Loading

Annals of Vascular Medicine and Research

Endovascular Embolization of Spontaneously Ruptured Renal Artery Pseudoaneurysm in a Post-Partum Woman: A Case Report

Case Report | Open Access | Volume 11 | Issue 1

  • 1. Department of Radiology, Teaching Hospital Jaffna, Sri Lanka
  • 2. Department of Radiology, Teaching Hospital Jaffna, Sri Lanka
  • 3. Department of Radiology, Teaching Hospital Jaffna, Sri Lanka
  • 4. Department of Radiology, Teaching Hospital Jaffna, Sri Lanka
  • 5. Consultant Obstetrician and Gynecologist, Teaching Hospital Jaffna, Sri Lanka
  • 6. Consultant Genitourinary Surgeon, Teaching Hospital Jaffna, Sri Lanka
+ Show More - Show Less
Corresponding Authors
AA Jenil, Consultant Interventional Radiologist, Department of Radiology, Teaching Hospital Jaffna, Sri Lanka
Abstract

Renal artery pseudoaneurysm (RAP) is a rare but potentially life-threatening condition that is often challenging to diagnose. While commonly associated with procedures or trauma, spontaneous cases are exceedingly rare. We present a case of a post-partum woman with a spontaneously ruptured segmental renal artery pseudoaneurysm.

We report a 19-year-old post-partum woman presented with an enlarged kidney and rising serum creatinine levels following a caesarean section. Imaging revealed a ruptured renal artery pseudoaneurysm, and endovascular glue embolization was performed successfully.

Renal artery pseudoaneurysms pose diagnostic challenges, and angiography remains a gold standard. In our case, the pseudoaneurysm was larger, necessitating intervention. Selective glue angioembolization effectively treated the ruptured pseudoaneurysm, preserving renal function.

This case highlights the importance of considering renal artery pseudoaneurysms, even without a history of major trauma or surgery. Renal artery embolization emerges as a minimally invasive and effective diagnostic and therapeutic approach for RAPs, showcasing its utility in life threatening scenarios. Our experience underscores the efficacy of this technique in managing such complex cases.

Keywords

• Renal artery pseudoaneurysm

• Renal angiography

• Endovascular embolization

Citation

Jenil AA, Jayanthan BAD, Karunarathna WADP, Pirannavan R, Saravanabhava N, et al. (2024) Endovascular Embolization of Spontaneously Ruptured Renal Artery Pseudoaneurysm in a Post-Partum Woman: A Case Report. Ann Vasc Med Res 11(1): 1174.

BACKGROUND

Renal artery pseudoaneurysm (RAP) is an uncommon but potentially life-threatening condition that is often difficult to diagnose. Typically, RAPs are seen in patients after renal biopsy, percutaneous nephrolithotomy, partial nephrectomy, or trauma. The incidence of renal artery pseudoaneurysm is unknown, given that it is often asymptomatic. Most of the time, small pseudoaneurysms are asymptomatic and thrombose spontaneously [1].

However, when they are symptomatic, patient can present with a pulsatile mass in the pelvis, flank pain, renal dysfunction secondary to compression of artery branches or shunting of blood, or hemorrhage from rupture. Although these lesions can be managed surgically, renal artery embolization is preferred if they are amenable to embolization to minimize the loss of normal renal parenchyma. Spontaneous pseudoaneurysm of segmental renal artery is also a rare entity [2-4].

Here we present a case of spontaneous rupture of a segmental renal artery pseudoaneurysm in a post-partum woman. To whom subsequently glue embolization was performed.

CASE PRESENTATION

A 19-year-old pregnant woman presented with labour pain at 37 weeks and 1 day of period of gestation. Having already been diagnosed with anaemia in the third trimester with an Hb of 8.9 g/dL and breech presentation, in this admission fetal distress was identified during labour, and subsequently she underwent emergency lower segment caesarean section.

On post operative day 2 she was presented with persistent severe abdominal pain and on examination patient was afebrile, mildly pale, had blood pressure in the upper margins and low urine output with no evidence of hematuria. Post-operative Hb was 6.9 g/dL and she was transfused 2 pints of blood, correcting Hb to 9.0 g/dL. Serum creatinine levels were normal but slowly rising, from 68 to 98 µmol/L. Urine full report negative and inflammatory markers were not elevated. Ultrasound Scan of the abdomen was performed to find the cause for her symptoms [5-9].

