Loading

Journal of Urology and Research

Emphysematous Pyelonephritis: Towards A More Conservative Approach

Case Series | Open Access | Volume 11 | Issue 2

  • 1. Urology B Department, University Mohammed V, Rabat, Morocco
  • 2. Emergency Radiology Department, University Mohammed V, Rabat, Morocco
+ Show More - Show Less
Corresponding Authors
Jaafar FOUIMTIZI, University Hospital Center IBN SINA of Rabat, Urology B Department, Mohammed V of Rabat, Morocco, Tel: +212610566320
Keywords

• Emphysematous pyelonephritis

• Conservative approach

• Contribution of CT scan

• Percutaneous drainage

CITATION

Jaafar F, Abdelmoughit H, Youssef M, Fatima-Zahrae L, Amine S, et al. (2024) Emphysematous Pyelonephritis: Towards A More Conservative Approach. J Urol Res 11(2): 1148

ABBREVIATIONS

EPN: Emphysematous Pyelonephritis; APN: Acute Pyelonephritis; AEPN: Acute Emphysematous Pyelonephritis; E. Coli: Escherichia Coli; K. Pneumoniae: Klebsiella Pneumoniae 

INTRODUCTION

Emphysematous pyelonephritis (EPN) is a severe, necrotizing form of upper urinary tract infection. It is a rare but potentially lethal complication of acute pyelonephritis. Its diagnosis is clinico-biological and radiologically confirmed [1]. Computed tomography (CT) is the gold standard for confirming the diagnosis, mapping lesions and predicting prognostic factors, such as the presence of urinary obstruction [2,3].

Moreover, until the 1980s, surgical nephrectomy and/ or drainage were unavoidable, as non-surgical management was associated with a high mortality, in the order of 60-80% [4,5]. Today, with the development of new antibiotics and minimally invasive techniques, such as percutaneous or endourological drainages, the trend is to avoid surgery. The rule is a multidisciplinary conservative management combining appropriate resuscitation, targeted antibiotic therapy and drainage of urine and/or collections.

Herein, we present the experience of our department in the management of EPN based on a case series of 12 patients. We aim by this study to determine the role of CT in the diagnosis and guiding drainage procedures, and to highlight the increasingly conservative approach to the EPN.

MATERIALS AND METHODS

We conducted a single-centre retrospective study of patients operated on in the department

Study design

We retrospectively report a single-center case series managed at our institution between April 2019 and January 2023. Data from both “emergency radiology” and “urology” departments was collected using the keyword “emphysematous pyelonephritis”.

To determine the prognostic and management contribution of CT scanning, we divided our population into two groups: A first group of so-called non-severe EPN, including patients classified as stages 1 and 2 of the Huang et al., classification (Table 1); and a second group of so-called severe EPN, including stages 3A, 3B and 4. Clinical, biological, radiological and management characteristics were assessed for both groups.

Study population

A total of 12 patients was selected. We included only patients that had been hospitalized and managed at our institution; had positive urine cytobacteriological examination (CBEU) for leukocyturia > 104 /mL (or > 10/mm3); had CT with evidence of emphysema in the renal parenchyma, perirenal fat and/or in the excretory tract.

We excluded patients with a recent surgery, endo-urological procedure or known urinary fistula.

Imaging protocol

All patients benefited from a CT exam using a 16 row detectors imager (General Electric Optima 640).

We routinely use

the following protocol:

· Acquisition without contrast, for looking for calculi

· Acquisitions after intravenous injection of contrast at nephrographic phase (after 90 seconds) and late phase (after 7 to 10 minutes)

Intravenous contrast injection was not allowed in 6 patients, due to severe renal insufficiency (GFR < 30 mL/min/1.73m2).

We should note that CT was conducted before cytobacteriological confirmation of urinary tract infection in 7 cases. In the remaining cases, CT was performed after the diagnosis of acute pyelonephritis.

Imaging interpretation

All files were reviewed and interpreted on the Picture Archiving and Communication System (PACS) by two senior radiologists. Native axial slices were read, with multiplanar reconstructions and windowing adjustments. Diagnostic criteria for EPN were the presence of emphysema in the upper excretory tract and/or renal parenchyma. Intra/perirenal collections were sought. Etiological evaluation focused on the search for obstructive causes of upper excretory tract dilatation, with characterization of their nature.

Each case was classified according to the prognostic classification described by Huang et al., [1] (Table 1).

MANAGEMENT

All patients received empirical intravenous antibiotic therapy combining Ceftriaxone and Gentamicin. Antibiotic therapy was adapted according to the antibiogram and the clinico-biological and radiological evolution. Treatment received was also recorded: percutaneous and/or surgical drainage of collections, urine drainage, etc. Finally, evolution and survival after treatment were also noted.

DATA ANALYSIS

All information was collected on data sheets on a Microsoft Excel form and analyzed using IBM SPSS Statistics 29. Quantitative variables were expressed as means with standard deviations. Qualitative variables were expressed as numbers of observations with percentages. Differences in means were analyzed using Student’s t-test for related variables. Categorical variables were analyzed using Fisher’s exact test. A p-value <0.05 was considered significant.

