, which may be filled with cerebrospinal fluid (CSF) [1-4].Differential diagnosis of this condition from other pathologies of the cerebellum includes Dandy-Walker malformation and Chiari malformation [2-6]. All these conditions may present with similar clinical features as Cerebellar agenesis but result from structural abnormalities of the cerebellum without its complete absence [1-3]. We report a case of a child with cerebellar agenesis accompanied by profound developmental delays.

CASE PRESENTATION

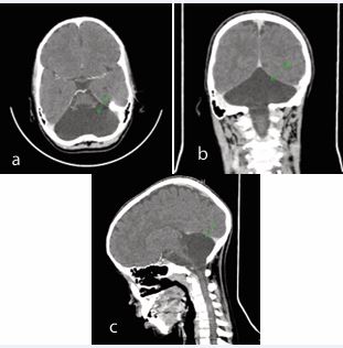
This case involves an 8-year-old girl with a history of inability to walk since birth. She was born at home and hospitalized for two days shortly after birth, with no major neonatal complications reported. Her developmental milestones were significantly delayed, as she achieved head control at 3 years and began speaking at 4 years. Her vaccinations were up to date. On examination, the patient appeared healthy and was in stable condition with normal vital signs. She showed no signs of systemic distress. Chest examination was clear, and heart sounds (S1 and S2) were normal, with no murmurs or gallops. The abdomen was soft and non-tender, with no palpable masses. Neurological assessment revealed a Glasgow Coma Scale (GCS) score of 15/15. Notable findings included spasticity and muscle atrophy in the lower extremities, although motor strength remained intact with a muscle power rating of 5/5 across all extremities. Tests for balance and coordination, including the Romberg test, rapid alternating movements, finger-to-nose, and tandem walking, were impaired. Meningeal signs were absent. Laboratory investigations, including a complete blood count, organ function tests, and random blood sugar levels, were within normal ranges. A pelvic X-ray was unremarkable. However, a non-contrast head CT scan revealed a complete absence of both cerebellar hemispheres, replaced by a cystic fluid component extending along the medulla oblongata. Minimal remnants of cerebellar peduncles were noted (Figure 1).

https://www.jscimedcentral.com/public/assets/images/uploads/image-1763465453-1.JPG

Figure 1 (a) Axial plane of contrast-enhanced CT scan of the brain complete absence of both cerebellar hemispheres replaced with cystic fluid component extending along the medullar oblongata (b) Coronal plane of contrast-enhanced CT scan of the brain (c) Sagittal plane of contrast enhance CT scan of the brain.

DISCUSSION

Cerebellar agenesis (CA) is an extremely rare condition characterized by the complete absence of cerebellar tissue [1-3]. The exact cause of Cerebellar agenesis is unknown, but it may be due to a malformation during development or disruption of the cerebellum during the prenatal or perinatal period [2-4].Cerebellar agenesis has been diagnosed in individuals ranging in age from a few weeks old to 71 years old [1]. Clinical presentation of Cerebellar agenesis is highly variable, and some individuals may have no symptoms while others experience a range of motor and cognitive impairments [1-5]. Some individuals with Cerebellar agenesis exhibit mild to moderate motor deficiencies such as ataxia, dysarthria, and delayed motor development [1-6]. Some individuals experience more severe motor and cognitive impairments, such as mental retardation, epilepsy, and hydrocephaly [1-5]. Some cases of Cerebellar agenesis are discovered incidentally, either during imaging for an unrelated condition or at autopsy [3-7]. The fact that some individuals with Cerebellar agenesis can lead relatively normal lives suggests that other areas of the brain, particularly the supra-tentorial brain, may be able to compensate for the missing cerebellum [2 4]. This ability to compensate may be more pronounced when Cerebellar agenesis occurs early in life, allowing for greater neural plasticity [2-3]. Imaging, particularly MRI, is crucial for diagnosing Cerebellar agenesis [1-6]. In Cerebellar agenesis, imaging reveals an absence of cerebellar tissue in the posterior fossa, which may be filled with cerebrospinal fluid [1-4]. The brainstem may also be hypo-plastic in individuals with CA [1-6]. It is important to distinguish cerebellar agenesis from other conditions that affect the cerebellum, such as Dandy Walker malformation and Chiari malformation [2-7]. These conditions can have similar clinical presentations to cerebellar agenesis, but they involve structural abnormalities of the cerebellum rather than its complete absence. Because cerebellar agenesis is so rare, there are many unanswered questions about its causes, the range of clinical presentations, and the mechanisms underlying the brain’s ability to compensate for the missing cerebellum [1-3]. Further research, particularly studies involving living individuals with Cerebellar agenesis, is needed to better understand this complex condition.

