Clinical and Neurological Course of Tuberous Sclerosis Complex in Children and Adolescents
- 1. Faculdades Pequeno Principe Curitiba, Brazil
- 2. Instituto de Pesquisa Pelé Pequeno Príncipe, Curitiba, Brazil
- 3. Department of Pediatric Neurology, Hospital Pequeno Príncipe, Brazil
- 4. Department of Radiology, Hospital Pequeno Príncipe, Brazil
- 5. 5 Department of Psychiatry and Biobehavioral Sciences, University of California Los Angeles, USA
ABSTRACT
Tuberous sclerosis complex (TSC), is rare autosomal dominant genetic disease characterized by the occurrence of benign tumors, including epileptogenic tumors in the brain. Its highly varying phenotypic manifestations can lead to mis- and missed diagnoses. To investigate the main neurological symptoms and clinical course of TSC, we conducted a crosssectional and observational study with 23 pediatric patients diagnosed with TSC (age range, 0–15 years), who received neurological follow-up care between 2014 and 2020 at our clinic, in the largest children’s hospital in Brazil. We analyzed demographic data, clinical manifestations, diagnosis methods, medications in use, age of onset, and outcomes. The average ages of initial symptom recognition and diagnosis were ~3 months and ~13 months, respectively. The first signs of TSC were recognized before 6 months of age in most cases. The most common first signs of TSC identified were seizures, cardiac rhabdomyomas, and hypochromic macules. The most common medications being used were valproate, vigabatrin, and everolimus. Antenatal detection of a cardiac rhadomyoma should be followed by diagnostic screening for TSC to enable early diagnosis. Early recognition of TSC allows for early intervention, including monitoring for signs of seizure activity. Pre-emptive treatment, including seizure suppression, can enable patients with TSC to have a better quality of life.
KEYWORDS
• Tuberous sclerosis complex
• Epilepsy
• Diagnosis
• Everolimus
CITATION
Tomin DS, do Valle DA, Telles BA, Junior AL, Santos MLSF, et al. Clinical and Neurological Course of Tuberous Sclerosis Complex in Children and Adolescents. Ann Pediatr Child Health 2021; 9(2): 1225.
ABBREVIATIONS
AED: Antiepileptic Drug; ASD: Autism Spectrum Disorder; EEG: Electroencephalogram; MRI: Magnetic Resonance Images; Mtor: Mammalian Target Of Rapamycin; SEGA: Subependymal Giant Cell Astrocytoma; SEN: Subependymal Nodules; TSC: Tuberous Sclerosis Complex
INTRODUCTION
Tuberous sclerosis complex (TSC), is a rare autosomal dominant genetic disorder characterized by benign tumor growth in multiple tissues, especially in vital organs. Phenotypic manifestations of TSC are highly variable, commonly involving tumors of the brain, skin, kidneys, lung, and heart [1], with central nervous system involvement being particularly common [2]. Reported incidence rates for TSC range from 1 case per 6,000 to 22,360 live births [1-3]. Although the current prevalence of TSC in Brazil has not been determined, estimates based on the available data and prevalence rates published for other countries range from 1 case per 14,000 to 25,833 people in Brazil [4-7].
Cortical tubers (80~88.2%), subependymal nodules (SENs; 78.2~79%), and subependymal giant cell astrocytomas (SEGAs; 24.4~25%) are the most commonly encountered TSC tumors in the central nervous system [8,9]. Neurological manifestations of these tumors include seizures and delayed neuropsychomotor development [10,11]. Patients may also exhibit behavioral alterations, such as impulsivity, aggressiveness, and/or delayed development of communicative communication skills, that are characteristic features of neuropsychiatric disorders, namely anxiety disorders, attention deficit/hyperactivity disorder, and autism spectrum disorder (ASD) [10-12].
Given the highly variable and potentially severe course of TSC, it is important to clarify which symptoms tend to appear first in children so that pediatricians may refer patients as early as possible for diagnostic evaluation and treatment to minimize further compromise. Therefore, the aim of this study was to investigate the clinical course and neurological manifestations of TSC. We analyzed the clinical course of TSC-diagnosed children being followed at the largest children’s hospital in Brazil, including most common first symptoms, delay from first symptom onset to diagnosis, and neurological impacts.
