Loading

JSM Clinical Case Reports

Splenic Infarction Revealing A Complex Congenital Cardiopathy in A 49-Year-Old Adult: Case Report

Case Report | Open Access | Volume 13 | Issue 1

  • 1. Department of Cardiology, Bogodogo University Hospital, Burkina Faso
  • 2. Department of Nephrology, Bogodogo University Hospital, Burkina Faso
  • 3. Department of Cardiology, Yalgado OUEDRAOGO University Hospital, Burkina Faso
+ Show More - Show Less
Corresponding Authors
Martin Wendlassida NACANABO, Department of Cardiology, Bogodogo University Hospital, Burkina Faso
Abstract

Introduction: Splenic infarction is the consequence of splenic parenchymal ischaemia related to occlusion of the splenic artery or one of its branches. We report a case of splenic infarction associated with a complex congenital heart disease discovered in adulthood.

Clinical observation: A 49-year-old sedentary female patient was admitted with progressive moderate pain in the left hypochondrium and dyspnoea. Clinical examination revealed auscultatory arrhythmia, exquisite left hypochondral pain and congestive heart failure syndrome. The electrocardiogram showed atrial fibrillation, while the echocardiogram showed an atrioventricular canal and a single right ventricle. The chest X-ray showed cardiomegaly with significant protrusion of the pulmonary artery. Abdominal angioscan was consistent with splenic infarction, while the laboratory work-up was normal. Complex congenital heart disease associating an atrioventricular canal and a single ventricle decompensated into congestive heart failure complicated by atrial fibrillation with splenic infarction was the diagnosis adopted. The patient was treated with furosemide, enalapril, spironolactone and enoxaparin. The patient died on the third day of hospitalization.

Conclusion: This observation shows that in the absence of early diagnosis and appropriate treatment, complex congenital heart disease can lead to major complications, particularly thromboembolic.

KEYWORDS
  • Splenic infarction
  • Atrioventricular canal
  • Single ventricle
  • Ouagadougou
CITATION

NACANABO MW, MAMA SIKA M, SEGHDA AT, TALL/THIAM A, YAMEOGO VN, et al. (2025) Splenic Infarction Revealing A Complex Con- genital Cardiopathy in A 49-Year-Old Adult: Case Report. JSM Clin Case Rep 13(1): 1255.

INTRODUCTION

Splenic infarction is a rare, potentially serious condition characterised by necrosis of splenic tissue due to interruption of the blood supply [1]. In patients with complex congenital heart disease, splenic ischaemia is usually due to a thromboembolic complication [2]. Congenital heart disease is a heterogeneous group of structural anomalies of the cardiovascular system that are present from birth and derive from abnormalities in embryonic development [3]. Their prevalence is estimated at between 6 and 8 per 1000 live births worldwide [3]. Complex forms are often associated with abnormalities of the spleen and abnormal arrangement of other thoraco- abdominal organs [4]. Among these complex pathologies seen in adults are univentricular hearts, Ebstein’s anomaly of the tricuspid valve and corrected transposition of the great vessels [5]. We describe an unusual situation in which a splenic infarction was the primo movens for the discovery of a complex congenital heart disease associating an atrioventricular canal (AVC) and a right-type single ventricle (SUV).

CLINICAL OBSERVATION

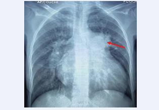
The patient was a 49-year-old housewife. The patient’s cardiovascular risk factors included a sedentary lifestyle. She presented with progressive onset, moderate-intensity pain in the left hypochondrium, associated with New York Health Association stage 2 dyspnoea, evolving in an apyretic context. Clinical examination revealed a blood pressure of 118/82 mmHg, an auscultatory arrhythmia with a heart rate of 108 beats per minute, palpatory pain in the left hypochondrium and a global heart failure syndrome. An emergency electrocardiogram revealed atrial fibrillation (AF). The chest X-ray showed significant cardiomegaly with major dilatation of the pulmonary artery and pulmonary hypervascularisation (Figure 1).

Figure 1 Front chest X-ray showing cardiomegaly, major dilatation of the pulmonary artery (red arrow) and pulmonary hypervascularisation

Figure 1: Front chest X-ray showing cardiomegaly, major dilatation of the pulmonary artery (red arrow) and pulmonary hypervascularisation

Transthoracic Doppler echocardiography revealed complex heart disease with mitral hypoplasia, a common atrioventricular canal and a single right ventricle (Figure 2).

