Freeing a stuck Central Venous Catheter- An Enzymatic Approach
- 1. Department of Radiology and Imaging Sciences, Clinical Center, NIH, Bethesda Md, USA
Abstract
Long term indwelling central venous catheters may become incarcerated making removal difficult. This rare complication has been reported with venous catheters of all calibers although small caliber catheters with low tensile strength (PICC lines, Passports, pediatric and neonatal central catheters) are at greater risk for fracture if resistance is encountered during removal. To address this complication, an enzymatic approach using low dose (2 to 4mg) tissue plasminogen activator was used successfully to facilitate removal of 7 stuck or incarcerated venous catheters. This report outlines the technique and describes in detail 2 cases where it was utilized. This approach is simple, effective, and should be considered by clinicians confronted with this sometimes difficult problem.
Keywords
Incarcerated catheter; Imbedded catheter; Fibrin sheath; PICC line; Central venous catheter; Enzymatic; Thrombolytic; Tissue plasminogen activator; Plasmin
Citation
Chang R, von Ahrens D, Levy E, Sherry R (2018) Freeing a stuck Central Venous Catheter- An Enzymatic Approach. Ann Vasc Med Res 5(3): 1095.
ABBREVIATIONS
PICC line: Peripheral Inserted Central Catheter; r-Tpa: Recombinant Tissue Plasminogen Activator; CVC: Central Venous Catheter; Fr: French
INTRODUCTION
The convenience of long term indwelling central venous catheters for blood draws and intravenous therapy carries a risk that the catheter may become “imbedded” or “incarcerated” making removal difficult [1]. Although this complication occurs with both small and large venous access devices, the thinner walls of the smaller peripherally inserted central venous catheters (PICC) and implanted Passport catheters make them prone to fracture if the traction used to remove the incarcerated catheter exceeds its limited tensile strength. We initially encountered this problem, when during removal of a Passport catheter, traction applied to remove the catheter caused it to stretch, snap, and then retract deeply into soft tissue. A fluoroscopically guided cut-down was required to complete the catheter removal. This experience led us to develop an enzymatic approach using recombinant tissue plasminogen activator (r-tPA) to simplify and facilitate removal of incarcerated catheters. The approach uses low dose thrombolytic therapy based on the presumed pathophysiology that the adhesions that prevent venous catheter removal, develop initially from fibrin sheaths. This strategy is illustrated by the following 2 case reports.
CASE PRESENTATION
Case 1
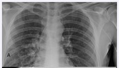
A 29 year male with chronic granulomatous disease had a left arm PICC (Vaxcel PASV, 4 fr single lumen polyurethrane, Navilyst, Marlborough, Mass) line placed for antibiotic therapy to treat a lung infection (Figure 1A).
Figure 1: A, B: During attempted removal after 7 weeks of antibiotic therapy, PICC line was withdrawn from central position (A) but could not be removed beyond upper left brachial vein (arrow, B). C-Case 1: Twelve hours after instillation of tPA, PICC line could be easily removed along with section of fibrin sheath still adherent to distal third of catheter.
Seven weeks after successful completion of therapy, during attempted removal, the PICC line became stuck after half (27cm) of the catheter had been withdrawn (Figure 1B). Rather than trying additional forced traction, we slowly injected 2mg of r- tPA diluted with normal saline to a volume of 5ml over 1 minute through the lumen of the PICC line while maintaining gentle traction on the catheter. The r-tPA was allowed to dwell overnight, and the patient was instructed to return the following morning. Under fluoroscopic visualization the PICC line was removed with gentle traction along with a fibrin sheath/thrombus still adherent to distal third of catheter (Figure 1C).
Case 2
A 26 year male had a PICC (Vaxcel PASV, 4 fr single lumen polyurethrane, Navilyst, Marlborough, Mass) line placed in left arm to receive a 2 week course of chemotherapy for malignant fibrous histiocytoma, but the PICC line became stuck in left brachial vein during attempted removal. Despite one instillation of r-tPA (2 mg in 5ml normal saline), left to act overnight, the catheter remained stuck. Under combined ultrasound and fluoroscopic guidance, a venipuncture of the thrombosed basilic vein was performed to introduce a small 0.018 inch diameter hydrophilic guidewire (V-18 Control wire, Boston Scientific) and advance a 3 fr catheter (pulse-spray Catheter 2cm spray infusion length, Angiodynamics) into the same vein to instill 2mg r-tPA alongside the imbedded PICC line (Figures 2 and 3).
Figure 2: Case 2: Ultrasound imaging and guidance during catheterization to place Small 3 French catheters alongside PICC line to instill tPA: Ultrasound views of left arm PICC line (Transverse view-open arrow in A; longitudinal view- open arrow in B). Ultrasound guided venipuncture to place .018 in V-18 guidewire into thrombosed basilic vein alongside PICC line (transverse view, C, with arrow depicting third echo arising from guidewire; longitudinal view, D, showing guidewire (arrows) appearing alongside imbedded PICC line- open arrow).
