Basic Measurements in Echocardiography Evaluate of Right Ventricle
- 1. Department of Cardiology, Firat University Hospital, Turkey
- 2. Department of Cardiology, Medova Hospital, Turkey
Abstract
Pulmonary hypertension may be related to many pathologic conditions. Therefore, a multidisciplinary approach is required to perform the correct diagnosis, with particular reliance on imaging techniques. Echocardiography is the most commonly used and cheapest imaging technique in patients with pulmonary hypertension. A basic echocardiographic approach is essential for screening of the patients with suspected pulmonary hypertension. Right heart assessment should not be done with one parameter. Its screening should examine the right heart using multiple acoustic windows, and there port should perform an assessment based on parameters. The parameters to be represented and stated should contain a evaluate of right ventricular (RV), right atrial (RA), RV systolic function (at least one of the following: fractional area change (FAC), tricuspid annular plane systolic excursion (TAPSE), S’, and myocardial performance (IMP), and pulmonary artery (PA) pressure (sPAP) with guess of RA pressure on the root of inferior vena cava (IVC) size and collapse.The reference values for these advised measurements are displayed in Table 1 and 2. These reference values are grounded on values derived from normal individuals [1] Main imaging windows area pical 4-chamber, modified apical 4-chamber, left parasternal long axis (PLAX) and parasternal short axis (PSAX), left parasternal RV inflow, and sub costal views ensure images for the overall assessment of RV systolic pressure (RVSP) and RV systolic and diastolic function.
Keywords
• Echocardiography
• Systolic function
• Parasternal long axis
• Right ventricular
Citation
Kivrak T, Erdem K, Kobat MA, Karaca I (2017) Basic Measurements in Echocardiography Evaluate of Right Ventricle. J Radiol Radiat Ther 5(2): 1073.
RIGHT HEART DIMENSIONS
Right Ventricle
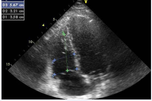
RV dimension is best forecasted at end-diastole from a right ventricle–focused apical 4-chamber view. Care should be taken to get the image demonstrating the maximum diameter of the RV without fore shortening. It can be accomplished by making sure that the crux and apex of the heart are in view (Figure 1).
Figure 1: Measure of RV Dimension (Basal-D1, mid-D2 and longitudinal-D3 diameters).
RV diameter > 35 mm at themid-level and > 42 mm at the base and states RV dilatation. Like wise, longitudinal dimension > 86 mm indicates RV enlargement [1].
Right Atrium
The apical 4-chamber view allows estimation of the RA dimensions (Figure 2).
Figure 2: Measure of Right Atrium (Apical 4 chamber view).
RA length (indicated as the major dimension) > 53 mm, RA area > 18 cm2 , RA diameter (or else known as the minor dimension) > 44 mm indicate at end-diastole RA enlargement [1].
Right Ventricle Outflow Tract Dimension:
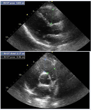
The left PSAX view demonstrating RVOT at the level of the pulmonic valve yields the ‘‘distal diameter’’, while the left PLAX view provides for the measurement of the proximal portion of the RVOT, also attributed to as ‘‘proximal diameter’’ (Figure 3).
Figure 3: Measure of RVOT (Parasternal long axis and Parasternal short axis).
Diameter > 27mm at end-diastole at the level of pulmonary valve insertion (‘‘distal diameter’’) indicates RVOT dilatation [1].
Right Wall Thickness
RVwall thickness is measured in diastole, ideally from the sub costal view, using either M-mode or two-dimensional (2D) imaging. Inter changeably, the left parasternal view is also used for measuring RV wall thickness. Thickness> 5 mm indicates RV hypertrophy (RVH) and may suggest RV pressure over load in the absence of other pathologies [1].
Inferior Vena Cava Dimension
The subcostal view allows imaging and measurement of the IVC and assesses inspiratory collapsibility too. IVC diameter should be evaluated just proximal to the proximal of hepatic veins (Figure 4).
Figure 4: Measure of IVC (Subcostal view).
For simplicity and kinship of reporting, values of RA pressure, instead of ranges, should be used in the stabilizationof pulmonary artery pressure. IVC diameter 2.1 cm that collapses > 50% with a sniff suggests normal RA pressure of 3mm Hg (range, 0-5mm Hg), while IVC diameter > 2.1 cm that collapses < 50% with a sniff suggests high RA pressure of 15mm Hg (range, 10- 20mm Hg). IVC diameter and collapse do not fit this paradigm, an intermediate value of 8mm Hg (range,5-10mm Hg) may be used or,favourably, other indices of RA pressure should be compounded to downgrade or upgrade to the normal or high values of RA pressure [1].
Left Ventricular Eccentricity Index
It is evaluated by the parasternal short-axis at the level of left ventricular muscles. It is evaluated as the ratio of the minor axis of the left ventricle parallel to the septum (D2), divided by the minor axis perpendicular to the septum (D1). (Figure 5).
Figure 5: Measurement of Left Ventricle Eccentiricity index (Parasternal Short Axis).
