Loading

Journal of Surgery and Transplantation Science

An Unusual Case of Large Ascending Aortic Aneurysm with Severe Aortic Insufficiency

Case Report | Open Access | Volume 4 | Issue 3

  • 1. Department of Cardiology, Hospital de Santa Marta, Portugal
  • 2. Department of Cardiothoracic Surgery, Hospital de Santa Marta, Portugal
+ Show More - Show Less
Corresponding Authors
Marta Afonso Nogueira, Department of Cardiology, Hospital de Santa Marta, Rua de Santa Marta, 50, 1169-024 Lisboa, Portugal, Tel: 351-968675248 Fax: 351-213554625
ABSTRACT

The etiology of ascending aortic aneurysms includes genetic, degenerative, inflammatory and infectious causes. We present a case of a 49 year-old male patient without any known cardiovascular risk factors, who presented mainly with fatigue of increasing severity. The physical examination revealed a grade IV decrescendo, blowing aortic diastolic murmur, as well as an Austin Flint murmur and water hammer peripheral pulses. Imaging methods (echocardiography and computed tomography angiography) showed a large (8.6 cm) ascending aortic aneurysm with corresponding severe aortic insufficiency. In this context, he underwent surgical implantation of an aortic tube graft and mechanical prosthesis in aortic position, with good final result. Surprisingly, the histopathological diagnosis of the surgical specimen was compatible with atherosclerosis.

KEYWORDS

•    Ascending aorta
•    Aneurysm
•    Aortic insufficiency
•    Atherosclerosis

CITATION

Nogueira MA, Branco LM, Galrinho A, Laranjeira Á, Oliveira JA (2016) An Unusual Case of Large Ascending Aortic Aneurysm with Severe Aortic Insufficiency. J Surg Transplant Sci 4(3): 1031.

ABBREVIATIONS

BNP: Blood Natriuretic Peptide; CTA: Computed Tomography Angiography; MRA: Magnetic Resonance Angiography; TEE: Transesophageal Echocardiography; TTE: Transthoracic Echocardiography

INTRODUCTION

Thoracic aortic aneurysms have an incidence of 10/100 000 person-years and approximately 60% affect the ascending aorta [1]. The etiology of ascending aortic aneurysms includes genetic (such as Marfan, Loeys-Dietzor Ehlers-Danlos syndrome; bicuspid aortic valve), degenerative (atherosclerotic), inflammatory (for instance, giant cell arteritis) and infectious causes (Treponema pallidum, Staphylococcus aureus, Salmonella spp., among others) [1]. Nevertheless, atherosclerosis is the main cause of descending but not ascending aortic aneurysms [1]. The clinical presentation is variable, with most of the patients remaining asymptomatic for a long period of time. The symptoms are usually related to aortic insufficiency, heart failure, local compression of adjacent structures (cough, dyspnea, odynophagia or dysphagia, hoarseness due to left laryngeal nerve palsy) or even systemic embolization [1,2]. However, the first manifestation may correspond to the most feared complications: dissection (acute deep, aching or throbbing chest pain that can spread to the back, buttocks, groin or legs) and rupture (that can lead to sudden death) [1,2]. According to the Global Burden Disease 2010 project, the overall global death rate from aortic aneurysms and aortic dissection increased from 2.49 per 100 000 to 2.78 per 100 000 inhabitants between 1990 and 2010, with higher rates for men [2]. The main predictors of rupture are aneurysm size >6.5 cm and its expansion rate >5.5 mm per year, but and history of bicuspid aortic valve or Marfan syndrome are also determining factors of expansion rate [3,4]. Baseline laboratory assessment includes cardiovascular risk factors and albeit laboratory testing plays a minor role in the diagnosis of acute aortic diseases, it is useful for differential diagnoses [2].

The aorta is a complex geometric structure and, consequently, there are some limitations inherent to all imaging techniques (TTE, TEE, CTA or MRA). No imaging modality has perfect resolution and the precise depiction of the aortic walls depends on whether appropriate electrocardiogram (ECG) gating is employed [2,5].

