Loading

Journal of Veterinary Medicine and Research

Two Different Neoplasms in Cougar (Puma concolor): Pheocromocytoma and Ovarian Fibroma

Case Report | Open Access | Volume 9 | Issue 2

  • 1. Parque Zoológico Municipal Quinzinho de Barros (PZMQB), Sorocaba, São Paulo, Brazil
  • 2. Wild Animals Graduate Program – UNESP Botucatu, Botucatu, São Paulo, Brazil
  • 3. University of Sorocaba (UNISO), Sorocaba, São Paulo, Brazil
  • 4. Vetver Veterinary Services, Sorocaba, São Paulo, Brazil
  • 5. Soronemer Pathological Exams, Sorocaba, São Paulo, Brazil
  • 6. PHD Pathology Surgical and Molecular Pathology, São Paulo, São Paulo, Brazil
+ Show More - Show Less
Corresponding Authors
Mayara Grego Caiaffa, Parque Zoológico Municipal Quinzinho de Barros (PZMQB), Rua Comandante Salgado, 305 – Vila Hortência, Sorocaba – SP, Brazil, Tel: 55 11 98076-3800; Email: mayaracaiaffa@gmail.com
Abstract

The cougar (Puma concolor) is the second largest felid species in the Americas and the fourth largest in the world. In literature, there is abundant data on domestic animals’ neoplasms; however information on neoplasms occurring in wild animals is limited. This study was carried out on a 33 kg female, adult cougar specimen kept for approximately 16 years at Sorocaba Zoo. Hyporexia, progressive weight loss and increased abdominal volume were reported by the animal’s handler. At necropsy, ascites with serosanquinolent content, pyometra, peri-mammary lipoma and presence of a mass in the left adrenal region and in the left ovary region were observed. The adrenal formation was 7 x 7 cm, dense and vinaceous in color. Samples of all organs and masses were collected and stored in 10% formalin and, afterwards, processed by the routine technique for histopathological evaluation. The immunohistochemical examination of the adrenal mass showed an infiltrative growth of neuroendocrine origin, positive for Cromagranin and Synaptophysin and negative for AE1 and AE3 (cytokeratin), compatible with pheochromocytoma. The zoos prolong the life expectancy of their animals, when compared to that of wildlife individuals, resulting in higher incidence rates of neoplasms. Preventive veterinary examinations of wild animal collections remain a good strategy for conserving biodiversity. Further studies should be carried out to enable diagnosis in early stages, thus allowing a favorable prognosis for affected animals, with the possibility of therapeutic or surgical interventions. Data about neoplasms occurring in wild animals ex situ, might help in the conservation of species in situ.

