Loading

JSM Sexual Medicine

Protective Effect of Urtica urens L. against Osteoporosis and Hepatotoxicity induced by Imidacloprid in Rats

Review Article | Open Access | Volume 7 | Issue 3

  • 1. Laboratory of Histology Embryology and Reproductive Biology, University of Sfax, Tunisia
  • 2. Laboratory of Sciences Material and Environment, Faculty of Sciences of Sfax, Tunisia
  • 3. Laboratory of Pharmacology, University of Sfax, Tunisia
+ Show More - Show Less
Corresponding Authors
Hafed El Feki, Laboratory of Sciences Material and Environment, Faculty of Sciences of Sfax, B.P. 1171, 3000, Sfax, Tunisia
Abstract

Aims: Imidacloprid (IMI) has been known to cause osteoporosis and hepatotoxicity. Some reports claim that Urtica urens L. (UU) can reduce toxicity. The present study was undertaken to evaluate the protective effect of UU against this toxicity.

Methods: Rats were divided into control group, 3 groups treated with IMI at 50, 200 or 300 mg/kg/day and three groups injected with IMI (50, 200 or 300 mg/kg/day) + 100 mg/kg/day of UU, for 60 days. Urine and blood samples were collected for dosage of biochemical levels. Livers were removed for oxidative stress and histological examination. The effects of IMI and UU on the bone were analyzed using physicochemical techniques: Scanning electron microscopy (SEM), dispersive X-ray spectroscopic (EDX) and biochemical analyses (Calcium and Phosphorus).

Results: IMI caused an acute renal and liver injury, increased the biochemical and tissular levels of MDA, and decreased the levels of antioxidant enzyme activities. UU injection improved the histological and all biochemical parameters. Results show that IMI caused osteoporosis in female rats.

Conclusions: IMI induced osteoporosis and an acute liver injury accompanied with disturbance of oxidant status. UU injection provided a significant protection thanks to antioxidant properties.

Keywords

Imidacloprid,  Urtica urens, Liver,  Bone,  Oxidative stress

CITATION

Mzid M, El Feki H , Sahnoun Z, Rebai T (2023) Protective Effect of Urtica urens L. against Osteoporosis and Hepatotoxicity induced by Imidacloprid in Rats. JSM Sexual Med 7(3): 1114.

INDRODUCTION

Imidacloprid, 1[(6-chloro-3-pyridinyl) methyl]-N-nitro2- imidazolidinimine, is a neonicotinoid insecticide widely used to fight pests of cereals, fruits, and vegetables due to its low soil persistence and high insecticidal activity at a low application rate [1]. Imidacloprid (IMI) can exaggerate the toxic properties and adverse effects which may be fatal for human and animal health [2,3]. Several studies reported that IMI is causing severe hepatotoxicity, nephrotoxicity, male infertility, and neurological disorders in mice [4,5].

The liver cytochrome P450 (CYPs) is the major enzymes involved in drug metabolism, accounting for ∼75% of the total metabolism [6] and activation or detoxification of neonicotinoids [7]. Studies of the metabolites of neonicotinoids have shown that they can be bioactive and act as nAChR agonists or cause secondary toxicity in mammals [8]. Nicotinoids can be formed as metabolites of neonicotinoids with greater selectivity for vertebrate nAChRs than to insect nAChRs [7,8]. Hepatotoxicity of IMI has been reported in mice [9,10]. Imidacloprid act as agonists at the insect nicotinic acetylcholine receptor (nAChR) [7]. It is the fastest growing in sales because of its high selectivity for insect nicotinic acetylcholine receptors [9]. Buckingham et al. showed that imidacloprid affects both AChRs sensitive to -BTX and -BTXinsensitive nicotinic acetylcholine receptors (nAChRs) can act on pharmacologically diverse nAChR subtypes [11]. Oral LD50 of imidacloprid is 131 mg/kg in mice. It is rapidly absorbed from the gastrointestinal tract and eliminated via urine and feces [12].

Urtica urens L. (UU) is a member of Family Urticaceae which includes about 48 genera and 1050 tropical and warm temperate species [13]. It’s an annual herbaceous shrub, native of Europe and has become naturalized throughout North America, Africa, Asia, Australia and South America [14]. This plant is a rich source of phenolic compounds [15]. It is widely used as folk medicine [16] and exhibited anti-nociceptive [17], antioxidant [18] and hepatoprotective effects [19]. Beside, afore mentioned data, no previous investigations of Protective effect of UU against hepatotoxicity and osteoporosis were carried out in Tunisia.

Therefore, the present study was undertaken to examine possible effects of IMI on liver and bone by using biochemical and histological techniques in female rats.

The present study aimed also to investigate the preventive in vivo effects of UU EtOH extract on the bone and liver of exposed female rats to IMI

MATERIALS AND METHODS

Chemicals

Confidor® 200 OD, 1[(6-chloro-3-pyridinyl) methyl]-N-nitro2-imidazolidinimine, [CAS No. 138261-41-3], is an insecticide manufactured by Bayer Crop Science (Lyon, France) having as an active ingredient IMI concentration 200 g/l. It was obtained from an agricultural product company in Sfax, Tunisia.

Plant extraction and analysis

Plant extraction. Aerial parts of Urtica urens were collected from Sfax, Tunisia, and identified by Professor Mohamed Chaieb from the Faculty of Sciences of Sfax (Laboratory of Biology and Vegetable Ecophysiology, Faculty of Science, 3038 Sfax, Tunisia). The voucher sample (Pharm-PCT-2562) was deposited at The National Botanical Research Institute Tunisia (INRAT). It was washed with distilled water and then dried at room temperature for 2 days, afterwards, crushed, milled in a knife mill to obtain 50g of Urtica urens powder and subsequently stored in glass bottles at room temperature.

The powder was extracted by using maceration with ethanol. 50g of the powder was macerated in 1 L ethanol (volume fraction is 70%) for 3 days. Later, the solution was filtrated and concentrated in a rotary evaporator at 50°C.

Gas chromatography–mass spectrometry (GC–MS). GC–MS analysis of UU EtOH extract was performed using the equipment Thermo GC-Trace Ultra Version: 5.0, Thermo MS DSQ II. The equipment has a DB 35–MS Capillary Standard non-polar column with dimensions of 30 m × 0.25 mm, film thickness 0.25 µm. The carrier gas used is Helium with at low of 1.0 ml/min. The injector was operated at 250°C and the oven temperature was programmed as follows: 60°C for 15 min, then gradually increased to 280°C at 3 min. The identification of components was based on Willey and NIST libraries as well as comparison of their retention indices. The constituents were identified after comparison with those available in the computer library (NIST and Willey) attached to the GC–MS instrument.

Animals

Sixty-four mature female rats (10–12 weeks old), weighing about 100 g, were purchased from SIPHAT Institute of Tunis. Animals were bred and kept in our animal facility under strict hygienic conditions and were free of major pathogens. Local vivarium conditions were controlled: temperature (24°C), humidity (30–60%), and light (12 h: 12 h light dark cycle). Animals were provided standard laboratory diet (MEDIMIX, Sfax, Tunisia). The experimental protocols were conducted in accordance with the guide for the care and use of laboratory animals issued by the University of Sfax, Tunisia, and approved by the Committee of Animal Ethics (Protocol no. 94-1939). The animals were kept in separate cages to avoid licking or biting of inflammatory areas by other animals.

Experimental design

Adult females rats were divided into 8 groups (n = 8) as follows:

Group 1: the controls received 0 mg/kg BW of IMI;

Group 2: received 50 mg/kg BW of IMI;

Group 3: received 200 mg/kg BW of IMI;

Group 4: received 300 mg/kg BW of IMI;

Group 5: received 100 mg/kg BW of UU;

Group 6: as group 2 and co-treated with 100 mg/kg BW of UU;

Group 7: as group 3 and co-treated with 100 mg/kg BW of UU;

Group 8: as group 4 and co-treated with 100 mg/kg BW of UU.

