Loading

JSM Pediatric Neurology

Hypothalamic Hamartomas: A Review

Review Article | Open Access | Volume 1 | Issue 1

  • 1. Department of Neurosurgery, National Institute of Neurology and Neurosurgery, México
  • 2. Department of Pediatric Neurosurgery, Hospital Infantil de México, México
+ Show More - Show Less
Corresponding Authors
Jose Armando Diaz Martinez, Department of Neurosurgery, National Institute of Neurology and Neurosurgery, Radioneurosurgery Unit, Av. Insurgentes Sur No. 3877, Col. La Fama, México City, México, Zip Code: 14269 Tel: 5255-5606-3822; 4472
Abstract

Epilepsy is the most frequent manifestation of hypothalamic hamartomas, being in most cases drug-resistant, which lead to difficulties in the management of these patients, requiring in many cases surgery for its control. The occurrence of psychiatric co morbidity and cognitive impairment is frequent. Nowadays the increasing evidence of hypothalamic hamartomas can be treated effectively with a variety of neurosurgical approaches. Selection of treatment modalities depends on type and size of the HH and the surgeon’s experience. We discussed the clinical features, pathology, diagnostic studies, neurosurgical techniques with the advantages and disadvantages of the different treatment modalities.

Keywords

• Hypothalamic hamartoma

• Gelastic seizures

• Central precocious puberty

• Epilepsy surgery

• Radiosurgery

CITATION

Díaz-Martínez JA, Arenas-Ruiz JA, Quezada-Bautista AA, Rodríguez-Ascuntar JF, Gutiérrez-Aceves GA, et al. (2017) Hypothalamic Hamartomas: A Review. JSM Pediatr Neurol 1(1): 1005

ABBREVIATIONS

HH: Hypothalamic Hamartoma; CPP: Central Precocious Puberty; GS: Gelastic Seizures; Gnrh: Gonadotropin - Releasing Hormone; IQ: Intelligence Quotient; EEG: Electroencephalogram; CT: Computed Tomography; MRI: Magnetic Resonance Imaging; FDG-PET: Fluorodeoxyglucose - Positron Emission Tomography; SPECT: Single Photon Emission Computed Tomography; SRS: Stereotactic Radiosurgery; GKS: Gamma Knife Surgery; SRT: Stereotactic Radiofrequency Thermocoagulation; SLA: Stereotactic Laser Ablation

INTRODUCTION

Hypothalamic Hamartomas (HH) are a rare developmental benign heterotopic non- neoplastic lesion, located in the region of the hypothalamus, arising from the tuber cinereum and floor of the 3rd ventricle. The incidence is unknown, but depending on the series it has been estimated to be from 1 in 50,000 - 100,000 [1] to 1 in 1,000,000 [2]. There is a moderate male predominance. HH are usually sporadic caused by an anomaly of neuronal migration that probably occurs between gestational days 33 and 41. Occasionally it may be associated with the Pallister-Hall syndrome, an autosomal dominant syndrome caused by GLI3 frame shift mutations on chromosome 7p13, with anomalies including HH, pituitary abnormalities such as aplasia or dysplasia, hypopituitarism, from an asymptomatic bifid epiglottis to a severe form with laryngotracheal cleft, imperforate anus, renal abnormalities and polydactyly [3]. HH are characterized by intractable seizures, Central Precocious Puberty (CPP), cognitive impairment, emotional and behavioral disturbances [4,5]. One of the main features of hamartoma is its intrinsic epileptogenic activity, due to the presence of small nodules of GABAergic interneurons with spontaneous electrical activity [6]. The prevalence of epilepsy associated with HH is estimated to be 1 in 200,000 [7]. Gelastic Seizures (GS) are the hallmark feature commonly present in early childhood, but patients may also develop other types of seizure. Epilepsy associated with HH is characteristically refractory to treatment with antiepileptic drugs, being exceptional the achievement of good seizures control despite the administration of high doses of these drugs. The major endocrine abnormality is the CPP, which tends to occur considerably earlier than idiopathic CPP [3], which has been reported to respond to long-acting Gonadotropin- Releasing Hormone (GnRH) analogue therapy that down-regulate GnRH receptors [8]. Several microsurgical or endoscopic approaches have been used, all with significant surgical risk. For this reason, in recent years, new techniques have been developed including radiosurgery and radio thermal ablation with acceptable results for crisis management and cognitive and behavioral improvement [9,10]. In the present review, we discuss the diagnostic, clinical and pathological characteristics, and the different modalities of management of the HH.

Clinical aspects

The association among HH, GS and CPP has caused great interest since the time when Breningstall described the characteristics of this pathology [11,12]. Disease severity is highly variable, ranging from asymptomatic or oligosymtomatic presentations to catastrophic neurological presentations [13-15].

Seizure characterization

The intimate relationship with the mammillary bodies, fornix and mammillothalamic tracts plays an important role in the epileptogenesis associated with HH [16]. In general, epilepsy in these patients are pharmacorresistant and ends as a severe epileptic encephalopathy and catastrophic epilepsy of childhood [17-19]. GS are the most characteristic and frequent manifestations in patients with HH, whilst it is not pathognomonic. GS usually beginning in childhood, they have been described even in the newborn period, and are manifested by stereotyped and frequent episodes, sometimes in clusters, of grimacing or inappropriate laughter, without feeling of joy, and usually accompanied by autonomic signs such as tachycardia, altered breathing, facial redness, pupil dilation and sweating. Autonomic manifestations may occur by changes in the limbic system, the adrenergic system and the hypothalamic-pituitary axis [20]. In patients without neurosurgical intervention it may be a progression to other seizure types such as focal seizures, evolving to a bilateral convulsive or generalized seizures [21- 23]. Its development is attributed to a process of secondary epileptogenesis [17].

Central precocious puberty

CPP is considered relatively common in children with HH, and can be defined as the appearance of secondary sexual characteristics before the age of eight in females and before the age of nine in males. This endocrine disorder is a finding that is described in several patient series with HH and GS with a frequency of 30-40% [24-26]. Most of the patients (86.4%) with isolated CPP revealed a HH without touching the 3rd ventricle [27,28,4]. Half of them were pedunculated and 40.9% of the masses showed a diameter less than 10 mm [27]. Furthermore, most of HH with CPP contacted the infundibulum or tuber cinereum and were larger than those not associated with CPP [29]. The pathophysiology is not fully elucidated. Immunohistochemistry studies revealed the presence of GnRH- variant neurons in some HH with CPP [30]. Another hypothesis proposes that these neurons function as a heterotopic GnRH pulse-generator. However, in other cases related to CPP, GnRH immunoreactivity was absent. Pathological examination showed that HH was usually composed of an intermixed array of neurons, glia, and myelinated fibers [31]. This research implies that some HH induce sexual precocity by activating endogenous GnRH secretion via glia-derived factors. Otherwise, HH is not usually associated with other endocrine alterations as growth deficit, diabetes insipidus, hypogonadism, etc., in contrast to other hypothalamic pathologies such as astrocytomas, gliomas or craniopharyngiomas, in which its incidence is high.

