Loading

JSM Sexual Medicine

Antidepressant-Induced Testicular Alterations in the Normal and Depressed Mice

Research Article | Open Access | Volume 8 | Issue 1

  • 1. Department of Zoology, MMV, Banaras Hindu University, India
+ Show More - Show Less
Corresponding Authors
Poonam Singh, Professor of Zoology, MMV, Banaras Hindu University, Varanasi-221005, Uttar Pradesh, India, Tel: +919450181646
Abstract

Introduction: Antidepressants are commonly used in the treatment of depression and several other mental health disorders. Since antidepressants are known to cause a variety of side effects, their adverse effects on reproductive health are a matter of great concern because of the raising trend of infertility in current scenario.

Aim: The present study has therefore been conducted to evaluate the effects of fluoxetine, an antidepressant, on the reproductive health of the normal and depressed mice by evaluating its adverse effects on the testis.

Methods: Twenty-four adult male mice of Swiss strain were distributed into four groups of six each (n=6). Group I served as control while groups II, III, and IV received reserpine (RES: 0.75mg/kg/BW/day) for 14 days, fluoxetine (FLX: 40mg/kg/BW/day) only for 28 days, and reserpine+fluoxetine (RES treatment for 14 days followed by FLX treatment for 28 days), respectively.

Results: RES as well as FLX exposure did not cause any alteration in the testicular weight, histopathology, daily sperm production, germ cells apoptosis, oxidative stress, activities of steroidogenic enzymes, and the levels of serum cholesterol, testosterone, estradiol, and prolactin except that of the plasma corticosterone which was increased significantly only in RES-exposed mice, compared with the control. By contrast, RES+FLX treatment resulted in marked regressive histopathological alterations in the testis indicated by thickened tunica propria, and vacuolized germ cells in the disorganized seminiferous tubules. Leydig cells also appeared diffused. Moreover, significant reductions were noticed in daily sperm production, the activities of steroidogenic enzymes, levels of serum testosterone, estradiol and plasma corticosterone while significant increase was noted in the levels of serum cholesterol and prolactin. Mice of this group also showed significant increase in the activity of superoxide dismutase and level of lipid peroxidation, while significant decrease in the activities of catalase, glutathione peroxidase, and the level of nitrate, compared with the control and RES-exposed mice. Further, the percentage of necrotic, early, and late apoptotic germ cells was significantly increased while that of live cells decreased significantly in the testis of such mice, compared with the control and RES-exposed mice.

Conclusion: The findings of the present study therefore, indicate the spermatogenic inhibition only in RES+FLX- treated mice by causing oxidative stress, as a result of an enhanced apoptotic activity, alterations in the levels of cholesterol, and the measured hormones.

Keywords

• Antidepressants; Depression; Apoptosis; Spermatogenesis

Citation

Kumar S, Tripathi A, Singh P (2024) Antidepressant-Induced Testicular Alterations in the Normal and Depressed Mice. JSM Sexual Med 8(1): 1126.

ABBREVIATIONS

BW: Body Weight; CAT: Catalase; ELISA: Enzyme-Linked Immunosorbent Assay; FLX: Fluoxetine; GPx: Glutathione peroxidase; 3?-HSD: 3?-hydroxysteroid dehydrogenase; 17?-HSD: 17?-hydroxysteroid dehydrogenase; LPO: Lipid Peroxidation; MAOIs: Monoamine Oxidase Inhibitors; MDA: Malonaldehyde; NDRs: Norepinephrine and Dopamine Reuptake Inhibitors; PAS: Periodic Acid Schiff; PRL: Prolactin; RES: Reserpine; ROS: Reactive Oxygen Species; SOD: Superoxide Dismutase; SNRIs: Serotonin-Noradrenaline Reuptake Inhibitors; SSRIs: Selective Serotonin Inhibitors; TCAs: Tricyclic Antidepressants

INTRODUCTION

Depression is a common, worldwide mental health problem and recurring mood disorder that manifests as loss of interest or enjoyment, feelings of guilt or low self-worth, interrupted sleep or eating, lack of energy, and difficulty in concentrating. Depression results in several health issues related to gastrointestinal problems, cancer, diabetes, cardiovascular, and respiratory diseases [1,2]. Hence to overcome the effects of depression, various antidepressants are being prescribed by physicians. The major classes of antidepressants include selective serotonin reuptake inhibitors (SSRIs), serotonin-noradrenaline reuptake inhibitors (SNRIs), norepinephrine and dopamine reuptake inhibitors (NDRIs), monoamine oxidase inhibitors (MAOIs), tricyclic antidepressants (TCAs), and atypical antidepressants [3]. These are one of the most commonly used therapeutic drug classes in the world, prescribed for the treatment of mental health disorders like anxiety, panic, bulimia nervosa, post traumatic stress, and obsessive compulsion. However, such drugs are known to exert side effects on various physiological systems including the cardiovascular system [4], central nervous system [5], digestive system [6], and reproductive system [7].

The adverse effects of antidepressants on the reproductive system have become a matter of great concern in current scenario because of the raising trend of the infertility problem. Antidepressants have been reported to cause several sexual dysfunctions through multiple mechanisms like sedation, hyperprolactinemia, antagonistic effects of α- adrenergic, dopaminergic, and several other receptors [8]. Among all the mechanisms, hyperprolactinemia induced by antidepressants is reported to be a common clinical disorder that may lead to 40% of sexual dysfunctions causing infertility [9].

Majority of the available studies are focused on selective serotonin reuptake inhibitors (SSRIs) such as citalopram, escitalopram, paroxetine, sertraline, and fluoxetine which have shown negative impacts on the reproduction [10,11]. These inhibitors cause reproductive toxicity by exerting oxidative stress and interfere in the apoptotic activity [12,13]. Among them, fluoxetine, a common SSRI, is considered as the first-line antidepressant, widely used for the treatment of neurological disorders such as depression and anxiety. Chemically, fluoxetine is N-methyl-3-phenyl-3-[4-(trifluoromethyl) phenoxy] propan1-amine, and is considered to be a successful drug for the treatment of mental illness, based on its favourable safety and efficacy ratio [14]. However, this drug has been reported to cause several complications like bleeding [15], lung damage [16], hepatotoxicity [17], nephrotoxicity [18], and cardiotoxicity [19].

The effects of fluoxetine on the male reproduction have also been examined. Fluoxetine treatment in rat causes significant decrease in the body and testicular weight, activities of antioxidant enzymes, level of serum testosterone, while significant increase in lipid peroxidation in the organ [20,21]. However, other authors [22,23] have reported no alterations in the weight and histopathology of the testis, and in the level of serum testosterone.

Short and long-term treatments with fluoxetine in the chronic mild stress-induced depressed rat cause marked changes in the histopathology of the testis, oxidative stress, levels of serum testosterone, and corticosterone [24,25]. Further, various doses of fluoxetine cause significant alterations in the activities of antioxidant enzymes in the anxiety/depressed rat [26], and a dose-dependent decrease in the daily sperm production [27].

