Usefulness of Contralateral Biopsy with Oct3 or 4 and Plap Marker Assessment to Detect Germ Cell Neoplasia In situ In Patients With Testicular Cancer
- 1. Department of Oncology and Pathology, South General Hospital, Sweden
- 2. Department of Women’s and Children’s Health, Karolinska Institutet, Sweden
- 3. Department of Pathology, Sankt Göran’s Hospital, Sweden
REFERENCES
- Report from the Swedish testicular cancer registry. 2013.
- National Cancer Institute. SEER Stat Fact Sheets: Testis Cancer.
- Berthelsen JG, Skakkebaek NE. Value of testicular biopsy in diagnosing carcinoma in situ testis. Scand J Urol Nephrol. 1981; 15: 165-168.
- Prym V, Lauke H. Carcinoma-in-situ of the human testis: tumor cells are distributed focally in the seminiferous tubules. Andrologia. 1994; 26: 231-234.
- Heidenreich A, Moul JW. Contralateral testicular biopsy procedure in patients with unilateral testis cancer: is it indicated? Semin Urol Oncol. 2002; 20: 234-238.
- Dieckmann KP, Loy V. Prevalence of contralateral testicular intraepithelial neoplasia in patients with testicular germ cell neoplasms. J Clin Oncol. 1996; 14: 3126-3132.
- Greene FL. American Joint Committee on Cancer, American Cancer Society. AJCC cancer staging handbook: from the AJCC cancer staging manual. 6th Edn. Springer. 2002.
- Holstein AF, Schütte B, Becker H, Hartmann M. Morphology of normal and malignant germ cells. Int J Androl. 1987; 10: 1-18.
- Dieckmann KP, Kulejewski M, Pichlmeier U, Loy V. Diagnosis of contralateral testicular intraepithelial neoplasia (tin) in patients with testicular germ cell cancer: systematic two-site biopsies are more sensitive than a single random biopsy. Eur Urol. 2006; 51: 175-183.
- Karellas ME, Damjanov I, Holzbeierlein JM. ITGCN of the testis, contralateral testicular biopsy and bilateral testicular cancer. Urol Clin North Am. 2007; 34: 119-125.
- Hoei-Hansen CE, Olesen IA, Jorgensen N, Carlsen E, Holm M, Almstrup K, et al. Current approaches for detection of carcinoma in situ testis. Int J Androl. 2007; 30: 398-404.
- Hoei-Hansen CE, Holm M, Rajpert-De Meyts E, Skakkebaek NE. Histological evidence of testicular dysgenesis in contralateral biopsies from 218 patients with testicular germ cell cancer. J Pathol. 2003; 200: 370-374.
- Giwercman A, Cantell L, Marks A. Placental-like alkaline phosphatase as a marker of carcinoma-in-situ of the testis. Comparison with monoclonal antibodies M2A and 43-9F APMIS. 1991; 99: 586-594.
- Dieckmann KP, Loy V. False-negative biopsies for the diagnosis of testicular intraepithelial neoplasia (TIN)--an update. Eur Urol. 2003; 43: 516-521.
- von der Maase H, Rørth M, Walbom-Jørgensen S, Sørensen BL, Christophersen IS, Hald T, et al. Carcinoma in situ of contralateral testis in patients with testicular germ cell cancer: study of 27 cases in 500 patients. Br Med J (Clin Res Ed). 1986; 293: 1398-1401.
- Herr HW, Sheinfeld J. Is biopsy of the contralateral testis necessary in patients with germ cell tumors? J Urol. 1997; 158: 1331-1334.
- Lee EK, Holzbeierlein JM. Management of the contralateral testicle in patients with unilateral testicular cancer. World J Urol. 2009; 27: 421-426.
- Fosså SD, Chen J, Schonfeld SJ, McGlynn KA, McMaster ML, Gail MH, et al. Risk of contralateral testicular cancer: a population-based study of 29,515 U.S. men. J Natl Cancer Inst. 2005; 97: 1056-1066.