Ultrasound Scan of the abdomen depicted large intracapsular haematoma with a small aneurysm in the inter polar region of right kidney (Figure 1, 2). Ultrasound excluded any uterine bleeding or focus of infection.

Ultrasound Scan of the abdomen.

Figure 1: Ultrasound Scan of the abdomen.

Ultrasound Scan of the abdomen.

Figure 2: Ultrasound Scan of the abdomen.

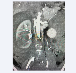
Subsequently, CT angiogram confirmed a ruptured pseudo aneurysm with intra renal and intra- capsular haematoma (Figure 3).

CT angiogram.

Figure 3: CT angiogram.

Renal artery DSA was performed which diagnosed a ruptured pseudoaneurysm in the anterior inferior segment artery of the right kidney, measuring 1.6 x 1.3cm in size (Figure 4).

Anterior inferior segment artery of the right kidney.

Figure 4: Anterior inferior segment artery of the right kidney.

Glue (n-butyl-2- cyanoacrylate) and lipiodol combination were used for embolization (Figure 5).

Embolization.

Figure 5: Embolization.

Embolization successfully performed and post procedure period was uneventful.

Follow up Ultrasound showed interval reduction in perinephric haematoma with no bleeding from the pseudoaneurysm. Her Hb was 8.7 g/dL and serum creatinine 81 µmol/L on discharge.

DISCUSSION

Renal artery aneurysms (RAA) are localized dilations of the renal artery and/or branches. It was the first disease process of the renal artery to be identified and has historically been considered a rare phenomenon until the widespread use of angiography [10].

A true aneurysm is a balloon like dilation of all layers of the vessel wall, whereas a false (pseudo) aneurysm is derived from tissues surrounding the arteries [10]. There are 4 basic structural types: saccular, fusiform, dissecting, and arteriovenous/ microaneurysms (12). Saccular are the most common and represent 70% to 75% of all RAAs [10-12]. Intraparenchymal RAAs are rare and account for <10% of all RAAs [11,13].

RAAs can be either congenital or acquired. Congenital RAAs have been associated with autosomal dominant polycystic disease, fibromuscular dysplasia, and tuberous sclerosis [10].

Acquired etiologies include longstanding untreated hypertension, atherosclerosis, blunt and penetrating trauma, recent surgical manipulation (open, laparoscopic, and/ or endovascular), angiomyolipoma’s, infectious (mycotic), polyarteritis nodosa, malignancy, coagulopathy, radiation, and/ or cyclophosphamide use. Acquired RAAs have a highly variable location and size (1 to 10 cm), although most (> 90%) are smaller than 2 cm. The risk of rupture is thought to vary inversely with size, and most investigators agree that aneurysms larger than 2 cm are more likely to undergo rupture. The rupture rate occurs in approximately 30% of cases, with mortality greater than 20% [14-17].

RAP is a rare clinical entity that may occur after renal biopsy, renal surgery, renal transplantation, penetrating trauma, or blunt renal trauma. Passage of blood from a lacerated renal artery to the renal parenchyma leads to the formation of RAP [1,2]. In renal transplant patients, pseudoaneurysms can result from infection or technical failure at the site of the anastomosis [6].

After renal injury, combination of hypotension, coagulation, and pressure from the surrounding tissues, such as the vascular adventitia, renal parenchyma, and Gerota’s fascia, result in temporary cessation of the bleeding. Later dissolution of the clot and surrounding necrotic tissue results in recanalization between the intravascular and extravascular space, which ultimately leads to formation of a pseudoaneurysm. With restoration of normal blood flow in the artery, the pseudoaneurysm can grow in size and eventually become unstable, with erosion into the surrounding perinephric tissue [3-5].