Cognitive impairment and behavior disorder

Cognitive impairment and behavior disorders are common findings in patients with HH and seizures [32-34]. They have been correlated with the frequency and severity of the seizures, but there is a debate at this point since some series have shown that cognitive deficits already exist before the onset of crises [35].

Cognitive impairment

Frattali et al., reported a series of eight patients with medically refractory epilepsy having mild to severe cognitive deficits [33]. The severity of the cognitive impairment was correlated to the severity and frequency of the GS and focal seizures. In another series, patients with HH involving cortical association areas and the amygdala and hippocampus formation displayed cognitive impairment to a vary extent [36,37]. Almost half of the subjects had severe global memory deficits [38]. Another report described some patients of HH with cognitive impairment which includes 83.3% oppositional defiant disorder and 75% attention-deficit hyperactivity disorder [1]. The evaluation on cognitive abilities in patients with HH and GS report not only results on global Intelligence Quotient (IQ) performance but also other cognitive processes like attention or material-specific memory functions [35].

Behavior disturbances

Significant rates of attention deficit hyperactivity disorder, aggression, anxiety, and defiant disorder were noted in HH. Weissenberger et al., demonstrated oppositional defiant disorders and attention hyperactivity disorders in the majority of the patients [1]. The final proof of a direct functional role of epilepsy in cognitive and behavioral changes can only be shown with certainty when there is a marked improvement in these fields with successful surgical therapy of epilepsy. Surgical resection is safe with a favorable outcome of epilepsy in 50% with significant improvement in behavior and marginal change in cognitive functions [39,40]. At this point in time, however, there are insufficient data to enable the prediction of which patients will undergo a clinically severe course or the better time to suggest surgical treatment.

Diagnosis and medical approach

Electroencephalogram: Several studies have clearly demonstrated the intrinsic epileptic character of HH based from direct recordings from the HH itself. Ictal discharges during GS were confined to the hamartoma, and direct stimulation of the inserted depth electrodes generated GS. The excellent outcome of cases where surgical resection was possible also supports this fact. The surface Electroencephalogram (EEG) has limitations to demonstrate epileptiform activity in this pathology, due to the deep location of this lesion and the complex hamartoma connections [41]. In the early stages of the disease, interictal EEG is usually normal and GS crises show diffuse depression of baseline activity [42,43]. New studies indicate that GS originates in the HH, and propagates through the left fornix of the temporal lobe, and later through the cingulate fasciculus to the left frontal lobe [44].

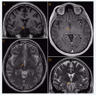
Neuroimaging: On conventional axial CT images, the diagnosis can be challenging, depending on slice position and thickness, although with more recent volumetric scans with coronal and sagittal reformats, the abnormality is easier to identify. Non-enhanced CT scan reveals a homogeneous nodule with obliteration of the suprasellar cistern and anterior 3rd ventricle, iso or hyposense compared with the grey matter. HH do not enhance on high- dose contrast-enhanced CT [45]. The MRI is the method of choice in suspected cases, pedunculated HH are shaped like a collar button on sagittal T1WI, extending inferiorly into the suprasellar cistern. Signal intensity is usually isointense to normal gray matter on T1WI and iso- to slightly hyperintense on T2/FLAIR (Figure 1).

 MRI shows a type I hamartoma on the right side of the hypothalamus  (small arrows). (A) - Coronal T1WI shows a clearly isointense with gray matter  tumor. (B) - Axial T1WI after contrast administration shows a non enhancing  lesion. (C) - Axial T2WI shows the mass remains isointense with gray matter.  (D) - Coronal T2WI.

Figure 1: MRI shows a type I hamartoma on the right side of the hypothalamus (small arrows). (A) - Coronal T1WI shows a clearly isointense with gray matter tumor. (B) - Axial T1WI after contrast administration shows a non enhancing lesion. (C) - Axial T2WI shows the mass remains isointense with gray matter. (D) - Coronal T2WI.

The degree of T2 hyperintensity is directly related to the proportion of glial versus neuronal tissue in the lesion. HH do not enhance following contrast administration [45,46]. The MRI spectroscopy shows mildly decreased N-acetylaspartate and slightly increased choline, consistent with reduced neuronal density and relative gliosis. Myoinositol is elevated, which is consistent with increased glial component compared to normal brain [47,48]. Ictal FDG-PET scans in HH with GS are rare. Palmini et al., reported one patient who demonstrated ictal hypermetabolism localized to the region of the HH during gelastic status [23,49]. Ictal SPECT studies have clearly demonstrated HH hyperperfusion. In the three patients of Kuzniecky et al., there was in addition absent activation of the cortex but coactivation of the thalamus consistent with seizure propagation to the anterior nucleus of the thalamus via the mamillothalamic tract [50,51,49].

PATHOLOGY

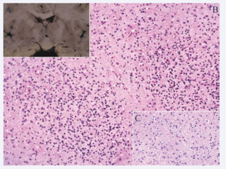
Hamartoma is a term used to describe a disorganized mass of otherwise normal cellular elements that rarely invades surrounding structures, in this case, the hypothalamus. Macroscopically the HH are solitary lesions, well-defined round or ovoid soft tissue masses that seems normal brain tissue, that vary in size in diameter, from some millimeters to widespread mixed solidcystic lesions measuring several centimeters (Figure 2A).

Courtesy of Dr. Ignacio A. Felix. (A) - Coronal section of the brain  through the plane of the mammillary bodies reveals a right-side type III HH  (B) - Hematoxylin and eosin section through the HH showing cluster of small  neurons amongst a background of neuropil-like stroma with individual neurons  and diffusely astrocytes between the nodules. Original magnification: 100x. (C)  - Higher magnification 400x.

Figure 2: Courtesy of Dr. Ignacio A. Felix. (A) - Coronal section of the brain through the plane of the mammillary bodies reveals a right-side type III HH (B) - Hematoxylin and eosin section through the HH showing cluster of small neurons amongst a background of neuropil-like stroma with individual neurons and diffusely astrocytes between the nodules. Original magnification: 100x. (C) - Higher magnification 400x.

Calcification, hemorrhage, and necrosis are not common whilst huge lesions often contain well-delineated cysts. Unde the microscope display a HH consist of disorganized networks of well-differentiated small and large neurons interspersed with variable amounts of astrocytes, not very different from respects to other structural lesions associated with other epileptic syndromes. Characteristically presents nodules or neuronal groups [52]. These nodules may vary in size and are composed predominantly of small neurons. A neuropile rich in glia surrounded these nodules with a few interspersed large ganglion cells [19] (Figure 2B and C).

