Loading

Annals of Vascular Medicine and Research

Congenital Malformations of the Tricuspid Valve: Diagnosis and Management-Part I

Review Article | Open Access | Volume 9 | Issue 2

  • 1. Children’s Heart Institute, University of Texas at Houston, McGovern Medical School and Children’s Memorial Hermann Hospital, USA
+ Show More - Show Less
Corresponding Authors
P. Syamasundar Rao, Children’s Heart Institute, UT Health McGovern Medical School, 6410 Fannin Street, Suite # 425, Houston, TX 77030, USA; Email: P.Syamasundar.Rao@uth.tmc.edu
Abstract

Most commonly encountered congenital malformations of the tricuspid valve are tricuspid atresia, Ebstein’s malformation of the tricuspid valve, and Ebstein’s type of anomaly of the morphologic tricuspid valve on the left-side in subjects with congenital corrected transposition of the great arteries. In this Part I of this series tricuspid atresia is reviewed. The pathologic and pathophysiologic features of tricuspid atresia are enumerated followed by a discussion of techniques of diagnosis and management methods. It was concluded that congenital tricuspid atresia can be effectively diagnosed with the currently available non-invasive and invasive investigative techniques and this defect can successfully be managed with the existing therapeutic medical and surgical methods

Citation

Syamasundar Rao P (2022) Congenital Malformations of the Tricuspid Valve: Diagnosis and Management-Part I. Ann Vasc Med Res 9(2): 1143.

INTRODUCTION

A number of congenital malformations of the tricuspid valve have been described and these include, tricuspid atresia, tricuspid stenosis, tricuspid insufficiency, Ebstein’s anomaly of the tricuspid valve, and Ebstein’s type of abnormality of the morphologic tricuspid valve on the left-side in patients with congenital corrected transposition of the great arteries (CCTGA) [1,2]. In these reviews, tricuspid atresia, Ebstein’s anomaly of the tricuspid valve and Ebstein’s type of abnormality of left atrioventricular (AV) valve in CCTGA will be discussed. In this Part I, tricuspid atresia will be reviewed while Ebstein’s anomaly of the tricuspid valve and Ebstein’s type of abnormality of left AV valve in CCTGA will be addressed in Part II of these reviews. Initially, pathology and pathophysiology of tricuspid atresia will be presented followed by the diagnostic features by multiple laboratory techniques and methods of management.

Figure 1 Diagrammatic portrayal of anatomic types of tricuspid atresia based on the morphology of the atretic tricuspid valve. A) muscular type, B) membranous type, C) valvular type, D) Ebstein’s type, E) atrioventricular canal type, and F) unguarded valve with muscular shelf. The prevalence of each is shown under each diagram. For the sake of simplicity, the great vessels are not shown. Also note that no ventricular septal defects are shown. LA, left atrium; LV, left ventricle; RA, right atrium; RV right ventricle [17].

Figure 1: Diagrammatic portrayal of anatomic types of tricuspid atresia based on the morphology of the atretic tricuspid valve. A) muscular type, B) membranous type, C) valvular type, D) Ebstein’s type, E) atrioventricular canal type, and F) unguarded valve with muscular shelf. The prevalence of each is shown under each diagram. For the sake of simplicity, the great vessels are not shown. Also note that no ventricular septal defects are shown. LA, left atrium; LV, left ventricle; RA, right atrium; RV right ventricle [17].

Tricuspid Atresia

Tricuspid atresia (TA) is a cyanotic, congenital heart defect (CHD) and is defined as congenital absence or agenesis of the morphologic tricuspid valve [3,4]. The exact prevalence of TA is not known. An extensive evaluation of the published literature revealed a prevalence of 2.9% in autopsy cases and a prevalence of 1.4% to 1.5% in clinical cases of CHD [5,6].

Pathologic Anatomy

The Right Atrium (RA) is enlarged and the tricuspid valve is atretic. In the most common muscular variety, atretic tricuspid valve is seen as a dimple or a localized fibrous thickening in the floor of the RA at the anticipated site of the tricuspid valve [7]. No valvar material can be recognized either on gross or microscopic examination [7]. Other anatomic types, namely, membranous [8,9], valvular [7,9-11], Ebstein’s [8,12-14], atrioventricular canal [15], and unguarded with muscular shelf [16] have characteristic appearances and are diagrammatically portrayed in Figure 1 [17].

An inter-atrial defect is necessary for survival and is typically a stretched Patent Foramen Ovale (PFO). However, occasionally an ostium secundum Atrial Septal Defect (ASD) or an ostium primum ASD may be present facilitating right-to-left shunt. The left atrium is enlarged, especially when the pulmonary blood flow is increased. The mitral valve is usually bicuspid and morphologically a mitral valve. However, its orifice is large and occasionally incompetent. The left ventricle is evidently a morphological left ventricle, but it is enlarged and hypertrophied. The Right Ventricle (RV) is hypoplastic and is not sufficiently large in size to support pulmonary circulation.

Figure 2 The systemic arterial saturations (left ventricular [LV] or aortic [Ao]) in patients with tricuspid atresia are plotted against the respective pulmonary to systemic blood flow ratios (Qp:Qs). Both Type I and Type II anatomy are included. Note the curvilinear relationship between the two parameters. At low Qp:Qs levels, a slight increase in Qp:Qs produces large increases in systemic O2  saturation, whereas at higher Qp:Qs levels, a further increase does not produce a significant increase in O2  saturation. The ideal Qp:Qs appears to be between 1.5 and 2.5, giving O2  saturations in the low 80s. Aortic saturations are marked as solid circles and LV saturations as open circles [17].

Figure 2 The systemic arterial saturations (left ventricular [LV] or aortic [Ao]) in patients with tricuspid atresia are plotted against the respective pulmonary to systemic blood flow ratios (Qp:Qs). Both Type I and Type II anatomy are included. Note the curvilinear relationship between the two parameters. At low Qp:Qs levels, a slight increase in Qp:Qs produces large increases in systemic O2 saturation, whereas at higher Qp:Qs levels, a further increase does not produce a significant increase in O2 saturation. The ideal Qp:Qs appears to be between 1.5 and 2.5, giving O2 saturations in the low 80s. Aortic saturations are marked as solid circles and LV saturations as open circles [17].

The ventricular septum is intact in a rare patient, but usually a Ventricular Septal Defect (VSD) is present; this may be large or small, or multiple VSDs may be seen. The VSD may be: conoventricular or perimembranous type, located inferior to the septal band; conal septal malalignment type, located in between the anterosuperior and posteroinferior limbs of the septal band; muscular, located inferiorly in the muscular septum; or rarely of AV canal type. In our personal experience, the VSDs are most commonly muscular [18-21]. These VSDs are usually restrictive and cause sub-pulmonary obstruction in patients with normally related great arteries and sub-aortic stenosis in patients with transposition of the great arteries [18-26].

Figure 3 Chest roentgenograms (Postero-anterior views) of a baby with tricuspid atresia showing an enlarged cardiac size and increased pulmonary vascular markings (A); during follow-up, the size of the heart diminished and the pulmonary vascular markings decreased (B & C). Echocardiographic and angiographic studies demonstrated a progressive decrease in the size of the ventricular septal defect [17].

Figure 3: Chest roentgenograms (Postero-anterior views) of a baby with tricuspid atresia showing an enlarged cardiac size and increased pulmonary vascular markings (A); during follow-up, the size of the heart diminished and the pulmonary vascular markings decreased (B & C). Echocardiographic and angiographic studies demonstrated a progressive decrease in the size of the ventricular septal defect [17].

The great vessel relationship is variable and forms the basis for clinically useful classification [3], and is listed in Table 1. The ascending aorta is either normal or slightly larger than normal. The RV outflow tract is atretic, narrowed, or normal depending upon the subgroup (a, b, or c-see Table1, bottom section). In patients with normally related great arteries (Type I) the right ventricular outflow obstruction is frequently at the VSD level although sub-valvar or valvar (very rare) pulmonary stenosis or narrow tract of the hypoplastic RV may occasionally be responsible for such obstruction. In cases with transposition of the great arteries (Type II), the obstruction is usually sub-valvar. In cases with pulmonary atresia, either a patent ductus arteriosus (PDA) or aortopulmonary collateral vessels are present.

Other abnormalities may be present in nearly 30% of tricuspid atresia cases [28]; significant amongst these are coarctation of the aorta, particularly in Type II (transposition) cases, and persistent left superior vena cava (SVC), which have therapeutic implications.

Pathophysiology

Because of the atretic tricuspid valve the entire systemic venous return is transmitted across the atrial septum either via a PFO or ASD. This obligatory right-to-left shunt mixes with the pulmonary venous return in the left atrium. The mixed pulmonary and systemic venous (including coronary) blood enters the left ventricle.

Figure 4 Twelve lead electrocardiogram showing abnormal, superiorly oriented mean QRS vector in frontal plane (-45°, left axis deviation), left ventricular hypertrophy, and diminished anterior (R waves in leads V1 and V2) and rightward (S waves in leads V5 and V6) forces. Prominent P waves, indicative of biatrial enlargement, are also seen in several leads. This electrocardiogram is highly suggestive of tricuspid atresia [17].

Figure 4: Twelve lead electrocardiogram showing abnormal, superiorly oriented mean QRS vector in frontal plane (-45°, left axis deviation), left ventricular hypertrophy, and diminished anterior (R waves in leads V1 and V2) and rightward (S waves in leads V5 and V6) forces. Prominent P waves, indicative of biatrial enlargement, are also seen in several leads. This electrocardiogram is highly suggestive of tricuspid atresia [17].

In babies with normally related great arteries and a VSD (Types Ib and Ic), left-to-right shunt occurs across the ventricular septum with resultant perfusion of the lungs. If there is no VSD (Type Ia), the lungs are perfused either via a PDA or through aortopulmonary collateral vessels. The existence of either a VSD or other means of blood supply to the lungs is critical for the baby’s survival. The blood flow into the aorta is derived directly from the left ventricle, a mixture of pulmonary and systemic venous returns.

In babies with d-transposition of the great arteries (Type II), the pulmonary blood flow comes directly from the left ventricle. The systemic blood flow is through the VSD and RV.

In Type III, Subtype 1 with l-transposition of the great arteries, the atretic morphologic tricuspid valve is on the left side. Consequently, it is mitral (pulmonary venous atrial) valve obstruction. In other Type III and Type IV [29], babies, the systemic and pulmonary blood flows are largely determined by the size of the VSD and other associated defects.

The above-described pathophysiology results in arterial desaturation and left ventricular volume overloading. The arterial desaturation is related to complete mixture of the systemic, coronary, and pulmonary venous blood in the left atrium and left ventricle. The left ventricular volume overloading occurs because the entire systemic, coronary, and pulmonary venous blood returns have to be pumped by the left ventricle; this is further increased if the pulmonary blood flow is increased either because of mild or no obstruction to the pulmonary outflow tract or because of large surgically created aorto-pulmonary shunts. Both these tend to produce heart failure.

