Loading

Annals of Pediatrics and Child Health

Lichen Scrofulosorum: An Important Diagnostic Marker of Underlying Tuberculosis

Case Report | Open Access | Volume 2 | Issue 3

  • 1. Department of Pediatrics, Chacha Nehru Bal Chikitsalaya, India
  • 2. Department of Dermatology, Chacha Nehru Bal Chikitsalaya, India
+ Show More - Show Less
Corresponding Authors
Manish Kumar, Department of Pediatrics, Chacha Nehru Bal Chikitsalaya, Geeta Colony, Delhi, India, 110031, Tel: 9818689814; Fax: 011- 22042750.
ABSTRACT

Lichen scrofulosorum (LS) is a rare tuberculid seen in children and young adults with underlying tuberculosis, which may be difficult to diagnose otherwise. Present communication describes two cases presenting with characteristic skin lesions of LS and later diagnosed as intracranial tuberculosis and pulmonary tuberculosis respectively. In both the cases the skin lesions served as an important diagnostic marker for tuberculosis. Skin lesions disappeared completely within four weeks of initiation of ATT.

CITATION

Kumar M, Satija T, Khanna D (2014) Lichen Scrofulosorum: An Important Diagnostic Marker of Underlying Tuberculosis. Ann Pediatr Child Health 2(3): 1019.

KEYWORDS

Tuberculosis, Lichen scrofulosorum, Tuberculid

ABBREVIATIONS

LS: Lichen Scrofulosorum; ATT: Anti Tubercular Therapy; TB: Tuberculosis; AFB: Acid Fast Bacilli

INTRODUCTION

Tuberculosis (TB) remains a major public health problem in India with varying pulmonary and extrapulmonary manifestations. Cutaneous TB accounts for 1-2% cases of extrapulmonary TB in children [1]. Scrofuloderma and lupus vulgaris are two most common forms of cutaneous TB [2]. Tuberculids are rare cutaneous manifestations of tuberculosis due to delayed type of hypersensitivity reaction to tubercular bacilli and characteristically do not contain acid fast bacilli (AFB). Lichen scrofulosoroum is a rare form of true tuberculid, often serves as an important marker of occult tuberculosis in children [3]. Recently, cases of LS have been reported from India in dermatology literature [4]. However, there is paucity of similar type of reports in pediatrics literature. Present communication describes two cases presenting with characteristic skin lesions, who were later diagnosed with intracranial TB and pulmonary TB respectively. In both cases, the characteristic skin lesions served as an important diagnostic marker for underlying tuberculosis and prompted us to look for other evidence of tuberculosis. Skin lesions resolved completely within four weeks of initiation of ATT.

CASE PRESENTATION

Case 1

A seven year old female child was brought to the emergency with history of focal movement of left upper and lower limbs for last 30 minutes with associated loss of consciousness. The episode of seizure was aborted with injection diazepam and she regained consciousness in about thirty minutes with no post ictal weakness or disorientation. There was no prior history of fever, seizures or head trauma. There was history of contact with paternal uncle with sputum positive pulmonary tuberculosis.

On physical examination, height (112cm) and weight (15 kg) were less than third percentile for her age (CDC growth charts). BCG scar was present. There were multiple discrete as well as grouped skin coloured papules over the trunk (Figure 1a).

Multiple discrete as well as grouped skin coloured follicular papules over chest and axila.
Figure 1a: Multiple discrete as well as grouped skin coloured follicular papules over chest and axila.

Rest of the general physical and systemic examination was unremarkable. Lesions were suspected as LS and a skin biopsy was performed.

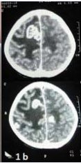
Investigations revealed anemia with normal leukocyte and platelet count and reactive Mantoux test (30×20mm). Two samples of gastric aspirate for AFB were negative. Renal and liver function tests and cerebrospinal fluid examination was normal. Contrast enhanced computed tomography (CECT) brain showed conglomerate ring enhancing lesions in right fronto-temporal and left parietal lobe suggestive of tuberculoma (Figure 1b).

CECT brain shows multiple conglomerated ring enhancing lesions in bilateral frontoparietal regions in parafalcine location with mild to moderate perilesional edema suggestive of tuberculomas.
Figure 1b: CECT brain shows multiple conglomerated ring enhancing lesions in bilateral frontoparietal regions in parafalcine location with mild to moderate perilesional edema suggestive of tuberculomas.

Skin biopsy revealed epitheloid cell granuloma with Langhans giant cells in papillary dermis; stain for AFB was negative. Biopsy findings were consistent with the diagnosis of lichen scrofulosorum.

Diagnosis of intracranial tuberculoma with lichen scrofulosorum was made and the child was started on four drugs ATT with steroid. Carbamazepine was added to control seizures. One month after initiation of therapy, skin lesions completely resolved without scarring.

