Loading

Journal of Urology and Research

Partial Penectomy for Severe Penile Calciphylaxis: A Case Study

Case Report | Open Access | Volume 11 | Issue 3

  • 1. Department of Urology B, Mohamed V University, Morocco
+ Show More - Show Less
Corresponding Authors
Youssef Maachi, Department of Urology B, CHU Ibn Sina, Faculty of Medicine and Pharmacy of Rabat, Mohamed V University, Rabat, Morocco
Abstract

Penile calciphylaxis, a rare occurrence of calcific uremic arteriolopathy, is not frequently addressed in the literature. Conservative and surgical management have been found to have similar outcomes regarding mean survival time, leading to controversy around the advantages of surgery for this illness. This report showcases an ESRD patient dependent on hemodialysis who experienced severe penile calciphylaxis that made conservative treatment unfeasible. The case required immediate intervention through penectomy as a means of stopping disease advancement and enhancing quality of life for the patient.

Keywords

• Penile calciphylaxis

• Penectomy

• Glans necrosis

• Doppler ultrasound

CITATION

Maachi Y, Boustani A, Lalaoui AS, Slaoui A, Karmouni T, et al. (2024) Partial Penectomy for Severe Penile Calciphylaxis: A Case Study. J Urol Res 11(3): 1153.

INTRODUCTION

Calcific uremic arteriolopathy (CUA), otherwise known as systemic calciphylaxis, is a severe and uncommon disease that carries high risks of morbidity and mortality. It mainly affects patients with end-stage renal disease (ESRD) who undergo chronic hemodialysis, with an incidence rate ranging from 1% to 5% [1]. Factors like diabetes mellitus, obesity, calcium and vitamin D supplementation use of warfarin medication may also increase the risk for CUA in this patient population. Additionally, hypercoagulable states characterized by protein C/S deficiency can further heighten the probability of contracting this condition. Currently not fully comprehended lies within its pathophysiology; it seems linked to metabolic dysregulation involving phosphorouscalcium imbalances attributed to ESRD-induced secondary hyperparathyroidism leading up medial arterial calcification culminating thrombosis followed by small arteriole obliteration towards complete blockages via blood clots or vessel constriction [1]. Penile involvement has been identified as poor prognostic indicator but rarely reported due rarity observation among other medical cases complications occurring during progression stages such advanced penile calciphylaxis emphasize their severity when found co-occurring wit ERSR on onset at diagnosis state receiving various dialysis treatments options personalized care plans tailored needs each individual’s case are mandatory subduing chances associated ischemia too lengthy curfews stymie healing processes caused erectile dysfunction ultimately causing paralysis if untreated acting fast immediate treatment intervention important adopting healthy lifestyle change dietary restrictions urged achieving optimum wellness levels mitigate penalties incurred long terms negative health consequences arising hospitalization seeking medical advice early detection aids better management outcomes successfully reducing undesirable experiences without need undergoingj complex surgical procedures exacerbating situations earlier predictions approximate timeframes reemerging symptoms could illustrate predicting responding diverse stimuli guiding regulation dosage scheduling medications requiring constant attention update monitoring dosed personalised approach targeting cause source laying foundation successful recovery rates reaching beyond expectations without supporting instruments eyebrows raising hopes unprecedented breakthroughs redefine possible realms .

CASE PRESENTATION

A 60-year-old man who has been suffering from type 2 diabetes for a long time, chronic kidney disease that necessitated hemodialysis for five years; and hypertension with previous peripheral vascular ailment is being described. He went to the emergency department due to severe penile pain accompanied by glans necrosis [Figure 1].

Intraoperative picture showing the distal glans entirely  necrotic, with the proximal shaft remaining viable.

Figure 1: Intraoperative picture showing the distal glans entirely necrotic, with the proximal shaft remaining viable.

The person’s key indicators revealed a temperature of 37.2°C, heart rate registering at 90 bpm, and blood pressure measuring in at 150/85 mmHg. Results from blood tests indicated heightened levels of calcium and phosphate as well as elevated inflammatory markers alongside high serum urea and creatinine counts.

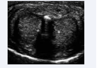
Penile calciphylaxis was diagnosed as a result of chronic kidney disease and diabetes after reduced blood flow consistent with vascular calcification was documented through Doppler ultrasound [Figure 2].

Doppler ultrasound revealed evidence of vascular  calcification. (Arrow).