All the above-mentioned reports have indicated the contradictory findings regarding fluoxetine-induced testicular alterations in the normal condition while same treatment in depressed condition have reported adverse effects on the organ. The present study has therefore, been carried out to reinvestigate the possible repercussions of fluoxetine (FLX) on the testis of the normal as well as the depressed mice.

MATERIALS AND METHODS

Animals model

Adult male mice (8-10 weeks old) of Swiss strain, weighing 22-24 gm were purchased from Central Animal House, Institute of Medical Science, Banaras Hindu University, Varanasi for the experimental studies. Mice were maintained in polypropylene cages, with rice husk as the bedding material under 12 h light and 12 h dark cycle at controlled temperature (25±2 °C), and fed on pelleted food and water ad libitum. The experimental protocol was approved by the Animal Ethical Committee, Department of Zoology, Institute of Science, Banaras Hindu University, Varanasi, India (BHU/DOZ/IAEC/2021-2022/029, February 15, 2022) for the use of laboratory animals.

Test compound

Reserpine (C33H40N2 O9 ) was purchased from Otto Chemie Pvt. Ltd. Chemika – Biochemika - Reagent Chemical Company, Mumbai, India. Fluoxetine (FLX) was obtained as capsules from Intas Pharmaceutical Pvt. Ltd. Gujrat, India. Each capsule contained 40 mg of fluoxetine hydrochloride.

Experimental design and dosage

Twenty-four adult male mice were distributed into four groups of six each (n=6). Group I served as control while groups II, III, and IV received reserpine (RES: 0.75mg/kg/BW/day for 14 days), fluoxetine only (FLX: 40mg/kg/BW/day, for 28 days) and reserpine+fluoxetine (RES treatment for 14 days followed by FLX treatment for 28 days), respectively. All the treatments were given through the oral route. The control (Group I) received corn oil only, by the same route.

Animal sacrifice and collection of the blood and testes

After recording the final body weights, mice were sacrificed by cervical dislocation. Blood samples were collected for the measurement of the levels of cholesterol and hormones. The testes of both sides were removed for conducting the following studies:

Testis weight

The gonadosomatic index was calculated by measuring the wet weights of the testes, by using the following formula:

Gonado-somatic Index (GSI)= (Gonad weight/Final body weight) ×100

Histopathological studies

The testes were dehydrated in a graded series of alcohol, cleared in xylene, and embedded in paraffin wax. Sections of 5 μm thickness were obtained by using an ultramicrotome, dehydrated in graded series of alcohol, stained with Periodic Acid Schiff (PAS) reagent, and then counterstained with Ehrlich’s Haematoxylin.

Daily sperm production

To evaluate the effect of FLX treatment on daily sperm production in the testis, elongated spermatids (steps 14-16 spermatids) resistant to sonication, were counted according to the method of Meistrich and van Beek [28]. Developing spermatids spend 4.84 days in steps 14-16 during spermatogenesis in the mice. Therefore, the number of steps 14-16 spermatids was divided by 4.84 to determine the daily sperm production [29].

Steroidogenic enzymes assay

Activities of testicular 3?-hydroxysteroid dehydrogenase (3?-HSD) and 17?-hydroxysteroid dehydrogenase (17?-HSD) were assessed spectrophotometrically by using the modified method of Mishra and Singh [30].

Testicular antioxidant enzymes

10% (w/v) testis homogenate was prepared in 50.0 mM of phosphate buffer (pH 7.0) and centrifuged at 12000 rpm for 15 minutes [31]. The supernatant was collected to measure the antioxidant enzymes after estimating the protein content by the method of Lowry [32] using bovine serum albumin as a standard. Superoxide dismutase (SOD) was measured by the method of [33] whereas the methods of Aebi [34] and Flohe and Gunzler [35] were used to determine the activities of catalase (CAT) and glutathione peroxidase (GPx), respectively.

Estimation of lipid peroxidation

The level of lipid peroxidation (LPO) was measured by the method of Okhawa [36] via malonaldehyde (MDA) level in the supernatant.

Estimation of nitrate

The level of nitrate was measured in the supernatant by the established protocol of Miranda [37].

Flow cytometry analysis of germ cells apoptosis

Apoptotic activity in the testicular germ cells was determined by flow cytometry using a highly sensitive and specific Annexin V-FITC/ PI apoptosis kit (Elabscience, Wuhan, China). Briefly, the testis was rinsed and homogenized in phosphate buffer saline (PBS, pH-7.4), and centrifuged at 1000 rpm for 5 minutes. Later, 1.0 ml FACS buffer was added and again centrifuged at 1000 rpm for 5 minutes at 4o C thrice. The supernatant was discarded, and 200 μl of 1X annexin buffer was added to the pellet and centrifuged at 1000 rpm for 5 minutes at 4 0 C. The annexin buffer was then removed and 200 μl PBS was added. Further, 2.0 μl of annexin FITC reagent and 2.0 μl of PI (Propidium Iodide) were added to the samples, and the apoptotic activity was analyzed in a flow cytometer, CytoFLEX LX (Beckman Coulter, Brea, California). The data were analyzed by using Cytexpert. ink software. For each assay, 10,000 events in list mode data files were recorded. Hardware fluorescence compensation was used to obtain separate subpopulations. For each file, events positive for FITC were gated using cyt-expert ink software in a PC running Windows XP, then the percentage of events gated was recorded.

Estimation of cholesterol

The level of cholesterol was estimated in the blood serum by using the diagnostic kit (ARKRAY Healthcare Pvt. Ltd). 

Hormones estimation

Blood samples were obtained by micro-capillary glass tubes from the retro-orbital venous plexuses and serum was separated by centrifugation (2500 rpm, 20 min, 4 o C) for measuring the levels of the following hormones:

Testosterone: The level of testosterone in serum was determined by using a highly sensitive and specific commercial ELISA kit (DiaMetra, Segrate, Italy), as per the manufacturer’s instructions. The sensitivity of the assay for testosterone was 0.10 ng/ml with intra- and inter-assay coefficients of variance being 7.0% and 8.3%, respectively.

Estradiol: The level of estradiol in serum was measured by using a highly sensitive and specific commercial ELISA kit (DiaMetra, Segrate, Italy), as per the manufacturer’s instructions. The sensitivity of the assay for estradiol was 8.68 pg/ml. All the samples were quantified in a single assay with intra- and inter assay coefficients of variance, being 9% and 10%, respectively.

Prolactin: The level of prolactin in the serum was determined by using a highly sensitive and specific commercial ELISA kit (DiaMetra, Segrate, Italy), as per the manufacturer’s instructions. The sensitivity of the assay for prolactin was 1.88ng/ml. All the samples were quantified in a single assay with intra- and interassay coefficients of variance, being 4.7% and 5.13%, respectively.

Corticosterone: For estimating the level of corticosterone, plasma was separated using a cooling centrifuge at 2500 rpm, for 10 minutes at 40 C. Corticosterone level was measured spectrophotometrically by adopting the method of Bartos and Pesez [38].

