Loading

Journal of Urology and Research

A comprehensive Case Report on Buschke-Lowenstein Tumor

Case Report | Open Access | Volume 11 | Issue 2

  • 1. Department of Urology B, Mohamed V University, Rabat, Morocco
  • 2. Department of Dermatology, Mohamed V University, Rabat, Morocco
  • 3. Department of Anatomopathology, Mohamed V University, Rabat, Morocco
+ Show More - Show Less
Corresponding Authors
Omar Zineeddine, Department of Urology B, CHU Ibn Sina, Faculty of Medicine and Pharmacy, Mohamed V University, Rabat, Morocco
Abstract

Buschke Lowenstein tumor (BLT) or giant condyloma acuminatum (GCA) is a sexually transmitted disease, of viral origin, essentially due to the human papillomavirus.

BLT is relatively common in males and occurs in 81-94% of cases in the penis and in 10-17% of cases in the anorectal region. Risk factors include poor hygiene, immunosuppression, smoking and STIs.

It is characterized by a more or less ulcerated budding lesion of the genital or perianal region, and the evolution is slow and can be associated with several complications including superinfection, fistulization to neighboring organs, necrosis, or hemorrhage.

A wide radical excision, followed by reconstructive surgery, seems to be the optimal therapeutic strategy for BLT management, however other treatments have been proposed in order to try to reduce the tumor and to limit surgical damage.

Keywords

• Buschke Lowenstein

• Condyloma

• Genital tumor

• Case repor

CITATION

Zineeddine O, Salim AL, Slaoui A, Eid CM, Derqaoui S, et al. (2024) A comprehensive Case Report on Buschke-Lowenstein Tumor. J Urol Res 11(2): 1151.

INTRODUCTION

Buschke Lowenstein tumor (BLT) or giant condyloma acuminatum (GCA) is a rare sexually transmitted disease, of viral origin, essentially due to the human papillomavirus, most often type 6 and or 11 and exceptionally type 16 and 18 [1]. This epithelial tumor has still poorly defined relationships with verrucous carcinoma, the histological aspect is benign, although its clinical aspect rather suggests the opposite. It affects men in particular and is characterized mainly by its deep extension, its degenerative potential and its recurrent character after treatment. Surgery is the treatment of choice [2].

CASE PRESENTATION

Mr M.S, 54 years old, married, with a history of depressive syndrome, without any notion of homosexuality or multiple partners, who consulted for a budding pubo?scrotal mass. The onset of the symptomatology dated back to 1 year with the progressive installation of a budding scrotal tumor causing tingling.

The physical examination found a cauliflower?like tumor with budding and vegetative lesions located on the pubis, the root of the penis, and the left scrotum [Figures 1,2].

 Showing the operative view of BLT

Figure 1: Showing the operative view of BLT

 Showing the anterior view of BLT.

Figure 2: Showing the anterior view of BLT.

The rest of the examination, i.e. the digital rectal examination and palpation of the lymph nodes, is within normal limits. The sexually transmitted infection tests (TPHA, VDRL, HIV, HVB, HVC) were negative.

Total removal of the tumor was performed [Figure 3]. The tumor was covered by the surrounding skin.

BLT after removal.

Figure 3: BLT after removal.

The study of the excision specimen showed 3 pieces of 2 cm for the smallest and 8 cm of long axis for the largest.

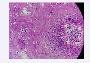
Anatomopathological study revealed a polyploid lesion lined by an ortho-keratotic hyperkeratosis. Koilocytes were found in the superficial layers of the epidermis [Figure 4].

Morphological aspect at high magnification showing  koilocytes.

Figure 4: Morphological aspect at high magnification showing koilocytes.

Concluding to a Buschke Lowenstein tumor.

The postoperative course was simple.

DISCUSSION

Nosology

Buschke?Löwenstein tumor or giant condyloma acuminatum is a pseudoepitheliomatous proliferation belonging to the group of verrucous carcinomas. The first description of giant condyloma acuminatum dates back to 1896. It was in 1925 that Buschke and Löwenstein made it a characterized entity [3]. It is distinguished from condyloma acuminatum by its more marked proliferation and deep penetration into the underlying tissues and from squamous cell carcinoma by the absence of histological invasion (respect of the basement membrane) and of metastasis. Human papillomavirus (HPV) 6 or 11 infection is frequently associated, although a few cases of HPV 16 or 18 infection have been described. These HPV 6 and 11 are low?risk oncogenic viruses, usually present in benign condyloma acuminatum but not in malignant lesions [4].