INFORM CONSENT

Written informed consent was obtained from the patient for participation in this study.

ETHICAL CLEARANCE

The ethics committee of the Faculty of Medicine of Rabat has given us its agreement. Informed consent to participate in the study was provided by the patient. The reference number is not applicable.

RESULT

Clinical and biological data

Results concerning the 2 prognosis groups selected were summarized in Table 2. The majority of the population was female, accounting for 75%. Mean age was 55.7 ± 11 years. All study subjects were diabetic. The main clinical manifestations were fever/chills (75%) and signs of sepsis (tachycardia,tachypnea and hyperleukocytosis) present in all patients. However, none of the patients went into septic shock. All patients had hyperleukocytosis. Six patients had renal insufficiency, 2 of whom were in a state of acuitization of known renal insufficiency. CBEU showed pyuria in all patients and hematuria in 8.

We conducted a single-centre retrospective study of patients operated on in the department

We conducted a single-centre retrospective study of patients operated on in the department

We conducted a single-centre retrospective study of patients operated on in the department

We conducted a single-centre retrospective study of patients operated on in the department

Urine cultures were positive in 5 patients. The bacterial agents responsible were Escherichia Coli in 3 patients and Klebsiella Pneumonia in 2 others. For further bacteriological tests, blood cultures were routinely taken, and were positive in 5 patients. Cytobacteriological examination of the pus was carried out in all 4 drained patients, and was positive in one.

Radiological data

Renal involvement was unilateral in 10 patients and bilateral in 2. No patient had a single kidney or a transplanted kidney. We classified our patients according to the Huang et al. classification, with one patient in class 1, six patients in class 2, one patient in class 3A, two patients in class 3B and two patients in class 4. The mean percentage of affected parenchyma was 24.7% ± 31. Urinary obstruction was present in 7 patients, with lithiasis in 6 and cervical neoplasia with bilateral ureteral infiltration in the remaining patient.

Management

Of the 12 patients in our series, only one was managed with medical treatment alone. For the remaining patients, medical treatment was combined with percutaneous CT guided drainage in 4 patients, surgical drainage in one patient, urine drainage by double J catheter in 8 patients, and nephrectomy in one patient. Two patients underwent surgical treatment. The first patient deteriorated clinically under medical treatment and CT guided drainage, despite checking that the drain was correctly positioned. A second patient underwent delayed nephrectomy for a hypotrophic kidney with an obstructive coralliform calculus. All patients survived and were cured of their EPN .

Thus, in the severe EPN group, the patient population was younger (mean age 58.6 vs. 51.6 in the non-severe EPN group). One case of type 1 diabetes was included in the severe EPN group, while no cases were included in the non-severe EPN group. The severe EPN group was associated with a longer delay in diagnosis (15.1 days vs. 10.2 days for the non-severe EPN group). Ketoacidosis decompensation was found in all patients in the severe EPN group, compared with only 57.1% in the non-severe EPN group.) The severe EPN group included more patients known to have chronic renal failure (40% vs. 14.3% for the nonsevere EPN group), but less acute renal failure (20% vs. 33.4% for the non-severe EPN group).

Morphologically, the percentage of affected parenchyma was lower in the severe EPN group (22% vs. 25.7% in the non-severe EPN group). Urinary obstruction was less associated with severe EPN (40% vs. 71.4% for the non-severe EPN group).

In terms of management, percutaneous drainage was required in 40% of severe EPNs, compared with 28.6% of nonsevere EPNs. Surgical drainage was required in one patient with severe EPN, classified as stage 4, after failure of medical treatment and percutaneous drainage. One case of deferred nephrectomy involved a patient with a non-severe EPN on a hypotrophic kidney, with an obstructive coralliform calculus.

DISCUSSION

Acute emphysematous pyelonephritis (EPN) is a rare necrotizing infection, observed mainly in diabetic patients. This form of AENP is more frequently observed in women, with a female-to-male ratio of 3:1 [2-6]. This is in line with what we found in our series, where all our patients were diabetic and 75% were female.

Indeed, the higher incidence in women is probably linked to their greater susceptibility to urinary tract infections [4,6]. The only exception to this female predominance is in kidney transplant patients, where the incidence is similar in both men and women [4].

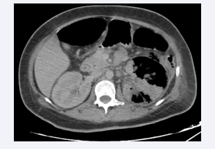
Unfortunately, the warning signs of EPN are non-specific, and cannot be used to differentiate EPN from uncomplicated APN. Palpation of crepitations in the lumbar region, although extremely rare, can provide an important clinical clue to the presence of EPN [2,3]. Unfortunately, this clinical sign was not sought in the observations of our series, which is linked to the retrospective nature of the study. Thus, given the absence of any specific sign, a poor response to antibiotic therapy in a diabetic patient represents the main orienting element towards EPN and should prompt the performance of an emergency abdominal CT scan (Figures 1-10) to confirm the diagnosis and plan treatment [3].