Keywords

• Felid

• Immunohistochemistry

• Pathology

• Zoo

INTRODUCTION

The cougar (Puma concolor) has a uniformly colored pelage, varying in the dorsal region from yellow brown to reddish, with the belly and the inner part of the limbs being lighter. The average weight of an adult male can vary between 40 and 72 kg, while in females it varies from 34 to 48 kg [1]. Puppies are born with a dense pelage that varies from gray to beige, speckled with large brown spots. Its life expectancy is of 8 to 10 years, reaching up to 20 years when kept under human care [2]. The cougar is one of largest felid species in the world. It is the most widespread terrestrial mammal in the Neotropical region, originally found from southern Canada to the southern tip of the South American continent [3]. Regarding the conservation status in nature, this species is considered of least concern according to the International Union for Conservation of Nature and Natural Resources (IUCN) [4]. The effective population size has been calculated around 4,000 individuals and in three generations, or 21 years, it is estimated that a decline of more than 10% of the national subpopulation could occur due to the suppression and fragmentation of their habitat for agricultural expansion and mining; in addition to the exploitation of wood for charcoal. Besides, the elimination of individuals by hunting; retaliation for predation of domestic animals; fires (mainly in sugarcane fields); and motor-vehicle collisions also significantly contribute to population reduction in several areas [5]. In literature, there is abundant data on domestic animals’ neoplasms; however information on neoplasms occurring in wild animals is limited. Most studies in wild animals refer to a single species or a single type of tumor [6-10]. Biopsy a necropsy examination is a valuable tool for diagnosis [11]. Histological classification with the aid of immunohistochemical staining results in a much more accurate diagnosis. Neoplasm studies in wild animals with necropsy examination associated with immunohistochemistry have been rarely reported. Ovarian tumors are classified into three categories: epithelial, germ cell, and stromal. Fibroma, thecoma and gonadoblastoma are tumors of the sex cords that are part of the stroma [12]. Fibroma is a benign tumor of firm consistency, whitish, and spherical or ovoid in shape. Ovarian fibroids are rare in most animal species, although frequent in humans [13]. Pheochromocytomas originate from chromaffin cells present in the adrenal medullary region, capable of producing, storing, and secreting catecholamines (eg, epinephrine, norepinephrine). Ante-mortem diagnosis is complex and rare, requiring a high index of suspicion by the veterinarian staff, due to the paroxysmal and nonspecific nature of clinical signs and lack of specific and sensitive diagnostic tools [14], demonstrating the importance of necropsy examination as an essential tool for the diagnosis of neoplasms in wild animals under human care. Sorocaba Municipal Zoo has an estimated squad of 1,250 wild animals, divided into 340 different species in an area of 12.8 hectares. This work discusses the carcinogenesis of two neoplasms, a unilateral ovarian fibroma and a unilateral pheochromocytoma in an adult female puma (Puma concolor), confirmed by post-mortem histopathological results. This study reports two rare neoplasms in wild felids, demonstrating the importance of research in wild animals.

CASE PRESENTATION

This study was carried out on a 33 kg female, adult cougar (Puma concolor) specimen kept for approximately 16 years at Sorocaba Zoo. Hyporexia, progressive weight loss and increased abdominal volume were reported by the animal’s handler. The patient was forwarded to the Zoo Veterinary Hospital for collection of biological material and clinical, ultrasound and radiographic examination. The anesthetic protocol used was a combination of 10% ketamine hydrochloride at a dose of 8 mg/kg and 5% xylazine hydrochloride at a dose of 0.5 mg/kg, administered intramuscularly through physical restraint in a press cage. Clinical examination revealed a low body condition score of the animal and a large mass in the mid-abdominal region with approximately 40 cm in diameter.

The ultrasound examination revealed an irregular heterogeneous formation, occupying the entire mid-abdomen, overlapping intestinal loops, lymph nodes, reproductive system, adrenals, pancreas and spleen, impossibilitating its origin. The radiographic examination of the abdomen and thorax, in ventrodorsal and latero-lateral projection in right decubitus, showed an area of greater radiopacity of soft tissues distributed throughout the abdomen, making it difficult to visualize other organs, which may be compatible with abdominal mass. In the chest, there were no metastatic nodules in lung parenchyma that could be observed in radiographic evaluation, although areas of mineral radiopacity were distributed throughout the lung parenchyma compatible with osteomas, which are common in senility.

The veterinary staff opted for the surgical removal of the mass, but the animal died before the procedure. At necropsy, ascites with serosanquinolent content, pyometra, peri-mammary lipoma and presence of a mass in the left adrenal region and in the left ovary region were observed. The adrenal formation was 7 x 7 cm, dense and vinaceous in color. Samples of all organs and masses were collected and stored in 10% formalin and, afterwards, processed by the routine technique for histopathological evaluation.Histopathological examination of the ovary showed an ovarian stroma with expansive growth formed by fusocellular cells with irregular nuclei and hyperchromasia, granular eosinophilic cytoplasm and bands of connective tissue and neovascularization, compatible with ovarian fibroma (Figure 1).

https://www.jscimedcentral.com/public/assets/images/uploads/image-1764851754-1.JPG

Figure 1 A) Ovarian fibroma. Ovary mass with 5 kg, 40 cm in length and 40 cm in width in the largest axes, cavitations on section and extensive vascularization B) Histopathological section shows expansive growth formed by fusocellular cells with irregular nuclei hyperchromasia and granular eosinophilic cytoplasm. 20X, H&E.