Figure 3: Case 2: Fluoroscopic views of manipulations to remove imbedded PICC line: A: Left arm PICC line imbedded in left brachial/basilica vein. B: Guidewire (white arrows) passed alongside PICC line in thrombosed vein. C: 3 French pulse spray catheter (Angiodynamics) passed over guidewire allowing injection of small amounts of tPA into vein along outside of PICC line (arrow). D: 2 hours later, PICC line is easily removed (open arrow-just before complete removal) under fluoroscopic vision.
Two hours later the catheter was easily removed.
DISCUSSION
The central venous catheter that resists simple removal, often referred to as an imbedded or incarcerated catheter, is fortunately an infrequent occurrence caused by formation of soft tissue adhesions between catheter, and vein and sometimes to adjacent soft tissue. The simple approach of forced traction to break the catheter free from its adhesions which worked well with thicker, larger caliber catheters in the past, risks catheter fracture and failure with smaller caliber catheters as their limited tensile strength is more easily exceeded [2,3]. Wilson et al., reported on a series of 200 pediatric patients following attempted catheter removal and noted that a second incision was required for 28 patients, a venotomy was required for 5 patients and 3 patients had the catheter left in situ [1]. Recent articles report that an additional mechanical technique of passing small balloon dilatation catheters intraluminally into the imbedded catheter and forcefully distending and expanding the catheter to disrupt the surrounding adhesions between the imbedded catheter and vein may facilitate its successful removal [4-8].
Following the basic tenet of modern medicine that understanding the pathophysiology of a process would suggest a successful treatment, we postulated that if the adhesions between catheter and vein wall began as fibrin sheaths, generation of plasmin, a serine protease, in this space through thrombolytic therapy could potentially lyse or weaken the adhesions sufficiently to allow easier catheter removal. Due to its foreign surface, formation of a fibrin sheath along the surface of a venous catheter is believed to be a ubiquitous phenomenon in patients with normal platelet and coagulation systems [9]. A fibrin sheath manifests in various ways depending on its extent and location along the catheter. Along the distal, central end of the catheter, where the catheter lies freely in a capacious central vein, the fibrin sheath is usually thin and often goes unnoticed unless it covers the distal catheter end-hole when it comes to clinical attention by inability to withdraw blood although still permitting infusion [10]. In other cases, instead of a thin sheath, a larger clot forms on the catheter that either hangs freely on the catheter or adheres it to the side of the central vein. On the other extreme, the fibrin sheath can be so extensive that it not only covers the catheter tip but extends all the way along the catheter back to the initial entry site into the vein, causing infusate to back up through the fibrin sheath to extravasate into the soft tissue where it can cause local swelling and sometimes pain depending on the nature of the infusate [11]. For PICC lines, the proximal portion of the catheter lies in a small arm vein where mural thrombus forms easily and frequently so that the fibrin sheath may blend in and become incorporated into mural thrombus along the vein [12- 14]. Over time the fibrin sheath may become a more organized adhesion.
The majority of PICC lines do not develop strong or extensive fibrin sheaths or adhesions and can be easily removed with gentle traction. If unusual resistance is encountered we advise against use of increased amount of traction that causes the catheter to stretch. Although we have successfully retrieved catheter fragments through use of loop snare devices introduced by femoral vein catheterization as long as the distal end of the CVC was still in a central vein or had migrated to a cardiac chamber or pulmonary artery, one cannot aprior predict where along the imbedded catheter, the break might occur during attempted removal [15-17]. In the majority (6 out of 7) of our patients with imbedded peripheral central venous catheters at the Clinical Center of the National Institutes of Health, the PICC line could be partially withdrawn, with the tip moved from a larger central vein position until it became “entrapped” or incarcerated in a smaller peripheral arm vein where if additional traction were applied and a break were to occur, removal of the retained catheter fragment with loop snare technique would likely be unsuccessful and likely require surgical cut down. The initial movement of the catheter suggests that through the applied traction, the proximal part of the PICC line could be separated or “stripped” from the adhesions to the peripheral arm vein in which it was implanted for some distance, before distal adhesions, fibrin sheath, or clot attached to distal portion of the catheter either reached their elastic limit or become wedged into the smaller peripheral vein, arresting further catheter withdrawal. When most of these limiting adhesions or fibrin sheath lie distal to the new arrested position of the distal tip of the imbedded catheter, a single injection of a small dose of r- tPA through the imbedded PICC line may be sufficient to lyse or weaken these adhesions to permit release and successful removal of the catheter (see Case 1) as in the majority (5 of 7 patients) of our imbedded catheters. Less commonly, when the single instillation of tPA through the partially withdrawn imbedded PICC line fails (Case 2), or when the catheter cannot be moved at all (as we encountered with one patient with a Passport), the more intricate procedure of placing a second 3 French catheter (slip cath, Cook Inc; or Pulse spray catheter, Angiodynamics, Inc) into the same vein alongside the imbedded catheter may be required to allow injection of thrombolytic enzyme along the entire length of these imbedded catheters with presumably more extensive adhesions.
