Loading

Annals of Vascular Medicine and Research

Development of Granulomatosis with Polyangiitis in a Patient with Psoriatic Arthritis in Treatment with Ustekinumab

Case Report | Open Access | Volume 5 | Issue 1

  • 1. Department of Nephrology, Campus Hospital de la Salud, Spain
+ Show More - Show Less
Corresponding Authors
Elena Hernández García, Department of Nephrology, Campus Hospital de la Salud, Spain Tel: 676-892-831;
Abstract

Granulomatosis with polyangiitis (GPA) is a systemic, multiple-cause vasculitis that affects small and medium vessels. It is characterized by the affectation of the respiratory system and the kidneys, although it can affect other organs. Antineutrophil cytoplasmic antibodies (ANCA) are frequently positive and the most relevant histological feature is the presence of necrotizing granulomas. The diagnosis is based on the clinical manifestations, the biopsy of the affected organs and the presence of ANCA. We report a clinical case of a patient diagnosed with granulomatosis with polyangiitis probably related to the use of ustekinumab. The vasculitis can be idiopathic or secondary, being caused by different causes such as infections, medications, systemic diseases or malignant tumors. All of these possible causes should be considered in the differential diagnosis, such as drug-induced vasculitis, since it is essential to identify and stop the guilty medication. In drugs such as ustekinumab, some rare events, including vasculitis, may not be evident until their wider use and rigorous post-marketing surveillance, the key element is the suspicion for a diagnosis and early and adequate treatment. The histological diagnosis is definitive, which allows us to establish an adequate treatment early, improving the prognosis.

Keywords

Granulomatosis; Polyangiitis; ANCA; Drug; Ustekinumab

Citation

García EH, Casado AP, Rodríguez M, Ortega P (2018) Development of Granulomatosis with Polyangiitis in a Patient with Psoriatic Arthritis in Treatment with Ustekinumab. Ann Vasc Med Res 5(1): 1087.

ABBREVIATIONS

ANCA: Antineutrophil Cytoplasmic Antibodies; GPA: Granulomatosis with Polyangiitis; NSAIDs: Nonsteroidal Antiinflammatory Drugs; p-ANCA: Perinuclear Anti-Neutrophil Cytoplasmic Antibodies; c-ANCA: Cytoplasmic Antineutrophil Cytoplasmic Antibodies; DLCO: Diffusion Pulmonary Carbon Monoxide; GFR: Glomerular Filtration Rate; TNF: Tumor Necrosis Factor; APV: ANCA-Positive Vasculitis

INTRODUCTION

Granulomatosis with polyangiitis, previously known as Wegener’s granulomatosis, is a systemic, multiple-cause vasculitis that affects small and medium vessels [1]. It is characterized by the involvement of the respiratory system and the kidneys, although it can affect other organs [2]. ANCA is observed in more than 90% of patients with GPA and the most relevant histological feature is the presence of necrotizing granulomas. The diagnosis is based on the clinical manifestations, the biopsy of the affected organs and the presence of ANCA [3]. Then, we report a clinical case found in our usual practice of a patient diagnosed with granulomatosis with polyangiitis probably related to the use of ustekinumab.

CASE PRESENTATION

A 61-year-old man with history of hypertension, psoriatic arthritis in treatment with ustekinumab on a quarterly dose and methotrexate for 3 years and persistent microhematuria in study by urology who came to the hospital with extensive joint affectation, in treatment with nonsteroidal anti-inflammatory drugs (NSAIDs), diazepam and corticosteroids with subsequent hospital discharge. After one month, the articular symptoms persisted with the appearance of nausea, vomiting and oligoanuria with coluric urine. Initial exam revealed local inflammatory signs in joints, blood pressure 148/76 mmHg, no edema and the rest of the exploration was normal.