The oxygen saturation is proportional to the amount of the pulmonary blood flow [30,31]. The quantity of pulmonary blood flow is inversely proportional to the degree of obstruction of the pulmonary outflow tract and directly proportional to the size of the PDA when such is present. If a systemic-to-pulmonary artery shunt has been performed by surgery, the pulmonary blood flow is proportional to the size of the shunt. The pulmonary-to-systemic blood flow ratio (Qp:Qs) which represents the pulmonary blood flow has a curvilinear relationship with the arterial oxygen saturation (Figure 2). A Qp:Qs of 1.5 to 2.5 results in an adequate systemic arterial oxygen saturation [31]. An additional increase in Qp:Qs not only does not produce better oxygen saturation, but also subjects the left ventricle to larger volume overloading and, for that reason, is not advisable [31].

The pathophysiology also evolves with time; this changing hemodynamics are discussed below:

PDA: Spontaneous closure of the ductus arteriosus may occur in the early neonatal period and results in severe hypoxemia. Prostaglandin E1 (PGE1 ) infusion may help open the ductus.

PFO: Since the entire systemic venous return must traverse through the PFO, any restriction of this structure causes systemic venous congestion and diminished cardiac output. However, very few patients with tricuspid atresia have clinically significant obstruction [12], especially in the early neonatal period. A tall ‘a’ wave in the right atrium and a mean inter-atrial pressure difference of more than 5 mmHg are indicative of inter-atrial obstruction. Sometimes balloon atrial septostomy may be required to relieve this obstruction.

VSD: The VSD may close spontaneously [18-26], resulting in decreased pulmonary blood flow and hypoxemia in Type I (normally related great arteries) TA babies and subaortic obstruction in Type II (transposed great arteries) infants. The bypassing of the obstructed VSD surgically may be required in Type II patients. However, such VSD closures happen over a period of months and years.

DIAGNOSTIC METHODS

Chest X-ray

The heart size is either normal or minimally enlarged in babies with decreased pulmonary flow, while the heart size is moderate to severely enlarged in infants with increased pulmonary blood flow. Several cardiac configuration patterns have been described, but there is no dependable pattern that would be diagnostic of TA [32]. Concavity in the region of pulmonary artery segment is seen in babies with decreased pulmonary blood flow and small pulmonary artery. Right aortic arch may be seen in nearly of 8% of infants with TA and this is less frequent than that seen in babies with tetralogy of Fallot at 25% and truncus arteriosus at 40%. The left border of the heart may have an unusual contour suggestive of l-transposition (Type III-1) seen in association with TA [33].

As mentioned above, spontaneous closure of VSD in Type I patients will result in progressive decrease in the size of the heart and of the pulmonary vascular markings as shown in Figure 3.

The greatest value of the chest X-ray is its capacity to classify babies into those that have diminished pulmonary vascular markings and into those with increased pulmonary vascular markings. Frequently, this is all that is needed to formulate an accurate diagnosis once a history, physical examination, and Electrocardiogram (ECG) have been acquired [33].

ECG

The ECG can virtually be diagnostic of TA in a baby suspected to have cyanotic CHD. Right atrial hypertrophy, left axis deviation (an abnormal, superiorly oriented major QRS vector) in the frontal plane, left ventricular hypertrophy, and decreased RV forces (Figure 4) are typical ECG findings.

Additional details regarding ECG findings in tricuspid atresia, particularly with regard to the origin of left axis deviation can be found elsewhere [32,34,35] for the interested reader.

Echocardiogram

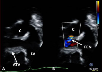
Figure 5 Selected video frames from apical four-chamber, 2-dimensional echocardiographic views of a neonate with tricuspid atresia showing an enlarged left ventricle (LV), a small right ventricle (RV), and a dense band of echoes at the site where the tricuspid valve echo should be (ATV; thick arrow) with closed (A) and open (B) mitral valve (MV). A moderate sized ventricular septal defect (VSD; thin arrow) is shown. LA, Left atrium; RA, Right atrium [36].™Figure 1

Figure 5: Selected video frames from apical four-chamber, 2-dimensional echocardiographic views of a neonate with tricuspid atresia showing an enlarged left ventricle (LV), a small right ventricle (RV), and a dense band of echoes at the site where the tricuspid valve echo should be (ATV; thick arrow) with closed (A) and open (B) mitral valve (MV). A moderate sized ventricular septal defect (VSD; thin arrow) is shown. LA, Left atrium; RA, Right atrium [36].™Figure 1

M-mode echocardiograms, while not diagnostic, are useful in evaluating the size of the left atrium and left ventricle and left ventricular systolic function. An enlarged RA, left atrium, and left ventricle and a small RV are seen by 2D echocardiography (Figure 5). In the most common muscular type, the atretic tricuspid valve is imaged directly as a dense band of echoes at the site where the tricuspid valve should be (Figure 5). Apical four-chamber and subcostal views are best to demonstrate the anatomy. The morphology of the atretic tricuspid valve as reviewed above and in Figure 1, namely muscular, membranous, valvular, Ebstein’s, AV canal, and unguarded valve with muscular shelf, may be distinguishable from each other on careful inspection of the site of the tricuspid valve.

Figure 6 Selected video frame from subcostal view of a neonate with tricuspid atresia demonstrating right-to-left (R to L) shunt (arrow) across the interatrial communication. LA, Left atrium; RA, Right atrium [36].

Figure 6: Selected video frame from subcostal view of a neonate with tricuspid atresia demonstrating right-to-left (R to L) shunt (arrow) across the interatrial communication. LA, Left atrium; RA, Right atrium [36].

Echo-Doppler studies are also useful in demonstrating an ASD/PFO with a right-to-left shunt (Figure 6) and a VSD with a left-to-right shunt (Figure 7).

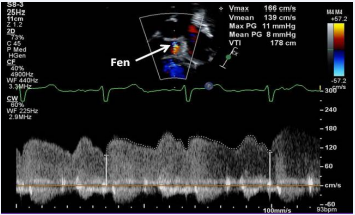
Figure 7 Selected video frames from parasternal long axis views of a neonate with tricuspid atresia with normally related great arteries demonstrating enlarged left atrium (LA) and left ventricle (LV), a small right ventricle (RV), and a moderate-sized ventricular septal defect (VSD; thick arrow) on 2D (A) and color flow (B) imaging. Turbulent flow (B) with a Doppler flow velocity of 2.91 m/s by continuous wave Doppler (C) suggests some restriction of the VSD. Ao, Aorta; PA, pulmonary artery [36].

Figure 7: Selected video frames from parasternal long axis views of a neonate with tricuspid atresia with normally related great arteries demonstrating enlarged left atrium (LA) and left ventricle (LV), a small right ventricle (RV), and a moderate-sized ventricular septal defect (VSD; thick arrow) on 2D (A) and color flow (B) imaging. Turbulent flow (B) with a Doppler flow velocity of 2.91 m/s by continuous wave Doppler (C) suggests some restriction of the VSD. Ao, Aorta; PA, pulmonary artery [36].

The VSD can be demonstrated by 2D (Figure 7A) and the shunt across it by color (Figure 7B), pulsed, and continuous wave (CW) (Figure 7C) Doppler. The peak Doppler flow velocity across the right ventricular outflow tract (RVOT) and pulmonary valve will help in identifying obstruction across these sites. The Doppler data from the VSD and RVOT are helpful in the estimating of pulmonary artery pressures.

Table 1 Classification of Tricuspid Atresia [27]

Table 1 Classification of Tricuspid Atresia [27].

As mentioned in a preceding section (Table 1), tricuspid atresia is classified based on the relationship of the great arteries; the most common forms are: Type I, normally related great arteries, and Type II, d-transposition of the great arteries. The great artery relationship is established by following the vessel until bifurcation (Figure 8) or aortic arch. In babies with normally related great arteries the VSD provides blood flow into the lungs. In babies with associated transposition, the VSD provides systemic flow. The VSD may be small, causing obstruction to systemic flow and, therefore, the VSD size should be assessed by 2D (Figures 5, 7A, & 8A) and color (Figures 7B & 9), pulsed (Figure 10), and CW Doppler as necessary.

Figure 8 A) Selected video frame from parasternal long axis views of a neonate with tricuspid atresia and transposition of the great arteries demonstrating left atrium (LA), left ventricle (LV), a very small right ventricle (RV), and a moderate-sized ventricular septal defect (not marked). The vessel coming off of the LV is traced in B and shown to bifurcate into left (LPA) and right (RPA) pulmonary arteries, confirming that this vessel is the main pulmonary artery (MPA). Ao, Aorta [36].

Figure 8 A): Selected video frame from parasternal long axis views of a neonate with tricuspid atresia and transposition of the great arteries demonstrating left atrium (LA), left ventricle (LV), a very small right ventricle (RV), and a moderate-sized ventricular septal defect (not marked). The vessel coming off of the LV is traced in B and shown to bifurcate into left (LPA) and right (RPA) pulmonary arteries, confirming that this vessel is the main pulmonary artery (MPA). Ao, Aorta [36].

In Type I (normally related great arteries) patients, the VSD peak Doppler velocity is helpful in estimating the size of the VSD; the higher the velocity, the smaller is the VSD. The RV and pulmonary arterial (PA) pressure may also be estimated using the modified Bernoulli equation:

RV/PA systolic pressure = systolic BP - 4V^2

where RV is the right ventricle, PA is the pulmonary artery, BP is the arm blood pressure, and V is the VSD peak Doppler velocity.

Figure 9 Selected video frame from parasternal long axis view with color flow mapping of another neonate with tricuspid atresia and transposition of the great arteries demonstrates left atrium (LA), left ventricle (LV), a small right ventricle (RV), and a moderate sized ventricular septal defect (VSD). The vessel coming off the LV bifurcates [36].

Figure 9: Selected video frame from parasternal long axis view with color flow mapping of another neonate with tricuspid atresia and transposition of the great arteries demonstrates left atrium (LA), left ventricle (LV), a small right ventricle (RV), and a moderate sized ventricular septal defect (VSD). The vessel coming off the LV bifurcates [36].
In the presence of pulmonary hypertension or severe infundibular or valvar pulmonary stenosis, the VSD Doppler velocities are not indicative of the size of the VSD. In Type II (d-transposition) patients, a high VSD velocity is suggestive of subaortic obstruction. Interrogation of the right ventricular outflow tract in Type I patients and the pulmonary artery region in Type II patients may reveal pulmonary or sub-pulmonary stenosis; the higher the velocity, the more severe is the obstruction.

Figure 10 Selected video frame of continuous wave Doppler across the ventricular septal defect of the same baby as shown in figure 9. Low velocity flow across the ventricular septal defect suggests that the defect is non-obstructive [36].
Figure 10: Selected video frame of continuous wave Doppler across the ventricular septal defect of the same baby as shown in figure 9. Low velocity flow across the ventricular septal defect suggests that the defect is non-obstructive [36].
Imaging and Doppler interrogation from a suprasternal notch view may show aortic coarctation (Figure 11), which is common in patients with associated transposition of the great arteries (Type II).
2D imaging along with bubble contrast may clearly demonstrate successive opacification of the RA, left atrium, left ventricle, and then the RV in that order, but such an examination is not needed for diagnosis.