Using this enzymatic approach, all 7 imbedded catheters were successfully removed without catheter fracture. Enzymatic processes are slow so this technique does require a minimum of two hours and could require an overnight dwell before the catheter is freed. In addition, our experience was largely limited to catheters that had been in place for 6 months or less. Theoretically, the amount of fibrin and plasminogen in the tissue surrounding the incarcerated catheter becomes depleted the longer the catheter has been in place. Yet, our one patient with an incarcerated Passport that had been in place for over 2 years was successfully removed with only one injection of 2 mg r- tPA and without need for supplemental injection of autologous plasma.
In summary, incarcerated PICC lines or Passports catheters are a rare complication of small indwelling central venous catheters. These patients have limited options which include surgical excision, mechanical balloon dilation, or leaving an indwelling catheter remnant. We have described a successful noninvasive technique using enzymatic dissolution initiated byrtPA that facilitated successful catheter removal in 7 patients with incarcerated peripheral central venous catheters. This approach is simple, effective, and should be considered by clinicians confronted with this sometimes difficult problem.
REFERENCES
- Wilson GJP, van Noesel MM, Hop WCJ, van de Ven C. The catheter is stuck: complications experienced during removal of a totally implantable venous access device. A single-center study in 200 children. J Ped Surg. 2006; 41: 1694-1698.
- Jones SA, Giacomantonio M. A complication associated with central line removal in the pediatric population: retained fixed catheter fragments. J Pediatr Surg. 2003; 38: 594-596.
- Serrano M, Gaecia-Alix A, Lopez JC, Perez J, Quero J. Retained central venous lines in the newborn: report of one case and systematic review of the literature, Neonatal Netw. 2007; 26: 105-110.
- Hong JH. A breakthrough technique for the removal of a hemodialysis catheter stuck in the central vein: endoluminal balloon dilatation of the stuck catheter. J Vasc Access. 2011; 12: 381-384.
- Ryan SE, Hadziomerovic A, Aquino J, et al. Endoluminal balloon dilation technique to remove “stuck” tunneled hemodialysis catheters. J Vasc Interv Radiol. 2012; 23: 1089-1093.
- FarooqA, Jones V, Agarwal S. Balloon dilatation: a helpful technique for removal of a stuck dialysis line. Cardiovasc Intervent Radiol. 2012; 35: 1528-1530.
- Quaretti P, Galli F, Fiorina I, Moramarco LP, Spina M, Forneris G, et al. A refinement of Hong’s technique for removal of stuck dialysis catheters: an easy solution to a complex problem. J Vasc Access. 2014; 15: 183-188.
- Cerini P, Guzzardi G, Galbiati A, Stanca C, Del Sette B, Carriero A. Endoluminal dilattion technique to remove stuck Port-a-Cath; A Case Report. Annals Vasc Surg. 2017; 43: 317.e1-e3.
- Raad II, LunaM, Khalil SA, Costerton JW, Lam C, Bodey GP. The relationship between the thrombotic and infectious complications of central venous catheters. JAMA. 1994; 271: 1014-1016.
- Tschirhart JM, Rao MK. Mechanism and management of persistent withdrawal occlusion. Am Surg. 1988; 54: 326-328.
- Mayo DJ, Pearson DC. Chemotherapy extravasation: A consequence of fibrin sheath formation around venous access devices. Oncol Nurs Forum. 1995; 22: 675-690.
- Jepsen ST. Endothelial thrombus formation: an unusual complication related to peripherally inserted central venous catheters. Nutr Clin Pract. 1995; 10: 120-122.
- Allen AW, Megargell JL, Brown DB, Lynch FC, Singh H, Singh Y, et al. Venous thrombosis associated with the placement of peripherally inserted central catheters. J Vasc Interv Radiol. 2000; 11: 1309-1314.
- Paauw JD, Borders H, Ingalls N, Boomstra S, Lambke S, Fedeson B, et al. The incidence of PICC line associated thrombosis with and without the use of prophylactic anticoagulants. JPEN J Parenter Enteral Nutr. 2008; 32: 443-447.
- Yen HJ, Hwang B, Lee PC, Meng CC. Transcatheter retrieval of different types of central venous catheter fragment: experience in 13 cases. Angiology. 2006, 57: 347-353.
- Wang PC, Liang HL, Wu TH, Huang JS, Lin YH, Huang YL, et al. Percutaneous retrieval of dislodged central venous port catheter: experience of 25 patients in a single institute. Acta Radiologica. 2009, 50: 15-20.
- Woodhouse JB, Uberoi R. Techniques for intravascular foreign body retrieval, Cardiovasc Intervent Radiol. 2013; 36: 888-897.