The period of treatment was 2 months according to Bouafou et al., [20]. The IMI was given by oral gavage. These doses (50, 200 or 300 mg/kg) were chosen according to the works of Eiben and Kaliner [21].

The UU were given intraperionetally at 100 mg/ kg BW [22]. Signs of toxicity and mortality. Signs of toxicity such as salivation, diarrhea, paralysis and death were observed once daily throughout the period of exposure.

Preparation of urine, blood and organ samples

- After weighing the animals, they were sacrificed under anesthesia by intramuscular injection with a solution of ketamine 50 mg/ml (200 µl) and a solution of midazolam 5 mg/ml (20 µl) and ether to avoid discharge of hyperglycemic hormones (catecholamines and glucocorticoids). For each rat, blood volume was collected the day of sacrifice by slow aspiration through a syringe placed in the heart (ventricle) of the previously anesthetized animals. The blood obtained was placed in heparinized tubes for biochemical analyses. The samples were centrifuged for 15 min at 4000 rev/min to isolate the plasma erythrocyte pellet and then stored in a freezer at -80°C for further analysis.

- At necropsy, the livers were removed. All livers were removed from adipose tissue from rats. They were rapidly excised, blotted, weighed and processed for histopathology and biochemical assays. Some portions of these organs were rinsed in cold saline buffer, weighed, finely minced and homogenized in the same solution (10%, w/v) and centrifuged at 10.000 g for 10 min. The resulting supernatants were used for immediate lipid peroxidation assays and homogenate aliquots were stored at -80°C for further biochemical assays. The other livers were immediately fixed in 10% formalin solution for histological studies.

- The right distal femurs were shared; their lengths were measured. Subsequently, an incision was made parallel to the long axis of the femur after dividing the fascia and the Musculus biceps femoris. All the experiments were approved by the local Ethical Committee for animal experiments.

The bones of the different groups have been ground to a powder which will be characterized with physico-chemical techniques

Biochemical parameters

Protein quantification.

Protein contents were measured according to Lowry et al. [23], using bovine serum albumin as standard.

Lipid peroxidation: Lipid peroxidation in the tissues was estimated colorimetrically by measuring thiobarbituric acid reactive substances which were expressed in terms of malondialdehyde content according to the method of Draper and Hadley [24].

AOPP levels: Levels of AOPP were determined according to the method of Kayali et al. [25].

Antioxidant enzyme activities

- Catalase activity (CAT).

CAT activity was assayed by the method of Aebi [26].

- Superoxide dismutase activity (SOD). SOD activity was estimated according to Beauchampand Fridovich [27].

-Glutathione peroxidase activity (GPx). GPx activity was measured using the procedure of Flohe and Gunzler [28].

Total glutathione level (GSH).

The samples GSH contents were determined by the method of Ellman [29], modified by Jollow et al. [30].

Vitamin E determination.

The extraction of vitamin E was done according to the method described by both Katsanidis and Addis [31].

Biochemical markers in plasma.

The activities of plasma aspartate amino transferase (AST), alanine amino transferase (ALT), and total bilirubin were assayed spectrophotometrically according to the standard procedures using commercially available diagnostic kits (Biomaghreb, Ariana, Tunisia, Ref. 20012, 20043, 20047, 20102), respectively.

Histopathological examinations. The liver samples were fixed in 10% buffered formalin, processed through graded alcohols and xylene and embedded in paraffin blocks. Tissue sections were cut at 5 µm at multiple levels and routinely stained with haematoxylin–eosin (H&E). Mounted slides were examined and photographed under a light microscope. All histological evaluations were made twice under blind conditions (without knowledge of treatment).

Physico-chemical parameters

Determination of calcium and phosphorus bone contents. The chemical composition of the bone compound synthesized here was determined from titrations by complexometry for the determination of the calcium content, by spectrophotometry for the total phosphate content (determination of the sum of PO43− and HPO42− ions, using the phospho-vanado-molybdenic method (Gee and Dietz, 1953) and by coulometry (UIC, Inc. CM 5014 coulometer with CM 5130 acidification unit) for the carbonate content.

Scanning electron microscopy (SEM) characterization

Bones were analyzed by SEM, using a JEOL JSM 6301F (Tokyo, Japan). Polymethylmethacrylate embedded specimens obtained from the histological preparations were mounted on the SEM. Quantification for calcium (Ca, mol%), phosphorus (P, mol%) and magnesium (Mg, mol%) was determined by wavelength dispersive X-ray spectroscopic (EDX), the ratio of calcium to phosphorus (Ca/P) was calculated by dividing the values obtained from calcium (mol%) and phosphorous (mol%) at each point.

Statistical analysis. All data are expressed as mean value ± standard errors mean (SEM). Statistical analysis was performed using one-way ANOVA followed by Tukey’s post hoc multiple comparison tests using statistical software package SPSS (SPSS Inc, Chicago, IL, USA).

Findings

Chemical compositions of plant. GC-MS is a combined technique which is used to identify different substances within the sample. It works on separation of the individual compound by GC according to their RT and the separated compounds were further analyzed at a molecular level by MS. The GC-MS analysis revealed the presence of 31 phytoconstituents from which some are higher hydrocarbon alkanes, terpenes, organic compounds, steroids, and fatty alcohol. The chromatogram in Figure 1 showed

Chromatogram

Figure 1: Chromatogram

distinct peaks on the basis of RT and area %. The phytoconstituents identified along with their chemical structure in the EtOH extract of UU by GC-MS peak report of total ion chromatogram are shown in Table 1.

Table 1: GC–MS spectral analysis of Urtica urens L. ethanolic extract.

Peak RT (min) Area% Compound name Molecular formula Qual (%)
1 10.71 2.29 3-Methylnonane ‎C10H22 43
2 11.2 3.73 Pentadecane C15H32 93
3 12.59 5.35 Hexadecane C16H34 95
4 13.25 1.7 2-Methylnonane C10H22 49
5 14.01 5.46 Heptadecane C17H36 96
6 14.09 2.34 Pentadecane C15H32 81
7 15.41 4.19 Octadecane C18H38 93
8 15.56 2.55 2,9-Dimethylundecane C13 H28 64
9 16.8 3.95 Nonadecane C19H40 96
10 17.39 2.05 1-Chlorohexadecane C16H33Cl 58
11 17.45 1.64 1-Hexadecanol C16H34O 43
12 17.54 0.96 beta-Citronellol ‎C10H20O 49
13 18.13 4.45 Eicosane C20H42 96
14 18.39 1.83 Tetradecyl Oxirane C16H32O 68
15 18.6 1.56 1-Chlorohexadecane C16H33Cl 43
16 19.12 3.5 Tetradecyl Oxirane C16H32O 38
17 19.25 3.42 1-Chlorooctadecane C18H37Cl 38
18 19.32 1.05 6-Nitro-cyclohexadecane-1,3-dione C16H27NO4 49
19 19.43 4.77 1-Chlorohexadecane C16H33Cl 90
20 20.71 3.17 Docosane C22H46 93
21 21.54 2.63 Cetylpyridinium chloride C21H38ClN 58
22 22.07 2.48 1-Chlorotetradecane C14H29Cl 93
23 23.55 1.88 1-Chlorooctadecane C18H37Cl 96
24 25.25 2.99 Eicosane C20H42 78
25 27.27 9.45 Hexacosane ‎C26H54 91
26 27.6 1.17 HAHNFETT N/A 83
27 27.97 1.4 HAHNFETT N/A 91
28 28 0.98 HAHNFETT N/A 76
29 28.1 0.96 HAHNFETT N/A 76
30 29.71 13.96 Heptacosane C27H56 86
31 30.5 2.15 Decane C10H22 42

In UU, heptacosane (13.96%) showed the highest area %, followed by hexacosane (9.45%), heptadecane (5.46%), and hexadecane (5.35%) as major phytoconstituents. These major phytoconstituents are the major volatile compounds which have anti-inflammatory, anti corrosive, antioxidant, antimicrobial and antifungal activities (Dandekar et al. [32]; Rukaiyat et al. [33]; Abubacker and Devi, [34]; Kim et al. [35]; Huguet et al. [36]; Callaghan et al. [37]; Peters and White, [38]).