METHODS
Study design and patients
A cross-sectional, observational, and descriptive study was carried out with boys and girls who were undergoing neurological follow-up for TSC in a pediatric neurology outpatient clinic at a children’s hospital in Curitiba, Paraná, Brazil. The inclusion criteria were having a TSC diagnosis based on genetic and/or clinical diagnostic criteria and being a current pediatric follow-up care patient 18 years old or younger in the neurology department of our hospital. During the study enrolment period (7 years from January 2014 to October 2020), 13,489 boys and girls between 0 and 18 years old were evaluated in our outpatient clinic. Among them, 23 were diagnosed with TSC and met the inclusion criteria for the study, including 14 boys (60.9%), and 9 girls (39.1%), who ranged in age from 9 months to 15 years. This study was approved by the Human Research Ethics Committee of Hospital Pequeno Príncipe (no. 4,075,793).
Data analyzed from the participants
The following types of data were extracted from the patients’ medical records: demographics, TSC diagnostic criteria, age, age at onset of symptoms and diagnosis, seizure history, antiepileptic drugs (AEDs) in use, and an accounting of tumors revealed in brain magnetic resonance imaging (MRI). If the exact onset timing of each symptom was not documented, we classified it as unknown or not informed. The patients were classified according to seizure frequency: seizure-free (no seizures for ≥1 month), weekly seizures (≥1 seizure per week), and daily seizures (≥1 seizure per day). We examined emergency room records to account for hospital consultations and admissions for seizures.
Statistical analysis
The data were analyzed in Prisma 8.4.3 (GraphPad Software, San Diego, CA). Central trend data for age at first identified symptom and age at diagnosis of TSC were analyzed in months.
RESULTS
The patients’ demographic characteristics and clinical findings are summarized in Table 1.
|
Table 1: First symptoms identified, clinical diagnostic criteria met, and medications in use. |
||
|
Variable |
N |
% |
|
First symptom identified |
|
|
|
Seizure |
15 |
65.22 |
|
Cardiac rhabdomyoma |
7 |
30.43 |
|
Hipochromic spots |
1 |
4.35 |
|
Clinical symptoms registered |
|
|
|
Cardiac rhabdomyoma |
18 |
78.26 |
|
SEM |
17 |
73.91 |
|
Cortical tuber |
15 |
65.21 |
|
Hypochromic macule |
11 |
47.82 |
|
Renal cyst |
7 |
30.43 |
|
Facial angiofibroma |
6 |
26.08 |
|
SEGA |
3 |
13.04 |
|
Angiomyolipoma |
2 |
8.69 |
|
Radiation migration lines |
2 |
8.69 |
|
Shagreen patch |
1 |
4.34 |
|
Medications in use |
|
|
|
Valproate |
9 |
39.1 |
|
Vigabatrine |
8 |
34.78 |
|
Everolimus |
7 |
30.43 |
|
Carbamazepine |
4 |
17.39 |
|
Clobazam |
4 |
17.39 |
|
Phenobarbital |
4 |
17.39 |
|
Levetiracetam |
3 |
13.04 |
|
Oxcarbazepine |
3 |
13.04 |
|
Topiramate |
3 |
13.04 |
|
Nitrazepam |
2 |
8.69 |
|
Clonazepam |
1 |
4.34 |
|
Lamotrigine |
1 |
4.34 |
The most common first symptoms identified were seizures, cardiac rhabdomyomas, and hypochromic macules. Of the 23 participants, 2 had a genetic confirmation of a pathogenic mutation in TSC2. The remaining 21 children were diagnosed based only on clinical features.
Comparing first signs between children who were diagnosed early (before 3 months of age), and children who were diagnosed later, we found that a cardiac rhabdomyoma, which is detectable by fetal ultrasonography, was the most frequent first sign of TSC detected. For children whose first signs were detected after 3 months of age, the most frequent initial finding was epileptic seizures. The delay from the detection of the first sign to diagnosis was longer in children with early diagnoses than in patients who were more than 3 months old when their first sign of TSC was detected (Table 2).