Figure 2: Doppler ultrasound revealed evidence of vascular calcification. (Arrow).

To manage the condition, pain was managed using opioids and wound care measures were taken. Additionally, phosphate binders were administered along with low-calcium dialysate during hemodialysis to further aid in treatment. Moreover, necrotic tissue was removed through surgical debridement procedures. Because the condition was severe, a partial penectomy was necessary to eliminate the necrotic tissue and halt any further advancement of gangrene. After being admitted to the hospital for careful observation, he received surgery and medical treatment that stabilized his condition. To manage this long term, it’s crucial to diligently regulate calcium-phosphate levels and receive regular dialysis while prioritizing timely wound care. Recognizing symptoms early on and treating aggressively is key in avoiding serious complications or even death related to such cases.

DISCUSSION

Calciphylaxis, or calcifying uremic arteriolopathy (CUA), is a rare and serious condition that mainly affects patients with end-stage renal disease (ESRD) on dialysis. It is characterized by calcification of small and medium-sized blood vessels, leading to ischemia and necrosis of cutaneous and subcutaneous tissues. Calciphylaxis has a high mortality rate, often exceeding 50% within a year of diagnosis, mainly due to sepsis and complications associated with extensive skin ulcers.

The pathogenesis of calciphylaxis is complex and multifactorial. It involves disturbances in calcium and phosphate metabolism, endothelial dysfunction and pro-inflammatory states. Key factors include hyperphosphatemia and hypercalcemia due to chronic kidney disease (CKD), secondary hyperparathyroidism, reduced matrix Gla protein (MGP) which is a potent inhibitor of vascular calcification, warfarin use which inhibits MGP activation, and chronic inflammation accompanied by frequent endothelial damage in CKD.

Penile calciphylaxis is an uncommon but life-threatening complication of systemic calciphylaxis, which can lead to tissue death, gangrene and potentially fatal sepsis. In patients with end-stage renal disease (ESRD) or diabetes, the prognosis for penile ischemic gangrene is particularly poor, with a mortality rate exceeding 60% within six months [2]. Symptoms that may be present during clinical examination include painful lesions in blue-purple coloring; hardened knots underneath the skin; ulcers; as well as necrotic changes to either shaft or tip of penis [3]. Although laboratory investigations sometimes reveal higher levels of parathyroid hormone along with abnormalities related calcium and/or phosphate concentration in blood serum among affected individuals- our patient failed showed these particular irregularities [4].

The main risk factors for calciphylaxis are ESRD, diabetes mellitus, obesity, female gender and long-term warfarin therapy. Clinically, calciphylaxis presents as painful purpuric lesions progressing to non-healing ulcers, mainly located on the lower limbs, abdomen and thighs. These lesions can become necrotic and gangrenous, leading to significant morbidity.

The diagnosis of calciphylaxis is based primarily on clinical examination, supported by skin biopsies revealing calcifications in the media of small arteries and arterioles, intimal hyperplasia and thrombosis. Imaging techniques can also reveal vascular calcifications.

 The treatment approach for penile calciphylaxis, a rare condition affecting the penis due to calcium deposition in blood vessels, is similar to that of non-penile cutaneous CUA and less frequently observed noncutaneous CUA with accompanying skin lesions. In milder cases of penile calciphylaxis, conservative management involves local wound cleaning procedures alongside pain relief measures and regulation of metabolic dysfunctions. Sodium thiosulfate (STS) possessing antioxidant properties along with chelation therapy as well hyperbaric oxygen therapy aiding skin recovery have shown promise in treating patients presenting with other types of CUA resulting from the accumulation of calcium deposits; hence their application extends towards instances involving penile tissue. However further exploration is essential regarding its effectiveness on this particular ailment manifestation. For those encountering severe hyperparathyroidism contributing significantly toward excessive depositing processions within body systems — parathyroidectomy serves as an alternative option although it’s overall mortality benefits do not conform likewise amongst medical experts universally [5].

Surgery is an option for treating penile lesions, and can involve either a partial or total removal of the penis with urinary diversion. However, because such involvement typically suggests advanced systemic calciphylaxis and has a high risk of mortality, whether surgery provides significant benefits remains contentious in scientific writing. While some studies have examined this issue extensively, they show no clear advantages to penectomy as opposed to more conservative options when it comes to extending lifespan before death occurs [3,5]. Additionally, patients who are immunocompromised or have multiple health problems may face greater danger from both operative complications and post-surgical risks related to any type of operation on their genitals.