CONCLUSION

We present an uncommon instance of cerebellar agenesis in an 8-year-old female patient, initially presenting with developmental delays and motor impairment, including failure to walk since birth. The condition was suspected based on neurological findings such as spasticity, muscle atrophy, and coordination difficulties. Neuroimaging revealed complete absence of the cerebellar hemispheres, replaced by cystic fluid extending into the medulla oblongata, highlighting the rarity of this congenital abnormality. This case underscores the importance of considering structural brain malformations in the differential diagnosis of developmental and motor delays in children. Early recognition through imaging is crucial for guiding management and prognosis.

DECLARATIONS

Ethics approval and consent to participate

The publication of a single case report does not necessitate ethics approval according to the policies of the authors’ institution.

Consent for Publication

The patient provided written informed consent for the publication of this case report and accompanying images.

Author contribution

All authors made a significant contribution to the work reported, whether that is in the conception, study design, execution, acquisition of data, analysis and interpretation, or in all these areas; took part in drafting, revising or critically reviewing the article; gave final approval of the version to be published; have agreed on the journal to which the article has been submitted; and agree to be accountable for all aspects of the work.

ACKNOWLEDGEMENTS

The authors express their gratitude to the patient and their family for granting permission to share this case with fellow colleagues.

Received : 26 Mar 2025
Accepted : 11 Oct 2025
Published : 13 Oct 2025
Journals
Annals of Otolaryngology and Rhinology
ISSN : 2379-948X
Launched : 2014
JSM Schizophrenia
Launched : 2016
Journal of Nausea
Launched : 2020
JSM Internal Medicine
Launched : 2016
JSM Hepatitis
Launched : 2016
JSM Oro Facial Surgeries
ISSN : 2578-3211
Launched : 2016
Journal of Human Nutrition and Food Science
ISSN : 2333-6706
Launched : 2013
JSM Regenerative Medicine and Bioengineering
ISSN : 2379-0490
Launched : 2013
JSM Spine
ISSN : 2578-3181
Launched : 2016
Archives of Palliative Care
ISSN : 2573-1165
Launched : 2016
JSM Nutritional Disorders
ISSN : 2578-3203
Launched : 2017
Annals of Neurodegenerative Disorders
ISSN : 2476-2032
Launched : 2016
Journal of Fever
ISSN : 2641-7782
Launched : 2017
JSM Bone Marrow Research
ISSN : 2578-3351
Launched : 2016
JSM Mathematics and Statistics
ISSN : 2578-3173
Launched : 2014
Journal of Autoimmunity and Research
ISSN : 2573-1173
Launched : 2014
JSM Arthritis
ISSN : 2475-9155
Launched : 2016
JSM Head and Neck Cancer-Cases and Reviews
ISSN : 2573-1610
Launched : 2016
JSM General Surgery Cases and Images
ISSN : 2573-1564
Launched : 2016
JSM Anatomy and Physiology
ISSN : 2573-1262
Launched : 2016
JSM Dental Surgery
ISSN : 2573-1548
Launched : 2016
Annals of Emergency Surgery
ISSN : 2573-1017
Launched : 2016
Annals of Mens Health and Wellness
ISSN : 2641-7707
Launched : 2017
Journal of Preventive Medicine and Health Care
ISSN : 2576-0084
Launched : 2018
Journal of Chronic Diseases and Management
ISSN : 2573-1300
Launched : 2016
Annals of Vaccines and Immunization
ISSN : 2378-9379
Launched : 2014