|
Table 2: Descriptive analysis of first symptoms and diagnostic delay for children with symptoms recognized during (<3 months old) or after the newborn period. |
||||
|
Medical history characteristic |
Mean |
SD |
Lower 95% CI |
Upper 95% CI |
|
Age at first sign/symptom pf TSC in months |
|
|
|
|
|
First symptom <3 months old (N = 13) |
0.62 |
0.87 |
0.09 |
1.14 |
|
First symptom ≥3 months old (N = 10) |
6.10 |
4.07 |
3.19 |
9.01 |
|
Time in months from first sign/symptom to diagnosis |
|
|
||
|
First symptom <3 months old (N = 13) |
15.08 |
25.33 |
-0.23 |
30.38 |
|
First symptom ≥3 months old (N = 10) |
3.50 |
9.40 |
-3.22 |
10.22 |
|
Abbreviations: SD: Standard deviation; CI: Confidence interval. |
||||
Twelve children (54.5%), had their first seizure within the first 6 months of life (by the age of 5 months and 29 days), 5 (22.7%), during the second 6 months of life (by the age of 11 months and 29 days), 2 (9.0%) between their 1st and 2nd birthdays, 1 (4.5%), between his 2nd and 5th birthday, and 1 (4.5%), after 60 months old. Only 1 patient (4.5%), had no record of seizure onset. Reliable seizure frequency data were available for 20 children, including 12 (60%), who had been seizure-free for at least 1 month, 4 (20%), who were having weekly seizures, and 4 (20%), who were having daily seizures. Seizure frequency data were incomplete or inconclusive for the remaining 3 patients. Regarding AEDs, 2/23 participants (9.0%), were not using any AEDs, 5 (23.8%), were on a monotherapy, 6 (28.5%), were using two medications, 6 (28.5%), were using three medications, and four (19.0%), were using four medications. As reported in detail in Table 1, the most common AEDs being used were valproate and vigabatrin.
Electroencephalogram (EEG), records were available in the medical charts of 21 of the children. Three patients had non-specific EEG alterations. Of the remaining 18 patients, 16 patients’ EEGs showed focal epileptic discharges and 2 had no EEG abnormalities. Of the 2 patients without EEG abnormalities, one was receiving AED treatment and the other was not experiencing clinical seizures.
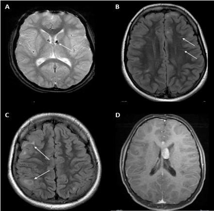
MRI records were available for 14 patients. Notably 10 of these 14 patients had more than 10 cortical tubers evident in their brain MRI scans, 3 patients had between 3 and 10 tubers, and 1 patient had less than 3 tubers. Representative examples of typical TSC-associated brain alterations from the present cohort are shown in Figure 1.
Figure 1 Brain MRI images from patients diagnosed with TSC showing characteristic features (arrows) of the disease. (A) SEN. (B) Radial migration lines. (C) Cortical tubers. (D) SEGA.
DISCUSSION
We found that the first sign of TSC observed in our pediatric patients was most frequently seizures (65%), followed by cardiac rhabdomyomas (30%). In our sample, the most frequent tumors observed were SENs and cortical tubers, consistent with prior reports in the literature [10,13-15]. Interestingly, children with very early signs of TSC, before 3 months of age, tended to have a longer delay to diagnosis than children whose first sign of TSC was not detected until after 3 months of age. This finding highlights the importance of a through diagnostic procedure, which should include genetic testing, after a sign of TSC has been observed. Unfortunately, only two families in this study were able to afford genetic testing.
Owing to the early appearance of signs, often in utero, TSC can be diagnosed early given clinical suspicion and appropriate training of the professionals who are evaluating these patients. Diagnosis of most of our patients in infancy is consistent with a large international multicentric study showing an average age of diagnosis close to 1 year of age [10]. However, in a Brazilian study involving 53 TSC patients with an average age of 14 years, the average age of diagnosis was 7.1 years in familial cases and 2.6 years in sporadic cases [15], indicating that, compared to children in other countries, Brazilian children are, on average, diagnosed quite late.
Although there were more boys than girls in our sample, the sample size and gender representation difference were not great enough to make conclusions regarding whether there is a gender effect on risk of TSC. One study in which 12/20 patients with TSC were male suggested it may be slightly more common in males [16]. Conversely, another study in which 17/28 patients with TSC were female suggested that TSC might be more common in females [17]. Thus, a large-sample meta-analysis of prevalence is needed to clarify whether there is any influence of gender on TSC risk.
