Disseminated Fusarium spp. Infection in an Immunocompromised Patient
- 1. Resident of Dermatology Universidad UTE, Quito, Ecuador
- 2. Dermatologist, Hospital de Especialidades Carlos Andrade Marin, Quito, Ecuador
- 3. Pathologist, Hospital de Especialidades Carlos Andrade Marin, Quito, Ecuador
Abstract
Fusarium infections are rare opportunistic mycosis caused by Fusarium spp. Its clinical presentation depends on the immunological status of the host; those immunosuppressed hemato-oncological diseases can present invasive fungal. Diagnosis is through Skin or blood culture and it is treated with antifungal medication such as amphotericin B and voriconazole alone or in combination. We present the case of a neutropenic 55-year-old woman undergoing chemotherapy treatment for B-cell acute lymphoblastic leukemia who presented disseminated skin lesions which included macules, papules and violaceous nodules, with a central necrotic crust. A skin biopsy, KOH exam, tissue and blood cultures were carried out where Fusarium spp. were identified. Treatment with amphotericin b combined with voriconazole was initiated, with good results and complete disappearance of the lesions.
Keywords
• Fusarium
• Infection
• Disseminated
• Immunocompromised
CITATION
Felix C, Cabrera F, Posso V, Caceres P, Cueva A, et al. (2024) Disseminated Fusarium spp. Infection in an Immunocompromised Patient. J Dermatolog Clin Res 12(1): 1158.
ABBREVIATIONS
KOH: Potassium Hydroxide; CVAD: Cyclophosphamide Vincristine Doxorubicin (Adriamycin) Dexamethasone; IV: Intravenous; QD: Every Day; TID: Three Times a Day.
INTRODUCTION
Human infections caused by Fusarium species range widely and include superficial, locally invasive, and disseminated infections. The immunological status of the host and the portal of entry play a major role in the clinical form of fusariosis; immunocompetent patients often experience superficial and localized disease, whereas immunocompromised patients experience invasive and widespread disease. Prolonged neutropenia and T-cell immunodeficiency are risk factors for severe fusariosis, particularly in recipients of hematopoietic stem cell transplants who have severe graft-versus-host disease. Disseminated fusariosis typically manifests as a mix of recognizable skin lesions and positive blood cultures, either with or without lung or sinus involvement. Patients with disseminated disease who remain neutropenic for an extended period of time face an almost 90% death rate. The prognosis is dismal and primarily depends on the level of immunosuppression and infection. A number of clinical and laboratory abnormalities may raise a clinical suspicion of these illnesses, which should result in quick treatment. The lipid formulations of voriconazole, posaconazole, and amphotericin B are available as treatment alternatives. It is important to think about protecting high-risk patients from fusarial infection.
CASE PRESENTATION
A 55-year-old female with history of high blood pressure was diagnosed two months ago with B-cell acute lymphoblastic leukemia plus severe neutropenia and received chemotherapy with hyper CVAD. On day 2 of the second cycle of chemotherapy, the patient presented generalized skin lesions which included painful macules, papules and violaceous nodules, some of them with a central necrotic crust and surrounded by an erythematous halo, sparing palms, soles and mucous membranes (Figures 1A,1B).
Figure 1: Violaceous and necrotic macules, papules and nodules in head, face (A), chest and abdomen (B).
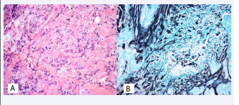
An incisional biopsy of one lesion revealed a lymphocytic and neutrophilic inflammatory infiltrate in dermis with abundant nuclear dust and abundant septate hyaline hyphae with thickened walls (Figure 2A). Grocott stain was positive for fungal walls (Figure 2B).
Figure 2: A). Inflammatory infiltrate in dermis with abundant nuclear dust and abundant septate hyaline hyphae with thickened walls. B). Positive for fungal walls.
KOH exam, tissue and blood cultures were performed in which hyaline septate hyphae and crescent-shaped macroconidia were observed, compatible with possible Fusarium spp.
Treatment was initiated with liposomal Amphotericin B 50 mg IV QD for 21 days combined with voriconazole 200 mg PO TID for 60 days. After the treatment, the skin lesions completely resolved, leaving post-inflammatory hyperpigmentation and new blood cultures were negative. However, her underlying disease progressed and unfortunately the patient died 6 months later.
