Loading

JSM Tropical Medicine and Research

Cannabidiol Inhibits Inflammation in Rat Osteoarthritis

Original Research | Open Access | Volume 5 | Issue 1

  • 1. College of Life Science and Agriculture Forestry, Qiqihar University, Qiqihar 161006, Heilongjiang, People’s Republic of China
  • 2. College of Chemistry and Chemical Engineering, Heilongjiang Industrial Hemp Processing Technology Innovation Center, Qiqihar University, Qiqihar 161006, Heilongjiang, People’s Republic of China
+ Show More - Show Less
Corresponding Authors
Ming Zhao, College of Chemistry and Chemical Engineering, Heilongjiang Industrial Hemp Processing Technology Innovation Center, Qiqihar University, Qiqihar 161006, Heilongjiang, People’s Republic of China
RESULTS AND DISCUSSION

Results of osteoarthritis score

Following a 15-day injection of sodium iodoacetate solution, according to the score table (Figure 1),

 Swelling degree of right limb and standing condition of rats.  A). Degree of leg stiffness and swelling in osteoarthritis rats.  B). Bone articular rats with stiff legs when standing

Figure 1: Swelling degree of right limb and standing condition of rats.

A). Degree of leg stiffness and swelling in osteoarthritis rats.

B). Bone articular rats with stiff legs when standing

the swelling degree of the rightlimb of the rat was obvious, and the swelling score was set at 2 points; The right limb cannot touch the ground when standing and is accompanied by marked lameness when walking, and the classification score can be set at three; when the right knee of the rat was turned, the stiffness was apparent, the affected limb contracted violently and struggled, and the pain scale was set at two. This indicates that the modeling of intra-articular injection of sodium acetate is effective.T 

X-ray test results

According to the X-ray (Figure 2),

 Radiographs of the right limb of rats.

Figure 2: Radiographs of the right limb of rats

the distal end of the right femur was dissolved at the proximal end of the right tibia, the bone surface was not smooth, the boundary between the acetabulum and the femoral head was unclear, and the osteolysis of the right hip was initially diagnosed as arthritis. It is furthermore demonstrated that the modeling of intra-articular injection of sodium acetate is effective.

Effect of CBD treatment on arthritis score

The discomfort and claudication scores of rats treated with CBD were significantly decreased (Figure 3).

Changes in discomfort and lameness scores after CBD.

Figure 3: Changes in discomfort and lameness scores after CBD.

The degree of swelling of knee joint tissue of rats in each group was observed (Figure 4).

Changes in knee swelling after CBD administration.  A). Picture of knee anatomy in osteoarthritis rats.  B). Picture of knee anatomy in osteoarthritis rats after 50 mg/kg CBD treatment.  C). Picture of knee anatomy in osteoarthritis rats after 100 mg/kg CBD treatment.  D). Pictures of knee anatomy of PBS control group.

Figure 4: Changes in knee swelling after CBD administration.

A). Picture of knee anatomy in osteoarthritis rats.

B). Picture of knee anatomy in osteoarthritis rats after 50 mg/kg CBD treatment.

C). Picture of knee anatomy in osteoarthritis rats after 100 mg/kg CBD treatment.

D). Pictures of knee anatomy of PBS control group.

Significant swelling and hyperemia could be seen around the bone tissue of rats in model control group, but there was no obvious swelling of knee joint in PBS control group, 50 mg/kg CBD and 100 mg/kg CBD experimental groups. It is suggested that CBD can alleviate the pathological changes of OA induced by intra-articular injection of sodium iodoacetate.

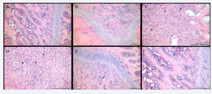
Pathological changes of knee joint

According to the knee joint pathology of rats, there were no significant pathological changes in the knee in either the PBS control group, or the 100 mg/kg CBD PBS control group (Figures 5A,B).

 Pathological findings of knee joint.  A). In PBS control group, there was no fibrosis around the bone tissue and no inflammatory cells invaded.  B). In the CBD control group, there was no fibrosis around the bone tissue and no inflammatory cell invasion.  C). In the solvent group, fibrosis and inflammatory cells were evident around the bone tissue.  D). In the model group, fibrosis and inflammatory cells were evident around the bone tissue.  E). After 50 mg/kg CBD treatment, inflammatory cells around bone tissue decreased relative to the model group. F) After 100 mg/kg of CBD  treatment, no fibrosis was observed in histological incisions of the knee cartilage.

Figure 5: Pathological findings of knee joint.

A). In PBS control group, there was no fibrosis around the bone tissue and no inflammatory cells invaded.

B). In the CBD control group, there was no fibrosis around the bone tissue and no inflammatory cell invasion.

C). In the solvent group, fibrosis and inflammatory cells were evident around the bone tissue.

D). In the model group, fibrosis and inflammatory cells were evident around the bone tissue.

E). After 50 mg/kg CBD treatment, inflammatory cells around bone tissue decreased relative to the model group.

F) After 100 mg/kg of CBD treatment, no fibrosis was observed in histological incisions of the knee cartilage.