Epidemiology BLT is a rare tumor whose frequency is currently estimated at 0.1% of the general population. We do not have a prevalence in the Moroccan population probably because patients are recruited in different hospital services (urology, gastroenterology, dermatology, gynecology, infectious diseases).

Giant condyloma occurs at all ages with an average of 45 years. BLT is relatively common in males (77%). In men, BLT occurs in 81?94% of cases in the penis and in 10?17% of cases in the anorectal region. Risk factors include poor hygiene, immunosuppression, smoking and STIs [5].

The global incidence of HPV infection is rising, among young and sexually active individuals; as a result, in recent years these infections have also become increasingly conspicuous in urology practice, both as incidental fndings and primary complaints [6].

Clinic

Clinically, BLT often begins as small filiform or rounded lesions. In the state phase, it is characterized by a more or less ulcerated budding lesion of the genital or perianal region. In men, the tumor is most often located in the balanopreputial region, beginning as a condyloma and progressively extending to the glans, prepuce and sheath of the penis. In women, the most frequent location is vulvar, sometimes extending to the perianal area. A large, irregular, budding, cauliflower?like tumor that may exceed 10 cm in long axis may be seen, often with superficial ulcerations and superadded infectious lesions [7].

The presence of bleeding, infiltration of the base, or adenopathy should raise suspicion of malignant degeneration. Biopsy of the lesion allows histological confirmation and to look for sign of degeneration.

The main differential diagnoses include Bowen’s disease (its dyskeratotic condylomatous form), squamous cell carcinoma, as well as keratotic pseudoepitheliomatous balanitis [8].

Depending on the location, the evaluation may include, in addition to palpation of the lymph nodes, rectoscopy, gynecological examination, pelvic CT scan or nuclear magnetic resonance.

Recent meta-analysis and case-control studies demonstrated a significant relationship between the presence of HPV DNA and urothelial carcinoma of the bladder (UCB) [9].

Histology

It is a perfectly limited squamous tumor characterized by epithelial hyperplasia, sometimes pseudoepitheliomatous, hyperacanthosis, hyperpapillomatosis and koilocytes which are pathognomonic markers of HPV infection, however their presence is not constant. The basement membrane remains intact as evidence of the benignity of the tumor despite its malignant behavior. Careful histological examination is crucial to exclude transformation to SCC [10].

Evolution and prognosis

The evolution is slow and can be associated with several complications including superinfection, fistulization to neighboring organs, necrosis, or hemorrhage. Malignant transformation is one of the evolutionary risks. It has been reported in 30% to 56% of cases [11].

Treatment

A wide radical excision, followed by reconstructive surgery, seems to be the optimal therapeutic strategy for BLT management; it must be early and as extensive as possible to avoid tumor recurrence which is very frequent. The interventions are often mutilating. The completeness of the surgical removal of TBL must be confirmed by anatomopathological examination of the surgical specimen. If the surgical excision is incomplete, revision surgery is indicated. For tumors localized in the glans, the classic procedure consists of a partial penectomy with a safety margin of 2 cm, or even a total penectomy if the tumor is more extensive. Some authors propose a more limited procedure that appears to be satisfactory from a carcinological point of view and achieves a satisfactory aesthetic and functional result.

Other treatments have been proposed in order to try to reduce the tumor and to limit surgical damage: podophyllin and 5?fluorouracil, systemic bleomycin associated with cisplatin and methotrexate, with poor results. Cryotherapy and laser destruction are often insufficient and do not allow histological examination of the excisional part. However, the CO2 laser has the advantage of allowing hemostasis and immediate sterilization of the wound, with better healing than with traditional surgical techniques. The use of radiotherapy is controversial. It is used preoperatively to reduce the tumour mass, or as a last resort for non?operable tumours [12].

CONCLUSION

Buschke?Lowenstein tumor is a rare tumor that requires early and extensive surgical treatment with regular post?surgical, clinical and histological surveillance. The functional and vital prognosis can be engaged, hence the interest of STI prevention by protected intercourse and sexual education of young people.

REFERENCES

1. Indinnimeo M, Impagnatiello A, D’Ettorre G, Bernardi G, Moschella CM, Gozzo P, et al. Buschke-Löwenstein tumor with squamous cell carcinoma treated with chemo-radiation therapy and local surgical excision: Report of three cases. World J Surg Oncol. 2013; 11: 231.