However, spontaneous rupture of RAP as in our case, without history of surgery, renal biopsy, significant abdominal trauma, and systemic disease, is a very rare entity. Previous trivial abdominal trauma may also be a predisposing factor for the development of renal RAP and the patient may not elicit history of such minor event 

Symptoms of RAP may include abdominal tenderness, abdominal mass, hematuria, hypertension, and shock. Signs and symptoms of RAP may develop immediately after the insult, or they may be delayed [18]. Hematuria is the most common symptom associated with RAP and results from the erosion of RAP into the adjacent renal collecting system; this may occur within 2 to 4 weeks after the injury [19]. However, patients can present with nonspecific symptoms and therefore RAP is incidentally found.

In fact, the diagnosis of RAP is challenging. Angiography has been the gold standard tool for diagnosis. However, if the patient is stable, noninvasive tests such as contrast medium-enhanced CT, color Doppler sonography, or magnetic resonance angiography should be performed [20]. CT angiography has advantage of imaging of the entire urinary tract and is the technique of choice for follow-up [21]. RAP is best seen on the arterial phase, which appears as a focal high attenuation lesion with a density similar to that of the adjacent arterial vessels. RAP may also be visible in the nephrographic phase but may be missed when the adjacent renal parenchyma is densely enhanced, masking the high density of the pseudoaneurysm. Due to washout of contrast material from the pseudoaneurysm in pyelographic phase, RAP will not be seen [22].

Pseudoaneurysm resembles a cystic mass on sonography. The ultrasound findings may not be sufficient to distinguish a hematoma from a pseudoaneurysm. Color Doppler sonography is very useful and shows characteristic to-and-fro flow within the lesion. If imaging findings are not conclusive and there is clinical suspicion of RAP, or the patient is hemodynamically unstable, angiography should be undertaken. In addition to high sensitivity in identifying RAP, the advantages of angiography include the potential to achieve simultaneous endovascular management of RAP [23].

Currently, no definite guidelines exist for the size at which an RAP should be repaired in an asymptomatic patient. In general, aneurysms greater than 2 cm in diameter are considered to have a high risk of rupture [24]. In fact, it has been reported that most pseudoaneurysms are small and asymptomatic and sometimes resolve spontaneously [25]

Given that ruptures have also been reported in smaller aneurysms if left untreated, it was decided that an intervention on the RAP would decrease the risk of ultimate rupture [26].

In our case, the size of the pseudoaneurysm was smaller and arising from anterior inferior segmental renal artery. A team of interventional radiologists and a urosurgeon decided to intervene in the pseudoaneurysm by endovascular embolization.

Management methods of RAP are also a challenging issue, and a variety of treatment modalities have been exploited so far [19]. In general, angiographic embolization is the procedure of choice for management of RAP due to its minimally invasive and selective nature and the maximal preservation of renal parenchyma [18].

The embolization material should be chosen based on the patient’s vascular anatomy and the specific clinical indication or pathologic process necessitating the procedure. Resorbable materials, coils, inert particles, and sclerosants (liquids) can be used, depending on the clinical indication and vascular structure to be occluded [27,28].

However, embolization for the management of RAP appears to have some shortcomings such as possible reflux of embolic material into the normal proximal vessel if the distal branch has not been selectively cannulated and the risk of more generalized ischemia resulting from thrombosis of a main feeding branch [19,27,28]. To overcome these limitations, treatment with covered stent grafts on RAP located in branches of visceral arteries has been suggested [23].

CONCLUSION

In conclusion, we herein showed a case of 19-year-old woman with spontaneous asymptomatic segmental RAP suspected in USS of the abdomen, which was later confirmed with CECT renal angiography and DSA of the renal artery.

RAP was treated with selective glue angioembolization of the middle segmental renal artery, and follow-up imaging showed successful resolution without evidence of complications.

Clinicians and radiologist need to bear in mind that even without history of major renal trauma or surgery, renal pseudoaneurysm can occur in asymptomatic individuals. Renal artery embolization is a minimally invasive technique for the diagnosis and management of RAPs. Unlike other imaging modalities, such as CT and USG, angiography not only demonstrates the anatomic location of pseudoaneurysms, but also allows the interventional radiologist to treat this potentially life-threatening complication quickly and effectively. Our case demonstrates the efficacy of this technique.

