Loading

Annals of Vascular Medicine and Research

An In Vitro Study of Long-Term Cryopreserved Umbilical Cord Expression of Vascular Endothelial Growth Factor (VEGF)

Research Article | Open Access | Volume 11 | Issue 2

  • 1. Department of Plastic Surgery, Kitasato University Medical Center, Japan
  • 2. Department of Plastic and Aesthetic Surgery, Kitasato University, Japan
+ Show More - Show Less
Corresponding Authors
Kyoko Baba, Department of Plastic and Aesthetic Surgery, School of Medicine, Kitasato University, 1-15-1 Kitasato, Minami-ku, Sagamihara, Kanagawa 252-0374, Japan
Abstract

VEGF-A-expressing cells were observed throughout the entire cross-section of the UC. The results of this study, in which VEGF-A was expressed, suggest that UCs may be able to contribute to angiogenesis even after long-term cryopreservation for 7 years. Cryopreservation affects tissue activity. Based on our results, the authors believe that UC can be a useful biomaterial in the clinical application of regenerative medicine.

Keywords

• VEGF

• Umbilical cord

• Mesenchymal stem cells

• Cryopreservation

• Regenerative medicine

Citaton

Baba K, Sugimoto Y, Moriyama K, Kumazawa K, Sugimoto T, et al. (2024) An In Vitro Study of Long-Term Cryopreserved Umbilical Cord Expression of Vascular Endothelial Growth Factor (VEGF). Ann Vasc Med Res 11(2): 1180

ABBREVIATIONS

VEGF: Vascular Endothelial Growth Factor; MSCs: Mesenchymal Stem Cells; UC: Umbilical Cord; UCB: Umbilical Cord Blood; OCT: Compound: Optimal Cutting Temperature Compound; PBS: Phosphate-Buffered Saline; DAPI: 4’,6-diamidino-2-phenylindole; HE: Hematoxylin and Eosin; EPCs: Endothelial Progenitor Cells; UC-MSCs: Umbilical Cord derived Mesenchymal Stem Cells

INTRODUCTION

Recent studies [1-4] revealed the presence of mesenchymal stem cells (MSCs) in various tissues. The umbilical cord (UC) is also one of the tissues where MSCs are present [5,6]. The UC, whose abundant tissue volume is noninvasively available from the neonate at birth, has good clinical applicability for autologous use if allowed to be used as autologous tissue, causing fewer ethical, medical, and safety issues. It has been reported that MSCs secrete Vascular Endothelial Growth Factor (VEGF) [7]. To the best of our knowledge, some studies on growth factors contained in UCB [8,9] have been found, but there have been no studies on UC cryopreserved for a long period. UC collected at birth needs to be cryopreserved until the time of use. In this study, we focused on the cryopreserved UC. The present study is preliminary and unique in that the authors determined the expression of VEGF in UC cryopreserved for a long period of time.

MATERIALS AND METHODS

Ethical Consideration

This study was approved by the ethics committee at Kitasato University (approval number: B-07-13) after obtaining written informed consent from all enrolled pregnant women. The collected samples of UC were numbered in order not to allow individual identification.

Preparation of UC

UC was collected from full-term neonates who had not presented with any problems during pregnancy and delivery. Figure 1 shows an outline of the experiment.

Overview of the study. Umbilical cord; UC

Figure 1: Overview of the study. Umbilical cord; UC

The UC was cut into approximately 10-cm sections and washed with phosphatebuffered saline (PBS; Wako Pure Chemical Industries Co., Ltd., Osaka, Japan) until no attached blood remained. The UC was cut into approximately 2-cm sections. Subsequently, the UC sections were suspended in a solution for tissue cryopreservation: LaboBanker2™ (TOSC, Tokyo, Japan) and stored at -80? until the time of use. UCs, which had been cryopreserved for 7 years or longer, were thawed at room temperature [Figure 2a,b].

Pretreatment of the umbilical cord.  a) Cross section of the UC: Finding before cryopreservation The umbilical cord was washed up to the moment when no attached blood remained also in the vascular lumen. The cross section identified the  umbilical vein and arteries. Figure cited from the author’s previous research report: ref. 17 b) Cross section of the UC: Finding after cryopreservation;  UC, which had been cryopreserved for 7 years or longer, were thawed at room temperature.

