Loading

Archives of Paediatric & Developmental Pathology

Phenobarbital Toxicity Due to Poor Metabolism in a Neonate with Pyridoxine-Dependent Developmental and Epileptic Encephalopathy: A Case Report

Case Report | Open Access | Volume 7 | Issue 1

  • 1. Department of Pharmacy, Beijing Children’s Hospital, China
  • 2. Neonatal Center, Beijing Children’s Hospital, China
  • 3. Department of Stem Cell Transplantation, Beijing Children’s Hospital, China
  • 4. Department of Neurology, Beijing Children’s Hospital, China
+ Show More - Show Less
Corresponding Authors
Jie Deng, Department of Neurology, Beijing Children’s Hospital, Capital Medical University, No. 56 Nanlishi Road, Beijing 100045, China
Abstract

Pyridoxine-dependent developmental and epileptic encephalopathy (PD-DEE) is a genetic metabolic disorder with seizures resistant to anti-seizure medications. We report a case of a male neonate with frequent focal motor seizures onset within the first day of life that were not controlled by conventional doses of phenobarbital. Moreover, he subsequently developed impaired consciousness and respiratory failure. His seizures stopped after an intravenous infusion of vitamin B6 at 17 days of age. A metabolic screening at 24 days of age revealed elevated pipecolic acid and he was started on oral vitamin B6. Genetic testing confirmed his diagnosis of PD-DEE caused by a pathogenic compound heterozygous variant in ALDH7A1. Meanwhile, a significantly elevated serum phenobarbital concentration was detected. After withdrawal of phenobarbital, his consciousness and respiration gradually returned to normal. Pharmacogenomic testing revealed that he carried several single nucleotide polymorphisms such as ABCB1 and SCN2A and was a poor metabolizer of phenobarbital, which explained the occurrence of toxicity. He was followed up to the age of 2 years and had no seizures or neurological sequelae with vitamin B6 supplementation. The case suggests that pharmacological doses of vitamin B6 are recommended in early-onset seizures, and genetic testing should be performed timely to identify the etiology and guide treatment decisions. Pharmacogenomic testing may be considered to guide individualized treatment when drug efficacy and adverse effects are significantly inconsistent with dosage and expectations.

CITATION

Zhang Y, Fang L, Nie H, Xu H, Weng J, Deng J (2024) Phenobarbital Toxicity Due to Poor Metabolism in a Neonate with Pyridoxine-Dependent Developmental and Epileptic Encephalopathy: A Case Report. Arch Paediatr Dev Pathol 7(1): 1028.

INTRODUCTION

Pyridoxine-dependent developmental and epileptic encephalopathy (PD-DEE, OMIM# 266100) is a genetic-metabolic disorder which was first reported in 1954 and the causative gene was identified as ALDH7A1 in 2006 [1]. ALDH7A1 encodes α-aminoadipic acid hemi-aldehyde dehydrogenase, the deficiency of which results in the accumulation of the intermediate products α-aminoadipic acid hemi-aldehyde, D1-piperidine-6-carboxylate and pipecolic acid, as well as the depletion of pyridoxine [2,3]. Most of the accumulated metabolites are neurotoxic, causing seizures and significant intellectual disability and developmental delay in 75% of patients [4]. Seizures in PD-DEE usually onset early and are characterized by resistance to anti-seizure medications (ASMs) but respond to pharmacological dose of pyridoxine [5]. Indeed, neonatal seizures may be the initial and predominant manifestation of inborn metabolic defects [6,7]. Therefore, if the neonatal seizures persist and resistant to conventional ASMs, congenital metabolic disorders should be considered [8]. In PD-DEE, early genetic diagnosis and timely pyridoxine supplementation are crucial to improve neurodevelopmental prognosis [9].

To date, phenobarbital (PB) remains the first line treatment for neonatal seizures [10]. It is metabolized mainly by the hepatic cytochrome enzyme CYP2C9 and to a lesser extent by CYP2C19 and CYP2E1 [11]. However, due to individual genetic polymorphisms, the encoded isoforms have different activities and respond to ASMs with great variability [7]. Pharmacogenomic testing is one of the outcomes of the high-throughput sequencing detection method, which can reflect the influence of oligonucleotide polymorphisms carried by individuals on pharmacokinetics and pharmacodynamics. Pharmacogenomic testing has recently been increasingly used in epilepsy, which may help to improve the safety and efficacy of ASM applications [7].