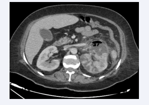
Axial section of an abdominal CT scan after intravenous  contrast injection at portal time showing an enlarged left kidney  with a nephrographic defect and surrounded by a posterior perirenal  collection containing air bubbles. The appearance is compatible with  class 3A EPN according to Huang et al.

Figure 1: Axial section of an abdominal CT scan after intravenous contrast injection at portal time showing an enlarged left kidney with a nephrographic defect and surrounded by a posterior perirenal collection containing air bubbles. The appearance is compatible with class 3A EPN according to Huang et al.

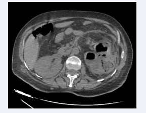
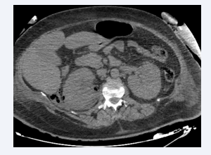
 Axial section of an abdominal CT scan without intravenous  contrast injection showing air bubbles in the parenchyma and  excretory tracts of the right kidney and in the excretory and perirenal  tracts of the left kidney. The appearance is compatible with bilateral  EPN, class 4 according to Huang et al.

Figure 2: Axial section of an abdominal CT scan without intravenous contrast injection showing air bubbles in the parenchyma and excretory tracts of the right kidney and in the excretory and perirenal tracts of the left kidney. The appearance is compatible with bilateral EPN, class 4 according to Huang et al.

Axial section of an abdominal CT scan without intravenous  contrast injection showing a left kidney with parenchyma laminated  by hydronephrosis, with air bubbles in the parenchyma and calyces.  The appearance is compatible with a left EPN, class 2 according to  Huang et al.

Figure 3: Axial section of an abdominal CT scan without intravenous contrast injection showing a left kidney with parenchyma laminated by hydronephrosis, with air bubbles in the parenchyma and calyces. The appearance is compatible with a left EPN, class 2 according to Huang et al.

Axial section of an abdominal CT scan without intravenous  contrast injection, showing a left kidney with parenchyma reduced by  hydronephrosis, with air bubbles in the parenchyma and calyces. The  appearance is compatible with a class 2 left EPN according to Huang et al.

Figure 4: Axial section of an abdominal CT scan without intravenous contrast injection, showing a left kidney with parenchyma reduced by hydronephrosis, with air bubbles in the parenchyma and calyces. The appearance is compatible with a class 2 left EPN according to Huang et al.

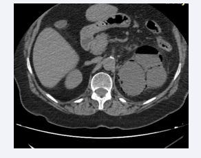
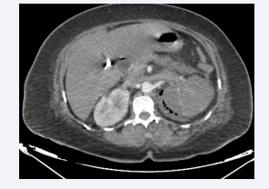
Axial section of an abdominal CT scan after intravenous  contrast injection at portal time, showing an enlarged right kidney with  diffuse “bear’s paw” calcific dilatation upstream of a pelvic coralliform  calculus, with air bubbles within the calyces and renal parenchyma. The  appearance is compatible with EPN on xanthogranulomatous APN class  2 according to Huang et al.

Figure 5: Axial section of an abdominal CT scan after intravenous contrast injection at portal time, showing an enlarged right kidney with diffuse “bear’s paw” calcific dilatation upstream of a pelvic coralliform calculus, with air bubbles within the calyces and renal parenchyma. The appearance is compatible with EPN on xanthogranulomatous APN class 2 according to Huang et al.

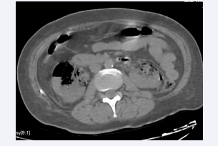
Figure 6 Axial section of an abdominal CT scan without intravenous  contrast injection showing air bubbles in the excretory tracts of both  kidneys. The appearance is consistent with bilateral class 4 EPN  according to Huang et al.

Figure 6: Axial section of an abdominal CT scan without intravenous contrast injection showing air bubbles in the excretory tracts of both kidneys. The appearance is consistent with bilateral class 4 EPN according to Huang et al.

Figure 7 Axial section of an abdominal CT scan after intravenous  contrast injection at portal time, showing an enlarged left kidney with  heterogeneous parenchyma, cortico-medullary dedifferentiation and  intra-parenchymal air bubbles. The appearance is compatible with a  class 2 left EPN according to Huang et al.

Figure 7: Axial section of an abdominal CT scan after intravenous contrast injection at portal time, showing an enlarged left kidney with heterogeneous parenchyma, cortico-medullary dedifferentiation and intra-parenchymal air bubbles. The appearance is compatible with a class 2 left EPN according to Huang et al.

Figure 8 Axial section of an abdominal CT scan after intravenous  contrast injection at portal time showing an enlarged left kidney with  heterogeneous parenchyma and intra-parenchymal, peri- and paraanterior air bubbles. The appearance is compatible with a left EPN class  3B according to Huang et al.

Figure 8: Axial section of an abdominal CT scan after intravenous contrast injection at portal time showing an enlarged left kidney with heterogeneous parenchyma and intra-parenchymal, peri- and paraanterior air bubbles. The appearance is compatible with a left EPN class 3B according to Huang et al.