- Testicular Cancer Survival Rates. ACS.
- Testicular cancer statistics. CR.
- Dieckmann KP, Loy V. Prevalence of contralateral testicular intraepithelial neoplasia in patients with testicular germ cell neoplasms. J Clin Oncol. 1996; 14: 3126-3132.
- von der Maase H, Rørth M, Walbom-Jørgensen S, Sørensen BL, Christophersen IS, Hald T, Jacobsen GK, et al. Carcinoma in situ of contralateral testis in patients with testicular germ cell cancer: study of 27 cases in 500 patients. Brit Med J. 1986; 293: 1398-1401.
- Skakkebaek NE, Berthelsen JG, Giwercman A, Müller J. Carcinoma-in-situ of the testis: possible origin from gonocytes and precursor of all types of germ cell tumours except spermatocytoma. Int J Androl. 1987; 10: 19-28.
- Heidenreich A. Contralateral testicular biopsy in testis cancer: current concepts and controversies. BJU Int. 2009; 104: 1346-1350.
- van Casteren NJ, Stoop H, Dohle GR, de Wit R, Oosterhuis JW, Looijenga LHJ. Noninvasive detection of testicular carcinoma in situ in semen using OCT3/4. Eur Urol. 2008; 54: 153-158.
- Holstein AF, Lauke H. Histologic diagnostics of early testicular germ-cell tumor. Int J Urol. 1996; 3: 165-172.
- Dohle GR, Elzanaty S, van Casteren NJ. Testicular biopsy: clinical practice and interpretation. Asian J Andrology. 2012; 14: 88-93.
- van Casteren J, de Jong, Stoop H, Steyerberg EW, de Bekker-Grob EW, Dohle GR, et al. Evaluation of testicular biopsies for carcinoma in situ: immunohistochemistry is mandatory. Int J Androl. 2008; 32: 666-674.
- Testicular Cancer: Risk Factors. ASCO. 2018.
- Ferguson L, Agoulnik AI. Testicular cancer and cryptorchidism. Front Endocrinol (Lausanne). 2013; 4: 32.
- Hutson JM, Balic A, Nation T, Southwell B. Cryptorchidism. Semin Pediatr Surg. 2010; 19: 215-224.
- Ferguson L, Agoulinik A. Testicular cancer and cryptochordism. Frontiers Endocrinol. 2013; 4: 32.
- Rapley EA, Turnbull C, Al Olama AA, Dermitzakis ET, Linger R, Huddart RA, et al. A genome-wide association study of testicular germ cell tumor. Nat Genet. 2009; 41: 807-810.
- Turnbull C, Rahman N. Genome-wide association studies provide new insights into the genetic basis of testicular germ-cell tumour. Int J Androl. 2011; 34: 86-96.
- Kier MG, Lauritsen J, Mortensen MS, Bandak M, Andersen KK, Hansen MK, et al. Progostic factors and treatment results after bleomycin, epotoside, and cisplatin in germ cell cancer: a population based study. Euro Urol. 2017; 71: 290-298.
- Von der Maase H. Is a contralateral testicular biopsy in patients with unilateral germ cell testicular cancer indicated as a routine procedure? Acta Oncologica. 2005; 44: 523-525.
- Ping P, Gu BH, Li P, Huang YR, Li Z. Fertility outcome of patients with testicular tumor: before and after treatment. Asian J Androl. 2014; 16: 107-111.
- Oldenburg J, Dieckmann KP. Contralateral biopsies in patients with testicular germ cell tumours: What is the rationale? World J Urol. 2017; 35: 1161-1166.
Abstract
Background: The most common type of testicular cancer (TC) is the germ cell tumor, which occurs disproportionately in young men. Although most patients with TC undergo unilateral orchiectomy, contralateral testicular biopsy is still not routinely performed. A predictor of this tumor is germ cell neoplasia in situ (GCNIS), which can be detected by histological evaluation or immunohistochemistry (IHC) of the biopsy specimen. Because treatment varies by neoplasm type, early detection is important in patients with TC.