Here, we present a PD-DEE patient who developed toxicity due to reduced metabolic capacity for PB. This case suggests that pharmacogenomic testing may help the individualized treatment of epilepsy.

CASE PRESENTATION

The baby boy is the second child of a healthy nonconsanguineous Chinese Han couple with no relevant family history. At 38 weeks of gestation, he was found to have a fetal heart rate up to 160-180 beats per minute and was therefore delivered by emergency caesarean section. His birth weight was 2960 g. The Apgar score was 7 at 1 minute and 10 at both 5 and 10 minutes. Due to mild asphyxia, he was admitted to the neonatal intensive care unit at a local hospital and received nasal continuous positive airway pressure for assisted ventilation. He was fed formula milk through a nasogastric tube because he had difficulty sucking or swallowing. Fourteen hours after birth, he presented intermittent convulsions manifested by jerking of bilateral upper limbs and pedaling of bilateral lower limbs, which were focal onset motor seizures. A loading dose of PB 15 mg/kg was administered intramuscularly every 12 hours for 4 consecutive doses, followed by an oral maintenance dose of 5 mg/kg every 12 hours. Three days after birth, the boy continued to have recurrent convulsions with a frequency of more than 10 times per day, so he was sedated with intravenous midazolam (dose unknown), which resulted in a slight reduction in seizure frequency to 5-10 times per day.

The baby was transferred to our hospital 17 days of age and lethargy during the transfer. His convulsions stopped after 50 mg of vitamin B6 was administered intravenously in the emergency room, and he was subsequently admitted to the neonatal intensive care unit. On admission, he was weakly responsive to stimulation, with shallow and slow respiration, hypotonic extremities, and failure to elicit neonatal reflexes such as moro reflex. Laboratory tests revealed that the serum concentration of PB was higher than 80 μg/mL (reference 10–40 μg/mL). Therefore, PB was immediately withdrawn. Five and 10 days after the last dose, the re-examined PB concentration was 58.5 μg/mL and 22.9 μg/mL, respectively. As PB was gradually eliminated from his body, his consciousness improved, and he was no longer experiencing any seizures. Electroencephalography (EEG) performed at 18 days of age demonstrated delayed EEG maturation and multifocal epileptiform discharges during sleep [Figure 1].

Figure 1 Electroencephalography performed at 18 days of age demonstrated multifocal epileptiform discharges during sleep.

Figure 1: Electroencephalography performed at 18 days of age demonstrated multifocal epileptiform discharges during sleep.

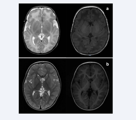
Brain magnetic resonance imaging (MRI) performed at 19 days of age showed elevated T2 signal in the white matter, slightly higher T1 signal in the globus pallidus, and blurred long T1 signal in the posterior limbs of the internal capsule [Figure 2a].

Figure 2 (a) Brain magnetic resonance imaging (MRI) performed at 19 days of age showed elevated T2 signal in the white matter (left), slightly higher T1 signal in the globus pallidus, and blurred long T1 signal in the posterior limbs of the internal capsule (right). (b) Re-examined brain MRI at the age of 2 years was normal.

Figure 2: (a) Brain magnetic resonance imaging (MRI) performed at 19 days of age showed elevated T2 signal in the white matter (left), slightly higher T1 signal in the globus pallidus, and blurred long T1 signal in the posterior limbs of the internal capsule (right). (b) Re-examined brain MRI at the age of 2 years was normal.

At 24 days of age, metabolic screening showed elevated levels of pipecolic acid in both blood and urine, so he was started on oral vitamin B6 at a dose of 10 mg/kg.day.

Whole exome sequencing was performed and identified a compound heterozygous variant in ALDH7A1 of the patient, which was confirmed by Sanger sequencing. The variant c.1279C>G (p.Glu427Gln) was inherited from the asymptomatic father, which had a frequency of 0.000201 in the East Asian population of the gnomAD general population database and was recorded as pathogenic in the ClinVar database, meanwhile p.Glu427Gly and p.Glu427Asp at the same amino acid position have been reported in patients with PD-DEE [1,12]; c.1093+1C>T was inherited from the asymptomatic mother, which had a frequency of 0 in the East Asian population in gnomAD and was recorded as pathogenic in the ClinVar database, and it has been reported in patients PD-DEE [13,14]. According to the American College of Medical Genetics and Genomics [15], these two variants were both interpreted as pathogenic. Therefore, the infant was diagnosed with PD- DEE at 1.5 months of age. Meanwhile, pharmacogenomic testing was also performed, revealing that among the single nucleotide polymorphisms (SNPs) associated with PB metabolism, he carried ABCB1 rs1045642 AA, SCN2A rs17183814 GA, CYP2C19 rs6413438 CC and CYP2C19 rs4244285 GG.