REFERENCES
  1. Nakatani T, Uchida J, Han YS, Tomoaki Iwai, Kenji Nakamura, Hidenori Kawashima, et al. Renal allograft arteriovenous fistula and large pseudoaneurysm. Clin Transplant. 2003; 17: 9-12.
  2. Sauk S, Zuckerman DA, Eds. Renal artery embolization. Seminars in interventional radiology; hieme Medical Publishers; 2011.
  3. Srivastava A, Singh KJ, Suri A, Deepak Dubey, Anant Kumar, Rakesh Kapoor, et al. Vascular complications after percutaneous nephrolithotomy: are there any predictive factors? Urology. 2005; 66: 38-40.
  4. Chataut D, Maharjan S, Panta OB, Ghimire RK. A Rare Case of Spontaneous Asymptomatic Renal Artery Pseudoaneurysm Treated with Coil Embolization: A Case Report. Thieme E-Journals - Journal of Clinical Interventional Radiology ISVIR. 2017.
  5. Lee RS, Porter JR. Traumatic renal artery pseudoaneurysm: diagnosis and management techniques. J Trauma 2003; 55: 972–978.
  6. Ngo TC, Lee JJ, Gonzalgo ML. Renal pseudoaneurysm: an overview. Nat Rev Urol. 2010; 7: 619-25.
  7. Hachulla E, Bourdon F, Taieb S, et al. Embolization of two bleeding aneurysms with platinum coils in a patient with polyarteritis nodosa. J Rheumatol. 1993; 20: 15
  8. Park S, Lee GH, Park JH, Park BS, Jin K, Kim YW. Successfully treated isolated renal artery pseudoaneurysm in a patient with Behçet’s disease. Kidney Res Clin Pract. 2016; 35: 123- 6.
  9. Chen A, DeBartolo M, Darras F, Ferretti J, Wasnick R. Renal artery pseudoaneurysm in Kawasaki disease. Urology. 2016; 98: 165-6.
  10. Poutasse EF. Renal artery aneurysm: report of 12 cases, two treated by excision of the aneurysm and repair of renal artery. J Urol. 1957; 77: 697-708.
  11. Cerny JC, Chang CY, Fry WJ. Renal artery aneurysms. Arch Surg. 1968; 96: 653-663.
  12. Tham G, Ekelund L, Herrlin K, et al. Renal artery aneurysms. Natural history and prognosis. Ann Surg. 1983; 197: 348-352.
  13. Porcaro AB, Migliorini F, Pianon R, et al. Intra- parenchymal renal artery aneurysms. Case report with review and update of the literature. Int Urol Nephrol. 2004; 36: 409-416.
  14. Porcaro AB, Migliorini F, Pianon R, et al. Intra- parenchymal renal artery aneurysms. Case report with review and update of the literature. Int Urol Nephrol. 2004; 36: 409-416.
  15. Giannopoulos A, Manousakas T, Alexopoulou E, et al. Delayed life- threatening haematuria from a renal pseudoaneurysm caused by blunt renal trauma treated with selective embolization. Urol Int. 2004; 72: 352-354.
  16. Lindekleiv H, Haro S, Nordhus K, et al. Renal artery pseudoaneurysm secondary to blunt trauma nine years earlier: case report and review of the literature. Scand J Urol Nephrol. 2008; 42: 488-491.
  17. Ohebshalom MM, Tash JA, Coll D, et al. Massive hematuria due to right renal artery mycotic pseudoaneurysm in a patient with subacute bacterial endocarditis. Urology. 2001; 58: 607.
  18. Mima A, Toma M, Matsubara T, et al. Angio-embolization of renal artery pseudoaneurysm after renal biopsy: a case report. Ren Fail. 2009; 31: 753–755.
  19. Albani JM, Novick AC. Renal artery pseudoaneurysm after partial nephrectomy: three case reports and a literature review. Urology. 2003; 62: 227–231.
  20. Helck A, Hoffmann RT, Sommer WH, et al. Diagnosis, therapy monitoring and follow up of renal artery pseudoaneurysm with contrast-enhanced ultrasound in three cases. Clin Hemorheol Microcirc. 2010; 46: 127–137.
  21. Halachmi S, Chait P, Hodapp J, et al. Renal pseudoaneurysm after blunt renal trauma in a pediatric patient: management by angio- graphic embolization. Urology. 2003; 61: 224.
  22. Inci K, Cil B, Yazici S, et al. Renal artery pseudoaneurysm: compli- cation of minimally invasive kidney surgery. J Endourol. 2010; 24: 149–154.
  23. Philippou P, Moraitis K, El-Husseiny T, Wazait H, Masood J, BuchholzN. Endovascular covered stenting for the management of post- percutaneous nephrolithotomy renal pseudoaneurysm: a case report. J Med Case Reports. 2010; 4: 316.
  24. Yang HK, Koh ES, Shin SJ, Chung S. Incidental renal artery pseu- doaneurysm after percutaneous native renal biopsy. BMJ Case Rep. 2013; 2013: bcr2012006537.
  25. Rivera M, Villacorta J, Jiménez-Alvaro S, Quereda C. Asymptomatic large extracapsular renal pseudoaneurysm following kidney transplant biopsy. Am J Kidney Dis. 2011; 57: 175–178.
  26. Steinway ML, Jankowski JT, Harkey PP, Spirnak JP. Renal artery pseudoaneurysm from blunt abdominal trauma. J Urol. 2009; 182: 314.
  27. Ginat DT, Saad WEA, Turba UC. Transcatheter renal artery embolization: clinical applications and techniques. Tech Vasc Interv Radiol. 2009; 12: 224–239
  28. Loffroy R, Rao P, Kwak B-K, et al. Transcatheter arterial embolization in patients with kidney diseases: an overview of the technical aspects and clinical indications. Korean J Radiol. 2010; 11: 257–268.