CLASSIFICATION

There have been used several HH classifications based on anatomical features seen on neuroimaging [53]. HH can be pedunculated or sessile. The former ones are attached to the tuber cinereum and project into the suprasellar cistern. Sessile HH are attached to the floor of the 3rd ventricle and often incorporate the mammillary bodies. Projection into the suprasellar cistern is variable. We use the classification described by Regis et al., which correlates their topology with clinical semiology and its severity, and is especially critical for the selection of treatment [54,55] (Figure 3).

Topological classification of HH [55]. (Type I) - Small HH located  inside the hypothalamus extending more or less in the 3rd ventricle. (Type  II) - Small lesion and located primarily in the 3rd ventricle. (Type III) - Lesion  essentially located on the floor of the 3rd ventricle. (Type IV) - Sessile lesion in  the cistern. (Type V) - Pedunculate. (Type VI) - Giants.

Figure 3: Topological classification of HH [55]. (Type I) - Small HH located inside the hypothalamus extending more or less in the 3rd ventricle. (Type II) - Small lesion and located primarily in the 3rd ventricle. (Type III) - Lesion essentially located on the floor of the 3rd ventricle. (Type IV) - Sessile lesion in the cistern. (Type V) - Pedunculate. (Type VI) - Giants.

TREATMENT

In appropriately selected patients, HH can be removed completely or they can be completely disconnected from the hypothalamus with an acceptable risk. For several years, the surgical resection appeared to be the best tool to achieve seizure freedom and halting the progressive decline unneurocognitive function, as well as improving the behavior disorders and psychiatric problems in the patients with HH [56]. Nowadays, many centers have adopted minimal invasive techniques, with similar results.

Skull base approaches

Several skull base approaches to type I and large type III and type IV HH are used. Given the familiarity to frontotemporal and pterional approaches this were the first attempts for resection in the initial clinical series [57,58]. Some authors have performed variations in orbitozygomatic, pterional, supraorbital eye brow and subtemporal approaches. The Barrow Neurological Institute have the largest series in surgically treated HH with 165 patients. Of the 165 patients with symptomatic HH, 14 underwent skull base approaches as their inicial surgery. Of those 3 patients required a second approach [59]. On their preliminary results [60],  10  patients  underwent  orbitozygomatic  craniotomy,4 (40%) were seizure free and 4 (40%) had more tan 50% reduction in seizures after a mean follow-up of 37 months. Complications included diabetes insipidus, poikilothermia, visual field deficit, and hemiparesis in 1 patient each. Overall, despite excellent outcomes in therms of seizure control the skull base approach resulted in major complications.

Transcallosal interhemispheric approach

Transcallosal approach, is the preferred approach for large HH with significant intraventricular component located superior to the level of the optic tracts. This approach may be used alone to treat large type II lesions. Most of the type III and IV lesions require a staged approach [59]. This approach consists of a small post genual callosotomy followed by midline transseptal dissection and separation of the fornices, which allowed entry through the roof of the third ventricle with subsequent removal and/ordisconnection of the HH [61]. It is the preferred approach in younger (≤ 6 years old) patients and in patients with small residual cavum septum. Melbourne et al., report their results after using this technique in 29 patients. They achieved total or near total resection in 18 patients (62%), 15 (52%) were seizure free and another 7 (24%) had a 90% or more decrease in frequency of seizures following surgery with a mean follow-up of 30 months [62]. Complications included thalamic infarction, increased appetite, and short-term memory deficits [63]. In the Barrow group, 47 patients initially underwent transcallosal approach and eleven patients required subsequent procedures [59]. In the preliminary reports 26 patients underwent transcallosal approach, 14 patients (54%) were completely seizure free, and 9 (35%) had at least a 90% improvement in total seizure frequency. Parents reported postoperative behavior improvement in 23 patients (88%) and in the cognition of 17 patients (65%). Transient postoperative memory disturbances occurred in 15 patients (58%), but persisted in only 2 (8%). Two patients (8%) had persistent endocrine disturbances that required hormone replacement therapy. The mean postoperative follow-up interval was 20.3 months (range 13–28 months).

Endoscopic transventricular approach

Since Akai et al., in 2006 first reported using an endoscope for transventricular biopsy of an HH, many attempts had been made. Endoscopic resection is preferred as the stand- alone surgical treatment for small Type II HH and as a stage in the treatment of small Type III HH [59]. The Barrow group, published 90 patients with endoscopic approaches as their initial surgery. Seven patients had additional procedures [59]. In the preliminary results 37 patients who underwent endoscopic resection 18 (48.6%) were seizure free at last follow-up (median 21 months, range 13–28 months) [59]. The mean postoperative stay was shorter in the patients undergoing endoscopy than in the patients undergoing transcallosal resection (mean 4.1 days’ vs 7.7 days, respectively; p = 0.0006) [64]. Complications were found in 14 patients, 11 patients had small thalamus infarcts (9 were asymptomatic) and permanent short-term memory loss in 3 patients. Endoscopy is the preferred method but is limited to the size of the ventricle and the size of the tumor. However, patients undergoing endoscopic approaches have shorter hospital stays, and fewer complications than open transcallosal and skull base approaches [65]. Finally individualizing the approach based on the anatomy of the HH and frequently using several approaches in a single patient allowed seizure-free rates in more than 50% of patients treated in the first half of the Barrow group series [59].

Radiosurgery

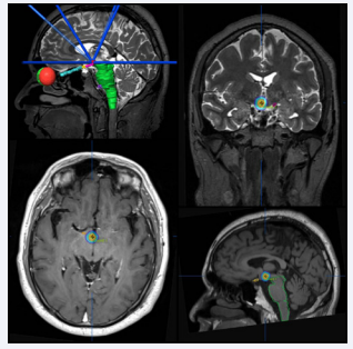
Stereotactic Radiosurgery (SRS) is an attractive approach that does not require an invasive approach. The mean goal of SRS for HH is to deliver doses high enough to affect epileptogenesis without exceeding the tolerance of surrounding structures. Nowadays, modern radiosurgical devices can deliver high dose radiation providing a chance to achieve seizure freedom without hypothalamic or cranial nerve damage. The first successful SRS treatment of HH with seizures was reported by Arita et al., in 1998 [60]. In 2000, the Marseille group reported a series of 8 patients, with 50% cases attaining Engel Class I by Gamma Knife Surgery (GKS), for the 2006, the data were updated, including more than 60 patients who had undergone GKS, with similar improvement results [55]. The meticulous treatment planning and very tight dose distribution are essential to delivering doses without injuring the nearby critical structures. The mean size of HH in the largest series of SRS was 19 mm in diameter, but SRS can be realized in lesions smaller than 30 mm by using steep dose gradients around the target [60], while the size for ideal SRS candidate was reported less than 16 mm [61]. Régis et al., found a clear correlation between dose and efficacy; the marginal dose was >17 Gy in all patients in whom seizure freedom was achieved and all patients who received <13 Gy showed incomplete seizure control [60]. These studies demonstrate that SRS is an effective treatment for selected patients. Some reports indicated that SRS is as effective as microsurgical resection and safer [55,62]. However, it is important to remember that, like HH microsurgical resection complications, SRS can result also in permanent neurological sequelae [63,64]. Ablashowed that GKS was associated with few complications and about 60% seizure- free rate as part of a multimodal treatment protocol [65]. No serious complication has been reported with SRS but temporary worsening of seizures can be seen as early as 2 months after the procedure. Nevertheless, one of the main disadvantages with SRS is that clinical response can be slow (4-6 moths), and the patient remains exposed to the risks of persistent seizures for up to two years after the radiosurgical procedure, early results suggest variable outcomes. Régis et al., reported excellent early seizure response [55]. However, results in terms of long-term seizure freedom are not clear, but, the immediate effect on subclinical discharges turns out to play a major role in the dramatic improvement of sleep quality, behavior, and developmental learning acceleration at school (Figure 4).