Materials and methods: A retrospective study was conducted to identify patients with TC who received contralateral biopsy during orchiectomy at our hospital from 2005 to 2016. All specimens were histologically evaluated by morphological characteristics to diagnose GCNIS. In 2011, biopsies were assessed with IHC for two immunomarkers, octamer-binding transcription factor 3/4 (OCT3/4) and placental alkaline phosphatase (PLAP), to detect GCNIS.
Results: In total, 233 patients with TC underwent contralateral biopsy at our hospital from 2005 to 2016. The routine use of immunohistochemistry for OCT3/4 and PLAP significantly improved the detection of GCNIS. Before 2011, GCNIS was diagnosed in 2% of cases. However, during 2011–2016, the routine use of OCT3/4 and PLAP markers detected GCNIS in 5.5% of cases.
Conclusion: The routine use of contralateral biopsies with IHC for OCT3/4 and PLAP improved the detection rate of GCNIS in patients with TC. Although routine contralateral biopsy with IHC is still controversial in some countries, we found the procedure to be effective for increasing early detection rates and improving the patient outcomes.
Keywords
Germ cell neoplasia in situ; Seminoma; OCT3/4; Testicular cancer; Contralateral biopsy
Citation
Vikström S, Linde B, Gadaleanu V, Colón E (2018) Usefulness of Contralateral Biopsy with Oct3/4 and Plap Marker Assessment to Detect Germ Cell Neoplasia In situ In Patients With Testicular Cancer. J Urol Res 5(2): 1103.
ABBREVIATIONS
TC: Testicular Cancer; GCNIS: Germ Cell Neoplasia in situ; IHC: Immunohistochemistry; PLAP: Placental Alkaline Phosphatase; OCT ¾: Octamer-Binding Transcription factor 3/4
INTRODUCTION
Testicular cancer (TC) is the most prevalent cancer in Swedish adolescent and adult males between the ages of 15 and 49 years. Each year, approximately 600 patients are diagnosed with TC in Norway and Sweden [1]. Although the incidence of TC varies geographically, Scandinavian countries have reported some of the highest TC incidence rates worldwide. Approximately 1% of Norwegian men and 0.5% of Swedish men are expected to be diagnosed with TC by the age of 75 years [1]. In the 1960s, this cancer was the most frequent cause of death in young Scandinavian males. However, with the advent of the chemotherapeutic drug cisplatin in the late 1970s, treatment for TC improved, and today more than 95% of all patients diagnosed with TC are cured [1-3]. In the United States, 8,720 new cases of TC were predicted in 2016, with an estimated 380 deaths due to TC. Incidence rates of TC have been increasing and currently represent 0.5% of all new cancer cases in the United States [2].
Testicular germ cell neoplasia in situ (GCNIS), defined as WHO 2016`s classification, is the precursor of germ cell tumors. The incidence of GCNIS in Northern Europe populations is 3.5–6%, and previous studies have shown that these premalignant lesions can progress into invasive tumors within a period of 7 years [4- 6]. Today, in most European countries, contralateral biopsies are performed for all patients with TC, and follow-up studies have revealed only occasional false-negative results. This practice has remarkably decreased the necessary follow-up time following a negative biopsy from 25 years to 5 years [7-11].
To detect GCNIS the routine for detection looks different in different hospitals. Some clinics do routine contralateral biopsy on all TC patients and some clinics do routine contralateral biopsy on only high risk groups [3]. Risk factors of testicular cancer are age, race, and family history of testicular cancer, HIV infection, previous GCNIS, or TC [12]. Prior infertility, cryptorchidism and atrophic testis are considered high risk groups [6]. For patients with a history of TC, their risk of developing a contralateral testicular tumor is increased 25-fold [3]. Men aged 20-45 years are at a greater risk of developing TC than older age groups. In addition, white men have a higher probability of developing TC than black men [12]. Even if a cryptorchid testis is corrected with surgery, these patients still have an increased risk of developing testis cancer, indicating epigenetic changes [13].