Jenil AA, Jayanthan BAD, Karunarathna WADP, Pirannavan R, Saravanabhava N, et al. (2024) Endovascular Embolization of Spontaneously Ruptured Renal Artery Pseudoaneurysm in a Post-Partum Woman: A Case Report. Ann Vasc Med Res 11(1): 1174.

Received : 26 Dec 2023
Accepted : 27 Jan 2024
Published : 29 Jan 2024
Journals
Annals of Otolaryngology and Rhinology
ISSN : 2379-948X
Launched : 2014
JSM Schizophrenia
Launched : 2016
Journal of Nausea
Launched : 2020
JSM Internal Medicine
Launched : 2016
JSM Hepatitis
Launched : 2016
JSM Oro Facial Surgeries
ISSN : 2578-3211
Launched : 2016
Journal of Human Nutrition and Food Science
ISSN : 2333-6706
Launched : 2013
JSM Regenerative Medicine and Bioengineering
ISSN : 2379-0490
Launched : 2013
JSM Spine
ISSN : 2578-3181
Launched : 2016
Archives of Palliative Care
ISSN : 2573-1165
Launched : 2016
JSM Nutritional Disorders
ISSN : 2578-3203
Launched : 2017
Annals of Neurodegenerative Disorders
ISSN : 2476-2032
Launched : 2016
Journal of Fever
ISSN : 2641-7782
Launched : 2017
JSM Bone Marrow Research
ISSN : 2578-3351
Launched : 2016
JSM Mathematics and Statistics
ISSN : 2578-3173
Launched : 2014
Journal of Autoimmunity and Research
ISSN : 2573-1173
Launched : 2014
JSM Arthritis
ISSN : 2475-9155
Launched : 2016
JSM Head and Neck Cancer-Cases and Reviews
ISSN : 2573-1610
Launched : 2016
JSM General Surgery Cases and Images
ISSN : 2573-1564
Launched : 2016
JSM Anatomy and Physiology
ISSN : 2573-1262
Launched : 2016
JSM Dental Surgery
ISSN : 2573-1548
Launched : 2016
Annals of Emergency Surgery
ISSN : 2573-1017
Launched : 2016
Annals of Mens Health and Wellness
ISSN : 2641-7707
Launched : 2017
Journal of Preventive Medicine and Health Care
ISSN : 2576-0084
Launched : 2018
Journal of Chronic Diseases and Management
ISSN : 2573-1300
Launched : 2016
Annals of Vaccines and Immunization
ISSN : 2378-9379
Launched : 2014
JSM Heart Surgery Cases and Images
ISSN : 2578-3157
Launched : 2016
Annals of Reproductive Medicine and Treatment
ISSN : 2573-1092
Launched : 2016
JSM Brain Science
ISSN : 2573-1289
Launched : 2016
JSM Biomarkers
ISSN : 2578-3815
Launched : 2014
JSM Biology
ISSN : 2475-9392
Launched : 2016
Archives of Stem Cell and Research
ISSN : 2578-3580
Launched : 2014
Annals of Clinical and Medical Microbiology
ISSN : 2578-3629
Launched : 2014
JSM Pediatric Surgery
ISSN : 2578-3149
Launched : 2017
Journal of Memory Disorder and Rehabilitation
ISSN : 2578-319X
Launched : 2016
JSM Tropical Medicine and Research
ISSN : 2578-3165
Launched : 2016
JSM Head and Face Medicine
ISSN : 2578-3793
Launched : 2016
JSM Cardiothoracic Surgery
ISSN : 2573-1297
Launched : 2016
JSM Bone and Joint Diseases
ISSN : 2578-3351
Launched : 2017
JSM Bioavailability and Bioequivalence
ISSN : 2641-7812
Launched : 2017
JSM Atherosclerosis
ISSN : 2573-1270
Launched : 2016