Treatment planning MRI showing right type I HH outlined in sagittal,  axial and coronal views. The marginal dose (17 Gy) is displayed in yellow.

Figure 4: Treatment planning MRI showing right type I HH outlined in sagittal, axial and coronal views. The marginal dose (17 Gy) is displayed in yellow.

Stereotactic radiofrequency thermocoagulation

Stereotactic Radiofrequency Thermocoagulation (SRT) also appears to be an alternative treatment for HH with epilepsy. Brain tissue is coagulated by applying very high frequency alternating current of a depth electrode or a coagulation probe. The volume of a single coagulation is small with a diameter of 4.5–7 mm [66,67], but usually multiple coagulations are applied in a single operative session. A few cases undergoing this treatment have been reported, some of this reports suggested that SRT may be an effective and safe treatment option in selected cases of HH [68]. In 1999, Fukuda et al., reported a single patient with HH treated with SRT, GS surceased postoperatively and tonic seizures disappeared in the next 4 months. Finally, this patient became seizure free within 14 months [69]. Harvey and Freeman suggested that only 27% of patients with HH who undergo SRT could expect to achieve Engel I or II outcomes [70]. Transient central hyperthermia, hypertension, and tachycardia were observed during SRT. No GS was induced by deep stimulation. Postoperative complications included hyperphagia, hyponatremia, Horner syndrome, short- term memory problems and central hyperthermia after SRT and occurred more frequently compared to an open approach, but in an acceptable manner. These symptoms resolved within one week after surgery after perilesional edema disappeared; no permanent complications were noted [67,68]. The results with SRT, compared with SRS, can be seen immediately following the procedure. SRT seems to be effective for small HH but a long-term study of a large series will be necessary to confirm the efficacy and safety of this treatment [71,72]. Nevertheless, disadvantages of SRT include inexact volume of tissue ablation and the need for multiple trajectories to treat larger HH, thereby adding to the risk of injury to the nearby neurovascular structures compared with a single pass [10].

Stereotactic Laser Ablation

Recently, few centers introduced the Stereotactic Laser Ablation (SLA), positioning as the first line of treatment in some of them [73]. SLA consists of a laser fiber stereotactically inserted with a diffusing tip to cause a thermal lesion while using real- time MRI thermography to monitor temperature and ensure the lesion is restricted to the HH, assessing safety to the surrounding brain tissue [74]. The diffusing tip creates an ellipsoid light distribution along the axis of the 1 cm tip [75]. This novel therapy minimizes the neurocognitive and endocrine adverse effects of open surgery [76] and the rate of seizure freedom appears higher than all other modalities, with potentially lower rates of adverse events. Although, there are only few published reports of SLA for HH. The group at Texas Children’s Hospital reported the outcome of the largest series in literature to date, with 14 patients [76]. SLA resulted in 12 of 14 patients with HH becoming seizure-free at a mean follow-up of 9 months. Most importantly, there were no permanent surgical complications, including neurologic deficits and endocrine dysfunction. Brandmeier et al., reported the use of a robot-assisted frameless SLA in a patient with HH with similar rates of success without major complications, although this report is limited to case study [77]. SLA has some advantages compared to other treatment alternatives. One of them is the real-time monitoring by MRI thermometry, allowing a constant evaluation of the thermal energy in the lesion and nearby structures. Currently this is the ablative modality that provides the safest option. In addition, minimally invasive surgery reduces the frequency of surgical complications compared to open and even endoscopic procedures, although there is always the possibility of infection and bleeding with stereotactic procedures, regardless of how small the entry point is. The disadvantages of this therapy are associated with high cost and is not available in most centers. Overall, SLA appears to be a safe and effective treatment for the HH, although further studies are needed to determine its outcomes, side effects and risks, but preliminary evidence is promising.

DISCUSSION AND CONCLUSION

HH is usually associated with CPP, cognitive impairment, behavior disorders and refractory epilepsy. The clinical presentation of HH and treatment options may be based on its anatomy. The association of the clinical presentation with MRI is mandatory, and the EEG lacks of specificity due to the HH deep location. Neurosurgery plays the most important role in the management and modification of the natural history of the disease. Suitable treatment requires individualization of the approach based on a patient’s age and condition, on the anatomy of the HH, and on the surgeon’s experience. New minimally invasive techniques such as SRS or SLA are suitable for well- selected patients, with promising results for the control of the epileptic seizures, cognitive, behavior, and endocrinological alterations.