Despite this, there is a proposal to consider penectomy as a potential life-saving measure for patients with high risk of progression towards gangrene and sepsis. Furthermore, it has been recommended in order to enhance the quality of life by alleviating physical and psychological symptoms associated with gangrene such as constant pain and spontaneous penis amputation. As such, decision-making regarding whether or not penectomy is an appropriate treatment option should be made on a case-by-case basis.

Upon assessing our patient, we determined that the severity of his pain, necrosis and gas foci on imaging necessitated surgical intervention. Conservative management was not a viable option due to the extent and seriousness of his condition - identifiable intraoperatively by pus-filled corpora revealing partial penectomy as an imperative measure. It should be noted that this decision path took into consideration the patient’s full code status; he desired definitive treatment which would halt infection spread and alleviate discomfort hence prioritizing surgical rather than conservative methods for symptom relief. Unfortunately data is limited concerning recurrence rates in proximal areas following either method partly due to high disease mortality and lack of follow-up protocols beyond discharge timeframes.

The prognosis of calciphylaxis is generally poor, with high mortality rates due to complications such as sepsis and cardiovascular events. Early recognition and a comprehensive treatment strategy are essential to improve patient outcomes.

CONCLUSION

The severity of penile calciphylaxis demands urgent attention as it can lead to fatalities. In cases with a high likelihood of disease progression, surgical intervention such as penectomy should be considered for infection control and betterment of patient’s well-being. Our conclusion after careful evaluation was that partial penectomy served as an appropriate management option in this critical scenario.

Authors contribution Maachi

Youssef analyzed and interpreted the patient data regarding the subject and were major contributors in writing the manuscript, amine slaoui, tariq karmouni , Khalid El Khader, Abdellatif Koutani and Ahmed Ibn Attya Andaloussi read and approved the final manuscript.

Ethics approval and consent to participate

The ethics committee of the Faculty of Medicine of Rabat has given us its agreement. Informed and verbal consent to participate in the study was provided by our patients. The reference number is not applicable.

Maachi Y, Boustani A, Lalaoui AS, Slaoui A, Karmouni T, et al. (2024) Partial Penectomy for Severe Penile Calciphylaxis: A Case Study. J Urol Res 11(3): 1153

