Loading

Erectile Dysfunction as a Sentinel Presenting Feature of Cauda Equina Syndrome

Case Report | Open Access | Volume 3 | Issue 1

  • 1. Department of Neurosurgery, The Alfred Hospital, Australia
+ Show More - Show Less
Corresponding Authors
Chengde Pham, Department of Neurosurgery, Level 1, Old Baker Building, The Alfred Hospital, 55 Commercial Rd, Melbourne, Victoria 3004, Australia Tel: 613 90763716; Fax: 613 9076 3740
Abstract

Cauda equina syndrome is a neurosurgical emergency that can be a diagnostic challenge as no single history or examination feature has been found to be pathognomonic. We present the case of a twenty-seven-year-old male presenting only with erectile dysfunction and found to have critical cauda equina compression from a large disc prolapse. Whilst sexual dysfunction is a recognized complication of spinal cord injury, the prevalence of erectile dysfunction as a presenting symptom of cauda equina compression is not known. Sexual histories are often poorly taken by clinicians and this case highlights that erectile dysfunction alone can signify cauda equina syndrome.

Keywords

Cauda equina syndrome , Erectile dysfunction,Disc prolapse, Neurosurgery, Spinal surgery.

CITATION

Pham C, Tee JW (2018) Erectile Dysfunction as a Sentinel Presenting Feature of Cauda Equina Syndrome. JSM Spine 3(1): 1014.

ABBREVIATIONS

CES: Cauda Equina Syndrome; MRI: Magnetic Resonance Imaging

INTRODUCTION

No single history or examination finding is pathognomonic for cauda equina syndrome, which can be represented by a broad constellation of symptoms and signs [1,2]. As such, understanding the neuroanatomy of the cauda equina and its nerve roots is critical for the prompt work up and diagnosis [3]. Whilst sexual dysfunction is recognized as a possible complication of spinal cord injury, erectile dysfunction as the only feature of acute cauda equina syndrome has not previously been reported. Sexual histories are often overlooked by clinicians and this case signifies that it can signify critical lumbosacral pathology.

CASE PRESENTATION

A twenty-seven-year-old male presents with erectile dysfunction. He reported an initial two weeks of lower back pain that resolved by the time of review, whereby the only symptom of note was sexual dysfunction. There was no history of lower limb radicular pain, weakness, paresthesia, numbness or bowel and bladder dysfunction

Lower limb neurological examination was unremarkable with normal sensation to light touch in all dermatomes. Ankle reflexes were present bilaterally. Power was full and equal at all movements. Anal tone was unremarkable on digital rectal examination.

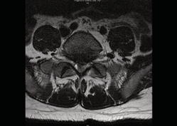
Lumbar spine magnetic resonance imaging (MRI) elicited severe spinal canal stenosis at the S1 level secondary to posterior protrusion of a degenerative L5/S1 disc (Figure1,2).

Figure 1: Sagittal T2 weighted MRI showing extruded disc (from L5/S1) causing central compression of the thecal sac at the S1 level just after the S1 nerve roots have lateralized.

Figure 2: Axial T2 weighted MRI at the level of L5/S1 showing extruded disc (from L5/S1) causing central compression of the thecal sac at the S1 level just after the S1 nerve roots have lateralized.

There was loss of cerebrospinal fluid signal surrounding the cauda equina fibres consistent with cauda equina compression.

 The patient proceeded to an emergency S1 laminectomy and discectomy. He had an uncomplicated recovery and was discharged day two post-operatively. He reported resolution of his erectile dysfunction the day after surgery.

DISCUSSION

The spinal cord terminates at the level of the first and second lumbar vertebrae as the conus medullaris. Lumbosacral nerve roots exiting distal to this are gathered in a ‘horse-tail’ appearance known as the cauda equina. Compression can result in cauda equina syndrome (CES). Somatic and autonomic neuroanatomical pathways are both involved in the normal penile erection. Somatosensory and motor function innervating sacral dermatomes (e.g. penile skin, glans) and skeletal muscle (e.g. ischiocavernosus, bulbospongiosus) travel by peripheral nerves and communicate with the spinal cord via the cauda equina nerve roots. These somatic pathways either synapse (sensory) or originate (motor) at cell bodies in the second to fourth sacral segments of the spinal cord. Onuf’s nucleus, located at S2-S4, is the major somatomotor centre of penile innervation.

