Loading

JSM Surgical Oncology and Research

Mullerian Adenosarcoma of the Uterine Cervix: Case Report. Brazilian National Cancer Institute (INCA)

Case Series | Open Access | Volume 2 | Issue 2

  • 1. Brazilian National Cancer Institute – INCA, Brazil
  • 2. Federal University from Bahia – UFBA, Brazil
+ Show More - Show Less
Corresponding Authors
Ronald Enrique Delgado Bocanegra, Praça da cruz vermelha nº 23, Rio de Janeiro – RJ, Brazil, Tel: 55-21-982325234
Abstract

Introduction: Cervical sarcoma is a rare neoplasm with incidence equal to less than 1% of total cervical malignancies. It is composed of benign glandular elements and malign stromal elements, justifying its name. When it appears in the cervix, it can be clinically confused with benign cervical polyps. Microscopic differentiation is decisive for treatment.

Case presentation:

Case 1: Eleven years old patient, white, without previous record of diseases, virgin. The patient exhibited hyaline vaginal secretion with fetid odor. Physical examination revealed pediculated polypoid lesion. No evidence of metastatic disease was found in image examination.

Case 2: Fifteen years old patient, black, without previous record of diseases, multiparous. The patient exhibited hyaline vaginal secretion with fetid odor. Physical examination revealed pediculated tumor injury in vaginal cavity descendant from the cervix. Both patients did not exhibit abdominal pain or distention and imaging did not reveal expansive pelvic process. Resection of the lesion along with a small fragment of the cervix was performed in both patients, and they remained healthy throughout the entire follow-up period of 2 years for the former and 10 years for the latter.

Conclusion: The müllerian adenosarcoma of the uterine cervix is an extremely rare pathology that can be underdiagnosed. Clinical presentation exhibited minimal differentiation between patients and, in the case of young girls with cervical polyps this neoplasm must be considered during differential diagnosis.

Keywords

• Adenosarcoma

• Cervix

• Differential diagnosis

Citation

Delgado Bocanegra RE, Ferreira EL, de Aguiar Bruno K, de Jesus Almeida L (2017) Mullerian Adenosarcoma of the Uterine Cervix: Case Report. Brazilian National Cancer Institute (INCA) – Rio de Janeiro, Brazil. JSM Surg Oncol Res 2(2): 1017.

ABBREVIATIONS

MA: Müllerian adenosarcoma; MASO: Müllerian adenosarcoma with Sarcomatous Overgrowth; HPV: Human Papillomavirus; HTY: Hysterectomy

INTRODUCTION

Cervical sarcoma is a rare neoplasm with incidence equal to between 0.5 and 1% of all cervical malignancies. The tumor is composed of benign glandular elements and malign stromal elements, which justifies its name [1].

Müllerian adenosarcomas (MA) represent 8% of all uterine sarcomas [2]. A rare and aggressive variant of adenosarcomas is the müllerian adenosarcoma with sarcomatous overgrowth (MASO) of the cervix, which contains sarcomatous components of low or high degree [3]. The main difference from other types of adenosarcomas is the presence of characteristics from high degree of sarcoma present in MASO. This neoplasm is a biphasic tumor of the uterus and generally presents itself as a polypoid mass in the endometrial cavity. When it appears on the cervix it can be clinically and pathologically confused with benign cervical polyps. Therefore, microscopic differentiation is decisive for treatment [4,5].

In regard to tumor etiology, the human papillomavirus (HPV) does not seem to play an important role in the development of cervical adenosarcoma. The existence of an alternative histogenetic route is suggested for this rare kind of tumor [6].

CASE PRESENTATION

We performed a retrospective study at Brazilian National Cancer Institute, Rio de Janeiro, approved by the Ethics and Research committee of the institution, under number 60755016.6.0000.5274.

Patients included must have histopathological confirmation of adenosarcoma during the period of 1997 to 2016. There were seven clinical cases identified registered with histopathological diagnostics of adenosarcoma. Five cases were excluded: one was not a patient at the Brazilian National Cancer Institute (INCA) and the other four had the primary disease in the body of the uterus with the cervix suffering only of secondary invasion. Data was collected from patient medical records.

