Loading

JSM Regenerative Medicine and Bioengineering

A 7-Year Assessment of Clinical Outcomes of Periosteum Derived Autologous Micrografts with PLGA in Maxillary Sinus Lift Procedures: An Observational Study

Case Series | Open Access | Volume 7 | Issue 1
Article DOI :

  • 1. Department of Clinical Surgical, Diagnostic and Pediatric Sciences, University of Pavia, Italy
+ Show More - Show Less
Corresponding Authors
Claudia Todaro Noemi Virgili, Department of Clinical Surgical, Diagnostic and Pediatric Sciences, University of Pavia, Pavia, Italy, Tel: +390382516255
Citation

Todaro C, Virgi N (2025) A 7-Year Assessment of Clinical Outcomes of Periosteum-Derived Autologous Micrografts with PLGA in Maxillary Sinus Lift Procedures: An Observational Study. JSM Regen Med Bio Eng 7(1): 1024

INTRODUCTION

Tooth loss is a condition that significantly affects quality of life, with impacts on aesthetics, nutrition, and general well-being. The primary causes are dental caries and periodontal disease [1]. Addressing this issue requires increasingly efficient, long-lasting, and prompt treatments. However, before placing a dental implant, it is essential to ensure adequate bone volume. If insufficient, bone regeneration must precede implant placement. Over the years, several techniques have been introduced, including pterygoid implants, bone grafting, and sinus floor augmentation [2].

The sinus lift technique, introduced by Boyne and James in 1980 using autologous bone grafts, was later re fined in 1986 by Tatum with the development of a lateral approach. Today, sinus augmentation can be categorized into two primary techniques.

The first, known as the Summer’s technique, involves the use of osteotomes to perform controlled fractures of the maxillary sinus floor, followed by graft material placement. This method creates space by elevating the sinus membrane and filling the cavity with graft material. It is less invasive and reduces surgical time but is suitable only when the residual bone height is not less than 4-6 mm.

The second approach, the lateral window technique, is preferred when the residual bone height is below 6 mm. This more invasive method involves creating a lateral bone window and elevating the Schneiderian membrane. The resulting cavity is then filled with natural or synthetic graft materials [2].

Each of these procedures requires grafting materials capable of supporting and promoting osseointegration, osteoconduction, osteogenesis, and osteoinduction. Available materials are commonly classified into five groups:

• Grafts of natural origin (autografts, allografts, xenografts)

• Synthetic substitutes (e.g., hydroxyapatite-based, polymeric, or metallic materials)

• Composite bone substitutes

• Substitutes containing viable osteogenic cells

• Substitutes enriched with growth factors

There is a growing demand for high-performance materials in dental applications [3-6]. Current trends suggest that hybrid materials-comprising scaffolds combined with biological components-represent the future of dental bone tissue engineering [7]. These materials often incorporate mesenchymal stem cells and/or growth factors [8].

In this observational follow-up study [3], the biological component consisted of autologous and homologous periosteum-derived micrografts obtained via Rigenera® technology. This class II medical device is already widely used across regenerative fields including dentistry, orthopedics, dermatology, wound healing, and cardiology [9,12]

In a previous study, Rodriguez et al., demonstrated that autologous periosteum-derived micrografts combined with PLGA and hydroxyapatite (HA), enhanced bone formation in sinus augmentation procedures. Radiographic and histological data supported the conclusion that micrografts improved outcomes compared to PLGA/HA alone [10].

This study therefore seeks to add to the evidence base by evaluating the efficacy and long-term stability (up to 7 years) of autologous micrografts combined with PLGA, assessed through radiographic and histological analyses.

PRESENTATION OF CASE

Patients

This retrospective observational study included patients requiring bone regeneration and sinus augmentation to facilitate dental implant placement. The treatment protocol involved the application of Rigenera® micro-grafting technology in combination with Fisiograft® (Ghimas, Casalecchio di Reno (BO), Italy). The study received ethical approval from the Ethics Committee of the University of Pavia.

A total of five patients (two males and three females), aged between 36 and 71 years, were enrolled. All patients were in good systemic health (classified as ASA I or II), with no systemic conditions or ongoing treatments that could interfere with osseointegration. One week before surgery, all patients underwent professional dental hygiene treatment and were instructed to maintain oral hygiene at home using 0.2% chlorhexidine mouthwash after tooth brushing twice daily. Informed consent was obtained from each participant after they were fully briefed on the nature of the study. Follow-up visits were scheduled periodically for up to 8 years postoperatively. During these visits, standard maintenance protocols were applied when necessary [13,15].