Figure 9 Axial section of an abdominal CT scan without intravenous  contrast injection showing an enlarged right kidney, with air bubbles  at the pyloric, intra-parenchymal, peri- and para-renal levels. The  appearance was consistent with Huang et al. class 3B left EPN.

Figure 9: Axial section of an abdominal CT scan without intravenous contrast injection showing an enlarged right kidney, with air bubbles at the pyloric, intra-parenchymal, peri- and para-renal levels. The appearance was consistent with Huang et al. class 3B left EPN.

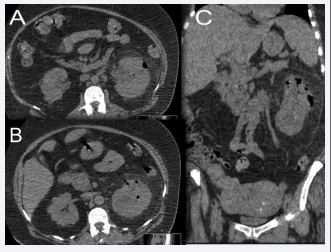
Axial sections (A, B) and coronal reconstruction (C) of an  abdominal CT scan without intravenous contrast injection showing air  bubbles at the pyloric, intra-parenchymal and peri-renal level of the left  kidney. The appearance is compatible with a class 3A left EPN according  to Huang et al

Figure 10: Axial sections (A, B) and coronal reconstruction (C) of an abdominal CT scan without intravenous contrast injection showing air bubbles at the pyloric, intra-parenchymal and peri-renal level of the left kidney. The appearance is compatible with a class 3A left EPN according to Huang et al

The etiopathogenic factors of EPN include the presence of gas-producing bacteria, elevated tissue glucose levels, impaired tissue perfusion and a defective immune response. Thus, the diabetic terrain combines all these factors [7-9]. Thus, high tissue glucose levels act as a substrate for microorganisms such as enterobacteria to produce hydrogen (H2 ) and carbon dioxide (CO2 ) by mixed acid fermentation of glucose. In a study by Huang et al. five out of six gas samples contained H2, and all gas samples contained CO2 [7]. In this sense, all our patients had had a long history of diabetes prior to the diagnosis of EPN, and in particular type 2 diabetes.

Other than diabetes, 50% of our patients were known to have obstructive uropathies. Reviewing the literature, we found that in the largest meta-analyses, the presence of obstructive uropathy was associated with 29-75% of EPNs [7,10-12]. However, the presence of obstructive uropathy does not appear to worsen the prognosis of patients managed for EPN [7,10,11,13].

Microbiologically, Escherichia coli is by far the most common causative organism found in EPN. It is isolated from 37 to 78% of patients; other microorganisms commonly implicated are Proteus mirabilis, Klebsiella pneumoniae, Enterococcus species and Pseudomonas aeruginosa [7,10,14]. In line with the literature, we also found that E. coli was implicated in 60% of our cases, with K. Pneumoniae as the second most frequently isolated pathogen. In a multicenter retrospective study of 570 cases by Robles-Torres et al. extended-spectrum ß-Lactamase (ESBL)-producing bacterial agents were found in 52.3% of cases, and their presence was shown to be associated with more Huang radiological classification stages 4 and thrombocytopenia, without significantly increasing mortality [10].

Several studies have investigated the factors associated with poor prognosis in EPN. Mortality was commonly associated with the presence of shock, altered consciousness, thrombocythemia, acute renal failure, hyponatremia or emergency nephrectomy [7,14-18]. The combination of these factors exponentially increases mortality [19]. On the other hand, the presence of extensive involvement, corresponding to stages 3-4 of Huang’s classification, was also considered to be a poor prognostic factor, sometimes also leading to emergency nephrectomy [14,15].

Other studies have evaluated prognostic scores [8,11,20,21]. Among these scores, the NEWS (National Early Warning Score) was the best predictor of the need for intensive care unit management and mortality [11,20,21]. According to our results, the factors associated with a high radiological stage were the presence of type 1 diabetes, chronic renal failure, delayed diagnosis, ketoacidosis decompensation, and high hyperleukocytosis. Unfortunately, due to the retrospective nature of the study, we were unable to collect data on the state of consciousness, thrombocytopenia, bilirubinemia and albuminemia for the calculation of the various scores studied, and thus to integrate them as parameters in the study.

Historically, since the first large series, Huang et al. had concluded that nephrectomy represented the best therapeutic choice and should be rapidly attempted for any extensive EPN with fulminant evolution [1]. Subsequent developments in practice have shown that emergency surgery is often poorly tolerated, due to the often-associated poor hemodynamic status [7,14,15]. Treatment of EPNs has evolved over the years, moving from invasive surgery to more conservative approaches due to the availability of better imaging modalities, more effective antibiotics and percutaneous drainage. The first therapeutic pillars of these conservative approaches are resuscitation and glycemic control measures, alongside effective antibiotic therapy [12,22-24]. Concerning antibiotic therapy, Lu et al. in their trials, demonstrated that 3rd generation cephalosporins are the antibiotic family recommended as first-line therapy for all patients. Otherwise, in cases of previous hospitalization, recent antibiotic use or disseminated intravascular coagulation, Carbapenems should be preferred. Fluoroquinolones and Gentamicin should be avoided [9].