While, significant fibrous tissue hyperplasia was seen around the bone tissue of rats in the model control group, and inflammatory cells were mixed in it; The quantity and size of chondrocytes are decreased, the chondrocyte partition is destroyed, sodium iodoacetate can substantially disrupt the structure of hyaline cartilage and damage its tissue structure, and the connective tissue totally replaces the cartilage surface [34]. The intramuscular administration of sodium iodoacetate solution has been shown to exacerbate pathological changes in OA (Figure 5D). 50mg/kg CBD has been suggested to alleviate these changes; fibrosis expression was reduced, the cartilage surface remained uniform, and the differentiation of chondrocyte partitions was partially preserved; however, local loss of cellular components on the surface and transition layer of the hyaline cartilage was still visible (Figure 5A). While 100 mg/kg of CBD can almost fully heal the pathological damage brought on by OA, no fibrosis was seen in the histological incision of the knee cartilage (Figure 5F) [34]. In the solvent group, fibrosis and inflammatory cells were evident around the bone tissue (Figure 5C).

Effect of CBD on the level of serum inflammatory factors in rats with osteoarthritis

In order to further determine the anti-inflammatory effect of CBD on OA rats, the concentrations of IFN-γ, IL-1β, TNF-α and IL-6 in the serum of rats in each group were detected according to the instructions of the ELISA kit. The results showed that compared with the OA model control group, the serum concentrations of IFN-γ, IL-1 β and TNF-α in the high and low dose CBD experimental groups decreased significantly, and the levels of inflammatory factors in the high dose group were lower than those in the low dose group (P< 0.001), but there was basically no difference between the high dose group and the PBS control group (Figure 6).

Cytokine levels in serum.  A). The bar graphs shows the IFN-? content in the model group (n = 6), 50 mg/kg CBD-experimental group (n = 6), 100 mg/kg CBD-experimental  group (n = 6), and PBS control group (n = 6). There was a statistically significant difference between groups, p > 0.05.  B). The bar graphs shows the IL-1? content in the model group (n = 6), 50 mg/kg CBD-experimental group (n = 6), 100 mg/kg CBD-experimental  group (n = 6), and PBS control group (n=6). There was a statistically significant difference between groups, p > 0.05.  C). The bar graphs shows the TNF-? content in the model group (n = 6), 50 mg/kg CBD-experimental group (n = 6), 100 mg/kg CBD-experimental  group (n = 6), and PBS control group (n = 6). There was a statistically significant difference between groups, p > 0.05.

Figure 6: Cytokine levels in serum.

A). The bar graphs shows the IFN-γ content in the model group (n = 6), 50 mg/kg CBD-experimental group (n = 6), 100 mg/kg CBD-experimental group (n = 6), and PBS control group (n = 6). There was a statistically significant difference between groups, p > 0.05.

B). The bar graphs shows the IL-1β content in the model group (n = 6), 50 mg/kg CBD-experimental group (n = 6), 100 mg/kg CBD-experimental group (n = 6), and PBS control group (n=6). There was a statistically significant difference between groups, p > 0.05.

C). The bar graphs shows the TNF-α content in the model group (n = 6), 50 mg/kg CBD-experimental group (n = 6), 100 mg/kg CBD-experimental group (n = 6), and PBS control group (n = 6). There was a statistically significant difference between groups, p > 0.05.

In osteoarthritis-affected rats, levels of inflammatory cytokines were lower after 50 mg/kg CBD treatment than after 100 mg/kg CBD treatment. Neither the PBS control group nor the 100 mg/kg CBD control group had any appreciable serum inflammatory factors. Furthermore, it is suggested that CBD has anti-inflammatory effect on osteoarthritis rats, the higher dose group had better treatment effect.

DISCUSSION

OA is a chronic degenerative joint disease characterized by destruction of cartilage and loss of extracellular matrix, which can lead to chronic joint pain, deformity and dyskinesia [35]. Chronic pain is one of the factors that severely affect the quality of life of patients. In this study, SD rats were injected with sodium acetate into the knee joint cavity to induce OA model. The clinical signs are swollen joints, stiffness, pain and even tingling. X-rays additionally diagnosed arthritis, indicating the successful fabrication of the OA rat model.

The specific pathogenesis of arthritis is not clear. In recent years, several authors have suggested that if dysregulation of the gut microbiome is closely related to the pathogenesis of several metabolic and inflammatory diseases, it may also be involved in the progression of OA [36,37]. Korotkyi, et al. [38]. showed negative changes in the number and species composition of the faecal microbiome in mice induced by OA, which may indicate that the development of intestinal dysbiosis is due to the presence of chronic systemic inflammation associated with local degenerative changes in cartilage. There is no clear means of prevention of OA, the existing drugs are still in the exploratory stage [39].At present, the clinical treatment of OA is mostly focused on symptomatic treatment and pain relief, and the end point of OA can not be intervened, but can only delay its development. Therefore, the search for ingredients in natural materials with minor side effects in the treatment of arthritis is certainly a hot topic in this field. Korotkyi, et al found that the levels of IL-1β, TNF-α, IL-6, IL-8, IFN-γ, IL-10, TGF-β were increased, IGF-1 levels were decreased, and IL-4 levels were unchanged in the MIA-OA model. Compared with MIA-OA, probiotic during MIA-OA increased IGF-1 levels and decreased IL-1β, TNF-α, IL-6, IL-8, IFN-γ, and TGF-β levels, but did not reach control values (same as IL-4 and IL-10). They suggest that MIA-OA can cause significant changes in the levels of cartilage cytokines in the knee studied. Probiotics had an active local anti-inflammatory effect on cartilage tissue in MIA-OA rats [40,41].