Case 1

The patient was eleven years old, white, without previous record of diseases, virgin, and exhibited hyaline vaginal secretion with fetid odor. Physical examination revealed a small pediculated polypoid lesion (2cm).

The last performed examination was magnetic resonance imaging of the abdomen and pelvis in 2014, prior to withdrawal from monitoring. No pathological abnormalities were found. Monitoring was maintained for two years without clinical or radiological evidence of relapse. Monitoring was irregular, however, due to multiple appointment and examination rescheduling due to low patient compliance. The last appointment was in March of 2015, in which it was suggested the execution of new exams including hysteroscopy, however the patient did not follow through with monitoring.

Case 2

The patient was fifteen years old, black, without previous record of diseases, multiparous, and exhibited hyaline vaginal secretion with fetid odor. Physical examination revealed small pediculated tumor injury in vaginal cavity descendant from the cervix. It was 3cm of larger diameter.

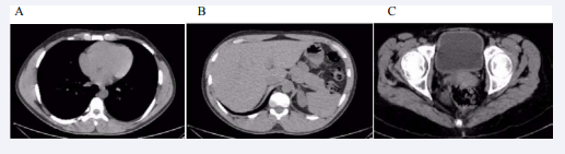
Both patients did not exhibit abdominal pain or distention and their computed tomography scansdid not reveal expansive pelvic process or metastatic disease (Figure 1).

Figure 1 Computed tomography scans evidencing the absence of distant disease and adnexal masses: A – absence of metastasis on the lungs; B – absence of metastasis  on the liver; C – absence of adnexal masses. (Images obtained from presented cases)

Figure 1 Computed tomography scans evidencing the absence of distant disease and adnexal masses: A – absence of metastasis on the lungs; B – absence of metastasis on the liver; C – absence of adnexal masses. (Images obtained from presented cases).

Clinical examination revealed pediculatedpolypoid tumor injury in the vaginal cavity descendant from the cervix requiring resection of the lesion along with a small fragment of the cervix (Table 1).

Table 1: Clinical and pathological characteristics and outcomes observed during the follow-up period.

Variables Case 1 Case 2
Clinical Characteristics    
Age (years) 11 15
Ethnic group White Black
Tumor size 2cm 3cm
TNM classification 1b1;0;0 1b1;0;0
Surgical treatment Yes Yes
Outpatient follow-up 2 years 10 years
Clinical/pathological symptoms    
Hyaline vaginal secretion Yes Yes
Secretion with fetid odor Yes Yes
Cervical polypoidlesion Yes Yes
Abdominal pain No No
Adnexalinjury No No
Fever (>37.5ºC) No No

Note: TNM classification: T –describes the primary tumor site; N –describes the regional lymph node involvement; M –describes the presence or otherwise of distant metastatic spread.

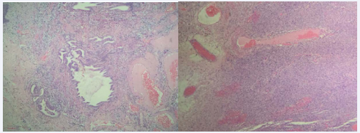
Histopathological report of the lesion revealed for first case was heterologous cervical adenosarcoma with rhabdomyoblastic and chondroid differentiation, without myometrial and lymphovascular invasion. The second case was adenosarcoma with ulcerated polypoid cervical tumor without sarcomatous overgrowth, no rhabdomyoblastic and no chondroid differentiation, without myometrial and lymphovascular invasion (Figure 2).

Figure 2 Histopathological examination evidencing müllerianadenosarcoma of the cervix. (Images obtained from the presented cases)

Figure 2 Histopathological examination evidencing müllerianadenosarcoma of the cervix. (Images obtained from the presented cases).

Both patients remained healthy throughout the entire followup period, though case 1 patient had irregular monitoring, maintained only for 2 years because patient never return to hospital. Patient Case 2 was kept with monitoring for 10 years, with image examinations, laboratorial examinations and oncotic cytologies. The latter received medical release from the institution for outpatient monitoring from general gynecology specialty. In both cases the treatment performed was surgical resection of primary lesions, without adjuvant treatments. The patient of the first case did not perform adjuvant therapy because she did not follow up regularly. The second case had a closer observation.