Preganglionic parasympathetic fibres also arise from the second to fourth sacral spinal cord segments, exiting via the cauda equina to pass in pelvic nerves to the pelvic plexus and innervate smooth muscle cells of the corpora cavernosa and penile vasculature responsible for tumescence. Sympathetic innervation of urogenital viscera bypasses the cauda equina,

“red flags” for CES, there is a paucity of available literature on the prevalence of erectile dysfunction as a presenting symptom. Whilst sexual dysfunction is a recognized complication in patients with spinal cord injury, to our knowledge there are no documented cases of erectile dysfunction as the single, sentinel feature signifying cauda equina compression [4]. Sexual histories are often poorly taken and this case highlights its critical importance.

Severe back pain, urinary retention and lower limb weakness are well known to be suggestive of CES [1,2,5]. Saddle sensory deficits has also been reported to be a positive predictive feature on examination [1]. However, no single history or examination feature has been found to be pathognomonic for CES [1,2]. CES is a neurosurgical emergency indicating imminent or active lumbosacral nerve fiber damage from which recovery of neurologic deficits is uncertain. Whilst CES may be an uncommon cause of erectile dysfunction and other causes require exclusion, physician vigilance and knowledge of the neurological function conveyed by the nerves contained within the cauda equina is crucial in the diagnosis and treatment of CES [3].

Pham C, Tee JW (2018) Erectile Dysfunction as a Sentinel Presenting Feature of Cauda Equina Syndrome. JSM Spine 3(1): 1014.