The adrenal histopathological examination showed an infiltrative growth lesion of neuroendocrine origin consisting of cellular arrangements in solid and trabecular blocks, hyperchromic, voluminous and irregular nuclei of eosinophilic cytoplasm, and vascular proliferation permeating neoplastic cells, compatible with pheochromocytoma (Figure 2).

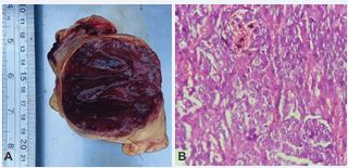
https://www.jscimedcentral.com/public/assets/images/uploads/image-1764851845-1.JPG

Figure 2 A) Pheochromocytoma. Adrenal mass with 7 cm long and 7 cm wide, dense, and vinaceous in color. B) Histopathological section shows an infiltrative growth lesion of neuroendocrine origin consisting of cellular arrangements in solid and trabecular blocks, hyperchromic, voluminous and irregular nuclei of eosinophilic cytoplasm. 40X, H&E.

DISCUSSION

In literature, most studies in wild animals portray a single species or a single kind of tumor [9]. There are reports of neoplasms in the nervous [15,13], liver [17,18], respiratory [17,19], gastrointestinal [20,21], reproductive [22], endocrine [17,23,9], and skin [24,25], systems of cougars. Nevertheless, reports of endocrine system neoplasms are rare in wild felids.

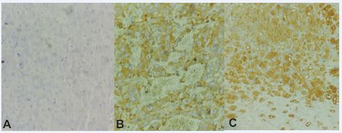
https://www.jscimedcentral.com/public/assets/images/uploads/image-1764851937-1.JPG

Figure 3 A) Infiltrative growth of neuroendocrine origin. Negative for AE1 and AE3 (cytokeratin) 40X, H&E. B) Infiltrative growth of neuroendocrine origin. Positive for Synaptophysin 40X, H&E. C) Infiltrative growth of neuroendocrine origin. Positive for Chromagranin 20X, H&E.

Pheochromocytomas are commonly reported in ruminants, canids, and new world primates, but there are rare reports of adrenal pheochromocytoma in wild felids, although some studies have already been reported in clouded leopard (Neofelis nebulosa) [26], tiger (Panthera tigris) [27], and jaguar (Pantehra onca) [28]. Pheochromocytomas are often large (10 cm or more in diameter), firm and encapsulated, and typically replace most of the affected adrenal gland [26], similar to what is described in this report. According to Corner (2017), 25% of pheochromocytomas are bilateral and 20% showed metastasis, unlike our report in which the neoplasm was unilateral and did not present metastasis.

The diagnosis of pheochromocytoma confirmed by immunohistochemistry demonstrated positive neuroendocrine origin for Chromagranin and Synaptophysin, corroborating other studies [29]. Confirmation of the diagnosis by immunohistochemistry shows the importance of performing additional tests for accurate diagnosis. Study demonstrated that ultrasound exam does not have 100% diagnostic accuracy in the case of pheochromocytoma [30], as only masses larger than 2 cm in diameter can be detected [31]. However, confirmation of the topography, as well as details of the textural aspect and involvement of adjacent tissues, helps in the differential diagnosis. There is a relationship between the increase in life expectancy of wild cats in zoos or under humans care and the greater incidence of neoplasms diagnosed. The animal subject of this report was of high age, which is a factor that might have influenced the onset and development of the tumors [32]. Comparative studies are a useful tool to learn more about the risk of specific species to different neoplasms and to better tailor the preventive care, monitoring, and treatment of the animals [10]. Studies have found a good statistical correlation between air pollution and cancer incidence [33,34]. Environmental pollution by genotoxic agents implies an increase in the rate of mutations. There are two possibilities as to which cell type undergoes the mutation. In germinated cells, mutations can increase the incidence of genetic diseases in future generations. In somatic cells the adverse effect will be an increase in the number of cancer cases [35].

The vast majority of cancers arise independently in each individual animal in response to multiple ranges of causal factors, including chemical or irradiating carcinogens, oxygen free radicals associated with aging, and interactions of these with oncogenes and tumor-suppressing genes and viruses [36]. As with many human cancers, some wildlife cancers are attributable to environmental contaminants. For example, the cancers in belga whales (Delphinapterus leucas) that are related to polycyclic aromatic hydrocarbons [37] and mesotheliomas those are strongly associated with prolonged exposure to pollutants, the asbestos fibers [27].