DISCUSSION
Fusarium spp is an ubiquitous pathogenic filamentous fungi found in soil, water, and plants, that cause rare opportunistic mycoses [1]. It can cause localized or disseminated infections in immunocompetent as well as immunocompromised people, especially those with severe and prolonged neutropenia, severe immunodeficiencies, hematological malignancies, and hematopoietic cell transplant recipients [1,2]. Most Fusarium infections are produced by F. solani, F. oxysporum, and F. moniliforme and are disseminated via skin or respiratory tracts, which might arise as localized necrotic tissue lesions in the lungs or skin [1]. Although it is an uncommon disease, in invasive cases the prognosis is poor, with mortality approaching as high as 90% [1].
The clinical presentation of Fusarium infection is wide, ranging from isolated infections such as onychomycosis, paronychia, keratitis and endophthalmitis in immunocompetent patients to invasive and widespread infections in immunocompromised hosts [1]. In the latter, purpuric nodules or lesions similar to ecthyma gangrenosum, painful erythematous or violaceous papules or macules with a target shape can be found, sometimes associated with high fever and myalgia [2].
The diagnosis requires correlating the clinical manifestations of the patient, histology, microbiology and even the epidemiology of the institution. The gold standard is tissue culture as blood cultures are limited, with only 60% sensitivity [1]. Fusarium spp. are seen as acutely angled septate hyaline hyphae in Grocott´s methenamine silver stain [2]. The appearance of canoe- or banana-shaped macroconidia in lactophenol blue staining is a pathognomonic characteristic of Fusarium spp [2]. Recently, testing for invasive fungal infections has become quicker, more accurate, and noninvasive thanks to the use of cell-free DNA plasma extraction with next-generation sequencing [3].
Because of the high rate of treatment resistance in invasive fusariosis, which also contributes to its high mortality rate, treating the disease remains a therapeutic challenge [4]. However, invasive management calls for a two-pronged strategy: voriconazole and amphotericin B alone or in combination, or Posaconazole [1- 4]. On the other hand, the patient’s inherent immunocompromised status (neutropenia in particular) needs to be corrected, since this is the main risk factor for developing invasive fungal infection and for determining the patient’s overall prognosis, which is why every effort should be made to enhance immunity [1- 4]. Regretfully, there is not enough evidence to warrant the administration of granulocyte colonystimulating factor and granulocyte transfusions in these patients. If necessary, surgical debridement can also be performed in localized infections, associated with topical and/or systemic therapy [4].
In conclusion, physicians must maintain a high index of suspicion among immunocompromised patients, especially with hematological malignancies, about invasive fungal infections such as those caused by Fusarium spp. Early antifungal treatment may help avoid catastrophic consequences although currently clinical outcomes remain poor.
 
						 
								 
								 
								 
								 
								 
								 
								 
								 
								 
								 
								 
								 
								 
								 
								 
								 
								 
								 
								 
								 
								 
								 
								 
								 
								 
								 
								 
								 
								 
								 
								 
								 
								 
								 
								 
								 
								 
								 
								 
								 
								 
								 
								 
								 
								 
								 
								 
								 
								 
								 
								 
								 
								 
								 
								 
								 
								 
								 
								 
								 
								 
								 
								 
								 
								 
								 
								 
								 
								 
								 
								 
								 
								 
								 
								 
								 
								 
								 
								 
								 
								 
								 
								 
								 
								 
								 
								 
								 
								 
								 
								 
								 
								 
								 
								 
								 
								 
								 
								 
								 
								 
								 
								 
								 
								 
								 
								 
								 
								 
								 
								 
								 
								 
								 
								 
								 
								 
								 
								 
								 
								 
								 
								 
								 
								 
								 
								 
								 
								 
								 
								 
								 
								 
								 
								