Loading

Journal of Urology and Research

Necrotic Testicular Pulp Due to an Intra-Testicular Abscess, an Uncommon Complication of the Epididymo-Orchitis: Case Report

Case Report | Open Access | Volume 12 | Issue 1
Article DOI :

  • 1. Urology B Department, University Hospital Center IBN SINA, University Mohammed V, Morocco
+ Show More - Show Less
Corresponding Authors
Mohammed Amine Bibat, University Hospital Center IBN SINA of Rabat, Urology B Department, Mohammed V of Rabat Country, Morocco
ABBREVIATIONS

MRI: Magnetic Resonance Imaging.

INTRODUCTION

Testicular abscess and global testicular infarction are rare consequences of epididymo- orchitis, particularly when appropriate antibiotic treatment is given. The imaging technique used to check for testicular ischemia is ultrasonography. However, testicular pathology may not be visible on normal imaging, as stated in the literature.

It is challenging to anticipate and differentiate testicular infarction from more typical manifestations of acute scrotum, a catastrophic consequence of epididymo orchitis.

CASE PRESENTATION

F.A, a 55 years old male patient with high blood pressure and chronic kidney disease, The history of the illness dates back one month, when the patient experienced pain in his right testicle and a burning sensation when urinating. This prompted him to consult his primary care physician, who prescribed ceftriaxone 2 g/day for 15 days.

As the clinical signs persisted, the patient came to our clinic with right-sided testicular pain associated with dysuria and fever. The examination found an inflamed and hard right testicle. He had a high C-reactive protein level (192 mg/l) and total with cell count (13,4 x 10^9 / L). The patient underwent a scrotal doppler ultrasound, which revealed: 

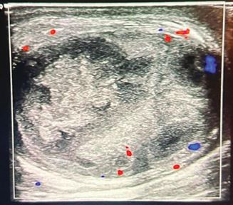
-Intra-scrotal testicle, enlarged in size, with regular contours, heterogeneous echo structure consisting of well- defined confluent hypoechoic areas, non-vascularized on Doppler, covering the entire testicle measuring 30x45x48 mm. (Figure 1).

https://www.jscimedcentral.com/public/assets/images/uploads/image-1770698092-1.JPG

Figure 1 Doppler-Ultrasound showing the confluent hypoechoic areas, non-vascularized. -Swollen and heterogeneous epididymis measuring 20 mm.

A surgical exploration of the scrotum was indicated, revealing inflamed tunics and a completely abscessed right testicle with necrotic testicular pulp, warranting an orchiectomy, under antibiotic cover (Figure 2,3).

https://www.jscimedcentral.com/public/assets/images/uploads/image-1770698156-1.JPG

Figure 2 Peroperative picture show the pus.

https://www.jscimedcentral.com/public/assets/images/uploads/image-1770698203-1.JPG

Figure 3 Post operative picture show the necrotic testicular pulp.

The results of the cytobacteriological study of the pus revealed an infection with carbapenem- sensitive ESBL-producing E. coli. Histopathology revealed cute inflammatory changes with suppuration. The interstitial tissue contains numerous congestive vessels.The follow-up was unremarkable, with improvement of symptoms after 2 weeks under carbapenem antibiotic.

Citation

BIBAT MA, Anass R, Ayoub M, El AFARI MA, Amine S, et al. (2025) Necrotic Testicular Pulp Due to an Intra-Testicular Abscess, an Uncommon Complication of the Epididymo-Orchitis: Case Report. J Urol Res 12(1): 1164.

DISCUSSION

Rare side effects of epididymo-orchitis when proper antibiotic treatment is administered include testicular abscess development and ischemia [1]. Although the precise mechanics are still unknown, theories that have been put forth indicate that a compartment syndrome is successfully produced by compressing the testicular and epididymal vasculature [2,3].

Additional luminal compression may be caused by tissue edema, exudates, and acute inflammatory alterations. Concurrently, endothelial dysfunction and venous congestion with the thrombosis they cause raise pressure and cause hypoxia.