Autologous Micrografts

Autologous micrografts (AMGs) were prepared using the Rigeneracons medical device, which generates a suspension of tissue fragments approximately 80 µm in size [12]. These fragments consist of progenitor cells preserved within their native extracellular matrix, enriched with growth factors. The Rigeneracons device comprises a grid, a helix, and a reservoir. The helix presses the tissue sample onto the grid, which features 100 holes, each equipped with six micro-blades that mechanically disaggregate the tissue.

The system operates on a size-exclusion principle: only fragments of 80 µm or smaller pass through the grid and are collected in the reservoir below, while larger fragments remain on the surface. The disaggregation requires the addition of 1 ml of saline solution (0.9% NaCl), through a dedicated port [11,15].

Using a dental surgical motor and a specific adapter, the sample is disaggregated at 70 rpm with 15 N·cm torque for 3 minutes [10]. The resulting micrograft suspension is then aspirated with a syringe and used to soak the selected grafting material, in this case Fisiograft.

Scaffold Composition

Successful bone regeneration and osseointegration depend on multiple factors, including the selection of an appropriate scaffold material. An ideal material should possess mechanical properties-such as stiffness, elasticity, and porosity-closely resembling those of natural bone to minimize stress shielding and prevent further bone loss. Furthermore, the scaffold should replicate the bone’s physiological architecture to support both osteogenesis and angiogenesis. It must allow the formation of a vascular network to ensure the diffusion of nutrients, oxygen, growth factors, and minerals.

In this study, the scaffold used was PLGA (Fisiograft),a synthetic, biocompatible, and biodegradable polymer widely applied in tissue engineering and drug delivery. One of PLGA’s key advantages is its tunable degradation rate, determined by molecular weight and the lactic/ glycolic acid ratio. Fisiograft is an alloplastic material composed of a 50:50 PLA/PGA ratio, which degrades more rapidly than 70:30 or 85:15 compositions, and it was used here in granular form.

Numerous studies have confirmed its clinical efficacy in procedures such as sinus augmentation, socket preservation, and the treatment of peri-implant and periodontal defects, as well as bone fenestrations and dehiscence.

Surgery and Micrografting Procedure

Before local anesthesia (Articaine 4% with 1:200,000 epinephrine) was administered, all patients received antibiotic prophylaxis with 2 g of amoxicillin 

The sinus lift procedures were performed using the lateral window technique. After flap elevation, piezosurgery (Mectron, Carasco GE, Italy) with an OT5 insert was used under submerged healing conditions. Periosteum derived micrografts were harvested from either the deep palatal mucosa or the alveolar periosteum using a scalpel or biopsy punch. The tissue was then disaggregated with the Rigeneracons device using 1 ml of saline solution. The micrograft solution was used to saturate the granulated PLGA (Fisiograft), which was then used to fill the sinus cavity. The surgical site was closed with single sutures.

Postoperative care included a 7-day course of antibiotics (amoxicillin/clavulanic acid 1 g every 12 hours) and 0.2% chlorhexidine rinses twice daily for four weeks. Sutures were removed two weeks after surgery

Radiographic Evaluation

All patients underwent cone-beam CT scans prior to the sinus lift and implant placement surgeries. Follow-up radiographic evaluations were performed using periapical endoral radiographs for up to 7 years after surgery.

Histological Analysis

Five months after sinus augmentation, dental implants were placed. At that time, bone biopsies (3 mm in diameter) were collected using a trephine bur for histological examination. Samples were fixed in 10% for-malin, decalcified using EDTA (Osteodec; Bio-Optica, Milan, Italy), and embedded in paraffin.

Sections 5 µm thick were prepared with a microtome (Leica Biosystem, Milan, Italy) and mounted on coated slides. Deparaffinization was performed using xylene, followed by graded ethanol washes and rehydration. Hematoxylin-eosin staining was then applied to assess new bone formation.

RESULTS

Clinical Results

In all cases, periodontal probing depths remained within physiological limits (≤ 5 mm), with no clinical signs of inflammation such as erythema or swelling, and no bleeding on probing was observed [16]. The implant survival and success rate was 100% across all patients. Figure 1 illustrates the radiographic progression in one of the patients treated in this observational study.