To date, the boy has been followed up for 2 years. He is taking oral vitamin B6 at a dose of 10 mg/kg.day without any ASM. There were only 3 episodes of febrile convulsion at 1-year-old. His mental and motor development was mildly delayed, and his muscle tone was slightly low. However, after rehabilitation, he is now able to walk alone and speak several words. At the age of 2 years, his re-examined EEG and brain MRI were normal [Figure 2b].

DISCUSSION

With recent advances in pharmacogenomics, individualized and precision medicine are getting wider application in epilepsy treatment. This case reveals the importance of timely genetic testing in identifying etiology and predicting an individual’s drug response. Patients with PD-DEE are usually preterm and may present with signs of neonatal distress, irritability, and vomiting, sometimes accompanied by acidosis and low Apgar score, leading to a misdiagnosis of neonatal hypoxic-ischemic encephalopathy. After diagnosis, seizures control can be achieved with pharmacological dose of vitamin B6 in most patients. However, early onset PD-DEE often causes neurological damage that results in drug-resistant epilepsy if not correctly diagnosed and treated promptly [16]. Excessive fetal movements antenatally, mild neonatal asphyxia, frequent seizures onset within the first hours of life, and resistance to ASMs in this case were important clues to PD-DEE. Fortunately, his seizures were controlled by a single high dose of vitamin B6 given experimentally in the emergency room. Subsequently, after a timely metabolic screening and genetic test, the boy is correctly diagnosed and given vitamin B6 supplementation regularly. As a result, he is seizure-free and has no significant neurological sequelae. This case highlights the importance of metabolic investigation of elevated levels of α-aminoadipic semialdehyde and pipecolic acid in urine, plasma, or cerebrospinal fluid, as well as screening for ALDH7A1 variants in neonates and infants with unexplained and uncontrolled seizures with conventional treatment. High-dose vitamin B6 treatment should be tried in infants with early-onset and frequent seizures, especially if routine sedatives and ASMs are ineffective, even before a definitive diagnosis is made [17].

This patient presented with seizures in the neonatal period. Since PB is a first line treatment, he received conventional intramuscular loading doses and sequential oral maintenance doses of PB to control the seizures [10]. There was no overdose during treatment, but he had unexpected manifestations such as weakness and dyspnea with a significantly elevated PB serum concentration. Therefore, a pharmacogenomic test was performed and revealed that the boy carries ABCB1 rs1045642 AA, a SNP which leads to decreased intestinal expression of P-glycoproteins, resulting in elevated PB blood concentrations and drug susceptibility [18]. He also carries SCN2A rs17183814 GA which causes resistance to PB in east Asian population compared to GG type [19]; while CYP2C19 rs6413438 CC and CYP2C19 rs4244285 GG have not been reported as functional polymorphisms of cytochrome enzyme in Chinese Han population. Overall, pharmacogenomic test results suggest that he belongs to poor metabolism type of PB and has worse treatment response to PB, leading to an increased risk of adverse drug reactions at conventional doses [20]. The effects of multiple SNPs are independently superimposed, partially explaining the boy’s clinical manifestations. This case demonstrates that pharmacogenomic testing can be performed to aid individualize treatment in cases where ASMs are ineffective or significantly inconsistent with expectations, or when unexpected adverse effects occur [21]. PB is metabolized more rapidly in infants, with a half-life of about 67 hours, compared to 100 hours in adults [11], that is a hepatic enzyme inducer with interactions with other drugs. However, as one of the most used ASMs for neonatal convulsions, there is a lack of pharmacokinetic data for PB in the neonatal population, which may be limited by the difficulty in obtaining samples. Furthermore, pharmacogenomics still has major limitations at present, especially due to the lack of large- scale collaborative study, and the fact that effects of SNPs may vary between populations with different genetic backgrounds. We do not recommend pre-treatment pharmacogenomic testing for every patient, as this may delay treatment and cause unnecessary confusion and difficulty for drug choice. We believe that the selection of ASMs should be based on the principles of antiepileptic therapy, the experience of the physician and the individual circumstances of the patient, and that pharmacogenomic testing can be performed to help with dose adjustments or even therapy changes if unexpected outcomes and adverse effects occur.