Statistical analyses

All the data were analyzed statistically by Student’s T-test and one-way ANOVA followed by Post hoc Dunnett’s test. Analyses were performed by SPSS software version 17 (IBM, USA). Values were considered significant at P<0.05.

RESULTS

Body weight

Body weights were significantly decreased in the RESexposed mice whereas no significant alterations were observed in the body weights of the FLX- and RES+FLX-treated mice, compared with the control (Figure 1).

Effects of oral administration of RES, FLX and RES+FLX on the body weights. Values represent the mean± SEM of six animals. ** indicate  significant difference from control group at p < 0.05. *** indicate significant difference from RES-exposed group at p < 0.05.

Figure 1: Effects of oral administration of RES, FLX and RES+FLX on the body weights. Values represent the mean± SEM of six animals. ** indicate significant difference from control group at p < 0.05. *** indicate significant difference from RES-exposed group at p < 0.05.

Testis weight

Testis weight was not significantly altered in the mice administered with RES and FLX, compared with the control. However, in mice treated with RES+FLX, the testicular weight decreased significantly, compared with the control and RES exposed mice (Figure 2).

Effects of oral administration of RES, FLX and RES+FLX on the testis weight. Values represent the mean± SEM of six animals. * indicates  significant difference from control and RES-exposed groups at p < 0.05.

Figure 2: Effects of oral administration of RES, FLX and RES+FLX on the testis weight. Values represent the mean± SEM of six animals. * indicates significant difference from control and RES-exposed groups at p < 0.05.

Histopathology of the testis

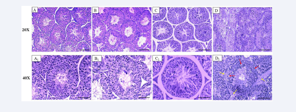
RES and FLX treatment did not cause any alteration in the histopathology of the testis (Figure 3B, 3B1 ), compared with the control (Figure 3A, 3A1 ).

(A to D; 20X, A1 to D1; 40X). T.S. of the testis of control (A, A1), RES-exposed (B, B1) and FLX-treated (C, C1) mice, showing normal  histopathology. T.S. of the testis of RES+FLX-treated (D D1) mouse, showing disorganized and shrunken seminiferous tubules, thickening of the  tunica propria, vacuolization of the germ cells (red arrows) and diffused Leydig cells (yellow arrows).

Figure 3: (A to D; 20X, A1 to D1; 40X). T.S. of the testis of control (A, A1), RES-exposed (B, B1) and FLX-treated (C, C1) mice, showing normal histopathology. T.S. of the testis of RES+FLX-treated (D D1) mouse, showing disorganized and shrunken seminiferous tubules, thickening of the tunica propria, vacuolization of the germ cells (red arrows) and diffused Leydig cells (yellow arrows).

However, RES+FLX treatment resulted in marked histopathological alterations in the seminiferous tubules in the testis, indicated by disorganized and shrunken seminiferous tubules, thickening of the tunica propria, and vacuolization of germ cells (Figure 3C, 3C1 ). Leydig cells also appeared diffused in the testes of such mice.

Daily sperm production

In comparison to the control, testicular daily sperm production was not significantly altered in mice administered with RES and FLX. However, a significant decrease was noticed in daily sperm production of the mice treated with RES+FLX, compared with the control and RES-exposed mice (Figure 4).

Effects of oral administration of RES, FLX and RES+FLX on the daily sperm production. Values represent the mean± SEM of six animals.  *indicates significant difference from control and RES-exposed groups at p < 0.05

Figure 4: Effects of oral administration of RES, FLX and RES+FLX on the daily sperm production. Values represent the mean± SEM of six animals. *indicates significant difference from control and RES-exposed groups at p < 0.05

Steroidogenic enzymes assay

Activities of testicular 3β-HSD and 17β-HSD enzymes remained unaltered in mice administered with RES and FLX, while significantly decreased in the RES+FLX-treated mice, compared with the control and RES-exposed mice (Figure 5).

Effects of oral administration of RES, FLX and RES+FLX on the activities of 3?-HSD and 17?-HSD in the testes. Values represent the  mean± SEM of six animals. * indicates significant difference from control and RES-exposed groups at p < 0.05.

Figure 5: Effects of oral administration of RES, FLX and RES+FLX on the activities of 3β-HSD and 17β-HSD in the testes. Values represent the mean± SEM of six animals. * indicates significant difference from control and RES-exposed groups at p < 0.05.

Estimations of cholesterol and hormones

No significant alterations were noticed in the levels of serum cholesterol, testosterone, estradiol and prolactin in RES and FLX-treated mice, compared with the control. By contrast, administration of RES+FLX caused significant increase in the levels of cholesterol and prolactin and significant decrease in the levels of testosterone and estradiol, compared with the control and RES-exposed mice (Figure 6). A significant increase was noticed in the level of plasma corticosterone in RES-exposed mice while remained unaltered in FLX-treated mice, compared with the control. However, administration of RES+FLX reduced the level of corticosterone significantly, compared with the RESexposed mice (Figure 6).

Effects of oral administration of RES, FLX and RES+FLX on the levels of serum cholesterol (A), testosterone (B), estradiol (C), plasma  corticosterone (D), and prolactin (E). Values represent the mean± SEM of six animals. * indicates significant difference from control and RESexposed groups at p < 0.05. ** indicate significant difference from control group at p < 0.05. *** indicate significant difference from RES-exposed  group at p < 0.05.

Figure 6: Effects of oral administration of RES, FLX and RES+FLX on the levels of serum cholesterol (A), testosterone (B), estradiol (C), plasma corticosterone (D), and prolactin (E). Values represent the mean± SEM of six animals. * indicates significant difference from control and RESexposed groups at p < 0.05. ** indicate significant difference from control group at p < 0.05. *** indicate significant difference from RES-exposed group at p < 0.05.

Testicular oxidative stress

Antioxidant enzymes: No significant alterations were noticed in the activities of SOD, CAT, and GPx, following RES and FLX administrations, compared with the control. However, significantly increased activity of SOD, and significantly decreased activities of CAT, and GPx were noted in the mice administered with RES+FLX, compared with the control and RES-exposed mice (Figure 7).

Effects of oral administration of RES, FLX and RES+FLX on the activities of SOD (A), CAT (B), and GPx (C) in the testes. Values represent  the mean± SEM of six animals. * indicates significant difference from control and RES-exposed groups at p < 0.05.

Figure 7: Effects of oral administration of RES, FLX and RES+FLX on the activities of SOD (A), CAT (B), and GPx (C) in the testes. Values represent the mean± SEM of six animals. * indicates significant difference from control and RES-exposed groups at p < 0.05.

Levels of LPO and nitrate: The levels of LPO and nitrate remained unaltered following RES and FLX administrations, compared with the control. However, RES+FLX administration increased the LPO level, indicated by a significant increase in the level of MDA, and significant decrease in the level of nitrate, compared with the control and RES-exposed mice (Figure 8).