In this regard, it is recommended that maximum aneurysm diameter be measured perpendicular to the centerline of the vessel with three-dimensional (3D) reconstructed CTA scan images whenever possible [2]. In fact, CT plays a central role in the diagnosis, risk stratification and management of aortic aneurysms [2]. Regarding treatment, aneurysms are repaired when the risk of rupture or dissection exceeds the risk of repair. The size thresholds for repair are determined by the underlying etiology of the aneurysm (usually >55 mm), with lower thresholds for those with genetic aortopathies (45 mm for Marfan’s syndrome and 50 mm for bicuspid aortic valve) [1,5-7].

CASE PRESENTATION

We present the case of a 49 year-old male patient who lived in Cape Verde, Africa and worked in the construction field. This patient had no relevant past medical story and no identifiable cardiovascular risk factors (arterial hypertension, smoking, hyperlipidemia, diabetes, family history of early cardiovascular disease) what so ever. Nevertheless, he started complaining mainly of progressively worsening fatigue and sporadically some chest discomfort (never described as pain), in the past few months. The patient was initially observed in his homeland and the physical examination revealed a grade IV decrescendo, blowing aortic diastolic murmur, as well as an Austin Flint murmur and water hammer peripheral pulses, suggestive of aortic insufficiency. After a brief workup, the patient was evacuated to Portugal, in order to investigate more thoroughly his condition and decide the best treatment. Regarding laboratory tests, the main results are depicted in Table, with only a slight elevation of BNP levels as a remarkable abnormality. The first imaging exam performed was a chest X-ray that showed both enlarged cardiac silhouette and aortic notch (Figure 1).

Chest radiograph (PA = posterior-anterior).

Figure 1: Chest radiograph (PA = posterior-anterior).

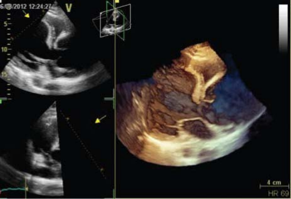
The TTE, using both multi planar and 3D acquisition (Figure 2a),

Transthoracic echocardiography with 3D acquisition of  aortic valve.

Figure 2a: Transthoracic echocardiography with 3D acquisition of aortic valve.

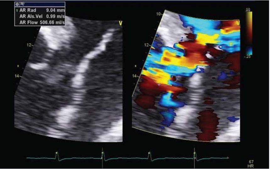
showed a severe aortic insufficiency [tricuspid valve; vena contracta = 8.3 mm, pressure half-time = 234 ms (Figure 2b),

AR PHT = Aortic Regurgitation Pressure Half-Time = 234  ms: obtained using continuous wave Doppler.

Figure 2b: AR PHT = Aortic Regurgitation Pressure Half-Time = 234 ms: obtained using continuous wave Doppler.

effective regurgitant orifice area = 0.9 cm2 and regurgitant volume = 164 mL (Figure 2c)],

PISA (Proximal IsovelocitySurfaceArea) method for  aorticregurgitationquantification.

Figure 2c: PISA (Proximal IsovelocitySurfaceArea) method for aorticregurgitationquantification.

secondary to a large ascending aortic aneurysm (Figure 2d),

Transthoracic echocardiography – suprasternal view,  showing a dilation only of the ascending aorta.

Figure 2d: Transthoracic echocardiography – suprasternal view, showing a dilation only of the ascending aorta.

with the following 2D measures: aortic ring = 4.1 cm, Valsalva sinuses = 5.18 cm, sino-tubular junction = 7.1 cm and ascending aorta = 8.7 cm. The left ventricle was enlarged, with ejection fraction (calculated by Simpson’s method and using 3D software) of 41% and global longitudinal strain of -14.4% (Figure 3).

Global longitudinal strain of left ventricle.

Figure 3: Global longitudinal strain of left ventricle.

Subsequently, the patient had a CTA (with 3D reconstruction) that confirmed the large ascending aortic aneurysm with 8.6 cm (Figures 4a, 4b and 4c).