The second pillar of conservative treatment is percutaneous drainage or urine drainage via JJ catheter/nephrostomy [12,22- 25]. In our series, percutaneous drainage was performed in 33.3% of patients, and urine drainage via JJ catheter in 66.7%. Reviewing the literature, the frequency of percutaneous drainage was relatively lower, in the range of 7.3-19%; while that of urine drainage was more variable, in the range of 25-82%.

In recent studies, emergency nephrectomy has been the exception rather than the rule [12,22,26], and failure of conservative treatment is associated with factors such as the need for emergency hemodialysis, shock on presentation, altered consciousness, severe hypoalbuminemia, inappropriate empirical antibiotic therapy and polymicrobial infection [26,27].

Our results also reflect changing trends in the management of EPN, since the efficacy of conservative treatment in our series was 91.7%. Again, for the only patient treated surgically, this required surgical drainage via lumbotomy, without recourse to nephrectomy.

CONCLUSION

CT is the reference imaging test for confirming the diagnosis, injury mapping and highlighting prognostic factors, such as the presence of urinary obstruction. The use of prognostic scores, alongside the Huang et al. classification, could provide a useful guide to patients who may require intensive care or percutaneous treatment. Treatment of EPN has evolved over the years, moving from invasive surgery to more conservative approaches due to the availability of better imaging modalities, more effective antibiotics and percutaneous drainage.

DECLARATIONS

Ethical Approval

Ethics approval has been obtained to proceed with the current study.

Ethical approval for this study (Ethical Committee N°09-24) was provided by the Ethical Committee Ibn University Hospitals, Rabat Morocco on 19 January 2024.

Consent

Written informed consent was obtained from the patient for publication of this review and any accompanying images. A copy of the written consent is available for review by the Editor-inChief of this journal.

Guarantor of Submission

The corresponding author is the guarantor of submission.

Availability of Data and Materials

Supporting material is available if further analysis is needed.