Effects of oral administration of RES, FLX and RES+FLX on the levels of LPO (A) and nitrate (B) in the testes. Values represent the mean±  SEM of six animals. * indicates significant difference from control and RES-exposed groups at p < 0.05.

Figure 8: Effects of oral administration of RES, FLX and RES+FLX on the levels of LPO (A) and nitrate (B) in the testes. Values represent the mean± SEM of six animals. * indicates significant difference from control and RES-exposed groups at p < 0.05.

Flow cytometry analysis of germ cells apoptosis

The RES and FLX-treated mice did not affect the percentage of live, necrotic, early, and late apoptotic germ cells in the testis, compared with the control. However, in RES+FLX-treated mice, the percentage of necrotic, early, and late apoptotic cells was significantly increased while that of live cells decreased significantly, compared with the control and RES-exposed mice (Figure 9, Table 1).

Effects of oral administration of RES, FLX and RES+FLX on the activity of germ cells apoptosis in the testis (A). Graphical representations  (B) of six animals. Values represent the mean± SEM of six animals. * indicates significant difference from control and RES-exposed groups at  p < 0.05.

Figure 9: Effects of oral administration of RES, FLX and RES+FLX on the activity of germ cells apoptosis in the testis (A). Graphical representations (B) of six animals. Values represent the mean± SEM of six animals. * indicates significant difference from control and RES-exposed groups at p < 0.05.

Table 1: Percentage of live, apoptotic and necrotic cells

Quadrant

Stages

Control

RES

FLX

RES+FLX

Q1 ( UL )

Necrotic

( An- / PI + )

7.91%

9.60%

5.53%

11.49%

Q2 ( UR )

Late apoptotic ( An + / PI + )

1.10%

1.16%

1.69%

40.62%

Q3 ( LL )

Live cells ( An- / PI- )

86.65%

88.76%

86.05%

26.78%

Q4 ( LR )

Early apoptotic ( An + / PI- )

4.33%

0.49%

6.74%

21.11%

DISCUSSION

Male patients treated with fluoxetine (FLX) have reported experiencing sexual dysfunction [39,40], however, the target of this antidepressant on the male reproductive system is yet unknown [10]. Therefore, the present study is focused to evaluate the FLX-induced alterations in the testis of the normal and depressed mice by assessing its weight, histopathology, daily sperm production, oxidative stress, activities of the steroidogenic enzymes, apoptosis, and the levels of serum cholesterol, steroid hormones, and prolactin.

In the present study, significantly unaltered measured parameters indicate that FLX treatment in the normal mice does not cause adverse effects on the testis. Previous findings have also reported same results in the rat [22,23].

Significantly reduced body weights of the RES-exposed mice whereas no significant alterations in the body weights of the RES+FLX-treated mice, is consistent with the findings of previous authors reported in mice [41]. Reduction in food intake during depression is a contributing factor in decreased body weight [42]. According to Garattini et al. [43], there are several pharmacological agents which antagonize the action of 5HT at post-synaptic receptors resulting in increased food intake and thus the body weight. FLX is one of the drugs which acts as an antagonist at the post-synaptic 5HT receptor resulting in increased appetite and body weight. Since, food intake in RES+FLX treated mice has been found to be increased in one of our unpublished data, therefore, gain in the body weight in such mice appears to be due to increased consumption of food. Significantly reduced weight of the testis in the RES+FLXtreated mice is consistent with the findings of previous authors reported in rats [25]. Further, RES+FLX-induced regressive histopathological changes indicated by loss of germ cells in the shrunken and disorganized seminiferous tubules have also been reported in the testis of the rats exposed to FLX and other SSRIs such as sertraline, paroxetine, and escitalopram [10,12]. Reduced weight of the testis in RES+FLX-treated mice may be attributed to the depletion in the germ cell population [27,44].

Testicular daily sperm production is a quantitative index of spermatogenesis [45]. FLX has been reported to decrease the rate of spermatogenesis [46]. In our study, FLX treatment in depressed mice induced a significant decrease in daily sperm production per testis, thus indicating reduction in spermatogenesis, quantitatively. Consistent findings have been reported after treatment with several other SSRIs in mice [47] and rats [10,48], leading to impaired fertility [12].

For protection against the potentially harmful effects of reactive oxygen species (ROS), cells contain antioxidant enzymes such as superoxide dismutase (SOD), catalase (CAT), glutathione peroxidase (GPx), and glutathione reductase (GR), which inactivate ROS and neutralize their destructive effects. The synergistic effects of antioxidant enzymes play an essential role in protection against oxidative damage as a result, these antioxidant enzymes act as the cell’s defense system. However, the antioxidant defense mechanism may be altered by numerous pathological or environmental conditions, allowing a fraction of ROS to escape destruction and form more reactive hydroxyl radicals [49].

The results of the present study showed significant alterations in the activities of testicular antioxidant enzymes indicating the FLX-induced stress in the organ of the depressed mice. The lipid peroxidation (LPO) destroys the structure of the lipid matrix in the membranes of germ cells and spermatozoa resulting in impaired spermatogenesis. Increased MDA activity in the testis of the mice treated with RES+FLX indicates the damaged membranes of these cells by an elevated level of LPO. The antioxidant enzyme activity in the RES+FLX-treated mice indicated increased activity of SOD and decreased activities of CAT, GPx, and nitrate. According to Sakr et al. [24], FLX treatment at a dose of 10mg/kg/BW, for 28 days causes oxidative stress in the rat against chronic mild depression. Marked alterations noticed in the activities of SOD, CAT, nitrate, and GPx in the testis of RES+FLX-treated mice might have been initiating and propagating the oxidative damage. Further, this oxidative damage might have destroyed most of the testicular germ cells either to membrane damage or macromolecular degradation.

Many authors have explained the mechanism by which FLX induces testicular tissue toxicity during depression. Inkielewicz?St?pniak [50], showed that FLX induces significant increase in the level of LPO to release free-radical, which causes membrane disorganization and subsequent decrease in membrane fluidity, and finally extensive tissue damage in the depressed rat. According to Atli et al. [51], SSRIs-induced overproduction of reactive oxygen species causes oxidative stress leading to testicular apoptosis in the depressed mice. Soliman et al. [52] have also reported that FLX treatment at the dose of 10mg/kg/BW, for 28 days causes germ cell apoptosis in the depressed rat, which probably affects the reproductive functions. Breast cancer cell line stained with Annexin-V-FITC/ PI is used to measure the apoptotic rate by flow cytometry in order to determine whether the decrease in live cells is related to the apoptosis, caused by antidepressants [53,64]. Annexin-V has a high affinity with phosphatidylserine in the cell membrane, which can be used as an indicator of early apoptotic cells, and PI can stain late apoptotic and necrotic cells only because it does not penetrate the live or dead cells [54]. In the present study, flow cytometry analysis of testicular germ cells by using Annexin V-FITC/PI dual stain showed a significantly decreased percentage of live cells while significantly increased percentage of early, and late apoptotic cells in the testis of the RES+FLXtreated mice. Necrotic cell death i.e., cells stained with PI only, showed a marked increase in the testis of such mice. Sertraline, another antidepressant, is also reported to cause cell death by using the same stain [55].

