Glucagon Secreting Tumors and Glucagonoma Syndrome
- 1. Department of Diabetes and Endocrinology, St George’s Hospital, UK
- 2. Department of Cytopathlogy, St George’s Hospital, UK
- 3. Department of Radiology, St George’s Hospital, UK
- 4. Department of Surgery, St George’s Hospital, UK
Abstract
Glucagonomas are the functioning neuroendocrine tumors. These arise from pancreatic islet α-cells. These tumors are extremely rare and have an annual incidence of 1 per 20-40 million population 80% of glucagon-expressing tumors are sporadic, and 20% are associated with genetic syndromes such as Multiple Endocrine Neoplasia-type 1. Glucagonoma typically occurs in the distal pancreas, and around 85% are in the body or tail. It tends to be large at the time of diagnosis. Most reported cases of glucagonoma are malignant and about 6575% patients present with metastatic disease. The liver is usually the first site of metastases, followed by the involvement of peripancreatic lymph nodes. The term Glucagonoma syndrome and glucagonoma are often interchangeably used, but in fact, these are two distinct entities. Glucagonoma syndrome comprises of necrolytic migratory erythema, hyperglucagonemia, diabetes mellitus, anemia, weight loss, glossitis, diarrhea, venous thrombosis and neuropsychiatric disturbances in the presence of a glucagon-producing tumor of the pancreas. Tumors secreting glucagon can occur without the glucagonoma syndrome. The glucagonoma secretion depends on the expression of protein convertase enzyme PC1/3 or PC2 within the tumor itself. As a result of this expression, the clinical manifestations can be variable. The tumor can either present with hyperinsulinemic hypoglycemia in a patient with a previous history of diabetes or with the features of the glucagonoma syndrome. In cases where a tumor is localized surgery is the curative treatment. Reduction of the tumor bulk, removal of the primary by surgery and targeted therapy for the hepatic metastases are the favored approach even when there is the metastasis.
KEYWORDS
• Glucagonoma
• Glucagonoma syndrome
• Multiple endocrine neoplasia
• Necrolytic migratory erythema
• Biomarkers
CITATION
Khalid Y, Ozair F, Parc JD, Beharry N, Mudan S, et al. (2017) Glucagon Secreting Tumors and Glucagonoma Syndrome. JSM Thyroid Disord Manag 2(1): 1008.
ABBREVIATIONS
GEP: Gastroenteropancreatic (GEP); NETs: Neuroendocrine Tumors, PGDP: Proglucagon-Derived Peptides; MEN-1: Multiple Endocrine Neoplasia-Type 1; GLP-1: Glucagon-Like Peptide-1
INTRODUCTION
Gastroenteropancreatic (GEP) neuroendocrine tumors (NETs) can be either nonfunctioning or functioning. Functioning tumors can result in an endocrine syndrome due to inappropriate hormone secretion. The classification of these tumors depends on the hormone production that results in a particular syndrome. GEP NETs are rare with an annual incidence rate of less than 10 per million population. Glucagonomas are the functioning NETs. These arise from pancreatic islet α-cells that synthesize and secrete proglucagon-derived peptides (PGDP). These tumors are extremely rare and have an annual incidence of 1 per 20-40 million population. The frequency of islet cell tumors expressing glucagon is reported to be approximately 1% in autopsy studies, suggesting that many of tumors are either not diagnosed and associated with a sub-clinical disease. 80% of glucagon-expressing tumors are sporadic, and 20% are related to genetic syndromes such as Multiple Endocrine Neoplasia-type 1 (MEN1) [1]. Mahvash disease, a rare inherited tumor predisposition syndrome, due to inactivating mutations in the glucagon receptor (GCGR) gene is associated with pancreatic α-cell hyperplasia and glucagonoma [2]. The term Glucagonoma syndrome and glucagonoma is interchangeably used, but these are two distinct entities.
CASE PRESENTATION
Case 1
64 years old Caucasian male presented with a maculopapular pruritic rash on his legs that settled with topical steroid treatment. A year later he developed a rash on his legs, arm, chest and back (Figure 1).