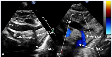
Figure 11 Selected video frames from suprasternal notch views of the aortic (Ao) arch in 2D (A) and color flow (B) images of a neonate with tricuspid atresia and transposition of the great arteries demonstrating coarctation of the aorta (CoA) and hypoplastic transverse aortic arch (TAA). The association of CoA with tricuspid atresia plus transposition of the great arteries is well known [36].
Figure 11: Selected video frames from suprasternal notch views of the aortic (Ao) arch in 2D (A) and color flow (B) images of a neonate with tricuspid atresia and transposition of the great arteries demonstrating coarctation of the aorta (CoA) and hypoplastic transverse aortic arch (TAA). The association of CoA with tricuspid atresia plus transposition of the great arteries is well known [36].
To summarize, the delineation of the majority of anatomic and physiologic issues related to TA is feasible by M-mode, 2-dimensional, and Doppler (pulsed, CW, and color) echocardiography, and consequently cardiac catheterization and selective cineangiography are not necessary for the confirming of the diagnosis.
Cardiac catheterization and selective cineangiography

Figure 12 Selected cine frames of right atrial (RA) cineangiogram in postero-anterior projection of two patients with tricuspid atresia demonstrating blind ending of the right atria. Faint opacification of left atrium (LA) is seen a [38].
Figure 12: 
Selected cine frames of right atrial (RA) cineangiogram in postero-anterior projection of two patients with tricuspid atresia demonstrating blind ending of the right atria. Faint opacification of left atrium (LA) is seen a [38].

Figure 13 Selected cine frame from right atrial (RA) angiogram in postero-anterior projection of an infant with tricuspid atresia demonstrating sequential opacification of the left atrium (LA) and left ventricle (LV) without opacification of the right ventricle. The right ventricular window (arrow) is formed by the RA on the right, the LA superiorly, and the LV on the left. This is a classic appearance of the muscular type of tricuspid atresia. C, catheter [1].
Figure 13: Selected cine frame from right atrial (RA) angiogram in postero-anterior projection of an infant with tricuspid atresia demonstrating sequential opacification of the left atrium (LA) and left ventricle (LV) without opacification of the right ventricle. The right ventricular window (arrow) is formed by the RA on the right, the LA superiorly, and the LV on the left. This is a classic appearance of the muscular type of tricuspid atresia. C, catheter [1].

Figure 14 Selected cine frames from left ventricular (LV) angiogram in straight lateral (a) and left anterior oblique (b) views in a patient with Type I tricuspid atresia demonstrating origin of the aorta (Ao) from the LV and the pulmonary artery (P) (white arrow head) from the right ventricle (RV). A large ventricular septal defect (VSD) (black arrow) is also shown [27].
Figure 14: Selected cine frames from left ventricular (LV) angiogram in straight lateral (a) and left anterior oblique (b) views in a patient with Type I tricuspid atresia demonstrating origin of the aorta (Ao) from the LV and the pulmonary artery (P) (white arrow head) from the right ventricle (RV). A large ventricular septal defect (VSD) (black arrow) is also shown [27].
As alluded to in the preceding section, the diagnosis of TA can be made by clinical, chest X-ray, and ECG findings and confirmed by echocardiographic studies, and therefore, cardiac catheterization and selective cineangiography are not necessary to establish the diagnosis [31,37]. There is no need for cardiac catheterization even in those neonates with severe arterial desaturation; the diagnosis of TA made on the basis of clinical and echo-Doppler studies is adequate to make management decisions. However, catheterization may be indicated: 1. If balloon atrial septostomy is necessary and 2. Prior to bidirectional Glenn and Fontan surgery in order to define the pulmonary artery pressures and anatomy. For a detailed discussion of cardiac catheterization and selective cineangiography, the interested reader is referred elsewhere [31,35,37,38]; however, some typical angiographic pictures will be presented in Figures 12 to 17.

Figure 15 Selected cine frames from left ventricular (LV) angiogram in straight lateral view in a patient with Type I tricuspid atresia demonstrating a moderate-sized ventricular septal defect (VSD) in the muscular ventricular septum. Ao, aorta; PA, pulmonary artery; RV, right ventricle [20].
Figure 15: Selected cine frames from left ventricular (LV) angiogram in straight lateral view in a patient with Type I tricuspid atresia demonstrating a moderate-sized ventricular septal defect (VSD) in the muscular ventricular septum. Ao, aorta; PA, pulmonary artery; RV, right ventricle [20].

Figure 16 Selected cine frames from left ventricular (LV) angiogram in straight lateral view in a patient with Type I tricuspid atresia demonstrating origin of the aorta (Ao) from the LV and the pulmonary artery (PA) from the right ventricle (RV). Note a small ventricular septal defect (VSD) in the muscular ventricular septum [1].
Figure 16: Selected cine frames from left ventricular (LV) angiogram in straight lateral view in a patient with Type I tricuspid atresia demonstrating origin of the aorta (Ao) from the LV and the pulmonary artery (PA) from the right ventricle (RV). Note a small ventricular septal defect (VSD) in the muscular ventricular septum [1].

Figure 17 Selected cine frames from left ventricular (LV) angiogram in postero-anterior view in a patient with Type II tricuspid atresia demonstrating origin of the pulmonary artery (MPA) from the LV and the aorta (Ao) from the right ventricle (RV). The RV appears to opacify from the LV via a ventricular septal defect (not labeled) [38].
Figure 17: Selected cine frames from left ventricular (LV) angiogram in postero-anterior view in a patient with Type II tricuspid atresia demonstrating origin of the pulmonary artery (MPA) from the LV and the aorta (Ao) from the right ventricle (RV). The RV appears to opacify from the LV via a ventricular septal defect (not labeled) [38].
Management
Physiologically “corrective” surgery, i.e., Fontan operation for TA [39,40], and modifications thereof [41-47],have improved the prognosis of patients with TA. However, such surgery is generally performed in patients older than 2 years, at about a weight of 15 kg. However, the majority of TA patients present with symptoms in the neonatal period and should be managed to enable them to reach the age and size at which Fontan correction can safely be performed.
The ensuing discussion applies to the most common, muscular (89%) and membranous (6.6%) types of tricuspid atresia as shown in Figure 1. Some of the other morphologic variants may require different approaches, such as the excision of the valve and replacement with an artificial valve [14], subject to the adequacy of the RV to support the pulmonary circulation and will not be discussed further.
The goal of the management plan is to provide symptomatic relief at initial presentation and to prepare the infants to have Fontan operation at a suitable age. As per this objective, the treatment plan will be discussed under the following headings: 1. Medical management at the time of initial presentation; 2. Palliative treatment of specific physiologic abnormalities; 3. Medical management after palliative surgery; 4. Physiologically “corrective” surgery; and 5. Follow-up after corrective operation. For additional details, the interested reader is referred to our prior reviews [35,48-55].

Medical management at the time of initial presentation
At initial presentation, the management of TA babies is similar to that of other cyanotic neonates [56,57]. During the course of identification, transfer to a pediatric cardiology center equipped to care for newborns with CHD, preliminary work-up, and palliative surgery, as well as after surgery, a neutral thermal environment, normal acid-base status, normoglycemia, and normocalcemia should be preserved by proper monitoring and correction as needed [56,57]. No more than 0.4 F1O2 is necessary (because of fixed intra-cardiac right-to-left shunting) unless pulmonary parenchymal disease is present. If respiratory acidosis is present, suctioning, intubation, and assisted ventilation is provided, as deemed appropriate. Infants with decreased oxygen saturation and low arterial PO2 may be ductal dependent, and therefore, the ductus should be kept open by the intravenous administration of PGE1 [56-59].

Palliative treatment of specific physiologic abnormalities
The palliative treatment of babies with TA is largely dependent upon the hemodynamic abnormalities produced by the basic cardiac defect and the associated anomalies. These may be arbitrarily divided into [28,56,57]: 1. Decreased pulmonary blood flow, 2. Increased pulmonary blood flow, and 3. Intracardiac obstruction. If the pulmonary blood flow is adequate, no intervention is necessary.

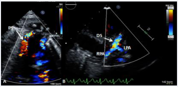
Figure 18 Selected video frames from suprasternal notch view demonstrating proximal shunt (PS) by color flow imaging (A). In a slightly different view (B), the flow from the distal shunt (DS) into right (RPA) and left (LPA) pulmonary arteries is shown [69].
Figure 18: Selected video frames from suprasternal notch view demonstrating proximal shunt (PS) by color flow imaging (A). In a slightly different view (B), the flow from the distal shunt (DS) into right (RPA) and left (LPA) pulmonary arteries is shown [69].
Decreased Pulmonary Blood Flow: In Type Ia and IIa TA neonates with pulmonary atresia and those babies with Type Ib with severe pulmonary oligemia, the intravenous infusion of PGE_1 at a dose of 0.05 to 0.1 µg per kilogram of body weight per minute should be started immediately [56-59]; the dose may be gradually reduced to 0.02 µg/kg/min once the desired oxygen saturation levels are achieved. The lower dose is helpful in reducing the incidence and severity of some of the drug’s bothersome side effects, namely, apnea and hyperpyrexia. The PGE_1 infusion rate may be increased if there is no increase in PO_2.

Figure 19 Selected cine frames of angiograms in postero-anterior projection in patients with tricuspid atresia who have undergone classic (a and b) and modified (c and d) Blalock-Taussig shunts. Apart from demonstrating the shunts, the angiographic fames show pulmonary artery (PA) anatomy. Also, note marked narrowing of the left Blalock-Taussig shunt in b. AA, arch of the aorta; DAo, descending aorta; GG, Gore-Tex graft; LA, left atrium; LV, left ventricle; LPA, left pulmonary artery; LSA, left subclavian artery; RA, right atrium; RIA, right innominate artery; RPA, right pulmonary artery; RSA, right subclavian artery [38].
Figure 19: Selected cine frames of angiograms in postero-anterior projection in patients with tricuspid atresia who have undergone classic (a and b) and modified (c and d) Blalock-Taussig shunts. Apart from demonstrating the shunts, the angiographic fames show pulmonary artery (PA) anatomy. Also, note marked narrowing of the left Blalock-Taussig shunt in b. AA, arch of the aorta; DAo, descending aorta; GG, Gore-Tex graft; LA, left atrium; LV, left ventricle; LPA, left pulmonary artery; LSA, left subclavian artery; RA, right atrium; RIA, right innominate artery; RPA, right pulmonary artery; RSA, right subclavian artery [38].
Subsequent to the stabilization of the baby, other ways of providing a more permanent blood flow to the lungs should be sought. Following the initial description of subclavian artery-toipsilateral pulmonary artery anastomosis in 1945 by Blalock and Taussig [60], a number of other types of operations/procedures have been developed to increase the pulmonary blood flow as detailed elsewhere [28,32,35]. Most cardiologists/surgeons at present prefer a modified Blalock-Taussig (BT) shunt with a Gore-Tex graft interposed between the subclavian artery and the ipsilateral pulmonary artery, described by de Leval and his associates [61]. The current thinking suggests that modified BT shunt [61], is probably most attractive procedure to adequately augment pulmonary blood flow. Some surgeons favor central, aorta to pulmonary Gore-Tex tube grafts instead. In a rare patient with principal obstruction at the level of pulmonary valve, balloon pulmonary valvuloplasty may be utilized [62,63]. A more physiologic approach of enlarging the VSD advocated by Annechino [64], is not favored by most surgeons because it is an open-heart procedure. Ductal stenting is an attractive nonsurgical alternative and is being used at some pediatric cardiology centers [65-67]. However, because of the technically demanding nature of the procedure, limited experience, and poor stent patency at follow-up [68], stenting is not currently the procedure of choice. Echocardiographic and angiographic images of some of these procedures are shown in Figures 18 to 20.