CONCLUSION

Genomic testing and metabolic investigation can identify the diagnosis of congenital metabolic disorders, and treatment targeting the etiology may improve the effectiveness and safety of epilepsy therapy, thereby improving patients’ prognosis. In addition, pharmacogenomic testing can help guide individualized treatment when there is an inconsistency between drug efficacy or adverse effects with the dosage and blood concentration.

DECLARATIONS

Author contribution statement

All authors listed have significantly contributed to the investigation, development and writing of this article.

Funding statement

This research did not receive any specific grant from funding agencies in the public, commercial, or not-for-profit sectors.

Ethics statement

Ethical approval for this study was obtained from the Ethics Committee of Beijing Children’s Hospital. Verbal informed consent was obtained from the guardians for the publication of all images, clinical data, and other data contained in the manuscript.

REFERENCES
  1. Mills PB, Struys E, Jakobs C, Plecko B, Baxter P, Baumgartner M, et al. Mutations in antiquitin in individuals with pyridoxine-dependent seizures. Nat Med. 2006; 12: 307-309.
  2. Coughlin CR 2nd, Swanson MA, Spector E, Meeks NJL, Kronquist KE, Aslamy M, et al. The genotypic spectrum of ALDH7A1 mutations resulting in pyridoxine dependent epilepsy: A common epileptic encephalopathy. J Inherit Metab Dis. 2019; 42: 353-361.
  3. Bok LA, Halbertsma FJ, Houterman S, Wevers RA, Vreeswijk C, Jakobs C, et al. Long-term outcome in pyridoxine-dependent epilepsy. Dev Med Child Neurol. 2012; 54: 849-854.
  4. Kaminiów K, Paj?k M, Paj?k R, Paprocka J. Pyridoxine-Dependent Epilepsy and Antiquitin Deficiency Resulting in Neonatal-Onset Refractory Seizures. Brain Sci. 2021;12: 65.
  5. Haidar Z, Jalkh N, Corbani S, Fawaz A, Chouery E, Megarbane A. Atypical pyridoxine dependent epilepsy resulting from a new homozygous missense mutation, in ALDH7A1. Seizure. 2018;57:32- 33.
  6. Sharma S, Prasad AN. Inborn Errors of Metabolism and Epilepsy: Current Understanding, Diagnosis, and Treatment Approaches. Int J Mol Sci. 2017; 18: 1384.
  7. Balestrini S, Sisodiya SM. Pharmacogenomics in epilepsy. Neurosci Lett. 2018; 667: 27-39.
  8. Rahman S, Footitt EJ, Varadkar S, Clayton PT. Inborn errors of metabolism causing epilepsy. Dev Med Child Neurol. 2013; 55: 23-36.
  9. Zuberi SM, Wirrell E, Yozawitz E, Wilmshurst JM, Specchio N, Riney K, et al. ILAE classification and definition of epilepsy syndromes with onset in neonates and infants: Position statement by the ILAE Task Force on Nosology and Definitions. Epilepsia. 2022; 63: 1349-1397.
  10. Samanta D. Recent Advances in the Diagnosis and Treatment of Neonatal Seizures. Neuropediatrics. 2021; 52: 73-83.
  11. Pacifici GM. Clinical Pharmacology of Phenobarbital in Neonates: Effects, Metabolism and Pharmacokinetics. Curr Pediatr Rev. 2016; 12: 48-54.
  12. Coulter-Mackie MB, Li A, Lian Q, Struys E, Stockler S, Waters PJ. Overexpression of human antiquitin in E. coli: enzymatic characterization of twelve ALDH7A1 missense mutations associated with pyridoxine-dependent epilepsy. Mol genet metab. 2012; 106: 478-481.
  13. Butler KM, Silva Cd, Alexander JJ, Hegde M, Escayg A. Diagnostic Yield From 339 Epilepsy Patients Screened on a Clinical Gene Panel. Pediatr neurol. 2017; 77: 61-66.
  14. Scharer G, Brocker C, Vasiliou V, Creadon-Swindell G, Gallagher RC, Spector E, et al. The genotypic and phenotypic spectrum of pyridoxine-dependent epilepsy due to mutations in ALDH7A1. J inherit metab dis. 2010;33: 571-581.
  15. Richards S, Aziz N, Bale S, Bick D, Das S, Gastier-Foster J, et al. Standards and guidelines for the interpretation of sequence variants: a joint consensus recommendation of the American College of Medical Genetics and Genomics and the Association for Molecular Pathology. Genetics in medicine: official journal of the American College of Medical Genetics. 2015; 17: 405-424.
  16. Saracino MA, Tallarico K, Raggi MA. Liquid chromatographic analysis of oxcarbazepine and its metabolites in plasma and saliva after a novel microextraction by packed sorbent procedure. Anal chim acta. 2010; 661: 222-228.
  17. Cirillo M, Venkatesan C, Millichap JJ, Stack CV, Nordli DR, Jr. Case Report: Intravenous and Oral Pyridoxine Trial for Diagnosis of Pyridoxine-Dependent Epilepsy. Pediatrics. 2015; 136: 257-261.
  18. Lakhan R, Misra UK, Kalita J, Pradhan S, Gogtay NJ, Singh MK, et al. No association of ABCB1 polymorphisms with drug-refractory epilepsy in a north Indian population. Epilepsy Behav. 2009; 14: 78-82.
  19. Lakhan R, Kumari R, Misra UK, Kalita J, Pradhan S, Mittal B. Differential role of sodium channels SCN1A and SCN2A gene polymorphisms with epilepsy and multiple drug resistance in the north Indian population. Br J Clin Pharmacol. 2009; 68: 214-220.
  20. Wolff M, Johannesen KM, Hedrich UBS, Masnada S, Rubboli G, Gardella E, et al. Genetic and phenotypic heterogeneity suggest therapeutic implications in SCN2A-related disorders. Brain. 2017; 140: 1316-1336.
  21. Patsalos PN, Spencer EP, Berry DJ. Therapeutic Drug Monitoring of Antiepileptic Drugs in Epilepsy: A 2018 Update. Ther Drug Monit. 2018; 40: 526-548.

