Massive Gastrointestinal Bleeding in an Adult Patient with Meckel
- 1. Department of Clinical Radiology, Graduate School of Medicine, Nippon Medical School, Japan
Abstract
Obscure gastrointestinal bleeding is often a diagnostic challenge for the primary care physician, but with improvements in diagnostic testing the cause of such blood loss is determined in most patients. However, in approximately 5% of the cases, the source of bleeding is not identifiable. One common etiology in patients younger than 40 years of age is Meckel’s diverticulum. Technetium-99m pertechnetate scintigraphy is the standard imaging method for demonstrating Meckel’s diverticula that contain heterotopic gastric mucosa. Here we describe a young female patient with intestinal bleeding in whom Meckel’s diverticulum was suspected, and the use of SPECT/CT fusion imaging provided valuable diagnostic information, thus avoiding a false-negative result.
Keywords
• Ectopic gastric mucosa
• Meckel’s diverticulum
• Technetium 99m pertechnetate scintigraphy
• SPECT/CT
Citation
Murakami R, Kumita S, Fukushima Y, Tani H, Yoshida T, et al. (2013) Massive Gastrointestinal Bleeding in an Adult Patient with Meckel’s Diverticulum: Utility of SPECT/CT with Technetium 99 m Pertechnetate Scintigraphy. J Radiol Radiat Ther 1(2): 1008.
INTRODUCTION
Meckel’s diverticulum is a common source of gastrointestinal tract morbidity, with a prevalence of 0.5–3% in autopsy series, making it the most common congenital anomaly of the small intestine. Only a minority of individuals (between 4% and 25%) with a Meckel’s diverticulum will develop symptoms, typically presenting at less than 10 years of age [1,2]. Symptomatic Meckel’s diverticula most commonly cause lower gastrointestinal tract hemorrhage. Occasionally, individuals may present with signs and symptoms of small bowel obstruction or diverticulitis. Gastrointestinal bleeding is the usual reason for performing Technetium (Tc) -99m pertechnetate scintigraphy for detecting the presence of heterotopic gastric mucosa, which can cause mucosal ulceration.
Hybrid single-photon emission computed tomography/ computed tomography (SPECT/CT) with a gamma camera is a relatively novel technology that allows direct simultaneous fusion of functional and anatomic information. Its utility in a range of diagnostic nuclear medicine studies is being reported increasingly, although its application to scintigraphy for Meckel’s diverticulum has not been well described to date. Here we report a young adult patient with massive bleeding from a Meckel’s diverticulum, in whom SPECT/CT fusion imaging provided important diagnostic information, allowing targeted surgery.
CASE PRESENTATION
A 23-year-old female patient was admitted to our hospital with a 4-day history of painless black stools. She had no additional relevant medical history. Physical examination revealed an apparently healthy, though rather pale individual. Her vital signs were within normal limits, and the abdomen was soft and not painful. Digital rectal examination revealed no masses in the rectal vault. Laboratory examinations showed a hemoglobin level of 6.9 g/dl and a hematocrit of 22%. Esophagogastroduodenoscopy completely visualized the upper gastrointestinal tract up to the third portion of the duodenum, and no remarkable abnormality was evident. Subsequently, a pancolonoscopy was performed and revealed blood throughout the entire colon and blood clots within the terminal ileum beyond the field of view.
As the patient continued to experience painless gastrointestinal tract bleeding, Tc-99m pertechnetate scintigraphy was performed. Sequential planar scintigraphy during a 30-min period revealed a small, weak abdominal focus after 25 min (Figure 1).
Figure 1: Sequential planar scintigraphy shows a subtle focus of activity within the right hemiabdomen (arrows) (sequence 25-30 minutes post-injection).
Pharmacological pretreatment prior to scanning was not used. A single-photon emission computed tomography (SPECT) image was acquired and co-registered with a simultaneously acquired low-dose CT scan on a hybrid machine (Symbia T2; Siemens, Tokyo, Japan) (Figure 2).
Figure 2: Axial fused SPECT/CT images verified that the focus of right hemiabdomen uptake was consistent with a Meckel’s diverticulum.
Focal radiotracer accumulation within the right lower abdomen was localized to an apparent blind-ending loop of bowel on SPECT/CT images, and this was considered highly likely to be a Meckel’s diverticulum.
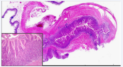
The patient underwent laparoscopic surgery the following day, confirming the presence of a Meckel’s diverticulum. Histopathologic examination of the resected specimen showed it to be a Meckel’s diverticulum with gastric mucosa (Figure 3).
Figure 3: The surgical specimen consisted of a 3.6-cm segment of the terminal ileum, containing an outpocketing measuring 3.2 × 1.3 × 1.3 cm. Most of this diverticulum was lined with heterotopic gastric mucosa. Photomicrograph (high-power ×100, hematoxylin-eosin stain) demonstrates surface foveolar cells and oxyntic glands composed of eosinophilic parietal cells adjacent to basophilic chief cells.