There was antenatal suspicion of possible TSC in 25% of our patients. Similarly, in a prior study conducted in Germany, 22.1% of surveyed TSC patients had antenatal suspicion of TSC due to the presence of a cardiac rhabdomyoma in an ultrasound examination [2]. In a survey of 53 fetuses with cardiac tumors detected by echocardiography in China, genetic testing revealed that pathogenic mutations in TSC1 or TSC2 were very significantly more prevalent among fetuses with multiple tumors (32/37), than among fetuses with a single tumor (5/16)[18]. Meanwhile, in a study in Italy, a TSC diagnosis was confirmed in 31 of 33 infants in whom cardiac rhabdomyomas had been detected antenatally by echocardiography [19]. These data reinforce the need for active investigation of TSC following antenatal detection of a cardiac rhabdomyoma, which is a major sign of the disease [1,8,20]. Indeed, S?owi?ska and colleagues found that in 82 of 100 cases with antenatal cardiac rhabdomyomas, a TSC diagnosis could be made within the first 16 weeks of life, before seizure onset, thus enabling early interventions before the children suffered any neurological sequelae due to seizures [21]. Only 1/23 of the patients in the current study had not yet experienced a seizure at the time of this study, and her EEG appeared normal. In this case, a diagnosis of TSC was made based on cardiac rhabdomyoma detection and the presence of cortical tubers detected by MRI. Because she was diagnosed early, she can be monitored periodically for EEG changes to enable prompt detection of emergent seizure activity [22].
Seizures are consistently reported as early manifestations of TSC. In a retrospective study, it was found that among 231 TSC patients with at least one seizure and known timing of first seizure onset, the first seizure occurred within the first 6 months, 12 months, and 36 months of life in 45.8%, 63.2%, and 82.1% of cases, respectively [23]. In a prior Brazilian study, a seizure was the initial complaint for 27 of 28 patients later diagnosed with TSC (96.4%), with 3.6% having symptoms within the first 28 days of life, 64.3% between 29 days and 18 months old, 17.9% between 18 months 1 day and 5 years old, and 10.7% after their 5th birthday [17].
Although epileptic seizures are not a diagnostic criterion of TSC, they are a very frequent symptom in patients with TSC [16,24,25]. Moreover, they tend to be more severe in patients with three or more cortical tubers, in patients with an early age of seizure onset, and in patients meeting the behavioral diagnostic criteria for autism spectrum disorder [26].
Seizures in patients with TSC tend to manifest in one of two ways, namely focal crises or infantile spasms [27]. Standard of care GABA-signal enhancing medications used to treat TSCassociated seizures have been reported to control focal crises in 58.2% of cases and to control infantile spasms in 76.3% of cases [27]. Vigabatrin, the second most commonly prescribed AED in our sample, has been shown to reduce the frequency of epileptic seizures in a prior Brazilian study [28]. Among the 12 participants classified as seizure-free in the present study, only 2 patients were using vigabatrin, while 5 were receiving another GABA-enhancing drug (carbamazepine or oxcarbazepine). It should be noted that although seizures are a common symptom of TSC, our sample may have had a bias toward inclusion of patients who experience seizures because they were recruited from a neurology outpatient clinic.
Prior reports indicate that seizures are well controlled with AEDs in some 33.5~77.0% of patients with TSC [10,23,29]. Overwater and colleagues found that a seizure-free status could usually be achieved in children with TSC with the first or second AED prescribed, though one of their patients did not achieve a seizure-free month with any of four different AED trials, only to finally achieve seizure-free status with the fifth AED tried [29].
A different pharmacotherapy approach has been introduced recently for the treatment of TSC, namely drugs such as everolimus and tacrolimus, which inhibit the mTOR (mammalian target of rapamycin) pathway and have been shown to be safe in children under 2 years of age [30]. Inhibition of the mTOR pathway can reduce seizure-inducing brain tumors; thus, mTOR inhibitors represent a promising new approach in which the origin of the disease can be more directly targeted [30-32].