REFERENCES
  1. Weissenberger A, Dell M, Liow K, Theodore W, Frattali C, Hernandez D, et al. Aggression and psychiatric comorbidity in children with hypothalamic hamartomas and their unaffected siblings. J Am Acad Child Adolesc Psychiatry. 2001; 40: 696-703.
  2. Ng Y, Kerrigan J, Prenger E, White W, Rekate H. Successful resection of a hypothalamic hamartoma and a Rathke cleft cyst. J Neurosurg. 2005; 102: 78-80.
  3. Biesecker L, Abbott M, Allen J, Clericuzio C, Feuillan P, Graham J, et al. Report from the workshop on Pallister-Hall syndrome and related phenotypes. Am J Med Genet. 1996; 65: 76-81.
  4. Arita K, Ikawa F, Kurisu K, Sumida M, Harada K, Uozumi T, et al. The relationship between magnetic resonance imaging findings and clinical manifestations of hypothalamic hamartoma. J Neurosurg. 1999; 91: 212-220.
  5. Ng Y, Rekate H, Prenger E, Chung S, Feiz-Erfan I, Wang N, et al. Transcallosal resection of hypothalamic hamartoma for intractable epilepsy. Epilepsia. 2006; 47: 1192-1202.
  6. Beggs J, Nakada S, Fenoglio K, Wu J, Coons S, Kerrigan J. Hypothalamic hamartomas associated with epilepsy. J Neuropathol Exp Neurol. 2008; 67: 657-668.
  7. Shahar E, Kramer U, Mahajnah M, Lerman-SagieT, Goez R, Gross V, et al. Pediatric- onset gelastic seizures clinical data and outcome. Pediatr Neurol. 2007; 37: 29-34.
  8. Jaruratanasirikul S, Thaiwong M. Outcome of gonadotropin-releasing analog treatment for children with central precocious puberty: 15- year experience in southern Thailand. J Pediatr Endocrinol Metab. 2011; 24: 519-523.
  9. Frazier J, Goodwin C, Ahn E, Jallo G. A review on the management of epilepsy associated with hypothalamic hamartomas. Child’s Nerv Syst. 2009; 25: 423-432.
  10. Shim K, Chang J, Park Y, Kim H, Choi J, Kim D. Treatment modality for intractable epilepsy in hypothalamic hamartomatous lesions. Neurosurgery. 2008; 62: 847-856.
  11. Breningstall G. Gelastic seizures, precocious puberty, and hypothalamic hamartoma. Neurology. 1985; 35:1180-1183.
  12. Arroyo S, Lesser R, Gordon B, Uematsu S, Hart J, Schwerdt P, et al. Mirth, laughter and gelastic seizures. Brain. 1993; 116: 757-780.
  13. Sharma R R. Hamartoma of the hypothalamus and tuber cinereum: a brief review of the literature. J Postgrad Med. 1987; 33: 1-13.
  14. Daly D, Mulder D. Gelastic Epilepsy. Neurology. 1957; 7: 189.
  15. Rosenfeld J. The evolution of treatment for hypothalamic hamartoma: a personal odyssey. Neurosurg Focus. 2011; 30: E1.
  16. Freeman JL, Coleman LT, Wellard RM, Kean MJ, Rosenfeld JV, Jackson GD, et al. MR imaging and spectroscopic study of epileptogenic hypothalamic hamartomas: analysis of 72 cases. AJNR Am J Neuroradiol. 2004; 25: 450-462.
  17. Harvey A, Freeman J. Epilepsy in hypothalamic hamartoma: clinical and EEG features. Semin Pediatr Neurol. 2007; 14: 60-64.
  18. Curatolo P, Cusmai R. Gelastic seizures, precocious puberty, and hypothalamic hamartoma. Neurology. 1986; 36: 443.
  19. Schulze-Bonhage A, Trippel M, Wagner K, Bast T, Deimling F, Ebner A, et al. Outcome and predictors of interstitial radiosurgery in the treatment of gelastic epilepsy. Neurology. 2008; 71: 277-282.
  20. Gordon N. Gelastic seizures. J Pediatr Neurol. 2015; 01: 069-073.
  21. Striano S, Striano P, Coppola A, Romanelli P. The syndrome gelastic seizures- hypothalamic hamartoma: Severe, potentially reversible encephalopathy. Epilepsia. 2009; 50: 62-65.
  22. Ng Y, Rekate H. Successful third surgery for a case of status gelasticus: Lessons learned after nearly 200 cases of hypothalamic hamartoma surgical resection. Epilepsia. 2011; 52: e1-e3.
  23. Palmini A, Van Paesschen W, Dupont P, Van Laere K, Van Driel G. Status Gelasticus after Temporal Lobectomy: Ictal FDG-PET Findings and the Question of Dual Pathology Involving Hypothalamic Hamartomas. Epilepsia. 2005; 46: 1313-1316.
  24. Striano S, Striano P, Sarappa C, Boccella P. The clinical spectrum and natural history of gelastic epilepsy-hypothalamic hamartoma syndrome. Seizure. 2005; 14: 232-239.
  25. Jung H, Ojeda S. Pathogenesis of precocious puberty in hypothalamic Hamartoma. Hormone Research in Paediatr. 2002; 57: 31-34.
  26. Freeman JL, Zacharin M, Rosenfeld JV, Harvey AS. The endocrinology of hypothalamic hamartoma surgery for intractable epilepsy. Epileptic Disord. 2003; 5: 239-247.
  27. Jung H, Carmel P, Schwartz M, Witkin J, Bentele K, Westphal M, et al. Some hypothalamic hamartomas contain transforming growth factor α, a puberty-inducing growth factor, but not luteinizing hormone- releasing hormone neurons. J Clin Endocrinol Metab. 1999; 84: 4695- 4701.
  28. Valdueza J, Cristante L, Dammann O, Bentele K, Vortmeyer A, Saeger W, et al. Hypothalamic Hamartomas. Neurosurgery. 1994; 34: 949-958.
  29. Yee-Ming C, Fenoglio-Simeone K, Sophia Paraschos, Laura Muhammad, Troester MM, Yu-tze Ng, et al. Central precocious puberty due to hypothalamic hamartomas correlates with anatomic features but not with expression of GnRH, TGFα, or KISS1. Hormone Research in Pediatrics. 2010; 73: 312-319.
  30. Amin MS, Kader MA, Huq FI, Khan NA. Hypothalamic hamartoma with precocious puberty: a case report. Mymensingh Med J. 2012; 21: 553- 556.
  31. Coons S, Rekate H, Prenger E, Wang N, Drees C, Ng Y, et al. The Histopathology of hypothalamic hamartomas: study of 57 cases. J Neuropathol Exp Neurol. 2007; 66: 131-141.
  32. Kerrigan J, Ng Y, Chung S, Rekate H. The hypothalamic hamartoma: a model of subcortical epileptogenesis and encephalopathy. Sem Pediatr Neurol. 2005; 12: 119-131.
  33. Frattali C, Liow K, Craig G, Korenman L, MakhloufF, Sato S, et al. Cognitive deficits in children with gelastic seizures and hypothalamic hamartoma. Neurology. 2001; 57: 43-46.
  34. Ghislaine S, Nadeem H, François D, Frederick A, Abbas S. Psychiatric aspects of patients with hypothalamic hamartoma and epilepsy. Epileptic Disorders. 2003; 5: 229-234.
  35. Nguyen D, Singh S, Zaatreh M, Novotny E, Levy S, Testa F, et al. Hypothalamic hamartomas: seven cases and review of the literature. Epilepsy & Behavior. 2003; 4: 246-258.
  36. Ali S, Moriarty J, Mullatti N, David A. Psychiatric comorbidity in adult patients with hypothalamic hamartoma. Epilepsy & Behavior. 2006; 9: 111-118.
  37. Prigatano G, Wethe J, Gray J, Wang N, Chung S, Ng Y, et al. Intellectual functioning in presurgical patients with hypothalamic hamartoma and refractory epilepsy. Epilepsy & Behavior. 2008; 13: 149-155.
  38. Quiske A, Frings L, Wagner K, Unterrainer J, Schulze-Bonhage A. Cognitive functions in juvenile and adult patients with gelastic epilepsy due to hypothalamic hamartoma. Epilepsia. 2006; 47: 153-158.
  39. Wethe J, Prigatano G, Gray J, Chapple K, Rekate H, Kerrigan J. Cognitive functioning before and after surgical resection for hypothalamic hamartoma and epilepsy. Neurology. 2013; 81: 1044-1050.