Two major steroidogenic enzymes like 3β-HSD and 17β-HSD play an important role in testicular steroidogenesis [30,56] Significant reductions in the levels of serum testosterone and estradiol noticed in RES+FLX-treated mice are thus attributed to significant reductions in the activities of these two enzymes. Previous studies have also reported disrupted steroidogenic enzyme activity resulting in altered testosterone biosynthesis in FLX-treated depressed rats [48]. Increased level of serum cholesterol, found in our study further indicates the possibility of interrupted testicular steroidogenesis. Since the role of testosterone is well-known in the maintenance of spermatogenesis [57], hence the suppressed spermatogenic activity due to reduced level of serum testosterone in the RES+FLX-treated mice cannot be ruled out.

Estradiol, the predominant form of estrogen, plays a direct role in modulating spermatogenesis [58]. Significantly reduced level of serum estradiol found in RES+FLX-treated mice may be the contributing factor in causing suppression of spermatogenesis. Paroxetine, another SSRI, also causes spermatogenic suppression by inducing significant reduction in the level of estradiol in the depressed rat [59].

Prolactin (PRL) is involved in control of male reproduction as its receptors are present on the testis and accessory sex organs [60]. PRL indirectly influences the male reproduction by regulating the gonadotropin release and directly increases the concentration of LH receptors on the Leydig cell membranes [61]. Significantly increased level of PRL (hyperprolactinemia) in RES+FLX- treated mice is consistent with the finding reported in the rat [62]. Paroxetine and other SSRIs have also been reported to cause hyperprolactinemia in the rat [17,59]. Hyperprolactinemia inhibits the pulsatile release of LH, FSH, and testosterone [61] resulting in marked effects on spermatogenesis ranging from alteration in sperm quality to complete spermatogenic arrest [62,63]. Thus, the spermatogenic arrest noticed in our study appears to be due to hyperprolactinemia also.

CONCLUSION

The findings of the present study thus indicate that the antidepressant, fluoxetine, caused adverse effects only in the testis of the depressed mice by altering all the measured parameters in comparison to the fluoxetine treatment in the normal mice.

AUTHORS CONTRIBUTIONS STATEMENT

Sandeep Kumar: Designed, and conducted the experiment, and drafted the manuscript. Anima Tripathi: Executed the experiment, and interpreted the data. Poonam Singh: Monitored the experimental work, analyzed the data, and edited the manuscript critically. Finally, all the authors discussed the results and approved the final version of the manuscript.

ACKNOWLEDGMENT

The authors are thankful to IoE, Banaras Hindu University, Varanasi, and University Grant Commission, New Delhi, for providing financial assistance in the form of research incentive credit passbook (CPB no.- 0370) and Junior Research Fellowship (UGC-Ref. no.- 191620013493) for this study.

REFERENCES
  1. Goodwin GM. Depression and associated physical diseases and symptoms. Dialogues Clin Neurosci. 2022; 8 : 259-265.
  2. Qiao Y, Liu S, Li G, Lu Y, Wu Y, Ding Y, et al. Role of depressive symptoms in cardiometabolic diseases and subsequent transitions to all-cause mortality: an application of multistate models in a prospective cohort study. Stroke Vasc Neurol. 2021; 6: 511-518.
  3. Beeder LA, Samplaski MK. Effect of antidepressant medications on semen parameters and male fertility. Int J Urol. 2020; 27: 39–46.
  4. Murray JB. Cardiac disorders and antidepressant medications. J Psychol. 2000; 134: 162-168.
  5. Mihanovi? M, Restek-Petrovi? B, Bodor D, Molnar S, Oreškovi? A, Prese?ki P. Suicidality and side effects of antidepressants and antipsychotics. Psychiatr Danub. 2010; 22: 79-84.
  6. Milan R, Vasiliadis H. The association between side effects and adherence to antidepressants among primary care community- dwelling older adults. Aging Ment Health. 2020; 24: 1229-1236.
  7. Motwani S, Hukumchand A, Karia S, Sonavane S, Desousa A. Sexual Dysfunction with Antidepressants: A Clinical Review. Indian J Priv Psychiatry. 2023; 17: 78-82.
  8. Rothmore J. Antidepressant-induced sexual dysfunction. Medical J Aust. 2020; 212: 329-334.
  9. Solomon R, Shvartsur R, Azab AN. The association between psychotropic drug use and fertility problems among male subjects. J Psychiatr Pract. 2019; 25: 22-33.
  10. Câmara ML, Almeida TB, de Santi F, Rodrigues BM, Cerri PS, Beltrame FL, et al. Fluoxetine-induced androgenic failure impairs the seminiferous tubules integrity and increases ubiquitin carboxyl- terminal hydrolase L1 (UCHL1):Possible androgenic control of UCHL1 in germ cell death? Biomed Pharmacother. 2019; 109: 1126– 1139.
  11. Riggin L, Koren G. Effects of selective serotonin reuptake inhibitors on sperm and male fertility. Can Fam Physician. 2015; 61: 529-530.
  12. Erdemir F, Atilgan D, Firat F, Markoc F, Parlaktas BS, Sogut E. The effect of Sertraline, Paroxetine, Fluoxetine and Escitalopram on testicular tissue and oxidative stress parameters in rats. Int Braz J Urol. 2014; 40: 100–108.
  13. Moradi M, Hashemian MA, Douhandeh E, Peysokhan M, Hashemian AH, Faramarzi A. The protective role of melatonin in citalopram- induced reproductive toxicity via modulating nitro-oxidative stress and apoptosis in male mice. Reprod Toxicol. 2023; 118: 108368.
  14. Rossi A, Barraco A, Donda P. Fluoxetine: a review on evidence-based medicine. Ann Gen Hosp Psychiatry. 2004; 3: 1-8.
  15. Aranth J, Lindberg C. Bleeding, a side effect of fluoxetine. Am J Psychiatry. 1992; 149: 412.
  16. Bass SP, Colebatch HJ. Fluoxetine-induced lung damage. Med J Aust. 1992; 156: 364-365.
  17. Lyons DJ, Ammari R, Hellysaz A, Broberger C. Serotonin and antidepressant SSRIs inhibit rat neuroendocrine dopamine neurons: parallel actions in the lactotrophic axis. J Neurosci. 2016; 36: 7392- 7406.
  18. Khalaf MT, Althanoon ZA. Drug-Induced Nephrotoxicity: Narrative Review. Iraqi J Pharm. 2022; 19: 80-89.
  19. Ungvari Z, Tarantini S, Yabluchanskiy A, Csiszar A. Potential adverse cardiovascular effects of treatment with fluoxetine and other selective serotonin reuptake inhibitors (SSRIs) in patients with geriatric depression: implications for atherogenesis and cerebromicrovascular dysregulation. Front Genet. 2019; 10: 898.
  20. Hajizadeh Z, Mehranjani MS, Najafi G, Shariatzadeh SMA, Jalali AS. Black grape seed extract modulates fluoxetine-induced oxidative stress and cytotoxicity in the mouse testis. Jundishapur J Nat Pharm Prod. 2016; 11: e27512.
  21. Elsedawi BF, Hussein Y, Sabry MA, Aziz JA. Effect of fluoxetine on the testes of adult albino rats and the possible protective role of curcumin. Anat Sci Int. 2021; 96: 187-196.
  22. Gouvêa TS, Morimoto HK, de Faria MJS, Moreira EG, Gerardin DCC. Maternal exposure to the antidepressant fluoxetine impairs sexual motivation in adult male mice. Pharmacol Biochem Behav. 2008; 90: 416-419.