Figure 2 Transthoracic Doppler echocardiography showing complex heart disease A: Para-sternal long-axis section, transventricular TM showing good systolic function B: Apical 4-cavity incidences, grade three Doppler IT with C & D: Subcostal 4-cavity view, complete atrioventricular canal, with single right ventricle

Figure 2: Transthoracic Doppler echocardiography showing complex heart disease A: Para-sternal long-axis section, transventricular TM showing good systolic function B: Apical 4-cavity incidences, grade three Doppler IT with C & D: Subcostal 4-cavity view, complete atrioventricular canal, with single right ventricle

There was also grade III pulmonary insufficiency with severe pulmonary hypertension (80 mmHg). Abdomino- pelvic angioscan revealed a patch of intra-parenchymal splenic hypodensity suggestive of an upper mid-polar splenic infarction measuring 39x33x36 (Figure 3); the other viscera were normal. Biological tests were normal.

Figure 3 Axial-section injected abdomino-pelvic angioscan showing an upper mid-polar splenic infarct measuring 39x33x36 (star).

Figure 3:  Axial-section injected abdomino-pelvic angioscan showing an upper mid-polar splenic infarct measuring 39x33x36 (star).

The diagnosis of a complex congenital heart disease combining VAD and right VU heart decompensated into congestive heart failure of late onset complicated by AF associated with splenic infarction was accepted. The patient was treated with drugs, including furosemide, enalapril, spironolactone and curative doses of low molecular weight heparin. The patient died on the third day of hospitalisation as a result of haemodynamic failure.

DISCUSSION

The prevalence of congenital heart disease in sub- Saharan Africa is estimated at around 8 per thousand live births [6]. Adult patients with congenital heart disease may slip through the net of the health care system and only be discovered at the stage of complications. In fact, the main concern when heart disease is discovered in an adult is the presence of irreparable complications [7]. The case in our study was a 49-year-old adult who had never been diagnosed with heart disease. She was referred for chest pain and dyspnoea. The most frequent circumstances of discovery were dyspnoea (47.5%), heart murmur (35.3%), congestive heart failure (13.4%) and cyanosis (9.7%) [8]. These symptoms, although non- specific, point to a multitude of complex congenital heart diseases. Among septal defects, atrial septal defect (ASD) and ventricular septal defect (VSD) are the most common (15% and 10% respectively) in adults [5,9]. The single ventricle heart is extremely rare in adults. The absence of a subpulmonary ventricle leads to chronic systemic venous hypertension, markedly impaired pulmonary haemodynamics and a chronically ‘preload deprived’ ventricle [10]. Although 10-year survival can approach 90%, it must be understood that a premature decline in cardiac performance, with reduced survival, is inevitable [10]. Important haemodynamic problems contributing to late Fontan failure include progressive decline in systemic ventricular function, atrioventricular valve regurgitation, increased pulmonary venous return, atrial hypertrophy, pulmonary venous obstruction and the consequences of chronic systemic venous hypertension, including hepatic congestion and dysfunction [11].

Other complications include atrial thrombus formation with an increased risk of systemic embolism, and the development of pulmonary and systemic arteriovenous malformations [12]. In patients with complex congenital heart disease, thromboembolic complications result from several mechanisms [12]. These can include paradoxical embolisms, where right-left shunts allow blood clots to pass from the venous circulation into the arterial circulation, including the splenic artery. This may be due to rhythm disorders such as AF, which is common in adults with congenital heart disease and promotes thrombogenesis. It may involve pulmonary hypertension and blood hyperviscosity.

CONCLUSION

Splenic infarction is a potentially serious thromboembolic complication in complex congenital heart disease. In addition to demonstrating the possibility of late discovery of these cardiopathies in adulthood, this observation illustrates one of the major complications. Improved awareness would enable early diagnosis of these conditions at an operable stage.

AUTHOR CONTRIBUTIONS

Wendlassida Martin NACANABO: Conceptualization; Data curation; Formal analysis; Investigation; Visualization; Writing – original draft.

Taryètba  André  Arthur  SEGHDA:  Visualization; Writing – review & editing

Mohamed MAMA SIKA: Writing – review & editing

Anna Tall/Thiam: Supervision

Nobila Valentin Yameogo: Supervision André K. Samadoulougou: Supervision Patrice Zabsonre: Supervision

Data Availability Statement

The data that support the findings of this study are available from the corresponding author upon reasonable Request.

CONSENT

We have obtained the patient’s consent for publication. Written informed consent was obtained from the patient to publish this report in accordance with the journal’s patient consent policy.