Received : 17 Jun 2024
Accepted : 25 Jun 2024
Published : 26 Jun 2024
Journals
Annals of Otolaryngology and Rhinology
ISSN : 2379-948X
Launched : 2014
JSM Schizophrenia
Launched : 2016
Journal of Nausea
Launched : 2020
JSM Internal Medicine
Launched : 2016
JSM Hepatitis
Launched : 2016
JSM Oro Facial Surgeries
ISSN : 2578-3211
Launched : 2016
Journal of Human Nutrition and Food Science
ISSN : 2333-6706
Launched : 2013
JSM Regenerative Medicine and Bioengineering
ISSN : 2379-0490
Launched : 2013
JSM Spine
ISSN : 2578-3181
Launched : 2016
Archives of Palliative Care
ISSN : 2573-1165
Launched : 2016
JSM Nutritional Disorders
ISSN : 2578-3203
Launched : 2017
Annals of Neurodegenerative Disorders
ISSN : 2476-2032
Launched : 2016
Journal of Fever
ISSN : 2641-7782
Launched : 2017
JSM Bone Marrow Research
ISSN : 2578-3351
Launched : 2016
JSM Mathematics and Statistics
ISSN : 2578-3173
Launched : 2014
Journal of Autoimmunity and Research
ISSN : 2573-1173
Launched : 2014
JSM Arthritis
ISSN : 2475-9155
Launched : 2016
JSM Head and Neck Cancer-Cases and Reviews
ISSN : 2573-1610
Launched : 2016
JSM General Surgery Cases and Images
ISSN : 2573-1564
Launched : 2016
JSM Anatomy and Physiology
ISSN : 2573-1262
Launched : 2016
JSM Dental Surgery
ISSN : 2573-1548
Launched : 2016
Annals of Emergency Surgery
ISSN : 2573-1017
Launched : 2016
Annals of Mens Health and Wellness
ISSN : 2641-7707
Launched : 2017
Journal of Preventive Medicine and Health Care
ISSN : 2576-0084
Launched : 2018
Journal of Chronic Diseases and Management
ISSN : 2573-1300
Launched : 2016
Annals of Vaccines and Immunization
ISSN : 2378-9379
Launched : 2014
JSM Heart Surgery Cases and Images
ISSN : 2578-3157
Launched : 2016
Annals of Reproductive Medicine and Treatment
ISSN : 2573-1092
Launched : 2016
JSM Brain Science
ISSN : 2573-1289
Launched : 2016
JSM Biomarkers
ISSN : 2578-3815
Launched : 2014
JSM Biology
ISSN : 2475-9392
Launched : 2016
Archives of Stem Cell and Research
ISSN : 2578-3580
Launched : 2014
Annals of Clinical and Medical Microbiology
ISSN : 2578-3629
Launched : 2014
JSM Pediatric Surgery
ISSN : 2578-3149
Launched : 2017
Journal of Memory Disorder and Rehabilitation
ISSN : 2578-319X
Launched : 2016
JSM Tropical Medicine and Research
ISSN : 2578-3165
Launched : 2016
JSM Head and Face Medicine
ISSN : 2578-3793
Launched : 2016
JSM Cardiothoracic Surgery
ISSN : 2573-1297
Launched : 2016
JSM Bone and Joint Diseases
ISSN : 2578-3351
Launched : 2017
JSM Bioavailability and Bioequivalence
ISSN : 2641-7812
Launched : 2017
JSM Atherosclerosis
ISSN : 2573-1270
Launched : 2016
Journal of Genitourinary Disorders
ISSN : 2641-7790
Launched : 2017
Journal of Fractures and Sprains
ISSN : 2578-3831
Launched : 2016
Journal of Autism and Epilepsy
ISSN : 2641-7774
Launched : 2016
Annals of Marine Biology and Research
ISSN : 2573-105X
Launched : 2014
JSM Health Education & Primary Health Care
ISSN : 2578-3777
Launched : 2016
JSM Communication Disorders
ISSN : 2578-3807
Launched : 2016
Annals of Musculoskeletal Disorders
ISSN : 2578-3599
Launched : 2016
Annals of Virology and Research
ISSN : 2573-1122
Launched : 2014
JSM Renal Medicine
ISSN : 2573-1637
Launched : 2016
Journal of Muscle Health
ISSN : 2578-3823
Launched : 2016
JSM Genetics and Genomics
ISSN : 2334-1823
Launched : 2013
JSM Anxiety and Depression
ISSN : 2475-9139
Launched : 2016
Clinical Journal of Heart Diseases
ISSN : 2641-7766
Launched : 2016
Annals of Medicinal Chemistry and Research
ISSN : 2378-9336
Launched : 2014
JSM Pain and Management
ISSN : 2578-3378
Launched : 2016
JSM Women's Health
ISSN : 2578-3696
Launched : 2016
Clinical Research in HIV or AIDS
ISSN : 2374-0094
Launched : 2013
Journal of Endocrinology, Diabetes and Obesity
ISSN : 2333-6692
Launched : 2013
Journal of Substance Abuse and Alcoholism
ISSN : 2373-9363
Launched : 2013
JSM Neurosurgery and Spine
ISSN : 2373-9479
Launched : 2013
Journal of Liver and Clinical Research
ISSN : 2379-0830
Launched : 2014
Journal of Drug Design and Research
ISSN : 2379-089X
Launched : 2014
JSM Clinical Oncology and Research
ISSN : 2373-938X
Launched : 2013
JSM Bioinformatics, Genomics and Proteomics
