Late Postoperative Interatrial Block in a Patient Discharged After Coronary Artery Bypass Surgery and the Importance of Atrial Blood Supply. A Case Report and a Short Review
- 1. Gian Andrea Amadei
Abstract
Interatrial block (IAB), is caused by abnormal conduction over the Bachmann’s bundle and is associated with development of atrial tachyarrhythmias, most commonly atrial fibrillation. It also represents a risk factor for systemic thromboembolic events due to abnormal left atrial contraction. Additionally, delay of post operative P wave duration may, most of the times, induce atrial fibrillation.
Moreover, it is well known that impaired blood supply to the sinus node and Buchman fibers due to pre-existing chronic sinus node artery ischemia may be considered as a risk factor of atrial fibrillation (AF). This case report shows that in a patient with pre-existing impaired sinus node artery blood supply in the preoperative coronary angiogram, one month after coronary bypass surgery may lead to post-operative IAB and atrial fibrillation. We also discuss the importance of atrial blood supply, possible preventive intervention and some considerations regarding anticoagulation treatment initiation.
Keywords
Interatrial block, Atrial fibrillation, Bypass surgery, Anticoagulation therapy, Sinus node artery ischemia
Citation
Antonopoulos A, Amadei GA. Late Postoperative Interatrial Block in a Patient Discharged After Coronary Artery Bypass Surgery and the Importance of Atrial Blood Supply. A Case Report and a Short Review. J Cardiol Clin Res. 2021; 9(2): 1173.
ABBREVIATIONS
IAB: Interatrial Block; AF: Atrial Fibrillation; CABG: Coronary Artery Bypass Surgery; EKG: Electrocardiogram
INTRODUCTION
IAB is caused by conduction delay between the right and left atria (P-wave duration ≥120 ms) and has been found to be associated with development of atrial tachyarrhythmias, most commonly atrial fibrillation (AF). It can represent a risk factor for systemic thromboembolic events due to abnormal left atrial contraction. IAB is caused by abnormal conduction over the Bachmann’s bundle, resulting in a delay of left atrial depolarization [1-5].
AF is a frequent post-operative complication of CABG affecting 25-60% of patients. Some risk factors for post-operative AF include increased age, prolonged clamp time, renal impairment, acute withdrawal of beta blockade and preoperative P wave duration on EKG [6-8]. One factor that these risk factors may have in common is intraoperative atrial ischemia which perhaps leads to variation in atrial refractoriness. The above atrial changes may result in intraatrial conduction abnormalities detectable in P-wave characteristics on surface electrocardiogram (EKG). P-wave duration and P-wave dispersion on standard EKG are non invasive markers of interatrial disturbances, which are believed to be the main electrophysiological cause of AF. Accordingly, a previous study which involved patients in the early post operative phase showed that IAB is not a predictor of post CABG AF [9]. On the contrary, among patients in the late post-operative phase (30 days) a previous study demonstrates that the presence of significant coronary lesion in the arterial supply to the atria and sinus node artery is an independent predictor of AF following CABG [10]. Accordingly, it is well known that impaired blood supply to the sinus node due to pre-existent chronic sinus node artery ischemia may be considered as a risk factor for AF. In this case we show how the persistence of IAB one month after CABG surgery in a patient with pre-existing impaired sinus node artery blood supply in the preoperative coronary angiography may lead to post-operative AF, discuss possible preventive intervention and potential anticoagulation therapy.
CASE PRESENTATION
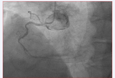
The patient is a 73-year-old male with a history of coronary artery disease (CAD), with a previous anterior myocardial infarction status 10 years ago. At that time he underwent primary coronary angioplasty with a drug-eluting stent placement on left anterior descending coronary artery. Three months ago he complained of angina and underwent a stress myocardial scintigraphy which demonstrated a large reversible defect involving the antero-septal and inferior wall. Coronary angiography demonstrated an 80% proximal left anterior descending coronary artery stenosis as well as restenosis of the previous stent in the middle part of left anterior descending coronary artery and 90% in the proximal left circumflex and critical ostial lesion involving the right coronary artery (Figure 1).