CONCLUSION

Clinical aspects and occurrence of neoplasms are still unknown in many species of wild animals. Further studies should be carried out to enable diagnosis in early stages, thus allowing a favorable prognosis for affected animals, with the possibility of therapeutic or surgical interventions. Data about neoplasms occurring in wild animals ex situ, might help in the conservation of species. The post-mortem examination and the results of the histopathological and immunohistochemical tests were decisive for the diagnosis of the patient’s cause of death. According to Brazilian legislation, post-mortem examinations must be carried out in wild animals from a zoo. The zoos prolong the life expectancy of their animals, when compared to that of wildlife individuals, resulting in higher incidence rates of neoplasms. Preventive veterinary examinations of wild animal collections remain a good strategy for conserving biodiversity.

REFERENCES
  1. Sunquist ME & Sunquist FC. Family Felidae (cats). In: Wilson, D.E. & Mittermeier, R.A. (eds.). Handbook of the mammals of the world. Carnivores. Lynx Editions. 2009; 1: 727.
  2. Adania C H, Silva JC, Fellipe PAN. CARNIVORA – FELIDAE (Onça, Suçuarana, Jaguatirica e Gato-do-Mato). In:  Cubas ZS, Silva JCR, Catão-Dias JL. Tratado de animais selvagens – medicina veterinária, 2ª edn. Roca. 2014; 779-818.
  3. Currier MJ. Felis concolor. Mammalian Species. 1983; 200: 1-7.
  4. Nielsen C, Thompson D, Kelly M. & Lopez-Gonzalez CA. 2015. Puma concolor (errata version published in 2016). The IUCN Red List of Threatened Species 2015.
  5. De Azevedo FC, Lemos FG, De Almeida LB, De Campos CB, De Mello BB, De Paula RC, et al. Avaliação do risco de extinção da Onça-parda Puma concolor (Linnaeus, 1771) no Brasil. Biodiversidade Brasileira – BioBrasil. 2013; 107-121.
  6. Newman SJ, Smith SA. Marine mammal neoplasia: a review. Vet Pathol. 2006; 43: 865-80.
  7. Sykes JMT, Trupkiewicz JG. Reptile neoplasia at the PhiladelphiaZoological Garden, 1901-2002. J Zoo Wildl Med. 2006; 37: 11-9.
  8. Suedmeyer WK, Johnson G. Survey of neoplasia in red kangaroos (Macropus rufus), 1992- 2002, in a zoological collection. J Zoo Wildl Med. 2007; 38: 231-9.
  9. Owston MA, Ramsay EC, Rotstein DS. Neoplasia in felids at the Knoxville Zoological Gardens, 1979–2003. J Zoo Wildl Med. 2008; 39: 608-613.
  10. Moresco A, Muñoz KE, Gutiérrez F, Arias-Bernal L, Yarto-Jaramillo E, Teixeira RHF, et al. V. Taxonomic distribution of neoplasia among non- domestic felid species under managed care. Animals. 2020; 10: 1-10.
  11. Effron M, Griner L, Benirschke K. Nature and rate of neoplasia found in captive wild mammals, birds, and reptiles at necropsy. J Natl Cancer Inst. 1977; 59: 185-198.
  12. Giordano LA, Giordano MV, Oliveira R. Adnexal tumors in adolescence/ Adnexal tumors in adolescents. Adolescent Health. 2009; 6: 48-52.
  13. Seaman WJ. Canine ovarian fibroma associated with prolonged exposure to mibolerone. Toxicol Pathol. 1985; 13: 177-180.
  14. De Queiroz DLM, Arruda GNG, Lourenço PVA, Diógenes YP, DosSantos MH, Cabral LAR. (2017). FEOCROMOCITOMA EM PEQUENOSANIMAIS. Revista De Ciência Veterinária E Saúde Pública. 2017; 4: 166-175.
  15. Kondo H, Leone AM, Erlacher-Reid C, Gary J, Kiupel M, Farina LL, et al. Medium-grade astrocytoma in a cougar (Puma concolor). J Zoo Wildl Med. 956-960; 43: 956-960.
  16. Duhamelle A, Langlois I, Pey P, Tremblay J, Ruel H, Parent J, et al. Malignant paraganglioma in a cougar (Puma concolor). J Zoo Wildl Med. 2014; 45: 994-998.
  17. Kennedy GA, Strafuss AC. Multiple neoplasia in an aged cougar. TheJournal of Zoo Animal Medicine. 1976; 7: 24-26.