DISCUSSION

Müllerian adenosarcoma is a neoplasm with benign glandular elements and malign stromal elements. It is denominated heterologous if the bone, cartilage and striated muscle are present, and homologous if smooth muscle cells or fibroblasts are found. Overall 71% of adenosarcomas occur in the body of the uterus, 15% in the ovaries, 12% in the pelvis and only 2% in the cervix. It is known that the müllerian adenosarcoma with the cervix as primary site is a rare entity, data which is ratified in the present study as only two cases were identified in a period of 20 years. Among the cases of gynecological adenosarcoma compromising the cervix as primary site, one of them was heterologous [7].

Histological examination of the cervical adenosarcoma usually reveals glands with eccentric shapes and visible ramifications, with discrete periglandular cell stroma, active mitosis of atypical stromal cells and coating epithelium exhibiting altered differentiation (most of which is ciliated or like endometrial epithelium). There may also be a gamut of atypical cells in the cellular stroma and mitotic indices. Heterologous components, notably cartilage and striated muscle, are occasionally seen in cases of younger women [8]. As described in case 2, the patient exhibited rhabdomyoblastic and chondroid differentiation.

Differential diagnostics of adenosarcoma includes benign polyp, adenofibroma, embryonic rhabdomyosarcoma and endometrial stromal sarcoma. In post-menarche adolescents these tumors initially appear as cervical polyps, whereas in postmenopause women they generally appear in the endometrium [9]. Both cases presented herein show the same clinical characteristics of tumor presentation, with polypoid lesions originating in the cervix.

Hysterectomy (HTY) is the main treatment for adenosarcoma, and with easier indication for adults with endometrial adenosarcoma. An apparent cervical tumor locally resectable in a woman whose fertility must be preserved is a difficult challenge. Jones and Lefkowitz [10] have presented the largest series of cervical adenosarcoma cases. Three of the twelve patients exhibited excisional biopsy and hysterectomy was performed in the others. The authors reported that the invasion of the deep myometrium was an important factor in prognosis [10,11]. In the cases presented here, the resection of the cervical polypoid lesions was performed by excision biopsy. The lesion resection was done considering the young age of the patients and, therefore, the intent to preserve fertility and because the patients did not exhibit clinical or radiological signs of relapse during follow-up monitoring and had low risk disease indicated by the absence of the myometrial invasion, sarcomatous overgrowth and lesion <5cm.

Endometrial adenosarcomas have been typically found in post-menopause women with average age of 58 years. On the other hand, cervical adenosarcomas tend to appear more frequently in younger women, with average age of 31 years. The most common presented symptom is abnormal vaginal bleeding (71%), menorrhagia or metrorrhagia. These tumors can present themselves as pelvic masses (37%), uterine polyps (22%) or enlarged uterus (22%). Pain, odor from vaginal secretion or symptoms of pelvic pressure are also reported [12]. Also in this study, performed by Buyukkurt et al. [12], the most common finding was tissue expelled by the external cervical orifice, giving the initial diagnostic impression of benign endocervical polyps. History of recurring polyps in clinical evaluation and pathological examination are common before the final diagnosis of adenosarcoma. The symptoms exhibited by this study’s patients were yellowed vaginal secretion with fetid odor as well as tumor manifested as cervical polyps.

Müllerian adenosarcoma without sarcomatous overgrowth are considered tumors with low chance of relapse (10-20%) and represent only 8% of all uterine sarcomas, usually from the uterine body and presenting itself as a polypoid mass protruding to the cervical canal. It is important to emphasize that only in mixed tumors both the epithelium as well as the mesenchymal components are malignant. Within adenosarcomas, the evolution of the two is antagonistic, that is, the glandular component exhibits real characteristics of benignity and the sarcomatous component of malignancy. Müllerian mixed tumors in the cervix, in comparison with those in the uterine body, are extremely rare. The literature emphasizes that adenosarcomas primary in the cervix can show in a frequency of 2 to 24 similar primary tumors in the endometrium [13].