Figure 2: Pretreatment of the umbilical cord.

a) Cross section of the UC: Finding before cryopreservation The umbilical cord was washed up to the moment when no attached blood remained also in the vascular lumen. The cross section identified the umbilical vein and arteries. Figure cited from the author’s previous research report: ref. 17

b) Cross section of the UC: Finding after cryopreservation; UC, which had been cryopreserved for 7 years or longer, were thawed at room temperature.

Histological and immunohistochemical assessments

Specimens removed from LaboBanker2™ (TOSC, Tokyo, Japan) were cut into 5 mm-sized pieces after washing. Cryosections were prepared by encapsulating the sections in Optimal Cutting Temperature (OCT) compound. In accordance with a previous report [10], thin sections (4µm) were prepared by Kawamoto’s method. Briefly, the OCT compound of the specimen was removed, and the specimen was washed three times with PBS. For histological assessment, the unfixed sections were stained with H&E and observed with an optical microscope (Axioskop 2 plus; Carl Zeiss, Jena, Germany). For immunohistochemical assessments, the unfixed sections were blocked with Blocking One™ (NACALAI TESQUE, INC. Kyoto Japan) at room temperature for 30 min. Subsequently, the Anti-VEGF-A antibody (#ab46154 Abcam, Cambridge, UK) was used as the primary antibody and incubated overnight at 4°C. After washing with PBS 3 times, Alexa Fluor 488 Goat anti-rabbit IgG (#A11008, Invitrogen, California, US) was used as the fluorescent secondary antibody.Sections were stained with DAPI (DAPI Solution #62248, Invitrogen, California US) and sealed in Fluoromount™ (Diagnostic BioSystem Hague, Netherlands). Images were captured using a confocal scanning laser microscope (LSM710; Carl Zeiss, Jena, Germany).

RESULTS AND DISCUSSION

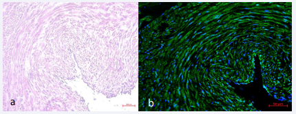
VEGF-A-expressing cells were observed throughout the entire cross-section of the UC [Figure 3a,b].

Histopathological and immunohistochemical findings a) Hematoxylin and eosin (HE) staining: HE staining showing spindle-shaped cells. The solid arrow indicates the umbilical vein. Bar: 500 ?m. b) Immunohistochemical staining: Anti-VEGF-A antibody/DAPI  VEGF-A-expressing cells were observed throughout the entire cross-section of the UC. Bar: 50 ?m

Figure 3: Histopathological and immunohistochemical findings

a) Hematoxylin and eosin (HE) staining: HE staining showing spindle-shaped cells. The solid arrow indicates the umbilical vein. Bar: 500 μm.

b) Immunohistochemical staining: Anti-VEGF-A antibody/DAPI VEGF-A-expressing cells were observed throughout the entire cross-section of the UC. Bar: 50 μm

VEGF-A binds to VEGFR-2, which is specifically expressed on vascular endothelial cells. Its functions include the regulation of gene expression of angiogenesis-related factors, the proliferation and migration of vascular endothelial cells, and vascular permeability [11,12]. The presence of EPCs, which express VEGF, has been reported not only in early embryonic stages but also in late embryonic stages and beyond [13]. The expression of VEGF and the reception of its signals during the embryonic period are thought to be regulated [11]. Therefore, it has not been determined whether the expression of VEGF-A identified in this study was due to MSCs, EPCs, or other cell types. Regardless of its origin, the results of this study, in which VEGF-A was expressed, suggest that UCs may be able to contribute to angiogenesis even after long-term cryopreservation for 7 years.