Zhang Y, Fang L, Nie H, Xu H, Weng J, Deng J (2024) Phenobarbital Toxicity Due to Poor Metabolism in a Neonate with Pyridoxine-Dependent Developmental and Epileptic Encephalopathy: A Case Report. Arch Paediatr Dev Pathol 7(1): 1028.

Received : 25 Nov 2024
Accepted : 12 Dec 2024
Published : 13 Dec 2024
Journals
Annals of Otolaryngology and Rhinology
ISSN : 2379-948X
Launched : 2014
JSM Schizophrenia
Launched : 2016
Journal of Nausea
Launched : 2020
JSM Internal Medicine
Launched : 2016
JSM Hepatitis
Launched : 2016
JSM Oro Facial Surgeries
ISSN : 2578-3211
Launched : 2016
Journal of Human Nutrition and Food Science
ISSN : 2333-6706
Launched : 2013
JSM Regenerative Medicine and Bioengineering
ISSN : 2379-0490
Launched : 2013
JSM Spine
ISSN : 2578-3181
Launched : 2016
Archives of Palliative Care
ISSN : 2573-1165
Launched : 2016
JSM Nutritional Disorders
ISSN : 2578-3203
Launched : 2017
Annals of Neurodegenerative Disorders
ISSN : 2476-2032
Launched : 2016
Journal of Fever
ISSN : 2641-7782
Launched : 2017
JSM Bone Marrow Research
ISSN : 2578-3351
Launched : 2016
JSM Mathematics and Statistics
ISSN : 2578-3173
Launched : 2014
Journal of Autoimmunity and Research
ISSN : 2573-1173
Launched : 2014
JSM Arthritis
ISSN : 2475-9155
Launched : 2016
JSM Head and Neck Cancer-Cases and Reviews
ISSN : 2573-1610
Launched : 2016
JSM General Surgery Cases and Images
ISSN : 2573-1564
Launched : 2016
JSM Anatomy and Physiology
ISSN : 2573-1262
Launched : 2016
JSM Dental Surgery
ISSN : 2573-1548
Launched : 2016
Annals of Emergency Surgery
ISSN : 2573-1017
Launched : 2016
Annals of Mens Health and Wellness
ISSN : 2641-7707
Launched : 2017
Journal of Preventive Medicine and Health Care
ISSN : 2576-0084
Launched : 2018
Journal of Chronic Diseases and Management
ISSN : 2573-1300
Launched : 2016
Annals of Vaccines and Immunization
ISSN : 2378-9379
Launched : 2014
JSM Heart Surgery Cases and Images
ISSN : 2578-3157
Launched : 2016
Annals of Reproductive Medicine and Treatment
ISSN : 2573-1092
Launched : 2016
JSM Brain Science
ISSN : 2573-1289
Launched : 2016
JSM Biomarkers
ISSN : 2578-3815
Launched : 2014
JSM Biology
ISSN : 2475-9392
Launched : 2016
Archives of Stem Cell and Research
ISSN : 2578-3580
Launched : 2014
Annals of Clinical and Medical Microbiology
ISSN : 2578-3629
Launched : 2014
JSM Pediatric Surgery
ISSN : 2578-3149
Launched : 2017
Journal of Memory Disorder and Rehabilitation
ISSN : 2578-319X
Launched : 2016
JSM Tropical Medicine and Research
ISSN : 2578-3165
Launched : 2016
JSM Head and Face Medicine
ISSN : 2578-3793
Launched : 2016
JSM Cardiothoracic Surgery
ISSN : 2573-1297
Launched : 2016
JSM Bone and Joint Diseases
ISSN : 2578-3351
Launched : 2017
JSM Bioavailability and Bioequivalence
ISSN : 2641-7812
Launched : 2017
JSM Atherosclerosis
ISSN : 2573-1270
Launched : 2016
Journal of Genitourinary Disorders