RIGHT VENTRICLE SYSTOLIC FUNCTION
RV systolic function has been evaluated using several parameters, namely, RVIMP, TAPSE,S’, 2D RV FAC, 2D RV ejection fraction (EF), three-dimensional (3D) RV EF, and longitudinal strain and strain rate. Among these, more studies have demonstrated the clinical utility and value of RV IMP, TAPSE, 2D FAC, and S’. Though 3D RV EF seems to be more reliable with fewer reproducibility errors, there are insufficient data demonstrating its clinical value at present.
RMPI (Right Myocardial Performance Index):
It ensures an index of global RV function. IMP > 0.40 by pulsed doppler and > 0.55 by tissue dopplerstates RV dysfunction [1]. By measuring the isovolumic contraction time (IVCT), isovolumic relaxation time (IVRT), and ejection time (ET) indices from the pulsed tissue doppler velocity of the lateral tricuspid annulus, one avoids errorspertain to variability in the heart rate (Figure 6), MPI can be falsely low in conditions be connected with elevated RA pressures, which will decrease the IVRT.
Figure 6: Measure of RV MPI.
TAPSE
It is easily available and is a measure of RV longitudinal function. TAPSE < 16 mm indicates RV systolic dysfunction [1]. It is evaluated from the tricuspid lateral annulus (Figure 7).
Figure 7: Measure of Tricuspid annular plane systolic excursion (TAPSE).
Though it evaluates longitudinal function, it has shown good correlation with techniques estimating RV global systolic function, e.g. radionuclide-derived RV EF, 2D RV FAC, and 2D RV EF.
Two-dimensional FAC (Fractional Area Shortening as a percentage)
It ensures an estimation of RV systolic function. Twodimensional FAC < 35% indicates RV systolic dysfunction [1]. It is important to assure that the allright ventricle in the view, including the apex and the lateral wall in both systole and diastole. Care must be taken too midtrabeculations while tracing the RV area.
S’
It is easy to measure, confidential and repeatable. S’ velocity < 10 cm/s indicates RV systolic dysfunction [1]. S’ velocity has been shown to associate well with other measures of global RV systolic function (Figure 8).
Figure 8: Measure of RV tissue Doppler (RVs, RVa´, RVe´).
RV DIASTOLIC DYSFUNCTION
Assessment of RV diastolic function is performed by pulsed Doppler of the tricuspid inflow, tissue Doppler of the lateral tricuspid annulus, pulsed Doppler of the hepatic vein, and measurements of IVC size and collapsibility.Several parameters with their normal values are shown in Tables (1,2).
|
Table 1: Abnormal value of Right Ventricle Diameter. |
||
|
Variable |
Unit |
Abnormal |
|
RV basaldiameter |
cm |
>4.2 |
|
RVOT PSAX distal diameter |
cm |
>2.7 |
|
RVOT PLAX proximal diameter |
cm |
>3.3 |
|
RV subcostal wall thickness |
cm |
>0.5 |
|
RA majordimension |
cm |
>5.3 |
|
RA minör dimension |
cm |
>4.4 |
|
Table 2: Abnormal Value for Right Ventricle and Pulmonary Circulation. |
||
|
|
Unit |
Abnormal |
|
Right VentricularSystolicPressure |
mmHg |
>37 |
|
TricuspidRegurgitationVelocity(m/sec) |
m/sec |
>2.6 |
|
Right Atrium Volume Index (ml/m²) |
ml/m² |
Men>34 Women>27 |
|
Right Ventricular MPI |
|
>0.28 |
|
TAPSE |
mm |
<20 |
|
TDI S´ |
cm/sec |
<12 |
|
LV eccentricity index |
|
>1 |
|
PulmonaryVascularResistance |
woodunit |
>1 |
Among these, the E/A ratio, deceleration time, the E/e’ ratio, and RA size are recommended.
Grading of Right Ventricle Dysfunction
A tricuspid E/A ratio < 0.8 suggests impaired relaxation, a tricuspid E/A ratio of 0.8 to 2.1 with an E/e’ ratio > 6 or diastolic flow predominance in the hepatic veins suggests pseudonormal filling, and a tricuspid E/A ratio > 2.1 with deceleration time < 120 ms suggests restrictive filling [1].
PULMONARY SYSTOLIC PRESSURE/RVSP
TR velocity peak permits estimation of RVSP with the addition of RA pressure, assuming no significant RVOT obstruction. It is advised to use the RA pressure estimated from IVC and its collapsibility, rather than arbitrarily assigning a fixed RA pressure. TR velocity > 2.8 to 2.9 m/s, corresponding to SPAP of approximately 36mm Hg, assuming an RA pressure of 3 to 5mmHg, indicates elevated RV systolic and PA pressure (Figure 9).
Figure 9: Measure of systolic pulmonary artery pressure.
SPAP may be increased with age and in obesity. SPAP is also related to stroke volume and systemic blood pressure. Elevated SPAP may not always state increased pulmonary vascular resistance (PVR). In general, those who have elevated SPAP should be carefully evaluated. It is important to consider that the RV diastolic function parameters and SPAP are influenced by the systolic and diastolic function of the left heart. PA pressure should be reported along with systemic blood pressure or main arterial pressure.