Computed Tomography Angiography with 3D  reconstruction – anterior view.

Figure 4a: Computed Tomography Angiography with 3D reconstruction – anterior view.

Computed Tomography Angiography with 3D  reconstruction – lateral view.

Figure 4b: Computed Tomography Angiography with 3D reconstruction – lateral view.

Computed Tomography Angiography with measurement of  the diameter of the aneurysm and aortic ring.

Figure 4c: Computed Tomography Angiography with measurement of the diameter of the aneurysm and aortic ring.

Additionally, it is important to underline that the calcium score was zero, there were no identifiable coronary lesions and there were no other aneurysms identified.

In this context, the patient underwent surgical resection of the aneurysm (Figure 5a),

Picture of the ascending aortic aneurysm in the operating  room.

Figure 5a: Picture of the ascending aortic aneurysm in the operating room.

with implantation of an aortic tube graft Jotec® # 30 (Figure 5b) and mechanical prosthesis in aortic position St. Jude® # 25 (Figure 5c), with good final result.

Aortic tube graft Jotec® # 30 in place.

Figure 5b: Aortic tube graft Jotec® # 30 in place.

Implantation of mechanical prosthesis in aortic position St.  Jude® # 25.

Figure 5c: Implantation of mechanical prosthesis in aortic position St. Jude® # 25.

Finally, the histopathological diagnosis of the surgical specimen was compatible with atherosclerosis (disruption of elastic fibers and smooth muscle cells that were partially replaced by extracellular matrix and lipids).

DISCUSSION

Ascending aortic aneurysms may present with symptoms related to aortic insufficiency, heart failure, local compression of adjacent structures or even systemic embolization [1-2]. However, considering that most aneurysms remain silent for a long period of time, harboring as they grow an increased risk of rupture and sudden cardiac death, it is extremely important their timely diagnosis (with an imaging exam, preferably CTA with 3D reconstruction) and adequate treatment (surgery when indicated) [2]. The size thresholds for surgical repair are determined by the underlying etiology of the aneurysm, with lower thresholds for those with genetic aortopathies [5-7]. In younger people, the most common causes of ascending aortic aneurysms are genetic (especially Marfan syndrome), but with time atherosclerosis becomes more prevalent [6]. On the contrary, atherosclerosis is the main cause of descending aortic aneurysms [1]. This case illustrates a large ascending aortic aneurysm with secondary severe aortic insufficiency and subsequent dilation of the left ventricle with discrete systolic dysfunction, extensively studied both by TTE and CTA. The surgical indication was straightforward and the patient underwent resection of the aneurysm with successful implantation of an aortic tube graft and mechanical prosthesis in aortic position. Considering his age (49 years old), absence of cardiovascular risk factors, localization of the aneurysm (ascending aorta) and country of origin, atherosclerosis was not a likely diagnosis. In fact, syphilis was formerly the main cause of ascending aortic aneurysms, but nowadays, in developed countries, it is much less common following the introduction of effective antibiotics [8]. On the opposite, in developing countries such as Cape Verde, infectious causes remain an important issue. This etiology was, indeed, excluded both by laboratory testing and histopathological exam. Nevertheless, the histopathological exam also excluded connective tissue disorders (CTD), like Marfan syndrome, that typically includecystic medial degeneration (characterized by fragmentation of elastic fibers, smooth muscle cell loss, increase in collagen deposition and replacement with intersticial cyst of mucoid appearing basophilic-staining ground substance) [1]. Considering the histological report and the absence of phenol typical manifestations characteristic of Marfan syndrome and other CTD, we decided not to perform any genetic testing. Despite the absence of known cardiovascular risk factors and of macroscopic plaques according to CTA, the final diagnosis of atherosclerotic origin has been made based on the histopathogical exam. On the one hand, the pathogenesis of atherosclerosisis multifactorial, envolving genetic predisposition and riskfactors (such as dyslipidemia, smoking, diabetes, systemic hypertension) that accelerate this process [1]. Nonetheless, there may be other potential risk factors contributing to the development of atherosclerosis, as recently suggested, like trimethylamine (present in many dietary compounds: meat, milk and other foods of animal origin) [9]. On the other hand, histologic examination shows considerable distinction between occlusive atherosclerotic disease - such as coronary arterydisease (CAD) – and aneurysmal disease [1], which means that the absence of CAD does not exclude the possibility of an aneurysm of atherosclerotic cause.