Figure 1 Radiographic follow-up over 7 years in a patient treated with autologous periosteum-derived micrografts and PLGA. (a) Preoperative radiograph. (b) Radiograph at 5 months post-implant placement following sinus augmentation. (c) Radiograph at 7 years postoperatively.

Radiographic follow-up over 7 years in a patient treated with autologous periosteum-derived micrografts and PLGA. (a) Preoperative radiograph. (b) Radiograph at 5 months post-implant placement following sinus augmentation. (c) Radiograph at 7 years postoperatively (Figure 2).

Figure 2 Graphically displays these data

Additionally, marginal bone loss (MBL) remained below 1.5 mm throughout the observation period. Table 1 summarizes the average MBL values and standard deviations across different timepoints.

Table 1: Average in millimeters of MBL and standard deviation (SD).

 

T0

T6

T12

T24

T36

T60

T84

Mean

0,35

0,55

0,83

1,49

1,10

1,28

1,28

SD

0,49

0,52

0,49

0,61

0,65

0,32

0,66

Histological Results

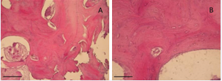
Histological analyses were performed at 3 and 7 months after sinus augmentation. Hematoxylin and eosin (H&E) staining (Figures 3 and 4), confirmed that the combination of micrografts with the PLGA scaffold supported bone formation.

At 3 months (Figure 3), lamellar bone structures were already visible at 10x and 20x magnification. The presence of calcified matrix and a developing Haversian system suggested early ossification.

Figure 3 Histological evaluation 3 months after surgery with Rigenera® technology and PLGA. (a) 10X magnification. (b) 20X magnification. Scale bar: 50 µm

At 7 months (Figure 4), histological sections demonstrated more mature bone features, including well-organized lamellae and osteocytic lacunae uniformly distributed and containing cells with osteo-blast-like morphology.

Figure 4 Histological evaluation 7 months after surgery with Rigenera® technology and PLGA. (a) 4X magnification. (b) 10X magnification. (c) 20X magnification. (d) 40X magnification. Scale bar: 50 µm.

DISCUSSION

This study presents the long-term (up to 7 years) clinical and histological outcomes of autologous micrografts (AMGs) used in sinus lift procedures for bone regeneration in humans. Throughout the entire follow-up period, no adverse events or complications attributable to the use of AMGs combined with PLGA were re-ported, indicating a favorable safety profile and long-term biocompatibility.

These findings expand upon previously published results from the same patient cohort with a six-month follow-up. Earlier preclinical investigations, including both in vitro experiments and in vivo murine models, have demonstrated the regenerative potential of AMGs in bone tissue engineering applications [17,18]. Additionally, a case report with a 3-year follow-up had already suggested the effectiveness of this protocol in a single patient [9]. The current study provides further support by documenting consistent outcomes across multiple patients over an extended observation period.

The evaluation of marginal bone loss (MBL) revealed values within the range considered physiologically acceptable by the existing literature. Adell et al., reported a mean MBL of 1.5 mm in the first year and a subsequent annual loss of 0.1 mm [19]. Similarly, Albrektsson et al., proposed a long-term physiological threshold of ≤ 0.2 mm/ year following the first year of functional loading [20]. In our study, the MBL measurements remained consistently below 1.5 mm over the full follow-up period, suggesting stable peri-implant bone conditions and successful osseointegration.

Thus, the protocol described, combining autologous micrografts with PLGA-can be considered a reliable and safe option for bone regeneration in sinus augmentation procedures. A major strength of this study lies in the long term follow-up and the integration of clinical, radiographic, and histological data.

Nevertheless, one limitation must be acknowledged: the absence of a control group treated with PLGA alone or alternative grafting materials. Future randomized controlled trials comparing different regenerative proto cols will be necessary to further validate these outcomes and strengthen the clinical evidence.

Despite this limitation, the consistency of results across all patients, together with the absence of complications and the maintenance of implant stability, strongly supports the use of autologous micrografts in clinical practice for bone regeneration procedures requiring long-term success.

CONCLUSIONS

The results of this long-term observational study demonstrate that the use of autologous periosteum derived micrografts in combination with PLGA for sinus lift augmentation is a safe and effective technique for bone regeneration in implant dentistry. Radiographic and histological data confirmed the stability of regenerated bone tissue and the maintenance of implant success over a follow-up period of up to seven years.