CBD is one of the main components of the cannabis plant’s cannabinoids. It has anticonvulsant, anti-inflammatory, neuroprotective, and analgesic effects, and has no psychiatric activity. CBD participates in the regulation of pain and inflammation and plays an influential role in relieving pain and disease progression in OA. Verrico et al [26]. found that CBD could significantly reduce the production of proinflammatory cytokines IL-6 and TNF- α in in vitro experiments and mouse inflammatory models. CBD therapy in dogs with spontaneous OA is safe and relieves pain and increases range of motion in a dose-dependent manner. Philpott et al [30]. Established an OA rat model induced by sodium acetate. Local application of CBD around the joint can eliminate inflammation, prevent the loss of nerve myelin sheath, and slow down the process of central sensitization and neuropathic pain of OA. In this trial, CBD was found to significantly reduce pain, lameness, swelling and histopathological changes in affected limbs in sodium acetate OA rats by intramuscular injection. At the same time, the contents of serum inflammatory factors IFN- γ, IL-1 β and TNF- α also decreased significantly, but had no effect on the expression level of IL-6, indicating that CBD can alleviate the further development of osteoarthritis by inhibiting inflammatory cytokines. Of course, whether in the established rat OA model or in the analysis of the therapeutic effect of CBD, it is not enough to detect and analyze only four pro-inflammatory factors to confirm inflammation, and more inflammatory factors need to be detected and analyzed in this study [36]. In summary, CBD has better anti-inflammatory effect on OA model induced by sodium acetate in rats, and the effect of 100 mg/kg CBD is superior to that of 50 mg/kg CBD. Although different experimental results may be caused by different model species, modeling methods, and administration doses, it has been established that CBD has a precise effect on pain and inflammation relief in OA, and the corresponding mechanism is still unclear and thus needs to be explored further.

CONCLUSION

In conclusion, we have achieved remarkable results in treating OA rats with CBD. CBD alleviated the discomfort symptoms such as pain and lameness in the affected limbs of rats, and effectively inhibited the inflammatory cytokine IFN-γ,IL-β and TNF-α. It has significant effect on the treatment of OA. The results of this study can promote the treatment of OA. At the same time, it has a positive impact on the clinical application of CBD. However, the specific mechanism of CBD in the treatment of OA still needs further study.

ACKNOWLEDGMENT

Not applicable.

CONFLICTS OF INTEREST

The authors declare that there is no conflict of interest regarding the publication of this article.

REFERENCES
  1. Hussain SM, Neilly DW, Baliga S, Patil S, Meek R. Knee osteoarthritis: A review of management options. Scott Med J. 2016; 61: 7-16.
  2. Mandl LA. Osteoarthritis year in review 2018: Clinical. Osteoarthritis Cartilage. 2019; 27: 359-364.
  3. Felson DT, Lawrence RC, Dieppe PA, Hirsch R, Kington RS, Lane NE, et al. Osteoarthritis: New insights. Part 1: The disease and its risk factors. Ann Intern Med. 2000; 133: 635-646.
  4. Centers   for Disease   Control   and Prevention (CDC). Prevalence of doctor-diagnosed arthritis and arthritis-attributable activity limitation--United States, 2010-2012. MMWR Morb Mortal Wkly Rep. 2013; 62: 869-873.
  5. Tzabazis AZ, Klukinov M, Feliciano DP, Wilson SP, Yeomans DC. Gene therapy for trigeminal pain in mice. Gene Therapy. 2014; 21: 422- 426.
  6. Weiss A L, Ehrhardt K P, Tolba R. Atypical facial pain: A comprehensive, evidence-based review. Current Pain and Headache Reports. 2017; 2: 8.
  7. Ronchetti S, Migliorati G, Delfino DV. Association of inflammatory mediators with pain perception. Biomedicine & Pharmacotherapy. 2017; 96: 1445.
  8. Bullock J, Rizvi SAA, Saleh AM, Ahmed SS, Do DP, Ansari RA, et al. Rheumatoid arthritis: A brief overview of the treatment. Med Princ Pract. 2018; 27:501-507.
  9. Luís M, Freitas J, Costa F, Buttgereit F, Boers M, Jap DS, et al. An updated review of glucocorticoid-related adverse events in patients with rheumatoid arthritis. Expert Opin Drug Saf. 2019; 18: 581-590.