Biological process of germ cell neoplasia in situ
GCNIS is considered a precursor lesion of most germ cell tumors, including seminomous and non-seminomous. This biological process is known to start with the pluripotent embryonic stem cell, which differentiates into gonocytes. The transcription factor SRY is expressed by gonadal stem cells, resulting in Sertoli cells when in the presence of a Y-chromosome. Sertoli cells produce a microenvironment where gonocytes differentiate into spermatogonia and prospermatogonia. During this differentiation, some genes are expressed and some are silenced, which can lead to malignant differentiation within the seminiferous tubules [14,15]. Studies by Rapley et al., have revealed that several different genetic factors and mutations on chromosomes 5, 6, 9, and 12 predispose males to TC [14]. If GCNIS cells divide and maintain their phenotype, a seminomous germ cell tumor can form. If GCNIS cells are modified and divide, a non-seminomous germ cell tumor can arise. The only germ cell tumor not associated with GCNIS is the spermatocytic tumor [14,15].
Detection of germ cell neoplasia in situ
Although its routine use is controversial in some countries, testicular biopsy is the only definitive method for confirming the presence of GCNIS and is performed in many countries today [16]. Initially, when GCNIS was thought to be distributed across the testicular tissue, a random biopsy was considered to be adequate for diagnosis. However, more recent studies have revealed that GCNIS is distributed focally or in lobes [4]. Because of this evidence, a biopsy of a 3 × 3 mm section of craniolateral testicular tissue is currently recommended. This sample size should minimize injury to the intratesticular blood vessels and be adequate for diagnosing GCNIS when at least 10% of the testicular volume is involved [5]. For 7 years, Dieckmann [6] followed 1,859 patients with negative GCNIS biopsy results and found that only 42 eventually developed GCNIS. These findings indicate that this contralateral biopsy method has a falsenegative rate of less than 0.5%. False-negative biopsies may occur due to small biopsy size, errors in sampling or fixation, and specimen trauma by surgical instrument. In particular, formalin can severely shrink the seminiferous tubules, leading to artefacts that impede microscopic examination.
Study design and hypothesis
From 2011 to 2016, our hospital performed orchiectomies on approximately 25 patients with TC per year. For 98% of these patients, contralateral testicular biopsy was performed at the time of orchiectomy. From each biopsy, IHC was employed to assess immunomarkers octamer-binding transcription factor 3/4 (OCT3/4) and placental alkaline phosphatase (PLAP) for detecting GCNIS. This study aimed to evaluate the usefulness of contralateral biopsy with IHC for the detection of GCNIS in patients with testicular cancer.
MATERIALS AND METHODS
Patient selection
This study was approved by the Regional Ethical Review Board in Stockholm (Karolinska Institute), approval number 2013:215. A retrospective search of computerized pathology journal database (Sympathy) from January 2005 to January 2016 identified 233 consecutive orchiectomy specimens that contained germ cell tumors. This study included patients with TC with a record of a contralateral biopsy diagnosed in two hospitals, South General Hospital (Södersjukhuset) and Karolinska Hospital in Huddinge. Patients from 2000-2005 were excluded because digital journals were not available. Although all patients with TC underwent contralateral biopsy from 2005 to 2016, only randomized specimens from 2005 to 2010 were stained immunohistochemically with subjectively chosen markers, including D2-40 and PLAP at Karolinska Hospital in Huddinge. From 2011 to 2016, all contralateral biopsy specimens were stained for the same two markers, PLAP and OCT3/4 at South General Hospital (Södersjukhuset). For all patients, only one biopsy was performed with a specimen size of 3–5 mm in length.