The absence of adverse events and the physiological levels of marginal bone loss observed throughout the follow-up further support the biocompatibility and reliability of this approach. These findings suggest that this regenerative strategy represents a predictable clinical protocol, offering long-lasting outcomes for patients requiring vertical bone augmentation prior to implant placement.

Future controlled clinical trials comparing this method with other grafting techniques will be essential to further validate its efficacy and define its indications in broader patient populations.

DECLARATIONS

Conflicts of Interest

The authors declare that the research was conducted in the absence of any commercial or financial relationships that could be construed as a potential conflict of interest. One of the authors works for the company that owns the Ri-genera Micrografting Technology.

Ethical Approval

Ethical Approval was provided by the authors institution.

Patient Consent

Written informed consent was obtained from the patients for publication of this case report and accompanying images. A copy of the written consent is available for review by the Editor-in-Chief of this journal on request.

Research Registration

The study was conducted in accordance with the Declaration of Helsinki, and approved by the Institutional Ethics Committee of the Authors’ institution.

REFERENCES
  1. Saintrain MV, de Souza EH. Impact of tooth loss on the quality of life. Gerodontol. 2012; 29: e632-636.
  2. de Vicente JC, Hernández-Vallejo G, Braña-Abascal P, Peña I. Maxillary sinus augmentation with autologous bone harvested from the lateral maxillary wall combined with bovine-derived hydroxyapatite: clinical and histologic observations. Clin Oral Implants Res. 2010; 2: 430-438
  3. Agha RA, Franchi T, Sohrabi C, Mathew G, Kerwan A; SCARE Group. The SCARE 2020 Guideline: Updating Consensus Surgical CAse REport (SCARE) Guidelines. Int J Surg. 2020; 84: 226-230
  4. Rodriguez Y, Baena R, Pastorino R, Gherlone EF, Perillo L, Lupi SM, et al. Histomorphometric Evaluation of Two Different Bone Substitutes in Sinus Augmentation Procedures: A Randomized Controlled Trial in 

    Humans. Int J Oral Maxillofac Implants. 2017; 32: 188-194.

  5. Bollati D, Morra M, Cassinelli C, Lupi SM, Rodriguez Y, Baena R. In Vitro Cytokine Expression and In Vivo Healing and Inflammatory Response to a Collagen-Coated Synthetic Bone Filler. Biomed Res Int. 2016; 2016: 6427681.
  6. Baena RR, Lupi SM, Pastorino R, Maiorana C, Lucchese A, Rizzo S. Radiographic evaluation of regenerated bone following poly(lactic- co-glycolic) acid/hydroxyapatite and deproteinized bovine bone graft in sinus lifting. J Craniofac Surg. 2013; 24: 845-848.
  7. Ceccarelli G, Presta R, Benedetti L, Cusella De Angelis MG, Lupi SM, et al. Emerging Perspectives in Scaffold for Tissue Engineering in Oral Surgery. Stem Cells Int. 2017; 2017: 4585401
  8. Zhao R, Yang R, Cooper PR, Khurshid Z, Shavandi A, Ratnayake J. Bone Grafts and Substitutes in Dentistry: A Review of Current Trends and Developments. Molecules. 2021; 26: 3007.
  9. Lupi SM, Rodriguez Y, Baena A, Todaro C, Ceccarelli G, Rodriguez Y, et al. Maxillary Sinus Lift Using Autologous Periosteal Micrografts: A New Regenerative Approach and a Case Report of a 3-Year Follow- Up. Case Rep Dent. 2018; 2018: 3023096
  10. Rodriguez Y, Baena R, D’Aquino R, Graziano A, Trovato L, Aloise AC, et al. Autologous Periosteum-Derived Micrografts and PLGA/HA Enhance the Bone Formation in Sinus Lift Augmentation. Front Cell Dev Biol. 2017; 5: 87.
  11. Aliberti F, Paolin E, Benedetti L, Cusella G, Ceccarelli G. 3D bioprinting and Rigenera® micrografting technology: A possible countermeasure for wound healing in spaceflight. Front Bioeng Biotechnol. 2022; 10: 937709
  12. Starita C, Arora CL, Trovato L. Tissue regeneration: an overview from stem cells to micrografts. J Int Med Res. 2020; 48: 300060520914794
  13. Lupi SM, Granati M, Butera A, Collesano V, Rodriguez Y, Baena R. Air-abrasive debridement with glycine powder versus manual debridement and chlorhexidine administration for the maintenance of peri-implant health status: a six-month randomized clinical trial. Int J Dent Hyg. 2017; 15: 287-294.
  14. Lupi SM, Redoglia L, Rodriguez Y, Baena A, Garbelli G, Rodriguez Y, et al. Detection of peri-implant inflammation by the use of a matrix metalloproteinase-8 chair-side test. Minerva Stomatol. 2019; 68: 168-176.
  15. Lupi SM, Pascadopoli M, Maiorani C, Preda C, Trapani B, Chiesa A, et al. Oral Hygiene Practice among Hospitalized Patients: An Assessment by Dental Hygiene Students. Healthcare (Basel). 2022; 10: 115.
  16. Renvert S, Persson GR, Pirih FQ, Camargo PM. Peri-implant health, peri-implant mucositis, and peri-implantitis: Case definitions and diagnostic considerations. J Periodontol. 2018; 89: S304-S312
  17. Kawakami S, Shiota M, Kon K, Shimogishi M, Iijima H, Kasugai S. Autologous micrografts from the palatal mucosa for bone regeneration in calvarial defects in rats: a radiological and histological analysis. Int J Implant Dent. 2021; 25: 6.
  18. Araújo CRG, Astarita C, D’Aquino R, Pelegrine AA. Evaluation of Bone Regeneration in Rat Calvaria Using Bone Autologous Micrografts and Xenografts: Histological and Histomorphometric Analysis. Materials (Basel). 2020; 13: 4284
  19. Adell R, Lekholm U, Rockler B, Brånemark PI. A 15-year study of osseointegrated implants in the treatment of the edentulous jaw. Int J Oral Surg. 1981; 10: 387-416
  20. Albrektsson T, Zarb G, Worthington P, Eriksson AR. The long-term efficacy of currently used dental implants: a review and proposed criteria of success. Int J Oral Maxillofac Implants. 1986; 1: 11-25