The patient made a good postoperative recovery.
DISCUSSION
Meckel’s diverticulum is the most commonly occurring congenital anomaly of the gastrointestinal tract, affecting 2% of the general population. Anatomically, it is a true diverticulum containing all layers of the small intestine, originating from the antimesenteric border of the ileum [3,4]. It results from incomplete obliteration of the omphalomesenteric or vitelline duct, which normally connects the primitive gut to the yolk sac [5]. Heterotopic tissue is present in approximately 50% of resected diverticula, gastric mucosa being the most common tissue type found (23-50% of cases) [6,7].
Technetium-99m pertechnetate scintigraphy is commonly used for evaluation of children and young adults with unexplained gastrointestinal tract bleeding. A large study of 917 patients by Sfakianakis and Conway [8] demonstrated a diagnostic sensitivity of 85%, specificity of 95%, and overall accuracy of 90% for detection of heterotopic gastric mucosa in Meckel’s diverticulum. A more recent investigation by Swaniker et al. revealed that the scan sensitivity for Meckel’s diverticulum was 60%, specificity 96%, positive predictive value 100%, and negative predictive value only 74% [6]. The authors suggested that exploratory laparoscopy might be indicated instead of scintigraphy in certain clinical settings.
The diagnostic sensitivity of planar scintigraphy results mainly from its relatively low signal to noise ratio. If SPECT/CT image fusion is readily available, it may significantly enhance the diagnostic outcome, as was clearly shown in the present case. The ability of SPECT/CT imaging to allow precise, efficient localization of activity at an abnormal anatomic structure led to correct scan interpretation and improved reader confidence in the diagnosis. Any risks associated with a delayed diagnosis were minimized, and unnecessary additional patient imaging was avoided (such as a subsequent small bowel follow-through examination or CT enterography that would have exposed the patient to additional radiation). A positive SPECT/CT result could also potentially assist in surgical planning for Meckel’s diverticulum.
The role of SPECT/CT fusion imaging in children has not clearly been established, however, and the procedure should be used in a judicious manner. This is because there is a small amount of added radiation exposure to a child from the CT portion of the examination, in addition to the radiation exposure from the Meckel’s scan. A review by Gelfand et al. concluded that SPECT/ CT dose reduction in children can be achieved successfully by modifying the CT imaging parameters [7]. For SPECT/CT at our institution, we reduce the mA to approximately one-third of that of a conventional “diagnostic” CT examination. In addition, the craniocaudal coverage of the CT portion of the study may be limited to the region of interest, resulting in further dose reduction. To confirm the clinical necessity of SPECT/CT fusion imaging in child and younger patient, the risks versus benefits should be discussed with the referring physician beforehand SPECT/CT fusion imaging in children to confirm the clinical necessity of the imaging examination.
Traditional planar images of Technetium 99m pertechnetate scintigraphy may be diagnostic for Meckel’s diverticulum in the appropriate clinical setting. SPECT/CT fusion imaging can potentially improve diagnostic accuracy by increasing sensitivity without compromising specificity. Further studies are clearly warranted.
REFERENCES
- Levy AD, Hobbs CM. From the archives of the AFIP. Meckel diverticulum: radiologic features with pathologic Correlation. Radiographics. 2004; 24: 565-587.
- Kusumoto H, Yoshida M, Takahashi I, Anai H, Maehara Y, Sugimachi K. Complications and diagnosis of Meckel's diverticulum in 776 patients. Am J Surg. 1992; 164: 382-383.
- Cullen JJ, Kelly KA, Moir CR, Hodge DO, Zinsmeister AR, Melton LJ 3rd. Surgical management of Meckel's diverticulum. An epidemiologic, population-based study. Ann Surg. 1994; 220: 564-568.
- Brenes RA, Abbas HM, Palesty JA, Tripodi G. Difficulty in identifying a bleeding Meckel's diverticulum: case report and review of the literature. Conn Med. 2010; 74: 333-335.
- Yahchouchy EK, Marano AF, Etienne JC, Fingerhut AL. Meckel's diverticulum. J Am Coll Surg. 2001; 192: 658-662.
- Swaniker F, Soldes O, Hirschl RB. The utility of technetium 99m pertechnetate scintigraphy in the evaluation of patients with Meckel's diverticulum. J Pediatr Surg. 1999; 34: 760-764.
- Fich A, Talley NJ, Shorter RG, Phillips SF. Does Helicobacter pylori colonize the gastric mucosa of Meckel's diverticulum? Mayo Clin Proc. 1990; 65: 187-191.
- Sfakianakis GN, Conway JJ. Detection of ectopic gastric mucosa in Meckel's diverticulum and in other aberrations by scintigraphy: ii. indications and methods--a 10-year experience. J Nucl Med. 1981; 22:732-738.