Figure 1: Ostial right coronary artery stenosis involving the origin of sinus node artery with poor visualization of its distal part due to blood supply impairment.
His left ventricular ejection fraction was approximately 40%. Consequently the patient was scheduled for elective CABG.
His past medical history included chronic obstructive pulmonary disease obesity, hypertension, hyperlipidemia, OSAS and hypothyroidism. The patient subsequently underwent coronary artery bypass graft surgery with a left internal mammary artery to the left anterior descending artery and the obtuse marginal as well as a saphenous vein graft to the distal right coronary artery. On his fourth post-operative day, the patient developed a sustained episode of atrial fibrillation with ventricular rates of 160–180 bpm. The patient was symptomatic with these episodes of atrial fibrillation associated with palpitations and dyspnea, as well as becoming somewhat hypotensive with a systolic blood pressure of 90 – 100 mm Hg. These episodes of atrial fibrillation would self-terminate and then re-initiate abruptly. The patient was initially started on amiodarone at a rate of 1 mg/min without a bolus for at least 6 hours. Due to some concerns about the long-term effects on his lung function as well as the potential hypotension associated with IV amiodarone, therapeutic regimen shifted to metoprolol 5mg i.v. twice a day. His creatinine clearance measured 60mL/ min. Potassium and magnesium levels remained within normal range. The patient was monitored in the ICU. He remained in sinus rhythm throughout the remainder of his hospital stay without any further arrhythmias. He was discharged from hospital on aspirin 100mg, and metoprolol 50mg twice a day.
30 days later, after his discharge, the patient was scheduled for a cardiological control based on our protocol. His examination did not show any particular findings. His EKG was in sinus rhythm, with normal values for PR and QTc segments. But after careful observation of the P wave morphology, duration and voltage in a resting EKG (Figure 2,3),

Figure 2: Resting electrocardiogram at 20 mV amplitude and paper velocity at 25mm/sec is shown. P wave duration is 126ms with a bifid morphology and a small negative terminal part deflection in inferior leads.

Figure 3: Paper velocity of 50mm/sec with 20mV magnification shows better the P wave characteristics
which was magnified at 20mm/mV and 25mm/s paper velocity an interatrial block alteration (bifid P-wave, duration 126ms, and a small negative final deflection in leads II, III, aVF), was revealed. Because IAB may predict AF recurrence, with an increased cardioembolic risk we used a simple electrocardiographic MVP ECG risk score (6) to evaluate the above probability, which showed a score equal do 5 (high probability risk of relapse atrial fibrillation). The above score took into consideration the morphology, voltage and duration of P-wave for the prediction of AF. Moreover, an external event recorder was used to obtain a better patient EKG monitoring. In fact, some AF episodes were recorded (Figure 4).

Figure 4: Atrial fibrillation episodes in external event recorder monitoring is shown
In addition, CHA2DS2VASc score was estimated to confirm the cardioembolic risk. Then, an edoxaban 60mg daily per os was administered.
DISCUSSION
The prevalence of IAB has been shown to increase with age, with only 9% in those less than 35 years of age to 40-60% at age 50 and over [11-13]. On the other hand, IAB has been described as an independent predictor of AF [14]. The incidence of postoperative AF after coronary artery bypass grafting surgery ranges between 20% and 40% [6]. Most of the studies involved patients with post-operative AF regarding the early phase and does not take into consideration the late phase i.e. one month after intervention. Unfortunately, in most of the studies, AF in this phase is considered as a recurrence. On the other hand, an accurate estimation of individual patients’ risk for post operative AF development may facilitate the correct stratification of patients and should be or not treated with preventive strategies. Accordingly, efforts have been made to develop risk prediction models to identify patients most likely to develop post-operative AF. These risk models also imply complex calculations without rapid estimation for targeting patients, which hampers a prompt prophylactic approach, and confounds clinical decision making and patient counselling [15]. Among pre-operative/postoperative signs or factors for developing AF, at least in one study that involved patients in the early post-operative phase, IAB was not confirm as a predictor of AF after CABG surgery [9]. On the contrary, in another prospective study, pre-operative P wave duration ≥105?ms was found to possibly predict the occurrence of post-operative atrial fibrillation [7]. Furthermore, other studies demonstrate that probably a role of atrial ischemia may contribute in the development of AF following CABG surgery [10,16].