  18. Werner PR, Chiquito M, Pachaly JR. Estudo retrospectivo das neoplasias diagnosticadas em animais selvagens ou exóticos pelo Serviço de Patologia do Hospital Veterinário da Universidade Federal do Paraná entre 1974 e 1996. Archives of Veterinary Science. 1998; 3.
  19. Mathieu A, Garner MM. A retrospective study of neoplasia in nondomestic felids in human care, with a comparative literature review. Journal of Zoo and Wildlife Medicine. 2021; 52: 413-426.
  20. Yanai T, Masegi T, Hosoi M, Yamazoe K, Iwasaki T, Yagi T, et al. Gastric adenocarcinoma in a cougar (Felis concolor). J Wildl Dis. 1994; 30: 603-608.
  21. Yamazaki Y, Aono I, Ohya T, Shibahara T, Kadota K. Gastroduodenaladenocarcinomas and rectal adenoma in a cougar (Felis concolor)infected with Helicobacter-like organisms and spirochetes. J Vet MedSci. 2002; 64: 149-53.
  22. Cavalli GD, Malta MCC, Costa MELT. Neoplasia mamária em onça parda (Puma concolor) e leoa (Pantera leo). Clínica Veterinária. 2008; 77: 86-90.
  23. Li X, Steinberg H, Wallace C, Kallfelz FA, Johnson R, Anderson WI, et al. Functional thyroid follicular adenocarcinoma in a captive mountain lion (Felis concolor). Vet Pathol. 1992; 29: 549-551.
  24. Schulman FY, Krafft AE, Janczewski T, Mikaelian I, Irwin J, HassingerK. Cutaneous fibropapilloma in a mountain lion (Felis concolor). J Zoo Wildl Med. 2003; 34: 179-183.
  25. Sandoval BJ, Che’ amat A, Sabri J, Ramli MN. Intralesional vincristine use for treatment of squamous cell carcinoma in a puma (Puma concolor). J Zoo Wildl Med. 2013; 44: 1059-1062.
  26. Corner S, Walsh T, Padilla L, Macneill A, Wallig M, Kiupel M, et al. Histologic and immunohistochemical characterization of pheochromocytomas in 20 clouded leopards (Neofelis nebulosa). Vet Pathol. 2017; 54: 269-276.
  27. Junginger J, Hansmann F, Herder V, Lehmbecker A, Peters M, Beyerbach M, et al. Pathology in Captive Wild Felids at German Zoological Gardens. PLoS One. 2015; 10: e0130573.
  28. CD Port, ER Maschgan, J Pond, DG Scarpelli. Multiple neoplasia in ajaguar (Panthera onca). J Comp Pathol. 1981; 91: 115–122, 1981.
  29. De Ramos JA. Feocromocitoma: Relato de caso. Revista Brasileira de Análises Clínicas. 2020; 52: 395-9.
  30. Barthez PY, Marks SL, Woo J, Feldman EC. Matteucci, M. Pheochromocytoma in dogs: 61 cases (1984-1995). J Vet Intern Med. 272-278; 5: 272-278.
  31. Maher ER. Pheochromocytoma in the dog and cat: diagnosis and management. Seminars in Veterinary Medical Surgery (Small Animal). 1994; 3: 158-166.
  32. Miranda FR, Kimura KC, Côrrea SHR, Teixeira RHF, Fedullo JLD, Barbosa HS, et al. 2003. Incidência de neoplasia em felídeos na Fundação Parque Zoológico de São Paulo – Estudo retrospectivo 1971 a 2001. In: XXVII Congresso de Zoológico do Brasil. 2003.
  33. Reymão MSFR, Cury PM, Lichtenfels AJFC, Lemos M, Bathlenner CN, Conceição GMS, et al. Urbana air pollution enhances the formation of urethane induced lung tumors in mice. Environ Res. 1997; 74: 150-8.
  34. Cangerana-Pereira FA. Estudo exploratório da influência da poluição do ar na incidência de câncer por distrito do Município de São Paulo. São Paulo. 2000. 110 f. Dissertação (Mestrado em Ciências) - Faculdade de Saúde Pública, Universidade de São Paulo, São Paulo.
  35. Hemminki K, Veidebaum T. Environmental Pollution and Human Exposure to Polycyclic Aromatic Hydrocarbons in the East Baltic Region. Scand J Work Environ Health. 1999; 25: 33-39.
  36. Ruddon RW. Cancer Biology. 4th edn. Oxford UK: Oxford UniversityPress Inc. 2007; 568.
  37. Mccallum H, Jones M. Infectious cancers in wildlife. ConservationMedicine: Applied Cases of Ecological Health. 2012; 270-283.