2. El Amrani F, Hassam B. Buschke-Löwenstein tumor. Pan Afr Med J. 2013; 14: 94.

3. Buschke A, Lowenstein L. Uber carcinomahnliche Condylomata Acuminata des Penis. Klin Wochenschr. 1925; 4: 1726-1728.

4. Gissmann L, de Villiers EM, zur Hausen H. Analysis of human genital warts (condylomata acuminata) and others genital tumors for human papillomavirus type 6 DNA. Int J Cancer. 1982; 29: 143-146.

5. Mzyiene M, Ziba J, Ahsaini M, Mellas S, El Ammari J, Tazi M, et al. Étude descriptive des tumeurs génitales Buschke-Lowenstein. Progrès en Urologie. 2021; 31: 857-858.

6. Sarier M, Ceyhan AM, Sepin N, Ozel E, Inal MM, Kukul E, et al. HPV infection in urology practice. Int Urol Nephrol. 2020; 52: 1-8.

7. Reichenbach I, Koebele A, Foliguet B, Hatier M, Masutti JP, Landes P. A Buschke and Lowenstein tumor in a female patient. J Gynecol Obstet Biol Reprod (Paris). 1995; 24: 491-495.

8. Boda D, Cutoiu A, Bratu D, Bejinariu N, Crutescu R: Buschke Lo?wenstein tumors: A series of 7 case reports. Exp Ther Med. 2022; 23: 393.

9. Sarier M, Usta SS, Turgut H, Öztürk SA, Soylu A, Emek M, et al. Prognostic value of HPV DNA in Urothelial Carcinoma of the Bladder: A Preliminary Report of 2-Year Follow-up Results. Urol J. 2021; 19: 45-49.

10. Purzycka-Bohdan D, Nowicki RJ, Herms F, Casanova JL, Fouéré S, Béziat V. The Pathogenesis of Giant Condyloma Acuminatum (Buschke-Lowenstein Tumor): An Overview. Int J Mol Sci. 2022; 23: 4547.

11. Hsu-Cheng Juan, Maw-Chang Sheen, Tsung-Yi Huang. Aug Giant condyloma acuminatum of penis with cancer Transformation. Formosan J Surg. 2011; 44: 237-240.

12. Perisic Z, Popovic Lazic J, Terzic B, Perisic S, Rasic R. Condylomata gigantea in anal and perianal region: surgical and CO2 laser treatment. Arch Gynecol Obstet. 2003; 267: 263-265.

Zineeddine O, Salim AL, Slaoui A, Eid CM, Derqaoui S, et al. (2024) A comprehensive Case Report on Buschke-Lowenstein Tumor. J Urol Res 11(2): 1151.