Immunohistochemistry
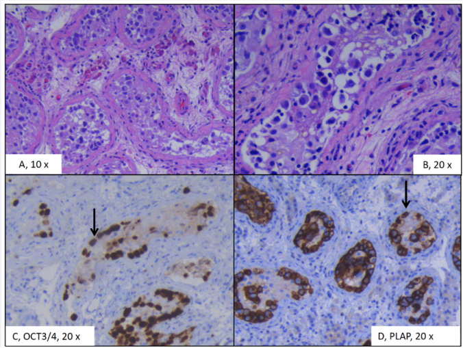
All specimens were embedded in paraffin and serially cut into 4-mm-thick sections. Next, these tissue sections were deparaffinized, rehydrated, and rinsed with phosphate-buffered saline (PBS) for 5 min. Then, the sections were submerged in 0.01 M citrate buffer (pH, 6) and heated in a microwave oven (500 W) for three 5-min cycles, followed by being washed with Trisbuffered saline (1:10) (pH, 7.4) and cooled for 20 min. Endogenous peroxidase activity was inhibited by immersing the tissue sections with 3% hydrogen peroxide in methanol for 30 min. Then, the sections were incubated at 4°C overnight with the following primary monoclonal antibodies: OCT3/4 mouse antibody (1:100 in PBS; clone D07), and PLAP mouse antibody (1:50 in PBS; clone 30-9; both antibodies from Ventana Medical Systems Inc., USA). The tissue sections were washed with PBS and then incubated for 20 min at room temperature with biotinylated anti-mouse secondary antibody (diluted 1:100), followed by incubation for 20 min with horseradish peroxidase–labeled streptavidin (diluted 1:10). The sections were then exposed to a chromogen, diaminobenzidine substrate solution, consisting of 0.6 mg/mL in Tris-buffered saline (pH 7.6) with 12 mL 3% hydrogen peroxide. Finally, sections were counterstained with Mayer hematoxylin, dehydrated, and mounted. Tumor tissue with documented GCNIS positive results served as the positive controls for PLAP and OCT3/4 expression. For the negative controls, distilled water was used in place of the primary antibody (Figure 1).
Figure 1: The figure illustrated a contra-lateral biopsy of a man 28 year old with intratubular germinal cell neoplasia which was verify by the positivity of OCT3/4 and PLAP. A. Hematoxylin-eosin showing the tubular structures with atypical cells. B. High scale with atypical germ cells, larger than spermatogonia with prominent irregular nucleus, distinct nucleoli, coarse clumps of chromatin, and abundant cytoplasm, within the seminiferous tubules, located in a single row at the thickened basement membrane. C. Immunohistochemical staining for OCT3/4 showing positivity for germ cells. D. Immunohistochemical staining for PLAP showing positivity for germ cells. Both markers corroborate the finding of intratubular germinal cell neoplasia.
Histological evaluation of germ cell neoplasia in situ
Patients were diagnosed with GCNIS based on specific histological criteria as defined before by Karellas et al, [10]. Typically, atypical germ cells are larger than spermatogonia and characterized by a noticeably irregular nuclei, distinct nucleoli, coarse clumps of chromatin, and abundant cytoplasm. These cells are located in the seminiferous tubules within a single row at the thickened basement membrane [8-10]. The only other type of cell present is the Sertoli cell [10]. Tubules indicating GCNIS appear atrophic, contain microcalcifications, and are often seen in the testicular parenchyma encircling the tumor [12]. Other features associated with GCNIS are lymphocytic invasion, hyaline bodies, and Leydig cell hyperplasia [12].
Immunohistochemical staining for detecting germ cell neoplasia in situ
To detect GCNIS we used two different immunohistochemical markers; OCT3/4 and PLAP. The nuclear marker OCT3/4 is highly specific and sensitive for GCNIS, seminomas, and embryonal carcinomas in the testis [13-19]. The staining of PLAP in GCNIS cells shows an overexpressed intracytoplasmatic staining reaction in the paranuclear area [20]. We evaluated staining as positive if tumour cells were nuclei positive with OCT3/4 and membrane positive with PLAP.