Cortical tubers are a very frequent sign of TSC, occurring in up to 100% of cases [16,13,33]. Indeed, in a genetic study, 97% of patients with a TSC1 mutation and 100% of patients with a TSC2 mutation were confirmed to have cortical tubers by MRI [34]. The presence of more than three cortical tubers has previously been associated with a 4.5-times greater risk of AED-recalcitrant seizures [26]. Notably, about two thirds of the patients in our sample for whom MRI data were available had 10 or more cortical tubers. Among these patients with more than 10 tubers, only one was on a single AED, while the others were using at least two AEDs. Four of the patients in this high tuber count subgroup were taking everolimus in addition to at least one classical GABA- enhancing AED; seizure-free status was achieved in three of these four patients. Conversely, the only patient in our sample who had ≤3 tubers detected by MRI required only one AED for seizure control. All but one of the children in the intermediate group (3– 10 tubers) were taking two or more AEDs.
Although SEGAs are found in a minority of patients with TSC, they very rarely occur in the absence of TSC. It is important that patients with TSC be monitored for SEGA development because SEGAs can disrupt cerebrospinal fluid flow, and in such cases they can be removed surgically [2]. Only 3 patients in our sample (13%), had a SEGA, being discovered at the respective ages of 7 months, 6 years, and 10 years. In a prior study reporting the presence of a SEGA before 12 months of age in 9.2% of children with TSC, it was determined by genetic testing that all of the children with a SEGA had a TSC2 variation [34].
This study had some limitations that should be noted. First, due to the financial constraints of most of the families, only 2 patients were able to get genetic testing. Secondly, although poorly controlled early-onset seizures in patients with TSC increase the risk of intellectual disability [24,35,36], we did not include assessments of cognitive abilities in this study. It would be of interest to investigate how cognitive abilities relate to disease symptom severity.
CONCLUSION
The present findings underscore the importance of early diagnosis of TSC to enable initiation of interventions that can reduce morbidity and the risk future complications, thereby having positive effects on patients’ quality of life. Antenatal detection of cardiac tumors should be followed by newborn screening for signs of TSC and, ideally, genetic testing for TSC gene variants. Seizure control in patients with TSC may require multiple AEDs, including GABA-enhancing AEDs (most commonly vigabatrin and/or valproate in our sample), and diseasemodifying drugs, such as everolimus and tacrolimus, which may alter the natural course of the disease and thereby reduce the generation of seizures and other TSC symptoms.
AUTHORS’ CONTRIBUTIONS
DT conceptualized the research, gather and analyzed the data, and wrote the initial manuscript. BT reviewed the neuroimaging and realized the count of the tuber numbers. TB did the statistical analysis. All authors contributed to drafting of the manuscript, approved the final version of the manuscript, and agree to be accountable for all aspects of the work. MLC coordinated the study, and revised and conducted critical reviews of the manuscript for key intellectual content.
DISCLOSURE STATEMENT
All the authors declare no potential conflicts of interest with respect to the research, authorship, and/or publication of this article.
FUNDING
This study was funded in part by a the Coordenação de Aperfeiçoamento de Pessoal de Nivel Superior -Brazil (CAPES) to DT, DV, and TB– Finance Code 001.
REFERENCES
- Northrup H, Krueger DA. Tuberous sclerosis complex diagnostic criteria update: recommendations of the 2012 International Tuberous Sclerosis Complex Consensus Conference. Pediatr Neurol. 2013; 49: 243-254.
- Ebrahimi-Fakhari D, Mann LL, Poryo M, Graf N, von Kries R, Heinrich B, et al. Incidence of tuberous sclerosis and age at first diagnosis: new data and emerging trends from a national, prospective surveillance study. Orphanet J Rare Dis. 2018; 13: 117.
- Ebrahimi-Fakhari D, Mann LL, Poryo M, Graf N, von Kries R, Heinrich B, et al. Correction to: Incidence of tuberous sclerosis and age at first diagnosis: new data and emerging trends from a national, prospective surveillance study. Vol. 14, Orphanet journal of rare diseases. England; 2019; 14: 106.
- Devlin LA, Shepherd CH, Crawford H, Morrison PJ. Tuberous sclerosis complex: clinical features, diagnosis, and prevalence within Northern Ireland. Dev Med Child Neurol. 2006; 48: 495-499.
- Hong CH, Darling TN, Lee CH. Prevalence of tuberous sclerosis complex in Taiwan: a national population-based study. Neuroepidemiology. 2009; 33: 335-341.