The development of metastasis for cervical adenosarcoma without sarcomatous overgrowth is rare. The location in the cervix and the presence of heterologous elements are extremely uncommon and were reported originally by Roth et al. [14]. The malignant elements of the stroma can be homologous (fibroblasts or smooth muscles) or heterologous (cartilage, striated muscle or bone) and, due to the scarcity of reports and long-term monitoring, the biological potential of this tumor is still mostly unknown [8,15].

The majority of müllerian adenosarcoma happen within the uterine body of post-menopause women. The tumor rarely presents itself as a cervical lesion [16]. Jones and Lefkowitz[10], evaluated 12 cases and performed an additional literature revision of 12 additional cases and found an average age of presentation of 31 years, with a third of the patients below 15 years. The findings corroborate those in the present study, in which both cervical adenosarcoma cases were in young patients of 11 and 15 years.

ACKNOWLEDGEMENTS

To Dr. Fábio Carvalho, pathologist of the Brazilian National Cancer Institute, for providing the images of the histopathological examination.

REFERENCES

1. Bhandare D, Madiwale C, Kothari K, Pandit A, Kane S. Mullerian adenosarcoma of the uterine cervix. Indian J Pathol Microbiol. 2001; 44: 371-372.

2. Muñoz G, Ríos MJ, Valero MI, Gimeno E. Adenosarcomamulleriano de útero: un tumor infrecuente de difícil diagnóstico. Prog Obstet Ginecol. 2013; 56: 382-386.

3. Park HM, Park MH, Kim YJ, Chun SH, Ahn JJ, Kim CI, et al. Mullerian adenosarcoma with sarcomatous overgrowth of the cervix presenting as cervical polyp: a case report and review of the literature. Int J Gynecol Cancer. 2004; 14: 1024-1029.

4. Comuno?lu N, Comuno?lu C, Ba?süllü N, Somunkiran A, Calay Z. Müllerian adenosarcoma with sarcomatous overgrowth of the cervix: unusual large polypoid mass. Ups J Med Sci. 2007; 112: 67-72.

5. Hino A, Hirose T, Seki K, Uehara H, Sano N. Adenosarcoma of the uterine cervix presenting as a cervical polyp. Pathol Int. 1998; 48: 649-652.

6. Mumba E, Ali H, Turton D, Cooper K, Grayson W. Human papillomaviruses do not play an aetiological role in Müllerian adenosarcomas of the uterine cervix. J Clin Pathol. 2008; 61: 1041- 1044.

7. Chin PS, Chia YN, Lim YK, Yam KL. Diagnosis and management of Müllerian adenosarcoma of the uterine cervix. Int J Gynaecol Obstet. 2013; 121: 229-232.

8. Bagga R, Keepanasseril A, Srinivasan R, Dey P, Gainder S, Saha SC, et al. Adenosarcoma of the uterine cervix with heterologous elements: a case report and review of literature. Arch Gynecol Obstet. 2010; 281: 669-675.

9. Manoharan M, Azmi MA, Soosay G, Mould T, Weekes AR. Mullerian adenosarcoma of uterine cervix: report of three cases and review of literature. Gynecol Oncol. 2007; 105: 256-260.

10. Jones MW, Lefkowitz M. Adenosarcoma of the uterine cervix: a clinicopathological study of 12 cases. Int J Gynecol Pathol. 1995; 14: 223-229.

11. Fleming NA, Hopkins L, de Nanassy J, Senterman M, Black AY. Mullerian adenosarcoma of the cervix in a 10-year-old girl: case report and review of the literature. J Pediatr Adolesc Gynecol. 2009; 22: e45-e51.

12. Buyukkurt S, Guzel AB, Gumurdulu D, Vardar MA, Zeren H, Sucu M. Mullerian adenosarcoma of the uterine cervix in an adolescent girl. J Pediatr Adolesc Gynecol. 2010; 23: e13-e15.