Evaluation
Two pathologists with a subspecialty in uropathology (V.G., E.C.) reviewed all hematoxylin and eosin–stained slides and all immunohistochemically stained slides. All tumors were staged in accordance with the American Joint Committee on Cancer classification for testicular tumors (6th edition) [7]. In addition, specimens were assessed morphologically for the presence of histological factors that may predict recurrence: tumor size (as recorded by gross description), tunica albuginea invasion, lymphovascular invasion, and rete testis invasion. Other characteristics recorded included patient age, presence of GCNIS, and presence or absence of spermatogenesis. Rete testis invasion was classified as either pagetoid or interstitial [19-21]. The presence of lymphovascular invasion was determined by tumor cell clusters adhering to the wall of a partially endothelial-lined space [22].
Statistical analyses
All statistical analyses were performed using the Microsoft EXCEL software program. A two-tailed t test was used and P-value less than 0.05 determined statistical significance.
RESULTS
In total, 233 patients with TC who underwent an orchiectomy between 2005 and 2016 at our hospital were included in this study. Of these patients, 125 (53.6%) cases were classic seminomas. The remaining cases included 80 mixed germ cell tumours (34,3%), 16 cases of embryonal type (7%) and two cases of yolk sac tumors (1%). Patient ages ranged from 18 to 70 years (Table 1).
Table 1: Characteristics of tumors in patients with testicular cancer who underwent orchiectomy and contralateral biopsy (2005–2016)Type or copy/paste your text here].
|
Table 1: Characteristics of tumors in patients with testicular cancer who underwent orchiectomy and contralateral biopsy (2005–2016)Type or copy/paste your text here]. |
|||||
|
Year |
Tumor type |
N |
Tumor size (cm) |
Lymphovascular invasion |
Rete testis invasion |
|
2016 |
Seminoma |
11 |
1.6-5.8 |
1 |
1 |
|
|
Embryonal |
6 |
2.0-10 |
1 |
1 |
|
|
Mixed germ cell tumor |
3 |
5.0-10 |
2 |
2 |
|
|
Teratoma |
3 |
1.5-5.0 |
0 |
0 |
|
2015 |
Seminoma |
12 |
1.5-5.2 |
0 |
3 |
|
|
Embryonal |
1 |
2.5 |
1 |
1 |
|
|
Mixed germ cell tumor |
7 |
2.2-3.5 |
1 |
1 |
|
2014 |
Seminoma |
15 |
0.7-4 |
1 |
5 |
|
|
Embryonal |
2 |
0.2-3.5 |
1 |
1 |
|
|
Mixed germ cell tumor |
7 |
0.3-5.7 |
1 |
4 |
|
2013 |
Seminoma |
10 |
1.3-4.2 |
1 |
4 |
|
|
Teratoma |
1 |
1.7 |
0 |
0 |
|
|
Mixed germ cell tumor |
7 |
2.7-6 |
3 |
3 |
|
2012 |
Seminoma |
15 |
1.4-3.9 |
5 |
8 |
|
|
Mixed germ cell tumor |
13 |
2.2-4.4 |
7 |
8 |
|
2011 |
Seminoma |
14 |
0.7-4 |
3 |
6 |
|
|
Embryonal |
0 |
|
0 |
0 |
|
|
Mixed germ cell tumor |
14 |
0.5-6.5 |
4 |
4 |
|
|
Teratoma |
2 |
0.2-13 |
0 |
0 |
|
2010 |
Seminoma |
10 |
1.5-4.7 |
1 |
4 |
|
|
Embryonal |
2 |
1.6-2.4 |
0 |
2 |
|
|
Mixed germ cell tumor |
8 |
1.5-5.5 |
5 |
4 |
|
|
Teratoma |
3 |
1.8-2.5 |
0 |
0 |
|
|
Yolk sac tumor |
1 |
7.5 |
1 |
1 |
|
2009 |
Seminoma |
10 |
1.5-6.5 |
1 |
1 |
|
|
Embryonal |
1 |
2 |
0 |
0 |
|
|
Mixed germ cell tumor |
1 |
1.5 |
1 |
0 |
|
2008 |
Seminoma |
2 |
1.7-3.8 |
0 |
0 |
|
|
Embryonal |
1 |
0.9 |
0 |
1 |
|
|
Mixed germ cell tumor |
8 |
1.4-4.5 |
4 |
4 |
|
|
Yolk sac |
1 |
5 |
1 |
0 |
|
2007 |
Seminoma |
12 |
1.2-26 |
4 |
5 |
|
|
Embryonal |
1 |
1.6 |
0 |
0 |
|
|