Relative organ weights

After sacrificing the animals, the kidneys and livers were removed and weighed at the end of the study with a focus on the variation of their absolute weight (AW) and related weight (RW).

The relative organ weight (RW) of each animal was calculated as follows

RW = (AW/BW) ×100

With: AW is the absolute body weight and body weight (BW) is the rate on the day of sacrifice.

During the 60-days IMI treatment, the absolute and relative liver weights decreased significantly (*p<0.05 and **p<0.01). However, when we injected UU, a partial recovery occurred in these parameters [Table 2,3].

Table 2: Evolution of absolute weight AW (g) and relative weight RW (g/100g BW) of liver.

Groups Liver
AW RW
Control 6.061 ± 0.331 3.927 ± 0.130
50 mg/kg of IMI 5.181 ± 0.399 3.996 ± 0.252
200 mg/kg of IMI 4.756 ± 0.212α* 4.261 ± 0.1073
300 mg/kg of IMI 4.435 ± 0.237α** 4.558 ± 0.155
100 mg/kg of UU 7.954 ± 0.435α** 4.005 ± 0.231
50 mg/kg of IMI + 100 mg/kg of UU 5.945 ± 0.654β** 3.878 ± 0.187
200 mg/kg of IMI + 100 mg/kg of UU 5.271 ± 0.632£* 3.787 ± 0.109
300 mg/kg of IMI + 100 mg/kg of UU 4.422 ± 0.143 3.816 ± 0.132

Values are means ± SEM for eight rats in each group. *p<0.05, **p<0.01 and ***p<0.001

α: compared to controls; β: compared to 50 mg/kg of IMI; £: compared to 200 mg/kg of IMI; €: compared to 300 mg/kg of IMI.

Table 3 Levels of MDA, AOPP and antioxidant enzyme activities CAT and SOD in the liver of the controls and rats treated rats with IMI, IMI + UU or UU.

Groups MDA (nmol MDA/mg protein) AOPP (nmol/mg protein) CAT (μmoles CAT/min/mg protein) SOD (Unit SOD/min/mg protein)
Liver Liver Liver Liver
Control 42.24 ± 0.66 40.65 ± 0.67 30.45 ± 0.55 0.54 ± 1.78
50 mg/kg IMI 65.18 ± 0.58α*** 35.77 ± 0.99α*** 20.62 ± 0.77α*** 0.97 ± 1.09α***
200 mg/kg IMI 74.94 ± 0.53α*** 25.45 ± 0.07α*** 9.44 ± 0.43α*** 1.47 ± 1.08α***
300 mg/kg IMI 89.85 ± 0.67α*** 21.67 ± 0.09α*** 3.22 ± 0.3α*** 1.54 ± 1.66α***
100 mg/kg UU 35.3 ± 1.77 α** 43.88 ± 0.45 34.12 ± 0.89α* 0.35 ± 0.65α**
50 mg/kg IMI + 100 mg/kg UU 52.9 ± 0.43 β** 37.89 ± 0.74β** 22.89 ± 0.87β** 0.67 ± 0.63β***
200 mg/kg IMI + 100 mg/kg UU 60.56 ± 0.22£*** 27.66 ± 0.97£** 12.87 ± 0.88£** 1.2 ± 0.89£***
300 mg/kg IMI + 100 mg/kg UU 75.77 ± 0.13€*** 23.66 ± 0.43€* 3.98 ± 0.45 1.31 ± 0.55€**

Values represent means ± SEM (n = 8) in each group. *p<0.05, **p<0.01 and ***p<0.001.

α: compared to controls; β: compared to 50 mg/kg of IMI; £: compared to 200 mg/kg of IMI; €: compared to 300 mg/kg of IMI.

MDA: Malonaldialdehyde. AOPP: advanced oxidation protein product. CAT: catalase. SOD: superoxide dismutase.

Variation of biochemicals

Lipid peroxidation levels (LPO). The level of LPO measured in terms of MDA was altered in the livers of female rats orally administered 50, 200 and 300 mg/kg/day of IMI. Our results revealed an increase of lipid peroxidation in the liver of the IMItreated group as proven by the enhanced malondialdehyde levels in the liver homogenates of adult rats (+16; +25; +36%) when compared to negative controls. The injection of UU ameliorated lipid peroxidation induced by IMI treatment and significantly modulated the malondialdehyde levels in the liver Table 4.

Table 4 Levels of GPx, GSH and vitamin E in the liver of the controls and rats treated with IMI, IMI + UU or UU.

Groups GPx (nmol of GSH/mn/mg protein)                  GSH (μg GSH/mg protein) Vitamin E (µg/g)
Liver Liver Liver
  280.49 ± 0.56 9.43 ± 0.76 100.99 ± 0.77
Control
       
50 mg/kg of IMI 259.34 ± 0.67α*** 6.31 ± 0.70α*** 76.44 ± 1.67α***
200 mg/kg of IMI 220.9 ± 0.44α*** 3.56 ± 0.08α*** 50.22 ± 3.88α ***
300 mg/kg of IMI 214.08 ± 0.56α*** 1.64 ± 0.10α*** 30.56 ± 2 .89α***
100 mg/kg of UU 289.19 ± 0.09α* 11.57 ± 0.88α** 110.56 ± 1.98α*
50 mg/kg of IMI + 100 mg/g of UU 273.21 ± 1.88β*** 7.81 ± 0.78β** 80.34 ± 0.65β***
200 mg/kg of IMI + 100mg/kg of UU 233.99 ± 1.45£** 4.16 ± 0.19£** 55.89 ± 1.09£**
300 mg/kg of IMI + 100mg/kg of UU 219.43 ± 1.89€* 2.17 ± 0.06 40.21 ± 0.67€**

Values represent means ± SEM (n = 8) in each group. *p<0.05, **p<0.01 and ***p<0.001.

α: compared to controls; β: compared to 50 mg/kg of IMI; £: compared to 200 mg/kg of IMI; €: compared to 300 mg/kg of IMI.

GPx: glutathione peroxidase. GSH : glutathione.

Markers of protein oxidative damage

Table 4 shows the levels of AOPP indices of protein oxidative damage in the liver tissues of normal and experimental animals. In IMI groups, a significant increase in AOPP levels in the liver (+51.60, +64, +70.33%) when compared with controls. UU injection in IMI+UU-treated rats resulted in a marked decrease in AOPP levels when compared with IMI groups.

Antioxidant enzyme activities in tissues

- In the liver homogenates of IMI-treated rats, GPx, CAT and SOD activities decreased significantly by (-33.56, -37.09, -57.44%) for GPx (-30.89, -9.17, -67.89%) for CAT and by (-15.50, -26.59, -32.56%) for SOD, when compared to controls Tables 5,6.

Table 5 Plasma activities of aspartate aminotransferase (AST), alanine aminotransferase (ALT), and bilirubin levels of adult female rat controls or treated with IMI and UU, IMI + UU during 60 days.

Groups ALT (UI/L) AST (UI/L) Bilirubin (mg/L)
Control 24.21 ± 2.04 67.96 ± 5.12 0.20 ± 0.01
50 mg/kg of IMI 37.04 ± 3.57α*** 122.50 ± 5.53α*** 0.36 ± 0.03α***
200 mg/kg of IMI 51.65 ± 3.76α***,β*** 140.67± 5.89α***,β*** 0.53 ± 0.02α***,β***
300 mg/kg of IMI 60.34 ± 3.67α***,β***,£*** 155.89 ± 6.09α***,β***,£*** 0.6 ± 0.01α**,β***,£***
100 mg/kg of UU 24.21 ± 3.40α* 68.83 ± 6.03α* 0.21 ± 0.01α*
50 mg/kg of IMI + 100 mg/kg of UU 29.16 ± 3.78β*** 77.87 ± 6.52β*** 0.23 ± 0.01β***
200 mg/kg of IMI + 100mg/kg of UU 35.87 ± 2.56£*** 89.67 ± 5.45£*** 0.31 ± 0.02£***
300 mg/kg of IMI + 100mg/kg of UU 40.54 ± 2.96€** 120.34 ± 6.56€** 0.43 ± 0.03€**

Values represent means ± SEM (n = 8) in each group. *p<0.05, **p<0.01 and ***p<0.001.

