Nephrogenic Adenoma of the Bladder: About a Case and Review of the Literature
- 1. Department of Urology B Ibn Sina University Hospital, Faculty of Medicine and Pharmacy of Rabat, Mohamed V University of Rabat, Morocco
INTRODUCTION
Nephrogenic adenoma is a rare lesion which consists of the presence of epithelial cells arranged in a tubular form, resembling the tubules of the renal medulla. It is usually found in the bladder although it can exist anywhere in the transitional epithelium of the urinary tract [1].
We report a case of nephrogenic adenoma which was discovered incidentally in a patient with macroscopic hematuria.
CASE
A 63-year-old woman, who reported in her history arterial hypertension for 10 years under treatment, seen in urology consultation for capricious macroscopic hematuria dating back 3 months apart from any other sign of the lower urinary tract. The cytobacteriological examination of the urine is however sterile.
Ultrasound of the urinary tract revealed a mass of about 20 mm in the bladder.
Preoperative MRI was not performed, and urinary cytology came back negative for high-grade urothelial carcinoma.
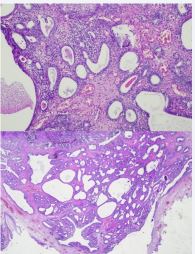
Cystoscopy revealed a papillary tumor lesion in the trigonal region. A monobloc resection with resection of the base of the tumor bed was performed and sent for anatomo-pathological study (Figure 1).
Histopathological examination found a benign tumor formation characterized by tubular proliferation of an adenomatous nature. Examination of the tumor bed reveals a urothelium with a small focus of squamous metaplasia resting on fibroblastic tissue.
During 6 months of patient follow-up, two control cystoscopies were performed and no recurrence was observed.
DISCUSSION
Nephrogenic adenoma is an infrequent benign lesion of the urothelial mucosa that most often sits in the bladder. This condition results from the implantation of physiologically desquamated renal tubular cells along the urinary tract, as demonstrated by Mazal et al, [2] in kidney transplant recipients.
First described by Davis in 1949 [3], as a hamartoma of the bladder, it was in 1950 that the term nephrogenic adenoma was coined in a case series of patients with similar pathological findings in the bladder [4].
Various theories have been put forward on the origin of the cells, including metaplasia secondary to chronic irritation, such as infection and instrumentation, or abnormal development of the embryological structures from which the genitourinary tissue originates [5].
The average age of diagnosis of nephrogenic adenoma is 61 years. It is predominantly male and occurs most often in patients with a history of smoking [6]; rare cases have been described in renal transplant patients and in patients with chronic renal failure [7].
The most frequent revealing symptoms are mainly hematuria followed by symptoms of the lower urinary tract [6], this is indeed the case in our patient in whom hematuria was the revealing symptom.
The delay before diagnosis in our patient is approximately three months because the patient underwent a cystoscopy 3 months after the onset of her hematuria.
Cystoscopic examination may reveal solitary or multiple lesions, usually polypoid, but may be flat or hidden by other urothelial lesions [8].
In our case, there was a single polypoid tumor lesion in the trigonal region.
The definitive diagnosis is based on the anatomo-pathological examination of the resection biopsy.
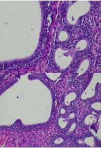
Pathologically, tumor formation is characterized by an adenomatous tubular proliferation made up of elements of variable size and shape, sometimes distended or even cystic. Their epithelium does not show cytonuclear atypia and the interstitial tissue is inflammatory congestive. The base of the tumor bed has an epithelium with a focus of squamous metaplasia (Figures 2,3).
The follow-up of patients with nephrogenic adenoma requires knowledge of the potential for malignant transformation of the latter. Indeed, there are rare reports of progression in malignancy and researchers regard this transformation as an exception and not as the rule [9].
At present, there are no clear recommendations on the management and follow-up of nephrogenic adenoma, but given the symptomatic nature of this lesion and its risk of recurrence, follow-up by cystoscopy is bet [5].
CONCLUSION
Patients with nephrogenic bladder adenomas constitute a heterogeneous population with variable clinical presentations
Most studies have demonstrated that nephrogenic adenoma has no potential for malignant progression.
In the absence of clear recommendations, follow-up can be done by annual cystoscopy for five years and perhaps more frequently in symptomatic patients. Further studies are needed to establish clear recommendations.
REFERENCES
- Khan I, Obeid M, Hasan N , Jaradat F, Sengupta B , Tabbal, et al. Nephrogenic Adenoma of the Urinary Bladder after Kidney Transplantation: Long-Term Follow-Up. Case Rep Transplant. 2020; 2020.
- Mazal PR, Schaufler R, Altenhuber-Mu?ller R, Haitel A, Watschinger B, Kratzik C, et al. Derivation of nephrogenic adenomas from renal tubular cells in kidney-transplant recipients. N Eng J Med. 2002; 347:653-659
- Davis TA. Hamartoma of the urinary bladder. Northwest Med. 1949; 48 : 182-185.
- Friedman NB, Kuhlenbeck H. Adenomatoid tumors of the bladder reproducing renal structures (nephrogenic adenomas). J Urol. 1950; 64 :657-670.
- Yooni Y, Angela W, Cameron AP. Nephrogenic adenoma of the bladder: a single institution experience assessing clinical factors. Int Braz J Urol. 2018 ; 44 : 506-511.
- Gordetsky J, Gennaro KH, Selph JP, Rais-Bahrami S. Nephrogenic Adenoma: Clinical Features, Management, and Diagnostic Pitfalls. Urology. 2016; 95:29-33
- Kuzaka B, Pude?ko P, Powa?a A, Go?rnicka B, Radziszewski P. Nephrogenic adenoma of the urinary bladder: a report of three cases and a review of the literature. Ann Transplant. 2014; 19:153-156.
- Peeker R, Aldenborg F, Fall M. Nephrogenic adenoma--a study with special reference to clinical presentation. Br J Urol. 1997; 80: 539-542.
- Dhaliwal CA, PW, Fineron. The progression of nephrogenic metaplasia of the urinary bladder to clear cell adenocarcinoma: a case report. Curr Urol. 2012; 6:106-108.
 
						 
								 
								 
								 
								 
								 
								 
								 
								 
								 
								 
								 
								 
								 
								 
								 
								 
								 
								 
								 
								 
								 
								 
								 
								 
								 
								 
								 
								 
								 
								 
								 
								 
								 
								 
								 
								 
								 
								 
								 
								 
								 
								 
								 
								 
								 
								 
								 
								 
								 
								 
								 
								 
								 
								 
								 
								 
								 
								 
								 
								 
								 
								 
								 
								 
								 
								 
								 
								 
								 
								 
								 
								 
								 
								 
								 
								 
								 
								 
								 
								 
								 
								 
								 
								 
								 
								 
								 
								 
								 
								 
								 
								 
								 
								 
								 
								 
								 
								 
								 
								 
								 
								 
								 
								 
								 
								 
								 
								 
								 
								 
								 
								 
								 
								 
								 
								 
								 
								 
								 
								 
								 
								 
								 
								 
								 
								 
								 
								 
								 
								 
								 
								 
								 
								 
								