REFERENCES
  1. Huang JJ, Tseng CC. Emphysematous pyelonephritis: clinicoradio- logical classification, management, prognosis, and pathogenesis. Arch Intern Med. 2000; 160: 797-805.
  2. Dhabalia JV, Nelivigi GG, Kumar V, Gokhale A, Punia MS, Pujari N. Emphysematous pyelonephritis: tertiary care center experience in management and review of the literature. Urol Int. 2010; 85: 304- 308.
  3. Tsu JHL, Chan CK, Chu RWH, Law IC, Kong CK, Liu PL, et al. Emphysematous pyelonephritis: an 8-year retrospective review across four acute hospitals. Asian J Surg. 2013; 36: 121-125.
  4. Irfaan AM, Shaikh NA, Jamshaid A, Qureshi AH. Emphysematous Pyelonephritis: A single center review. Pak J Med Sci. 2020; 36: S83-S86.
  5. Misgar RA, Mubarik I, Wani AI, Bashir MI, Ramzan M, Laway BA. Emphysematous pyelonephritis: A 10-year experience with 26 cases. Indian J Endocrinol Metab. 2016; 20: 475-480.
  6. Eswarappa M, Suryadevara S, John MM, Kumar M, Reddy SB, Suhail M. Emphysematous Pyelonephritis Case Series From South India.Kidney Int Rep. 2018; 3: 950-955.
  7. Misgar RA, Mubarik I, Wani AI, Bashir MI, Ramzan M, Laway BA. Emphysematous pyelonephritis: A 10-year experience with 26 cases. Indian J Endocrinol Metab. 2016; 20: 475-480.
  8. Desai R, Batura D. A systematic review and meta-analysis of risk factors and treatment choices in emphysematous pyelonephritis. Int Urol Nephrol. 2022; 54: 717-736.
  9. Krishnamoorthy S, Zumla A, Sekar H, Muneer A, Thiruvengadam G, Kumaresan N. Prognostic scoring system and risk stratification in patients with emphysematous pyelonephritis: an 11-year prospective study at a tertiary referral centre. BJU Int. 2021; 127: 418-427.
  10. Lu YC, Hong JH, Chiang BJ, Pong YH, Hsueh PR, Huang CY, et al. Recommended Initial Antimicrobial Therapy for Emphysematous Pyelonephritis: 51 Cases and 14-Year-Experience of a Tertiary Referral Center. Medicine (Baltimore). 2016; 95: e3573.
  11. Robles-Torres JI, Castellani D, Trujillo-Santamaría H, Teoh JYC, Tanidir Y, Campos-Salcedo JG, et al. Prognosis of Extended- Spectrum-Beta-Lactamase-Producing Agents in Emphysematous Pyelonephritis-Results from a Large, Multicenter Series. Pathog Basel Switz. 2022; 11: 1397.
  12. Chawla A, Bhaskara SP, Taori R, de la Rosette JJMCH, Laguna P, Pandey A, et al. Evaluation of early scoring predictors for expedited care in patients with emphysematous pyelonephritis. Ther Adv Urol. 2022; 14: 17562872221078772.
  13. Adapala RR, Shetty R, Venugopal P, Prabhu GGL, Yalla D, Unnikrishnan B. Renal salvage, an achievable goal in patients with emphysematous pyelonephritis: Outcomes of an algorithmic renal preserving strategy. Urol Ann. 2020; 12: 156-162.
  14. Sanford TH, Myers F, Chi T, Bagga HS, Taylor AG, Stoller ML. Emphysematous pyelonephritis: the impact of urolithiasis on disease severity. Transl Androl Urol. 2016; 5: 774-779.
  15. Ngo XT, Nguyen TT, Dobbs RW, Thai MS, Vu DH, Dinh LQV, et al. Prevalence and Risk Factors of Mortality in Emphysematous Pyelonephritis Patients: A Meta-Analysis. World J Surg. 2022; 46: 2377-2388.
  16. Kapoor R, Muruganandham K, Gulia AK, Singla M, Agrawal S, Mandhani A, et al. Predictive factors for mortality and need for nephrectomy in patients with emphysematous pyelonephritis. BJU Int. 2010; 105: 986-989.
  17. Jain A, Manikandan R, Dorairajan LN, Sreenivasan SK, Bokka S. Emphysematous pyelonephritis: Does a standard management algorithm and a prognostic scoring model optimize patient outcomes? Urol Ann. 2019; 11: 414-420.
  18. Lin YC, Lin YC, Lin HD, Lin LY. Risk factors of renal failure and severe complications in patients with emphysematous pyelonephritis-a single-center 15-year experience. Am J Med Sci. 2012; 343: 186-191.
  19. Kone K, Mallikarjun NT, Rams MDRKK. Mortality in emphysematous pyelonephritis: Can we reduce it further by using a protocol-based treatment? The results of a prospective study. Urol Ann. 2022; 14: 73-80.
  20. Aswathaman K, Gopalakrishnan G, Gnanaraj L, Chacko NK, Kekre NS, Devasia A. Emphysematous pyelonephritis: outcome of conservative management. Urology. 2008; 71: 1007-1009.
  21. Chen CC, Hsieh MS, Hu SY, Huang SC, Tsai CA, Tsai YC. Performance of Scoring Systems in Predicting Clinical Outcomes of Patients with Emphysematous Pyelonephritis: A 14-Year Hospital-Based Study. J Clin Med. 2022; 11: 7299.
  22. Yap XH, Ng CJ, Hsu KH, Chien CY, Goh ZNL, Li CH, et al. Predicting need for intensive care unit admission in adult emphysematous pyelonephritis patients at emergency departments: comparison of five scoring systems. Sci Rep. 2019; 9: 16618.
  23. Karthikeyan VS, Manohar CMS, Mallya A, Keshavamurthy R, Kamath AJ. Clinical profile and successful outcomes of conservative and minimally invasive treatment of emphysematous pyelonephritis. Cent European J Urol. 2018; 71: 228-233.
  24. Sharma PK, Sharma R, Vijay MK, Tiwari P, Goel A, Kundu AK. Emphysematous pyelonephritis: Our experience with conservative management in 14 cases. Urol Ann. 2013; 5: 157-162.
  25. Dutta D, Shivaprasad KS, Kumar M, Biswas D, Ghosh S, Mukhopadhyay P, et al. Conservative management of severe bilateral emphysematous pyelonephritis: Case series and review of literature. Indian J Endocrinol Metab. 2013; 17: S329-S332.
  26. Kangjam SM, Irom KS, Khumallambam IS, Sinam RS. Role of Conservative Management in Emphysematous Pyelonephritis - A Retrospective Study. J Clin Diagn Res. 2015; 9: PC09-PC011.
  27. Rahoui M, Ouanes Y, Chaker K, Bibi M, Mourad Dali K, Sellami A, et al. Predictive factors for failure of conservative management in patients with emphysematous pyelonephritis. Ann Med Surg (Lond). 2022; 78: 103930.
  28. Lu YC, Chiang BJ, Pong YH, Huang KH, Hsueh PR, Huang CY, et al. Predictors of failure of conservative treatment among patients with emphysematous pyelonephritis. BMC Infect Dis. 2014; 14: 418.

Jaafar F, Abdelmoughit H, Youssef M, Fatima-Zahrae L, Amine S, et al. (2024) Emphysematous Pyelonephritis: Towards A More Conservative Approach. J Urol Res 11(2): 1148.