Figure 20 A) Selected cine frame demonstrating the position of a guide wire which was advanced from the aorta into the main pulmonary artery (via the ductus arteriosus) and from there into the right ventricle. The balloon/stent (St) assembly was then positioned within the ductus. The arrow demarcates the articulation (A) within the stent. B) The balloon carrying the stent is inflated within the ductus. C) An aortic arch (AA) angiographic frame shows the stented ductus (St) and good opacification of the right (R) and left (L) pulmonary arteries [66].
Figure 20: A) Selected cine frame demonstrating the position of a guide wire which was advanced from the aorta into the main pulmonary artery (via the ductus arteriosus) and from there into the right ventricle. The balloon/stent (St) assembly was then positioned within the ductus. The arrow demarcates the articulation (A) within the stent. B) The balloon carrying the stent is inflated within the ductus. C) An aortic arch (AA) angiographic frame shows the stented ductus (St) and good opacification of the right (R) and left (L) pulmonary arteries [66].
Increased Pulmonary Blood Flow: A marked increase of pulmonary blood flow produces Congestive Heart Failure (CHF). Most of these patients will have a Type IIc anatomy and a few may have Type Ic TA, both without pulmonary stenosis. These infants should initially be stabilized with anti-congestive therapy [70]; this should be followed by banding of the pulmonary artery [71]. The management considerations are slightly different between Type I and Type II patients.
In infants with tricuspid atresia with normally related great arteries (Type Ic), aggressive anti-congestive measures should be promptly instituted. Since natural history studies [18,20-25], suggest that the VSD becomes smaller or closes spontaneously with time and the infants with increased pulmonary flow develop pulmonary oligemia, PA banding should probably not be performed immediately in this subgroup of patients. But, if symptoms of CHF are not relieved after optimal anti-congestive measures, PA banding [71], may be undertaken. Babies who did not have PA banding should have their PA pressures monitored closely. Absorbable PA bands may have a role in palliating such infants [72,73]. The absorbable, polydioxanone band restricts the pulmonary blood flow and decreases PA pressure and abates symptoms of CHF at first. As spontaneous closure of the VSD occurs the pulmonary artery band is absorbed and does not result in severe pulmonary oligemia which may have occurred with the usual non-absorbable PA bands. The author believes that this is a creative approach; however, it is likely to be helpful in a limited number of patients [73].

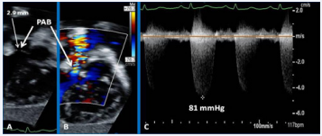
Figure 21 Selected echocardiographic video frames demonstrating pulmonary artery band (PAB) with narrow diameter of 2.9 mm by 2D (A) and by color flow (B) and a high gradient (81 mmHg) by continuous wave Doppler (C) are shown [69].
Figure 21 Selected echocardiographic video frames demonstrating pulmonary artery band (PAB) with narrow diameter of 2.9 mm by 2D (A) and by color flow (B) and a high gradient (81 mmHg) by continuous wave Doppler (C) are shown [69].
On the contrary, Type IIc patients (with transposition of the great arteries) should have PA banding following stabilization of the patient irrespective of control of CHF. If there are associated cardiac defects such coarctation of the aorta or other aortic arch anomalies, they should be addressed at this time. While arrangements for surgery are being made, PGE_1 administration [56-59] should be initialed to temporarily relieve aortic obstruction. PA banding, apart from improving CHF, helps to normalize the pulmonary artery pressures so that bidirectional Glenn procedure preparatory to Fontan conversion may be performed later. Subaortic obstruction may develop following pulmonary artery banding; this was attributed to banding by some authorities, but the author believes that this is simply an expression of natural history spontaneous closure of VSD, as discussed elsewhere [20,21,25,26].

Figure 22 Selected echocardiographic video frames demonstrating pulmonary artery band (PAB) with narrow diameter by color flow (A) and a high gradient (88 mmHg) by continuous wave Doppler (B) are shown [69]..
Figure 22: Selected echocardiographic video frames demonstrating pulmonary artery band (PAB) with narrow diameter by color flow (A) and a high gradient (88 mmHg) by continuous wave Doppler (B) are shown [69]..
Echocardiographic and angiographic examples of some of the banding procedure are shown in Figures 21 to 23.
Near Normal Pulmonary Blood Flow: Infants with a mildly increased or near normal Pulmonary Blood Flow (PBF) with O2 saturations in the low 80s do well and indeed, these babies are less cyanotic than the babies with severe pulmonary oligemia. Such babies do not need any intervention and should be followed until the next stage of surgery.
Figure 23 A) Diagrammatic portrayal of pulmonary artery banding (PB) for patients with markedly increased pulmonary blood flow and severe congestive heart failure. B) Selected cine frame form pulmonary artery cineangiogram in straight lateral view demonstrating constriction of the pulmonary artery (PB; arrow). C, catheter; LPA, left pulmonary artery; NG, nasogastric tube; PG, pigtail catheter; RPA, right pulmonary artery [32].
Figure 23: A) Diagrammatic portrayal of pulmonary artery banding (PB) for patients with markedly increased pulmonary blood flow and severe congestive heart failure. B) Selected cine frame form pulmonary artery cineangiogram in straight lateral view demonstrating constriction of the pulmonary artery (PB; arrow). C, catheter; LPA, left pulmonary artery; NG, nasogastric tube; PG, pigtail catheter; RPA, right pulmonary artery [32].
Intracardiac Obstruction: Obstruction within the heart can occur at two different levels, namely, PFO and VSD.
Interatrial Obstruction: Because of the atretic tricuspid valve, the entire systemic venous return must exit the RA via the PFO. The PFO should be wide enough to permit unhindered egress of systemic venous flow into the left atrium. Restriction of the PFO in the neonate is not as common as one would anticipate, most likely because of preservation of fetal circulatory pathways. The interatrial obstruction may manifest with clinical signs of systemic venous congestion, namely, hepatomegaly and presystolic hepatic and jugular venous pulsations. However, because of the compliant RA and proximal systemic veins early in life, the signs alluded to may not be obvious. Echo-Doppler studies may reveal small PFO with turbulent flow across the PFO with identifiable mean Doppler gradient (3 to 5 mmHg) across the atrial septum. At cardiac catheterization, a mean pressure difference between the atria of more than 3 to 5 mmHg with giant “a” waves (15 to 20 mmHg) in the RA pressure curve is suggestive of clinically important obstruction. In patients with poor left ventricular function, the RA pressure may be high and interatrial pressure difference may not be present even in the presence of restrictive PFO; this is probably related to markedly compliant RA and proximal systemic veins in the neonate.
The management of interatrial obstruction is by balloon atrial septostomy [74,75]; most often the procedure is successful with prompt improvement of presystolic hepatic and jugular pulsations and a fall in pressure difference between the atria. It is rare that other methods such as blade atrial septostomy or surgical atrial septostomy become necessary in the neonates, although they may be needed in older infants and children. In such cases, surgical atrial septostomy may be performed along with bidirectional Glenn (see the next section on “Corrective Surgery”).
Inter-Ventricular Obstruction: Inter-ventricular obstruction may be produced by spontaneous closure of the VSD [18, 20-26], as mentioned in the preceding sections.
Functional VSD closure [19], in Type I cases results in hypercyanotic spells, similar to those seen in tetralogy of Fallot and the treatment is akin to that of tetralogy of Fallot, namely knee-chest position, humidified oxygenation, and subcutaneous morphine sulfate (0.1 mg/kg). If there is no improvement, beta-blockers (propranolol, esmolol) or intravenous pressers (methoxamine, phenylephrine) are given to elevate systolic blood pressure by 10-20%. Simultaneous correction of anemia and metabolic acidosis, if present, is also undertaken. If there is no improvement, emergency surgical palliation with a modified BT shunt may be needed. However, if the infant’s condition gets better with the above treatment, elective BT shunt, or a bidirectional Glenn procedure may be undertaken, depending on the age of the patient and the status of pulmonary arteries [19,35].
Partial or complete anatomic closure of the VSD in Type I tricuspid atresia produces pulmonary oligemia [20-25], and the management is as detailed in the section on “Decreased Pulmonary Blood Flow” above.