Todaro C, Virgi N (2025) A 7-Year Assessment of Clinical Outcomes of Periosteum-Derived Autologous Micrografts with PLGA in Maxillary Sinus Lift Procedures: An Observational Study. JSM Regen Med Bio Eng 7(1): 1024.

Received : 25 Jun 2025
Accepted : 24 Jun 2025
Published : 25 Jun 2025
Journals
Annals of Otolaryngology and Rhinology
ISSN : 2379-948X
Launched : 2014
JSM Schizophrenia
Launched : 2016
Journal of Nausea
Launched : 2020
JSM Internal Medicine
Launched : 2016
JSM Hepatitis
Launched : 2016
JSM Oro Facial Surgeries
ISSN : 2578-3211
Launched : 2016
Journal of Human Nutrition and Food Science
ISSN : 2333-6706
Launched : 2013
JSM Spine
ISSN : 2578-3181
Launched : 2016
Archives of Palliative Care
ISSN : 2573-1165
Launched : 2016
JSM Nutritional Disorders
ISSN : 2578-3203
Launched : 2017
Annals of Neurodegenerative Disorders
ISSN : 2476-2032
Launched : 2016
Journal of Fever
ISSN : 2641-7782
Launched : 2017
JSM Bone Marrow Research
ISSN : 2578-3351
Launched : 2016
JSM Mathematics and Statistics
ISSN : 2578-3173
Launched : 2014
Journal of Autoimmunity and Research
ISSN : 2573-1173
Launched : 2014
JSM Arthritis
ISSN : 2475-9155
Launched : 2016
JSM Head and Neck Cancer-Cases and Reviews
ISSN : 2573-1610
Launched : 2016
JSM General Surgery Cases and Images
ISSN : 2573-1564
Launched : 2016
JSM Anatomy and Physiology
ISSN : 2573-1262
Launched : 2016
JSM Dental Surgery
ISSN : 2573-1548
Launched : 2016
Annals of Emergency Surgery
ISSN : 2573-1017
Launched : 2016
Annals of Mens Health and Wellness
ISSN : 2641-7707
Launched : 2017
Journal of Preventive Medicine and Health Care
ISSN : 2576-0084
Launched : 2018
Journal of Chronic Diseases and Management
ISSN : 2573-1300
Launched : 2016
Annals of Vaccines and Immunization
ISSN : 2378-9379
Launched : 2014
JSM Heart Surgery Cases and Images
ISSN : 2578-3157
Launched : 2016
Annals of Reproductive Medicine and Treatment
ISSN : 2573-1092
Launched : 2016
JSM Brain Science
ISSN : 2573-1289
Launched : 2016
JSM Biomarkers
ISSN : 2578-3815
Launched : 2014
JSM Biology
ISSN : 2475-9392
Launched : 2016
Archives of Stem Cell and Research
ISSN : 2578-3580
Launched : 2014
Annals of Clinical and Medical Microbiology
ISSN : 2578-3629
Launched : 2014
JSM Pediatric Surgery
ISSN : 2578-3149
Launched : 2017
Journal of Memory Disorder and Rehabilitation
ISSN : 2578-319X
Launched : 2016
JSM Tropical Medicine and Research
ISSN : 2578-3165
Launched : 2016
JSM Head and Face Medicine
ISSN : 2578-3793
Launched : 2016
JSM Cardiothoracic Surgery
ISSN : 2573-1297
Launched : 2016
JSM Bone and Joint Diseases
ISSN : 2578-3351
Launched : 2017
JSM Bioavailability and Bioequivalence
ISSN : 2641-7812
Launched : 2017
JSM Atherosclerosis
ISSN : 2573-1270
Launched : 2016
Journal of Genitourinary Disorders
ISSN : 2641-7790
Launched : 2017
Journal of Fractures and Sprains