  23. Madlool ZS, Faris SA, Hussein AM. Effect of sertraline and fluoxetine on the reproductive abilities of male rats Rattus norvegicus. UTJsci. 2019; 7: 26-32.
  24. Sakr HF, Abbas AM, Elsamanoudy AZ, Ghoneim FM. Effect of fluoxetine and resveratrol on testicular functions and oxidative stress in a rat model of chronic mild stress-induced depression. J Physiol Pharmacol. 2015; 66: 515–527.
  25. Silva JVA, Lins AMJAA, Amorim J, Pinto CF, Deiró TBJ, Oliveira JRM, et al . Neonatal administration of fluoxetine decreased final sertoli cell number in Wistar rats. Int J Morphol. 2008; 26: 51-62.
  26. Herbet M, Gawro?ska-Grzywacz M, Jagie??o-Wójtowicz E. Evaluation of selected biochemical parameters of oxidative stress in rats pretreated with rosuvastatin and fluoxetine. Acta Pol Pharma. 2015; 72: 261–265.
  27. Monteiro Filho WO, Torres SMD, Amorim MJAAL, Andrade AJM, Morais RND, Tenorio BM, et al. Fluoxetine induces changes in the testicle and testosterone in adult male rats exposed via placenta and lactation. Syst Biol Reprod Med. 2014; 60: 274-281.
  28. Meistrich ML, van Beek MEB. Spermatogonial stem cells: Assessing their survival and ability to produce differentiated cells. Chapin RE, Heindel J. editors. In: Methods in Toxicology. 3A. New York. Academic Press. 1993; 106–123.
  29. Izawa H, Kohara M, Watanabe G, Taya K, Sagai M. Effects of diesel exhaust particles on the male reproductive system in strains of mice with different aryl hydrocarbon receptor responsiveness. J Reprod Develop. 2007; 53: 1191-1197.
  30. Mishra RK, Singh SK. Safety assessment of Syzygium aromaticum flower bud (clove) extract with respect to testicular function in mice. Food Chem Toxicol. 2008; 46: 3333-3338.
  31. Vaithinathan S, Saradha B, Mathur PP. Methoxychlor-induced alteration in the levels of HSP70 and clusterin is accompanied with oxidative stress in adult rat testis. J Biochem Mol Toxicol. 2009; 23: 29-35.
  32. Lowry O, Rosebrough N, Farr A, Randall R. Protein measurement with the Folin phenol reagent. J Biol Chem. 1951; 193: 265-75.
  33. Das K, Samanta L, Chainy GBN. A modified spectrophotometric assay of superoxide dismutase using nitrite formation by superoxide radicals. Int J Biochem Biophys. 2000; 37: 201-204.
  34. Aebi H. Catalase. In: Meth. Enzym. Anal. 2. Academic press .1974; 673-684.
  35. Flohé L, Günzler WA. Assays of glutathione peroxidase. In: Methods Enzymol. Academic Press. 1984; 105: 114-120.
  36. Ohkawa H, Ohishi N, Yagi K. Assay for lipid peroxides in animal tissues by thiobarbituric acid reaction. Anal Biochem. 1979; 95: 351-358.
  37. Miranda KM, Espey MG, Wink DA. A rapid, simple spectrophotometric method for simultaneous detection of nitrate and nitrite. Nitric oxide. 2001; 5: 62-71.
  38. Bartos J, Pesez M. Colorimetric and fluorimetric determination of aldehydes and ketones. Pure Appl Chem. 1979; 51: 1803-1814.
  39. Giuliano F, Hellstrom WJG. The pharmacological treatment of premature ejaculation. British J Urol. 2008; 102: 668–675.
  40. Montejo-Gonzalez AL, Llorca G, Izquierdo JA, Ledesma A, Bouso OM, Calcedo A, et al . SSRI-induced sexual dysfunction: fluoxetine, paroxetine, sertraline, and fluvoxamine in a prospective, multicenter, and descriptive clinical study of 344 patients. J Sex Marital Ther. 1997; 23: 176-194.
  41. Park BK, Kim YR, Kim YH, Yang C, Seo CS, Jung IC, et al. Antidepressant-like effects of gyejibokryeong-hwan in a mouse model of reserpine-induced depression. BioMed Res Int. 2018; 2018.
  42. Tang M, Ai Y, Zhu S, Song N, Xu X, Liang L, et al. Antidepressant-like effect of essential oils from Citrus reticulata in reserpine-induced depressive mouse. Nat Prod Commun. 2022; 17.
  43. Garattini S. An update on the pharmacology of serotoninergic appetite-suppressive drugs. Int J Obes Relat Metab Disord. 1992; 16: S41-8.
  44. D’souza UJ, Narayana K. Induction of seminiferous tubular atrophy by single dose of 5-fluorouracil (5-FU) in Wistar rats. Indian J Physiol Pharmacol. 2001; 45: 87-94.
  45. Amann RP. The cycle of the seminiferous epithelium in humans: a need to revisit? J Androl. 2008; 29: 469-487.
  46. Mazzotta P, Koren G. Nonsedating antihistamines in pregnancy. Can Fam Physician. 1997; 43: 1509–1511.
  47. Jahromy MH, Moghadam AA. Effects of sertraline on sperm motility, number and viability and its relation to blood levels of testosterone, FSH and LH in adult male mice. Adv Sex Med. 2014; 4: 17-24.
  48. Munkboel CH, Larsen LW, Weisser JJ, Møbjerg Kristensen D, StyrishaveB. Sertraline suppresses testis and adrenal steroid production and steroidogenic gene expression while increasing LH in plasma of male rats resulting in compensatory hypogonadism. Toxicol Sci. 2018; 163: 609-619.
  49. Nita M, Grzybowski A. The role of the reactive oxygen species and oxidative stress in the pathomechanism of the age-related ocular diseases and other pathologies of the anterior and posterior eye segments in adults. Oxid Med Cell Longev. 2016.
  50. Inkielewicz-St?pniak I. Impact of fluoxetine on liver damage in rats. Pharmacol Rep. 2011; 63: 441-447.
  51. Atli O, Baysal M, Aydogan-Kilic G, Kilic V, Ucarcan S, Karaduman B, et al. Sertraline-induced reproductive toxicity in male rats: evaluation of possible underlying mechanisms. Asian J Androl. 2017; 19: 672- 679.
  52. Soliman ME, Mahmoud BL, Kefafy MA, Yassien RI, El-Roghy ES. Effect of antidepressant drug (fluoxetine) on the testes of adult male albino rats and the possible protective role of omega-3. Menoufia Med J. 2017; 30: 1135-1142.
  53. Wahab AT, Fayyaz S, Irshad R, Siddiqui RA, Rahman AU, Choudhary MI. Antidepressant Sertraline Hydrochloride Inhibits the Growth of HER2+ AU565 Breast Cancer Cell Line through Induction of Apoptosis, and Arrest of Cell Cycle. BioRxiv. 2021.
  54. Rieger AM, Nelson KL, Konowalchuk JD, Barreda DR. Modified annexin V/propidium iodide apoptosis assay for accurate assessment of cell death. J Vis Exp. 2011; 50: e2597-e2601.
  55. Chinnapaka S, Bakthavachalam V, Munirathinam G. Repurposing antidepressant sertraline as a pharmacological drug to target prostate cancer stem cells: dual activation of apoptosis and autophagy signalling by deregulating redox balance. Am J Cancer Res. 2020; 10: 2043-2065.
  56. Jerome F, Strauss R, Barbieri L. The synthesis and metabolism of steroid hormones. In: Yen Jaffe’s Reprod. Endocrinol. 2014; 7: 66-92.
  57. Rahali D, Dallagi Y, Hupkens E, Veegh G, Mc Entee K, Asmi ME, et al. Spermatogenesis and steroidogenesis disruption in a model of metabolic syndrome rats. Arch Physiol Biochem. 2023; 129: 222-232.
  58. Schulster M, Bernie AM, Ramasamy R. The role of estradiol in male reproductive function. Asian J Androl. 2016; 18: 435-440.
  59. EL-Gaafarawi I, Hassan M, Fouad G, El-Komey F. Toxic effects of paroxetine on sexual and reproductive functions of rats. Egyptian J Hosp Med. 2005; 21: 16-32.
  60. Hair WM, Gubbay O, Jabbour HN, Lincoln GA. Prolactin receptor expression in human testis and accessory tissues: localization and function. Mol Hum Reprod. 2002; 8: 606-611.
  61. De Rosa M, Zarrilli S, Di Sarno A, Milano N, Gaccione M, Boggia B, et al. Hyperprolactinemia in men: clinical and biochemical features and response to treatment . Endocrine. 2003; 20: 75-82.
  62. Sengupta P, Sharma A, Mazumdar G, Banerjee I, Tripathi SK, Bagchi C, et al . The possible role of fluoxetine in adenomyosis: an animal experiment with clinical correlations. J Clin Diagn Res. 2013; 7: 1530- 1534.
  63. Tsutsumi R, Webster NJ. GnRH pulsatility, the pituitary response and reproductive dysfunction. Endocr J. 2009; 56: 729-737.
  64. Logue SE, Elgendy M, Martin SJ. Expression, purification and use of recombinant annexin V for the detection of apoptotic cells. Nat Protoc. 2009; 4: 1383-1395.