Figure 24 A. Line drawing illustrating Damus-Kaye-Stansel procedure. The left ventricular (LV) blood flows via the ventricular septal defect (circle) and right ventricle (RV) into the aorta (Ao). If the VSD is small and restrictive, causing “subaortic” obstruction, this obstruction may be bypassed by connecting the proximal stump of the divided pulmonary artery to the Ao directly or a via a non-valved conduit. The pulmonary arteries are supplied with a Blalock-Taussig shunt [20,21].
Figure 24: A. Line drawing illustrating Damus-Kaye-Stansel procedure. The left ventricular (LV) blood flows via the ventricular septal defect (circle) and right ventricle (RV) into the aorta (Ao). If the VSD is small and restrictive, causing “subaortic” obstruction, this obstruction may be bypassed by connecting the proximal stump of the divided pulmonary artery to the Ao directly or a via a non-valved conduit. The pulmonary arteries are supplied with a Blalock-Taussig shunt [20,21].
In subjects with Type II tricuspid atresia, spontaneous closure of the VSD (usually partial; complete closures have not been reported) produces subaortic obstruction [20,21,25,26]. Relief of this obstruction should be undertaken soon after its detection since the left ventricular hypertrophy that such closures produce is a risk factor for poor outcome following Fontan operation. The relief of such obstruction may be provided either by enlarging the VSD by surgical resection of conal septal muscle or by bypassing the VSD, RV, and aortic valve by anastomosing the proximal stump of the divided pulmonary artery to the ascending aorta directly or via a prosthetic conduct (Damus-Kaye-Stansel procedure) [76-78] (Figure 24) either at the time of bidirectional Glenn operation or Fontan procedure. Because of potential complications associated with surgical enlargement of the VSD (heart block, inadequate relief or spontaneous closure), most surgeons/pediatric cardiologists, including the author, prefer Damus-Kaye-Stansel procedure [20,21,25,26].
Medical Management after Palliative Surgery
The general management of TA is akin to that of other cyanotic CHD [28,50]. Monitoring and treatment of anemia, polycythemia, coagulation problems and hyperuricemia is similar to other cyanotic CHD. The threat of stroke and brain abscess is same as that in other cyanotic CHD as is their management [28,50]. Antibiotic prophylaxis prior to undergoing any bacteremiaproducing surgery or procedures is also similar. Issues related to routine well-child care, immunizations (immunizations by the primary care physician, polyvalent pneumococcal vaccine, influenza vaccine and immunization against respiratory syncytial virus), physical activity and exercise, physical and emotional development, genetic counseling, vocational training and rehabilitation, sexuality, pregnancy, and contraception are also addressed similar those of other cyanotic CHD [28,50]. The interested reader is referred to these publications for further details [28,50].
Significant inter-stage mortality associated with intercurrent illnesses has been observed [55,79,80]. Such mortality appears to be higher between initial palliation and bidirectional Glenn than between bidirectional Glenn and final Fontan. Consequently, intercurrent illness should be swiftly evaluated and treated suitably [55,79,80]. Furthermore, the Gore-Tex grafts of modified BT shunts may thrombose, requiring immediate intervention [81]. Therefore, even minor illnesses in patients with singleventricle physiology, including tricuspid atresia must be addressed aggressively [55,79,80].
Physiologically “Corrective” Surgery
Since there is only one functioning ventricle, the overall objective is to allow the functioning left ventricle to pump into the systemic circuit and to connect the systemic veins directly to the PAs, namely, Fontan operation [39,40]. As mentioned above, this procedure can’t be performed in the neonate because of high PA pressure/resistance. Therefore, it is done by staged procedures. Since their original description by Fontan, Kruetzer and their associates [39,40], the types of the procedure and the timing of the procedure have evolved over the years, as reviewed elsewhere [41-47,54,55]. Currently, this is accomplished by staged Total Cavo-Pulmonary Connection (TCPC), described de Leval and his associates [42]. This TCPC is undertaken in three stages: Stages I, II and III.
Stage I is as reviewed in the section on “Medical management at the time of initial presentation” reviewed in the preceding section. The type of procedure (s) performed is largely guided by the pathophysiology of TA.
Stage II - Bidirectional Glenn. Irrespective of the type of palliative intervention during the neonatal period, bidirectional Glenn procedure [41], i.e., anastomosis of the SVC to the right PA, end-to-side is performed at an approximate age of 6 months. If a prior BT shunt is present, it is ligated at the same time. While performing the procedure at 6 months is generally accepted, the Glenn can be performed as early as 3 months provided normalcy of PA pressure and anatomy can be documented. In babies with persistent left SVC, bilateral bidirectional Glenn is performed especially in patients with a small or absent left innominate vein. A bidirectional Glenn procedure may also be performed for patients with infra-hepatic interruption of the inferior vena cava (IVC) with azygos or hemiazygos continuation, and such a procedure is called a Kawashima procedure by some surgeons.
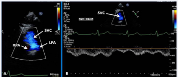
Figure 25 Selected video frames from suprasternal notch view demonstrating bidirectional Glenn shunt; the superior vena cava (SVC) is shown emptying into the right (RPA) and left (LPA) pulmonary arteries by color flow imaging (A). Low Doppler flow velocity across the shunt (B) indicates unobstructed Glenn [69].
Figure 25 :Selected video frames from suprasternal notch view demonstrating bidirectional Glenn shunt; the superior vena cava (SVC) is shown emptying into the right (RPA) and left (LPA) pulmonary arteries by color flow imaging (A). Low Doppler flow velocity across the shunt (B) indicates unobstructed Glenn [69].
Prior to undertaking the bidirectional Glenn procedure, it must be ensured that the PA pressures are normal and the branch PAs are adequate in size; this is most often accomplished by cardiac catheterization and cineangiography. However, some institutions employ echo-Doppler or other imaging studies (Magnetic Resonance Imaging [MRI] or Computed Tomography [CT]) to accomplish this. If PA stenosis is present, it may be addressed with balloon angioplasty or stent implantation, as deemed appropriate, or it may be repaired during the bidirectional Glenn procedure. Atrioventricular valve regurgitation, aortic coarctation, subaortic obstruction, and other abnormalities, if present, should also be addressed at the time of this operation.
Figure 26 Selected video frames from suprasternal notch view demonstrating bidirectional Glenn shunt; the superior vena cava (SVC) is shown emptying into the right (RPA) and left (LPA) pulmonary arteries by two dimensional (A) and color flow imaging (B) [69].
Figure 26: Selected video frames from suprasternal notch view demonstrating bidirectional Glenn shunt; the superior vena cava (SVC) is shown emptying into the right (RPA) and left (LPA) pulmonary arteries by two dimensional (A) and color flow imaging (B) [69].
Echocardiographic and angiographic examples of the bidirectional Glenn procedure are shown in Figures 25-28.
Stage III - Fontan/Kruetzer Procedure: During this final stage, the IVC flow is diverted into the PA along with creation of a fenestration. We arbitrarily divided these procedures into Stage IIIA (diversion of IVC into the PA) and Stage IIIB (closure of the fenestration) [55,82].
Figure 27 Selected cine frames in postero–anterior (a) and sitting up (b) views, demonstrating bidirectional Glenn procedure (the superior vena cava [SVC] is anastomosed with the right pulmonary artery [RPA]) in two different patients during Stage II of Fontan procedure. Unobstructed flow from the SVC to the right (RPA) and left (LPA) pulmonary arteries is shown [82].
Figure 27: Selected cine frames in postero–anterior (a) and sitting up (b) views, demonstrating bidirectional Glenn procedure (the superior vena cava [SVC] is anastomosed with the right pulmonary artery [RPA]) in two different patients during Stage II of Fontan procedure. Unobstructed flow from the SVC to the right (RPA) and left (LPA) pulmonary arteries is shown [82].Figure 28 Selected cineangiographic frames showing a bilateral bidirectional Glenn procedure (Stage II). In a, an injection into the superior vena cava (SVC) shows prompt opacification of the right pulmonary artery (RPA). The arrow in a points to the unopacified blood from a persistent left superior vena cava (PLSVC). In b, an injection into the PLSVC shows prompt opacification of the left pulmonary artery (LPA). The arrow in b points to the unopacified blood from the right SVC. Note the unobstructed flow from the respective SVCs into the pulmonary arteries [82].
Figure 28: Selected cineangiographic frames showing a bilateral bidirectional Glenn procedure (Stage II). In a, an injection into the superior vena cava (SVC) shows prompt opacification of the right pulmonary artery (RPA). The arrow in a points to the unopacified blood from a persistent left superior vena cava (PLSVC). In b, an injection into the PLSVC shows prompt opacification of the left pulmonary artery (LPA). The arrow in b points to the unopacified blood from the right SVC. Note the unobstructed flow from the respective SVCs into the pulmonary arteries [82].
Stage IIIA: In the Stage IIIA, the TCPC is accomplished by redirecting the IVC flow into the PA either by a lateral tunnel [41,83], or by an extra-cardiac, non-valved conduit [45,84]. This surgery is typically carried out between the ages of 1 and 2 years, frequently 1 year after the bidirectional Glenn (Stage II). At the present time, most surgeons seem to favor an extra-cardiac conduit to achieve the final stage of Fontan. It also appears that the majority of surgeons create a fenestration, 4-6 mm in size, between the conduit and the atria [46]. Whereas fenestration during the Fontan surgery was originally suggested for high-risk patients [46,47], most surgeons and pediatric intensivists appear to prefer fenestration, since creation of fenestration during the Fontan decreases mortality rate and lessens the morbidity during the immediate postoperative period [82].
Figure 29 Selected video frame demonstrating wide open conduit (COND) by 2D (A) and color flow imaging (B). Note laminar flow in B indicating no obstruction [69].
Figure 29: Selected video frame demonstrating wide open conduit (COND) by 2D (A) and color flow imaging (B). Note laminar flow in B indicating no obstruction [69].Figure 30 Selected video frames demonstrating connection between the inferior vena cava (IVC) and the conduit (C) by 2D (A) and color flow imaging (B); note that the IVC–C junction is wide open [69].
Figure 30: Selected video frames demonstrating connection between the inferior vena cava (IVC) and the conduit (C) by 2D (A) and color flow imaging (B); note that the IVC–C junction is wide open [69].
Figure 31 Selected video frame demonstrating low velocity flow between the inferior vena cava (IVC) and the conduit (C) shown in Figure 30, suggesting no evidence for obstruction [69].
Figure 31: Selected video frame demonstrating low velocity flow between the inferior vena cava (IVC) and the conduit (C) shown in Figure 30, suggesting no evidence for obstruction [69].
Echocardiographic and angiographic examples of the Fontan procedure are shown in Figures 29 to 34.
Stage IIIB: During the Stage IIIB, the fenestration is occluded (Figures 35) by transcatheter methods [32,46,82,85-87], usually 6 to 12 months following Stage IIIA Fontan. In the past, most devices used to occlude ASDs [46,87-87], were used for this purpose, but now, Amplatzer Septal Occluders are the most frequently used devices to accomplish such closures. If there are any other residual shunts, they are also occluded by device closure.
Figure 32 Selected video frames (A and B) from an apical four chamber view focusing on the conduit (C) (A) and with color flow imaging (B) demonstrating fenestration (FEN). ATV, atretic tricuspid valve; LV, left ventricle [69].
Figure 32: Selected video frames (A and B) from an apical four chamber view focusing on the conduit (C) (A) and with color flow imaging (B) demonstrating fenestration (FEN). ATV, atretic tricuspid valve; LV, left ventricle [69].
Figure 33 Selected video frame with Doppler sampling across the fenestration (Fen) demonstrating a mean gradient of 8 mmHg [69].
Figure 33: Selected video frame with Doppler sampling across the fenestration (Fen) demonstrating a mean gradient of 8 mmHg [69].

Figure 34 Selected cine frames in postero–anterior (a) and lateral (b) views, demonstrating Stage IIIA Fontan procedure diverting the inferior vena caval (IVC) flow into the pulmonary arteries via a nonvalved conduit (Cond). Flow across the fenestration (Fen) is shown by arrows in a and b. HV, hepatic veins; LPA, left pulmonary artery; PG, pigtail catheter in the descending aorta; RPA, right pulmonary artery [82].
Figure 34 Selected cine frames in postero–anterior (a) and lateral (b) views, demonstrating Stage IIIA Fontan procedure diverting the inferior vena caval (IVC) flow into the pulmonary arteries via a nonvalved conduit (Cond). Flow across the fenestration (Fen) is shown by arrows in a and b. HV, hepatic veins; LPA, left pulmonary artery; PG, pigtail catheter in the descending aorta; RPA, right pulmonary artery [82].
Inter-Stage Mortality: A substantial inter-stage mortality, ranging from 5 to 15%, has been documented [54,79,80,82]. Some investigators have identified the reason for inter-stage mortality; these are restrictive atrial communication, obstruction of the aortic arch, distortion of the pulmonary arteries, AV valve insufficiency, shunt blockage, and inter-current illnesses [79,88]. The inter-stage mortality is seen more frequently between Stages I and II than between Stages II and III. Strategies to address the inter-stage mortality include, periodic clinical evaluation & echoDoppler and other imaging studies to detect the above-described abnormalities and provide adequate relief of detected problems in order to prevent/reduce the inter-stage mortality. For a detailed description of how to address these issues, the reader is referred to a prior publication [55].
Follow-Up after Corrective Operation
Following completion of Fontan, periodic follow-up is necessary; evaluation at 1, 6, and 12 months after Stage IIIB and yearly thereafter is recommended. Inotropic and/or diuretic therapy is provided as deemed appropriate. Afterload reduction with an angiotensin-converting enzyme inhibitor (Captopril or Enalapril) is instituted by most cardiologists. Anticoagulation with platelet-inhibiting doses of aspirin (2 to 5 mg/kg/day) in children or clopidogrel (75 mg/day) in adults to prevent thrombus formation is a routine for most patients.