JSM Heart Surgery Cases and Images
ISSN : 2578-3157
Launched : 2016
Annals of Reproductive Medicine and Treatment
ISSN : 2573-1092
Launched : 2016
JSM Brain Science
ISSN : 2573-1289
Launched : 2016
JSM Biomarkers
ISSN : 2578-3815
Launched : 2014
JSM Biology
ISSN : 2475-9392
Launched : 2016
Archives of Stem Cell and Research
ISSN : 2578-3580
Launched : 2014
Annals of Clinical and Medical Microbiology
ISSN : 2578-3629
Launched : 2014
JSM Pediatric Surgery
ISSN : 2578-3149
Launched : 2017
Journal of Memory Disorder and Rehabilitation
ISSN : 2578-319X
Launched : 2016
JSM Tropical Medicine and Research
ISSN : 2578-3165
Launched : 2016
JSM Head and Face Medicine
ISSN : 2578-3793
Launched : 2016
JSM Cardiothoracic Surgery
ISSN : 2573-1297
Launched : 2016
JSM Bone and Joint Diseases
ISSN : 2578-3351
Launched : 2017
JSM Bioavailability and Bioequivalence
ISSN : 2641-7812
Launched : 2017
JSM Atherosclerosis
ISSN : 2573-1270
Launched : 2016
Journal of Genitourinary Disorders
ISSN : 2641-7790
Launched : 2017
Journal of Fractures and Sprains
ISSN : 2578-3831
Launched : 2016
Journal of Autism and Epilepsy
ISSN : 2641-7774
Launched : 2016
Annals of Marine Biology and Research
ISSN : 2573-105X
Launched : 2014
JSM Health Education & Primary Health Care
ISSN : 2578-3777
Launched : 2016
JSM Communication Disorders
ISSN : 2578-3807
Launched : 2016
Annals of Musculoskeletal Disorders
ISSN : 2578-3599
Launched : 2016
Annals of Virology and Research
ISSN : 2573-1122
Launched : 2014
JSM Renal Medicine
ISSN : 2573-1637
Launched : 2016
Journal of Muscle Health
ISSN : 2578-3823
Launched : 2016
JSM Genetics and Genomics
ISSN : 2334-1823
Launched : 2013
JSM Anxiety and Depression
ISSN : 2475-9139
Launched : 2016
Clinical Journal of Heart Diseases
ISSN : 2641-7766
Launched : 2016
Annals of Medicinal Chemistry and Research
ISSN : 2378-9336
Launched : 2014
JSM Pain and Management
ISSN : 2578-3378
Launched : 2016
JSM Women's Health
ISSN : 2578-3696
Launched : 2016
Clinical Research in HIV or AIDS
ISSN : 2374-0094
Launched : 2013
Journal of Endocrinology, Diabetes and Obesity
ISSN : 2333-6692
Launched : 2013
Journal of Substance Abuse and Alcoholism
ISSN : 2373-9363
Launched : 2013
JSM Neurosurgery and Spine
ISSN : 2373-9479
Launched : 2013
Journal of Liver and Clinical Research
ISSN : 2379-0830
Launched : 2014
Journal of Drug Design and Research
ISSN : 2379-089X
Launched : 2014
JSM Clinical Oncology and Research
ISSN : 2373-938X
Launched : 2013
JSM Bioinformatics, Genomics and Proteomics
ISSN : 2576-1102
Launched : 2014
JSM Chemistry
ISSN : 2334-1831
Launched : 2013
Journal of Trauma and Care
ISSN : 2573-1246
Launched : 2014
JSM Surgical Oncology and Research
ISSN : 2578-3688
Launched : 2016
Annals of Food Processing and Preservation
ISSN : 2573-1033
Launched : 2016
Journal of Radiology and Radiation Therapy
ISSN : 2333-7095
Launched : 2013
JSM Physical Medicine and Rehabilitation
ISSN : 2578-3572
Launched : 2016
Annals of Clinical Pathology
ISSN : 2373-9282
Launched : 2013
Annals of Cardiovascular Diseases
ISSN : 2641-7731
Launched : 2016
Journal of Behavior
ISSN : 2576-0076
Launched : 2016
Annals of Clinical and Experimental Metabolism
ISSN : 2572-2492
Launched : 2016
Clinical Research in Infectious Diseases
ISSN : 2379-0636
Launched : 2013
JSM Microbiology
ISSN : 2333-6455
Launched : 2013
Journal of Urology and Research