Caiaffa MG, Silva ML, Friciello Teixeira RH, Silveira JP, Nemer VC, et al. (2022) Two Different Neoplasms in Cougar (Puma concolor): Pheocromocytoma and Ovarian Fibroma. J Vet Med Res 9(2): 1229.

Received : 01 Jul 2022
Accepted : 30 Jul 2022
Published : 30 Jul 2022
Journals
Annals of Otolaryngology and Rhinology
ISSN : 2379-948X
Launched : 2014
JSM Schizophrenia
Launched : 2016
Journal of Nausea
Launched : 2020
JSM Internal Medicine
Launched : 2016
JSM Hepatitis
Launched : 2016
JSM Oro Facial Surgeries
ISSN : 2578-3211
Launched : 2016
Journal of Human Nutrition and Food Science
ISSN : 2333-6706
Launched : 2013
JSM Regenerative Medicine and Bioengineering
ISSN : 2379-0490
Launched : 2013
JSM Spine
ISSN : 2578-3181
Launched : 2016
Archives of Palliative Care
ISSN : 2573-1165
Launched : 2016
JSM Nutritional Disorders
ISSN : 2578-3203
Launched : 2017
Annals of Neurodegenerative Disorders
ISSN : 2476-2032
Launched : 2016
Journal of Fever
ISSN : 2641-7782
Launched : 2017
JSM Bone Marrow Research
ISSN : 2578-3351
Launched : 2016
JSM Mathematics and Statistics
ISSN : 2578-3173
Launched : 2014
Journal of Autoimmunity and Research
ISSN : 2573-1173
Launched : 2014
JSM Arthritis
ISSN : 2475-9155
Launched : 2016
JSM Head and Neck Cancer-Cases and Reviews
ISSN : 2573-1610
Launched : 2016
JSM General Surgery Cases and Images
ISSN : 2573-1564
Launched : 2016
JSM Anatomy and Physiology
ISSN : 2573-1262
Launched : 2016
JSM Dental Surgery
ISSN : 2573-1548
Launched : 2016
Annals of Emergency Surgery
ISSN : 2573-1017
Launched : 2016
Annals of Mens Health and Wellness
ISSN : 2641-7707
Launched : 2017
Journal of Preventive Medicine and Health Care
ISSN : 2576-0084
Launched : 2018
Journal of Chronic Diseases and Management
ISSN : 2573-1300
Launched : 2016
Annals of Vaccines and Immunization
ISSN : 2378-9379
Launched : 2014
JSM Heart Surgery Cases and Images
ISSN : 2578-3157
Launched : 2016
Annals of Reproductive Medicine and Treatment
ISSN : 2573-1092
Launched : 2016
JSM Brain Science
ISSN : 2573-1289
Launched : 2016
JSM Biomarkers
ISSN : 2578-3815
Launched : 2014
JSM Biology
ISSN : 2475-9392
Launched : 2016
Archives of Stem Cell and Research
ISSN : 2578-3580
Launched : 2014
Annals of Clinical and Medical Microbiology
ISSN : 2578-3629
Launched : 2014
JSM Pediatric Surgery
ISSN : 2578-3149
Launched : 2017
Journal of Memory Disorder and Rehabilitation
ISSN : 2578-319X
Launched : 2016
JSM Tropical Medicine and Research
ISSN : 2578-3165
Launched : 2016
JSM Head and Face Medicine
ISSN : 2578-3793
Launched : 2016
JSM Cardiothoracic Surgery
ISSN : 2573-1297
Launched : 2016
JSM Bone and Joint Diseases
ISSN : 2578-3351
Launched : 2017
JSM Bioavailability and Bioequivalence
ISSN : 2641-7812
Launched : 2017
JSM Atherosclerosis
ISSN : 2573-1270
Launched : 2016
Journal of Genitourinary Disorders