  40. Jayalakshmi S, Panigrahi M, Reddy R, Somayajula S. Clinical characteristics and long- term outcome of surgery for hypothalamic hamartoma in children with refractory epilepsy. Ann Indian Acad Neurol. 2014; 17: 43.
  41. Oehl B, Brandt A, Fauser S, BastT, Trippel M, Schulze-Bonhage A. Semiologicaspects of epileptic seizures in 31 patients with hypothalamic hamartoma. Epilepsia. 2010; 51: 2116-2123.
  42. Leal A, Moreira A, Robalo C, Ribeiro C. Different electroclinical manifestations of the epilepsy associated with hamartomas connecting to the middle or posterior hypothalamus. Epilepsia. 2003; 44: 1191-1195.
  43. Berkovic S, Andermann F, Melanson D, Ethier R, Feindel W, Gloor P. Hypothalamic hamartomas and ictal laughter: Evolution of a characteristic epileptic syndrome and diagnostic value of magnetic resonance imaging. Ann Neurol. 1988; 23: 429-439.
  44. Leal A, Monteiro J, Secca M, Jordão C. Functional brain mapping of ictal activity in gelastic epilepsy associated with hypothalamic hamartoma: A case report. Epilepsia. 2009; 50: 1624-1631.
  45. Osborn A. Osborn’s brain. 1st ed. Salt Lake City, Utah: Amirsys. 2013.
  46. Saleem S, Said A, Lee D. Lesions of the hypothalamus: MR imaging diagnostic features. Radio Graphics. 2007; 27: 1087-1108.
  47. Amstutz D. Hypothalamic hamartomas: correlation of MR imaging and spectroscopic findings with tumor glial content. AJNR Am J Neuroradiol. 2006; 27: 794-798.
  48. Martin D, Seeger U, Ranke M. MR imaging and spectroscopy of a tuber cinereum hamartoma in a patient with growth hormone deficiency and hypogonadotropic hypogonadism. AJNR Am J Neuroradiol. 2003; 24: 1177-1180.
  49. Maixner W. Hypothalamic hamartomas - clinical, neuropathological and surgical aspects. Child’s Nervous System. 2006; 22: 867-873.
  50. Kuzniecky R, Guthrie B, Mountz J, Bebin M, Faught E, Gilliam F, et al. Intrinsic epileptogenesis of hypothalamic hamartomas in gelastic epilepsy. Ann Neurol. 1997; 42: 60-67.
  51. DiFazio M, Davis R. Utility of early single photon emission computed tomography (SPECT) in neonatal gelastic epilepsy associated with hypothalamic hamartoma. J Child Neurol. 2000; 15: 414-417.
  52. Gui Q-p, Yuan Z, Song X. Hypothalamic hamartoma: a clinicopathological analysis of 9 cases. Chinese J Diagnos Pathol. 2011; 18: 106-109.
  53. Palmini A, Chandler C, AndermannF, Costa da Costa J, Paglioli-Neto E, Polkey C etal. Resection of the lesion in patients with hypothalamic hamartomas and catastrophic epilepsy. Neurology. 2002; 58: 1338-1347.
  54. Régis J, Scavarda D, TamuraM, Villeneuve N, BartolomeiF, Brue T, et al. Gamma knife surgery for epilepsy related to hypothalamic hamartomas. Semin Pediatr Neurol. 2007; 14: 73-79.
  55. Régis J, Scavarda D, Tamura M, Nagayi M, Villeneuve N, Bartolomei F, et al. Epilepsy related to hypothalamic hamartomas: surgical management with special reference to gamma knife surgery. Child’s Nerv Syst. 2006; 22: 881-895.
  56. Mittal S, Mittal M, Montes J, Farmer J, Andermann F. Hypothalamic hamartomas. Part 2. Surgical considerations and outcome. Neurosurgical Focus. 2013; 34: E7.
  57. Machado H, Hoffman H, Hwang P. Gelastic seizures treated by resection of a hypothalamic hamartoma. Child’s Nerv Syst. 1991; 7: 462-465.
  58. Nishio S, Shigeto H, Fukui M. Hypothalamic hamartoma: the role of surgery. Neuro Surgical Review. 1993; 16: 157-160.
  59. Wait S, Abla A, Killory B, Nakaji P, Rekate H. Surgical approaches to hypothalamic hamartomas. Neurosurgical Focus. 2011; 30: E2.
  60. Abla A, Rekate H, Wilson D, Wait S, Uschold T, Prenger E, et al. Orbitozygomatic resection for hypothalamic hamartoma and epilepsy: patient selection and outcome. Child’s Nervous System. 2010; 27: 265- 277.
  61. Rosenfeld J, Freeman J, Harvey A. Operative technique: The anterior transcallosal transseptal inter forniceal approach to the third ventricle and resection of hypothalamic hamartomas. J Clin Neurosci. 2004; 11: 738-744.
  62. Harvey A, Freeman J, Berkovic S, Rosenfeld J. Transcallosal resection of hypothalamic hamartomas in patients with intractable epilepsy. Epileptic Disord. 2003; 5: 257-265.
  63. Rosenfeld J, Feiz-Erfan I. Hypothalamic hamartoma treatment: surgical resection with the transcallosal approach. Seminars in Pediatric Neurology. 2007; 14: 88-98.
  64. Akai T, Okamoto K, Iizuka H, Kakinuma H, Nojima T. Treatments of hamartoma with neuroendoscopic surgery and stereotactic radiosurgery: a case report. Minim Invasive Neurosurg. 2002; 45: 235-239.
  65. Ng Y, Rekate H, Prenger E, Wang N, Chung S, Feiz-Erfan I, et al. Endoscopic resection of hypothalamic hamartomas for refractory symptomatic epilepsy. Neurology. 2008; 70: 1543-1548.
  66. Guenot M, Isnard J, Ryvlin P, Fischer C, Mauguiere F, Sindou M. SEEG- guided RF thermocoagulation of epileptic foci: feasibility, safety, and preliminary results. Epilepsia. 2004; 45: 1368-1374.
  67. Kameyama S, Murakami H, Masuda H, Sugiyama I. Minimally invasive magnetic resonance imaging-guided stereotactic radiofrequency thermo coagulation for epileptogenic hypothalamic hamartomas. Neurosurgery. 2009; 65: 438-449.
  68. Wang W, Wang W, Guo X. Hypothalamic hamartoma causing gelastic seizures treated with stereotactic radiofrequency thermocoagulation. Epileptic Disord. 2009; 11: 333-338.
  69. Fukuda M, Kameyama S, Wachi M, Tanaka R. Stereotaxy for Hypothalamic Hamartoma with Intractable Gelastic Seizures: Technical Case Report. Neurosurgery. 1999; 44: 1347-1350.
  70. Harvey A, Freeman J. Newer operative and stereotactic techniques and their application to hypothalamic hamartoma. In: Wyllie E, ed. The treatment of epilepsy: principles and practice. Philadelphia:Lippincott Williams & Wilkins. 2005.
  71. Homma J, Kameyama S, Masuda H, Ueno T, Fujimoto A, Oishi M, et al. Stereotactic radiofrequency thermo coagulation for hypothalamic hamartoma with intractable gelastic seizures. Epilepsy Research. 2007; 76: 15-21.
  72. Parrent A. Stereotactic radiofrequency ablation for the treatment of gelastic seizures associated with hypothalamic hamartoma. J Neurosurg. 1999; 91: 881-884.
  73. Buckley R, Estronza-Ojeda S, Ojemann J. Laser Ablation in Pediatric Epilepsy. Neurosurg Clin North America. 2016; 27: 69-78.
  74. McNichols R, Gowda A, Kangasniemi M, Bankson J, Price R, Hazle J. MR thermometry-based feedback control of laser interstitial thermal therapy at 980 nm. Lasers in Surgery and Medicine. 2004; 34: 48-55.
  75. Kang J, Sperling M. Magnetic resonance imaging-guided laser interstitial thermal therapy for treatment of drug-resistant epilepsy. Neurotherapeutics. 2016; 14: 176-181.
  76. Rolston J, Chang E. Stereotactic Laser Ablation for Hypothalamic Hamartoma. Neurosurg Clin N Am. 2016; 27: 59-67.
  77. Brandmeir N, Acharya V, Sather M. Robot Assisted Stereotactic Laser Ablation for a Radiosurgery Resistant Hypothalamic Hamartoma. Cureus. 2016; 8: e581.