ISSN : 2379-951X
Launched : 2014
Journal of Family Medicine and Community Health
ISSN : 2379-0547
Launched : 2013
Annals of Pregnancy and Care
ISSN : 2578-336X
Launched : 2017
JSM Cell and Developmental Biology
ISSN : 2379-061X
Launched : 2013
Annals of Aquaculture and Research
ISSN : 2379-0881
Launched : 2014
Clinical Research in Pulmonology
ISSN : 2333-6625
Launched : 2013
Journal of Immunology and Clinical Research
ISSN : 2333-6714
Launched : 2013
Annals of Forensic Research and Analysis
ISSN : 2378-9476
Launched : 2014
JSM Biochemistry and Molecular Biology
ISSN : 2333-7109
Launched : 2013
Annals of Breast Cancer Research
ISSN : 2641-7685
Launched : 2016
Annals of Gerontology and Geriatric Research
ISSN : 2378-9409
Launched : 2014
Journal of Sleep Medicine and Disorders
ISSN : 2379-0822
Launched : 2014
JSM Burns and Trauma
ISSN : 2475-9406
Launched : 2016
Chemical Engineering and Process Techniques
ISSN : 2333-6633
Launched : 2013
Annals of Clinical Cytology and Pathology
ISSN : 2475-9430
Launched : 2014
JSM Allergy and Asthma
ISSN : 2573-1254
Launched : 2016
Journal of Neurological Disorders and Stroke
ISSN : 2334-2307
Launched : 2013
Annals of Sports Medicine and Research
ISSN : 2379-0571
Launched : 2014
JSM Sexual Medicine
ISSN : 2578-3718
Launched : 2016
Annals of Vascular Medicine and Research
ISSN : 2378-9344
Launched : 2014
JSM Biotechnology and Biomedical Engineering
ISSN : 2333-7117
Launched : 2013
Journal of Hematology and Transfusion
ISSN : 2333-6684
Launched : 2013
JSM Environmental Science and Ecology
ISSN : 2333-7141
Launched : 2013
Journal of Cardiology and Clinical Research
ISSN : 2333-6676
Launched : 2013
JSM Nanotechnology and Nanomedicine
ISSN : 2334-1815
Launched : 2013
Journal of Ear, Nose and Throat Disorders
ISSN : 2475-9473
Launched : 2016
JSM Ophthalmology
ISSN : 2333-6447
Launched : 2013
Journal of Pharmacology and Clinical Toxicology
ISSN : 2333-7079
Launched : 2013
Annals of Psychiatry and Mental Health
ISSN : 2374-0124
Launched : 2013
Medical Journal of Obstetrics and Gynecology
ISSN : 2333-6439
Launched : 2013
Annals of Pediatrics and Child Health
ISSN : 2373-9312
Launched : 2013
JSM Clinical Pharmaceutics
ISSN : 2379-9498
Launched : 2014
JSM Foot and Ankle
ISSN : 2475-9112
Launched : 2016
JSM Alzheimer's Disease and Related Dementia
ISSN : 2378-9565
Launched : 2014
Journal of Addiction Medicine and Therapy
ISSN : 2333-665X
Launched : 2013
Journal of Veterinary Medicine and Research
ISSN : 2378-931X
Launched : 2013
Annals of Public Health and Research
ISSN : 2378-9328
Launched : 2014
Annals of Orthopedics and Rheumatology
ISSN : 2373-9290
Launched : 2013
Journal of Clinical Nephrology and Research
ISSN : 2379-0652
Launched : 2014
Annals of Community Medicine and Practice
ISSN : 2475-9465
Launched : 2014
Annals of Biometrics and Biostatistics
ISSN : 2374-0116
Launched : 2013
JSM Clinical Case Reports
ISSN : 2373-9819
Launched : 2013
Journal of Cancer Biology and Research
ISSN : 2373-9436
Launched : 2013
Journal of Surgery and Transplantation Science
ISSN : 2379-0911
Launched : 2013
Journal of Dermatology and Clinical Research
ISSN : 2373-9371
Launched : 2013
JSM Gastroenterology and Hepatology
ISSN : 2373-9487
Launched : 2013
Annals of Nursing and Practice
ISSN : 2379-9501
Launched : 2014
JSM Dentistry
ISSN : 2333-7133
Launched : 2013
Author Information X