Figure 35 Selected cineangiographic frames in antero–posterior view, demonstrating Stage IIIA of the Fontan procedure: diverting the inferior vena caval (IVC) flow into the pulmonary arteries via a nonvalved conduit (Cond). Note the fenestration (Fen) shown by the arrow in a. The Fen is closed with an Amplatzer device (D), shown by the arrow in b (Stage IIIB). HV, hepatic veins; LPA, left pulmonary artery; RPA, right pulmonary artery [82]
Figure 35: Selected cineangiographic frames in antero–posterior view, demonstrating Stage IIIA of the Fontan procedure: diverting the inferior vena caval (IVC) flow into the pulmonary arteries via a nonvalved conduit (Cond). Note the fenestration (Fen) shown by the arrow in a. The Fen is closed with an Amplatzer device (D), shown by the arrow in b (Stage IIIB). HV, hepatic veins; LPA, left pulmonary artery; RPA, right pulmonary artery [82].
The results of older types of Fontan (RA-to-PA or RA-to-RV anastomosis either directly or via valved or non-valved conduits) revealed high initial mortality rates ranging from 10 to 26% [43,44,89,90]. In addition, the postoperative stay in the Intensive Care Unit (ICU) was prolonged. The initial mortality following staged TCPC without fenestration decreased remarkably with rates ranging from 8 to 10.5% [91-93]. There was further reduction in mortality rates to 4.5 to 7.5% when TCPC with fenestration was employed [94-96].
A number of complications were detected during follow-up: arrhythmias, obstructed Fontan pathways, persistent shunts, thrombo-embolism, development of Cerebro-Vascular Accidents (CVA), cyanosis, systemic venous to pulmonary venous collateral vessels, and systemic venous congestion including protein-losing enteropathy [50,82,96,97]. The complications seem to occur more often with older types of Fontan than with the currently used staged TCPC with extra-cardiac conduit and fenestration. When such complications are detected, they should be promptly investigated and treated as detailed elsewhere [54,55,82].

SUMMARY AND CONCLUSION

In this review, most commonly encountered congenital malformation of the tricuspid valve, namely, tricuspid atresia was discussed. TA is the third most common cyanotic CHD and accounts for almost 1.5% of all CHDs. TA is classified on the basis of the atretic tricuspid valve morphology and associated heart defects, such as great artery relationship and pulmonary outflow tract status. Initially, the anatomic and pathophysiologic features of TA were reviewed. The diagnosis is relatively simple and can often be made on clinical features and simple laboratory studies (chest roentgenogram and electrocardiogram), which can be confirmed by echocardiography. The atretic tricuspid valve can easily be demonstrated on 2D echocardiography. Ventricular sizes and LV systolic function are first evaluated, followed by the delineation of great artery anatomy, the status of the pulmonary outflow tract, the demonstration of adequacy of ASD/PFO, the size of VSD, and other associated cardiac defects. Rarely cardiac catheterization and selective cineangiography is needed. Aggressive management to normalize the pulmonary blood flow and correct physiologically important associated defects (for example coarctation of the aorta) should be undertaken at the time of presentation. Follow-up and treatment plans should strive to maintain or normalize cardiac structures and function (pulmonary artery anatomy and pressure and left ventricular function). Subsequently, staged Fontan surgery is performed. Echo-Doppler studies are also useful in evaluating the results of palliative procedures performed early in life, such as aorto– pulmonary shunts and the banding of the PA. Evaluations following bidirectional Glenn and Fontan completion, the assessment of potential causes of interstage mortality, and the identification of complications associated with all surgical procedures are also feasible by the echocardiographic studies. Addressing potential cause of inter-stage mortality and careful follow-up after Fontan are necessary. The currently used staged TCPC with fenestration has markedly improve the prognosis for tricuspid atresia patients. It was concluded that tricuspid atresia can be effectively diagnosed with the currently available noninvasive and invasive investigative techniques and the defect can successfully be managed with the existing therapeutic medical and surgical methods.

REFERENCES

1. Rao PS. Tricuspid atresia. In: Long WA. (ed.) Fetal and Neonatal Cardiology. W.B. Saunders Company. Philadelphia, PA. 1990: 525-540.

2. Rao PS. Other tricuspid valve anomalies. In: Long WA. (ed.) Fetal and Neonatal Cardiology. W.B. Saunders Company. Philadelphia, PA. 1990: 541-550.

3. Rao PS. A unified classification for tricuspid atresia. Am Heart J. 1980; 99: 799-804.

4. Rao PS. Terminology: tricuspid atresia or univentricular heart? In: Rao PS (ed): Tricuspid Atresia, Mount Kisco, NY: Futura Publishing Co, 1982: 3-6.

5. Rowe RD, Freedom RM, Mehrizi A, et al. The neonate with congenital heart disease. Major Problems in Clinical Pediatrics, ed 2. Philadelphia: WB Saunders, 198: 456-479.

6. Rao PS. Demographic features of tricuspid atresia. In: Rao PS (ed): Tricuspid Atresia, ed 2. Mount Kisco, NY, Futura Publishing Co, 1992: 23-37.

7. Keith JD, Rowe RD, Vlad P. Tricuspid atresia. In: Heart Disease in Infancy and Childhood, New York: Macmillian, 1958: 434-470.

8. Bharati S, McAllister HA, Jr, Tatooles CJ, Miller RA, Weinberg M, Bucheleres HG, et al. Anatomic variations in underdeveloped right ventricle related to tricuspid atresia and stenosis. J Thorac Cardiovasc Surg. 1976; 72: 383-400.

9. Ando M, Santomi G, Takao A. Atresia of tricuspid and mitral orifice: Anatomic spectrum and morphogenetic hypothesis. In: Van Praagh R, Takao A (eds): Etiology and Morphogenesis of Congenital Heart Disease, Mount Kisco, NY: Futura Publishing Co. 1980: 421-487.

10. Anderson RH, Wilkinson JL, Gerlis LM, et al. Atresia of the right atrioventricular orifice. Br Heart J. 1977; 39: 414-428.

11. Weinberg PM. Anatomy of tricuspid atresia and its relevance to current forms of surgical therapy. Ann Thorac Surg.1980; 29: 306- 311.

12. Dick M, Fyler DC, Nadas AS. Tricuspid atresia: clinical course in 101 patients. Am J Cardiol 1975; 36: 327-337.

13. Van Praagh R, Ando M, Dungan WT. Anatomic types of tricuspid atresia: clinical and developmental implications (abstract). Circulation. 1971; 44: 115.

14. Rao PS, Jue KL, Isabel-Jones J, Ruttenberg HD. Ebstein’s malformation of the tricuspid valve with atresia: Differentiation from isolated tricuspid atresia. Am J Cardiol. 1973; 32: 1004-1009.

15. Rao PS. Atrioventricular canal mimicking tricuspid atresia: Echocardiographic and angiographic features. Br Heart J. 1987; 58: 409-412.

16. Scalia D, Russo P, Anderson RH, Macartney FJ, Hegerty AS, Ho SY et al. The surgical anatomy of the heart with no direct communication between the right atrium and the ventricular mass - so called tricuspid atresia. J Thorac Cardiovasc Surg. 1984; 87: 743-755.

17. Rao PS, Alapati S. Tricuspid atresia in the neonate. Neonatology Today. 2012; 7: 1-12.

18. Rao PS, Sissman NJ. Spontaneous closure of physiologically advantageous ventricular septal defects. Circulation. 1971; 43: 83-90.

19. Rao PS, Linde LM, Liebman J, Perrin E. Functional closure of physiologically advantageous ventricular septal defects: observations in three cases with tricuspid atresia. Am J Dis Child. 1974; 127: 36-40.

20. Rao PS. Natural history of the ventricular septal defect in tricuspid atresia and its surgical implications. Br Heart J. 1977; 39: 276-288.

21. Rao PS. Further observations on the spontaneous closure of physiologically advantageous ventricular septal defects in tricuspid atresia: Surgical implications. Ann Thorac Surg. 1983; 35: 121-131.

22. Gallaher ME, Fyler DC. Observations on the changing hemodynamics in tricuspid atresia without transposition of the great vessels. Circulation. 1967; 35: 381-388.

23. Sauer U, Hall D. Spontaneous closure or critical decrease in size of the ventricular septal defect in tricuspid atresia with normally connected great arteries: surgical implications. Herz. 1980; 5: 369-384.

24. Rao PS. Physiologically advantageous ventricular septal defects (Letter). Pediat Cardiol 1983; 4: 59-61.

25. Rao PS. Natural history of ventricular septal defects in tricuspid atresia. In: Rao PS (ed): Tricuspid Atresia, ed 2. Mount Kisco, NY: Futura Publishing Co. 1992: 261-293.

26. Rao PS. Subaortic obstruction after pulmonary artery banding in patients with tricuspid atresia and double-inlet left ventricle and ventriculoarterial discordance (Letter). J Am Coll Cardiol. 1991; 18: 1585-1586.

27. Rao PS. Tricuspid atresia: anatomy, imaging and natural history. In: Freedom R, editor. Atlas of Heart Disease: Congenital Heart Disease. Philadelphia: Current Medicine; 1997: 14.0-4.17.

28. Rao PS, Covitz W, Chopra PS. Principles of palliative management of patients with tricuspid atresia. In: Rao PS (ed): Tricuspid Atresia, ed 2. Mount Kisco, NY: Futura Publishing Co. 1992: 297-320.

29. Rao PS, Levy JM, Nikiciz E, Gilbert-Barness EF. Tricuspid atresia: Association with persistent truncus arteriosus. Am Heart J. 1991; 122: 829-835.

30. Rudolph AM. Tricuspid atresia with hypoplastic right ventricle. In: Congenital Disease of the Heart, Chicago: Year Book Medical Publishers. 1974: 429-461.

31. Rao PS. Cardiac catheterization in tricuspid atresia. In: Rao PS (ed): Tricuspid Atresia, Mount Kisco, NY: Futura Publishing Co. 1982: 153- 178.

32. Rao PS. Tricuspid atresia. In. Rao PS, Vidyasagar D. (editors), A Multidisciplinary Approach to Perinatal Cardiology, Volume 2. Cambridge Scholars Publishing, New Castle upon Tyne, UK. 2021: 253-288.

33. Covitz W, Rao PS. Noninvasive evaluation of patients with tricuspid atresia (Roentgenography, echocardiography and nuclear angiography). In: Rao PS (ed): Tricuspid Atresia, ed 2. Mount Kisco, NY: Futura Publishing Co. 1992: 165-182.

34. Rao PS, Kulungara RJ, Boineau JP, et al. Electro-vectorcardiographic features of tricuspid atresia. In: Rao PS (ed): Tricuspid Atresia, ed 2. Mount Kisco, NY: Futura Publishing Co. 1992: 141-164.

35. Rao PS. Tricuspid atresia. In. Rao PS. - Pediatric Cardiology: How It Has Evolved Over The Last 50 Years. Cambridge Scholars Publishing, New Castle upon Tyne, 2020: 24-69.

36. Rao PS. Echocardiographic evaluation of neonates with suspected heart disease. In: Rao PS, Vidyasagar D, editors. Perinatal Cardiology: A Multidisciplinary Approach. Minneapolis: Cardiotext Publishing; 2015: Chapter 11.

37. Rao PS. Cardiac catheterization in tricuspid atresia. In: Rao PS (ed): Tricuspid Atresia, Mount Kisco, NY: Futura Publishing Co. 1992: 193- 221.

38. Schwartz DC, Rao PS. Angiography in tricuspid atresia. In: Rao PS (ed): Tricuspid Atresia, ed 2. Mount Kisco, NY: Futura Publishing Co. 1992: 223-246.

39. Fontan F, Baudet E. Surgical repair of tricuspid atresia. Thorax 1971; 26: 240-248.

40. Kreutzer G, Bono H, Galindez E, et al. Una operacion para la correccion de la atresia tricuspidea. Ninth Argentinean Congress of Cardiology, Buenos Aires, Argentina, Oct. 31-Nov. 6, 1971.