Accordingly, experimental and clinical studies have provided strong evidence that atrial ischaemia is the primary stimulus that triggers vulnerability of the patient to develop atrial fibrillation after cardiac operation when cold cardioplegia techniques are used to protect the myocardium [7]. In fact it was hypothesized that intraoperative atrial ischaemia may cause such dispersion of the refractory period and could also act as a trigger for early phase post-operative atrial fibrillation. This hypothesis is supported by the presence of SA and/or AV nodal artery disease (vascular critical stenosis or occlusion) and proposed as the mechanism by which ischemia occurs. Furthermore, whether vascular IAB origin, an important precursor of AF, is associated with early and late phase AF has not been explored
ANATOMY AND PATHOPHYSIOLOGICAL IMPORTANCE OF SINUS NODE ARTERY
The sinus atrial node is located subepicardially in the area of the junction of the right auricle and the superior vena cava termed the sulcus terminalis of the right atrium. The artery that supplies the Sino-Atrial node was a branch of either the right or the left coronary artery. Most frequently (in 63% of cases), the SA node artery was the first anterior atrial branch of the right coronary artery (Figure 1), originating at a distance of 1.2 cm (range 0.2 – 2.2 cm) from the beginning of this vessel [17]. It was usually the largest atrial branch of the right coronary artery; The initial part of the artery (1 – 2 cm), was embedded in the subepicardial adipose tissue. It then traversed the base or floor of the sinus of Theile, coursed through the right atrial wall, behind the aortic bulb and the ascending aorta, and then ascended medially to the anterior interatrial groove. From there it entered the interatrial muscular bundle of Bachman, sometimes anastomosing to Kugel’s artery that presents as an anastomosis arising from the circumflex branch of the left coronary artery with the right coronary artery. The Sinus-Atrial node artery (SNA), divided into two branches: one that ascended to the upper part of the left atrium and the other that went to the junction of the right auricle and superior vena cava, where it entered the sino-atrial node, pierced it and, after leaving the node, then encircled the ostium of the superior vena cava.
RISK FACTORS, TIMING FOR POST-CORONARY BYPASS SURGERY IAB EVIDENCE AND ONSET OF ATRIAL FIBRILLATION
Based on our experience a detailed knowledge of the atrial circulation and its anatomy is important for a better understanding of cardiac physiology and for surgical purposes. In fact, cardiac arrhythmias are characteristic clinical features of acute infarcts because of transient ischemia of the sinus node [18]. Moreover, intra-operative atrial ischaemia caused by inadequacy of the preservation of atrial myocardium compared to the ventricular myocardium during the cardiopulmonary bypass, as shown in experimental studies [19], has been proposed as a trigger factor of AF post-CABG. Then, in the early post-operative phase a prolonged aortic cross-clamp time has also been shown to have a high incidence of atrial fibrillation [20, 21]. Furthermore, Saremi F et al. [22], in an imaging study of patients with IAB, using dual CT, described that Bachmann bundle fiber individualization was less visualized in patients with sinus node artery (SNA), blood supply impairment and presence of IAB in EKG. The above finding suggests that disease of bundle of Bachman fibers may play a role in development of atrial arrhythmias. As shown previously, a branch of sinus node artery perfuses the bundle of Bachman in the upper part of the left atrium. Accordingly, a recent angiographic study by Ariyarajah et al. [23], showed that, in patients with IAB and severe coronary artery disease (70% narrowing), the RCA (proximal and mid portions), was the predominant vessel affected, compared with the left coronary artery (58% vs 23%) while Mendes et al., reported that the proximal right coronary artery stenosis was an independent predictor of AF after CABG [16].