Potential warning symptoms of ischemia were present in our case and included spermatic cord thickness and discomfort, recurrent epididymo-orchitis, rapid worsening of pain despite initial clinical improvement, and non resolving infection despite proper antibiotic therapy [4]. The research shows that using ultrasonography alone to detect testicular disease may miss the diagnosis [5]. It has been noted that contrast-enhanced Magnetic Resonance Imaging (MRI) is accurate on detecting necrosis Incision of the tunica albuginea may theoretically lessen the compartment effect within the testis if compartment syndrome is the primary cause of testicular ischemia and the diagnosis is made early before irreparable testicular damage occurs. Grafting with tunica vaginalis to cover the defect after capsulotomy of the tunica albuginea has been reported to restore the compartment pressure to normal [6]. In order to increase testicular blood flow, Figueroa and his team developed this method for patients who had testicular torsion and were surgically treated with de torsion and capsulotomy. However, the use of this surgical technique in cases with infectious processes has not yet been tested. [7]

We report a case of acute epididymo-orchitis that required surgical investigation and orchiectomy after developing into an abscess and ischemia. Elevated compartment pressures may contribute to circulatory deprivation. However, the precise process of ischemia is still being studied. Ultrasonography may improve early diagnosis of abscess or ischemia, resulting in therapeutic optimization.

DECLARATION

Ethical Approval

Ethics approval has been obtained to proceed with the current study Ethical approval for this study (Ethical Committee N009-24) was provided by the Ethical Committee Ibn University Hospitals, Rabat Morocco on 22 January 2024

Consent

Written informed consent was obtained from the patient for publication of this case report and any accompanying images. A copy of the written consent is available for review by the Editor-in-Chief of the journal.s

Availability of Data and Materials

Supporting material is available if further analysis is needed.

Scare Guidelines

The work has been reported in line with the SCARE criteria.

BIBAT MA, Anass R, Ayoub M, El AFARI MA, Amine S, et al. (2025) Necrotic Testicular Pulp Due to an Intra-Testicular Abscess, an Uncommon Complication of the Epididymo-Orchitis: Case Report. J Urol Res 12(1): 1164.