In recent years, there have been reports of the clinical application of UC-MSCs as allogeneic regenerative medical materials [14]. However, there have been few reports of the clinical application of UC-MSCs as autologous tissue. Some reports have examined the expression of VEGF in UC-MSCs to diagnose the condition of the mother and fetus [15]. However, this study investigated the expression of VEGF in UC-MSCs for use in treatment, not for diagnosis. When intending to apply MSCs clinically, the authors consider autologous tissues preferable from the viewpoints of safety and ethics. The UC is usable as autologous tissue and can be collected noninvasively and easily at birth. UC collected at birth needs to be cryopreserved until use. Cryopreservation affects tissue activity [16]. Based on our results, the authors believe that UC can be a useful biomaterial in the clinical application of regenerative medicine

LIMITATIONS

In this study, we could not confirm the expression of VEGF-A in the umbilical cord prior to freezing. The number and volume of tissue samples were limited because they were obtained in clinical settings.

CONCLUSION

The authors determined the expression of VEGF in UC that had been cryopreserved for 7 years. Thus, the potential for angiogenesis in UC cryopreserved for 7 years was suggested. UC can be a useful biomaterial in the clinical application of regenerative medicine.

ACKNOWLEDGEMENTS

Support was provided by a grant-in-aid for scientific research(C) 20K09871 from the Ministry of Education, Culture, Sports, Science and Technology, Japan. The authors are grateful to Yukiko Kato for valuable contributions to this manuscript.

REFERENCES
  1. Sarugaser R, Lickorish D, Baksh D, Hosseini MM, Davies JE. Human umbilical cord perivascular (HUCPV) cells: A source of mesenchymal progenitors. Stem Cells. 2005; 23: 220-209.
  2. Kern S, Eichler H, Stoeve J, Kluter H, Bieback K. Comparative analysis of mesenchymal stem cells from bone marrow, umbilical cord blood or adipose tissue. Stem Cells. 2006; 24: 1294-1301.
  3. Pivorin?as A, Bernotiene E, Unguryte A, Valiuniene S, Drasutiene G, Venalis A. Isolation and differentiation of mesenchymal stem-like cells from human umbilical cord vein endothelium and subendothelium. Biologija. 2006; 2: 99-103.
  4. Baba K, Yamazaki Y, Ishiguro M, Kumazawa K, Aoyagi K, Ikemoto S, et al. Osteogenic potential of human umbilical cord-derived mesenchymal stromal cells cultured with umbilical cord blood- derived fibrin: A preliminary study. J Craniomaxillofac Surg. 2013.; 41: 775-782.
  5. Yamada Y, Ito K, Nakamura S, Ueda M, Nagasaka T. Promising cell- based therapy for bone regeneration using stem cells from deciduous teeth, dental pulp, and bone marrow. Cell Transplant. 2011; 20: 1003-1013.
  6. Murphy MB, Blashki D, Buchanan RM, Yazdi IK, Ferrari M, Simmons PJ, et al. Adult and umbilical cord blood-derived platelet-rich plasma for mesenchymal stem cell proliferation, chemotaxis, and cryo- preservation. Biomaterials. 2012; 33: 5308-5316.
  7. Ge Q, Zhang H, Hou J, Wan L, Cheng W, Wang X, et al. VEGF secreted by mesenchymal stem cells mediates the differentiation of endothelial progenitor cells into endothelial cells via paracrine mechanisms. Mol Med Rep. 2018; 17: 1667-1675.
  8. Rebulla P, Pupella S, Santodirocco M, Greppi N, Villanova I, Buzzi M, et al. Multicentre standardisation of a clinical grade procedure for the preparation of allogeneic platelet concentrates from umbilical cord blood. Blood Transfus. 2016; 14: 73-79.
  9. Baba K, Yamazaki Y, Sone Y, Sugimoto Y, Moriyama K, Sugimoto T, et al. An in vitro long-term study of cryopreserved umbilical cord blood- derived platelet-rich plasma containing growth factors: PDGF-BB, TGF-β, and VEGF. J Craniomaxillofac Surg. 2019; 47: 668-675.
  10. Kashiwagi S, Hosono K, Suzuki T, Takeda A, Uchinuma E, Majima M. Role of COX-2 in lymphangiogenesis and restoration of lymphatic flow in secondary lymphedema. Lab Invest. 2011; 91: 1314-1325.
  11. Beckermann BM, Kallifatidis G, Groth A, Frommhold D, Apel A, Mattern J, et al. VEGF expression by mesenchymal stem cells contributes to angiogenesis in pancreatic carcinoma. Br J Cancer. 2008; 99: 622-631.
  12. Shintani S, Murohara T. Angiogenic Cytokine: VEGF. J Jpn Coll Angiol. 2006; 46: 289-295.
  13. Asahara T, Murohara T, Sullivan A, Silver M, van der Zee R, Li T, et al. Isolation of putative progenitor endothelial cells for angiogenesis. Science. 1997; 275: 964-967.
  14. Xiong N, Zhang Z, Huang J, Chen C, Zhang Z, Jia M, et al. VEGF- expressing human umbilical cord m esenchymal stem cells, animproved therapy strategy for Parkinson’s disease. Gene Ther. 2011; 18: 394-402.
  15. Bie?ko K, Leszcz M, Wi?ckowska M, Bia?ek J, Petniak A, Szymanowski R, et al. VEGF expression in umbilical cord MSC depends on the patient’s health, the week of pregnancy in which the delivery took place, and the body weight of the newborn: Preliminary report. Stem Cells Cloning. 2023; 16: 5-18.
  16. Baba K, Yamazaki Y, Ikemoto S, Aoyagi K, Takeda A, Uchinuma E. Osteogenic potential of human umbilical cord-derived mesenchymal stromal cells cultured with umbilical cord blood-derived autoserum. J Craniomaxillofac Surg. 2012; 40: 768-772.