Case 2

An eleven year old girl, presented to Out Patient Department with non itchy skin rash on trunk and legs for the past one month. There was history of fever and cough for last fifteen days. No history of anorexia or significant weight loss was present. However, her mother had completed ATT for pulmonary TB six months back from DOTS center. Child had been completely immunized for age and BCG scar was present.

On examination, there were multiple grouped hyper pigmented papular skin lesions over trunk and extensor aspects of lower limbs associated with scaling. General physical and systemic examination was normal. A diagnosis of LS was suspected and skin biopsy was performed for histopathological confirmation.

Laboratory reports revealed anemia; Mantoux test was reactive (18×15mm). Chest X ray was suggestive of mediastinal lymphadenopathy. Skin biopsy confirmed the diagnosis of LS and the child was started on 4 drugs ATT from DOTS centre. After four weeks of ATT, the girl was asymptomatic and skin lesions disappeared completely.

Multiple grouped skin coloured to erythematous follicular papules with scaling over the trunk.
Figure 2a: Multiple grouped skin coloured to erythematous follicular papules with scaling over the trunk.

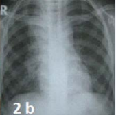
Chest X-ray shows enlarged lobulated lymph nodes in right paratracheal, tracheobronchial and hilar region with multiple small nodular shadows (miliary) diffusely scattered in bilateral lung parenchyma suggestive of pulmonary tuberculosis.
Figure 2b: Chest X-ray shows enlarged lobulated lymph nodes in right paratracheal, tracheobronchial and hilar region with multiple small nodular shadows (miliary) diffusely scattered in bilateral lung parenchyma suggestive of pulmonary tuberculosis.

DISCUSSION

Lichen scrofulosorum is a rare tuberculid, characterized by skin coloured to hyperpigmented perifollicular lichenoid eruptions over the trunk, axilla and extremities. It is more commonly seen in children with moderate to high immunity with underlying TB and the lesions characteristically do not harbor the tubercular bacilli. A high index of clinical suspicion is required to diagnose LS.

In a study by Singal et al, LS was diagnosed in 7.6% cases of cutaneous TB with majority (84%) of cases being less than 15 years of age. Systemic focus of TB was seen in majority (72%) of cases with maximum percentage (32%) of cases having evidence of lymph node TB, followed by pulmonary and intracranial TB [5]. Both of our cases were less than twelve years of age, first case having evidence of intracranial TB and the other with pulmonary TB.

Diagnosis of LS is sometimes delayed because of similarity to other skin lesions like lichen planus, lichen nitidus and psoriasis [6,7]. However, presence of characteristic perifollicular granuloma in absence of tubercle bacilli should point towards diagnosis of LS. Resolution of skin lesions with ATT also confirms the diagnosis of LS.

To conclude, presence of LS should prompt to look for systemic evidence of tuberculosis and therapy with ATT should be started without any delay.

 

ACKNOWLEDGEMENT

Dr. Ruchika Gupta, Assistant Professor (Pathology) for providing histopathology report in both the cases.

Kumar M, Satija T, Khanna D (2014) Lichen Scrofulosorum: An Important Diagnostic Marker of Underlying Tuberculosis. Ann Pediatr Child Health 2(3): 1019.