The first complementary tests performed showed an acute renal failure with creatinine 7.3 mg / dl, urea 157.7 mg / dl, potassium 6.2 mEq/ l, hemoglobin 8.9 g/dl, C-reactive protein 77 mg / l, and abdominal ultrasound without interesting findings. Initially, an acute renal failure was suspected, possibly secondary to the taking of NSAIDs, but after starting treatment there was no adequate evolution. Progressively, renal function deteriorated rapidly to creatinine 9.5 mg / dl and urea 280 mg / dl. The study was completed with serology, proteinogram, light chains, immunoglobulins, and complement, all with normal results.

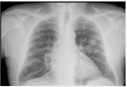
The autoimmunity study revealed antinuclear antibodies negative, Perinuclear Anti-Neutrophil Cytoplasmic Antibodies (p-ANCA) negative and cytoplasmic antineutrophil cytoplasmic antibodies (c-ANCA) positive with a titer of 99 Ui/ml. During admission, the patient began with hemoptysis, so a chest x-ray was performed that revealed bilateral pulmonary infiltrates in middle fields, although predominantly left (Figure 1).

Figure 1 Chest x-ray with bilateral pulmonary infiltrates in middle  fields, although predominantly left.

Figure 1: Chest x-ray with bilateral pulmonary infiltrates in middle fields, although predominantly left.

Consequently, the Department of Pneumology was asked to realize a respiratory functional study with diffusion pulmonary carbon monoxide (DLCO) that showed an increase of 114%, confirming the diagnosis of pulmonary hemorrhage.

Given these findings and given the bad evolution of the patient, a renal biopsy was performed showing an extra capillary and pauci-immune necrotizing glomerulonephritis in relation to ANCA and signs of tubular ischemia in evolution. Therefore, it was concluded that the patient presented a renopulmonary syndrome compatible with a granulomatosis with polyangiitis. Regarding the treatment, several sessions of hemodialysis, plasmapheresis and immunosuppressive regimen were initiated with cyclophosphamide and corticosteroids.

Finally, the patient remains with impaired renal function. Currently, its estimated glomerular filtration rate (GFR) is 20ml / m / 1.73m2.

DISCUSSION

Vasculitis can be idiopathic or secondary, being caused by different etiologies such as infections, medications, systemic diseases or malignant tumors, etc [4]. The determination of ANCA in clinical practice has increased the suspicion capacity of this disease. Despite the discovery of ANCA and the description of certain effector mechanisms that underlie the development of GPA [5], the pathogenesis of this disease is still poorly understood. Among the elements that predispose to the appearance of GPA, there are genetic factors, such as some HLA haplotypes or gene polymorphisms coding of proteins involved in the immune response (IL-10, CTLA4 or PTPN22) [4]. However, environmental factors play a vital role, whether this exposure to certain environmental toxins such as silica, or a vasculitis triggered by an infection or drug [4]. In this sense, tumor necrosis factor (TNF) inhibitors, propylthiouracil, hydralazine, and minocycline have been previously reported to induce ANCApositive vasculitis (APV) [6], which may present with high ANCA titers [7]. Therefore, a drug etiology must also be considered [6]. The mechanism for autoantibody formation in drug-induced APV persists undetermined. Different positive auto antibodies have been described in previous cases of APV induced by drugs [6], although they are of unknown predictive value and were not observed in our case. It is also not known if very high c-ANCA titers are characteristic of the etiology of the drug, as is the case with p-ANCA titers [8]. Since in patients exposed to drugs, p- ANCA titers can be more than 12 times the average titer of patients with APV without exposure to the drug [8]. Our case suggests that drug triggers may be more numerous than previously appreciated and we could raise suspicion for drug etiology.

After a review of the literature, ustekinumab has never been reported as a medication that can induce c-ANCA positive vasculitis but, we report ustekinumab as another possible culprit in drug-induced APV. Our case reinforces the need to consider drug etiology for APV and cautions about the surveillance of drugs when these types of events appear. The suspicion and identification of the drug is essential to identify and suspend the guilty medication [5]. In drugs such as ustekinumab, some rare events, including vasculitis, may not be evident until their wider use and rigorous post-marketing surveillance. For this reason, the key element is the suspicion for a diagnosis and early and adequate treatment.