Mixed germ cell tumor |
6 |
1-10.5 |
2 |
1 |
|
2006 |
Seminoma |
11 |
1.5-7 |
4 |
3 |
|
|
Embryonal |
2 |
2.5-4.8 |
0 |
0 |
|
|
Mixed cell tumor |
3 |
3-4.5 |
0 |
0 |
|
|
GCNIS |
1 |
2 |
0 |
0 |
|
2005 |
Seminoma |
3 |
6-7.5 |
3 |
3 |
|
|
Embryonal |
0 |
0 |
0 |
0 |
|
|
Mixed cell tumor |
3 |
3.7-13 |
1 |
1 |
From 2011 to 2016, mixed tumors were larger in size than other tumor types; 36% of these tumors displayed lymphovascular invasion and 43% revealed rete testis invasion. Among seminoma tumors, 28.6% exhibited lymphovascular invasion, and 35% showed rete testis invasion. A representative result is presented in Table 1.
From 2005 to 2010, a total of 90 contralateral biopsies were performed, and 54 (60%) of these were immunohistochemically stained with PLAP and OCT3/4. Of these stained specimens, only two (2%) were identified morphologically as GCNIS and were positive for OCT3/4 and PLAP. However, from 2011 to 2016, immunohistochemical markers PLAP and OCT3/4 were routinely used in our laboratory. During this period, 143 contralateral biopsies were performed. Of these specimens, eight (6%) were positive for OCT3/4 and PLAP. In 2016, the number of GCNIS identified by immunohistochemical markers rose to 13% (3 out of 23 cases). A representative result is presented in Table 2.
Table 2: GCNIS detection rate of contralateral biopsy in patients with testicular cancer (2005–2016)
|
Year |
TC cases |
GCNIS |
OCT3/4 + |
PLAP + |
Presence of GCNIS in all TC cases (%) |
|
2016 |
23 |
3 |
3 |
3 |
13 |
|
2015 |
20 |
1 |
1 |
1 |
5 |
|
2014 |
24 |
1 |
1 |
non-specific* |
4.16 |
|
2013 2012 2011 2010 2009 2008 2007 2006 2005 Total |
18 28 30 24 12 12 19 17 6 233 |
1 0 2 1 0 1 0 0 0 10 |
1 0 2 1 0 1 Not done Not done Not done 10 |
1 0 2 1 0 1 Not done Not done Not done 9 |
5.5 0 8.33 4.16 5.5 8.33 0 0 0 0 |
*Staining was non-specific due to technical problems in laboratory.
The difference in GCNIS detection between the two periods of time (2005–2010, 2011–2016) was significant (P= 0.029945).
DISCUSSION
The accuracy of GCNIS detection is of great clinical importance. Patients with TC have a 5% chance of developing GCNIS in the contralateral testis [6]. Because GCNIS is considered to be the precursor of testicular germ cell tumors, the presence of these cells in the contralateral testis can predict recurrence. By detecting these cells early, we can improve health outcomes of these patients as demonstrated in our study and others [11,23- 27]. The presence of GCNIS has a characteristic morphological appearance under histological evaluation. However, this lesion can be difficult to detect using this method alone which also was the case in our study finding 2% GCNIS in specimen’s not using immunohistochemistry and 6% using immunohistochemistry. In a previous cohort study of men with infertility who underwent testicular biopsy, van Casteren et al. [28], demonstrated that using only morphological characteristics to detect GCNIS in H&E-stained slides underdiagnoses GCNIS in testicular biopsies. Although GCNIS was morphologically diagnosed by a specialized pathologist, immunohistochemistry added an extra diagnostic yield of 20% [29-32]. Raypert-De Meyts et al., also recommended using immunohistochemical staining with at least two different markers to detect GCNIS [13].