Figure 1 Generalized skin rash.
His skin biopsy was suggestive of necrolytic migratory erythema (NME). He had six months history of abdominal pain, bloating, frequent diarrhea and weight loss. His investigations showed high glucagon, chromogranin A, and B. His other gut peptides and hormones, including serum calcium and parathyroid hormone were normal (Table 1).
| Peptide | Value | Range |
| PP | 108pmol/l | 0-300 |
| Gastrin | 9pmol/l | 0-40 |
| Glucagon | 348pmol/l | 0-50 |
| Somatostatin | 33pmol/l | 0-150 |
| Chromogranin A | 74pmol/l | 0-60 |
| Chromogranin B | 257pmol/l | 0-150 |
| PTH | 2.3pmol/l | 1.1-6.9 |
| Prolactin | 110mIU/l | 86-324 |
| IGF-1 | 18.1nmol/l | 5.6-25.3 |
| VIP= Vasoactive intestinal peptide, PP= Pancreatic polypeptide, PTH= parathyroid hormone, IGF-1= Insulin like growth factor | ||
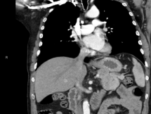
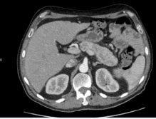
His oral glucose tolerance confirmed him to be diabetic. His CT scan showed a large pancreatic mass with involvement of lymph nodes and local infiltration (Figure 2,3).

Figure 2 Pancreatic mass with lymph node involvement.

Figure 3 Pancreatic mass with local tissue invasion.
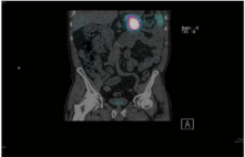
This mass was octreotide avid (Figure 4).

Figure 4 Positive Octreotide scan.
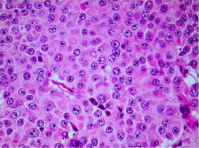
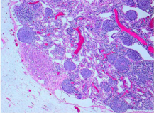
He had distal pancreatectomy and splenectomy. His histology showed normal tubular and acinar morphology within a vascular stroma. There was modest nuclear pleomorphism with some chromatin aggregation, prominent nucleoli and abundant granular cytoplasm (Figure 5).

Figure 5 Tumor in high power modest nuclear pleomorphisim, prominent nuclei with abundant granular cytoplasm.
The lymph node showed normal small lymphocytes in a vascular stroma with a small aggregate of tumor cells (Figure 6).

Figure 6 Lymph node show lymphocytes and aggregates of tumor cells
He was started on somatostatin analog treatment. His symptoms, including his rash, settled and diabetes improved. His genetic test for MEN 1 mutation was negative.
Case 2
A 25- year old male presented with recurrent renal calculi. He was diagnosed with primary hyperparathyroidism. He was MEN- 1 mutation positive. He had a total parathyroidectomy but developed hyperparathyroidism an year later. He had an accessory parathyroid gland in the mediastinum and removal of this gland normalized his serum calcium. He was under surveillance with annual blood tests. Four years later his gut peptides including glucagon, pancreatic polypeptide and Chromogranin B started to increase. He had occasional diarrhea. His results are documented in Table 2.
| Peptide | Value | Range |
| VIP | 13 pmol/l | 0-30 |
| PP | 413pmol/l | 0-300 |
| Gastrin | 5 pmol/l | 0-40 |
| Glucagon | 136pmol/l | 0-50 |
| Somatostatin | 38pmol/l | 0-150 |
| Chromogranin A | 27pmol/l | 0-60 |
| Chromogranin B | 159pmol/l | 0-150 |
| PTH | 0.3pmol/l | 1.1-6.9 |
| Prolactin | 208mIU/l | 86-324 |
| IGF-1 | 17.3nmol/l | 5.6-25.3 |
| VIP= Vasoactive intestinal peptide, PP= Pancreatic polypeptide, PTH= parathyroid hormone, IGF-1= Insulin like growth factor | ||
His CT and MRI scan showed a cystic abnormality 4.0 x 1.8 cm arising from the posterior aspect of the tail of the pancreas. This cystic lesion was Octreotide avid. His endoscopic ultrasound scan (EUS) showed a lesion in the tail of the pancreas. The fine needle aspiration (FNA) of the lesion was inadequate. He had distal pancreatectomy and splenectomy and remains well.
DISCUSSION
Glucagonoma is a slowly growing PNET, frequently malignant and an extremely rare neuroendocrine tumor of the α-cells of the pancreas. Glucagonoma syndrome was first described in 1942 [3] and is characterized by Necrolytic migratory erythema (NME), hyperglucagonemia, diabetes mellitus, anemia, weight loss, glossitis, steatorrhea, diarrhea, venous thrombosis and neuropsychiatric disturbances. These features are present in the setting of a glucagon-producing α-cell tumor of the pancreas.