Received : 10 Apr 2024
Accepted : 29 Apr 2024
Published : 30 Apr 2024
Journals
Annals of Otolaryngology and Rhinology
ISSN : 2379-948X
Launched : 2014
JSM Schizophrenia
Launched : 2016
Journal of Nausea
Launched : 2020
JSM Internal Medicine
Launched : 2016
JSM Hepatitis
Launched : 2016
JSM Oro Facial Surgeries
ISSN : 2578-3211
Launched : 2016
Journal of Human Nutrition and Food Science
ISSN : 2333-6706
Launched : 2013
JSM Regenerative Medicine and Bioengineering
ISSN : 2379-0490
Launched : 2013
JSM Spine
ISSN : 2578-3181
Launched : 2016
Archives of Palliative Care
ISSN : 2573-1165
Launched : 2016
JSM Nutritional Disorders
ISSN : 2578-3203
Launched : 2017
Annals of Neurodegenerative Disorders
ISSN : 2476-2032
Launched : 2016
Journal of Fever
ISSN : 2641-7782
Launched : 2017
JSM Bone Marrow Research
ISSN : 2578-3351
Launched : 2016
JSM Mathematics and Statistics
ISSN : 2578-3173
Launched : 2014
Journal of Autoimmunity and Research
ISSN : 2573-1173
Launched : 2014
JSM Arthritis
ISSN : 2475-9155
Launched : 2016
JSM Head and Neck Cancer-Cases and Reviews
ISSN : 2573-1610
Launched : 2016
JSM General Surgery Cases and Images
ISSN : 2573-1564
Launched : 2016
JSM Anatomy and Physiology
ISSN : 2573-1262
Launched : 2016
JSM Dental Surgery
ISSN : 2573-1548
Launched : 2016
Annals of Emergency Surgery
ISSN : 2573-1017
Launched : 2016
Annals of Mens Health and Wellness
ISSN : 2641-7707
Launched : 2017
Journal of Preventive Medicine and Health Care
ISSN : 2576-0084
Launched : 2018
Journal of Chronic Diseases and Management
ISSN : 2573-1300
Launched : 2016
Annals of Vaccines and Immunization
ISSN : 2378-9379
Launched : 2014
JSM Heart Surgery Cases and Images
ISSN : 2578-3157
Launched : 2016
Annals of Reproductive Medicine and Treatment
ISSN : 2573-1092
Launched : 2016
JSM Brain Science
ISSN : 2573-1289
Launched : 2016
JSM Biomarkers
ISSN : 2578-3815
Launched : 2014
JSM Biology
ISSN : 2475-9392
Launched : 2016
Archives of Stem Cell and Research
ISSN : 2578-3580
Launched : 2014
Annals of Clinical and Medical Microbiology
ISSN : 2578-3629
Launched : 2014
JSM Pediatric Surgery
ISSN : 2578-3149
Launched : 2017
Journal of Memory Disorder and Rehabilitation
ISSN : 2578-319X
Launched : 2016
JSM Tropical Medicine and Research
ISSN : 2578-3165
Launched : 2016
JSM Head and Face Medicine
ISSN : 2578-3793
Launched : 2016
JSM Cardiothoracic Surgery
ISSN : 2573-1297
Launched : 2016
JSM Bone and Joint Diseases
ISSN : 2578-3351
Launched : 2017
JSM Bioavailability and Bioequivalence
ISSN : 2641-7812
Launched : 2017
JSM Atherosclerosis
ISSN : 2573-1270
Launched : 2016
Journal of Genitourinary Disorders
ISSN : 2641-7790
Launched : 2017
Journal of Fractures and Sprains
ISSN : 2578-3831
Launched : 2016
Journal of Autism and Epilepsy
ISSN : 2641-7774
Launched : 2016
Annals of Marine Biology and Research
ISSN : 2573-105X
Launched : 2014
JSM Health Education & Primary Health Care
ISSN : 2578-3777
Launched : 2016
JSM Communication Disorders
ISSN : 2578-3807
Launched : 2016
Annals of Musculoskeletal Disorders
ISSN : 2578-3599
Launched : 2016
Annals of Virology and Research
ISSN : 2573-1122
Launched : 2014
JSM Renal Medicine
ISSN : 2573-1637
Launched : 2016
Journal of Muscle Health
ISSN : 2578-3823
Launched : 2016
JSM Genetics and Genomics
ISSN : 2334-1823
Launched : 2013
JSM Anxiety and Depression
ISSN : 2475-9139
Launched : 2016
Clinical Journal of Heart Diseases
ISSN : 2641-7766
Launched : 2016
Annals of Medicinal Chemistry and Research
ISSN : 2378-9336
Launched : 2014
JSM Pain and Management
ISSN : 2578-3378
Launched : 2016
JSM Women's Health
ISSN : 2578-3696
Launched : 2016
Clinical Research in HIV or AIDS
ISSN : 2374-0094
Launched : 2013
Journal of Endocrinology, Diabetes and Obesity
ISSN : 2333-6692
Launched : 2013
Journal of Substance Abuse and Alcoholism
ISSN : 2373-9363
Launched : 2013
JSM Neurosurgery and Spine
ISSN : 2373-9479
Launched : 2013
Journal of Liver and Clinical Research
ISSN : 2379-0830
Launched : 2014
Journal of Drug Design and Research
ISSN : 2379-089X
Launched : 2014
JSM Clinical Oncology and Research
ISSN : 2373-938X
Launched : 2013
JSM Bioinformatics, Genomics and Proteomics