Received : 30 Jul 2014
Accepted : 25 Aug 2014
Published : 25 Aug 2014
Journals
Annals of Otolaryngology and Rhinology
ISSN : 2379-948X
Launched : 2014
JSM Schizophrenia
Launched : 2016
Journal of Nausea
Launched : 2020
JSM Internal Medicine
Launched : 2016
JSM Hepatitis
Launched : 2016
JSM Oro Facial Surgeries
ISSN : 2578-3211
Launched : 2016
Journal of Human Nutrition and Food Science
ISSN : 2333-6706
Launched : 2013
JSM Regenerative Medicine and Bioengineering
ISSN : 2379-0490
Launched : 2013
JSM Spine
ISSN : 2578-3181
Launched : 2016
Archives of Palliative Care
ISSN : 2573-1165
Launched : 2016
JSM Nutritional Disorders
ISSN : 2578-3203
Launched : 2017
Annals of Neurodegenerative Disorders
ISSN : 2476-2032
Launched : 2016
Journal of Fever
ISSN : 2641-7782
Launched : 2017
JSM Bone Marrow Research
ISSN : 2578-3351
Launched : 2016
JSM Mathematics and Statistics
ISSN : 2578-3173
Launched : 2014
Journal of Autoimmunity and Research
ISSN : 2573-1173
Launched : 2014
JSM Arthritis
ISSN : 2475-9155
Launched : 2016
JSM Head and Neck Cancer-Cases and Reviews
ISSN : 2573-1610
Launched : 2016
JSM General Surgery Cases and Images
ISSN : 2573-1564
Launched : 2016
JSM Anatomy and Physiology
ISSN : 2573-1262
Launched : 2016
JSM Dental Surgery
ISSN : 2573-1548
Launched : 2016
Annals of Emergency Surgery
ISSN : 2573-1017
Launched : 2016
Annals of Mens Health and Wellness
ISSN : 2641-7707
Launched : 2017
Journal of Preventive Medicine and Health Care
ISSN : 2576-0084
Launched : 2018
Journal of Chronic Diseases and Management
ISSN : 2573-1300
Launched : 2016
Annals of Vaccines and Immunization
ISSN : 2378-9379
Launched : 2014
JSM Heart Surgery Cases and Images
ISSN : 2578-3157
Launched : 2016
Annals of Reproductive Medicine and Treatment
ISSN : 2573-1092
Launched : 2016
JSM Brain Science
ISSN : 2573-1289
Launched : 2016
JSM Biomarkers
ISSN : 2578-3815
Launched : 2014
JSM Biology
ISSN : 2475-9392
Launched : 2016
Archives of Stem Cell and Research
ISSN : 2578-3580
Launched : 2014
Annals of Clinical and Medical Microbiology
ISSN : 2578-3629
Launched : 2014
JSM Pediatric Surgery
ISSN : 2578-3149
Launched : 2017
Journal of Memory Disorder and Rehabilitation
ISSN : 2578-319X
Launched : 2016
JSM Tropical Medicine and Research
ISSN : 2578-3165
Launched : 2016
JSM Head and Face Medicine
ISSN : 2578-3793
Launched : 2016
JSM Cardiothoracic Surgery
ISSN : 2573-1297
Launched : 2016
JSM Bone and Joint Diseases
ISSN : 2578-3351
Launched : 2017
JSM Bioavailability and Bioequivalence
ISSN : 2641-7812
Launched : 2017
JSM Atherosclerosis
ISSN : 2573-1270
Launched : 2016
Journal of Genitourinary Disorders
ISSN : 2641-7790
Launched : 2017
Journal of Fractures and Sprains
ISSN : 2578-3831
Launched : 2016
Journal of Autism and Epilepsy
ISSN : 2641-7774
Launched : 2016
Annals of Marine Biology and Research
ISSN : 2573-105X
Launched : 2014
JSM Health Education & Primary Health Care
ISSN : 2578-3777
Launched : 2016
JSM Communication Disorders
ISSN : 2578-3807
Launched : 2016
Annals of Musculoskeletal Disorders
ISSN : 2578-3599
Launched : 2016
Annals of Virology and Research
ISSN : 2573-1122
Launched : 2014
JSM Renal Medicine
ISSN : 2573-1637
Launched : 2016
Journal of Muscle Health
ISSN : 2578-3823
Launched : 2016
JSM Genetics and Genomics
ISSN : 2334-1823
Launched : 2013
JSM Anxiety and Depression
ISSN : 2475-9139
Launched : 2016
Clinical Journal of Heart Diseases
ISSN : 2641-7766
Launched : 2016
Annals of Medicinal Chemistry and Research
ISSN : 2378-9336
Launched : 2014
JSM Pain and Management
ISSN : 2578-3378
Launched : 2016
JSM Women's Health
ISSN : 2578-3696
Launched : 2016
Clinical Research in HIV or AIDS
ISSN : 2374-0094
Launched : 2013
Journal of Endocrinology, Diabetes and Obesity
ISSN : 2333-6692
Launched : 2013
Journal of Substance Abuse and Alcoholism
ISSN : 2373-9363
Launched : 2013
JSM Neurosurgery and Spine
ISSN : 2373-9479
Launched : 2013
Journal of Liver and Clinical Research
ISSN : 2379-0830
Launched : 2014
Journal of Drug Design and Research
ISSN : 2379-089X
Launched : 2014
JSM Clinical Oncology and Research
ISSN : 2373-938X
Launched : 2013
JSM Bioinformatics, Genomics and Proteomics