The histological diagnosis is definitive and therefore the early renal biopsy could be indicated to establish an adequate treatment early, improving the prognosis [4]. In terms of treatment, classical immunosuppressive schemes used in GPA combine high-dose corticosteroids and cyclophosphamide, although recent trials have shown that rituximab offers a similar efficacy with probably less cytotoxic side-effects [5].

García EH, Casado AP, Rodríguez M, Ortega P (2018) Development of Granulomatosis with Polyangiitis in a Patient with Psoriatic Arthritis in Treatment with Ustekinumab. Ann Vasc Med Res 5(1): 1087.

Received : 05 Mar 2018
Accepted : 20 Mar 2018
Published : 23 Mar 2018
Journals
Annals of Otolaryngology and Rhinology
ISSN : 2379-948X
Launched : 2014
JSM Schizophrenia
Launched : 2016
Journal of Nausea
Launched : 2020
JSM Internal Medicine
Launched : 2016
JSM Hepatitis
Launched : 2016
JSM Oro Facial Surgeries
ISSN : 2578-3211
Launched : 2016
Journal of Human Nutrition and Food Science
ISSN : 2333-6706
Launched : 2013
JSM Regenerative Medicine and Bioengineering
ISSN : 2379-0490
Launched : 2013
JSM Spine
ISSN : 2578-3181
Launched : 2016
Archives of Palliative Care
ISSN : 2573-1165
Launched : 2016
JSM Nutritional Disorders
ISSN : 2578-3203
Launched : 2017
Annals of Neurodegenerative Disorders
ISSN : 2476-2032
Launched : 2016
Journal of Fever
ISSN : 2641-7782
Launched : 2017
JSM Bone Marrow Research
ISSN : 2578-3351
Launched : 2016
JSM Mathematics and Statistics
ISSN : 2578-3173
Launched : 2014
Journal of Autoimmunity and Research
ISSN : 2573-1173
Launched : 2014
JSM Arthritis
ISSN : 2475-9155
Launched : 2016
JSM Head and Neck Cancer-Cases and Reviews
ISSN : 2573-1610
Launched : 2016
JSM General Surgery Cases and Images
ISSN : 2573-1564
Launched : 2016
JSM Anatomy and Physiology
ISSN : 2573-1262
Launched : 2016
JSM Dental Surgery
ISSN : 2573-1548
Launched : 2016
Annals of Emergency Surgery
ISSN : 2573-1017
Launched : 2016
Annals of Mens Health and Wellness
ISSN : 2641-7707
Launched : 2017
Journal of Preventive Medicine and Health Care
ISSN : 2576-0084
Launched : 2018
Journal of Chronic Diseases and Management
ISSN : 2573-1300
Launched : 2016
Annals of Vaccines and Immunization
ISSN : 2378-9379
Launched : 2014
JSM Heart Surgery Cases and Images
ISSN : 2578-3157
Launched : 2016
Annals of Reproductive Medicine and Treatment
ISSN : 2573-1092
Launched : 2016
JSM Brain Science
ISSN : 2573-1289
Launched : 2016
JSM Biomarkers
ISSN : 2578-3815
Launched : 2014
JSM Biology
ISSN : 2475-9392
Launched : 2016
Archives of Stem Cell and Research
ISSN : 2578-3580
Launched : 2014
Annals of Clinical and Medical Microbiology
ISSN : 2578-3629
Launched : 2014
JSM Pediatric Surgery
ISSN : 2578-3149
Launched : 2017
Journal of Memory Disorder and Rehabilitation
ISSN : 2578-319X
Launched : 2016
JSM Tropical Medicine and Research
ISSN : 2578-3165
Launched : 2016
JSM Head and Face Medicine
ISSN : 2578-3793
Launched : 2016