In conclusion, this case illustrates a large ascending aortic aneurysm with severe aortic insufficiency that turned out to be of atherosclerotic origin, against all odds, probably due to a genetically determined predisposition and/or an unrecognized vascular risk factor. To the best of our knowledge, this is the first case report published with the finding of such a large ascending aortic aneurysm due to atherosclerosis in a patient without any known cardiovascular risk factors

ACKNOWLEDGEMENTS

The authors would like to thank to Ms. Filipa Pereira for her valuable help regarding the pictures that illustrate this case report.

Nogueira MA, Branco LM, Galrinho A, Laranjeira Á, Oliveira JA (2016) An Unusual Case of Large Ascending Aortic Aneurysm with Severe Aortic Insufficiency. J Surg Transplant Sci 4(3): 1031

Received : 28 Mar 2016
Accepted : 24 May 2016
Published : 15 Jun 2016
Journals
Annals of Otolaryngology and Rhinology
ISSN : 2379-948X
Launched : 2014
JSM Schizophrenia
Launched : 2016
Journal of Nausea
Launched : 2020
JSM Internal Medicine
Launched : 2016
JSM Hepatitis
Launched : 2016
JSM Oro Facial Surgeries
ISSN : 2578-3211
Launched : 2016
Journal of Human Nutrition and Food Science
ISSN : 2333-6706
Launched : 2013
JSM Regenerative Medicine and Bioengineering
ISSN : 2379-0490
Launched : 2013
JSM Spine
ISSN : 2578-3181
Launched : 2016
Archives of Palliative Care
ISSN : 2573-1165
Launched : 2016
JSM Nutritional Disorders
ISSN : 2578-3203
Launched : 2017
Annals of Neurodegenerative Disorders
ISSN : 2476-2032
Launched : 2016
Journal of Fever
ISSN : 2641-7782
Launched : 2017
JSM Bone Marrow Research
ISSN : 2578-3351
Launched : 2016
JSM Mathematics and Statistics
ISSN : 2578-3173
Launched : 2014
Journal of Autoimmunity and Research
ISSN : 2573-1173
Launched : 2014
JSM Arthritis
ISSN : 2475-9155
Launched : 2016
JSM Head and Neck Cancer-Cases and Reviews
ISSN : 2573-1610
Launched : 2016
JSM General Surgery Cases and Images
ISSN : 2573-1564
Launched : 2016
JSM Anatomy and Physiology
ISSN : 2573-1262
Launched : 2016
JSM Dental Surgery
ISSN : 2573-1548
Launched : 2016
Annals of Emergency Surgery
ISSN : 2573-1017
Launched : 2016
Annals of Mens Health and Wellness
ISSN : 2641-7707
Launched : 2017
Journal of Preventive Medicine and Health Care
ISSN : 2576-0084
Launched : 2018
Journal of Chronic Diseases and Management
ISSN : 2573-1300
Launched : 2016
Annals of Vaccines and Immunization
ISSN : 2378-9379
Launched : 2014
JSM Heart Surgery Cases and Images
ISSN : 2578-3157
Launched : 2016
Annals of Reproductive Medicine and Treatment
ISSN : 2573-1092
Launched : 2016
JSM Brain Science
ISSN : 2573-1289
Launched : 2016
JSM Biomarkers
ISSN : 2578-3815
Launched : 2014
JSM Biology
ISSN : 2475-9392
Launched : 2016
Archives of Stem Cell and Research
ISSN : 2578-3580
Launched : 2014
Annals of Clinical and Medical Microbiology
ISSN : 2578-3629
Launched : 2014
JSM Pediatric Surgery
ISSN : 2578-3149
Launched : 2017
Journal of Memory Disorder and Rehabilitation
ISSN : 2578-319X
Launched : 2016
