Loading

Journal of Urology and Research

Scrotal Cancer Mimicking a Scrotal Abscess: Case Report and Review of the Literature

Case Report | Open Access | Volume 12 | Issue 2
Article DOI :

  • 1. Urology B department, University Hospital Center IBN SINA, University Mohammed V, Morocco.
  • 2. Department of Pathology and Cytology, University Hospital Center IBN SINA, University Mohammed V, Morocco.
+ Show More - Show Less
Corresponding Authors
Mohammed Amine ELAFARI, University Hospital Center IBN SINA of Rabat, Urology B Department, Mohammed V of Rabat Country, Morocco, Tel: 00212661858810
Keywords

• Scrotal Squamous Cell

• Abscess

• Surgical Excision

ABBREVIATIONS

SCC: Squamous Cell Carcinoma; PUVA: Ultraviolet a Photochemotherapy; HPV: Human Papilloma Virus; PCR: Polymerase Chain Reaction

INTRODUCTION

Scrotal squamous cell carcinoma is an uncommon form of skin cancer, historically recognized as the “chimney sweepers’ disease” first identified by Percivall Pott in the 18th century. Its incidence has significantly decreased in recent decades, largely due to enhanced occupational health standards, better hygiene practices, and stricter control of exposure to carcinogenic substances. Nonetheless, sporadic cases still arise, often in connection with chronic inflammation, HIV infection, prolonged exposure to industrial agents such as mineral oils, soot, or tar, and inadequate personal hygiene.

It typically presents in patients in their 60s, often developing from a pre-existing lesion that gradually increases in size. In approximately 25% of cases, it is associated with inguinal lymphadenopathy. Surgical excision remains the cornerstone of treatment and may be combined with lymph node dissection depending on the disease stage. The aim of our study is to describe the epidemiological, diagnostic, and therapeutic features of this malignancy.

Citation

Amine EM, Anass R, Amine ZM, Yassine AT, Zakia B, et al. (2025) Scrotal Cancer Mimicking a Scrotal Abscess: Case Report and Review of the Literature. J Urol Res 12(2): 1165.

CASE PRESENTATION

A.Z, a 55-year-old male, employed in the ceramics industry, presented by himself to our clinic, with a solid, hemorrhagic abscessed mass measuring 3 cm in the mid scrotal region, evolving over the past year. The patient also reported associated pruritus (Figure 1 A,B).

https://www.jscimedcentral.com/public/assets/images/uploads/image-1770698869-1.JPG

Figure 1 A: Clinical aspect of the lesion; B: Inferior view the mass.

The examination didn’t find any lymph node.

Laboratory investigations revealed a mild inflammatory syndrome with White blood cells: 12,000/mm³, C-reactive protein (CRP): 48 mg/L, HIV serology: Negative Scrotal ultrasonography demonstrated a well-defined, oval, heterogeneous echogenic mass with a thick peripheral capsule, richly vascularized, measuring approximately 31 x 29 mm. The mass exhibited cutaneous fistulization and was consistent with an abscessed collection. Associated findings included fat stranding and thickening of the scrotal tunics.

Given the atypical macroscopic appearance and the lesion’s slow progression, a thoracoabdominopelvic CT scan was performed. The scan showed diffuse scrotal edema centered on a 20 mm anterior inter-testicular abscess and revealed a micronodular and bronchial pattern in the lungs, suggestive of granulomatous disease, most likely tuberculosis. No secondary lymph node or visceral involvement was observed (Figure 2).

https://www.jscimedcentral.com/public/assets/images/uploads/image-1770698967-1.JPG

Figure 2 CT-Scan showing the scrotal mass.

In light of these findings, PCR-based tuberculosis testing was conducted and confirmed the diagnosis of pulmonary tuberculosis. Antitubercular therapy was initiated accordingly. The patient underwent wide local surgical excision of the scrotal lesion without reconstruction, given the localized nature of the mass. The postoperative course was uneventful (Figure 3).

https://www.jscimedcentral.com/public/assets/images/uploads/image-1770699024-1.JPG

Figure 3 Post-operative aspect of the scrotum (D5).