Received : 25 Jul 2017
Accepted : 25 Jan 2018
Published : 27 Jan 2018
Journals
Annals of Otolaryngology and Rhinology
ISSN : 2379-948X
Launched : 2014
JSM Schizophrenia
Launched : 2016
Journal of Nausea
Launched : 2020
JSM Internal Medicine
Launched : 2016
JSM Hepatitis
Launched : 2016
JSM Oro Facial Surgeries
ISSN : 2578-3211
Launched : 2016
Journal of Human Nutrition and Food Science
ISSN : 2333-6706
Launched : 2013
JSM Regenerative Medicine and Bioengineering
ISSN : 2379-0490
Launched : 2013
Archives of Palliative Care
ISSN : 2573-1165
Launched : 2016
JSM Nutritional Disorders
ISSN : 2578-3203
Launched : 2017
Annals of Neurodegenerative Disorders
ISSN : 2476-2032
Launched : 2016
Journal of Fever
ISSN : 2641-7782
Launched : 2017
JSM Bone Marrow Research
ISSN : 2578-3351
Launched : 2016
JSM Mathematics and Statistics
ISSN : 2578-3173
Launched : 2014
Journal of Autoimmunity and Research
ISSN : 2573-1173
Launched : 2014
JSM Arthritis
ISSN : 2475-9155
Launched : 2016
JSM Head and Neck Cancer-Cases and Reviews
ISSN : 2573-1610
Launched : 2016
JSM General Surgery Cases and Images
ISSN : 2573-1564
Launched : 2016
JSM Anatomy and Physiology
ISSN : 2573-1262
Launched : 2016
JSM Dental Surgery
ISSN : 2573-1548
Launched : 2016
Annals of Emergency Surgery
ISSN : 2573-1017
Launched : 2016
Annals of Mens Health and Wellness
ISSN : 2641-7707
Launched : 2017
Journal of Preventive Medicine and Health Care
ISSN : 2576-0084
Launched : 2018
Journal of Chronic Diseases and Management
ISSN : 2573-1300
Launched : 2016
Annals of Vaccines and Immunization
ISSN : 2378-9379
Launched : 2014
JSM Heart Surgery Cases and Images
ISSN : 2578-3157
Launched : 2016
Annals of Reproductive Medicine and Treatment
ISSN : 2573-1092
Launched : 2016
JSM Brain Science
ISSN : 2573-1289
Launched : 2016
JSM Biomarkers
ISSN : 2578-3815
Launched : 2014
JSM Biology
ISSN : 2475-9392
Launched : 2016
Archives of Stem Cell and Research
ISSN : 2578-3580
Launched : 2014
Annals of Clinical and Medical Microbiology
ISSN : 2578-3629
Launched : 2014
JSM Pediatric Surgery
ISSN : 2578-3149
Launched : 2017
Journal of Memory Disorder and Rehabilitation
ISSN : 2578-319X
Launched : 2016
JSM Tropical Medicine and Research
ISSN : 2578-3165
Launched : 2016
JSM Head and Face Medicine
ISSN : 2578-3793
Launched : 2016
JSM Cardiothoracic Surgery
ISSN : 2573-1297
Launched : 2016
JSM Bone and Joint Diseases
ISSN : 2578-3351
Launched : 2017
JSM Bioavailability and Bioequivalence
ISSN : 2641-7812
Launched : 2017
JSM Atherosclerosis
ISSN : 2573-1270
Launched : 2016
Journal of Genitourinary Disorders
ISSN : 2641-7790
Launched : 2017
Journal of Fractures and Sprains
ISSN : 2578-3831
Launched : 2016
Journal of Autism and Epilepsy
ISSN : 2641-7774
Launched : 2016
Annals of Marine Biology and Research
ISSN : 2573-105X
Launched : 2014
JSM Health Education & Primary Health Care
ISSN : 2578-3777
Launched : 2016
JSM Communication Disorders
ISSN : 2578-3807
Launched : 2016
Annals of Musculoskeletal Disorders
ISSN : 2578-3599
Launched : 2016
Annals of Virology and Research
ISSN : 2573-1122
Launched : 2014
JSM Renal Medicine
ISSN : 2573-1637
Launched : 2016
Journal of Muscle Health
ISSN : 2578-3823
Launched : 2016
JSM Genetics and Genomics
ISSN : 2334-1823
Launched : 2013
JSM Anxiety and Depression
ISSN : 2475-9139
Launched : 2016
Clinical Journal of Heart Diseases
ISSN : 2641-7766
Launched : 2016
Annals of Medicinal Chemistry and Research
ISSN : 2378-9336
Launched : 2014
JSM Pain and Management
ISSN : 2578-3378
Launched : 2016
JSM Women's Health
ISSN : 2578-3696
Launched : 2016
Clinical Research in HIV or AIDS
ISSN : 2374-0094
Launched : 2013
Journal of Endocrinology, Diabetes and Obesity
ISSN : 2333-6692
Launched : 2013
Journal of Substance Abuse and Alcoholism
ISSN : 2373-9363
Launched : 2013
JSM Neurosurgery and Spine
ISSN : 2373-9479
Launched : 2013
Journal of Liver and Clinical Research
ISSN : 2379-0830
Launched : 2014
Journal of Drug Design and Research
ISSN : 2379-089X
Launched : 2014
JSM Clinical Oncology and Research
ISSN : 2373-938X
Launched : 2013
JSM Bioinformatics, Genomics and Proteomics
ISSN : 2576-1102
Launched : 2014
JSM Chemistry