- Chu WCY, Chiang LLW, Chan DCC, Wong WHS, Chan GCF. Prevalence, mortality and healthcare economic burden of tuberous sclerosis in Hong Kong: a population-based retrospective cohort study (1995– 2018). Orphanet J Rare Dis. 2020; 15: 264.
- Welin KO, Carlqvist P, Svensson A, Althin R, Eklund E, Rask O. Epilepsy in tuberous sclerosis patients in Sweden - Healthcare utilization, treatment, morbidity, and mortality using national register data. Seizure. 2017; 53: 4-9.
- Zollner JP, Franz DN, Hertzberg C, Nabbout R, Rosenow F, Sauter M, et al. A systematic review on the burden of illness in individuals with tuberous sclerosis complex (TSC). Orphanet J Rare Dis. 2020; 15: 23.
- Kothare SV, Singh K, Hochman T, Chalifoux JR, Staley BA, Weiner HL, et al. Genotype/phenotype in tuberous sclerosis complex: Associations with clinical and radiologic manifestations. Epilepsia. 2014; 55: 1020- 1024.
- Kingswood JC, d’Augeres GB, Belousova E, Ferreira JC, Carter T, Castellana R, et al. TuberOus SClerosis registry to increase disease Awareness (TOSCA) - baseline data on 2093 patients. Orphanet J Rare Dis. 2017; 12: 2.
- Toldo I, Brasson V, Miscioscia M, Pelizza MF, Manara R, Sartori S, et al. Tuberous sclerosis-associated neuropsychiatric disorders: A paediatric cohort study. Dev Med Child Neurol. 2019; 61: 168-173.
- Mous SE, Overwater IE, Vidal Gato R, Duvekot J, Ten Hoopen LW, Lequin MH, et al. Cortical dysplasia and autistic trait severity in children with tuberous sclerosis complex: A clinical epidemiological study. Eur Child Adolesc Psychiatry. 2018; 27: 753-765.
- Huang CH, Peng SSF, Weng WC, Su YN, Lee WT. The relationship of neuroimaging findings and neuropsychiatric comorbidities in children with tuberous sclerosis complex. J Formos Med Assoc. 2015; 114: 849-854.
- Michelozzi C, Di Leo G, Galli F, Silva Barbosa F, Labriola F, Sardanelli F, et al. Subependymal nodules and giant cell tumours in tuberous sclerosis complex patients: Prevalence on MRI in relation to gene mutation. Child’s Nerv Syst ChNS Off J Int Soc Pediatr Neurosurg. 2013; 29: 249-254.
- Rosset C, Vairo F, Bandeira IC, Correia RL, de Goes FV, da Silva RTB, et al. Molecular analysis of TSC1 and TSC2 genes and phenotypic correlations in Brazilian families with tuberous sclerosis. PLoS One. 2017; 12: e0185713.
- Schwind MR, Cardozo LFM, Antoniuk SA, Pereira AP de A, Nascimento DF, Azevedo DAS, et al. Perfil neuropsiquiátrico de crianças, adolescentes e jovens adultos com complexo de esclerose tuberosa. Rev Saúde e Desenvolv Hum. 2017; 5: 27-37.
- Almeida JPG de. Complexo esclerose tuberosa: análise clínica e correlações entre fenótipo e genótipo. Dissertação de mestrado, Faculdade de Ciências Médicas da Santa Casa de São Paulo. 2015.
- Chen J, Wang J, Sun H, Gu X, Hao X, Fu Y, et al. Fetal cardiac tumor: echocardiography, clinical outcome and genetic analysis in 53 cases. Ultrasound Obstet Gynecol. 2019; 54: 103-109.
- Sciacca P, Giacchi V, Mattia C, Greco F, Smilari P, Betta P, et al. Rhabdomyomas and tuberous sclerosis complex: our experience in 33 cases. BMC Cardiovasc Disord. 2014; 14: 66.
- Davis PE, Filip-Dhima R, Sideridis G, Peters JM, Au KS, Northrup H, et al. Presentation and diagnosis of tuberous sclerosis complex in infants. Pediatrics. 2017; 140: e20164040.