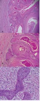
Histopathological analysis confirmed a diagnosis of verrucous squamous cell carcinoma, measuring 2.5 cm in greatest dimension and infiltrating the reticular dermis, with a maximal tumor thickness estimated at 0.6 cm. The surgical margin was clean. The tumor was classified as pT2 according to the AJCC 8th edition staging system (Figure 4 A,B,C).

The patient didn’t receive any adjuvant treatment. At a 1-year postoperative follow-up, the patient was clinically well. A follow-up CT scan showed no evidence of recurrence or metastasis. 

https://www.jscimedcentral.com/public/assets/images/uploads/image-1770699108-1.JPG

Figure 4 A: HE staining: low magnification; B: HE staining: medium magnification; C: HE staining: high magnification.

The patient didn’t receive any adjuvant treatment. At a 1-year postoperative follow-up, the patient was clinically well. A follow-up CT scan showed no evidence of recurrence or metastasis. 

DISCUSSION

Scrotal cancer is an exceptionally rare form of malignancy, with a reported incidence of approximately 1.5 new cases per million people each year in Western nations [1]. In a retrospective study of 471 cases spanning from 1973 to 2002, Wright et al. identified the most frequent histological subtypes as squamous cell carcinoma (32%), extramammary Paget’s disease (21%), basal cell carcinoma (18%), and sarcomas (18%). Notably, squamous cell carcinoma appeared significantly more common in Black patients compared to White patients (69% vs. 31%) [2]. The first cancer to be directly associated with occupational exposure was scrotal SCC. Over the past 20 years, occupational risk factors have not been linked to an elevated incidence of scrotal SCC due to significant improvements in working environments and applicable laws.

Among the known risk factors for SCC are: [3].

  • Jobs like tar and paraffin workers and chimney sweepers. Additionally, jobs involving exposure to cutting and mineral oils, printing, and metalworking, including those in the automotive and aircraft industries, auto repair shops, commercial printers, aluminum and shale oil production, pitching, engineering, steel manufacturing, and cavalry.
  • Exposure to metals that cause cancer, such as nickel, chromium, and arsenic.
  • Persistent mechanical discomfort.
  • Persistent inflammatory conditions (such as surgical scars and chronic lymphoedema). lifestyle choices (such as smoking and inadequate personal hygiene).viruses, such as HPV.
  • Ionizing radiation exposure.
  • Exposure to iatrogenic substances, such as Fowler’s solution, tar, coal, PUVA, radiation, and nitrogen mustard.
  • Immunosuppression (such as post-transplant immunosuppression and acquired and inherited immunodeficiency).

To ascertain the histology of the scrotal cancer, an excisional biopsy is necessary for the lesions. A thorough physical examination and cross-sectional imaging techniques, like CT scanning or MRI, can be used to evaluate non-localized disease and metastases; however, MRI is superior for assessing soft tissue lesions. If there is probable involvement of the pelvic lymph nodes or elsewhere, PET scanning should be taken into consideration [4,5].

The penis or testes may be invaded by advanced illness. Histologic assessment confirms this diagnosis, and sampling should be done in multiple sites to ascertain the depth of invasion and the boundaries of extension. The lymphatic drainage pattern of the scrotum is identical to that of the penis. From the inguinal lymph nodes to the pelvic lymph nodes, tumors typically spread in a progressive manner [4].

It’s interesting to note that the scrotal lymphatics don’t seem to leak into the ipsilateral superficial inguinal lymph nodes after crossing the median raphe. As a result, tumors that do not affect the median raphe hardly ever spread to the other inguinal location.23 The clinical workup for scrotal SCC is fairly similar to that of penile carcinoma due to similarities in site and histology. Chest radiographs and pelvic and/or abdominal CT scans are examples of routine imaging tests. When necessary, additional tests such bone scans and chest CT or PET- CT may be performed [4,5].