JSM Tropical Medicine and Research
ISSN : 2578-3165
Launched : 2016
JSM Head and Face Medicine
ISSN : 2578-3793
Launched : 2016
JSM Cardiothoracic Surgery
ISSN : 2573-1297
Launched : 2016
JSM Bone and Joint Diseases
ISSN : 2578-3351
Launched : 2017
JSM Bioavailability and Bioequivalence
ISSN : 2641-7812
Launched : 2017
JSM Atherosclerosis
ISSN : 2573-1270
Launched : 2016
Journal of Genitourinary Disorders
ISSN : 2641-7790
Launched : 2017
Journal of Fractures and Sprains
ISSN : 2578-3831
Launched : 2016
Journal of Autism and Epilepsy
ISSN : 2641-7774
Launched : 2016
Annals of Marine Biology and Research
ISSN : 2573-105X
Launched : 2014
JSM Health Education & Primary Health Care
ISSN : 2578-3777
Launched : 2016
JSM Communication Disorders
ISSN : 2578-3807
Launched : 2016
Annals of Musculoskeletal Disorders
ISSN : 2578-3599
Launched : 2016
Annals of Virology and Research
ISSN : 2573-1122
Launched : 2014
JSM Renal Medicine
ISSN : 2573-1637
Launched : 2016
Journal of Muscle Health
ISSN : 2578-3823
Launched : 2016
JSM Genetics and Genomics
ISSN : 2334-1823
Launched : 2013
JSM Anxiety and Depression
ISSN : 2475-9139
Launched : 2016
Clinical Journal of Heart Diseases
ISSN : 2641-7766
Launched : 2016
Annals of Medicinal Chemistry and Research
ISSN : 2378-9336
Launched : 2014
JSM Pain and Management
ISSN : 2578-3378
Launched : 2016
JSM Women's Health
ISSN : 2578-3696
Launched : 2016
Clinical Research in HIV or AIDS
ISSN : 2374-0094
Launched : 2013
Journal of Endocrinology, Diabetes and Obesity
ISSN : 2333-6692
Launched : 2013
Journal of Substance Abuse and Alcoholism
ISSN : 2373-9363
Launched : 2013
JSM Neurosurgery and Spine
ISSN : 2373-9479
Launched : 2013
Journal of Liver and Clinical Research
ISSN : 2379-0830
Launched : 2014
Journal of Drug Design and Research
ISSN : 2379-089X
Launched : 2014
JSM Clinical Oncology and Research
ISSN : 2373-938X
Launched : 2013
JSM Bioinformatics, Genomics and Proteomics
ISSN : 2576-1102
Launched : 2014
JSM Chemistry
ISSN : 2334-1831
Launched : 2013
Journal of Trauma and Care
ISSN : 2573-1246
Launched : 2014
JSM Surgical Oncology and Research
ISSN : 2578-3688
Launched : 2016
Annals of Food Processing and Preservation
ISSN : 2573-1033
Launched : 2016
Journal of Radiology and Radiation Therapy
ISSN : 2333-7095
Launched : 2013
JSM Physical Medicine and Rehabilitation
ISSN : 2578-3572
Launched : 2016
Annals of Clinical Pathology
ISSN : 2373-9282
Launched : 2013
Annals of Cardiovascular Diseases
ISSN : 2641-7731
Launched : 2016
Journal of Behavior
ISSN : 2576-0076
Launched : 2016
Annals of Clinical and Experimental Metabolism
ISSN : 2572-2492
Launched : 2016
Clinical Research in Infectious Diseases
ISSN : 2379-0636
Launched : 2013
JSM Microbiology
ISSN : 2333-6455
Launched : 2013
Journal of Urology and Research
ISSN : 2379-951X
Launched : 2014
Journal of Family Medicine and Community Health
ISSN : 2379-0547
Launched : 2013
Annals of Pregnancy and Care
ISSN : 2578-336X
Launched : 2017
JSM Cell and Developmental Biology
ISSN : 2379-061X
Launched : 2013