Pseudoglucagonoma syndrome is the presence of NME in the absence of a pancreatic tumor. These conditions include Liver disease, Inflammatory bowel disease, Pancreatitis, Malabsorption disorders (i.e., coeliac disease) and other malignancies.Glucagonoma typically occurs in the distal pancreas. Around 85% of these tumors are in the body or tail of the pancreas. It tends to be large at the time of diagnosis. Most reported cases of glucagonoma are malignant, and about 65-75% patients present with metastatic disease in the liver and this is followed by the involvement of peripancreatic lymph node [4]. Glucagon secreting tumors can also occur without the glucagonoma syndrome. Glucagonoma may occur in patients with MEN-1 and other genetic syndromes, although this association is rare. The tumors in these cases are usually multifocal and, slow growing.
High glucagon levels may be detected early due to regular surveillance of MEN-1 patients. If detected due to the presence of symptoms, then 80% f these tumors tend to be malignant at the time of diagnosis. In neurofibromatosis (NF1) and, in von Hippel -Lindau disease (VHL) the association of these tumors is also well recognized [5].
A significant number of patients with glucagonoma have no clinical symptoms, and also the clinical presentation is not uniform. Some of the patients can present with classical glucagonoma syndrome, but a majority can be asymptomatic. Some reports have described patients with glucagonoma presenting with acute heart failure and dilated cardiomyopathy.
After normalization of glucagon level, this clinical entity tends to improves [6]. Glucagonoma that produces GLP-1 and GLP-2 are unusual and not well recognized. Such tumors tend to present with hypoglycemia and hyperinsulinemia. These patients can also have gastrointestinal dysfunction (refractory constipation, reduced motility, gross structural abnormalities of the small intestine). This type of presentation is mostly described as a paraneoplastic syndrome in the literature [7].
Glucagonomas produce proglucagon-derived peptide (GRP). The variable clinical phenotypes associated with these tumors may be related to the specific secreted peptide derived from proglucagon in that particular tumor. The proglucagon processing happens in a cell type-specific manner. In α-cells of the pancreas, proglucagon is cleaved to glucagon by prohormone convertase 2 (PC2). Glucagon is cleaved to glucagon-like peptide-1 (GLP1) and GLP-2 by PC1 in the intestinal L-cells. This process of glucagon cleavage depends on the differential expression of PC1 and PC2 in the tissues. The expression of PC1/3 or PC2 in a tumor will determine the secretory output of the glucagonoma and the clinical presentation. GLP-1 is responsible for the increment of glucose stimulated insulin secretion (GSIS).
Some of the clinical features are shared by all patients with glucagonoma irrespective of PC expression in the tumor. These include weight loss, diarrhea, anemia, NME, increased glucagon secretion, hypoaminoacidemia, increase in biomarkers such as Chromogranin A and neuron specific enolase and increased expression of somatostatin receptors.
Clinical features that are unique to the involvement of α-cells in the pancreas are secretion of glucagon and hyperglycemia. The features of L-cells involvement is secretion of GLP-1, GLP-2, oxyntomodulin, glicentin, neurotensin, PYY and glucagon. L - cell involvement results in reactive hypoglycemia, abnormality of the intestinal mucosa, malabsorption and delayed intestinal transit time [8].
Diagram:
Proglucagon processing in specific tissues