ISSN : 2641-7790
Launched : 2017
Journal of Fractures and Sprains
ISSN : 2578-3831
Launched : 2016
Journal of Autism and Epilepsy
ISSN : 2641-7774
Launched : 2016
Annals of Marine Biology and Research
ISSN : 2573-105X
Launched : 2014
JSM Health Education & Primary Health Care
ISSN : 2578-3777
Launched : 2016
JSM Communication Disorders
ISSN : 2578-3807
Launched : 2016
Annals of Musculoskeletal Disorders
ISSN : 2578-3599
Launched : 2016
Annals of Virology and Research
ISSN : 2573-1122
Launched : 2014
JSM Renal Medicine
ISSN : 2573-1637
Launched : 2016
Journal of Muscle Health
ISSN : 2578-3823
Launched : 2016
JSM Genetics and Genomics
ISSN : 2334-1823
Launched : 2013
JSM Anxiety and Depression
ISSN : 2475-9139
Launched : 2016
Clinical Journal of Heart Diseases
ISSN : 2641-7766
Launched : 2016
Annals of Medicinal Chemistry and Research
ISSN : 2378-9336
Launched : 2014
JSM Pain and Management
ISSN : 2578-3378
Launched : 2016
JSM Women's Health
ISSN : 2578-3696
Launched : 2016
Clinical Research in HIV or AIDS
ISSN : 2374-0094
Launched : 2013
Journal of Endocrinology, Diabetes and Obesity
ISSN : 2333-6692
Launched : 2013
Journal of Substance Abuse and Alcoholism
ISSN : 2373-9363
Launched : 2013
JSM Neurosurgery and Spine
ISSN : 2373-9479
Launched : 2013
Journal of Liver and Clinical Research
ISSN : 2379-0830
Launched : 2014
Journal of Drug Design and Research
ISSN : 2379-089X
Launched : 2014
JSM Clinical Oncology and Research
ISSN : 2373-938X
Launched : 2013
JSM Bioinformatics, Genomics and Proteomics
ISSN : 2576-1102
Launched : 2014
JSM Chemistry
ISSN : 2334-1831
Launched : 2013
Journal of Trauma and Care
ISSN : 2573-1246
Launched : 2014
JSM Surgical Oncology and Research
ISSN : 2578-3688
Launched : 2016
Annals of Food Processing and Preservation
ISSN : 2573-1033
Launched : 2016
Journal of Radiology and Radiation Therapy
ISSN : 2333-7095
Launched : 2013
JSM Physical Medicine and Rehabilitation
ISSN : 2578-3572
Launched : 2016
Annals of Clinical Pathology
ISSN : 2373-9282
Launched : 2013
Annals of Cardiovascular Diseases
ISSN : 2641-7731
Launched : 2016
Journal of Behavior
ISSN : 2576-0076
Launched : 2016
Annals of Clinical and Experimental Metabolism
ISSN : 2572-2492
Launched : 2016
Clinical Research in Infectious Diseases
ISSN : 2379-0636
Launched : 2013
JSM Microbiology
ISSN : 2333-6455
Launched : 2013
Journal of Urology and Research
ISSN : 2379-951X
Launched : 2014
Journal of Family Medicine and Community Health
ISSN : 2379-0547
Launched : 2013
Annals of Pregnancy and Care
ISSN : 2578-336X
Launched : 2017
JSM Cell and Developmental Biology
ISSN : 2379-061X
Launched : 2013
Annals of Aquaculture and Research
ISSN : 2379-0881
Launched : 2014
Clinical Research in Pulmonology
ISSN : 2333-6625
Launched : 2013
Journal of Immunology and Clinical Research
ISSN : 2333-6714
Launched : 2013
Annals of Forensic Research and Analysis
