Myeloid Sarcoma: With Cutaneous Manifestation
- 1. Dermatology Resident, Universidad Tecnológica Equinoccial, Quito, Ecuador
- 2. Department of Dermatology, Hospital Carlos Andrade Marín, Universidad Central del Ecuador, Quito, Ecuador
- 3. Department of Dermatopathology, Hospital Carlos Andrade Marín, Universidad UTE, Quito, Ecuador
Abstract
Myeloid Sarcoma (MS) is a rare condition where leukemic cells proliferate independently, often alongside or during relapse of related blood cancers such as Acute Myeloid Leukemia (AML), and other leukemias. MS typically manifests as tumors of immature myeloid cells in various body sites. Skin involvement shows a single, solid tumor with rapid growth, commonly on the face, scalp, or trunk. While primarily seen in these areas, MS can appear in any organ. Some cases exhibit multiple or widespread lesions. We describe the case of a 44-year-old female patient whose laboratory tests, extension studies, skin biopsy, and immunostaining align with the diagnosis of rapidly advancing and poor prognosis Myeloid Sarcoma.
Keywords
• Myeloid sarcoma
• Skin
• Leukemic manifestations
• Tumor
CITATION
López L, Cabrera F, Posso V, Felix C, Jaramillo J, et al. (2024) Myeloid Sarcoma: With Cutaneous Manifestation. J Dermatolog Clin Res 12(2): 1162.
ABBREVIATIONS
MS: Myeloid Sarcoma; AML: Acute Myeloid Leukemia; MDS: Myelodysplastic Syndromes/Neoplasms; CML: Chronic Myeloid Leukemia; MPN: Myeloproliferative Neoplasm; WHO: World Health Organization
INTRODUCTION
Myeloid sarcoma (MS) also known as chloroma or granulocytic sarcoma is a rare condition where leukemic cells proliferate independently, Alongside Acute Myeloid Leukemia (AML), Myelodysplastic Syndromes/Neoplasms (MDS), Chronic Myeloid Leukemia (CML), and other myeloproliferative neoplasm (MPN). Myeloid Sarcoma typically appears as one or more tumors made up of immature myeloid cells, found in various body locations aside from the bone marrow, notably in bone, periosteum, skin, gums, and lymph nodes. However, it can manifest in any organ. When affecting the skin, it presents as a single, firm tumor that proliferates over days or weeks, often seen on the face, scalp, or trunk. There have been documented cases with multiple or widespread lesions. Although skin involvement by AML is common, there are relatively few comprehensive studies on cutaneous myeloid sarcoma. To the best of our knowledge, only 9 prior studies have been published in peer-reviewed Englishlanguage medical journals in the past two decades [1-5].
CASE PRESENTATION
A 44-year-old female patient with medical history of hypothyroidism and diabetes mellitus presented with skin lesions that had evolved over 3 months, initially appearing as papules in the submammary region and subsequently spread accompanied by sporadic itching and pain. Additionally, she reported unquantified weight loss over the past 6 months and painful cervical lymphadenopathy.
The physical exam portrayed a generalized dermatosis with multiple exophytic, violaceous-green, well-defined, semi-solid nodules affecting the anterior and posterior chest, abdomen, arms. The lower limbs were affected to a lesser extent (Figures 1-3).
Figure 1: Exophytic neoformations, purple-green in color, some of which coalesce, with well-defined borders and a semi-solid consistency.
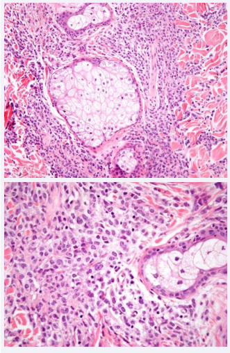
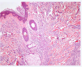
Figure 2: Normal epidermis, well-defined Grenz zone. The superficial and deep dermis is extensively infiltrated by neoplastic cells of hematolymphoid lineage, surrounding the cutaneous appendages. These cells vary in size, with some exhibiting plasmacytoid features extending into the subcutaneous tissue.
Figure 3: At higher magnification, an undifferentiated malignant infiltration of immature cells is observed.