Annals of Aquaculture and Research
ISSN : 2379-0881
Launched : 2014
Clinical Research in Pulmonology
ISSN : 2333-6625
Launched : 2013
Journal of Immunology and Clinical Research
ISSN : 2333-6714
Launched : 2013
Annals of Forensic Research and Analysis
ISSN : 2378-9476
Launched : 2014
JSM Biochemistry and Molecular Biology
ISSN : 2333-7109
Launched : 2013
Annals of Breast Cancer Research
ISSN : 2641-7685
Launched : 2016
Annals of Gerontology and Geriatric Research
ISSN : 2378-9409
Launched : 2014
Journal of Sleep Medicine and Disorders
ISSN : 2379-0822
Launched : 2014
JSM Burns and Trauma
ISSN : 2475-9406
Launched : 2016
Chemical Engineering and Process Techniques
ISSN : 2333-6633
Launched : 2013
Annals of Clinical Cytology and Pathology
ISSN : 2475-9430
Launched : 2014
JSM Allergy and Asthma
ISSN : 2573-1254
Launched : 2016
Journal of Neurological Disorders and Stroke
ISSN : 2334-2307
Launched : 2013
Annals of Sports Medicine and Research
ISSN : 2379-0571
Launched : 2014
JSM Sexual Medicine
ISSN : 2578-3718
Launched : 2016
Annals of Vascular Medicine and Research
ISSN : 2378-9344
Launched : 2014
JSM Biotechnology and Biomedical Engineering
ISSN : 2333-7117
Launched : 2013
Journal of Hematology and Transfusion
ISSN : 2333-6684
Launched : 2013
JSM Environmental Science and Ecology
ISSN : 2333-7141
Launched : 2013
Journal of Cardiology and Clinical Research
ISSN : 2333-6676
Launched : 2013
JSM Nanotechnology and Nanomedicine
ISSN : 2334-1815
Launched : 2013
Journal of Ear, Nose and Throat Disorders
ISSN : 2475-9473
Launched : 2016
JSM Ophthalmology
ISSN : 2333-6447
Launched : 2013
Journal of Pharmacology and Clinical Toxicology
ISSN : 2333-7079
Launched : 2013
Annals of Psychiatry and Mental Health
ISSN : 2374-0124
Launched : 2013
Medical Journal of Obstetrics and Gynecology
ISSN : 2333-6439
Launched : 2013
Annals of Pediatrics and Child Health
ISSN : 2373-9312
Launched : 2013
JSM Clinical Pharmaceutics
ISSN : 2379-9498
Launched : 2014
JSM Foot and Ankle
ISSN : 2475-9112
Launched : 2016
JSM Alzheimer's Disease and Related Dementia
ISSN : 2378-9565
Launched : 2014
Journal of Addiction Medicine and Therapy
ISSN : 2333-665X
Launched : 2013
Journal of Veterinary Medicine and Research
ISSN : 2378-931X
Launched : 2013
Annals of Public Health and Research
ISSN : 2378-9328
Launched : 2014
Annals of Orthopedics and Rheumatology
ISSN : 2373-9290
Launched : 2013
Journal of Clinical Nephrology and Research
ISSN : 2379-0652
Launched : 2014
Annals of Community Medicine and Practice
ISSN : 2475-9465
Launched : 2014
Annals of Biometrics and Biostatistics
ISSN : 2374-0116
Launched : 2013
JSM Clinical Case Reports
ISSN : 2373-9819
Launched : 2013
Journal of Cancer Biology and Research
ISSN : 2373-9436
Launched : 2013
Journal of Dermatology and Clinical Research
ISSN : 2373-9371
Launched : 2013
JSM Gastroenterology and Hepatology
ISSN : 2373-9487
Launched : 2013
Annals of Nursing and Practice
ISSN : 2379-9501
Launched : 2014
JSM Dentistry
ISSN : 2333-7133
Launched : 2013
Author Information X