α: compared to controls; β: compared to 50 mg/kg of IMI; £: compared to 200 mg/kg of IMI; €: compared to 300 mg/kg of IMI.

Table 6: Quantitative analysis (atomic%) of elements determined from EDX in the different groups of rats.

Atomic %
Groups O Na Mg P S Cl Ca Ca/P
Control 64.29 0.61 0.48 12.18 0.4 - 22.04 1.80952381
50 mg/kg IMI 73.88 0.77 0.24 9.72 0.17 0.17 15.24 1.56790123
300 mg/kg IMI 72.14 0.95 0.26 10.33   0.3 16.03 1.5517909
100 mg/kg UU 64.29 0.61 0.48 12.18 0.4 - 22.04 1.80952381
50 mg/kg IMI+UU 64.29 0.61 0.48 12.18 0.4 - 22.04 1.80952381
300 mg/kg IMI+UU 64.29 0.61 0.48 12.18 0.4 - 22.04 1.80952381

- The injection of UU regenerated these parameters in (IMI+UU) groups when compared to IMI-groups.

Organs GSH and vitamin E levels

GSH levels: In liver homogenates of IMI treated rats, GSH levels decreased significantly by (-40, -55, -60%) [Table 4] respectively when compared with controls. The injection of UU ameliorated the levels of GSH in the liver of (IMI+UU)-treated groups (4.85, 10.14, 23.99%) when compared with IMI-treated groups.

Vitamin E: The data presented in Table 4 show significant changes in the levels of vitamin E during the treatment of rats with IMI associated or not with UU. The exposure of rats to IMI caused a significant decrease in liver vitamin E levels (-49, -74, -89 %) when compared with controls. In the animals exposed to UU and IMI, the vitamin E levels in liver (19.20, 14.42, 24.42%) were ameliorated when compared with IMI-treated groups.

Effects of IMI and UU on biochemical markers in plasma. ALT and AST activities and bilirubin levels in the plasma of the IMItreated groups increased by 45%, 55% and 54% when compared with those of the controls Table 5. The injection of UU to IMItreated groups restored all the parameters cited above

Histopathological findings; Light microscopic examination indicated a normal structure of the liver in the controls Figure 2B1. The exposure of rats to IMI induced degenerative changes in the organ. IMI caused necrosis, inflammatory processes in the treated rats. Thus, we found in group 50 mg/kg of IMI areas of hepatocyte necrosis and necrotic inflammatory lesions [Figure 2B2] compared with the control. However, we noted necrotic and inflammatory lesions in larger médiolobulair areas in group treated with 200 mg/kg of IMI [Figure 2B3], the lesions were the same that were wide enough in group 300 mg/kg of IMI [Figure 2B4] compared with the other groups. We also noted in this group the presence of small necrotic lesions and inflammatory péricentrolobular regions in the central vein and others in zones 1 and 2 of the hepatic acinus compared with the control group.

Co-administration of UU improved liver histological pictures. These liver damages, observed in IMI groups, significantly decreased in (IMI + UU)-treated groups Figure 2B5-B8. The histological pattern was normal in rats treated only with UU (Figure 2).

Light microscopic examination

Figure 2: Light microscopic examination

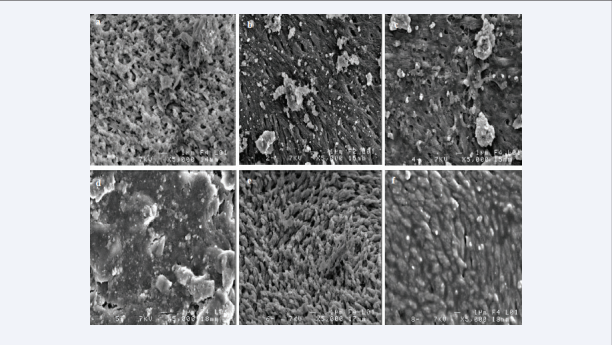
Scanning electron microscopy. The results of the SEM analysis were excised at different magnifications, in Figures 3-6.

3 General appearance of the diaphysis of treated rats with IMI, IMI+UU or UU for 60 days.  (a) Femur section of control rats; (b) Femur section of treated rats with 50 mg/kg IMI; (c) Femur section of treated rats with 300 mg/kg IMI;  (d) Femur section of treated rats with 100 mg/kg UU; (e) Femur section of treated rats with 50 mg/kg IMI+100 mg/kg UU; (f) Femur section of  treated rats with 300 mg/kg IMI+100 mg/kg UU.

Figure 3: General appearance of the diaphysis of treated rats with IMI, IMI+UU or UU for 60 days.

(a) Femur section of control rats;

(b) Femur section of treated rats with 50 mg/kg IMI;

(c) Femur section of treated rats with 300 mg/kg IMI;

(d) Femur section of treated rats with 100 mg/kg UU;

(e) Femur section of treated rats with 50 mg/kg IMI+100 mg/kg UU;

(f) Femur section of treated rats with 300 mg/kg IMI+100 mg/kg UU.

Appearance of endosteum of treated rats with IMI, IMI+UU or UU for 60 days.  a) Femur section of control rats; (b) Femur section of treated rats with 50 mg/kg IMI; (c) Femur section of treated rats with 300 mg/kg IMI;  (d) Femur section of treated rats with 100 mg/kg UU; (e) Femur section of treated rats with 50 mg/kg IMI+100 mg/kg UU; (f) Femur section of  treated rats with 300 mg/kg IMI+100 mg/kg UU.

Figure 4: Appearance of endosteum of treated rats with IMI, IMI+UU or UU for 60 days.

a) Femur section of control rats;

(b) Femur section of treated rats with 50 mg/kg IMI;

(c) Femur section of treated rats with 300 mg/kg IMI;

(d) Femur section of treated rats with 100 mg/kg UU;

(e) Femur section of treated rats with 50 mg/kg IMI+100 mg/kg UU;

(f) Femur section of treated rats with 300 mg/kg IMI+100 mg/kg UU.

Apparence of the cancellous bone of treated rats with IMI, IMI+UU or UU for 60 days. (a) Femur section of control rats; (b) Femur section of treated rats with 50 mg/kg IMI; (c) Femur section of treated rats with 300 mg/kg IMI;  (d) Femur section of treated rats with 100 mg/kg UU; (e) Femur section of treated rats with 50 mg/kg IMI+100 mg/kg UU; (f) Femur section of  treated rats with 300 mg/kg IMI+100 mg/kg UU.

Figure 5: Apparence of the cancellous bone of treated rats with IMI, IMI+UU or UU for 60 days.

(a) Femur section of control rats;

(b) Femur section of treated rats with 50 mg/kg IMI;

(c) Femur section of treated rats with 300 mg/kg IMI;

(d) Femur section of treated rats with 100 mg/kg UU;

(e) Femur section of treated rats with 50 mg/kg IMI+100 mg/kg UU;

(f) Femur section of treated rats with 300 mg/kg IMI+100 mg/kg UU.

Scanning electron microscopy observation of compact bone. (a) Femur section of control rats; (b) Femur section of treated rats with 50 mg/kg IMI; (c) Femur section of treated rats with 300 mg/kg IMI;  (d) Femur section of treated rats with 100 mg/kg UU; (e) Femur section of treated rats with 50 mg/kg IMI+100 mg/kg UU; (f) Femur section of  treated rats with 300 mg/kg IMI+100 mg/kg UU.