Received : 29 Sep 2025
Accepted : 29 Dec 2025
Published : 30 Dec 2025
Journals
Annals of Otolaryngology and Rhinology
ISSN : 2379-948X
Launched : 2014
JSM Schizophrenia
Launched : 2016
Journal of Nausea
Launched : 2020
JSM Internal Medicine
Launched : 2016
JSM Hepatitis
Launched : 2016
JSM Oro Facial Surgeries
ISSN : 2578-3211
Launched : 2016
Journal of Human Nutrition and Food Science
ISSN : 2333-6706
Launched : 2013
JSM Regenerative Medicine and Bioengineering
ISSN : 2379-0490
Launched : 2013
JSM Spine
ISSN : 2578-3181
Launched : 2016
Archives of Palliative Care
ISSN : 2573-1165
Launched : 2016
JSM Nutritional Disorders
ISSN : 2578-3203
Launched : 2017
Annals of Neurodegenerative Disorders
ISSN : 2476-2032
Launched : 2016
Journal of Fever
ISSN : 2641-7782
Launched : 2017
JSM Bone Marrow Research
ISSN : 2578-3351
Launched : 2016
JSM Mathematics and Statistics
ISSN : 2578-3173
Launched : 2014
Journal of Autoimmunity and Research
ISSN : 2573-1173
Launched : 2014
JSM Arthritis
ISSN : 2475-9155
Launched : 2016
JSM Head and Neck Cancer-Cases and Reviews
ISSN : 2573-1610
Launched : 2016
JSM General Surgery Cases and Images
ISSN : 2573-1564
Launched : 2016
JSM Anatomy and Physiology
ISSN : 2573-1262
Launched : 2016
JSM Dental Surgery
ISSN : 2573-1548
Launched : 2016
Annals of Emergency Surgery
ISSN : 2573-1017
Launched : 2016
Annals of Mens Health and Wellness
ISSN : 2641-7707
Launched : 2017
Journal of Preventive Medicine and Health Care
ISSN : 2576-0084
Launched : 2018
Journal of Chronic Diseases and Management
ISSN : 2573-1300
Launched : 2016
Annals of Vaccines and Immunization
ISSN : 2378-9379
Launched : 2014
JSM Heart Surgery Cases and Images
ISSN : 2578-3157
Launched : 2016
Annals of Reproductive Medicine and Treatment
ISSN : 2573-1092
Launched : 2016
JSM Brain Science
ISSN : 2573-1289
Launched : 2016
JSM Biomarkers
ISSN : 2578-3815
Launched : 2014
JSM Biology
ISSN : 2475-9392
Launched : 2016
Archives of Stem Cell and Research
ISSN : 2578-3580
Launched : 2014
Annals of Clinical and Medical Microbiology
ISSN : 2578-3629
Launched : 2014
JSM Pediatric Surgery
ISSN : 2578-3149
Launched : 2017
Journal of Memory Disorder and Rehabilitation
ISSN : 2578-319X
Launched : 2016
JSM Tropical Medicine and Research
ISSN : 2578-3165
Launched : 2016
JSM Head and Face Medicine
ISSN : 2578-3793
Launched : 2016
JSM Cardiothoracic Surgery
ISSN : 2573-1297
Launched : 2016
JSM Bone and Joint Diseases
ISSN : 2578-3351
Launched : 2017
JSM Bioavailability and Bioequivalence
ISSN : 2641-7812
Launched : 2017
JSM Atherosclerosis
ISSN : 2573-1270
Launched : 2016
Journal of Genitourinary Disorders
ISSN : 2641-7790
Launched : 2017
Journal of Fractures and Sprains
ISSN : 2578-3831
Launched : 2016
Journal of Autism and Epilepsy
ISSN : 2641-7774
Launched : 2016
Annals of Marine Biology and Research
ISSN : 2573-105X
Launched : 2014
JSM Health Education & Primary Health Care
ISSN : 2578-3777
Launched : 2016
JSM Communication Disorders
ISSN : 2578-3807
Launched : 2016
Annals of Musculoskeletal Disorders
ISSN : 2578-3599
Launched : 2016
Annals of Virology and Research
ISSN : 2573-1122
Launched : 2014
JSM Renal Medicine
ISSN : 2573-1637
Launched : 2016
Journal of Muscle Health
ISSN : 2578-3823
Launched : 2016
JSM Genetics and Genomics
ISSN : 2334-1823
Launched : 2013
JSM Anxiety and Depression
ISSN : 2475-9139
Launched : 2016
Clinical Journal of Heart Diseases
ISSN : 2641-7766
Launched : 2016
Annals of Medicinal Chemistry and Research
ISSN : 2378-9336
Launched : 2014
JSM Pain and Management
ISSN : 2578-3378
Launched : 2016
JSM Women's Health
ISSN : 2578-3696
Launched : 2016
Clinical Research in HIV or AIDS
ISSN : 2374-0094
Launched : 2013
Journal of Endocrinology, Diabetes and Obesity
ISSN : 2333-6692
Launched : 2013
Journal of Substance Abuse and Alcoholism
ISSN : 2373-9363
Launched : 2013
JSM Neurosurgery and Spine
ISSN : 2373-9479
Launched : 2013
Journal of Liver and Clinical Research
ISSN : 2379-0830
Launched : 2014
Journal of Drug Design and Research
ISSN : 2379-089X
Launched : 2014
JSM Clinical Oncology and Research
ISSN : 2373-938X
Launched : 2013
JSM Bioinformatics, Genomics and Proteomics