13. Patrelli TS, Gizzo S, Gangi SD, Guidi G, Rondinelli M, Nardelli GB. Cervical mullerian adenosarcoma with heterologous sarcomatous overgrowth: a fourth case and review of literature. BMC Cancer. 2011; 11: 236.

14. Roth LM, Pride GL, Sharma HM. Mullerian adenosarcoma of the uterine cervix with heterologous elements: a light and electron microscopic study. Cancer. 1976; 37:1725-1736.

15. Niculescu M, Simionescu C, Novac L, Mogoant? L, Mîndril? I. Adenosarcoma of the uterine cervix: positive and differential diagnosis. Rom J Morphol Embryol. 2007; 48: 79-82.

16. Podduturi V, Pinto KR. Mullerian adenosarcoma of the cervix with heterologous elements and sarcomatous overgrowth. Proc (Bayl Univ Med Cent). 2016; 65-67

 

Delgado Bocanegra RE, Ferreira EL, de Aguiar Bruno K, de Jesus Almeida L (2017) Mullerian Adenosarcoma of the Uterine Cervix: Case Report. Brazilian National Cancer Institute (INCA) – Rio de Janeiro, Brazil. JSM Surg Oncol Res 2(2): 1017.

Received : 12 Aug 2017
Accepted : 25 Sep 2017
Published : 27 Sep 2017
Journals
Annals of Otolaryngology and Rhinology
ISSN : 2379-948X
Launched : 2014
JSM Schizophrenia
Launched : 2016
Journal of Nausea
Launched : 2020
JSM Internal Medicine
Launched : 2016
JSM Hepatitis
Launched : 2016
JSM Oro Facial Surgeries
ISSN : 2578-3211
Launched : 2016
Journal of Human Nutrition and Food Science
ISSN : 2333-6706
Launched : 2013
JSM Regenerative Medicine and Bioengineering
ISSN : 2379-0490
Launched : 2013
JSM Spine
ISSN : 2578-3181
Launched : 2016
Archives of Palliative Care
ISSN : 2573-1165
Launched : 2016
JSM Nutritional Disorders
ISSN : 2578-3203
Launched : 2017
Annals of Neurodegenerative Disorders
ISSN : 2476-2032
Launched : 2016
Journal of Fever
ISSN : 2641-7782
Launched : 2017
JSM Bone Marrow Research
ISSN : 2578-3351
Launched : 2016
JSM Mathematics and Statistics
ISSN : 2578-3173
Launched : 2014
Journal of Autoimmunity and Research
ISSN : 2573-1173
Launched : 2014
JSM Arthritis
ISSN : 2475-9155
Launched : 2016
JSM Head and Neck Cancer-Cases and Reviews
ISSN : 2573-1610
Launched : 2016
JSM General Surgery Cases and Images
ISSN : 2573-1564
Launched : 2016
JSM Anatomy and Physiology
ISSN : 2573-1262
Launched : 2016
JSM Dental Surgery
ISSN : 2573-1548
Launched : 2016
Annals of Emergency Surgery
ISSN : 2573-1017
Launched : 2016
Annals of Mens Health and Wellness
ISSN : 2641-7707
Launched : 2017
Journal of Preventive Medicine and Health Care
ISSN : 2576-0084
Launched : 2018
Journal of Chronic Diseases and Management
ISSN : 2573-1300
Launched : 2016
Annals of Vaccines and Immunization
ISSN : 2378-9379
Launched : 2014
JSM Heart Surgery Cases and Images
ISSN : 2578-3157
Launched : 2016
Annals of Reproductive Medicine and Treatment
ISSN : 2573-1092
Launched : 2016
JSM Brain Science
ISSN : 2573-1289
Launched : 2016
JSM Biomarkers
ISSN : 2578-3815
Launched : 2014
JSM Biology
ISSN : 2475-9392
Launched : 2016
Archives of Stem Cell and Research
ISSN : 2578-3580
Launched : 2014
Annals of Clinical and Medical Microbiology
ISSN : 2578-3629
Launched : 2014
JSM Pediatric Surgery
ISSN : 2578-3149