Scanning electron microscopy observation of compact bone.

(a) Femur section of control rats;

(b) Femur section of treated rats with 50 mg/kg IMI;

(c) Femur section of treated rats with 300 mg/kg IMI;

(d) Femur section of treated rats with 100 mg/kg UU;

(e) Femur section of treated rats with 50 mg/kg IMI+100 mg/kg UU;

(f) Femur section of treated rats with 300 mg/kg IMI+100 mg/kg UU.

The SEM results of Figures 3-5 did not reveal the phenomenon of alteration of IMI-treated bone. However, with a grossissement of 1 μm [Figure 6], we can clearly see the phenomenon of textural alteration in the IMI-treated bones (B, C). UU injection shows architecture within the bone resembling that of the control bone.

Bone Study microanalysis-energy spectrometry (EDX). Microanalysis - energy spectroscopy (EDX) is used to obtain the distribution mapping of the different elements by X-ray backscattering. The results obtained for the control group, treated group with 50 mg/kg IMI, treated group with 300 mg/ kg IMI, treated group with 100 mg/kg UU, treated group with 50 mg/kg IMI+100 mg/kg UU, and treated group with 300 mg/kg IMI+100 mg/kg UU are shown in Figure 7A-F, respectively.

A. EDX spectrum and maps distributions of femoral components of control rats after 60 days.

Figure 7: A. EDX spectrum and maps distributions of femoral components of control rats after 60 days.

B. EDX spectrum and maps distributions of femoral components of treated rats with 50 mg/kg of IMI

Figure 7: B. EDX spectrum and maps distributions of femoral components of treated rats with 50 mg/kg of IMI

C. EDX spectrum and maps distributions of femoral components of treated rats with 300 mg/kg of IMI.

Figure 7: C. EDX spectrum and maps distributions of femoral components of treated rats with 300 mg/kg of IMI.

D. EDX spectrum and maps distributions of femoral components of treated rats with UU for 60 days.

Figure 7: D. EDX spectrum and maps distributions of femoral components of treated rats with UU for 60 days.

E. EDX spectrum and maps distributions of femoral components of treated rats with 50 mg/kg of IMI+UU.

Figure 7 E. EDX spectrum and maps distributions of femoral components of treated rats with 50 mg/kg of IMI+UU.

F: EDX spectrum and maps distributions of femoral components of treated rats with 300 mg/kg of IMI+UU.

Figure 7: F: EDX spectrum and maps distributions of femoral components of treated rats with 300 mg/kg of IMI+UU.

The composition of femurs of different groups was quantified by measuring the concentration of phosphate and calcium. The quantitative analyzes (atomic%) by EDX of the elements in the different groups were presented in Table 3.

The results show that the Ca/P ratio is 1.8 (normal between 1.7 and 2) in control femurs and (UU+IMI)-treated femurs. However, this ratio decreases to 1.5 in IMI-treated femurs. Generally, the reduction of this ratio to above 1.67 [39] is due to a structural and microstructural disturbance of the bone, under the action of several phenomena. In our study, that we noted the decrease of this ratio. This ratio increases again to reach the value 1.8 following the addition of UU. This technique confirmed our previous results (obtained through FTIR, XRD, etc), which showed the protective effect of UU against the toxic or disruptive effect of IMI.

Discussion

In this study, we investigated the hepatotoxicity and osteoporosis of IMI in rat after 60 days oral administration. The results demonstrated that treatment with IMI induced a significant toxicity against the bone and liver of rat at 3 doses.

Different mechanisms have been postulated to explain IMI induced liver injury, such as stress oxidant

The liver is the primary target responsible for metabolism of chemicals, drugs alcohol, food additives, pesticides and natural products [40]. Liver toxicity has also been evaluated based on alterations in the levels of ALT, AST. AST and ALT have been reported as noninvasive methods of evaluating liver fibrosis and cirrhosis [41].

In the present study, we detected changes in the ALT and AST activities. These changes in the activities of these enzymes have been considered as a tool to study varying cell viability and cell membrane permeability [42]. So, ALT is a specific cytosolic enzyme for the liver while AST is localized in cytosol and mitochondria which is in circulation in the early phase of liver injury [43]. In our study, we demonstrated that IMI administered to rats provoked a marked elevation in the activities of plasma ALT and AST, indicating hepatocellular damage. According to Demirbas et al. [44] this elevation could potentially be attributed to the release of these enzymes from the cytoplasm to the blood circulation indicating a necrosis and inflammatory reactions. Also IMI hepatotoxicity is evidenced in the present study by an increase in bilirubin levels. The increase in bilirubin may result from increased bilirubin production resulting the decreased liver uptake, conjugation, as demonstrated by Kumari et al. [45]. According to these authors, the bilirubin may rise after liver injury. Such biochemical changes might account for the occurrence of histopathological alterations in the livers of animals treated with IMI. According to Abdel-Rahman and Zaki [46], there was an infiltration of leukocytes considered as a prominent response of the body facing any injurious effect. Histological modifications were more pronounced in groups 200 mg/kg of IMI-treated rats and 300 mg/kg of IMI-treated rats; this could be explained by the fact that IMI has different mechanisms depending on the dose of insecticide.

The results indicate that they reflected toxicity in the liver of rats treated with three different doses of IMI for 60 days. We have demonstrated with SEM analysis a phenomenon of textural alteration in the bone treated by different doses of IMI and which increases with the dose. It could be explained by a disturbance of bone remodeling, with delayed ossification and confirms that IMI disturbs well the bone remodeling. Similarly, Badraoui et al. [47] showed that tetradifon (pesticide estrogenlike) disrupted the mineral composition of bone especially calcium and phosphorus which increased in content. However, MEB analysis did not demonstrate the structural alteration in the general organization of the femoral parts in the treated rats. This is probably due to the oestrogen-like effect of tetradifon. Indeed, estrogen inhibits remodeling and enhances bone formation. Tetradifon does not appear to have a deleterious effect on bone remodeling.

In our experimental study, the result of GC-MS analysis specifies that the UU EtOH extract of leaves contains various bioactive compounds which have various medicinal properties that can be useful for the treatment of various diseases. The GC-MS analysis results have shown the presence of the following biomolecules in abundance as shown by their peak value percentages: heptacosane, hexacosane, heptadecane, hexadecane, eicosane, octadecane citronellol [48]. This extract is found to be rich in several bioactive and industrially important compounds. The presence of these compounds make UU EtOH extract as a probable good therapeutic entity against toxicity.

UU pretreatment was shown to prevent the IMI-induced toxicity. In the present study, the parameters of oxidative stress, that is, MDA and AOPP were found markedly increased and the activity of SOD, GPx and CAT, vitamin E were markedly decreased in the tissues of IMI treated rats suggesting that IMI treatment caused oxidative damage to the lipids and proteins in this organs. The rat in the UU + IMI groups had significantly increased SOD, GPx and CAT, vitamin E and C levels and decreased MDA and AOPP levels suggesting that UU protects against the adverse effects of IMI.

SEM results showed that (IMI+UU)-treated groups have normal bones compared to IMI-treated groups. This could be attributed to the presence of bioactive components in the UU EtOH extract (phenolic compounds, flavonoids, minerals (Calcium, Phosphorus, etc)), which stimulates the osteoblastic activity and thanks to the richness of these compounds in OH-.

OH- will react on the treated bone and exactly with Clintroduced on the senial axis through the IMI. There will be a new substitution between Cl- (treated bone) and OH- (UU) while providing a structure whose tunnels contain only OH- (control bone) and the UU contains both of the ions OH- than of the Clions, then a giant molecule is obtained between IMI and UU which is released from the bone. Very similar results to this study were obtained by Suwalsky et al. [49], SEM analysis demonstrated the highly protective effect of Hilesia Magellanica (Coicopihue) from chilean Patagonia against oxidative damage. Suwalsky et al. [50] also showed the protective effect of Ugni molinae Turcz against oxidative damage of human erythrocytes by scanning electron microscopy (SEM).