Baba K, Sugimoto Y, Moriyama K, Kumazawa K, Sugimoto T, et al. (2024) An In Vitro Study of Long-Term Cryopreserved Umbilical Cord Expression of Vascular Endothelial Growth Factor (VEGF). Ann Vasc Med Res 11(2): 1180.

Received : 07 Jul 2024
Accepted : 08 Aug 2024
Published : 09 Aug 2024
Journals
Annals of Otolaryngology and Rhinology
ISSN : 2379-948X
Launched : 2014
JSM Schizophrenia
Launched : 2016
Journal of Nausea
Launched : 2020
JSM Internal Medicine
Launched : 2016
JSM Hepatitis
Launched : 2016
JSM Oro Facial Surgeries
ISSN : 2578-3211
Launched : 2016
Journal of Human Nutrition and Food Science
ISSN : 2333-6706
Launched : 2013
JSM Regenerative Medicine and Bioengineering
ISSN : 2379-0490
Launched : 2013
JSM Spine
ISSN : 2578-3181
Launched : 2016
Archives of Palliative Care
ISSN : 2573-1165
Launched : 2016
JSM Nutritional Disorders
ISSN : 2578-3203
Launched : 2017
Annals of Neurodegenerative Disorders
ISSN : 2476-2032
Launched : 2016
Journal of Fever
ISSN : 2641-7782
Launched : 2017
JSM Bone Marrow Research
ISSN : 2578-3351
Launched : 2016
JSM Mathematics and Statistics
ISSN : 2578-3173
Launched : 2014
Journal of Autoimmunity and Research
ISSN : 2573-1173
Launched : 2014
JSM Arthritis
ISSN : 2475-9155
Launched : 2016
JSM Head and Neck Cancer-Cases and Reviews
ISSN : 2573-1610
Launched : 2016
JSM General Surgery Cases and Images
ISSN : 2573-1564
Launched : 2016
JSM Anatomy and Physiology
ISSN : 2573-1262
Launched : 2016
JSM Dental Surgery
ISSN : 2573-1548
Launched : 2016
Annals of Emergency Surgery
ISSN : 2573-1017
Launched : 2016
Annals of Mens Health and Wellness
ISSN : 2641-7707
Launched : 2017
Journal of Preventive Medicine and Health Care
ISSN : 2576-0084
Launched : 2018
Journal of Chronic Diseases and Management
ISSN : 2573-1300
Launched : 2016
Annals of Vaccines and Immunization
ISSN : 2378-9379
Launched : 2014
JSM Heart Surgery Cases and Images
ISSN : 2578-3157
Launched : 2016
Annals of Reproductive Medicine and Treatment
ISSN : 2573-1092
Launched : 2016
JSM Brain Science
ISSN : 2573-1289
Launched : 2016
JSM Biomarkers
ISSN : 2578-3815
Launched : 2014
JSM Biology
ISSN : 2475-9392
Launched : 2016
Archives of Stem Cell and Research
ISSN : 2578-3580
Launched : 2014
Annals of Clinical and Medical Microbiology
ISSN : 2578-3629
Launched : 2014
JSM Pediatric Surgery
ISSN : 2578-3149
Launched : 2017
Journal of Memory Disorder and Rehabilitation
ISSN : 2578-319X
Launched : 2016
JSM Tropical Medicine and Research
ISSN : 2578-3165
Launched : 2016
JSM Head and Face Medicine
ISSN : 2578-3793
Launched : 2016
JSM Cardiothoracic Surgery
ISSN : 2573-1297
Launched : 2016
JSM Bone and Joint Diseases
ISSN : 2578-3351
Launched : 2017
JSM Bioavailability and Bioequivalence
ISSN : 2641-7812
Launched : 2017
JSM Atherosclerosis
ISSN : 2573-1270
Launched : 2016
Journal of Genitourinary Disorders