ISSN : 2576-1102
Launched : 2014
JSM Chemistry
ISSN : 2334-1831
Launched : 2013
Journal of Trauma and Care
ISSN : 2573-1246
Launched : 2014
JSM Surgical Oncology and Research
ISSN : 2578-3688
Launched : 2016
Annals of Food Processing and Preservation
ISSN : 2573-1033
Launched : 2016
Journal of Radiology and Radiation Therapy
ISSN : 2333-7095
Launched : 2013
JSM Physical Medicine and Rehabilitation
ISSN : 2578-3572
Launched : 2016
Annals of Clinical Pathology
ISSN : 2373-9282
Launched : 2013
Annals of Cardiovascular Diseases
ISSN : 2641-7731
Launched : 2016
Journal of Behavior
ISSN : 2576-0076
Launched : 2016
Annals of Clinical and Experimental Metabolism
ISSN : 2572-2492
Launched : 2016
Clinical Research in Infectious Diseases
ISSN : 2379-0636
Launched : 2013
JSM Microbiology
ISSN : 2333-6455
Launched : 2013
Journal of Urology and Research
ISSN : 2379-951X
Launched : 2014
Journal of Family Medicine and Community Health
ISSN : 2379-0547
Launched : 2013
Annals of Pregnancy and Care
ISSN : 2578-336X
Launched : 2017
JSM Cell and Developmental Biology
ISSN : 2379-061X
Launched : 2013
Annals of Aquaculture and Research
ISSN : 2379-0881
Launched : 2014
Clinical Research in Pulmonology
ISSN : 2333-6625
Launched : 2013
Journal of Immunology and Clinical Research
ISSN : 2333-6714
Launched : 2013
Annals of Forensic Research and Analysis
ISSN : 2378-9476
Launched : 2014
JSM Biochemistry and Molecular Biology
ISSN : 2333-7109
Launched : 2013
Annals of Breast Cancer Research
ISSN : 2641-7685
Launched : 2016
Annals of Gerontology and Geriatric Research
ISSN : 2378-9409
Launched : 2014
Journal of Sleep Medicine and Disorders
ISSN : 2379-0822
Launched : 2014
JSM Burns and Trauma
ISSN : 2475-9406
Launched : 2016
Chemical Engineering and Process Techniques
ISSN : 2333-6633
Launched : 2013
Annals of Clinical Cytology and Pathology
ISSN : 2475-9430
Launched : 2014
JSM Allergy and Asthma
ISSN : 2573-1254
Launched : 2016
Journal of Neurological Disorders and Stroke
ISSN : 2334-2307
Launched : 2013
Annals of Sports Medicine and Research
ISSN : 2379-0571
Launched : 2014
JSM Sexual Medicine
ISSN : 2578-3718
Launched : 2016
Annals of Vascular Medicine and Research
ISSN : 2378-9344
Launched : 2014
JSM Biotechnology and Biomedical Engineering
ISSN : 2333-7117
Launched : 2013
Journal of Hematology and Transfusion
ISSN : 2333-6684
Launched : 2013
JSM Environmental Science and Ecology
ISSN : 2333-7141
Launched : 2013
Journal of Cardiology and Clinical Research
ISSN : 2333-6676
Launched : 2013
JSM Nanotechnology and Nanomedicine
ISSN : 2334-1815
Launched : 2013
Journal of Ear, Nose and Throat Disorders
ISSN : 2475-9473
Launched : 2016
JSM Ophthalmology
ISSN : 2333-6447
Launched : 2013
Journal of Pharmacology and Clinical Toxicology
ISSN : 2333-7079
Launched : 2013
Annals of Psychiatry and Mental Health
ISSN : 2374-0124
Launched : 2013
Medical Journal of Obstetrics and Gynecology
ISSN : 2333-6439
Launched : 2013
JSM Clinical Pharmaceutics
ISSN : 2379-9498
Launched : 2014
JSM Foot and Ankle
ISSN : 2475-9112
Launched : 2016
JSM Alzheimer's Disease and Related Dementia
ISSN : 2378-9565
Launched : 2014
Journal of Addiction Medicine and Therapy
ISSN : 2333-665X
Launched : 2013
Journal of Veterinary Medicine and Research
ISSN : 2378-931X
Launched : 2013
Annals of Public Health and Research
ISSN : 2378-9328
Launched : 2014
Annals of Orthopedics and Rheumatology
ISSN : 2373-9290
Launched : 2013
Journal of Clinical Nephrology and Research
ISSN : 2379-0652
Launched : 2014
Annals of Community Medicine and Practice
ISSN : 2475-9465
Launched : 2014
Annals of Biometrics and Biostatistics
ISSN : 2374-0116
Launched : 2013
JSM Clinical Case Reports
ISSN : 2373-9819
Launched : 2013
Journal of Cancer Biology and Research
ISSN : 2373-9436
Launched : 2013
Journal of Surgery and Transplantation Science
ISSN : 2379-0911
Launched : 2013
Journal of Dermatology and Clinical Research
ISSN : 2373-9371
Launched : 2013
JSM Gastroenterology and Hepatology
ISSN : 2373-9487
Launched : 2013
Annals of Nursing and Practice
ISSN : 2379-9501
Launched : 2014
JSM Dentistry
ISSN : 2333-7133
Launched : 2013
Author Information X