In another work, Radhakrishnan et al. [51] investigated that Pedalium murex Linn extract can decreased crystal size and prevented the aggregation of calcium oxalate crystals using SEM and DRX.

Ben Amara et al. [52], have evaluated the ability of selenium, used as a nutritional supplement, to alleviate bone deficiencies in mothers treated with methimazole, an antithyroid drug.

Treatment with methimazole reduced the length and weight of the femur in pups compared to controls. The activities of the antioxidant enzymes of the femur, superoxide dismutase, catalase and glutathione peroxidase have decreased. Lipid peroxidation showed an increase in the high rates of malondialdehyde in the femur. Methimazole also caused a significant decrease in Ca and P levels in bone. In addition, resistant tartrate acid phosphatase was increased, while total alkaline phosphatase was reduced. The administration of selenium in the diet has improved the biochemical parameters cited above. This study suggests that selenium is an important protective element that can be used as a dietary supplement protecting against bone deficiencies.

 

Conclusion

We suggest that IMI has an adverse ecological impact on mammalian animals as it induces female rat bone and liver damages. The dose related IMI intoxication is already causing have concerns. We have found that injection of Urtica urens with IMI causes the toxicity of this insecticide to less in rats, thus confirming a protective role of the plant.

Acknowledgments

This research was supported by the Tunisian Ministry of Higher Education and Scientific Research.

Ethics Approval and Consent to Participate: The experimental protocols were conducted in accordance with the guide for the care and use of laboratory animals issued by the University of Sfax, Tunisia, and approved by the Committee of Animal Ethics (Protocol no. 94-1939).

References

1. Casida JE, Durkin KA. Neuroactive insecticides: targets, selectivity, resistance, and secondary effects. Annu Rev Entomol. 2013; 58: 99– 117.

2. Benjamin N, Kushwah A, Sharma RKKA. Histopathological changes in liver, kidney and muscles of pesticides exposed malnourished and diabetic rats. Indian J Exp Biol. 2006; 44: 228.

3. Lv Y, Bing Q, Lv Z, et al. Imidacloprid-induced liver fibrosis in quails via activation of the TGF-β1/Smad pathway. Sci Total Environ. 2020; 705: 135915.

4. Bhardwaj S, Srivastava M.K, Kapoor U, Srivastava LP. A 90 days oral toxicity of imidacloprid in female rats: Morphological, biochemical and histopathological evaluations. Food Chem Toxicol. 2010; 48: 1185-90.

5. Li X, Zhao X, Yao Y, et al. New insights into crosstalk between apoptosis and necroptosis co-induced by chlorothalonil and imidacloprid in Ctenopharyngodon idellus kidney cells. Sci Total Environ. 2021; 780: 146591.

6. Guengerich FP. Cytochrome p450 and chemical toxicology. Chem Res Toxicol. 2008; 21; 70–83.

7. Tomizawa M, Casida, JE. Selective toxicity of neonicotinoids attributable to specificity of insect and mammalian nicotinic receptors. Annu Rev Entomol. 2003; 48: 339–364.

8. Casida JE. Neonicotinoid metabolism: compounds, substituents, pathways, enzymes, organisms, and relevance. J. Agric. Food Chem. 2010; 59: 2923–2931.

9. Bhardwaj S, Srivastava MK, Kapoor U, Srivastava LP. A 90 days oral toxicity of imidacloprid in female rats: morphological, biochemical and histopathological evaluations. Food Chem Toxicol. 2010; 48: 1185–1190.

10. Kapoor U, Srivastava MK, Srivastava LP. Toxicological impact of technical imidacloprid on ovarian morphology, hormones and antioxidant enzymes in female rats. Food Chem Toxicol. 2011; 49: 3086-9.

11. Buckingham S, Lapied B, Corronc H, Sattelle F. Imidacloprid actions on insect neuronal acetylcholine receptors. J Exp Biol. 1997; 200: 2685–2692.

12. Kidd H, James DR. The Agrochemicals Handbook. Royal Society of Chemistry, Cambridge. 1991.

13. Boulos L. Flora of Egypt. 1st ed. Cairo, Egypt: Al Hadara publishing. 1999; 373.

14. Parish S. The immigrant plants of southern California. Bull South Calif Acad Sci. 1920; 19: 3–30.

15. Kavtaradze NS. Phenolic compounds from Urtica urens growing in Georgia. Chem Nat Compd. 2003; 39: 314.

16. Patten G. Medicinal plant review Urtica. Aust J Med Herbal. 1993; 5: 5–13.

17. Marrassini C, Acevedo C, Miño J, Ferraro G, Gorzalczany S. Evaluation of Antinociceptive, Antiinflammatory Activities and Phytochemical Analysis of Aerial Parts of Urtica urens L. Phytother Res. 2010; 24: 1807–12.

18. Jimoh F, Adedapo A, Aliero A, Afolayan A. Polyphenolic and biological activities of leaves extracts of Argemone subfusiformis (Papaveraceae) and Urtica urens (Urticaceae). Rev Biol Trop. 2010; 58: 1517–31.

19. Alaattin S, Barbaros S, Hizlan H, Agus MB, Sevim H, Semiz A. Prevention of Carbon Tetrachloride-Induced Hepatotoxicity by Urtica urens in Rats. J Appl Biol Sci. 2007; 1: 29–32.

20. Bouafou KGM, Kouamé KG, Offoumou AM. Bilan azoté chez le rat en croissance de la farine d’asticots séchés. Tropicultura. 2007; 25: 70- 74.

21. Eiben R, Kaliner G. NTN 33893 (Imidacloprid): Chronic Toxicity and Carcinogenicity Studies on Wistar Rats. 1991;(Administration in Food Over 24 Months): Lab Project Number: 19925: 100652. Prepared by Bayer AG, Dept. of Toxicology. 1323; MRID 42256331.

22. Nassiri-Asl M, Zamansoltani F, Abbasi E, Daneshi,MM, Zangivand AA. Effects of Urtica dioica extract on lipid profile in hypercholesterolemic rats. Zhong Xi Yi Jie He Xue Bao. 2009; 7: 428-33.

23. Lowry OH., Rosebrough NJ, Farr AL, Randall RJ. Protein measurement with the Folin phenol reagent. J Biol Chem. 1951; 193: 265-275

24. Draper, H.H., Hadley, M. Malondialdehyde determination as index of lipid peroxidation. Methods Enzymol. 1990; 86: 421-431.

25. Kayali R, Cakatay U, Akçay T, Altu? T. Effect of alpha-lipoic acid supplementation on markers of protein oxidation in post-mitotic tissues of ageing rat. Cell Biochem Funct. 2006; 24: 79-85.

 26. Aebi H. Catalase in vitro. Methods Enzymol. 1984; 105: 121–126.

27. Beauchamp C, Fridovich I. Superoxide dismutase: improved assays and an assay applicable to acryl amide gels. Anal Biochem. 1971; 44: 276-87.

28. Flohe L, Gunzler WA. Assays of glutathione peroxidase. Methods Enzymol. 1984; 105: 114-121.

29. Ellman GL. Tissue sulfhydryl groups. Arch Biochem Biophys. 1959; 82: 70–77.

30. Jollow DJ, Mitchell JR, Zampaglione N, Gillete JR. Bromobenzene induced liver necrosis. Protective role of glutathione and evidence for 3, 4-bromobenzene oxide as a hepatotoxic metabolite. Pharmacology. 1974; 11: 151–69.

31. Katsanidis E, Addis PB. Novel HPLC analysis of tocopherols, tocotrienols, and cholesterol in tissue. Free Radic Biol Med. 1999; 27: 1137-40.