ISSN : 2641-7790
Launched : 2017
Journal of Fractures and Sprains
ISSN : 2578-3831
Launched : 2016
Journal of Autism and Epilepsy
ISSN : 2641-7774
Launched : 2016
Annals of Marine Biology and Research
ISSN : 2573-105X
Launched : 2014
JSM Health Education & Primary Health Care
ISSN : 2578-3777
Launched : 2016
JSM Communication Disorders
ISSN : 2578-3807
Launched : 2016
Annals of Musculoskeletal Disorders
ISSN : 2578-3599
Launched : 2016
Annals of Virology and Research
ISSN : 2573-1122
Launched : 2014
JSM Renal Medicine
ISSN : 2573-1637
Launched : 2016
Journal of Muscle Health
ISSN : 2578-3823
Launched : 2016
JSM Genetics and Genomics
ISSN : 2334-1823
Launched : 2013
JSM Anxiety and Depression
ISSN : 2475-9139
Launched : 2016
Clinical Journal of Heart Diseases
ISSN : 2641-7766
Launched : 2016
Annals of Medicinal Chemistry and Research
ISSN : 2378-9336
Launched : 2014
JSM Pain and Management
ISSN : 2578-3378
Launched : 2016
JSM Women's Health
ISSN : 2578-3696
Launched : 2016
Clinical Research in HIV or AIDS
ISSN : 2374-0094
Launched : 2013
Journal of Endocrinology, Diabetes and Obesity
ISSN : 2333-6692
Launched : 2013
Journal of Substance Abuse and Alcoholism
ISSN : 2373-9363
Launched : 2013
JSM Neurosurgery and Spine
ISSN : 2373-9479
Launched : 2013
Journal of Liver and Clinical Research
ISSN : 2379-0830
Launched : 2014
Journal of Drug Design and Research
ISSN : 2379-089X
Launched : 2014
JSM Clinical Oncology and Research
ISSN : 2373-938X
Launched : 2013
JSM Bioinformatics, Genomics and Proteomics
ISSN : 2576-1102
Launched : 2014
JSM Chemistry
ISSN : 2334-1831
Launched : 2013
Journal of Trauma and Care
ISSN : 2573-1246
Launched : 2014
JSM Surgical Oncology and Research
ISSN : 2578-3688
Launched : 2016
Annals of Food Processing and Preservation
ISSN : 2573-1033
Launched : 2016
Journal of Radiology and Radiation Therapy
ISSN : 2333-7095
Launched : 2013
JSM Physical Medicine and Rehabilitation
ISSN : 2578-3572
Launched : 2016
Annals of Clinical Pathology
ISSN : 2373-9282
Launched : 2013
Annals of Cardiovascular Diseases
ISSN : 2641-7731
Launched : 2016
Journal of Behavior
ISSN : 2576-0076
Launched : 2016
Annals of Clinical and Experimental Metabolism
ISSN : 2572-2492
Launched : 2016
Clinical Research in Infectious Diseases
ISSN : 2379-0636
Launched : 2013
JSM Microbiology
ISSN : 2333-6455
Launched : 2013
Journal of Urology and Research
ISSN : 2379-951X
Launched : 2014
Journal of Family Medicine and Community Health
ISSN : 2379-0547
Launched : 2013
Annals of Pregnancy and Care
ISSN : 2578-336X
Launched : 2017
JSM Cell and Developmental Biology
ISSN : 2379-061X
Launched : 2013
Annals of Aquaculture and Research
ISSN : 2379-0881
Launched : 2014
Clinical Research in Pulmonology
ISSN : 2333-6625
Launched : 2013
Journal of Immunology and Clinical Research
ISSN : 2333-6714
Launched : 2013