Díaz-Martínez JA, Arenas-Ruiz JA, Quezada-Bautista AA, Rodríguez-Ascuntar JF, Gutiérrez-Aceves GA, et al. (2017) Hypothalamic Hamartomas: A Review. JSM Pediatr Neurol 1(1): 1005.

Received : 11 Apr 2017
Accepted : 24 May 2017
Published : 26 May 2017
Journals
Annals of Otolaryngology and Rhinology
ISSN : 2379-948X
Launched : 2014
JSM Schizophrenia
Launched : 2016
Journal of Nausea
Launched : 2020
JSM Internal Medicine
Launched : 2016
JSM Hepatitis
Launched : 2016
JSM Oro Facial Surgeries
ISSN : 2578-3211
Launched : 2016
Journal of Human Nutrition and Food Science
ISSN : 2333-6706
Launched : 2013
JSM Regenerative Medicine and Bioengineering
ISSN : 2379-0490
Launched : 2013
JSM Spine
ISSN : 2578-3181
Launched : 2016
Archives of Palliative Care
ISSN : 2573-1165
Launched : 2016
JSM Nutritional Disorders
ISSN : 2578-3203
Launched : 2017
Annals of Neurodegenerative Disorders
ISSN : 2476-2032
Launched : 2016
Journal of Fever
ISSN : 2641-7782
Launched : 2017
JSM Bone Marrow Research
ISSN : 2578-3351
Launched : 2016
JSM Mathematics and Statistics
ISSN : 2578-3173
Launched : 2014
Journal of Autoimmunity and Research
ISSN : 2573-1173
Launched : 2014
JSM Arthritis
ISSN : 2475-9155
Launched : 2016
JSM Head and Neck Cancer-Cases and Reviews
ISSN : 2573-1610
Launched : 2016
JSM General Surgery Cases and Images
ISSN : 2573-1564
Launched : 2016
JSM Anatomy and Physiology
ISSN : 2573-1262
Launched : 2016
JSM Dental Surgery
ISSN : 2573-1548
Launched : 2016
Annals of Emergency Surgery
ISSN : 2573-1017
Launched : 2016
Annals of Mens Health and Wellness
ISSN : 2641-7707
Launched : 2017
Journal of Preventive Medicine and Health Care
ISSN : 2576-0084
Launched : 2018
Journal of Chronic Diseases and Management
ISSN : 2573-1300
Launched : 2016
Annals of Vaccines and Immunization
ISSN : 2378-9379
Launched : 2014
JSM Heart Surgery Cases and Images
ISSN : 2578-3157
Launched : 2016
Annals of Reproductive Medicine and Treatment
ISSN : 2573-1092
Launched : 2016
JSM Brain Science
ISSN : 2573-1289
Launched : 2016
JSM Biomarkers
ISSN : 2578-3815
Launched : 2014
JSM Biology
ISSN : 2475-9392
Launched : 2016
Archives of Stem Cell and Research
ISSN : 2578-3580
Launched : 2014
Annals of Clinical and Medical Microbiology
ISSN : 2578-3629
Launched : 2014
JSM Pediatric Surgery
ISSN : 2578-3149
Launched : 2017
Journal of Memory Disorder and Rehabilitation
ISSN : 2578-319X
Launched : 2016
JSM Tropical Medicine and Research
ISSN : 2578-3165
Launched : 2016
JSM Head and Face Medicine
ISSN : 2578-3793
Launched : 2016
JSM Cardiothoracic Surgery
ISSN : 2573-1297
Launched : 2016
JSM Bone and Joint Diseases
ISSN : 2578-3351
Launched : 2017
JSM Bioavailability and Bioequivalence
ISSN : 2641-7812
Launched : 2017
JSM Atherosclerosis
ISSN : 2573-1270
Launched : 2016
Journal of Genitourinary Disorders
ISSN : 2641-7790
Launched : 2017
Journal of Fractures and Sprains
ISSN : 2578-3831
Launched : 2016
Journal of Autism and Epilepsy
ISSN : 2641-7774
Launched : 2016
Annals of Marine Biology and Research
ISSN : 2573-105X
Launched : 2014
JSM Health Education & Primary Health Care
ISSN : 2578-3777
Launched : 2016
JSM Communication Disorders
ISSN : 2578-3807
Launched : 2016
Annals of Musculoskeletal Disorders
ISSN : 2578-3599
Launched : 2016
Annals of Virology and Research
ISSN : 2573-1122
Launched : 2014
JSM Renal Medicine
ISSN : 2573-1637
Launched : 2016
Journal of Muscle Health
ISSN : 2578-3823
Launched : 2016
JSM Genetics and Genomics
ISSN : 2334-1823
Launched : 2013
JSM Anxiety and Depression
ISSN : 2475-9139
Launched : 2016
Clinical Journal of Heart Diseases
ISSN : 2641-7766
Launched : 2016
Annals of Medicinal Chemistry and Research
ISSN : 2378-9336
Launched : 2014
JSM Pain and Management
ISSN : 2578-3378
Launched : 2016
JSM Women's Health
ISSN : 2578-3696
Launched : 2016
Clinical Research in HIV or AIDS
ISSN : 2374-0094
Launched : 2013
Journal of Endocrinology, Diabetes and Obesity
ISSN : 2333-6692
Launched : 2013
Journal of Substance Abuse and Alcoholism
ISSN : 2373-9363
Launched : 2013
JSM Neurosurgery and Spine
ISSN : 2373-9479
Launched : 2013
Journal of Liver and Clinical Research
ISSN : 2379-0830
Launched : 2014
Journal of Drug Design and Research
ISSN : 2379-089X
Launched : 2014
JSM Clinical Oncology and Research
ISSN : 2373-938X