Laboratory results: Leukocytes: 0.57 mm3, Neutrophils: 22.8%, Platelets: 17,000 mm3, Hemoglobin: 5.9 g/dL, Hematocrit: 16%, C-Reactive Protein (CRP): 29.90 mg/dL, Procalcitonin: 1.06 ng/ml, Glucose: 295 mg/dL, Chloride: 92 mmol/l, Potassium: 5.3 mmol/l, Sodium: 130 mmol/l, Creatinine: 0.80 mg/dL, Aspartate Aminotransferase (AST): 119.7 U/L, Alanine Aminotransferase (ALT): 16.6 U/L, Lactate Dehydrogenase (LDH): 12,482 U/L, Albumin: 3.4 g/dL.
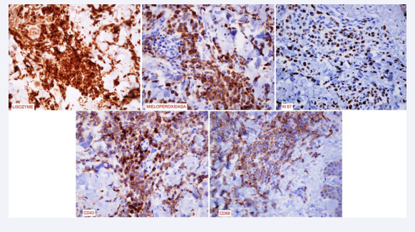
The skin biopsy revealed an epidermis with no significant changes, with a well-defined Grenz zone. At higher magnification, the superficial and deep dermis were extensively infiltrated by neoplastic cells of hematolymphoid lineage surrounding the cutaneous appendages. These cells varied in size, with some appearing plasmacytoid and extending into the subcutaneous tissue. Immunohistochemistry showed positivity for lysozyme, myeloperoxidase, Ki67, CD43, and CD68 (Figure 4).
Figure 4: Immunohistochemistry positive for lysozyme, myeloperoxidase, Ki67, CD43, and CD68.
These markers were crucial in reaching the diagnosis of Myeloid Sarcoma. Subsequently, further tests were conducted, revealing significant bicytopenia in the patient, along with a chest CT scan showing mediastinal infiltrates and multiple cervical lymphadenopathies.
DISCUSSION
Myeloid Sarcoma (MS) was initially described by Burns in 1811 and later termed “chloroma” by King in 1853. Per the World Health Organization (WHO) classification of Tumours of Hematopoietic and Lymphoid Tissues, MS denotes an extramedullary tumor comprised of myeloid blasts, with or without maturation.[6] It can manifest as an isolated entity without concurrent bone marrow involvement in patients devoid of AML, Myeloproliferative Neoplasm (MPN), Myelodysplastic Syndrome (MDS), or MDS/MPN history.[7] The incidence of MS varies between 2.5% and 30% among all AML cases.[7,8] It can present at any age and affects nearly all tissues, with skin and lymph nodes being common sites.
Despite unclear pathogenesis, the leukemia subtype and local factors are implicated. Clinical presentations are diverse and heterogeneous, encompassing local swellings or masses, local pain/pressure, and neurological symptoms. [9] In our case, extensive masses were evident across the patient’s body, excepting the face.
Histological diagnosis of MS needs a high index of suspicion and may elude detection in the absence of AML history. In our case, the diagnosis was confirmed through pathological examination and immunophenotypic detection. [10] Notably, neoplastic infiltration, densely observed in the dermis and fat, exhibits a tendency to circumvent vessels and adnexa, sparing the papillary dermis (Grenz zone). Cytological appearance varies dependent on origin and cellular maturation degree. Immunohistochemistry (IHC), notably including CD68, MPO, CD43, CD3, CD20, and chloroacetate esterase, constitute pivotal diagnostic tools [3].
MS may occasionally precede systemic leukemia diagnosis [2] and some AML patients attain complete bone marrow remission despite ongoing skin involvement. However, MS cases with MDS generally carry a worse prognosis compared to isolated myeloid sarcoma or AML with myeloid sarcoma. [11] Literature suggests that isolated MS with skin manifestation portends similarly poor prognosis [12].
Treatment of MS should predominantly hinge upon systemic polychemotherapy, [4,13] even in cases of isolated MS or MS postcomplete surgical resection, as per literature recommendations.
ACKNOWLEDGMENT
We are deeply grateful to the Department of Pathology and Dermatology at Carlos Andrade Marín Specialties Hospital for their contribution to the completion of this remarkable case.
ETHICAL PERMISSION
The patient has given informed consent during his treatment for the publication of this article.
REFERENCES
- Takeyasu S, Morita K, Saito S, Toho M, Oyama T, Obo T, et al. Myeloid sarcoma and pathological fracture: A case report and review of literature. International Journal of Hematology. 2023; 118: 745–750.