In cases of invasive scrotal SCC, lymph node metastases cannot be accurately determined by physical examination or cross-sectional imaging methods [6]. The simplest method of confirming metastasis is fine needle aspiration cytology. However, the test is only useful if the results are positive. An inflammatory response may cause the inguinal lymph nodes to expand. An excision biopsy is recommended if a lymph node is still palpable following antibiotic treatment and the fine-needle aspiration cytology is negative [7]. Which wasn’t the case of our patient who didn’t had any lymph node.

Surgery is the main therapeutic option for scrotal cancer. In order to treat all types of histology, the cancer must be surgically removed. Chemotherapy and radiation therapy are examples of adjuvant treatments [8].

The patient’s age, the size, grade, and stage of the tumor, as well as the extent of surgery, all affect the prognosis for scrotal SCC. According to reports, one of the most significant predictors of local and/or regional tumor control is the state of the surgical margin.

Additionally, it has been noted that even with a 2 cm margin for wide excision, the surgical margin remains favorable [9].

Every patient should have a history and physical examination, including a skin examination, every three months for two years, then every six months for three years, and finally once a year for the rest of their lives [10]. During consultations, it is necessary to discuss patient education regarding sun protection and skin self examination for regional disease recurrence.

CONCLUSION

The epidemiology of scrotal SCC has evolved recently, despite the fact that it was once thought to be an occupational disease. These days, the chance of getting this malignancy is greatly increased by iatrogenic disorders such PUVA, immunosuppression, and HPV infection. The cornerstone of the scrotal SCC treatment plan is surgery. The original lesion should be removed, and regional lymph nodes should be staged and treated using a risk- stratified strategy.

DECLARATION

Ethical Approval

Ethics approval has been obtained to proceed with the current study Ethical approval for this study (Ethical Committee N009-24) was provided by the Ethical Committee Ibn University Hospitals, Rabat Morocco on 22 January 2024.

Consent

Written informed consent was obtained from the patient for publication of this case report and any accompanying images. A copy of the written consent is available for review by the Editor-in-Chief of the journal.

Scare Guidelines

The work has been reported in line with the SCARE criteria [11].

REFERENCES
  1. Verhoeven RH, Louwman WJ, Koldewijn EL, Demeyere TB, Coebergh JW. Scrotal cancer: incidence, survival and second primary tumours in the Netherlands since 1989. Br J Cancer. 2010; 103: 1462-1466.
  2. Wright JL, Morgan TM, Lin DW. Primary scrotal cancer: disease characteristics and increasing incidence. Urology. 2008; 72: 1139-1143.
  3. Debashis Sarkar. A Systematic Review of Scrotal Squamous Cell Carcinoma. EMJ Urol. 2019; 7: 68-74.
  4. Chung BI et al., “Surgical, radiology, and endoscopic anatomy of the male pelvis,” Wein AJ et al. (eds.), Campbell-Walsh Urology 10th edition, Philadelphia: Elsevier. 2015; 3: 1630.
  5. Graafland NM, Leijte JA, Valdés Olmos RA, Hoefnagel CA, Teertstra HJ, Horenblas S. Scanning with 18F-FDG-PET/CT for detection of pelvic nodal involvement in inguinal node-positive penile carcinoma. Eur Urol. 2009; 56: 339-345.
  6. Hughes B, Leijte J, Shabbir M, Watkin N, Horenblas S. Non-invasive and minimally invasive staging of regional lymph nodes in penile cancer. World J Urol. 2009; 27: 197-203.
  7. Zhu Y, Zhang HL, Yao XD, Zhang SL, Dai B, Shen YJ, et al. Development and evaluation of a nomogram to predict inguinal lymph node metastasis in patients with penile cancer and clinically negative lymph nodes. J Urol. 2010; 184: 539-545.
  8. Dai B, Kong YY, Ye DW, Xu XW, Yao XD, Zhang SL. Basal cell carcinoma of the scrotum: clinicopathologic analysis of 10 cases. Dermatol Surg. 2012; 38: 783-790.
  9. Ng LG, Yip SK, Tan PH. Extramammary Paget’s disease of scrotum. Urology. 2001; 58: 105.
  10. Huang JH, Broggi M, Osunkoya AO, Master VA. Surgical Management of Primary Scrotal Cancer. Urol Clin North Am. 2016; 43: 531-544.
  11. Sohrabi C, Mathew G, Maria N, Kerwan A, Franchi T, Agha RA; Collaborators. The SCARE 2023 guideline: updating consensus Surgical CAse REport (SCARE) guidelines. Int J Surg. 2023; 109: 1136- 1140.