JSM Cardiothoracic Surgery
ISSN : 2573-1297
Launched : 2016
JSM Bone and Joint Diseases
ISSN : 2578-3351
Launched : 2017
JSM Bioavailability and Bioequivalence
ISSN : 2641-7812
Launched : 2017
JSM Atherosclerosis
ISSN : 2573-1270
Launched : 2016
Journal of Genitourinary Disorders
ISSN : 2641-7790
Launched : 2017
Journal of Fractures and Sprains
ISSN : 2578-3831
Launched : 2016
Journal of Autism and Epilepsy
ISSN : 2641-7774
Launched : 2016
Annals of Marine Biology and Research
ISSN : 2573-105X
Launched : 2014
JSM Health Education & Primary Health Care
ISSN : 2578-3777
Launched : 2016
JSM Communication Disorders
ISSN : 2578-3807
Launched : 2016
Annals of Musculoskeletal Disorders
ISSN : 2578-3599
Launched : 2016
Annals of Virology and Research
ISSN : 2573-1122
Launched : 2014
JSM Renal Medicine
ISSN : 2573-1637
Launched : 2016
Journal of Muscle Health
ISSN : 2578-3823
Launched : 2016
JSM Genetics and Genomics
ISSN : 2334-1823
Launched : 2013
JSM Anxiety and Depression
ISSN : 2475-9139
Launched : 2016
Clinical Journal of Heart Diseases
ISSN : 2641-7766
Launched : 2016
Annals of Medicinal Chemistry and Research
ISSN : 2378-9336
Launched : 2014
JSM Pain and Management
ISSN : 2578-3378
Launched : 2016
JSM Women's Health
ISSN : 2578-3696
Launched : 2016
Clinical Research in HIV or AIDS
ISSN : 2374-0094
Launched : 2013
Journal of Endocrinology, Diabetes and Obesity
ISSN : 2333-6692
Launched : 2013
Journal of Substance Abuse and Alcoholism
ISSN : 2373-9363
Launched : 2013
JSM Neurosurgery and Spine
ISSN : 2373-9479
Launched : 2013
Journal of Liver and Clinical Research
ISSN : 2379-0830
Launched : 2014
Journal of Drug Design and Research
ISSN : 2379-089X
Launched : 2014
JSM Clinical Oncology and Research
ISSN : 2373-938X
Launched : 2013
JSM Bioinformatics, Genomics and Proteomics
ISSN : 2576-1102
Launched : 2014
JSM Chemistry
ISSN : 2334-1831
Launched : 2013
Journal of Trauma and Care
ISSN : 2573-1246
Launched : 2014
JSM Surgical Oncology and Research
ISSN : 2578-3688
Launched : 2016
Annals of Food Processing and Preservation
ISSN : 2573-1033
Launched : 2016
Journal of Radiology and Radiation Therapy
ISSN : 2333-7095
Launched : 2013
JSM Physical Medicine and Rehabilitation
ISSN : 2578-3572
Launched : 2016
Annals of Clinical Pathology
ISSN : 2373-9282
Launched : 2013
Annals of Cardiovascular Diseases
ISSN : 2641-7731
Launched : 2016
Journal of Behavior
ISSN : 2576-0076
Launched : 2016
Annals of Clinical and Experimental Metabolism
ISSN : 2572-2492
Launched : 2016
Clinical Research in Infectious Diseases
ISSN : 2379-0636
Launched : 2013
JSM Microbiology
ISSN : 2333-6455
Launched : 2013
Journal of Urology and Research
ISSN : 2379-951X
Launched : 2014
Journal of Family Medicine and Community Health
ISSN : 2379-0547
Launched : 2013
Annals of Pregnancy and Care
ISSN : 2578-336X
Launched : 2017
JSM Cell and Developmental Biology
ISSN : 2379-061X
Launched : 2013
Annals of Aquaculture and Research
ISSN : 2379-0881
Launched : 2014