  10. Fouda MA, Fathy Mohamed Y, Fernandez R, Ruben PC. Anti- inflammatory effects of cannabidiol against lipopolysaccharides in cardiac sodium channels. Br J Pharmacol. 2022; 179: 5259-5272.
  11. Esposito G, Filippis DD, Cirillo C, Iuvone T, Capoccia E, Scuderi C, et al. Cannabidiol in inflammatory bowel diseases: A brief overview. Phytother Res. 2013; 27: 633-636.
  12. Robaina CCL, Keir-Rudman S, Horniman N, Clarkson N, Page C. The anti-inflammatory effects of cannabidiol and cannabigerol alone, and in combination. Pulm Pharmacol Ther. 2021; 69: 102047.
  13. Braun A, Engel T, Aguilar-Pimentel JA, Zimmer A, Jakob T, Behrendt H, et al. Beneficial effects of Cannabinoids (CB) in a murine model of allergen-induced airway inflammation: Role of CB1/CB2 receptors. Immunobiology. 2011; 216: 466-476.
  14. Fine PG, Rosenfeld MJ. The endocannabinoid system, cannabinoids, and pain. Rambam Maimonides Medical Journal. 2013; 4: e0022.
  15. Guindon J, Beaulieu P. The role of the endogenous cannabinoid system in peripheral analgesia. Current Molecular Pharmacology. 2009; 2: 134-139.
  16. Crippa JA, Guimarães FS, Campos AC, Zuardi AW. Translational investigation of the therapeutic potential of cannabidiol (CBD): Toward a new age. Frontiers in immunology. 2018; 9: 2009.
  17. Couch DG, Cook H, Ortori C, Barrett D, Lund JN, O’Sullivan SE. Palmitoylethanolamide and Cannabidiol prevent inflammation- induced hyperpermeability of the human gut in vitro and in vivo-a randomized, placebo-controlled, double-blind controlled trial. Inflamm Bowel Dis. 2019; 25: 1006-1018.
  18. Huang Y, Wan T, Pang N, Zhou Y, Jiang X, Li B, et al. Cannabidiol protects livers against nonalcoholic steatohepatitis induced by high-fat high cholesterol diet via regulating NF-κB and NLRP3 inflammasome pathway. J Cell Physiol. 2019; 234: 21224-21234.
  19. Muthumalage T, Rahman I. Cannabidiol differentially regulates basal and LPS-induced inflammatory responses in macrophages, lung epithelial cells, and fibroblasts. Toxicol Appl Pharmacol. 2019; 382: 114713.
  20. Cook AD, Christensen AD, Tewari D, McMahon SB, Hamilton JA. Immune Cytokines and Their Receptors in Inflammatory Pain. Trends Immunol. 2018; 39: 240-255.
  21. Xu Y, Liu Y, Li K, Miao S, Lv C, Wang C, et al. Regulation of PGE2 pathway during cerebral ischemia reperfusion injury in rat. Cell Mol Neurobiol. 2021; 4: 1483-1496.
  22. Maayah ZH, Ferdaoussi M, Alam A, Takahara S, Silver H, Soni S, et al. cannabidiol suppresses cytokine storm and protects against cardiac and renal injury associated with sepsis. Cannabis Cannabinoid Res. 2022; 9:160-173.
  23. Dhital S, Stokes JV, Park N, Seo KS, Kaplan BL. Cannabidiol (CBD) induces functional tregs in response to low-level T cell activation. Cell Immunol. 2017; 312: 25-34.
  24. Marques Azzini GO, Marques Azzini VO, Santos GS, Visoni S, Fusco MA, Beker NS, et al. Cannabidiol for musculoskeletal regenerative medicine. Exp Biol Med (Maywood). 2023; 248: 445-455.
  25. Brioschi FA, Di Cesare F, Gioeni D, Rabbogliatti V, Ferrari F, D’Urso ES, et al. Oral transmucosal cannabidiol oil formulation as part of a multimodal analgesic regimen: Effects on pain relief and quality of life improvement in dogs affected by spontaneous osteoarthritis. Animals (Basel). 2020; 10: 1505.
  26. Verrico CD, Wesson S, Konduri V, Hofferek CJ, Vazquez-Perez J, Blair E, et al. A randomized, double-blind, placebo-controlled study of daily cannabidiol for the treatment of canine osteoarthritis pain. Pain. 2020; 161: 2191-2202.
  27. Sosa-Higareda M, Guzman DS, Knych H, Lyubimov A, Zakharov A, Gomez B, et al. Twice-daily oral administration of a cannabidiol and cannabidiolic acid-rich hemp extract was well tolerated in orange- winged Amazon parrots (Amazona amazonica) and has a favorable pharmacokinetic profile. Am J Vet Res. 2023; 84: ajvr.22.11.0197.
  28. Gutierre E, Crosignani N, García-Carnelli C, di Mateo A, Recchi L. A case report of CBD and THC as analgesic therapy in a cat with chronic osteoarthritic pain. Vet Med Sci. 2023; 9: 1021-1025.
  29. Tuphé P, Foissey C, Unal P, Vieira TD, Chambat P, Fayard JM, et al. long-term natural history of unrepaired stable ramp lesions: A retrospective analysis of 28 patients with a minimum follow-up of 20 years. Am J Sports Med. 2022; 50: 3273-3279.
  30. Philpott HT, O’Brien M, McDougall JJ. Attenuation of early phase inflammation by cannabidiol prevents pain and nerve damage in rat osteoarthritis. Pain. 2017; 158: 2442-2451.
  31. Braun HJ, Gold GE. Diagnosis of osteoarthritis: Imaging. Bone. 2012;51: 278-88.
  32. Kellgren JH, Lawrence JS. Radiological assessment of osteo-arthrosis. Ann Rheum Dis. 1957; 16: 494-502.
  33. Altman RD, Gold GE. Atlas of individual radiographic features in osteoarthritis, revised. Osteoarthritis Cartilage. 2007; 15: A1-56.
  34. Korotkyi O, Vovk A, Kuryk O, Dvorshchenko K, Falalyeyeva T, Ostapchenko L. Co-administration of live probiotics with chondroprotector in management of experimental knee osteoarthritis. Georgian Med News. 2018; (279): 191-196.
  35. Chen D, Shen J, Zhao W, Wang T, Han L, Hamilton JL. et al. Osteoarthritis: Toward a comprehensive understanding of pathological mechanism. Bone Res. 2017; 5: 16044.
  36. Szychlinska MA, Di R M, Castorina A, Mobasheri A, Musumeci G. A correlation between intestinal microbiota dysbiosis and osteoarthritis. Heliyon. 2019; 5: e01134.
  37. Collins KH, Paul HA, Reimer RA, Seerattan RA, Hart DA, Herzog W. Relationship between inflammation, the gut microbiota, and metabolic osteoarthritis development: Studies in a rat model. Osteoarthritis Cartilage. 2015; 23: 1989-1998.
  38. Korotkyi O H , Luhovska T V , Serhiychuk T M , KO Dvorshchenko, TM Falalyeyeva, LI Ostapchenkoe. The gut microbiota of rats under experimental osteoarthritis and administration of chondroitin sulfate and probiotic. Mikrobiol Z. 2020; 82: 64-73.
  39. Matsuda M, Huh Y, Ji RR. Roles of inflammation, neurogenic inflammation, and neuroinflammation in pain. J Anesth. 2019; 33: 131-139.
  40. Korotkyi O H , Vovk A A , Halenova T I , TB Vovk, K Dvorshchenko, et al.Cytokines profile in knee cartilage of rats during monoiodoacetate- induced osteoarthritis and administration of probiotic.Biopolymers and Cell. 2020; 36: 22-34.
  41. Mandigers PJ, Horspool LJ, van den Ingh TS, Teske E, Bode P, Rothuizen J. Double-blind, placebo-controlled study of the efficacy of nandrolone laurate in the treatment of dobermanns with subclinical hepatitis. Vet Rec. 2005; 157: 313.
Abstract