ISSN : 2641-7790
Launched : 2017
Journal of Fractures and Sprains
ISSN : 2578-3831
Launched : 2016
Journal of Autism and Epilepsy
ISSN : 2641-7774
Launched : 2016
Annals of Marine Biology and Research
ISSN : 2573-105X
Launched : 2014
JSM Health Education & Primary Health Care
ISSN : 2578-3777
Launched : 2016
JSM Communication Disorders
ISSN : 2578-3807
Launched : 2016
Annals of Musculoskeletal Disorders
ISSN : 2578-3599
Launched : 2016
Annals of Virology and Research
ISSN : 2573-1122
Launched : 2014
JSM Renal Medicine
ISSN : 2573-1637
Launched : 2016
Journal of Muscle Health
ISSN : 2578-3823
Launched : 2016
JSM Genetics and Genomics
ISSN : 2334-1823
Launched : 2013
JSM Anxiety and Depression
ISSN : 2475-9139
Launched : 2016
Clinical Journal of Heart Diseases
ISSN : 2641-7766
Launched : 2016
Annals of Medicinal Chemistry and Research
ISSN : 2378-9336
Launched : 2014
JSM Pain and Management
ISSN : 2578-3378
Launched : 2016
JSM Women's Health
ISSN : 2578-3696
Launched : 2016
Clinical Research in HIV or AIDS
ISSN : 2374-0094
Launched : 2013
Journal of Endocrinology, Diabetes and Obesity
ISSN : 2333-6692
Launched : 2013
Journal of Substance Abuse and Alcoholism
ISSN : 2373-9363
Launched : 2013
JSM Neurosurgery and Spine
ISSN : 2373-9479
Launched : 2013
Journal of Liver and Clinical Research
ISSN : 2379-0830
Launched : 2014
Journal of Drug Design and Research
ISSN : 2379-089X
Launched : 2014
JSM Clinical Oncology and Research
ISSN : 2373-938X
Launched : 2013
JSM Bioinformatics, Genomics and Proteomics
ISSN : 2576-1102
Launched : 2014
JSM Chemistry
ISSN : 2334-1831
Launched : 2013
Journal of Trauma and Care
ISSN : 2573-1246
Launched : 2014
JSM Surgical Oncology and Research
ISSN : 2578-3688
Launched : 2016
Annals of Food Processing and Preservation
ISSN : 2573-1033
Launched : 2016
Journal of Radiology and Radiation Therapy
ISSN : 2333-7095
Launched : 2013
JSM Physical Medicine and Rehabilitation
ISSN : 2578-3572
Launched : 2016
Annals of Clinical Pathology
ISSN : 2373-9282
Launched : 2013
Annals of Cardiovascular Diseases
ISSN : 2641-7731
Launched : 2016
Journal of Behavior
ISSN : 2576-0076
Launched : 2016
Annals of Clinical and Experimental Metabolism
ISSN : 2572-2492
Launched : 2016
Clinical Research in Infectious Diseases
ISSN : 2379-0636
Launched : 2013
JSM Microbiology
ISSN : 2333-6455
Launched : 2013
Journal of Urology and Research
ISSN : 2379-951X
Launched : 2014
Journal of Family Medicine and Community Health
ISSN : 2379-0547
Launched : 2013
Annals of Pregnancy and Care
ISSN : 2578-336X
Launched : 2017
JSM Cell and Developmental Biology
ISSN : 2379-061X
Launched : 2013
Annals of Aquaculture and Research
ISSN : 2379-0881
Launched : 2014
Clinical Research in Pulmonology
ISSN : 2333-6625
Launched : 2013
Journal of Immunology and Clinical Research
ISSN : 2333-6714
Launched : 2013