Launched : 2017
Journal of Memory Disorder and Rehabilitation
ISSN : 2578-319X
Launched : 2016
JSM Tropical Medicine and Research
ISSN : 2578-3165
Launched : 2016
JSM Head and Face Medicine
ISSN : 2578-3793
Launched : 2016
JSM Cardiothoracic Surgery
ISSN : 2573-1297
Launched : 2016
JSM Bone and Joint Diseases
ISSN : 2578-3351
Launched : 2017
JSM Bioavailability and Bioequivalence
ISSN : 2641-7812
Launched : 2017
JSM Atherosclerosis
ISSN : 2573-1270
Launched : 2016
Journal of Genitourinary Disorders
ISSN : 2641-7790
Launched : 2017
Journal of Fractures and Sprains
ISSN : 2578-3831
Launched : 2016
Journal of Autism and Epilepsy
ISSN : 2641-7774
Launched : 2016
Annals of Marine Biology and Research
ISSN : 2573-105X
Launched : 2014
JSM Health Education & Primary Health Care
ISSN : 2578-3777
Launched : 2016
JSM Communication Disorders
ISSN : 2578-3807
Launched : 2016
Annals of Musculoskeletal Disorders
ISSN : 2578-3599
Launched : 2016
Annals of Virology and Research
ISSN : 2573-1122
Launched : 2014
JSM Renal Medicine
ISSN : 2573-1637
Launched : 2016
Journal of Muscle Health
ISSN : 2578-3823
Launched : 2016
JSM Genetics and Genomics
ISSN : 2334-1823
Launched : 2013
JSM Anxiety and Depression
ISSN : 2475-9139
Launched : 2016
Clinical Journal of Heart Diseases
ISSN : 2641-7766
Launched : 2016
Annals of Medicinal Chemistry and Research
ISSN : 2378-9336
Launched : 2014
JSM Pain and Management
ISSN : 2578-3378
Launched : 2016
JSM Women's Health
ISSN : 2578-3696
Launched : 2016
Clinical Research in HIV or AIDS
ISSN : 2374-0094
Launched : 2013
Journal of Endocrinology, Diabetes and Obesity
ISSN : 2333-6692
Launched : 2013
Journal of Substance Abuse and Alcoholism
ISSN : 2373-9363
Launched : 2013
JSM Neurosurgery and Spine
ISSN : 2373-9479
Launched : 2013
Journal of Liver and Clinical Research
ISSN : 2379-0830
Launched : 2014
Journal of Drug Design and Research
ISSN : 2379-089X
Launched : 2014
JSM Clinical Oncology and Research
ISSN : 2373-938X
Launched : 2013
JSM Bioinformatics, Genomics and Proteomics
ISSN : 2576-1102
Launched : 2014
JSM Chemistry
ISSN : 2334-1831
Launched : 2013
Journal of Trauma and Care
ISSN : 2573-1246
Launched : 2014
Annals of Food Processing and Preservation
ISSN : 2573-1033
Launched : 2016
Journal of Radiology and Radiation Therapy
ISSN : 2333-7095
Launched : 2013
JSM Physical Medicine and Rehabilitation
ISSN : 2578-3572
Launched : 2016
Annals of Clinical Pathology
ISSN : 2373-9282
Launched : 2013
Annals of Cardiovascular Diseases
ISSN : 2641-7731
Launched : 2016
Journal of Behavior
ISSN : 2576-0076
Launched : 2016
Annals of Clinical and Experimental Metabolism
ISSN : 2572-2492
Launched : 2016
Clinical Research in Infectious Diseases
ISSN : 2379-0636
Launched : 2013
JSM Microbiology
ISSN : 2333-6455
Launched : 2013
Journal of Urology and Research
ISSN : 2379-951X
Launched : 2014
Journal of Family Medicine and Community Health
ISSN : 2379-0547
Launched : 2013
Annals of Pregnancy and Care
ISSN : 2578-336X
Launched : 2017
JSM Cell and Developmental Biology
ISSN : 2379-061X
Launched : 2013
Annals of Aquaculture and Research