Objective: To investigate the therapeutic effect of CannaBiDiol (CBD) on OsteoArthritis (OA) in rats.

Methods: We randomly divided 36 female SD rats with SPF values of 7 weeks into model control, CBD at elevated doses, CBD at low doses, solvent control, and PBS control. Sodium acetate OA was modeled in the model, experimental and solvent control groups. After modeling, the experimental group was injected daily with CBD and solvent, and the control group was injected with PBS. After 12 days of treatment, the OA grade was scored, and the rats were anesthetized, and the rats were sacrificed by neck dislocation, blood was collected from the heart, knee joints were collected, the degree of joint swelling was recorded, and serum inflammatory cytokines IFN-γ, IL-1β, TFN-α and IL-6 concentration were and pathological changes of knee joint.

Results: Compared with the model group and the solvent control group, the pain and claudication of the rats in the CBD experimental group were effectively relieved, and the levels of inflammatory cytokines (IFN-γ, IL-1β, TFN-α) in serum and synovial fluid were significantly reduced. Arthritic pathologic changes in the knee were significantly reduced.

Conclusion: CBD is effective in reducing blood inflammatory factors in OA rats, relieving pain and pathological changes, and has significant therapeutic effects in osteoarthritis.

Keywords

• Rats; CBD; Osteoarthritis; Inflammatory

CITATION

Yin HC, Zhang XY, Chen Z, Yin NN, Zhao M, et al. (2024) Cannabidiol Inhibits Inflammation in Rat Osteoarthritis. JSM Trop Med Res 5(1): 1020.

INTRODUCTION

Osteoarthritis (OA) is a common joint degenerative disease, which commonly occurs in the elderly. Joint pain, swelling, bone rubbing and limited movement are the main clinical manifestations of osteoarthritis [1]. According to the study, there are about 250 million OA patients worldwide. Arthritis is a more common disease in the United States, with approximately 52.5 million (22.7%) of adults ≥ 18 diagnosed with arthritis, Over 22.7 million people reporting arthritis-attributable activity limitations [2-4]. In China, the incidence of OA is 8.1%, and in people over 65, the incidence of OA is as high as 50% [5]. Such a large number of patients has brought huge burdens and economic losses to the whole society. It is estimated that the medical expenses of OA account for 1% to 2.5% of GDP in developed countries [6]. With the increasing aging of the world, it is reasonable to believe that the medical cost of OA will be higher and higher. Therefore, the research on OA has increasingly become a current hot spot in the medical industry and social research. At present, the clinical treatment of OA is mostly focused on symptomatic treatment and pain relief, and the end point of OA cannot be intervened, but can only delay its development. Oral or topical non-steroidal anti-inflammatory drugs are the most commonly used in clinics, including oral glucosamine, intra-articular injection of sodium hyaluronate or glucocorticoid. In recent years, we have also frequently used anxiolytic drugs such as duloxetine in clinical practice [7]. However, the above treatments are symptomatic and the effect is limited [8,9]. Artificial joint replacement is the only effective treatment for patients with terminal OA. Exploration of drugs that can effectively relieve pain and delay the progression of OA is therefore an urgent issue.