Annals of Forensic Research and Analysis
ISSN : 2378-9476
Launched : 2014
JSM Biochemistry and Molecular Biology
ISSN : 2333-7109
Launched : 2013
Annals of Breast Cancer Research
ISSN : 2641-7685
Launched : 2016
Annals of Gerontology and Geriatric Research
ISSN : 2378-9409
Launched : 2014
Journal of Sleep Medicine and Disorders
ISSN : 2379-0822
Launched : 2014
JSM Burns and Trauma
ISSN : 2475-9406
Launched : 2016
Chemical Engineering and Process Techniques
ISSN : 2333-6633
Launched : 2013
Annals of Clinical Cytology and Pathology
ISSN : 2475-9430
Launched : 2014
JSM Allergy and Asthma
ISSN : 2573-1254
Launched : 2016
Journal of Neurological Disorders and Stroke
ISSN : 2334-2307
Launched : 2013
Annals of Sports Medicine and Research
ISSN : 2379-0571
Launched : 2014
JSM Sexual Medicine
ISSN : 2578-3718
Launched : 2016
JSM Biotechnology and Biomedical Engineering
ISSN : 2333-7117
Launched : 2013
Journal of Hematology and Transfusion
ISSN : 2333-6684
Launched : 2013
JSM Environmental Science and Ecology
ISSN : 2333-7141
Launched : 2013
Journal of Cardiology and Clinical Research
ISSN : 2333-6676
Launched : 2013
JSM Nanotechnology and Nanomedicine
ISSN : 2334-1815
Launched : 2013
Journal of Ear, Nose and Throat Disorders
ISSN : 2475-9473
Launched : 2016
JSM Ophthalmology
ISSN : 2333-6447
Launched : 2013
Journal of Pharmacology and Clinical Toxicology
ISSN : 2333-7079
Launched : 2013
Annals of Psychiatry and Mental Health
ISSN : 2374-0124
Launched : 2013
Medical Journal of Obstetrics and Gynecology
ISSN : 2333-6439
Launched : 2013
Annals of Pediatrics and Child Health
ISSN : 2373-9312
Launched : 2013
JSM Clinical Pharmaceutics
ISSN : 2379-9498
Launched : 2014
JSM Foot and Ankle
ISSN : 2475-9112
Launched : 2016
JSM Alzheimer's Disease and Related Dementia
ISSN : 2378-9565
Launched : 2014
Journal of Addiction Medicine and Therapy
ISSN : 2333-665X
Launched : 2013
Journal of Veterinary Medicine and Research
ISSN : 2378-931X
Launched : 2013
Annals of Public Health and Research
ISSN : 2378-9328
Launched : 2014
Annals of Orthopedics and Rheumatology
ISSN : 2373-9290
Launched : 2013
Journal of Clinical Nephrology and Research
ISSN : 2379-0652
Launched : 2014
Annals of Community Medicine and Practice
ISSN : 2475-9465
Launched : 2014
Annals of Biometrics and Biostatistics
ISSN : 2374-0116
Launched : 2013
JSM Clinical Case Reports
ISSN : 2373-9819
Launched : 2013
Journal of Cancer Biology and Research
ISSN : 2373-9436
Launched : 2013
Journal of Surgery and Transplantation Science
ISSN : 2379-0911
Launched : 2013
Journal of Dermatology and Clinical Research
ISSN : 2373-9371
Launched : 2013
JSM Gastroenterology and Hepatology
ISSN : 2373-9487
Launched : 2013
Annals of Nursing and Practice
ISSN : 2379-9501
Launched : 2014
JSM Dentistry
ISSN : 2333-7133
Launched : 2013
Author Information X