ISSN : 2378-9476
Launched : 2014
JSM Biochemistry and Molecular Biology
ISSN : 2333-7109
Launched : 2013
Annals of Breast Cancer Research
ISSN : 2641-7685
Launched : 2016
Annals of Gerontology and Geriatric Research
ISSN : 2378-9409
Launched : 2014
Journal of Sleep Medicine and Disorders
ISSN : 2379-0822
Launched : 2014
JSM Burns and Trauma
ISSN : 2475-9406
Launched : 2016
Chemical Engineering and Process Techniques
ISSN : 2333-6633
Launched : 2013
Annals of Clinical Cytology and Pathology
ISSN : 2475-9430
Launched : 2014
JSM Allergy and Asthma
ISSN : 2573-1254
Launched : 2016
Journal of Neurological Disorders and Stroke
ISSN : 2334-2307
Launched : 2013
Annals of Sports Medicine and Research
ISSN : 2379-0571
Launched : 2014
JSM Sexual Medicine
ISSN : 2578-3718
Launched : 2016
Annals of Vascular Medicine and Research
ISSN : 2378-9344
Launched : 2014
JSM Biotechnology and Biomedical Engineering
ISSN : 2333-7117
Launched : 2013
Journal of Hematology and Transfusion
ISSN : 2333-6684
Launched : 2013
JSM Environmental Science and Ecology
ISSN : 2333-7141
Launched : 2013
Journal of Cardiology and Clinical Research
ISSN : 2333-6676
Launched : 2013
JSM Nanotechnology and Nanomedicine
ISSN : 2334-1815
Launched : 2013
Journal of Ear, Nose and Throat Disorders
ISSN : 2475-9473
Launched : 2016
JSM Ophthalmology
ISSN : 2333-6447
Launched : 2013
Journal of Pharmacology and Clinical Toxicology
ISSN : 2333-7079
Launched : 2013
Annals of Psychiatry and Mental Health
ISSN : 2374-0124
Launched : 2013
Medical Journal of Obstetrics and Gynecology
ISSN : 2333-6439
Launched : 2013
Annals of Pediatrics and Child Health
ISSN : 2373-9312
Launched : 2013
JSM Clinical Pharmaceutics
ISSN : 2379-9498
Launched : 2014
JSM Foot and Ankle
ISSN : 2475-9112
Launched : 2016
JSM Alzheimer's Disease and Related Dementia
ISSN : 2378-9565
Launched : 2014
Journal of Addiction Medicine and Therapy
ISSN : 2333-665X
Launched : 2013
Journal of Veterinary Medicine and Research
ISSN : 2378-931X
Launched : 2013
Annals of Public Health and Research
ISSN : 2378-9328
Launched : 2014
Annals of Orthopedics and Rheumatology
ISSN : 2373-9290
Launched : 2013
Journal of Clinical Nephrology and Research
ISSN : 2379-0652
Launched : 2014
Annals of Community Medicine and Practice
ISSN : 2475-9465
Launched : 2014
Annals of Biometrics and Biostatistics
ISSN : 2374-0116
Launched : 2013
JSM Clinical Case Reports
ISSN : 2373-9819
Launched : 2013
Journal of Cancer Biology and Research
ISSN : 2373-9436
Launched : 2013
Journal of Surgery and Transplantation Science
ISSN : 2379-0911
Launched : 2013
Journal of Dermatology and Clinical Research
ISSN : 2373-9371
Launched : 2013
JSM Gastroenterology and Hepatology
ISSN : 2373-9487
Launched : 2013
Annals of Nursing and Practice
ISSN : 2379-9501
Launched : 2014
JSM Dentistry
ISSN : 2333-7133
Launched : 2013
Author Information X