Annals of Forensic Research and Analysis
ISSN : 2378-9476
Launched : 2014
JSM Biochemistry and Molecular Biology
ISSN : 2333-7109
Launched : 2013
Annals of Breast Cancer Research
ISSN : 2641-7685
Launched : 2016
Annals of Gerontology and Geriatric Research
ISSN : 2378-9409
Launched : 2014
Journal of Sleep Medicine and Disorders
ISSN : 2379-0822
Launched : 2014
JSM Burns and Trauma
ISSN : 2475-9406
Launched : 2016
Chemical Engineering and Process Techniques
ISSN : 2333-6633
Launched : 2013
Annals of Clinical Cytology and Pathology
ISSN : 2475-9430
Launched : 2014
JSM Allergy and Asthma
ISSN : 2573-1254
Launched : 2016
Journal of Neurological Disorders and Stroke
ISSN : 2334-2307
Launched : 2013
Annals of Sports Medicine and Research
ISSN : 2379-0571
Launched : 2014
JSM Sexual Medicine
ISSN : 2578-3718
Launched : 2016
Annals of Vascular Medicine and Research
ISSN : 2378-9344
Launched : 2014
JSM Biotechnology and Biomedical Engineering
ISSN : 2333-7117
Launched : 2013
Journal of Hematology and Transfusion
ISSN : 2333-6684
Launched : 2013
JSM Environmental Science and Ecology
ISSN : 2333-7141
Launched : 2013
Journal of Cardiology and Clinical Research
ISSN : 2333-6676
Launched : 2013
JSM Nanotechnology and Nanomedicine
ISSN : 2334-1815
Launched : 2013
Journal of Ear, Nose and Throat Disorders
ISSN : 2475-9473
Launched : 2016
JSM Ophthalmology
ISSN : 2333-6447
Launched : 2013
Journal of Pharmacology and Clinical Toxicology
ISSN : 2333-7079
Launched : 2013
Annals of Psychiatry and Mental Health
ISSN : 2374-0124
Launched : 2013
Medical Journal of Obstetrics and Gynecology
ISSN : 2333-6439
Launched : 2013
Annals of Pediatrics and Child Health
ISSN : 2373-9312
Launched : 2013
JSM Clinical Pharmaceutics
ISSN : 2379-9498
Launched : 2014
JSM Foot and Ankle
ISSN : 2475-9112
Launched : 2016
JSM Alzheimer's Disease and Related Dementia
ISSN : 2378-9565
Launched : 2014
Journal of Addiction Medicine and Therapy
ISSN : 2333-665X
Launched : 2013
Annals of Public Health and Research
ISSN : 2378-9328
Launched : 2014
Annals of Orthopedics and Rheumatology
ISSN : 2373-9290
Launched : 2013
Journal of Clinical Nephrology and Research
ISSN : 2379-0652
Launched : 2014
Annals of Community Medicine and Practice
ISSN : 2475-9465
Launched : 2014
Annals of Biometrics and Biostatistics
ISSN : 2374-0116
Launched : 2013
JSM Clinical Case Reports
ISSN : 2373-9819
Launched : 2013
Journal of Cancer Biology and Research
ISSN : 2373-9436
Launched : 2013
Journal of Surgery and Transplantation Science
ISSN : 2379-0911
Launched : 2013
Journal of Dermatology and Clinical Research
ISSN : 2373-9371
Launched : 2013
JSM Gastroenterology and Hepatology
ISSN : 2373-9487
Launched : 2013
Annals of Nursing and Practice
ISSN : 2379-9501
Launched : 2014
JSM Dentistry
ISSN : 2333-7133
Launched : 2013
Author Information X