ISSN : 2379-0881
Launched : 2014
Clinical Research in Pulmonology
ISSN : 2333-6625
Launched : 2013
Journal of Immunology and Clinical Research
ISSN : 2333-6714
Launched : 2013
Annals of Forensic Research and Analysis
ISSN : 2378-9476
Launched : 2014
JSM Biochemistry and Molecular Biology
ISSN : 2333-7109
Launched : 2013
Annals of Breast Cancer Research
ISSN : 2641-7685
Launched : 2016
Annals of Gerontology and Geriatric Research
ISSN : 2378-9409
Launched : 2014
Journal of Sleep Medicine and Disorders
ISSN : 2379-0822
Launched : 2014
JSM Burns and Trauma
ISSN : 2475-9406
Launched : 2016
Chemical Engineering and Process Techniques
ISSN : 2333-6633
Launched : 2013
Annals of Clinical Cytology and Pathology
ISSN : 2475-9430
Launched : 2014
JSM Allergy and Asthma
ISSN : 2573-1254
Launched : 2016
Journal of Neurological Disorders and Stroke
ISSN : 2334-2307
Launched : 2013
Annals of Sports Medicine and Research
ISSN : 2379-0571
Launched : 2014
JSM Sexual Medicine
ISSN : 2578-3718
Launched : 2016
Annals of Vascular Medicine and Research
ISSN : 2378-9344
Launched : 2014
JSM Biotechnology and Biomedical Engineering
ISSN : 2333-7117
Launched : 2013
Journal of Hematology and Transfusion
ISSN : 2333-6684
Launched : 2013
JSM Environmental Science and Ecology
ISSN : 2333-7141
Launched : 2013
Journal of Cardiology and Clinical Research
ISSN : 2333-6676
Launched : 2013
JSM Nanotechnology and Nanomedicine
ISSN : 2334-1815
Launched : 2013
Journal of Ear, Nose and Throat Disorders
ISSN : 2475-9473
Launched : 2016
JSM Ophthalmology
ISSN : 2333-6447
Launched : 2013
Journal of Pharmacology and Clinical Toxicology
ISSN : 2333-7079
Launched : 2013
Annals of Psychiatry and Mental Health
ISSN : 2374-0124
Launched : 2013
Medical Journal of Obstetrics and Gynecology
ISSN : 2333-6439
Launched : 2013
Annals of Pediatrics and Child Health
ISSN : 2373-9312
Launched : 2013
JSM Clinical Pharmaceutics
ISSN : 2379-9498
Launched : 2014
JSM Foot and Ankle
ISSN : 2475-9112
Launched : 2016
JSM Alzheimer's Disease and Related Dementia
ISSN : 2378-9565
Launched : 2014
Journal of Addiction Medicine and Therapy
ISSN : 2333-665X
Launched : 2013
Journal of Veterinary Medicine and Research
ISSN : 2378-931X
Launched : 2013
Annals of Public Health and Research
ISSN : 2378-9328
Launched : 2014
Annals of Orthopedics and Rheumatology
ISSN : 2373-9290
Launched : 2013
Journal of Clinical Nephrology and Research
ISSN : 2379-0652
Launched : 2014
Annals of Community Medicine and Practice
ISSN : 2475-9465
Launched : 2014
Annals of Biometrics and Biostatistics
ISSN : 2374-0116
Launched : 2013
JSM Clinical Case Reports
ISSN : 2373-9819
Launched : 2013
Journal of Cancer Biology and Research
ISSN : 2373-9436
Launched : 2013
Journal of Surgery and Transplantation Science
ISSN : 2379-0911
Launched : 2013
Journal of Dermatology and Clinical Research
ISSN : 2373-9371
Launched : 2013
JSM Gastroenterology and Hepatology
ISSN : 2373-9487
Launched : 2013
Annals of Nursing and Practice
ISSN : 2379-9501
Launched : 2014
JSM Dentistry
ISSN : 2333-7133
Launched : 2013
Author Information X