Journal of Genitourinary Disorders
ISSN : 2641-7790
Launched : 2017
Journal of Fractures and Sprains
ISSN : 2578-3831
Launched : 2016
Journal of Autism and Epilepsy
ISSN : 2641-7774
Launched : 2016
Annals of Marine Biology and Research
ISSN : 2573-105X
Launched : 2014
JSM Health Education & Primary Health Care
ISSN : 2578-3777
Launched : 2016
JSM Communication Disorders
ISSN : 2578-3807
Launched : 2016
Annals of Musculoskeletal Disorders
ISSN : 2578-3599
Launched : 2016
Annals of Virology and Research
ISSN : 2573-1122
Launched : 2014
JSM Renal Medicine
ISSN : 2573-1637
Launched : 2016
Journal of Muscle Health
ISSN : 2578-3823
Launched : 2016
JSM Genetics and Genomics
ISSN : 2334-1823
Launched : 2013
JSM Anxiety and Depression
ISSN : 2475-9139
Launched : 2016
Clinical Journal of Heart Diseases
ISSN : 2641-7766
Launched : 2016
Annals of Medicinal Chemistry and Research
ISSN : 2378-9336
Launched : 2014
JSM Pain and Management
ISSN : 2578-3378
Launched : 2016
JSM Women's Health
ISSN : 2578-3696
Launched : 2016
Clinical Research in HIV or AIDS
ISSN : 2374-0094
Launched : 2013
Journal of Endocrinology, Diabetes and Obesity
ISSN : 2333-6692
Launched : 2013
Journal of Substance Abuse and Alcoholism
ISSN : 2373-9363
Launched : 2013
JSM Neurosurgery and Spine
ISSN : 2373-9479
Launched : 2013
Journal of Liver and Clinical Research
ISSN : 2379-0830
Launched : 2014
Journal of Drug Design and Research
ISSN : 2379-089X
Launched : 2014
JSM Clinical Oncology and Research
ISSN : 2373-938X
Launched : 2013
JSM Bioinformatics, Genomics and Proteomics
ISSN : 2576-1102
Launched : 2014
JSM Chemistry
ISSN : 2334-1831
Launched : 2013
Journal of Trauma and Care
ISSN : 2573-1246
Launched : 2014
JSM Surgical Oncology and Research
ISSN : 2578-3688
Launched : 2016
Annals of Food Processing and Preservation
ISSN : 2573-1033
Launched : 2016
Journal of Radiology and Radiation Therapy
ISSN : 2333-7095
Launched : 2013
JSM Physical Medicine and Rehabilitation
ISSN : 2578-3572
Launched : 2016
Annals of Clinical Pathology
ISSN : 2373-9282
Launched : 2013
Annals of Cardiovascular Diseases
ISSN : 2641-7731
Launched : 2016
Journal of Behavior
ISSN : 2576-0076
Launched : 2016
Annals of Clinical and Experimental Metabolism
ISSN : 2572-2492
Launched : 2016
Clinical Research in Infectious Diseases
ISSN : 2379-0636
Launched : 2013
JSM Microbiology
ISSN : 2333-6455
Launched : 2013
Journal of Urology and Research
ISSN : 2379-951X
Launched : 2014
Journal of Family Medicine and Community Health
ISSN : 2379-0547
Launched : 2013
Annals of Pregnancy and Care
ISSN : 2578-336X
Launched : 2017
JSM Cell and Developmental Biology
ISSN : 2379-061X
Launched : 2013
Annals of Aquaculture and Research
ISSN : 2379-0881
Launched : 2014
Clinical Research in Pulmonology
ISSN : 2333-6625
Launched : 2013
Journal of Immunology and Clinical Research
ISSN : 2333-6714