Clinical Research in Pulmonology
ISSN : 2333-6625
Launched : 2013
Journal of Immunology and Clinical Research
ISSN : 2333-6714
Launched : 2013
Annals of Forensic Research and Analysis
ISSN : 2378-9476
Launched : 2014
JSM Biochemistry and Molecular Biology
ISSN : 2333-7109
Launched : 2013
Annals of Breast Cancer Research
ISSN : 2641-7685
Launched : 2016
Annals of Gerontology and Geriatric Research
ISSN : 2378-9409
Launched : 2014
Journal of Sleep Medicine and Disorders
ISSN : 2379-0822
Launched : 2014
JSM Burns and Trauma
ISSN : 2475-9406
Launched : 2016
Chemical Engineering and Process Techniques
ISSN : 2333-6633
Launched : 2013
Annals of Clinical Cytology and Pathology
ISSN : 2475-9430
Launched : 2014
JSM Allergy and Asthma
ISSN : 2573-1254
Launched : 2016
Journal of Neurological Disorders and Stroke
ISSN : 2334-2307
Launched : 2013
Annals of Sports Medicine and Research
ISSN : 2379-0571
Launched : 2014
JSM Sexual Medicine
ISSN : 2578-3718
Launched : 2016
JSM Biotechnology and Biomedical Engineering
ISSN : 2333-7117
Launched : 2013
Journal of Hematology and Transfusion
ISSN : 2333-6684
Launched : 2013
JSM Environmental Science and Ecology
ISSN : 2333-7141
Launched : 2013
Journal of Cardiology and Clinical Research
ISSN : 2333-6676
Launched : 2013
JSM Nanotechnology and Nanomedicine
ISSN : 2334-1815
Launched : 2013
Journal of Ear, Nose and Throat Disorders
ISSN : 2475-9473
Launched : 2016
JSM Ophthalmology
ISSN : 2333-6447
Launched : 2013
Journal of Pharmacology and Clinical Toxicology
ISSN : 2333-7079
Launched : 2013
Annals of Psychiatry and Mental Health
ISSN : 2374-0124
Launched : 2013
Medical Journal of Obstetrics and Gynecology
ISSN : 2333-6439
Launched : 2013
Annals of Pediatrics and Child Health
ISSN : 2373-9312
Launched : 2013
JSM Clinical Pharmaceutics
ISSN : 2379-9498
Launched : 2014
JSM Foot and Ankle
ISSN : 2475-9112
Launched : 2016
JSM Alzheimer's Disease and Related Dementia
ISSN : 2378-9565
Launched : 2014
Journal of Addiction Medicine and Therapy
ISSN : 2333-665X
Launched : 2013
Journal of Veterinary Medicine and Research
ISSN : 2378-931X
Launched : 2013
Annals of Public Health and Research
ISSN : 2378-9328
Launched : 2014
Annals of Orthopedics and Rheumatology
ISSN : 2373-9290
Launched : 2013
Journal of Clinical Nephrology and Research
ISSN : 2379-0652
Launched : 2014
Annals of Community Medicine and Practice
ISSN : 2475-9465
Launched : 2014
Annals of Biometrics and Biostatistics
ISSN : 2374-0116
Launched : 2013
JSM Clinical Case Reports
ISSN : 2373-9819
Launched : 2013
Journal of Cancer Biology and Research
ISSN : 2373-9436
Launched : 2013
Journal of Surgery and Transplantation Science
ISSN : 2379-0911
Launched : 2013
Journal of Dermatology and Clinical Research
ISSN : 2373-9371
Launched : 2013
JSM Gastroenterology and Hepatology
ISSN : 2373-9487
Launched : 2013
Annals of Nursing and Practice
ISSN : 2379-9501
Launched : 2014
JSM Dentistry
ISSN : 2333-7133
Launched : 2013
Author Information X