Kumar S, Tripathi A, Singh P (2024) Antidepressant-Induced Testicular Alterations in the Normal and Depressed Mice. JSM Sexual Med 8(1): 1126.

Received : 20 Dec 2023
Accepted : 24 Jan 2024
Published : 25 Jan 2024
Journals
Annals of Otolaryngology and Rhinology
ISSN : 2379-948X
Launched : 2014
JSM Schizophrenia
Launched : 2016
Journal of Nausea
Launched : 2020
JSM Internal Medicine
Launched : 2016
JSM Hepatitis
Launched : 2016
JSM Oro Facial Surgeries
ISSN : 2578-3211
Launched : 2016
Journal of Human Nutrition and Food Science
ISSN : 2333-6706
Launched : 2013
JSM Regenerative Medicine and Bioengineering
ISSN : 2379-0490
Launched : 2013
JSM Spine
ISSN : 2578-3181
Launched : 2016
Archives of Palliative Care
ISSN : 2573-1165
Launched : 2016
JSM Nutritional Disorders
ISSN : 2578-3203
Launched : 2017
Annals of Neurodegenerative Disorders
ISSN : 2476-2032
Launched : 2016
Journal of Fever
ISSN : 2641-7782
Launched : 2017
JSM Bone Marrow Research
ISSN : 2578-3351
Launched : 2016
JSM Mathematics and Statistics
ISSN : 2578-3173
Launched : 2014
Journal of Autoimmunity and Research
ISSN : 2573-1173
Launched : 2014
JSM Arthritis
ISSN : 2475-9155
Launched : 2016
JSM Head and Neck Cancer-Cases and Reviews
ISSN : 2573-1610
Launched : 2016
JSM General Surgery Cases and Images
ISSN : 2573-1564
Launched : 2016
JSM Anatomy and Physiology
ISSN : 2573-1262
Launched : 2016
JSM Dental Surgery
ISSN : 2573-1548
Launched : 2016
Annals of Emergency Surgery
ISSN : 2573-1017
Launched : 2016
Annals of Mens Health and Wellness
ISSN : 2641-7707
Launched : 2017
Journal of Preventive Medicine and Health Care
ISSN : 2576-0084
Launched : 2018
Journal of Chronic Diseases and Management
ISSN : 2573-1300
Launched : 2016
Annals of Vaccines and Immunization
ISSN : 2378-9379
Launched : 2014
JSM Heart Surgery Cases and Images
ISSN : 2578-3157
Launched : 2016
Annals of Reproductive Medicine and Treatment
ISSN : 2573-1092
Launched : 2016
JSM Brain Science
ISSN : 2573-1289
Launched : 2016
JSM Biomarkers
ISSN : 2578-3815
Launched : 2014
JSM Biology
ISSN : 2475-9392
Launched : 2016
Archives of Stem Cell and Research
ISSN : 2578-3580
Launched : 2014
Annals of Clinical and Medical Microbiology
ISSN : 2578-3629
Launched : 2014
JSM Pediatric Surgery
ISSN : 2578-3149
Launched : 2017
Journal of Memory Disorder and Rehabilitation
ISSN : 2578-319X
Launched : 2016
JSM Tropical Medicine and Research
ISSN : 2578-3165
Launched : 2016
JSM Head and Face Medicine
ISSN : 2578-3793
Launched : 2016
JSM Cardiothoracic Surgery
ISSN : 2573-1297
Launched : 2016
JSM Bone and Joint Diseases
ISSN : 2578-3351
Launched : 2017
JSM Bioavailability and Bioequivalence
ISSN : 2641-7812
Launched : 2017
JSM Atherosclerosis
ISSN : 2573-1270
Launched : 2016
Journal of Genitourinary Disorders
ISSN : 2641-7790
Launched : 2017
Journal of Fractures and Sprains
ISSN : 2578-3831
Launched : 2016
Journal of Autism and Epilepsy
ISSN : 2641-7774
Launched : 2016
Annals of Marine Biology and Research
ISSN : 2573-105X
Launched : 2014
JSM Health Education & Primary Health Care
ISSN : 2578-3777
Launched : 2016
JSM Communication Disorders
ISSN : 2578-3807
Launched : 2016
Annals of Musculoskeletal Disorders
ISSN : 2578-3599
Launched : 2016
Annals of Virology and Research
ISSN : 2573-1122
Launched : 2014
JSM Renal Medicine
ISSN : 2573-1637
Launched : 2016
Journal of Muscle Health
ISSN : 2578-3823
Launched : 2016
JSM Genetics and Genomics
ISSN : 2334-1823
Launched : 2013
JSM Anxiety and Depression
ISSN : 2475-9139
Launched : 2016
Clinical Journal of Heart Diseases
ISSN : 2641-7766
Launched : 2016
Annals of Medicinal Chemistry and Research
ISSN : 2378-9336
Launched : 2014
JSM Pain and Management
ISSN : 2578-3378
Launched : 2016
JSM Women's Health
ISSN : 2578-3696
Launched : 2016
Clinical Research in HIV or AIDS
ISSN : 2374-0094
Launched : 2013
Journal of Endocrinology, Diabetes and Obesity
ISSN : 2333-6692
Launched : 2013
Journal of Substance Abuse and Alcoholism
ISSN : 2373-9363
Launched : 2013
JSM Neurosurgery and Spine
ISSN : 2373-9479
Launched : 2013
Journal of Liver and Clinical Research
ISSN : 2379-0830
Launched : 2014
Journal of Drug Design and Research
ISSN : 2379-089X
Launched : 2014
JSM Clinical Oncology and Research
ISSN : 2373-938X