Cannabidiol (CBD) is the main non-psychoactive component in marijuana. Cannabis medications contain a variety of compounds, including the psychoactive cannabinoid delta9-Tetrahydrocannabinol (THC) and non-psychoactive CBD. In recent years, cannabidiol has become a major hot spot for analgesia, anxiolytic, antidepressant, and anti-inflammatory [10-13]. CBD has a wide range of pharmacological effects, such as anticonvulsant, hypnotic, anti-inflammatory, anti-anxiety, antipsychotic and neuroprotective effects [14]. In 2018, the FDA approved it as a drug for the treatment of seizures of Dravet syndrome and Lennox-Gastaut syndrome, indicating that it has some safety in clinical use. CBD has demonstrated analgesic effects in several animal disease models. It has been reported that CBD has analgesic effect in plantar inflammatory pain model [15], and it also has a significant relieving effect on maxillofacial inflammatory pain [16]. Cannabinoid (CBD) can exert a variety of biological effects through several different receptors and signal pathways, including anti-inflammatory effects on acute and chronic diseases [17-19]. In the rodent CFA model, CBD and its modified derivatives can relieve chronic pain [20]. In the mouse model of acetone Croton oil-induced inflammatory pain and LPS-induced inflammatory pain, CBD could reduce the levels of pro-inflammatory cytokines IL-6 and TNF- α in the serum and increase the level of anti-inflammatory IL-10 [21]. CBD dissolved in corn oil enhanced LPS-induced pulmonary inflammation and increased levels of pro-inflammatory factors and granulocyte colony-stimulating factor [22]. CBD has a wide range of targets, including eCBs, G Protein Receptor 55 (GPR55), 5-hydroxytryptamine 1A Receptor, dopamine Receptor, opioid Receptor, peroxisome proliferator-activated Receptor gamma and transient Receptor potential cation channel TRPV1 plasma channel [23], etc., which makes the explanation of the analgesic mechanism of CBD unclear. CBD reduces inflammation-related neurodegeneration and its antioxidant properties, has no psychoactive properties, and has a wide range of potential beneficial effects, suggesting that CBD may be a potential new drug for the treatment of inflammatory diseases. In fact, CBD has shown the potential to treat musculoskeletal disorders in humans, dogs, cats, Amazona amazonica and rabbits [24-29].

In this study, the OA rat model was induced by injection of sodium acetate and different doses of CBD were given to the OA model rats. We analyzed the efficacy of CBD by combining clinical scores, serum inflammatory factor analysis, histopathology analysis, and other indicators. The aim of this project is to explore the pain relief and therapeutic effects of CBD on OA, to provide a modern approach to the treatment of animal OA and pain relief, and to provide data to support the clinical application of CBD.

MATERIALS AND METHODS

Experimental animals and drugs

36 SPF-grade 6-week-old SD female rats, weighing 190g±10g, were purchased from Liaoning Changsheng Biotechnology Co., Ltd., license number: SCXK (Liao) 2020-0001. Each group of experimental rats were raised in a single cage, normal diet and drinking water, free exercise, feeding and adaptation for 7 days.

Sodium iodoacetate (source leaf, S30680), CBD (National Market Supervision Technology Innovation Center (industrial marijuana). Rat IFN gamma ELISA Kit (ab239425), Rat IL-1 beta ELISA Kit (ab255730), Rat TNF alpha ELISA Kit (ab236712) were purchased from Abcam.

Methods

Grouping and treatment methods. 36 female SD rats were randomly assigned to six groups: model control group, CBD high dose experimental group, CBD low dose experimental group, solvent control group, PBS control group, and CBD high dose PBS control group. 5 mg sodium iodoacetate was dissolved in 500 μL PBS. 7-week-old rats in the model group, experimental group and solvent control group were injected with 100 μL sodium iodoacetate solution after 45°puncture of the right knee joint cavity, and the same amount of PBS was injected into the PBS control group. Each group of experimental rats were raised in a single cage, normal diet and drinking water, free exercise, and analyzed whether the OA model was successful at 15 day. Then, the model rats in the low-dose and high-dose CBD experimental groups were given 50 mg/kg CBD and 100 mg/ kg CBD respectively by intraperitoneal injection [30], while the solvent control group was injected with 100 μL (20% anhydrous ethanol + 80% normal saline). The CBD high dose PBS control group means that the PBS control group was given 100 mg/kg of CBD by intraperitoneal injection. 12 days After CBD or solvent treatment, each group of rats were anesthetized by inhaling diethyl ether before sacrificed [30].

Osteoarthritis score. After the rat model was made, the rats were scored according to the score scale.

X-ray detection of knee joint injury. Osteoarthritis can lead to joint stiffness, limited mobility, and severe parolysis, and degenerative changes in the joints. Despite the continuous advancement of medical technology, X-rays are still the most suitable way to observe changes in bones and joints. X-rays require a scan of the side and front of the area with arthritis [31-33]. The rats were fixed to the X-ray board in the position of lying on the side for X-ray scanning, and the scanning results were imported into the computer to generate X-rays (Qihuo pet diagnosis and treatment).

Detection of serum inflammatory cytokines. After anesthesia, the cervical vertebra is removed and the blood is placed in a 1.5 mL centrifuge tube to separate the serum. In this experiment, the tumor necrosis factor α (TNF-α), interleukinin (IL-1 β), and interferon γ (IFN-γ) was detected by ELISA Kit according to the instructions.

Pathological analysis. At the end of the experiment, the right hindlimb knee of each rat was fixed at room temperature with 10% formalin, decalcified with 5% formic acid, and embedded in paraffin. The tissue section was 5 μm thick and stained with hematoxylin-eosin (hematoxylinandeosin, H&E). The histopathological features were observed under microscope (magnification 100 times and 200 times).

Statistical analysis

The data were analyzed by Prism9 software, the measurement data were expressed by mean ±standard deviation, and the statistical analysis was made by multivariate analysis of variance.

