Case of Actinomycotic Mycetoma of the Hand
- 1. Department of Dermatology, MVJ Medical College and Research Hospital, India
Abstract
Mycetoma is a chronic suppurative granulomatous disorder of subcutaneous tissues and bones characterized by localized swellings with multiple sinus tracts discharging granules that are microcolonies of the causative agent. 32-year-old, ethnicity, male patient of Indian origin presented with multiple nodular lesions over the right hand and swelling of right hand of 2 years duration. There was history of injury to the right hand 6 months prior to the onset. Examination revealed multiple erythematous nodules with discharging sinuses over the dorsum of right hand and wrist with induration and swelling of the right hand. X ray and ultrasound scan were suggestive of osteomyelitis due to mycetoma. Histopathological examination revealed bits of fibrous connective tissue with a tract covered by granulation tissue, which focally showed a pale blue colony with surrounding Splendor -Hoeppli reaction and numerous polymorphs suggestive of actinomycotic mycetoma. The patient was started on a combination of Welsh regimen along with oral penicillinV and at the end of 3 cycles maintained with Cotrimoxazole and oral penicillin for another 3 months. At the end of 6 months of treatment the lesions and swelling subsided completely.
Keywords
Actinomycotic mycetoma , Osteomyelitis , Oral penicillinV
Citation
Vinod CS, Ambika H, Anagha RB (2014) Case of Actinomycotic Mycetoma of the Hand. J Dermatolog Clin Res 2(2): 1016.
INTRODUCTION
Mycetoma is a chronic suppurative granulomatous disorder of subcutaneous tissues and bones characterized by localized swellings with multiple sinus tracts, discharging granules that are microcolonies of the causative agent. It may be caused by either actinomycetes (actinomycotic mycetoma) or true fungi (eumycetoma). John Gill in 1842 described its clinical features for the first time and named it ‘Madura foot’ after the region of Madurai in India, where it was first identified. The foot is most commonly affected. We report a case of actinomycotic mycetoma of the hand for its rarity.
CASE PRESENTATION
A previously healthy 32-year-old male patient presented with multiple nodular lesions over the right hand and swelling of right hand of 2 years duration. The lesions started as a single painless nodule over the dorsum of right hand and within a period of 6 months progressed to form multiple nodules with seropurulent discharge. Patient gave history of injury to the right hand 6 months prior to the onset. He also complained of moderate grade fever on and off since 4 months since then. There was no history of tuberculosis or any other systemic illness in the past.
Examination revealed multiple erythematous nodules with discharging sinuses over the dorsum of right hand and wrist with induration and swelling of the right hand (Figure 1).

Figure 1 Showing multiple nodules with discharging sinuses over the dorsum of right hand with induration and swelling of the hand.
The mobility of the hand was restricted. The examination of discharge and the scraping of the sinuses did not reveal any granules. Haematological investigations revealed elevated white blood cell count (12,400/mm3 ) and erythrocyte sedimentation rate (45 mm/hr). Red blood cell count, haemoglobin, biochemistry and urine analysis reports were within normal limits. Mantoux test was negative and chest X-ray was normal. X ray of the right hand showed soft tissue swelling around wrist joint and marginal focal lucencies, erosions and osteoporosis involving base of 2nd, 3rd and 4th metacarpals, trapezium, trapezoid, capitate and hamate bones consistent with osteomyelitis. Ultrasound scan showed subcutaneous edema, tendinopathy, hypoechoic nodules with extensions into joint space and immediate subcutaneous plane highly suggestive of actinomycotic mycetoma.
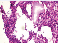
A biopsy was taken from a representative nodule and sent for histopathological examination and culture in Sabouraud’s dextrose agar. Histopathological examination revealed bits of fibrous connective tissue with a tract covered by granulation tissue, which focally showed a pale blue colony with surrounding Splendor -Hoeppli reaction and numerous polymorphs suggestive of nocardia mycetoma (Figure 2).

Figure 2 Histopathological examination (H&E 10X) showing pale blue colonies of nocardia with surrounding granulation tissue.
Culture did not show any growth.
The patient was started on a combination of Welsh regimen along with oral penicillinV. Injection amikacin 500mg, cotrimoxazole 960mg and oral penicillinV 800mg were given twice daily for a period 3 weeks followed by 2 weeks of cotrimoxazole and penicillinV . This 5 weeks period was considered as one cycle and 3 such cycles were repeated. Cotrimoxazole and oral penicillinV were continued for another 3 months. At the end of 3 cycles, the nodules and the swelling of the hand showed significant regression and at the end of 6 months of treatment the lesions and swelling subsided completely with residual scarring (Figure 3).

Figure 3 Showing complete subsidence of nodules and sinuses with residual scarring.
DISCUSSION
Actinomycetomas are caused by aerobic Actinomycetes belonging to the genera Nocardia, Streptomyces and Actinomadura. Although reported from all over the world, they are common in tropical and subtropical regions where people walk barefoot [1]. In India, actinomycotic mycetoma is more commonly encountered than eumycotic mycetoma. However, the latter account for most of the cases reported from northern India.
Nocardiosis is a rare localized or systemic infection caused by several species of the genus Nocardia. This genus consists of strictly aerobic, Gram-positive, variably acid-fast, filamentous bacteria with a tendency to fragment into bacillary and coccoid forms. Nocardia enters the skin after traumatic inoculation injuries, varying from contaminated abrasions and puncture wounds to insect and animal bites. The most common resulting skin lesions are on the lower extremities. Cutaneous manifestations include mycetoma, lymphocutaneous (sporotrichoid) infection, superficial skin infection and disseminated infection with cutaneous involvement [2]. Nocardia brasiliensis although rarely implicated in pulmonary and disseminated infections in immunocompromised patients, has been most commonly associated with cutaneous infections [3].
Combined antibiotic therapy is preferable to monotherapy to avoid drug resistance and to eradicate residual infection.
Trimethoprim-sulfamethoxazole combination is recognized the drug of choice for nocardiosis. Primary lymphocutaneous nocardiosis may be curable after a course of 2 to 4 months, although several studies report clinical cure of cutaneous nocardiosis caused by N. brasiliensis after only 2 to 3 weeks of therapy [4]. In patients with sulfa intolerance or those who fail therapy with trimethoprim-sulfamethoxazole, alternative therapy must be based on sensitivity testing. Minocycline, tetracycline and amoxicillin-clavulanic acid [5], amikacin and dapsone [6] have been successfully used. A combination of an aminoglycoside and cotrimoxazole has been used with good result. Welsh et al. used a combination of amikacin and cotrimoxazole in 13 patients [7]. Ramam et al. reported a two-step schedule in the treatment of actinomycotic mycetomas, consisting of injection penicillin, gentamicin and cotrimoxazole in the initial intensive phase of 5-7 weeks, followed by a maintenance phase with amoxicillin and cotrimoxazole till 2-5 months after complete healing [8]. Our patient responded well and regained more than 80 % of mobility of hand after Welsh regimen along with oral penicillinV in the intensive phase, followed with a maintenance phase of cotrimoxazole and oral penicillinV.