- S?owi?ska M, Jó?wiak S, Peron A, Borkowska J, Chmielewski D, Sadowski K, et al. Early diagnosis of tuberous sclerosis complex: A race against time. How to make the diagnosis before seizures? Orphanet J Rare Dis. 2018; 13: 25.
- Savini MN, Mingarelli A, Peron A, La Briola F, Cervi F, Alfano RM, et al. Electro-clinical and neurodevelopmental outcome in six children with early diagnosis of tuberous sclerosis complex and role of the genetic background. Ital J Pediatr. 2020; 46: 36.
- Chu-Shore CJ, Major P, Camposano S, Muzykewicz D, Thiele EA. The natural history of epilepsy in tuberous sclerosis complex. Epilepsia. 2010; 51: 1236-1241.
- Gupta A, de Bruyn G, Tousseyn S, Krishnan B, Lagae L, Agarwal N. Epilepsy and neurodevelopmental comorbidities in tuberous sclerosis complex: A natural history study. Pediatr Neurol. 2020; 106: 10-16.
- Lu DS, Karas PJ, Krueger DA, Weiner HL. Central nervous system manifestations of tuberous sclerosis complex. Am J Med Genet C Semin Med Genet. 2018; 178: 291-298.
- Gul Mert G, Altunbasak S, Herguner O, Incecik F, Ovetti HC, Ozcan N, et al. Factors affecting epilepsy prognosis in patients with tuberous sclerosis. Childs Nerv Syst. 2019; 35: 463-468.
- Nabbout R, Belousova E, Benedik MP, Carter T, Cottin V, Curatolo P, et al. Epilepsy in tuberous sclerosis complex: Findings from the TOSCA Study. Epilepsia open. 2019; 4: 73-84.
- Rotta NT, Silva AR da, Ohlweiler L, Riesgo R. Vigabarina no tratamento da epilepsia de difícil controle em pacientes com síndrome de West e esclerose tuberosa. Vol. 61, Arquivos de Neuro-Psiquiatria. Scielo; 2003; 988-990.
- Overwater IE, Bindels-de Heus K, Rietman AB, Ten Hoopen LW, Vergouwe Y, Moll HA, et al. Epilepsy in children with tuberous sclerosis complex: Chance of remission and response to antiepileptic drugs. Epilepsia. 2015; 56: 1239-1245.
- Saffari A, Brosse I, Wiemer-Kruel A, Wilken B, Kreuzaler P, Hahn A, et al. Safety and efficacy of mTOR inhibitor treatment in patients with tuberous sclerosis complex under 2 years of age-A multicenter retrospective study. Orphanet J Rare Dis. 2019; 14: 96.
- Curatolo P, Nabbout R, Lagae L, Aronica E, Ferreira JC, Feucht M, et al. Management of epilepsy associated with tuberous sclerosis complex: Updated clinical recommendations. Eur J Paediatr Neurol. 2018; 22: 738-748.
- Curatolo P, Franz DN, Lawson JA, Yapici Z, Ikeda H, Polster T, et al. Adjunctive everolimus for children and adolescents with treatment- refractory seizures associated with tuberous sclerosis complex: post- hoc analysis of the phase 3 EXIST-3 trial. Lancet Child Adolesc Heal. 2018; 2: 495-504.
- Overwater IE, Swenker R, van der Ende EL, Hanemaayer KB, Hoogeveen-Westerveld M, van Eeghen AM, et al. Genotype and brain pathology phenotype in children with tuberous sclerosis complex. Eur J Hum Genet. 2016; 24: 1688-1695.
- Chan DL, Kennedy SE, Sarkozy VE, Chung CWT, Flanagan D, Mowat D, et al. Congenital subpendymal giant cell astrocytoma in children with tuberous sclerosis complex: Growth patterns and neurological outcome. Pediatr Res. 2020.
- Capal JK, Bernardino-Cuesta B, Horn PS, Murray D, Byars AW, Bing NM, et al. Influence of seizures on early development in tuberous sclerosis complex. Epilepsy Behav. 2017; 70: 245-252.
- Overwater IE, Verhaar BJH, Lingsma HF, Bindels-de Heus GCB, van den Ouweland AMW, Nellist M, et al. Interdependence of clinical factors predicting cognition in children with tuberous sclerosis complex. J Neurol. 2017; 264: 161-167.