Launched : 2013
JSM Bioinformatics, Genomics and Proteomics
ISSN : 2576-1102
Launched : 2014
JSM Chemistry
ISSN : 2334-1831
Launched : 2013
Journal of Trauma and Care
ISSN : 2573-1246
Launched : 2014
JSM Surgical Oncology and Research
ISSN : 2578-3688
Launched : 2016
Annals of Food Processing and Preservation
ISSN : 2573-1033
Launched : 2016
Journal of Radiology and Radiation Therapy
ISSN : 2333-7095
Launched : 2013
JSM Physical Medicine and Rehabilitation
ISSN : 2578-3572
Launched : 2016
Annals of Clinical Pathology
ISSN : 2373-9282
Launched : 2013
Annals of Cardiovascular Diseases
ISSN : 2641-7731
Launched : 2016
Journal of Behavior
ISSN : 2576-0076
Launched : 2016
Annals of Clinical and Experimental Metabolism
ISSN : 2572-2492
Launched : 2016
Clinical Research in Infectious Diseases
ISSN : 2379-0636
Launched : 2013
JSM Microbiology
ISSN : 2333-6455
Launched : 2013
Journal of Urology and Research
ISSN : 2379-951X
Launched : 2014
Journal of Family Medicine and Community Health
ISSN : 2379-0547
Launched : 2013
Annals of Pregnancy and Care
ISSN : 2578-336X
Launched : 2017
JSM Cell and Developmental Biology
ISSN : 2379-061X
Launched : 2013
Annals of Aquaculture and Research
ISSN : 2379-0881
Launched : 2014
Clinical Research in Pulmonology
ISSN : 2333-6625
Launched : 2013
Journal of Immunology and Clinical Research
ISSN : 2333-6714
Launched : 2013
Annals of Forensic Research and Analysis
ISSN : 2378-9476
Launched : 2014
JSM Biochemistry and Molecular Biology
ISSN : 2333-7109
Launched : 2013
Annals of Breast Cancer Research
ISSN : 2641-7685
Launched : 2016
Annals of Gerontology and Geriatric Research
ISSN : 2378-9409
Launched : 2014
Journal of Sleep Medicine and Disorders
ISSN : 2379-0822
Launched : 2014
JSM Burns and Trauma
ISSN : 2475-9406
Launched : 2016
Chemical Engineering and Process Techniques
ISSN : 2333-6633
Launched : 2013
Annals of Clinical Cytology and Pathology
ISSN : 2475-9430
Launched : 2014
JSM Allergy and Asthma
ISSN : 2573-1254
Launched : 2016
Journal of Neurological Disorders and Stroke
ISSN : 2334-2307
Launched : 2013
Annals of Sports Medicine and Research
ISSN : 2379-0571
Launched : 2014
JSM Sexual Medicine
ISSN : 2578-3718
Launched : 2016
Annals of Vascular Medicine and Research
ISSN : 2378-9344
Launched : 2014
JSM Biotechnology and Biomedical Engineering
ISSN : 2333-7117
Launched : 2013
Journal of Hematology and Transfusion
ISSN : 2333-6684
Launched : 2013
JSM Environmental Science and Ecology
ISSN : 2333-7141
Launched : 2013
Journal of Cardiology and Clinical Research
ISSN : 2333-6676
Launched : 2013
JSM Nanotechnology and Nanomedicine
ISSN : 2334-1815
Launched : 2013
Journal of Ear, Nose and Throat Disorders
ISSN : 2475-9473
Launched : 2016
JSM Ophthalmology
ISSN : 2333-6447
Launched : 2013
Journal of Pharmacology and Clinical Toxicology
ISSN : 2333-7079
Launched : 2013
Annals of Psychiatry and Mental Health
ISSN : 2374-0124
Launched : 2013
Medical Journal of Obstetrics and Gynecology
ISSN : 2333-6439
Launched : 2013
Annals of Pediatrics and Child Health
ISSN : 2373-9312
Launched : 2013
JSM Clinical Pharmaceutics
ISSN : 2379-9498
Launched : 2014
JSM Foot and Ankle
ISSN : 2475-9112
Launched : 2016
JSM Alzheimer's Disease and Related Dementia
ISSN : 2378-9565
Launched : 2014
Journal of Addiction Medicine and Therapy
ISSN : 2333-665X
Launched : 2013
Journal of Veterinary Medicine and Research
ISSN : 2378-931X
Launched : 2013
Annals of Public Health and Research
ISSN : 2378-9328
Launched : 2014
Annals of Orthopedics and Rheumatology
ISSN : 2373-9290
Launched : 2013
Journal of Clinical Nephrology and Research
ISSN : 2379-0652
Launched : 2014
Annals of Community Medicine and Practice
ISSN : 2475-9465
Launched : 2014
Annals of Biometrics and Biostatistics
ISSN : 2374-0116
Launched : 2013
JSM Clinical Case Reports
ISSN : 2373-9819
Launched : 2013
Journal of Cancer Biology and Research
ISSN : 2373-9436
Launched : 2013
Journal of Surgery and Transplantation Science
ISSN : 2379-0911
Launched : 2013
Journal of Dermatology and Clinical Research
ISSN : 2373-9371
Launched : 2013
JSM Gastroenterology and Hepatology
ISSN : 2373-9487
Launched : 2013
Annals of Nursing and Practice
ISSN : 2379-9501
Launched : 2014
JSM Dentistry
ISSN : 2333-7133
Launched : 2013
Author Information X