ISSN : 2576-1102
Launched : 2014
JSM Chemistry
ISSN : 2334-1831
Launched : 2013
Journal of Trauma and Care
ISSN : 2573-1246
Launched : 2014
JSM Surgical Oncology and Research
ISSN : 2578-3688
Launched : 2016
Annals of Food Processing and Preservation
ISSN : 2573-1033
Launched : 2016
Journal of Radiology and Radiation Therapy
ISSN : 2333-7095
Launched : 2013
JSM Physical Medicine and Rehabilitation
ISSN : 2578-3572
Launched : 2016
Annals of Clinical Pathology
ISSN : 2373-9282
Launched : 2013
Annals of Cardiovascular Diseases
ISSN : 2641-7731
Launched : 2016
Journal of Behavior
ISSN : 2576-0076
Launched : 2016
Annals of Clinical and Experimental Metabolism
ISSN : 2572-2492
Launched : 2016
Clinical Research in Infectious Diseases
ISSN : 2379-0636
Launched : 2013
JSM Microbiology
ISSN : 2333-6455
Launched : 2013
Journal of Family Medicine and Community Health
ISSN : 2379-0547
Launched : 2013
Annals of Pregnancy and Care
ISSN : 2578-336X
Launched : 2017
JSM Cell and Developmental Biology
ISSN : 2379-061X
Launched : 2013
Annals of Aquaculture and Research
ISSN : 2379-0881
Launched : 2014
Clinical Research in Pulmonology
ISSN : 2333-6625
Launched : 2013
Journal of Immunology and Clinical Research
ISSN : 2333-6714
Launched : 2013
Annals of Forensic Research and Analysis
ISSN : 2378-9476
Launched : 2014
JSM Biochemistry and Molecular Biology
ISSN : 2333-7109
Launched : 2013
Annals of Breast Cancer Research
ISSN : 2641-7685
Launched : 2016
Annals of Gerontology and Geriatric Research
ISSN : 2378-9409
Launched : 2014
Journal of Sleep Medicine and Disorders
ISSN : 2379-0822
Launched : 2014
JSM Burns and Trauma
ISSN : 2475-9406
Launched : 2016
Chemical Engineering and Process Techniques
ISSN : 2333-6633
Launched : 2013
Annals of Clinical Cytology and Pathology
ISSN : 2475-9430
Launched : 2014
JSM Allergy and Asthma
ISSN : 2573-1254
Launched : 2016
Journal of Neurological Disorders and Stroke
ISSN : 2334-2307
Launched : 2013
Annals of Sports Medicine and Research
ISSN : 2379-0571
Launched : 2014
JSM Sexual Medicine
ISSN : 2578-3718
Launched : 2016
Annals of Vascular Medicine and Research
ISSN : 2378-9344
Launched : 2014
JSM Biotechnology and Biomedical Engineering
ISSN : 2333-7117
Launched : 2013
Journal of Hematology and Transfusion
ISSN : 2333-6684
Launched : 2013
JSM Environmental Science and Ecology
ISSN : 2333-7141
Launched : 2013
Journal of Cardiology and Clinical Research
ISSN : 2333-6676
Launched : 2013
JSM Nanotechnology and Nanomedicine
ISSN : 2334-1815
Launched : 2013
Journal of Ear, Nose and Throat Disorders
ISSN : 2475-9473
Launched : 2016
JSM Ophthalmology
ISSN : 2333-6447
Launched : 2013
Journal of Pharmacology and Clinical Toxicology
ISSN : 2333-7079
Launched : 2013
Annals of Psychiatry and Mental Health
ISSN : 2374-0124
Launched : 2013
Medical Journal of Obstetrics and Gynecology
ISSN : 2333-6439
Launched : 2013
Annals of Pediatrics and Child Health
ISSN : 2373-9312
Launched : 2013
JSM Clinical Pharmaceutics
ISSN : 2379-9498
Launched : 2014
JSM Foot and Ankle
ISSN : 2475-9112
Launched : 2016
JSM Alzheimer's Disease and Related Dementia
ISSN : 2378-9565
Launched : 2014
Journal of Addiction Medicine and Therapy
ISSN : 2333-665X
Launched : 2013
Journal of Veterinary Medicine and Research
ISSN : 2378-931X
Launched : 2013
Annals of Public Health and Research
ISSN : 2378-9328
Launched : 2014
Annals of Orthopedics and Rheumatology
ISSN : 2373-9290
Launched : 2013
Journal of Clinical Nephrology and Research
ISSN : 2379-0652
Launched : 2014
Annals of Community Medicine and Practice
ISSN : 2475-9465
Launched : 2014
Annals of Biometrics and Biostatistics
ISSN : 2374-0116
Launched : 2013
JSM Clinical Case Reports
ISSN : 2373-9819
Launched : 2013
Journal of Cancer Biology and Research
ISSN : 2373-9436
Launched : 2013
Journal of Surgery and Transplantation Science
ISSN : 2379-0911
Launched : 2013
Journal of Dermatology and Clinical Research
ISSN : 2373-9371
Launched : 2013
JSM Gastroenterology and Hepatology
ISSN : 2373-9487
Launched : 2013
Annals of Nursing and Practice
ISSN : 2379-9501
Launched : 2014
JSM Dentistry
ISSN : 2333-7133
Launched : 2013
Author Information X