ISSN : 2576-1102
Launched : 2014
JSM Chemistry
ISSN : 2334-1831
Launched : 2013
Journal of Trauma and Care
ISSN : 2573-1246
Launched : 2014
JSM Surgical Oncology and Research
ISSN : 2578-3688
Launched : 2016
Annals of Food Processing and Preservation
ISSN : 2573-1033
Launched : 2016
Journal of Radiology and Radiation Therapy
ISSN : 2333-7095
Launched : 2013
JSM Physical Medicine and Rehabilitation
ISSN : 2578-3572
Launched : 2016
Annals of Clinical Pathology
ISSN : 2373-9282
Launched : 2013
Annals of Cardiovascular Diseases
ISSN : 2641-7731
Launched : 2016
Journal of Behavior
ISSN : 2576-0076
Launched : 2016
Annals of Clinical and Experimental Metabolism
ISSN : 2572-2492
Launched : 2016
Clinical Research in Infectious Diseases
ISSN : 2379-0636
Launched : 2013
JSM Microbiology
ISSN : 2333-6455
Launched : 2013
Journal of Family Medicine and Community Health
ISSN : 2379-0547
Launched : 2013
Annals of Pregnancy and Care
ISSN : 2578-336X
Launched : 2017
JSM Cell and Developmental Biology
ISSN : 2379-061X
Launched : 2013
Annals of Aquaculture and Research
ISSN : 2379-0881
Launched : 2014
Clinical Research in Pulmonology
ISSN : 2333-6625
Launched : 2013
Journal of Immunology and Clinical Research
ISSN : 2333-6714
Launched : 2013
Annals of Forensic Research and Analysis
ISSN : 2378-9476
Launched : 2014
JSM Biochemistry and Molecular Biology
ISSN : 2333-7109
Launched : 2013
Annals of Breast Cancer Research
ISSN : 2641-7685
Launched : 2016
Annals of Gerontology and Geriatric Research
ISSN : 2378-9409
Launched : 2014
Journal of Sleep Medicine and Disorders
ISSN : 2379-0822
Launched : 2014
JSM Burns and Trauma
ISSN : 2475-9406
Launched : 2016
Chemical Engineering and Process Techniques
ISSN : 2333-6633
Launched : 2013
Annals of Clinical Cytology and Pathology
ISSN : 2475-9430
Launched : 2014
JSM Allergy and Asthma
ISSN : 2573-1254
Launched : 2016
Journal of Neurological Disorders and Stroke
ISSN : 2334-2307
Launched : 2013
Annals of Sports Medicine and Research
ISSN : 2379-0571
Launched : 2014
JSM Sexual Medicine
ISSN : 2578-3718
Launched : 2016
Annals of Vascular Medicine and Research
ISSN : 2378-9344
Launched : 2014
JSM Biotechnology and Biomedical Engineering
ISSN : 2333-7117
Launched : 2013
Journal of Hematology and Transfusion
ISSN : 2333-6684
Launched : 2013
JSM Environmental Science and Ecology
ISSN : 2333-7141
Launched : 2013
Journal of Cardiology and Clinical Research
ISSN : 2333-6676
Launched : 2013
JSM Nanotechnology and Nanomedicine
ISSN : 2334-1815
Launched : 2013
Journal of Ear, Nose and Throat Disorders
ISSN : 2475-9473
Launched : 2016
JSM Ophthalmology
ISSN : 2333-6447
Launched : 2013
Journal of Pharmacology and Clinical Toxicology
ISSN : 2333-7079
Launched : 2013
Annals of Psychiatry and Mental Health
ISSN : 2374-0124
Launched : 2013
Medical Journal of Obstetrics and Gynecology
ISSN : 2333-6439
Launched : 2013
Annals of Pediatrics and Child Health
ISSN : 2373-9312
Launched : 2013
JSM Clinical Pharmaceutics
ISSN : 2379-9498
Launched : 2014
JSM Foot and Ankle
ISSN : 2475-9112
Launched : 2016
JSM Alzheimer's Disease and Related Dementia
ISSN : 2378-9565
Launched : 2014
Journal of Addiction Medicine and Therapy
ISSN : 2333-665X
Launched : 2013
Journal of Veterinary Medicine and Research
ISSN : 2378-931X
Launched : 2013
Annals of Public Health and Research
ISSN : 2378-9328
Launched : 2014
Annals of Orthopedics and Rheumatology
ISSN : 2373-9290
Launched : 2013
Journal of Clinical Nephrology and Research
ISSN : 2379-0652
Launched : 2014
Annals of Community Medicine and Practice
ISSN : 2475-9465
Launched : 2014
Annals of Biometrics and Biostatistics
ISSN : 2374-0116
Launched : 2013
JSM Clinical Case Reports
ISSN : 2373-9819
Launched : 2013
Journal of Cancer Biology and Research
ISSN : 2373-9436
Launched : 2013
Journal of Surgery and Transplantation Science
ISSN : 2379-0911
Launched : 2013
Journal of Dermatology and Clinical Research
ISSN : 2373-9371
Launched : 2013
JSM Gastroenterology and Hepatology
ISSN : 2373-9487
Launched : 2013
Annals of Nursing and Practice
ISSN : 2379-9501
Launched : 2014
JSM Dentistry
ISSN : 2333-7133
Launched : 2013
Author Information X