41. Hopkins RA, Armstrong SSE, Serwer GA, Peterson RJ, Oldham HN. Physiologic rationale for a bidirectional cavopulmonary shunt: a versatile complement to the Fontan principle. J Thorac Cardiovasc Surg. 1985; 90: 391-398.

42. De Leval MR, Kilner P, Gewilling M, Bull C. Total cavopulmonary connection: a logical alternative to atriopulmonary connection for complex Fontan operation. J Thorac Cardiovasc Surg. 1988; 96:682- 695.

43. Chopra PS, Rao PS. Corrective surgery for tricuspid atresia: which modifications of Fontan-Kreutzer procedure should be used? A review. Am Heart J. 1992; 123: 758-767.

44. Rao PS, Chopra PS. Modification of Fontan-Kreutzer procedure for tricuspid atresia: Can a choice be made? In: Rao PS (ed): Tricuspid Atresia, ed 2. Mount Kisco, NY: Futura Publishing Co. 1992: 361-375.

45. Marcelletti C, Corno A, Giannico S, Marino B. Inferior vena cavapulmonary artery extracardiac conduit. A new form of right heart bypass. J Thorac Cardiovasc Surg. 1990; 100: 313- 314.

46. Bridges ND, Lock JE, Castaneda AR. Baffle fenestration with subsequent transcatheter closure: modification of the Fontan operation for patients with increased risk. Circulation. 1990; 82: 1681-1689.

47. Laks H, Pearl JM, Haas GS, Drinkwater DC, Milgalter E, Jarmakani JM, et al. Partial Fontan advantages of an adjustable interatrial communication. Ann Thorac Surg. 1991; 52: 1084-1094.

48. Rao PS (ed): Tricuspid Atresia, Mount Kisco, NY: Futura Publishing Co, 1982.

49. Rao PS (ed): Tricuspid Atresia, ed 2. Mount Kisco, NY: Futura Publishing Co, 1992.

50. Rao PS. Pediatric tricuspid atresia. Medscape Drugs & Diseases. Updated January 17, 2017.

51. Rao PS. Tricuspid atresia. In: Pediatric Cardiovascular Medicine. 2nd Edition, Moller JH, Hoffman JIE (eds.), Wiley-Blackwell/A John Wiley & Sons Ltd., 2012: 487-508, Chapter 35.

52. Rao PS. Tricuspid atresia. In: A Comprehensive Approach to Management of Congenital Heart Diseases, Vijayalakshmi IB, Rao PS, Chugh R. (eds). 2013: 397-413. Chapter 28.

53. Rao PS. Tricuspid atresia. In: Vijayalakshmi IB, Rao PS, Chugh R. Editors. A Comprehensive Approach to Management of Congenital Heart Diseases, Second Edition, Jaypee Publications, New Delhi, India, 2019.

54. Rao PS. Fontan operation: A comprehensive review. In. Khan I. Editor. Fontan Surgery, InTechOpen, Rijeka, Croatia. 2020.

55. Rao PS. Single Ventricle-A Comprehensive Review. Children. 2021: 8: 441.

56. Rao PS. Principles of management of the neonate with congenital heart disease. Neonatology Today 2007; 2: 1-10.

57. Rao PS. Principles of management of the neonate with congenital heart disease. In. Rao PS, Vidyasagar D. (editors), A Multidisciplinary Approach to Perinatal Cardiology, Volume 2. Cambridge Scholars Publishing, New Castle upon Tyne, UK. 2021: 426-446.

58. Olley PM, Coceani F, Bodach E. E-type prostaglandins: A new emergency therapy for certain cyanotic congenital heart malformations. Circulation. 1976; 53: 728-731.

59. Freed MD, Heymann MA, Lewis AB, Roehl SL, Kensey RC, et al. Prostaglandin E1 in the infants with ductus arteriosus dependent congenital heart disease: The US experience. Circulation. 1981; 64: 899-905.

60. Blalock A, Taussig HB. The surgical treatment of malformations of the heart in which there is pulmonary stenosis or pulmonary atresia. JAMA. 1945; 128: 189-202.

61. de Leval M, McKay R, Jones M, Stark J, Macartney FJ. Modified Blalock-Taussig shunt: Use of subclavian orifice as a flow regulator in prosthetic systemic-pulmonary artery shunts. J Thorac Cardovasc Surg. 1981; 18: 112-119.

62. McCredie RM, Lee CL, Swinburn MJ, Lee CL, Warner G. Balloon dilatation pulmonary valvuloplasty in pulmonary stenosis. Aust New Zealand J Med. 1986; 16: 20-23.

63. Torigoe T, Sato S, Kanazawa H. Percutaneous transluminal pulmonary valvuloplasty in a child with tricuspid atresia, ventricular septal defect, and severe pulmonary valve stenosis: usefulness of the femoral artery approach. Catheter Cardiovasc Interv. 2014; 83: 774-777.

64. Annecchino FP, Fontan F, Chauve A, et al. An operation for the correction of tricuspid atresia. Ann Thorac Surg. 1979; 29: 317-321.

65. Gibbs JL, Rothman MT, Rees MR, Parsons JM, Blackburn ME, Ruiz CE. Stenting of arterial duct: a new approach to palliation of pulmonary atresia. Br Heart J. 1992; 67: 240-245.

66. Siblini G, Rao PS, Singh GK, Tinker K, Balfour IC. Transcatheter management of neonates with pulmonary atresia and intact ventricular septum. Cathet Cardiovasc Diagn. 1997; 42: 395-402.

67. Alwi M, Choo KK, Latiff HA, Kandavello G, Samion H, Mulyadi MD. Initial results and medium-term follow-up of stent implantation of patent ductus arteriosus in duct-dependent pulmonary circulation. J Am Coll Cardiol. 2004; 44: 438-445.

68. Gibbs JL, Orhan U, Blackburn MEC, Wren C, Hamilton JR, Watterson KG. Fate of stented arterial duct. Circulation. 1999; 99: 2621-2625.

69. Rao PS. Echocardiography in the diagnosis and management of tricuspid atresia. Appl Sci. 2021; 11: 9472.

70. Rao PS. Congenital heart disease. In: Rakel RE (ed): Conn’s Current Therapy, Philadelphia: WB Saunders Co, 1989: 201-213.

71. Muller WH, Jr, Danimann JF, Jr. The treatment of certain congenital malformations of the heart by the creation of pulmonic stenosis to reduce pulmonary hypertension and excessive pulmonary blood flow; a preliminary report. Surg Gynecol Obstet. 1952; 95: 213-219.

72. Bonnet D, Sidi D, Vouhe PR. Absorbable pulmonary artery banding in tricuspid atresia. Ann Thorac Surg. 2001; 71: 360-361.

73. Rao PS. Absorbable pulmonary artery band in tricuspid atresia (Editorial). Ann Thorac Surg. 2001; 71: 361-362.

74. Rashkind W, Waldhausen J, Miller W, Friedman S. Palliative treatment of tricuspid atresia: combined balloon atrial septostomy and surgical alteration of pulmonary blood flow. J Thorac Cardiovasc Surg. 1969; 57: 812-818.

75. Rao PS. Role of interventional cardiology in neonates: Part I. Nonsurgical atrial septostomy. Neonatology Today. 2007; 2: 9-14.

76. Stansel HC, Jr. A new operation for d- transposition of the great vessels. Ann Thorac Surg. 1975; 19: 565-567.

77. Kaye MP. Anatomic correction of transposition of great arteries. Mayo Clin Proc.1975; 50: 638-640.

78. Damus PS. Correspondence. Ann Thorac Surg. 1975; 20: 724.

79. Tweddell JS, Hoffman GM, Mussatto KA, Fedderly RT, Berger S, Jaquiss RDB. Improved survival of patients undergoing palliation of hypoplastic left heart syndrome: Lessons learned from 115 consecutive patients. Circulation. 2002; 106: 182-189.

80. Yates MC, Rao PS. Pediatric cardiac emergencies. Emergency Med. 2013; 3:164.

81.Tsounias E, Rao PS. Stent therapy for clotted Blalock-Taussig shunts. Congenital Cardiol Today. 2010; 8: 1-9.

82. Rao PS. Fontan operation: Indications, short- and long-term outcomes. Indian J Pediatr. 2015; 82: 1147-1156.

83. Puga FJ, Chiavarelli M, Hagler DJ, et al. Modifications of the Fontan operation applicable to patients with left atrioventricular valve atresia or single atrioventricular valve. Circulation. 1987; 76.

84. Marcelletti C, Iorio FS, Abella RF. Late results of extra-cardiac Fontan repair. Semin Thorac Cardiovasc Surg Pediatr Card Surg Annu. 1999; 2: 131-141.

85. Rao PS, Chandar JS, Sideris EB. Role of inverted buttoned device in transcatheter occlusion of atrial septal defects or patent foramen ovale with right-to-left shunting associated with previously operated complex congenital cardiac anomalies. Amer J Cardiol. 1997; 80: 914- 921.

86. Goff DA, Blume ED, Gauvreau K, Mayer JE, Lock JE, Jenkins KJ. Clinical Advances in Complex Valvular Disease 24 outcome of fenestrated Fontan patients after closure: The first 10 years. Circulation. 2000; 102: 2094-2099.

87. Boudjemline Y, Bonnet D, Sidi D, Agnoletti G. Closure of extracardiac Fontan fenestration by using the Amplatzer duct occluder. Arch Mal Coeur Vaiss. 2005; 98: 449-454.

88. Bartram U, Grunenfelder J, Van Praagh R. Causes of death after the modified Norwood procedure: A study of 122 postmortem cases. Ann Thorac Surg. 1997; 64: 1795-1802.

89. Schaff HV, Danielson GK. Corrective surgery for tricuspid atresia. In: Rao PS, editor. Tricuspid Atresia. Mount Kisco, NY: Futura Publishing Co.; 1982: 275-292.

90. Freedom RM, Gow R, Caspi J, et al. The Fontan procedure for patients with tricuspid atresia: Longterm follow-up. In: Rao PS, editor. Tricuspid Atresia. 2nd ed. Mt. Kisco, NY: Futura Publishing Co.; 1992: 377-386.

91. Kaulitz R, Ziemer G, Luhmer I, Kallfelz H. Modified Fontan operation in functionally univentricular hearts: Preoperative risk factors and intermediate results. J Thorac Cardiovasc Surg. 1996; 112: 658-664.

92. Mosca RS, Kulik TJ, Goldberg CS, Vermilion RP, Charpie JR, Crowley DC, et al. Early results of the Fontan procedure in one hundred consecutive patients with hypoplastic left heart syndrome. J Thorac Cardiovasc Surg. 2000; 199: 1110-1118.

93. Yoshimura N, Yamaguchi M, Oshima Y, Oka S, Ootaki Y, Tei T, et al. Risk factors influencing early and late mortality after total cavopulmonary connection. European J Cardio-Thorac Surg. 2001; 20: 598-602.

94. Jacobs ML, Norwood WI Jr. Fontan operation: Influence of modifications on morbidity and mortality. Ann Thorac Surg. 1994; 58: 945-952.

95. Gentles TL, Mayer JE Jr, Gauvreau K, Newburger JW, Lock JE, Kupferschmid J et al. Fontan operation in five hundred consecutive patients: Factors influencing early and late outcome. J Thorac Cardiovasc Surg. 1997; 114: 376-391.