In general, patients with TC have a good prognosis and most often can be cured, especially if TC is detected early [16]. Although patients with localized TC have a 5-year survival rate of approximately 99%, this rate decreases for those with regional dissemination (96%) and those with distant dissemination (73%) [27-36]. Thus, some patients with disseminated TC do, in fact, occasionally die from the disease. Danish study by Kier et al., from 2017, 1889 patients with germ cell tumors who received first-line BEP (bleomycin, etoposide, cisplastin) were identified, including 1,332 patients with disseminated disease and 557 patients with relapse from stage 1 disease [35]. By contrast, the cure rate in the early 1960s with actinomycin D chemotherapy was 5–10% [37]. Because this lesion always progresses into invasive carcinoma, the detection and treatment of GCNIS has a meaningful effect on survival rates [32].
Not all medical professionals recommend routine contralateral biopsies. In the United States, this procedure is not routinely practiced because of the low incidence of contralateral GCNIS [26] and the emotional distress of patients who receive GCNIS positive biopsy results [27]. Another argument against routine contralateral biopsy centers on the markedly improved survival rates of patients with TC since the introduction of platinum-based chemotherapy. For example, in England and Wales, the one-year survival of patients with TC (all stages) has increased from 83% in 1971–1972 to 99% in 2010–2011 [25,28,30,31,34].
In Nordic Europe, contralateral biopsy is performed in all patients with TC decreasing the follow-up time remarkably. Von der Maase and colleagues estimated the risk of developing invasive growth after a positive GCNIS biopsy to be 40% within 3 years and 50% within 5 years. Significantly, after an 8 years follow-up period, none of their 473 patients with a negative GCNIS biopsy developed contralateral TC [25]. Testicular biopsy for detecting GCNIS has a false-negative rate of approximately 0.5% [28-31]. Importantly, it is insufficient to limit contralateral biopsies to patients with a high risk of GCNIS. When the procedure is limited to high risk patients, more than half of GCNIS cases are overlooked [6]. In a study by Dieckmann and Loy, even though the risk of contralateral GCNIS was 4.3-fold greater in patients with testicular atrophy, 64% of GCNIS cases were identified in normal-sized, non-cryptorchid testes [6]. Based on biopsy results during orchidectomy, contralateral GCNIS showed an incidence rate of 4–6% [6].
Patients with TC who do not undergo contralateral biopsy must be closely monitored for at least 25 years and possibly for the remainder of their lives. This monitoring places psychological and financial burdens on the patient that are inefficient and avoidable. Although routine biopsy of the contralateral testis has been associated with an adverse effect on fertility [36], our patients have never reported this side effect.
In conclusion, our study demonstrates using routine contralateral biopsy with histological and immunohistochemical staining increased the finding rates of GCNIS and give important information to the clinicians for follow up and treatment decisions . In our clinic the routine has been used in the last five years with low false negative biopsy (0.5%), minimal additional costs since it is only one biopsy and none surgery-related complications, but still not clear recommendations at the European Association of Urology and the European Society of Medical Oncology [38].
Follow up studies in men with unilateral testis cancer who did not have a contralateral biopsy in our populations may be needed to verify the information found in other populations. But in our hands the result showed clear advantages of one small biopsy as described above.
ACKNOWLEDGMENTS
We would like to thank Dr Olle Soder, Karolinska Institutet, Dr. Peter Zickert, site manager at South Hospital, and Caroline Ferbe, site manager at Unilabs Stockholm, for their support during the project.