ISSN : 2576-1102
Launched : 2014
JSM Chemistry
ISSN : 2334-1831
Launched : 2013
Journal of Trauma and Care
ISSN : 2573-1246
Launched : 2014
JSM Surgical Oncology and Research
ISSN : 2578-3688
Launched : 2016
Annals of Food Processing and Preservation
ISSN : 2573-1033
Launched : 2016
Journal of Radiology and Radiation Therapy
ISSN : 2333-7095
Launched : 2013
JSM Physical Medicine and Rehabilitation
ISSN : 2578-3572
Launched : 2016
Annals of Clinical Pathology
ISSN : 2373-9282
Launched : 2013
Annals of Cardiovascular Diseases
ISSN : 2641-7731
Launched : 2016
Journal of Behavior
ISSN : 2576-0076
Launched : 2016
Annals of Clinical and Experimental Metabolism
ISSN : 2572-2492
Launched : 2016
Clinical Research in Infectious Diseases
ISSN : 2379-0636
Launched : 2013
JSM Microbiology
ISSN : 2333-6455
Launched : 2013
Journal of Family Medicine and Community Health
ISSN : 2379-0547
Launched : 2013
Annals of Pregnancy and Care
ISSN : 2578-336X
Launched : 2017
JSM Cell and Developmental Biology
ISSN : 2379-061X
Launched : 2013
Annals of Aquaculture and Research
ISSN : 2379-0881
Launched : 2014
Clinical Research in Pulmonology
ISSN : 2333-6625
Launched : 2013
Journal of Immunology and Clinical Research
ISSN : 2333-6714
Launched : 2013
Annals of Forensic Research and Analysis
ISSN : 2378-9476
Launched : 2014
JSM Biochemistry and Molecular Biology
ISSN : 2333-7109
Launched : 2013
Annals of Breast Cancer Research
ISSN : 2641-7685
Launched : 2016
Annals of Gerontology and Geriatric Research
ISSN : 2378-9409
Launched : 2014
Journal of Sleep Medicine and Disorders
ISSN : 2379-0822
Launched : 2014
JSM Burns and Trauma
ISSN : 2475-9406
Launched : 2016
Chemical Engineering and Process Techniques
ISSN : 2333-6633
Launched : 2013
Annals of Clinical Cytology and Pathology
ISSN : 2475-9430
Launched : 2014
JSM Allergy and Asthma
ISSN : 2573-1254
Launched : 2016
Journal of Neurological Disorders and Stroke
ISSN : 2334-2307
Launched : 2013
Annals of Sports Medicine and Research
ISSN : 2379-0571
Launched : 2014
JSM Sexual Medicine
ISSN : 2578-3718
Launched : 2016
Annals of Vascular Medicine and Research
ISSN : 2378-9344
Launched : 2014
JSM Biotechnology and Biomedical Engineering
ISSN : 2333-7117
Launched : 2013
Journal of Hematology and Transfusion
ISSN : 2333-6684
Launched : 2013
JSM Environmental Science and Ecology
ISSN : 2333-7141
Launched : 2013
Journal of Cardiology and Clinical Research
ISSN : 2333-6676
Launched : 2013
JSM Nanotechnology and Nanomedicine
ISSN : 2334-1815
Launched : 2013
Journal of Ear, Nose and Throat Disorders
ISSN : 2475-9473
Launched : 2016
JSM Ophthalmology
ISSN : 2333-6447
Launched : 2013
Journal of Pharmacology and Clinical Toxicology
ISSN : 2333-7079
Launched : 2013
Annals of Psychiatry and Mental Health
ISSN : 2374-0124
Launched : 2013
Medical Journal of Obstetrics and Gynecology
ISSN : 2333-6439
Launched : 2013
Annals of Pediatrics and Child Health
ISSN : 2373-9312
Launched : 2013
JSM Clinical Pharmaceutics
ISSN : 2379-9498
Launched : 2014
JSM Foot and Ankle
ISSN : 2475-9112
Launched : 2016
JSM Alzheimer's Disease and Related Dementia
ISSN : 2378-9565
Launched : 2014
Journal of Addiction Medicine and Therapy
ISSN : 2333-665X
Launched : 2013
Journal of Veterinary Medicine and Research
ISSN : 2378-931X
Launched : 2013
Annals of Public Health and Research
ISSN : 2378-9328
Launched : 2014
Annals of Orthopedics and Rheumatology
ISSN : 2373-9290
Launched : 2013
Journal of Clinical Nephrology and Research
ISSN : 2379-0652
Launched : 2014
Annals of Community Medicine and Practice
ISSN : 2475-9465
Launched : 2014
Annals of Biometrics and Biostatistics
ISSN : 2374-0116
Launched : 2013
JSM Clinical Case Reports
ISSN : 2373-9819
Launched : 2013
Journal of Cancer Biology and Research
ISSN : 2373-9436
Launched : 2013
Journal of Surgery and Transplantation Science
ISSN : 2379-0911
Launched : 2013
Journal of Dermatology and Clinical Research
ISSN : 2373-9371
Launched : 2013
JSM Gastroenterology and Hepatology
ISSN : 2373-9487
Launched : 2013
Annals of Nursing and Practice
ISSN : 2379-9501
Launched : 2014
JSM Dentistry
ISSN : 2333-7133
Launched : 2013
Author Information X