Yin HC, Zhang XY, Chen Z, Yin NN, Zhao M, et al. (2024) Cannabidiol Inhibits Inflammation in Rat Osteoarthritis. JSM Trop Med Res 5(1): 1020

Received : 22 Apr 2024
Accepted : 01 May 2024
Published : 07 May 2024
Journals
Annals of Otolaryngology and Rhinology
ISSN : 2379-948X
Launched : 2014
JSM Schizophrenia
Launched : 2016
Journal of Nausea
Launched : 2020
JSM Internal Medicine
Launched : 2016
JSM Hepatitis
Launched : 2016
JSM Oro Facial Surgeries
ISSN : 2578-3211
Launched : 2016
Journal of Human Nutrition and Food Science
ISSN : 2333-6706
Launched : 2013
JSM Regenerative Medicine and Bioengineering
ISSN : 2379-0490
Launched : 2013
JSM Spine
ISSN : 2578-3181
Launched : 2016
Archives of Palliative Care
ISSN : 2573-1165
Launched : 2016
JSM Nutritional Disorders
ISSN : 2578-3203
Launched : 2017
Annals of Neurodegenerative Disorders
ISSN : 2476-2032
Launched : 2016
Journal of Fever
ISSN : 2641-7782
Launched : 2017
JSM Bone Marrow Research
ISSN : 2578-3351
Launched : 2016
JSM Mathematics and Statistics
ISSN : 2578-3173
Launched : 2014
Journal of Autoimmunity and Research
ISSN : 2573-1173
Launched : 2014
JSM Arthritis
ISSN : 2475-9155
Launched : 2016
JSM Head and Neck Cancer-Cases and Reviews
ISSN : 2573-1610
Launched : 2016
JSM General Surgery Cases and Images
ISSN : 2573-1564
Launched : 2016
JSM Anatomy and Physiology
ISSN : 2573-1262
Launched : 2016
JSM Dental Surgery
ISSN : 2573-1548
Launched : 2016
Annals of Emergency Surgery
ISSN : 2573-1017
Launched : 2016
Annals of Mens Health and Wellness
ISSN : 2641-7707
Launched : 2017
Journal of Preventive Medicine and Health Care
ISSN : 2576-0084
Launched : 2018
Journal of Chronic Diseases and Management
ISSN : 2573-1300
Launched : 2016
Annals of Vaccines and Immunization
ISSN : 2378-9379
Launched : 2014
JSM Heart Surgery Cases and Images
ISSN : 2578-3157
Launched : 2016
Annals of Reproductive Medicine and Treatment
ISSN : 2573-1092
Launched : 2016
JSM Brain Science
ISSN : 2573-1289
Launched : 2016
JSM Biomarkers
ISSN : 2578-3815
Launched : 2014
JSM Biology
ISSN : 2475-9392
Launched : 2016
Archives of Stem Cell and Research
ISSN : 2578-3580
Launched : 2014
Annals of Clinical and Medical Microbiology
ISSN : 2578-3629
Launched : 2014
JSM Pediatric Surgery
ISSN : 2578-3149
Launched : 2017
Journal of Memory Disorder and Rehabilitation
ISSN : 2578-319X
Launched : 2016
JSM Head and Face Medicine
ISSN : 2578-3793
Launched : 2016
JSM Cardiothoracic Surgery
ISSN : 2573-1297
Launched : 2016
JSM Bone and Joint Diseases
ISSN : 2578-3351
Launched : 2017
JSM Bioavailability and Bioequivalence
ISSN : 2641-7812
Launched : 2017
JSM Atherosclerosis
ISSN : 2573-1270
Launched : 2016
Journal of Genitourinary Disorders
ISSN : 2641-7790
Launched : 2017
Journal of Fractures and Sprains
ISSN : 2578-3831
Launched : 2016
Journal of Autism and Epilepsy
ISSN : 2641-7774
Launched : 2016
Annals of Marine Biology and Research
ISSN : 2573-105X
Launched : 2014
JSM Health Education & Primary Health Care
ISSN : 2578-3777
Launched : 2016
JSM Communication Disorders
ISSN : 2578-3807
Launched : 2016
Annals of Musculoskeletal Disorders
ISSN : 2578-3599
Launched : 2016
Annals of Virology and Research
ISSN : 2573-1122
Launched : 2014
JSM Renal Medicine
ISSN : 2573-1637
Launched : 2016
Journal of Muscle Health
ISSN : 2578-3823
Launched : 2016
JSM Genetics and Genomics
ISSN : 2334-1823
Launched : 2013
JSM Anxiety and Depression
ISSN : 2475-9139
Launched : 2016
Clinical Journal of Heart Diseases
ISSN : 2641-7766
Launched : 2016
Annals of Medicinal Chemistry and Research
ISSN : 2378-9336
Launched : 2014
JSM Pain and Management
ISSN : 2578-3378
Launched : 2016
JSM Women's Health
ISSN : 2578-3696
Launched : 2016
Clinical Research in HIV or AIDS
ISSN : 2374-0094
Launched : 2013
Journal of Endocrinology, Diabetes and Obesity
ISSN : 2333-6692
Launched : 2013
Journal of Substance Abuse and Alcoholism
ISSN : 2373-9363
Launched : 2013
JSM Neurosurgery and Spine
ISSN : 2373-9479
Launched : 2013
Journal of Liver and Clinical Research
ISSN : 2379-0830
Launched : 2014
Journal of Drug Design and Research
ISSN : 2379-089X
Launched : 2014
JSM Clinical Oncology and Research
ISSN : 2373-938X
Launched : 2013
JSM Bioinformatics, Genomics and Proteomics