Launched : 2013
Annals of Forensic Research and Analysis
ISSN : 2378-9476
Launched : 2014
JSM Biochemistry and Molecular Biology
ISSN : 2333-7109
Launched : 2013
Annals of Breast Cancer Research
ISSN : 2641-7685
Launched : 2016
Annals of Gerontology and Geriatric Research
ISSN : 2378-9409
Launched : 2014
Journal of Sleep Medicine and Disorders
ISSN : 2379-0822
Launched : 2014
JSM Burns and Trauma
ISSN : 2475-9406
Launched : 2016
Chemical Engineering and Process Techniques
ISSN : 2333-6633
Launched : 2013
Annals of Clinical Cytology and Pathology
ISSN : 2475-9430
Launched : 2014
JSM Allergy and Asthma
ISSN : 2573-1254
Launched : 2016
Journal of Neurological Disorders and Stroke
ISSN : 2334-2307
Launched : 2013
Annals of Sports Medicine and Research
ISSN : 2379-0571
Launched : 2014
JSM Sexual Medicine
ISSN : 2578-3718
Launched : 2016
JSM Biotechnology and Biomedical Engineering
ISSN : 2333-7117
Launched : 2013
Journal of Hematology and Transfusion
ISSN : 2333-6684
Launched : 2013
JSM Environmental Science and Ecology
ISSN : 2333-7141
Launched : 2013
Journal of Cardiology and Clinical Research
ISSN : 2333-6676
Launched : 2013
JSM Nanotechnology and Nanomedicine
ISSN : 2334-1815
Launched : 2013
Journal of Ear, Nose and Throat Disorders
ISSN : 2475-9473
Launched : 2016
JSM Ophthalmology
ISSN : 2333-6447
Launched : 2013
Journal of Pharmacology and Clinical Toxicology
ISSN : 2333-7079
Launched : 2013
Annals of Psychiatry and Mental Health
ISSN : 2374-0124
Launched : 2013
Medical Journal of Obstetrics and Gynecology
ISSN : 2333-6439
Launched : 2013
Annals of Pediatrics and Child Health
ISSN : 2373-9312
Launched : 2013
JSM Clinical Pharmaceutics
ISSN : 2379-9498
Launched : 2014
JSM Foot and Ankle
ISSN : 2475-9112
Launched : 2016
JSM Alzheimer's Disease and Related Dementia
ISSN : 2378-9565
Launched : 2014
Journal of Addiction Medicine and Therapy
ISSN : 2333-665X
Launched : 2013
Journal of Veterinary Medicine and Research
ISSN : 2378-931X
Launched : 2013
Annals of Public Health and Research
ISSN : 2378-9328
Launched : 2014
Annals of Orthopedics and Rheumatology
ISSN : 2373-9290
Launched : 2013
Journal of Clinical Nephrology and Research
ISSN : 2379-0652
Launched : 2014
Annals of Community Medicine and Practice
ISSN : 2475-9465
Launched : 2014
Annals of Biometrics and Biostatistics
ISSN : 2374-0116
Launched : 2013
JSM Clinical Case Reports
ISSN : 2373-9819
Launched : 2013
Journal of Cancer Biology and Research
ISSN : 2373-9436
Launched : 2013
Journal of Surgery and Transplantation Science
ISSN : 2379-0911
Launched : 2013
Journal of Dermatology and Clinical Research
ISSN : 2373-9371
Launched : 2013
JSM Gastroenterology and Hepatology
ISSN : 2373-9487
Launched : 2013
Annals of Nursing and Practice
ISSN : 2379-9501
Launched : 2014
JSM Dentistry
ISSN : 2333-7133
Launched : 2013
Author Information X