ISSN : 2334-1831
Launched : 2013
Journal of Trauma and Care
ISSN : 2573-1246
Launched : 2014
JSM Surgical Oncology and Research
ISSN : 2578-3688
Launched : 2016
Annals of Food Processing and Preservation
ISSN : 2573-1033
Launched : 2016
Journal of Radiology and Radiation Therapy
ISSN : 2333-7095
Launched : 2013
JSM Physical Medicine and Rehabilitation
ISSN : 2578-3572
Launched : 2016
Annals of Clinical Pathology
ISSN : 2373-9282
Launched : 2013
Annals of Cardiovascular Diseases
ISSN : 2641-7731
Launched : 2016
Journal of Behavior
ISSN : 2576-0076
Launched : 2016
Annals of Clinical and Experimental Metabolism
ISSN : 2572-2492
Launched : 2016
Clinical Research in Infectious Diseases
ISSN : 2379-0636
Launched : 2013
JSM Microbiology
ISSN : 2333-6455
Launched : 2013
Journal of Urology and Research
ISSN : 2379-951X
Launched : 2014
Journal of Family Medicine and Community Health
ISSN : 2379-0547
Launched : 2013
Annals of Pregnancy and Care
ISSN : 2578-336X
Launched : 2017
JSM Cell and Developmental Biology
ISSN : 2379-061X
Launched : 2013
Annals of Aquaculture and Research
ISSN : 2379-0881
Launched : 2014
Clinical Research in Pulmonology
ISSN : 2333-6625
Launched : 2013
Journal of Immunology and Clinical Research
ISSN : 2333-6714
Launched : 2013
Annals of Forensic Research and Analysis
ISSN : 2378-9476
Launched : 2014
JSM Biochemistry and Molecular Biology
ISSN : 2333-7109
Launched : 2013
Annals of Breast Cancer Research
ISSN : 2641-7685
Launched : 2016
Annals of Gerontology and Geriatric Research
ISSN : 2378-9409
Launched : 2014
Journal of Sleep Medicine and Disorders
ISSN : 2379-0822
Launched : 2014
JSM Burns and Trauma
ISSN : 2475-9406
Launched : 2016
Chemical Engineering and Process Techniques
ISSN : 2333-6633
Launched : 2013
Annals of Clinical Cytology and Pathology
ISSN : 2475-9430
Launched : 2014
JSM Allergy and Asthma
ISSN : 2573-1254
Launched : 2016
Journal of Neurological Disorders and Stroke
ISSN : 2334-2307
Launched : 2013
Annals of Sports Medicine and Research
ISSN : 2379-0571
Launched : 2014
JSM Sexual Medicine
ISSN : 2578-3718
Launched : 2016
Annals of Vascular Medicine and Research
ISSN : 2378-9344
Launched : 2014
JSM Biotechnology and Biomedical Engineering
ISSN : 2333-7117
Launched : 2013
Journal of Hematology and Transfusion
ISSN : 2333-6684
Launched : 2013
JSM Environmental Science and Ecology
ISSN : 2333-7141
Launched : 2013
Journal of Cardiology and Clinical Research
ISSN : 2333-6676
Launched : 2013
JSM Nanotechnology and Nanomedicine
ISSN : 2334-1815
Launched : 2013
Journal of Ear, Nose and Throat Disorders
ISSN : 2475-9473
Launched : 2016
JSM Ophthalmology
ISSN : 2333-6447
Launched : 2013
Journal of Pharmacology and Clinical Toxicology
ISSN : 2333-7079
Launched : 2013
Annals of Psychiatry and Mental Health
ISSN : 2374-0124
Launched : 2013
Medical Journal of Obstetrics and Gynecology
ISSN : 2333-6439
Launched : 2013
Annals of Pediatrics and Child Health
ISSN : 2373-9312
Launched : 2013
JSM Clinical Pharmaceutics
ISSN : 2379-9498
Launched : 2014
JSM Foot and Ankle
ISSN : 2475-9112
Launched : 2016
JSM Alzheimer's Disease and Related Dementia
ISSN : 2378-9565
Launched : 2014
Journal of Addiction Medicine and Therapy
ISSN : 2333-665X
Launched : 2013
Journal of Veterinary Medicine and Research
ISSN : 2378-931X
Launched : 2013
Annals of Public Health and Research
ISSN : 2378-9328
Launched : 2014
Annals of Orthopedics and Rheumatology
ISSN : 2373-9290
Launched : 2013
Journal of Clinical Nephrology and Research
ISSN : 2379-0652
Launched : 2014
Annals of Community Medicine and Practice
ISSN : 2475-9465
Launched : 2014
Annals of Biometrics and Biostatistics
ISSN : 2374-0116
Launched : 2013
JSM Clinical Case Reports
ISSN : 2373-9819
Launched : 2013
Journal of Cancer Biology and Research
ISSN : 2373-9436
Launched : 2013
Journal of Surgery and Transplantation Science
ISSN : 2379-0911
Launched : 2013
Journal of Dermatology and Clinical Research
ISSN : 2373-9371
Launched : 2013
JSM Gastroenterology and Hepatology
ISSN : 2373-9487
Launched : 2013
Annals of Nursing and Practice
ISSN : 2379-9501
Launched : 2014
JSM Dentistry
ISSN : 2333-7133
Launched : 2013
Author Information X