32. Dandekar R, Fegade B, Bhaskar VH. GC-MS analysis of phytoconstituents in alcohol extract of Epiphyllum oxypetalum leaves. Journal of Pharmacognosy and Phytochemistry. 2015; 4: 149- 154.

33. Rukaiyat M, Garba S, Labaran, S. Antimicrobial activities of hexacosane isolated from Sanseveria liberica (Gerome and Labroy) plant. Advancement in Medicinal Plant Research. 2015; 3: 120-125.

34. Abubacker MN, Devi PK. In vitro Antifungal Potentials of Bioactive Compounds Heptadecane, 9-hexyl and Ethyl iso-allocholate isolated from Lepidagathis cristata Willd. (Acanthaceae) leaf. British Medical Bulletin. 2015; 3: 336-343.

35. Kim DH, Park MH, Choi YJ, Chung KW, Park CH, Jang EJ, et, al. Molecular Study of Dietary Heptadecane for the Anti-Inflammatory Modulation of NF-kB in the Aged Kidney. PLoS One. 2013; 8: e59316.

36. Huguet J, Cartaña J, Arola L, Alemany M. Alterations of energy metabolism induced by hexadecane in mice. Arch Int Physiol Biochim. 1989; 97: 333-40.

37. Callaghan AV, Tierney M, Phelps CD, Young LY. Anaerobic biodegradation of n-hexadecane by a nitrate-reducing consortium. Appl Environ Microbiol. 2009; 75: 1339-44.

38. Peters RF, White AM. The relationship between cyclic adenosine 3’, 5’ - monophosphate and biochemical events in rat skin after the induction of epidermal hyperplasia using hexadecane. Br J Dermatol. 1978; 98: 301-14.

39. Bonel G, Heughebaert JC, Heughebaert M, Lacout JL, Lebugle A. Apatitic calcium orthophosphates and related compounds for biomaterials preparation. Ann NY Acad Sci. 1988; 523: 115-30.

40. Bissell DM, Gores GJ, Laskin DL, Hoofnagle JH. Drug-induced liver injury: mechanisms and test systems. Hepatology. 2001; 33: 1009- 1013.

41. Giannini E, Botta F, Fasoli A, Ceppa P, Risso D, Lantieri PB, et al. Progressive liver functional impairment is associated with an increase in AST/ALT ratio. Dig Dis Sci. 1999; 44: 1249-1253.

42. Dasgupta S, Ghosh S, Das KK. Transaminase activities in some metabolically active tissues in nickel treated rats under protein restriction. Indian Journal of Physiology and Allied Sciences. 1996; 50: 27–33.

43. Rej R. Aspartate aminotransferase activity and isoenzyme proportions in human liver tissues. Clin Chem. 1978; 24: 1971–1979.

44. Demirbas S, Cakir E, Akgul EO, Seyrek M, Cayci T, Kurt YG, et al. Elevated serum neopterin levels in acetaminophen-induced liver injury. Environ Toxicol Pharmacol. 2011; 31: 165-70.

45. Kumari SN, Rosario SB, Gowda KMD. Altered liver function and the status of calcium in postmenopausal women in and around mangalore. Al Ameen journal of medical sciences. 2010; 3: 115–119.

46. Abdel-Rahman M, Zaki TZ. Cytotoxic action of malathion on renal and hepatic tissues of mice. Journal of the Egyptian-German Society of Zoology. 1992; 8: 105–114.

47. Badraoui R, Abdelmoula NB, Sahnoun Z, Fakhfakh Z, Rebai T. Effect of subchronic exposure to tetradifon on bone remodelling and metabolism in female rat. C R Biol. 2007; 330: 897-904.

48. Mzid M, Ghlissi Z, Salem MB, Khedir SB, Chaabouni K, Ayedi F, et al. Chemoprotective role of ethanol extract of Urtica urens L. against the toxicity of imidacloprid on endocrine disruption and ovarian morphometric in female rats, GC/MS analysis. Biomed Pharmacother. 2018; 97: 518-527.

49. Suwalsky M, Avello V, Obreque J, Villena F, Szymanska R, Stojakowska A, Strzalka K. Protective effect of Hilesia Magellanica (Coicopihue) from chilean Patagonia against oxidative damage. J Chil Chem Soc. 2015; 60: 2.

50. Suwalsky M, Orellana P, Avello M, Villena F. Protective effect of Ugni molinae Turcz against oxidative damage of human erythrocytes. Food Chem Toxicol. 2007; 45: 130-5.

51. Radhakrishnan K, Pandi GP, Chandra Mohan S. Scanning Electron Microscopy Analysis of Effect of Pedalium murex (L.) Seeds on the Morphology of Calcium Oxalate Crystals. Kidney Research Journal. 2018; 8: 1-6.

52. Ben Amara I, Troudi A, Soudani N, Guermazi F, Zeghal N. Toxicity of methimazole on femoral bone in suckling rats: alleviation by selenium. Exp Toxicol Pathol. 2012; 64: 187-95.

Mzid M, El Feki H , Sahnoun Z, Rebai T (2023) Protective Effect of Urtica urens L. against Osteoporosis and Hepatotoxicity induced by Imidacloprid in Rats. JSM Sexual Med 7(3): 1114.