Amine EM, Anass R, Amine ZM, Yassine AT, Zakia B, et al. (2025) Scrotal Cancer Mimicking a Scrotal Abscess: Case Report and Review of the Literature. J Urol Res 12(2): 1165.

Received : 03 Nov 2025
Accepted : 29 Dec 2025
Published : 30 Dec 2025
Journals
Annals of Otolaryngology and Rhinology
ISSN : 2379-948X
Launched : 2014
JSM Schizophrenia
Launched : 2016
Journal of Nausea
Launched : 2020
JSM Internal Medicine
Launched : 2016
JSM Hepatitis
Launched : 2016
JSM Oro Facial Surgeries
ISSN : 2578-3211
Launched : 2016
Journal of Human Nutrition and Food Science
ISSN : 2333-6706
Launched : 2013
JSM Regenerative Medicine and Bioengineering
ISSN : 2379-0490
Launched : 2013
JSM Spine
ISSN : 2578-3181
Launched : 2016
Archives of Palliative Care
ISSN : 2573-1165
Launched : 2016
JSM Nutritional Disorders
ISSN : 2578-3203
Launched : 2017
Annals of Neurodegenerative Disorders
ISSN : 2476-2032
Launched : 2016
Journal of Fever
ISSN : 2641-7782
Launched : 2017
JSM Bone Marrow Research
ISSN : 2578-3351
Launched : 2016
JSM Mathematics and Statistics
ISSN : 2578-3173
Launched : 2014
Journal of Autoimmunity and Research
ISSN : 2573-1173
Launched : 2014
JSM Arthritis
ISSN : 2475-9155
Launched : 2016
JSM Head and Neck Cancer-Cases and Reviews
ISSN : 2573-1610
Launched : 2016
JSM General Surgery Cases and Images
ISSN : 2573-1564
Launched : 2016
JSM Anatomy and Physiology
ISSN : 2573-1262
Launched : 2016
JSM Dental Surgery
ISSN : 2573-1548
Launched : 2016
Annals of Emergency Surgery
ISSN : 2573-1017
Launched : 2016
Annals of Mens Health and Wellness
ISSN : 2641-7707
Launched : 2017
Journal of Preventive Medicine and Health Care
ISSN : 2576-0084
Launched : 2018
Journal of Chronic Diseases and Management
ISSN : 2573-1300
Launched : 2016
Annals of Vaccines and Immunization
ISSN : 2378-9379
Launched : 2014
JSM Heart Surgery Cases and Images
ISSN : 2578-3157
Launched : 2016
Annals of Reproductive Medicine and Treatment
ISSN : 2573-1092
Launched : 2016
JSM Brain Science
ISSN : 2573-1289
Launched : 2016
JSM Biomarkers
ISSN : 2578-3815
Launched : 2014
JSM Biology
ISSN : 2475-9392
Launched : 2016
Archives of Stem Cell and Research
ISSN : 2578-3580
Launched : 2014
Annals of Clinical and Medical Microbiology
ISSN : 2578-3629
Launched : 2014
JSM Pediatric Surgery
ISSN : 2578-3149
Launched : 2017
Journal of Memory Disorder and Rehabilitation
ISSN : 2578-319X
Launched : 2016
JSM Tropical Medicine and Research
ISSN : 2578-3165
Launched : 2016
JSM Head and Face Medicine
ISSN : 2578-3793
Launched : 2016
JSM Cardiothoracic Surgery
ISSN : 2573-1297
Launched : 2016
JSM Bone and Joint Diseases
ISSN : 2578-3351
Launched : 2017
JSM Bioavailability and Bioequivalence
ISSN : 2641-7812
Launched : 2017
JSM Atherosclerosis
ISSN : 2573-1270
Launched : 2016
Journal of Genitourinary Disorders
ISSN : 2641-7790
Launched : 2017