DIAGNOSIS
A high index of suspicion and clinical symptoms help to establish the diagnosis of any functional NETs. Hyperglucagonemia with the glucagon level of more than 500mg/ml in association with classical clinical features should confirm the diagnosis of the glucagonoma. The diagnosis is not definite in the absence of typical clinical features even when glucagon levels are high. It is mandatory to exclude other conditions that can cause high glucagon levels. These conditions are renal failure, pancreatitis, diabetes mellitus, prolonged fasting, cirrhosis and familial hyperglucagonemia.
Glucagon is one of the counter-regulatory hormones and is released in response to hypoglycemia. Glucagon causes hepatic glucose production and maintains normal blood sugar in the fasting state. Diabetes mellitus can be a consequence of the glucagonoma syndrome and correlates directly with the plasma glucagon level [4].
GEP-NETs produce general and specific tumor markers, and these are responsible for the distinct clinical syndrome. General tumor markers are chromogranins, Neuron Specific Enolase, Pancreatic polypeptide and chorionic gonadotrophins. General markers are measured whenever GEP-NET is suspected. Well, differentiated tumors tend to produce chromogranin a, poorly differentiated tumors generally, produce Neuron Specific Enolase and non- functioning pancreatic tumors produce Pancreatic polypeptide. The specific tumor marker for the glucagonoma is fasting glucagon level [9].
Radiological imaging along with biochemical diagnosis is critical to identify the location of the tumor as well as metastases to plan appropriate management. Functional tumors tend to be small therefore imaging can be challenging. Both Computed tomography (CT) scan and Magnetic resonance imaging (MRI) are useful [10]. These tumors express somatostatin receptors, so functional imaging with somatostatin receptor scintigraphy (SRS) identifies 50-70% of primary tumors, except insulinomas that express somatostatin receptors in only approximately half of cases. SRS has low accuracy in detecting tumors less than 1cm in size and those located within the pancreas. It is also not helpful in differentiating between an intrapancreatic lesion and a peripancreatic lymph node. Most of the NETs have low metabolic activity, so Positron-emission tomographic scanning (PET) with a standard substrate such as 18F-deoxyglucose is ineffective; however, use with 11C-5-hydroxy-tryptophan (11C-5-HTP), or 68Ga labeled somatostatin analogs is useful [11]. Invasive angiography and hepatic venous sampling are rarely used because of the improved imaging.
When a lesion is not visualized on a CT scan, then Endoscopic ultrasound (EUS) combined with fine needle aspiration (FNA) can be used to establish the diagnosis.
On histology, Glucagonomas show no striking characteristics. Mitotic figures and nuclear atypia are rare. Immunostaining may be positive for glucagon- containing granules, indicative of their alpha cell origin. Many glucagonomas are pleomorphic with cells containing granules that stain for other peptides, most frequently pancreatic polypeptide. On electron microscopy, benign tumors are usually fully granulated, whereas malignant cells have fewer granules [5].
Genetic testing should be offered to the subjects who present with NETs and other findings consistent with MEN-1, neurofibromatosis type 1 or von Hippel-Lindau disease.
TREATMENT
Complete resection of the tumor and removal of local lymph nodes is the only curative treatment. Most of the patients with glucagonoma are diagnosed once metastasis has occurred. In such patients, the extent of surgical resection depends on the tumor characteristics, including its location and involvement of surrounding tissues. At least 70-90% of the tumor resection is required to achieve symptom control.
5-year survival rate for localized and regional metastases is 35-80%. 60% of patients will experience symptom recurrence after surgery.
The primary tumor should also be removed even for palliation, because tumor debulking may render medical therapy more effective.
Medical treatment is used to control symptoms and limit the tumor growth. Somatostatin analogs are the first-line medical treatment. Octreotide and lanreotide bind with high affinity to the five somatostatin receptor subtypes (sst1-5) and inhibit hormonal secretions [12]. Pasireotide (SOM230) has a high affinity for four of the five somatostatin receptor subtypes (sst1, 2, 3 and sst5). It is useful in patients who develop an escape from response phenomena with other somatostatin analogs [13]. A systemic receptor targeted therapy called as Peptide receptor radiotherapy (PRRT) is useful in patients with the unresectable Somatostatin positive tumor. PRRT with 90Yttrium-DOTATOC or 177Lutetium-DOTATE can results in stabilization of disease in about 40% of cases [14].
Other drugs that have been used include interferon, and this can be combined with somatostatin analog. mTOR inhibitor; Everolimus, is an oral, once-daily drug. mTOR is a central regulator of protein synthesis involved in cell growth, proliferation, angiogenesis and cell metabolism. Several genetic syndromes associated with NETs include signaling through the mTOR pathway. Tyrosine kinase inhibitor Sunitinib and VEGF inhibitors bevacizumab have also been used. 40% of patients with pancreatic endocrine tumors may respond to chemotherapy with streptozotocin in combination with other agents such as 5-fluorouracil, cisplatin or doxorubicin.
Temozolomide has demonstrated promising anti-tumor effects in pancreatic NETs [15]. Patients have a poor response to external beam radiation. For hepatic metastases, transcatheter arterial embolization (TAE), trans-catheter arterial chemoembolization (TACE), radioembolization, or ablative therapy, in combination with resection of the primary pancreatic tumor can be considered [16].
SUMMARY
i. Glucagonoma is a rare pancreatic neuroendocrine tumor (PNETs) neoplasm.
ii. Tumor can occur both sporadically and in patients with various inherited disorder like MEN I, VHL, NF-1, and rarely in patients with tuberous sclerosis
iii. Glucagonoma can either functional or non-functional
iv. Glucagonomas secrete proglucagon derived peptide. The secretory output of glucagonoma depends on the tumoral expression of PC1/3 or PC2.
v. This expression results in variable clinical manifestations that can be hyperinsulinemic hypoglycemia in a patient with a history of diabetes or features of the glucagonoma syndrome.
vi. Circulating biomarkers such as Chromogranin A, Pancreastatin and NeurokininA can be used for the prediction and monitoring of responses to therapy
vii. Surgery is the curative treatment when the tumor is localized. Even with metastases reduction of tumor bulk, removal of the primary and targeted therapy for the hepatic metastases is the favored approach
viii. Somatostatin analogs are useful in the control of symptoms.
ix. PRRT using somatostatin as the peptide a DOTA linker and lutetium, Yttrium or Gallium helps tumor identification and reduction of tumor mass x. The recent targeted therapies include tyrosine kinase inhibitor sunitinib and the mTOR inhibitor everolimus