- Baden TJ, Gammon WR. Leukemia cutis in acute myelomonocytic leukemia: Preferential localization in a recent hickman catheter scar. Archives of Dermatology. 1987; 123: 88.
- García-Arpa M, Rodríguez-Vázquez, M, Murillo Lázaro C, Calle Primo C. Sarcoma mieloide en un área de plastia. Actas dermo-sifiliograficas. 2011; 102: 737–739.
- Kaur V, Swami A, Alapat D, Abdallah AO, Motwani P, Hutchins LF, et al. Clinical characteristics, molecular profile and outcomes of myeloid sarcoma: A single institution experience over 13 years. Hematology (Amsterdam, Netherlands). 2018; 23: 17–24.
- Hurley M, Ghahramani G, Frisch S, Armbrecht E, Lind A, Nguyen T, et al. Cutaneous myeloid sarcoma: Natural history and biology of an uncommon manifestation of acute myeloid leukemia. Acta Dermato- Venereologica. 2013; 93: 319–324.
- Campo E, Swerdlow SH, Harris NL, Pileri S, Stein H, Jaffe ES. The 2008 WHO classification of lymphoid neoplasms and beyond: Evolving concepts and practical applications. Blood. 2011; 117: 5019–5032.
- Claerhout H, Van Aelst S, Melis C, Tousseyn T, Gheysens O, Vandenberghe P, et al. Clinicopathological characteristics of de novo and secondary myeloid sarcoma: A monocentric retrospective study. European Journal of Haematology. 2018; 100: 603–612.
- Avni B, Koren-Michowitz M. Myeloid sarcoma: Current approach and therapeutic options. Therapeutic Advances in Hematology. 2011; 2: 309–316.
- Wang HQ, Li J. Clinicopathological features of myeloid sarcoma: Report of 39 cases and literature review. Pathology Research and Practice. 2016; 212; 817–824.
- Shen J, Du X, Diao X, Zhao L, Wang W, Yu Y, et al. Myeloid sarcoma presenting with multiple skin and subcutaneous mass without leukemic manifestations after renal transplantation. Transplantation Proceedings. 2015; 47: 2227–2232.
- Meyer HJ, Pönisch W, Schmidt SA, Wienbeck S, Braulke F, Schramm D, et al. Clinical and imaging features of myeloid sarcoma: A german multicenter study. BMC Cancer. 2019; 19.
- Samborska M, Bara?ska M, Wachowiak J, Skalska-Sadowska J, Thambyrajah S, Czoga?a M, et al. Clinical characteristics and treatment outcomes of myeloid sarcoma in children: The experience of the polish pediatric leukemia and lymphoma study group. Frontiers in Oncology. 2022; 12.
- Lee JY, Chung H, Cho H, Jang JE, Kim Y, Kim SJ, et al. Clinical characteristics and treatment outcomes of isolated myeloid sarcoma without bone marrow involvement: A single-institution experience. Blood Research. 2017; 52: 184.
 
						 
								 
								 
								 
								 
								 
								 
								 
								 
								 
								 
								 
								 
								 
								 
								 
								 
								 
								 
								 
								 
								 
								 
								 
								 
								 
								 
								 
								 
								 
								 
								 
								 
								 
								 
								 
								 
								 
								 
								 
								 
								 
								 
								 
								 
								 
								 
								 
								 
								 
								 
								 
								 
								 
								 
								 
								 
								 
								 
								 
								 
								 
								 
								 
								 
								 
								 
								 
								 
								 
								 
								 
								 
								 
								 
								 
								 
								 
								 
								 
								 
								 
								 
								 
								 
								 
								 
								 
								 
								 
								 
								 
								 
								 
								 
								 
								 
								 
								 
								 
								 
								 
								 
								 
								 
								 
								 
								 
								 
								 
								 
								 
								 
								 
								 
								 
								 
								 
								 
								 
								 
								 
								 
								 
								 
								 
								 
								 
								 
								 
								 
								 
								 
								 
								 
								