Received : 29 Apr 2024
Accepted : 25 May 2024
Published : 26 May 2024
Journals
Annals of Otolaryngology and Rhinology
ISSN : 2379-948X
Launched : 2014
JSM Schizophrenia
Launched : 2016
Journal of Nausea
Launched : 2020
JSM Internal Medicine
Launched : 2016
JSM Hepatitis
Launched : 2016
JSM Oro Facial Surgeries
ISSN : 2578-3211
Launched : 2016
Journal of Human Nutrition and Food Science
ISSN : 2333-6706
Launched : 2013
JSM Regenerative Medicine and Bioengineering
ISSN : 2379-0490
Launched : 2013
JSM Spine
ISSN : 2578-3181
Launched : 2016
Archives of Palliative Care
ISSN : 2573-1165
Launched : 2016
JSM Nutritional Disorders
ISSN : 2578-3203
Launched : 2017
Annals of Neurodegenerative Disorders
ISSN : 2476-2032
Launched : 2016
Journal of Fever
ISSN : 2641-7782
Launched : 2017
JSM Bone Marrow Research
ISSN : 2578-3351
Launched : 2016
JSM Mathematics and Statistics
ISSN : 2578-3173
Launched : 2014
Journal of Autoimmunity and Research
ISSN : 2573-1173
Launched : 2014
JSM Arthritis
ISSN : 2475-9155
Launched : 2016
JSM Head and Neck Cancer-Cases and Reviews
ISSN : 2573-1610
Launched : 2016
JSM General Surgery Cases and Images
ISSN : 2573-1564
Launched : 2016
JSM Anatomy and Physiology
ISSN : 2573-1262
Launched : 2016
JSM Dental Surgery
ISSN : 2573-1548
Launched : 2016
Annals of Emergency Surgery
ISSN : 2573-1017
Launched : 2016
Annals of Mens Health and Wellness
ISSN : 2641-7707
Launched : 2017
Journal of Preventive Medicine and Health Care
ISSN : 2576-0084
Launched : 2018
Journal of Chronic Diseases and Management
ISSN : 2573-1300
Launched : 2016
Annals of Vaccines and Immunization
ISSN : 2378-9379
Launched : 2014
JSM Heart Surgery Cases and Images
ISSN : 2578-3157
Launched : 2016
Annals of Reproductive Medicine and Treatment
ISSN : 2573-1092
Launched : 2016
JSM Brain Science
ISSN : 2573-1289
Launched : 2016
JSM Biomarkers
ISSN : 2578-3815
Launched : 2014
JSM Biology
ISSN : 2475-9392
Launched : 2016
Archives of Stem Cell and Research
ISSN : 2578-3580
Launched : 2014
Annals of Clinical and Medical Microbiology
ISSN : 2578-3629
Launched : 2014
JSM Pediatric Surgery
ISSN : 2578-3149
Launched : 2017
Journal of Memory Disorder and Rehabilitation
ISSN : 2578-319X
Launched : 2016
JSM Tropical Medicine and Research
ISSN : 2578-3165
Launched : 2016
JSM Head and Face Medicine
ISSN : 2578-3793
Launched : 2016
JSM Cardiothoracic Surgery
ISSN : 2573-1297
Launched : 2016
JSM Bone and Joint Diseases
ISSN : 2578-3351
Launched : 2017
JSM Bioavailability and Bioequivalence
ISSN : 2641-7812
Launched : 2017
JSM Atherosclerosis
ISSN : 2573-1270
Launched : 2016
Journal of Genitourinary Disorders
ISSN : 2641-7790
Launched : 2017
Journal of Fractures and Sprains
ISSN : 2578-3831
Launched : 2016
Journal of Autism and Epilepsy
ISSN : 2641-7774
Launched : 2016
Annals of Marine Biology and Research
ISSN : 2573-105X
Launched : 2014
JSM Health Education & Primary Health Care
ISSN : 2578-3777
Launched : 2016
JSM Communication Disorders
ISSN : 2578-3807
Launched : 2016
Annals of Musculoskeletal Disorders
ISSN : 2578-3599
Launched : 2016
Annals of Virology and Research
ISSN : 2573-1122
Launched : 2014
JSM Renal Medicine
ISSN : 2573-1637
Launched : 2016
Journal of Muscle Health
ISSN : 2578-3823
Launched : 2016
JSM Genetics and Genomics
ISSN : 2334-1823
Launched : 2013
JSM Anxiety and Depression
ISSN : 2475-9139
Launched : 2016
Clinical Journal of Heart Diseases
ISSN : 2641-7766
Launched : 2016
Annals of Medicinal Chemistry and Research
ISSN : 2378-9336
Launched : 2014
JSM Pain and Management
ISSN : 2578-3378
Launched : 2016
JSM Women's Health
ISSN : 2578-3696
Launched : 2016
Clinical Research in HIV or AIDS
ISSN : 2374-0094
Launched : 2013
Journal of Endocrinology, Diabetes and Obesity
ISSN : 2333-6692
Launched : 2013
Journal of Substance Abuse and Alcoholism
ISSN : 2373-9363
Launched : 2013
JSM Neurosurgery and Spine
ISSN : 2373-9479
Launched : 2013
Journal of Liver and Clinical Research
ISSN : 2379-0830
Launched : 2014
Journal of Drug Design and Research
ISSN : 2379-089X
Launched : 2014
JSM Clinical Oncology and Research
ISSN : 2373-938X
Launched : 2013
JSM Bioinformatics, Genomics and Proteomics