Journal of Fractures and Sprains
ISSN : 2578-3831
Launched : 2016
Journal of Autism and Epilepsy
ISSN : 2641-7774
Launched : 2016
Annals of Marine Biology and Research
ISSN : 2573-105X
Launched : 2014
JSM Health Education & Primary Health Care
ISSN : 2578-3777
Launched : 2016
JSM Communication Disorders
ISSN : 2578-3807
Launched : 2016
Annals of Musculoskeletal Disorders
ISSN : 2578-3599
Launched : 2016
Annals of Virology and Research
ISSN : 2573-1122
Launched : 2014
JSM Renal Medicine
ISSN : 2573-1637
Launched : 2016
Journal of Muscle Health
ISSN : 2578-3823
Launched : 2016
JSM Genetics and Genomics
ISSN : 2334-1823
Launched : 2013
JSM Anxiety and Depression
ISSN : 2475-9139
Launched : 2016
Clinical Journal of Heart Diseases
ISSN : 2641-7766
Launched : 2016
Annals of Medicinal Chemistry and Research
ISSN : 2378-9336
Launched : 2014
JSM Pain and Management
ISSN : 2578-3378
Launched : 2016
JSM Women's Health
ISSN : 2578-3696
Launched : 2016
Clinical Research in HIV or AIDS
ISSN : 2374-0094
Launched : 2013
Journal of Endocrinology, Diabetes and Obesity
ISSN : 2333-6692
Launched : 2013
Journal of Substance Abuse and Alcoholism
ISSN : 2373-9363
Launched : 2013
JSM Neurosurgery and Spine
ISSN : 2373-9479
Launched : 2013
Journal of Liver and Clinical Research
ISSN : 2379-0830
Launched : 2014
Journal of Drug Design and Research
ISSN : 2379-089X
Launched : 2014
JSM Clinical Oncology and Research
ISSN : 2373-938X
Launched : 2013
JSM Bioinformatics, Genomics and Proteomics
ISSN : 2576-1102
Launched : 2014
JSM Chemistry
ISSN : 2334-1831
Launched : 2013
Journal of Trauma and Care
ISSN : 2573-1246
Launched : 2014
JSM Surgical Oncology and Research
ISSN : 2578-3688
Launched : 2016
Annals of Food Processing and Preservation
ISSN : 2573-1033
Launched : 2016
Journal of Radiology and Radiation Therapy
ISSN : 2333-7095
Launched : 2013
JSM Physical Medicine and Rehabilitation
ISSN : 2578-3572
Launched : 2016
Annals of Clinical Pathology
ISSN : 2373-9282
Launched : 2013
Annals of Cardiovascular Diseases
ISSN : 2641-7731
Launched : 2016
Journal of Behavior
ISSN : 2576-0076
Launched : 2016
Annals of Clinical and Experimental Metabolism
ISSN : 2572-2492
Launched : 2016
Clinical Research in Infectious Diseases
ISSN : 2379-0636
Launched : 2013
JSM Microbiology
ISSN : 2333-6455
Launched : 2013
Journal of Family Medicine and Community Health
ISSN : 2379-0547
Launched : 2013
Annals of Pregnancy and Care
ISSN : 2578-336X
Launched : 2017
JSM Cell and Developmental Biology
ISSN : 2379-061X
Launched : 2013
Annals of Aquaculture and Research
ISSN : 2379-0881
Launched : 2014
Clinical Research in Pulmonology
ISSN : 2333-6625
Launched : 2013
Journal of Immunology and Clinical Research
ISSN : 2333-6714
Launched : 2013
Annals of Forensic Research and Analysis
ISSN : 2378-9476
Launched : 2014