On the contrary, in our case an IAB was observed while patient was in the late phase after CABG intervention (30 days). In this patient the sinus node artery originated from the proximal tract of right coronary artery. A critical ostial right coronary artery stenosis which involved the origin of sinus node artery preoperatively was also observed. It is also well known that right-sided grafts are usually connected to the distal right coronary artery or posterior descending artery. So, arterial blood supply to the sinus node artery may not be affected with this type of revascularization technique. According to the previous study of Saremi et al. [22], in this case the distal part of sinus node artery (Figure 1) was less visualized due to the chronic impairment of blood supply. We hypothesised that late IAB presence on EKG one month after CABG, may be due to a persistent Bachman bundle blood supply impairment. Moreover, previous studies reported that patients developing AF after surgery have preoperatively increased intra-atrial conduction times (longer signal-averaged P-wave duration) [24], and more profound atrial structural changes like fibrosis [25,26] compared with patients who maintain sinus rhythm after surgery.
In this post-operative period of time, late IAB observation probably may constitute a pre-existing but permanent AF substrate. Reduced SNA blood supply and atrial remodelling and fibrosis of Bachman bundle may contribute to IAB [27]. It is also well known that patients developing post-operative atrial fibrillation have an eightfold increased risk of developing AF in the future [28]. So, it is important to recognized earlier signs, like IAB or symptoms that may trigger AF. In addition, if only transient factors, which are present in the early phase after CABG, were the only cause of onset of early post-operative AF, AF late after bypass surgery would be expected to be associated with more stable electrical signs, like IAB occurrence at a later phase. This to our opinion emphasizes that electrical signs like IAB are produced by more chronic factors which contribute to several atrial structural abnormalities, as occur in the presence of SNA ischemia.
PREVENTION TREATMENT STRATEGIES OF LATE IAB AND AF POST BYPASS SURGERY
It is well known that hybrid coronary revascularization strategy is safe and effective with similar excellent short- and long-term results, compared with standard CABG. This technique enables the surgeon to provide the surgical benefit conferred by the left internal thoracic artery-to-left anterior descending anastomosis [29,30], while minimizing the invasiveness of revascularization therapy and delivering a complete revascularization with percutaneous intervention to the non-left anterior descending vessels. Additionally, there has been a continuous improvement of drug-eluting stents performance, and percutaneous coronary angioplasty can now provide, in low risk patients and in those with single non-left anterior descending vessel disease, shortand mid-term outcomes comparable to CABG [31]. On the other hand, the right coronary artery stenosis is an independent predictor of AF after coronary artery bypass surgery [16]. In fact, this is associated with 3,7 times more likely post-operative AF in patients with than without right coronary artery stenosis. Additionally, right coronary artery is the most important origin of sinus node and Bachman branch blood supply. Because IAB is considered a premonitory sign for future AF episodes we speculate that percutaneous revascularization of proximal right coronary artery lesions, before the SNA origin, may be a valid alternative option in this type of patients. It is obvious that treatment and mode of surveillance (for early IAB recognition), will influence the number of identified late onset AF. In fact, from another Italian study [32], late AF episodes are a frequent clinical event during the first month after surgery. During this critical period, indeed, 50% of patients taking no prophylactic treatment had events (i.e stroke) and 60% of them had symptoms during the arrhythmia. So, the early recognition of electrical signs like presurgery IAB and a proximal right coronary artery stenotic lesion, before or involving the SNA origin, in the pre-operative coronary angiography, a hybrid revascularization approach may be ideal. Unfortunately, till now, we have no double-blind study which examines this preventive therapeutic approach. On the other hand, late occurrence of IAB needs a further risk stratification to define the importance of oral anticoagulation treatment in this population. CHA2DS2VASc score has been used to classify patients at high risk for thromboembolic events in non-valvular AF. The above was also used to stratify patients at risk with IAB [33]. Accordingly, in our patient, a DOAC therapy was decided.
In conclusion, IAB seems to be an electrical predisposing factor for AF when it is present in the late postoperative phase after bypass surgery. Monitoring this patient with an external recorder identified more paroxysmal AF episodes. In this period, coronary atrial perfusion by the sinus node artery plays an important role to maintain viability of the Bachman bundle and avoid fibers degeneration and fibrosis. Hence, probably a hybrid revascularization technique is needed and this may improve patient prognosis. Additionally, due to this chronic vascular alteration, the presence of IAB is frequently a permanent feature and needs more attention also when anticoagulation therapy must be decided on.