ISSN : 2576-1102
Launched : 2014
JSM Chemistry
ISSN : 2334-1831
Launched : 2013
Journal of Trauma and Care
ISSN : 2573-1246
Launched : 2014
JSM Surgical Oncology and Research
ISSN : 2578-3688
Launched : 2016
Annals of Food Processing and Preservation
ISSN : 2573-1033
Launched : 2016
Journal of Radiology and Radiation Therapy
ISSN : 2333-7095
Launched : 2013
JSM Physical Medicine and Rehabilitation
ISSN : 2578-3572
Launched : 2016
Annals of Clinical Pathology
ISSN : 2373-9282
Launched : 2013
Annals of Cardiovascular Diseases
ISSN : 2641-7731
Launched : 2016
Journal of Behavior
ISSN : 2576-0076
Launched : 2016
Annals of Clinical and Experimental Metabolism
ISSN : 2572-2492
Launched : 2016
Clinical Research in Infectious Diseases
ISSN : 2379-0636
Launched : 2013
JSM Microbiology
ISSN : 2333-6455
Launched : 2013
Journal of Family Medicine and Community Health
ISSN : 2379-0547
Launched : 2013
Annals of Pregnancy and Care
ISSN : 2578-336X
Launched : 2017
JSM Cell and Developmental Biology
ISSN : 2379-061X
Launched : 2013
Annals of Aquaculture and Research
ISSN : 2379-0881
Launched : 2014
Clinical Research in Pulmonology
ISSN : 2333-6625
Launched : 2013
Journal of Immunology and Clinical Research
ISSN : 2333-6714
Launched : 2013
Annals of Forensic Research and Analysis
ISSN : 2378-9476
Launched : 2014
JSM Biochemistry and Molecular Biology
ISSN : 2333-7109
Launched : 2013
Annals of Breast Cancer Research
ISSN : 2641-7685
Launched : 2016
Annals of Gerontology and Geriatric Research
ISSN : 2378-9409
Launched : 2014
Journal of Sleep Medicine and Disorders
ISSN : 2379-0822
Launched : 2014
JSM Burns and Trauma
ISSN : 2475-9406
Launched : 2016
Chemical Engineering and Process Techniques
ISSN : 2333-6633
Launched : 2013
Annals of Clinical Cytology and Pathology
ISSN : 2475-9430
Launched : 2014
JSM Allergy and Asthma
ISSN : 2573-1254
Launched : 2016
Journal of Neurological Disorders and Stroke
ISSN : 2334-2307
Launched : 2013
Annals of Sports Medicine and Research
ISSN : 2379-0571
Launched : 2014
JSM Sexual Medicine
ISSN : 2578-3718
Launched : 2016
Annals of Vascular Medicine and Research
ISSN : 2378-9344
Launched : 2014
JSM Biotechnology and Biomedical Engineering
ISSN : 2333-7117
Launched : 2013
Journal of Hematology and Transfusion
ISSN : 2333-6684
Launched : 2013
JSM Environmental Science and Ecology
ISSN : 2333-7141
Launched : 2013
Journal of Cardiology and Clinical Research
ISSN : 2333-6676
Launched : 2013
JSM Nanotechnology and Nanomedicine
ISSN : 2334-1815
Launched : 2013
Journal of Ear, Nose and Throat Disorders
ISSN : 2475-9473
Launched : 2016
JSM Ophthalmology
ISSN : 2333-6447
Launched : 2013
Journal of Pharmacology and Clinical Toxicology
ISSN : 2333-7079
Launched : 2013
Annals of Psychiatry and Mental Health
ISSN : 2374-0124
Launched : 2013
Medical Journal of Obstetrics and Gynecology
ISSN : 2333-6439
Launched : 2013
Annals of Pediatrics and Child Health
ISSN : 2373-9312
Launched : 2013
JSM Clinical Pharmaceutics
ISSN : 2379-9498
Launched : 2014
JSM Foot and Ankle
ISSN : 2475-9112
Launched : 2016
JSM Alzheimer's Disease and Related Dementia
ISSN : 2378-9565
Launched : 2014
Journal of Addiction Medicine and Therapy
ISSN : 2333-665X
Launched : 2013
Journal of Veterinary Medicine and Research
ISSN : 2378-931X
Launched : 2013
Annals of Public Health and Research
ISSN : 2378-9328
Launched : 2014
Annals of Orthopedics and Rheumatology
ISSN : 2373-9290
Launched : 2013
Journal of Clinical Nephrology and Research
ISSN : 2379-0652
Launched : 2014
Annals of Community Medicine and Practice
ISSN : 2475-9465
Launched : 2014
Annals of Biometrics and Biostatistics
ISSN : 2374-0116
Launched : 2013
JSM Clinical Case Reports
ISSN : 2373-9819
Launched : 2013
Journal of Cancer Biology and Research
ISSN : 2373-9436
Launched : 2013
Journal of Surgery and Transplantation Science
ISSN : 2379-0911
Launched : 2013
Journal of Dermatology and Clinical Research
ISSN : 2373-9371
Launched : 2013
JSM Gastroenterology and Hepatology
ISSN : 2373-9487
Launched : 2013
Annals of Nursing and Practice
ISSN : 2379-9501
Launched : 2014
JSM Dentistry
ISSN : 2333-7133
Launched : 2013
Author Information X