Received : 07 Jul 2023
Accepted : 30 Jul 2023
Published : 31 Jul 2023
Journals
Annals of Otolaryngology and Rhinology
ISSN : 2379-948X
Launched : 2014
JSM Schizophrenia
Launched : 2016
Journal of Nausea
Launched : 2020
JSM Internal Medicine
Launched : 2016
JSM Hepatitis
Launched : 2016
JSM Oro Facial Surgeries
ISSN : 2578-3211
Launched : 2016
Journal of Human Nutrition and Food Science
ISSN : 2333-6706
Launched : 2013
JSM Regenerative Medicine and Bioengineering
ISSN : 2379-0490
Launched : 2013
JSM Spine
ISSN : 2578-3181
Launched : 2016
Archives of Palliative Care
ISSN : 2573-1165
Launched : 2016
JSM Nutritional Disorders
ISSN : 2578-3203
Launched : 2017
Annals of Neurodegenerative Disorders
ISSN : 2476-2032
Launched : 2016
Journal of Fever
ISSN : 2641-7782
Launched : 2017
JSM Bone Marrow Research
ISSN : 2578-3351
Launched : 2016
JSM Mathematics and Statistics
ISSN : 2578-3173
Launched : 2014
Journal of Autoimmunity and Research
ISSN : 2573-1173
Launched : 2014
JSM Arthritis
ISSN : 2475-9155
Launched : 2016
JSM Head and Neck Cancer-Cases and Reviews
ISSN : 2573-1610
Launched : 2016
JSM General Surgery Cases and Images
ISSN : 2573-1564
Launched : 2016
JSM Anatomy and Physiology
ISSN : 2573-1262
Launched : 2016
JSM Dental Surgery
ISSN : 2573-1548
Launched : 2016
Annals of Emergency Surgery
ISSN : 2573-1017
Launched : 2016
Annals of Mens Health and Wellness
ISSN : 2641-7707
Launched : 2017
Journal of Preventive Medicine and Health Care
ISSN : 2576-0084
Launched : 2018
Journal of Chronic Diseases and Management
ISSN : 2573-1300
Launched : 2016
Annals of Vaccines and Immunization
ISSN : 2378-9379
Launched : 2014
JSM Heart Surgery Cases and Images
ISSN : 2578-3157
Launched : 2016
Annals of Reproductive Medicine and Treatment
ISSN : 2573-1092
Launched : 2016
JSM Brain Science
ISSN : 2573-1289
Launched : 2016
JSM Biomarkers
ISSN : 2578-3815
Launched : 2014
JSM Biology
ISSN : 2475-9392
Launched : 2016
Archives of Stem Cell and Research
ISSN : 2578-3580
Launched : 2014
Annals of Clinical and Medical Microbiology
ISSN : 2578-3629
Launched : 2014
JSM Pediatric Surgery
ISSN : 2578-3149
Launched : 2017
Journal of Memory Disorder and Rehabilitation
ISSN : 2578-319X
Launched : 2016
JSM Tropical Medicine and Research
ISSN : 2578-3165
Launched : 2016
JSM Head and Face Medicine
ISSN : 2578-3793
Launched : 2016
JSM Cardiothoracic Surgery
ISSN : 2573-1297
Launched : 2016
JSM Bone and Joint Diseases
ISSN : 2578-3351
Launched : 2017
JSM Bioavailability and Bioequivalence
ISSN : 2641-7812
Launched : 2017
JSM Atherosclerosis
ISSN : 2573-1270
Launched : 2016
Journal of Genitourinary Disorders
ISSN : 2641-7790
Launched : 2017
Journal of Fractures and Sprains
ISSN : 2578-3831
Launched : 2016
Journal of Autism and Epilepsy
ISSN : 2641-7774
Launched : 2016
Annals of Marine Biology and Research
ISSN : 2573-105X
Launched : 2014
JSM Health Education & Primary Health Care
ISSN : 2578-3777
Launched : 2016
JSM Communication Disorders
ISSN : 2578-3807
Launched : 2016
Annals of Musculoskeletal Disorders
ISSN : 2578-3599
Launched : 2016
Annals of Virology and Research
ISSN : 2573-1122
Launched : 2014
JSM Renal Medicine
ISSN : 2573-1637
Launched : 2016
Journal of Muscle Health
ISSN : 2578-3823
Launched : 2016
JSM Genetics and Genomics
ISSN : 2334-1823
Launched : 2013
JSM Anxiety and Depression
ISSN : 2475-9139
Launched : 2016
Clinical Journal of Heart Diseases
ISSN : 2641-7766
Launched : 2016
Annals of Medicinal Chemistry and Research
ISSN : 2378-9336
Launched : 2014
JSM Pain and Management
ISSN : 2578-3378
Launched : 2016
JSM Women's Health
ISSN : 2578-3696
Launched : 2016
Clinical Research in HIV or AIDS
ISSN : 2374-0094
Launched : 2013
Journal of Endocrinology, Diabetes and Obesity
ISSN : 2333-6692
Launched : 2013
Journal of Substance Abuse and Alcoholism
ISSN : 2373-9363
Launched : 2013
JSM Neurosurgery and Spine
ISSN : 2373-9479
Launched : 2013
Journal of Liver and Clinical Research
ISSN : 2379-0830
Launched : 2014
Journal of Drug Design and Research
ISSN : 2379-089X
Launched : 2014
JSM Clinical Oncology and Research
ISSN : 2373-938X
Launched : 2013
JSM Bioinformatics, Genomics and Proteomics
ISSN : 2576-1102
Launched : 2014
JSM Chemistry
ISSN : 2334-1831
Launched : 2013
Journal of Trauma and Care
ISSN : 2573-1246
Launched : 2014
JSM Surgical Oncology and Research
ISSN : 2578-3688
Launched : 2016
Annals of Food Processing and Preservation
ISSN : 2573-1033
Launched : 2016
Journal of Radiology and Radiation Therapy
ISSN : 2333-7095
Launched : 2013
JSM Physical Medicine and Rehabilitation
ISSN : 2578-3572
Launched : 2016
Annals of Clinical Pathology
ISSN : 2373-9282
Launched : 2013
Annals of Cardiovascular Diseases
ISSN : 2641-7731
Launched : 2016
Journal of Behavior
ISSN : 2576-0076
Launched : 2016
Annals of Clinical and Experimental Metabolism
ISSN : 2572-2492
Launched : 2016
Clinical Research in Infectious Diseases
ISSN : 2379-0636
Launched : 2013
JSM Microbiology
ISSN : 2333-6455
Launched : 2013
Journal of Urology and Research
ISSN : 2379-951X
Launched : 2014
Journal of Family Medicine and Community Health
ISSN : 2379-0547
Launched : 2013
Annals of Pregnancy and Care
ISSN : 2578-336X
Launched : 2017
JSM Cell and Developmental Biology
ISSN : 2379-061X
Launched : 2013
Annals of Aquaculture and Research
ISSN : 2379-0881
Launched : 2014
Clinical Research in Pulmonology
ISSN : 2333-6625
Launched : 2013
Journal of Immunology and Clinical Research
ISSN : 2333-6714
Launched : 2013
Annals of Forensic Research and Analysis
ISSN : 2378-9476
Launched : 2014
JSM Biochemistry and Molecular Biology
ISSN : 2333-7109
Launched : 2013
Annals of Breast Cancer Research
ISSN : 2641-7685
Launched : 2016
Annals of Gerontology and Geriatric Research
ISSN : 2378-9409
Launched : 2014
Journal of Sleep Medicine and Disorders
ISSN : 2379-0822
Launched : 2014
JSM Burns and Trauma
ISSN : 2475-9406
Launched : 2016
Chemical Engineering and Process Techniques
ISSN : 2333-6633
Launched : 2013
Annals of Clinical Cytology and Pathology
ISSN : 2475-9430
Launched : 2014
JSM Allergy and Asthma
ISSN : 2573-1254
Launched : 2016
Journal of Neurological Disorders and Stroke
ISSN : 2334-2307
Launched : 2013
Annals of Sports Medicine and Research
ISSN : 2379-0571
Launched : 2014
Annals of Vascular Medicine and Research
ISSN : 2378-9344
Launched : 2014
JSM Biotechnology and Biomedical Engineering
ISSN : 2333-7117
Launched : 2013
Journal of Hematology and Transfusion
ISSN : 2333-6684
Launched : 2013
JSM Environmental Science and Ecology
ISSN : 2333-7141
Launched : 2013
Journal of Cardiology and Clinical Research
ISSN : 2333-6676
Launched : 2013
JSM Nanotechnology and Nanomedicine
ISSN : 2334-1815
Launched : 2013
Journal of Ear, Nose and Throat Disorders
ISSN : 2475-9473
Launched : 2016
JSM Ophthalmology
ISSN : 2333-6447
Launched : 2013
Journal of Pharmacology and Clinical Toxicology
ISSN : 2333-7079
Launched : 2013
Annals of Psychiatry and Mental Health
ISSN : 2374-0124
Launched : 2013
Medical Journal of Obstetrics and Gynecology
ISSN : 2333-6439
Launched : 2013
Annals of Pediatrics and Child Health
ISSN : 2373-9312
Launched : 2013
JSM Clinical Pharmaceutics
ISSN : 2379-9498
Launched : 2014
JSM Foot and Ankle
ISSN : 2475-9112
Launched : 2016
JSM Alzheimer's Disease and Related Dementia
ISSN : 2378-9565
Launched : 2014
Journal of Addiction Medicine and Therapy
ISSN : 2333-665X
Launched : 2013
Journal of Veterinary Medicine and Research
ISSN : 2378-931X
Launched : 2013
Annals of Public Health and Research
ISSN : 2378-9328
Launched : 2014
Annals of Orthopedics and Rheumatology
ISSN : 2373-9290
Launched : 2013
Journal of Clinical Nephrology and Research
ISSN : 2379-0652
Launched : 2014
Annals of Community Medicine and Practice
ISSN : 2475-9465
Launched : 2014
Annals of Biometrics and Biostatistics
ISSN : 2374-0116
Launched : 2013
JSM Clinical Case Reports
ISSN : 2373-9819
Launched : 2013
Journal of Cancer Biology and Research
ISSN : 2373-9436
Launched : 2013
Journal of Surgery and Transplantation Science
ISSN : 2379-0911
Launched : 2013
Journal of Dermatology and Clinical Research
ISSN : 2373-9371
Launched : 2013
JSM Gastroenterology and Hepatology
ISSN : 2373-9487
Launched : 2013
Annals of Nursing and Practice
ISSN : 2379-9501
Launched : 2014
JSM Dentistry
ISSN : 2333-7133
Launched : 2013
Author Information X