ISSN : 2578-3831
Launched : 2016
Journal of Autism and Epilepsy
ISSN : 2641-7774
Launched : 2016
Annals of Marine Biology and Research
ISSN : 2573-105X
Launched : 2014
JSM Health Education & Primary Health Care
ISSN : 2578-3777
Launched : 2016
JSM Communication Disorders
ISSN : 2578-3807
Launched : 2016
Annals of Musculoskeletal Disorders
ISSN : 2578-3599
Launched : 2016
Annals of Virology and Research
ISSN : 2573-1122
Launched : 2014
JSM Renal Medicine
ISSN : 2573-1637
Launched : 2016
Journal of Muscle Health
ISSN : 2578-3823
Launched : 2016
JSM Genetics and Genomics
ISSN : 2334-1823
Launched : 2013
JSM Anxiety and Depression
ISSN : 2475-9139
Launched : 2016
Clinical Journal of Heart Diseases
ISSN : 2641-7766
Launched : 2016
Annals of Medicinal Chemistry and Research
ISSN : 2378-9336
Launched : 2014
JSM Pain and Management
ISSN : 2578-3378
Launched : 2016
JSM Women's Health
ISSN : 2578-3696
Launched : 2016
Clinical Research in HIV or AIDS
ISSN : 2374-0094
Launched : 2013
Journal of Endocrinology, Diabetes and Obesity
ISSN : 2333-6692
Launched : 2013
Journal of Substance Abuse and Alcoholism
ISSN : 2373-9363
Launched : 2013
JSM Neurosurgery and Spine
ISSN : 2373-9479
Launched : 2013
Journal of Liver and Clinical Research
ISSN : 2379-0830
Launched : 2014
Journal of Drug Design and Research
ISSN : 2379-089X
Launched : 2014
JSM Clinical Oncology and Research
ISSN : 2373-938X
Launched : 2013
JSM Bioinformatics, Genomics and Proteomics
ISSN : 2576-1102
Launched : 2014
JSM Chemistry
ISSN : 2334-1831
Launched : 2013
Journal of Trauma and Care
ISSN : 2573-1246
Launched : 2014
JSM Surgical Oncology and Research
ISSN : 2578-3688
Launched : 2016
Annals of Food Processing and Preservation
ISSN : 2573-1033
Launched : 2016
Journal of Radiology and Radiation Therapy
ISSN : 2333-7095
Launched : 2013
JSM Physical Medicine and Rehabilitation
ISSN : 2578-3572
Launched : 2016
Annals of Clinical Pathology
ISSN : 2373-9282
Launched : 2013
Annals of Cardiovascular Diseases
ISSN : 2641-7731
Launched : 2016
Journal of Behavior
ISSN : 2576-0076
Launched : 2016
Annals of Clinical and Experimental Metabolism
ISSN : 2572-2492
Launched : 2016
Clinical Research in Infectious Diseases
ISSN : 2379-0636
Launched : 2013
JSM Microbiology
ISSN : 2333-6455
Launched : 2013
Journal of Urology and Research
ISSN : 2379-951X
Launched : 2014
Journal of Family Medicine and Community Health
ISSN : 2379-0547
Launched : 2013
Annals of Pregnancy and Care
ISSN : 2578-336X
Launched : 2017
JSM Cell and Developmental Biology
ISSN : 2379-061X
Launched : 2013
Annals of Aquaculture and Research
ISSN : 2379-0881
Launched : 2014
Clinical Research in Pulmonology
ISSN : 2333-6625
Launched : 2013
Journal of Immunology and Clinical Research
ISSN : 2333-6714
Launched : 2013
Annals of Forensic Research and Analysis
ISSN : 2378-9476
Launched : 2014