96. Gaynor JW, Bridges ND, Cohen MI, Mahle WT, Decampli WM, Steven JM, et al. Predictors of outcome after the Fontan operation: Is hypoplastic left heart syndrome still a risk factor? J Thorac Cardiovasc Surg 2001; 121: 28-41.

97. Rao PS. Protein-losing enteropathy following the Fontan operation. J Invasive Cardiol. 2007; 19: 447-448.

Syamasundar Rao P (2022) Congenital Malformations of the Tricuspid Valve: Diagnosis and Management-Part I. Ann Vasc Med Res 9(2): 1143.

Received : 24 Feb 2022
Accepted : 23 Apr 2022
Published : 25 Apr 2022
Journals
Annals of Otolaryngology and Rhinology
ISSN : 2379-948X
Launched : 2014
JSM Schizophrenia
Launched : 2016
Journal of Nausea
Launched : 2020
JSM Internal Medicine
Launched : 2016
JSM Hepatitis
Launched : 2016
JSM Oro Facial Surgeries
ISSN : 2578-3211
Launched : 2016
Journal of Human Nutrition and Food Science
ISSN : 2333-6706
Launched : 2013
JSM Regenerative Medicine and Bioengineering
ISSN : 2379-0490
Launched : 2013
JSM Spine
ISSN : 2578-3181
Launched : 2016
Archives of Palliative Care
ISSN : 2573-1165
Launched : 2016
JSM Nutritional Disorders
ISSN : 2578-3203
Launched : 2017
Annals of Neurodegenerative Disorders
ISSN : 2476-2032
Launched : 2016
Journal of Fever
ISSN : 2641-7782
Launched : 2017
JSM Bone Marrow Research
ISSN : 2578-3351
Launched : 2016
JSM Mathematics and Statistics
ISSN : 2578-3173
Launched : 2014
Journal of Autoimmunity and Research
ISSN : 2573-1173
Launched : 2014
JSM Arthritis
ISSN : 2475-9155
Launched : 2016
JSM Head and Neck Cancer-Cases and Reviews
ISSN : 2573-1610
Launched : 2016
JSM General Surgery Cases and Images
ISSN : 2573-1564
Launched : 2016
JSM Anatomy and Physiology
ISSN : 2573-1262
Launched : 2016
JSM Dental Surgery
ISSN : 2573-1548
Launched : 2016
Annals of Emergency Surgery
ISSN : 2573-1017
Launched : 2016
Annals of Mens Health and Wellness
ISSN : 2641-7707
Launched : 2017
Journal of Preventive Medicine and Health Care
ISSN : 2576-0084
Launched : 2018
Journal of Chronic Diseases and Management
ISSN : 2573-1300
Launched : 2016
Annals of Vaccines and Immunization
ISSN : 2378-9379
Launched : 2014
JSM Heart Surgery Cases and Images
ISSN : 2578-3157
Launched : 2016
Annals of Reproductive Medicine and Treatment
ISSN : 2573-1092
Launched : 2016
JSM Brain Science
ISSN : 2573-1289
Launched : 2016
JSM Biomarkers
ISSN : 2578-3815
Launched : 2014
JSM Biology
ISSN : 2475-9392
Launched : 2016
Archives of Stem Cell and Research
ISSN : 2578-3580
Launched : 2014
Annals of Clinical and Medical Microbiology
ISSN : 2578-3629
Launched : 2014
JSM Pediatric Surgery
ISSN : 2578-3149
Launched : 2017
Journal of Memory Disorder and Rehabilitation
ISSN : 2578-319X
Launched : 2016
JSM Tropical Medicine and Research
ISSN : 2578-3165
Launched : 2016
JSM Head and Face Medicine
ISSN : 2578-3793
Launched : 2016
JSM Cardiothoracic Surgery
ISSN : 2573-1297
Launched : 2016
JSM Bone and Joint Diseases
ISSN : 2578-3351
Launched : 2017
JSM Bioavailability and Bioequivalence
ISSN : 2641-7812
Launched : 2017
JSM Atherosclerosis
ISSN : 2573-1270
Launched : 2016
Journal of Genitourinary Disorders
ISSN : 2641-7790
Launched : 2017
Journal of Fractures and Sprains
ISSN : 2578-3831
Launched : 2016
Journal of Autism and Epilepsy
ISSN : 2641-7774
Launched : 2016
Annals of Marine Biology and Research
ISSN : 2573-105X
Launched : 2014
JSM Health Education & Primary Health Care
ISSN : 2578-3777
Launched : 2016
JSM Communication Disorders
ISSN : 2578-3807
Launched : 2016
Annals of Musculoskeletal Disorders
ISSN : 2578-3599
Launched : 2016
Annals of Virology and Research
ISSN : 2573-1122
Launched : 2014
JSM Renal Medicine
ISSN : 2573-1637
Launched : 2016
Journal of Muscle Health
ISSN : 2578-3823
Launched : 2016
JSM Genetics and Genomics
ISSN : 2334-1823
Launched : 2013
JSM Anxiety and Depression
ISSN : 2475-9139
Launched : 2016
Clinical Journal of Heart Diseases
ISSN : 2641-7766
Launched : 2016
Annals of Medicinal Chemistry and Research
ISSN : 2378-9336
Launched : 2014
JSM Pain and Management
ISSN : 2578-3378
Launched : 2016
JSM Women's Health
ISSN : 2578-3696
Launched : 2016
Clinical Research in HIV or AIDS
ISSN : 2374-0094
Launched : 2013
Journal of Endocrinology, Diabetes and Obesity
ISSN : 2333-6692
Launched : 2013
Journal of Substance Abuse and Alcoholism
ISSN : 2373-9363
Launched : 2013
JSM Neurosurgery and Spine
ISSN : 2373-9479
Launched : 2013
Journal of Liver and Clinical Research
ISSN : 2379-0830
Launched : 2014
Journal of Drug Design and Research
ISSN : 2379-089X
Launched : 2014
JSM Clinical Oncology and Research
ISSN : 2373-938X
Launched : 2013
JSM Bioinformatics, Genomics and Proteomics
ISSN : 2576-1102
Launched : 2014
JSM Chemistry
ISSN : 2334-1831
Launched : 2013
Journal of Trauma and Care
ISSN : 2573-1246
Launched : 2014
JSM Surgical Oncology and Research
ISSN : 2578-3688
Launched : 2016
Annals of Food Processing and Preservation
ISSN : 2573-1033
Launched : 2016
Journal of Radiology and Radiation Therapy
ISSN : 2333-7095
Launched : 2013
JSM Physical Medicine and Rehabilitation
ISSN : 2578-3572
Launched : 2016
Annals of Clinical Pathology
ISSN : 2373-9282
Launched : 2013
Annals of Cardiovascular Diseases
ISSN : 2641-7731
Launched : 2016
Journal of Behavior
ISSN : 2576-0076
Launched : 2016
Annals of Clinical and Experimental Metabolism
ISSN : 2572-2492
Launched : 2016
Clinical Research in Infectious Diseases
ISSN : 2379-0636
Launched : 2013
JSM Microbiology
ISSN : 2333-6455
Launched : 2013
Journal of Urology and Research
ISSN : 2379-951X
Launched : 2014
Journal of Family Medicine and Community Health
ISSN : 2379-0547
Launched : 2013
Annals of Pregnancy and Care
ISSN : 2578-336X
Launched : 2017
JSM Cell and Developmental Biology
ISSN : 2379-061X
Launched : 2013
Annals of Aquaculture and Research
ISSN : 2379-0881
Launched : 2014
Clinical Research in Pulmonology
ISSN : 2333-6625
Launched : 2013
Journal of Immunology and Clinical Research
ISSN : 2333-6714
Launched : 2013
Annals of Forensic Research and Analysis
ISSN : 2378-9476
Launched : 2014
JSM Biochemistry and Molecular Biology
ISSN : 2333-7109
Launched : 2013
Annals of Breast Cancer Research
ISSN : 2641-7685
Launched : 2016
Annals of Gerontology and Geriatric Research
ISSN : 2378-9409
Launched : 2014
Journal of Sleep Medicine and Disorders
ISSN : 2379-0822
Launched : 2014
JSM Burns and Trauma
ISSN : 2475-9406
Launched : 2016
Chemical Engineering and Process Techniques
ISSN : 2333-6633
Launched : 2013
Annals of Clinical Cytology and Pathology
ISSN : 2475-9430
Launched : 2014
JSM Allergy and Asthma
ISSN : 2573-1254
Launched : 2016
Journal of Neurological Disorders and Stroke
ISSN : 2334-2307
Launched : 2013
Annals of Sports Medicine and Research
ISSN : 2379-0571
Launched : 2014
JSM Sexual Medicine
ISSN : 2578-3718
Launched : 2016
JSM Biotechnology and Biomedical Engineering
ISSN : 2333-7117
Launched : 2013
Journal of Hematology and Transfusion
ISSN : 2333-6684
Launched : 2013
JSM Environmental Science and Ecology
ISSN : 2333-7141
Launched : 2013
Journal of Cardiology and Clinical Research
ISSN : 2333-6676
Launched : 2013
JSM Nanotechnology and Nanomedicine
ISSN : 2334-1815
Launched : 2013
Journal of Ear, Nose and Throat Disorders
ISSN : 2475-9473
Launched : 2016
JSM Ophthalmology
ISSN : 2333-6447
Launched : 2013
Journal of Pharmacology and Clinical Toxicology
ISSN : 2333-7079
Launched : 2013
Annals of Psychiatry and Mental Health
ISSN : 2374-0124
Launched : 2013
Medical Journal of Obstetrics and Gynecology
ISSN : 2333-6439
Launched : 2013
Annals of Pediatrics and Child Health
ISSN : 2373-9312
Launched : 2013
JSM Clinical Pharmaceutics
ISSN : 2379-9498
Launched : 2014
JSM Foot and Ankle
ISSN : 2475-9112
Launched : 2016
JSM Alzheimer's Disease and Related Dementia
ISSN : 2378-9565
Launched : 2014
Journal of Addiction Medicine and Therapy
ISSN : 2333-665X
Launched : 2013
Journal of Veterinary Medicine and Research
ISSN : 2378-931X
Launched : 2013
Annals of Public Health and Research
ISSN : 2378-9328
Launched : 2014
Annals of Orthopedics and Rheumatology
ISSN : 2373-9290
Launched : 2013
Journal of Clinical Nephrology and Research
ISSN : 2379-0652
Launched : 2014
Annals of Community Medicine and Practice
ISSN : 2475-9465
Launched : 2014
Annals of Biometrics and Biostatistics
ISSN : 2374-0116
Launched : 2013
JSM Clinical Case Reports
ISSN : 2373-9819
Launched : 2013
Journal of Cancer Biology and Research
ISSN : 2373-9436
Launched : 2013
Journal of Surgery and Transplantation Science
ISSN : 2379-0911
Launched : 2013
Journal of Dermatology and Clinical Research
ISSN : 2373-9371
Launched : 2013
JSM Gastroenterology and Hepatology
ISSN : 2373-9487
Launched : 2013
Annals of Nursing and Practice
ISSN : 2379-9501
Launched : 2014
JSM Dentistry
ISSN : 2333-7133
Launched : 2013
Author Information X