ISSN : 2576-1102
Launched : 2014
JSM Chemistry
ISSN : 2334-1831
Launched : 2013
Journal of Trauma and Care
ISSN : 2573-1246
Launched : 2014
JSM Surgical Oncology and Research
ISSN : 2578-3688
Launched : 2016
Annals of Food Processing and Preservation
ISSN : 2573-1033
Launched : 2016
Journal of Radiology and Radiation Therapy
ISSN : 2333-7095
Launched : 2013
JSM Physical Medicine and Rehabilitation
ISSN : 2578-3572
Launched : 2016
Annals of Clinical Pathology
ISSN : 2373-9282
Launched : 2013
Annals of Cardiovascular Diseases
ISSN : 2641-7731
Launched : 2016
Journal of Behavior
ISSN : 2576-0076
Launched : 2016
Annals of Clinical and Experimental Metabolism
ISSN : 2572-2492
Launched : 2016
Clinical Research in Infectious Diseases
ISSN : 2379-0636
Launched : 2013
JSM Microbiology
ISSN : 2333-6455
Launched : 2013
Journal of Urology and Research
ISSN : 2379-951X
Launched : 2014
Journal of Family Medicine and Community Health
ISSN : 2379-0547
Launched : 2013
Annals of Pregnancy and Care
ISSN : 2578-336X
Launched : 2017
JSM Cell and Developmental Biology
ISSN : 2379-061X
Launched : 2013
Annals of Aquaculture and Research
ISSN : 2379-0881
Launched : 2014
Clinical Research in Pulmonology
ISSN : 2333-6625
Launched : 2013
Journal of Immunology and Clinical Research
ISSN : 2333-6714
Launched : 2013
Annals of Forensic Research and Analysis
ISSN : 2378-9476
Launched : 2014
JSM Biochemistry and Molecular Biology
ISSN : 2333-7109
Launched : 2013
Annals of Breast Cancer Research
ISSN : 2641-7685
Launched : 2016
Annals of Gerontology and Geriatric Research
ISSN : 2378-9409
Launched : 2014
Journal of Sleep Medicine and Disorders
ISSN : 2379-0822
Launched : 2014
JSM Burns and Trauma
ISSN : 2475-9406
Launched : 2016
Chemical Engineering and Process Techniques
ISSN : 2333-6633
Launched : 2013
Annals of Clinical Cytology and Pathology
ISSN : 2475-9430
Launched : 2014
JSM Allergy and Asthma
ISSN : 2573-1254
Launched : 2016
Journal of Neurological Disorders and Stroke
ISSN : 2334-2307
Launched : 2013
Annals of Sports Medicine and Research
ISSN : 2379-0571
Launched : 2014
JSM Sexual Medicine
ISSN : 2578-3718
Launched : 2016
Annals of Vascular Medicine and Research
ISSN : 2378-9344
Launched : 2014
JSM Biotechnology and Biomedical Engineering
ISSN : 2333-7117
Launched : 2013
Journal of Hematology and Transfusion
ISSN : 2333-6684
Launched : 2013
JSM Environmental Science and Ecology
ISSN : 2333-7141
Launched : 2013
Journal of Cardiology and Clinical Research
ISSN : 2333-6676
Launched : 2013
JSM Nanotechnology and Nanomedicine
ISSN : 2334-1815
Launched : 2013
Journal of Ear, Nose and Throat Disorders
ISSN : 2475-9473
Launched : 2016
JSM Ophthalmology
ISSN : 2333-6447
Launched : 2013
Journal of Pharmacology and Clinical Toxicology
ISSN : 2333-7079
Launched : 2013
Annals of Psychiatry and Mental Health
ISSN : 2374-0124
Launched : 2013
Medical Journal of Obstetrics and Gynecology
ISSN : 2333-6439
Launched : 2013
Annals of Pediatrics and Child Health
ISSN : 2373-9312
Launched : 2013
JSM Clinical Pharmaceutics
ISSN : 2379-9498
Launched : 2014
JSM Foot and Ankle
ISSN : 2475-9112
Launched : 2016
JSM Alzheimer's Disease and Related Dementia
ISSN : 2378-9565
Launched : 2014
Journal of Addiction Medicine and Therapy
ISSN : 2333-665X
Launched : 2013
Journal of Veterinary Medicine and Research
ISSN : 2378-931X
Launched : 2013
Annals of Public Health and Research
ISSN : 2378-9328
Launched : 2014
Annals of Orthopedics and Rheumatology
ISSN : 2373-9290
Launched : 2013
Journal of Clinical Nephrology and Research
ISSN : 2379-0652
Launched : 2014
Annals of Community Medicine and Practice
ISSN : 2475-9465
Launched : 2014
Annals of Biometrics and Biostatistics
ISSN : 2374-0116
Launched : 2013
JSM Clinical Case Reports
ISSN : 2373-9819
Launched : 2013
Journal of Cancer Biology and Research
ISSN : 2373-9436
Launched : 2013
Journal of Surgery and Transplantation Science
ISSN : 2379-0911
Launched : 2013
Journal of Dermatology and Clinical Research
ISSN : 2373-9371
Launched : 2013
JSM Gastroenterology and Hepatology
ISSN : 2373-9487
Launched : 2013
Annals of Nursing and Practice
ISSN : 2379-9501
Launched : 2014
JSM Dentistry
ISSN : 2333-7133
Launched : 2013
Author Information X