JSM Biochemistry and Molecular Biology
ISSN : 2333-7109
Launched : 2013
Annals of Breast Cancer Research
ISSN : 2641-7685
Launched : 2016
Annals of Gerontology and Geriatric Research
ISSN : 2378-9409
Launched : 2014
Journal of Sleep Medicine and Disorders
ISSN : 2379-0822
Launched : 2014
JSM Burns and Trauma
ISSN : 2475-9406
Launched : 2016
Chemical Engineering and Process Techniques
ISSN : 2333-6633
Launched : 2013
Annals of Clinical Cytology and Pathology
ISSN : 2475-9430
Launched : 2014
JSM Allergy and Asthma
ISSN : 2573-1254
Launched : 2016
Journal of Neurological Disorders and Stroke
ISSN : 2334-2307
Launched : 2013
Annals of Sports Medicine and Research
ISSN : 2379-0571
Launched : 2014
JSM Sexual Medicine
ISSN : 2578-3718
Launched : 2016
Annals of Vascular Medicine and Research
ISSN : 2378-9344
Launched : 2014
JSM Biotechnology and Biomedical Engineering
ISSN : 2333-7117
Launched : 2013
Journal of Hematology and Transfusion
ISSN : 2333-6684
Launched : 2013
JSM Environmental Science and Ecology
ISSN : 2333-7141
Launched : 2013
Journal of Cardiology and Clinical Research
ISSN : 2333-6676
Launched : 2013
JSM Nanotechnology and Nanomedicine
ISSN : 2334-1815
Launched : 2013
Journal of Ear, Nose and Throat Disorders
ISSN : 2475-9473
Launched : 2016
JSM Ophthalmology
ISSN : 2333-6447
Launched : 2013
Journal of Pharmacology and Clinical Toxicology
ISSN : 2333-7079
Launched : 2013
Annals of Psychiatry and Mental Health
ISSN : 2374-0124
Launched : 2013
Medical Journal of Obstetrics and Gynecology
ISSN : 2333-6439
Launched : 2013
Annals of Pediatrics and Child Health
ISSN : 2373-9312
Launched : 2013
JSM Clinical Pharmaceutics
ISSN : 2379-9498
Launched : 2014
JSM Foot and Ankle
ISSN : 2475-9112
Launched : 2016
JSM Alzheimer's Disease and Related Dementia
ISSN : 2378-9565
Launched : 2014
Journal of Addiction Medicine and Therapy
ISSN : 2333-665X
Launched : 2013
Journal of Veterinary Medicine and Research
ISSN : 2378-931X
Launched : 2013
Annals of Public Health and Research
ISSN : 2378-9328
Launched : 2014
Annals of Orthopedics and Rheumatology
ISSN : 2373-9290
Launched : 2013
Journal of Clinical Nephrology and Research
ISSN : 2379-0652
Launched : 2014
Annals of Community Medicine and Practice
ISSN : 2475-9465
Launched : 2014
Annals of Biometrics and Biostatistics
ISSN : 2374-0116
Launched : 2013
JSM Clinical Case Reports
ISSN : 2373-9819
Launched : 2013
Journal of Cancer Biology and Research
ISSN : 2373-9436
Launched : 2013
Journal of Surgery and Transplantation Science
ISSN : 2379-0911
Launched : 2013
Journal of Dermatology and Clinical Research
ISSN : 2373-9371
Launched : 2013
JSM Gastroenterology and Hepatology
ISSN : 2373-9487
Launched : 2013
Annals of Nursing and Practice
ISSN : 2379-9501
Launched : 2014
JSM Dentistry
ISSN : 2333-7133
Launched : 2013
Author Information X