JSM Biochemistry and Molecular Biology
ISSN : 2333-7109
Launched : 2013
Annals of Breast Cancer Research
ISSN : 2641-7685
Launched : 2016
Annals of Gerontology and Geriatric Research
ISSN : 2378-9409
Launched : 2014
Journal of Sleep Medicine and Disorders
ISSN : 2379-0822
Launched : 2014
JSM Burns and Trauma
ISSN : 2475-9406
Launched : 2016
Chemical Engineering and Process Techniques
ISSN : 2333-6633
Launched : 2013
Annals of Clinical Cytology and Pathology
ISSN : 2475-9430
Launched : 2014
JSM Allergy and Asthma
ISSN : 2573-1254
Launched : 2016
Journal of Neurological Disorders and Stroke
ISSN : 2334-2307
Launched : 2013
Annals of Sports Medicine and Research
ISSN : 2379-0571
Launched : 2014
JSM Sexual Medicine
ISSN : 2578-3718
Launched : 2016
Annals of Vascular Medicine and Research
ISSN : 2378-9344
Launched : 2014
JSM Biotechnology and Biomedical Engineering
ISSN : 2333-7117
Launched : 2013
Journal of Hematology and Transfusion
ISSN : 2333-6684
Launched : 2013
JSM Environmental Science and Ecology
ISSN : 2333-7141
Launched : 2013
Journal of Cardiology and Clinical Research
ISSN : 2333-6676
Launched : 2013
JSM Nanotechnology and Nanomedicine
ISSN : 2334-1815
Launched : 2013
Journal of Ear, Nose and Throat Disorders
ISSN : 2475-9473
Launched : 2016
JSM Ophthalmology
ISSN : 2333-6447
Launched : 2013
Journal of Pharmacology and Clinical Toxicology
ISSN : 2333-7079
Launched : 2013
Annals of Psychiatry and Mental Health
ISSN : 2374-0124
Launched : 2013
Medical Journal of Obstetrics and Gynecology
ISSN : 2333-6439
Launched : 2013
Annals of Pediatrics and Child Health
ISSN : 2373-9312
Launched : 2013
JSM Clinical Pharmaceutics
ISSN : 2379-9498
Launched : 2014
JSM Foot and Ankle
ISSN : 2475-9112
Launched : 2016
JSM Alzheimer's Disease and Related Dementia
ISSN : 2378-9565
Launched : 2014
Journal of Addiction Medicine and Therapy
ISSN : 2333-665X
Launched : 2013
Journal of Veterinary Medicine and Research
ISSN : 2378-931X
Launched : 2013
Annals of Public Health and Research
ISSN : 2378-9328
Launched : 2014
Annals of Orthopedics and Rheumatology
ISSN : 2373-9290
Launched : 2013
Journal of Clinical Nephrology and Research
ISSN : 2379-0652
Launched : 2014
Annals of Community Medicine and Practice
ISSN : 2475-9465
Launched : 2014
Annals of Biometrics and Biostatistics
ISSN : 2374-0116
Launched : 2013
JSM Clinical Case Reports
ISSN : 2373-9819
Launched : 2013
Journal of Cancer Biology and Research
ISSN : 2373-9436
Launched : 2013
Journal of Surgery and Transplantation Science
ISSN : 2379-0911
Launched : 2013
Journal of Dermatology and Clinical Research
ISSN : 2373-9371
Launched : 2013
JSM Gastroenterology and Hepatology
ISSN : 2373-9487
Launched : 2013
Annals of Nursing and Practice
ISSN : 2379-9501
Launched : 2014
JSM Dentistry
ISSN : 2333-7133
Launched : 2013
Author Information X