Launched : 2013
JSM Bioinformatics, Genomics and Proteomics
ISSN : 2576-1102
Launched : 2014
JSM Chemistry
ISSN : 2334-1831
Launched : 2013
Journal of Trauma and Care
ISSN : 2573-1246
Launched : 2014
JSM Surgical Oncology and Research
ISSN : 2578-3688
Launched : 2016
Annals of Food Processing and Preservation
ISSN : 2573-1033
Launched : 2016
Journal of Radiology and Radiation Therapy
ISSN : 2333-7095
Launched : 2013
JSM Physical Medicine and Rehabilitation
ISSN : 2578-3572
Launched : 2016
Annals of Clinical Pathology
ISSN : 2373-9282
Launched : 2013
Annals of Cardiovascular Diseases
ISSN : 2641-7731
Launched : 2016
Journal of Behavior
ISSN : 2576-0076
Launched : 2016
Annals of Clinical and Experimental Metabolism
ISSN : 2572-2492
Launched : 2016
Clinical Research in Infectious Diseases
ISSN : 2379-0636
Launched : 2013
JSM Microbiology
ISSN : 2333-6455
Launched : 2013
Journal of Urology and Research
ISSN : 2379-951X
Launched : 2014
Journal of Family Medicine and Community Health
ISSN : 2379-0547
Launched : 2013
Annals of Pregnancy and Care
ISSN : 2578-336X
Launched : 2017
JSM Cell and Developmental Biology
ISSN : 2379-061X
Launched : 2013
Annals of Aquaculture and Research
ISSN : 2379-0881
Launched : 2014
Clinical Research in Pulmonology
ISSN : 2333-6625
Launched : 2013
Journal of Immunology and Clinical Research
ISSN : 2333-6714
Launched : 2013
Annals of Forensic Research and Analysis
ISSN : 2378-9476
Launched : 2014
JSM Biochemistry and Molecular Biology
ISSN : 2333-7109
Launched : 2013
Annals of Breast Cancer Research
ISSN : 2641-7685
Launched : 2016
Annals of Gerontology and Geriatric Research
ISSN : 2378-9409
Launched : 2014
Journal of Sleep Medicine and Disorders
ISSN : 2379-0822
Launched : 2014
JSM Burns and Trauma
ISSN : 2475-9406
Launched : 2016
Chemical Engineering and Process Techniques
ISSN : 2333-6633
Launched : 2013
Annals of Clinical Cytology and Pathology
ISSN : 2475-9430
Launched : 2014
JSM Allergy and Asthma
ISSN : 2573-1254
Launched : 2016
Journal of Neurological Disorders and Stroke
ISSN : 2334-2307
Launched : 2013
Annals of Sports Medicine and Research
ISSN : 2379-0571
Launched : 2014
Annals of Vascular Medicine and Research
ISSN : 2378-9344
Launched : 2014
JSM Biotechnology and Biomedical Engineering
ISSN : 2333-7117
Launched : 2013
Journal of Hematology and Transfusion
ISSN : 2333-6684
Launched : 2013
JSM Environmental Science and Ecology
ISSN : 2333-7141
Launched : 2013
Journal of Cardiology and Clinical Research
ISSN : 2333-6676
Launched : 2013
JSM Nanotechnology and Nanomedicine
ISSN : 2334-1815
Launched : 2013
Journal of Ear, Nose and Throat Disorders
ISSN : 2475-9473
Launched : 2016
JSM Ophthalmology
ISSN : 2333-6447
Launched : 2013
Journal of Pharmacology and Clinical Toxicology
ISSN : 2333-7079
Launched : 2013
Annals of Psychiatry and Mental Health
ISSN : 2374-0124
Launched : 2013
Medical Journal of Obstetrics and Gynecology
ISSN : 2333-6439
Launched : 2013
Annals of Pediatrics and Child Health
ISSN : 2373-9312
Launched : 2013
JSM Clinical Pharmaceutics
ISSN : 2379-9498
Launched : 2014
JSM Foot and Ankle
ISSN : 2475-9112
Launched : 2016
JSM Alzheimer's Disease and Related Dementia
ISSN : 2378-9565
Launched : 2014
Journal of Addiction Medicine and Therapy
ISSN : 2333-665X
Launched : 2013
Journal of Veterinary Medicine and Research
ISSN : 2378-931X
Launched : 2013
Annals of Public Health and Research
ISSN : 2378-9328
Launched : 2014
Annals of Orthopedics and Rheumatology
ISSN : 2373-9290
Launched : 2013
Journal of Clinical Nephrology and Research
ISSN : 2379-0652
Launched : 2014
Annals of Community Medicine and Practice
ISSN : 2475-9465
Launched : 2014
Annals of Biometrics and Biostatistics
ISSN : 2374-0116
Launched : 2013
JSM Clinical Case Reports
ISSN : 2373-9819
Launched : 2013
Journal of Cancer Biology and Research
ISSN : 2373-9436
Launched : 2013
Journal of Surgery and Transplantation Science
ISSN : 2379-0911
Launched : 2013
Journal of Dermatology and Clinical Research
ISSN : 2373-9371
Launched : 2013
JSM Gastroenterology and Hepatology
ISSN : 2373-9487
Launched : 2013
Annals of Nursing and Practice
ISSN : 2379-9501
Launched : 2014
JSM Dentistry
ISSN : 2333-7133
Launched : 2013
Author Information X