REFERENCES
  1. Lawrence YR, Pokroy R, Berlowitz D, Aharoni D, Hain D, Breuer GS. Splenic infarction: an update on William Osler’s observations. Isr Med Assoc J. 2010; 12: 362-365.
  2. Karsenty C, Waldmann V, Mulder B, Hascoet S, Ladouceur M. Thromboembolic complications in adult congenital heart disease : the knowns and the unknowns. Clin Res Cardiol. 2021; 110: 1380- 1391.
  3. van der Linde D, Konings EEM, Slager MA, Witsenburg M, Helbing WA, Takkenberg JJM, et al. Birth Prevalence of Congenital Heart Disease Worldwide (Prévalence à la naissance des cardiopathies congénitales dans le monde): A Systematic Review and Meta-Analysis. J Am Coll Cardiol. 2011; 58: 2241-2247.
  4. Peoples WM, Moller JH, Edwards JE. Polysplénie: A review of 146 cases. Pediatr Cardiol. 1983; 4: 129-137.
  5. Moodie DS. Adult Congenital Heart Disease. Ochsner J. 2002; 4: 221-226.
  6. Zühlke L, Mirabel M, Marijon E. Cardiopathies congénitales et maladies cardiaques rhumatismales en Afrique: progrès récents et priorités actuelles. Heart. 2013; 99:1554-1561.
  7. Webb GD. Challenges in the care of adult patients with congenital heart defects (Défis dans la prise en charge des patients adultes atteints de malformations cardiaques congénitales). Heart. 2003; 89:465-469.
  8. Ba Ngouala GAB, Affangla DA, Leye M, Kane A. Prévalence des cardiopathies infantiles symptomatiques au Centre Hospitalier Régional de Louga, Sénégal. Cardiovasc J Afr. 2015; 26: e1-5.
  9. Hoffman JIE, Kaplan S. The incidence of congenital heart disease. J Am Coll Cardiol. 2002; 39: 1890-1900.
  10. Fontan F, Kirklin JW, Fernandez G, Costa F, Naftel DC, Tritto F, et al. Outcome after a « perfect » Fontan operation. Circulation. 1990; 81: 1520-1536.
  11. Khairy P, Fernandes SM, Mayer JE, Triedman JK, Walsh EP, Lock JE, et al. Long-Term Survival, Modes of Death, and Predictors of Mortality in Patients With Fontan Surgery (Survie à long terme, modes de décès et facteurs prédictifs de mortalité chez les patients ayant subi une chirurgie de Fontan). Circulation. 2008; 117: 85-92.
  12. Baumgartner H, Bonhoeffer P, De Groot NMS, de Haan F, Deanfield JE, Galie N, et al. Task Force on the Management of Grown-up Congenital Heart Disease of the European Society of Cardiology (ESC), Association for European Paediatric Cardiology (AEPC), ESC Committee for Practice Guidelines (CPG). Lignes directrices de l’ESC pour la prise en charge des cardiopathies congénitales de l’adulte (nouvelle version 2010). Eur Heart J. 2010; 31: 2915-2957.

NACANABO MW, MAMA SIKA M, SEGHDA AT, TALL/THIAM A, YAMEOGO VN, et al. (2025) Splenic Infarction Revealing A Complex Con genital Cardiopathy in A 49-Year-Old Adult: Case Report. JSM Clin Case Rep 13(1): 1255.

Received : 12 Feb 2025
Accepted : 25 Feb 2025
Published : 27 Feb 2025
Journals
Annals of Otolaryngology and Rhinology
ISSN : 2379-948X
Launched : 2014
JSM Schizophrenia
Launched : 2016
Journal of Nausea
Launched : 2020
JSM Internal Medicine
Launched : 2016
JSM Hepatitis
Launched : 2016
JSM Oro Facial Surgeries
ISSN : 2578-3211
Launched : 2016
Journal of Human Nutrition and Food Science
ISSN : 2333-6706
Launched : 2013
JSM Regenerative Medicine and Bioengineering
ISSN : 2379-0490
Launched : 2013
JSM Spine
ISSN : 2578-3181
Launched : 2016
Archives of Palliative Care
ISSN : 2573-1165
Launched : 2016
JSM Nutritional Disorders
ISSN : 2578-3203
Launched : 2017
Annals of Neurodegenerative Disorders
ISSN : 2476-2032
Launched : 2016
Journal of Fever
ISSN : 2641-7782
Launched : 2017
JSM Bone Marrow Research
ISSN : 2578-3351
Launched : 2016
JSM Mathematics and Statistics
ISSN : 2578-3173
Launched : 2014
Journal of Autoimmunity and Research
ISSN : 2573-1173
Launched : 2014
JSM Arthritis
ISSN : 2475-9155
Launched : 2016
JSM Head and Neck Cancer-Cases and Reviews
ISSN : 2573-1610
Launched : 2016
JSM General Surgery Cases and Images
ISSN : 2573-1564
Launched : 2016
JSM Anatomy and Physiology
ISSN : 2573-1262
Launched : 2016
JSM Dental Surgery
ISSN : 2573-1548
Launched : 2016
Annals of Emergency Surgery
ISSN : 2573-1017
Launched : 2016
Annals of Mens Health and Wellness
ISSN : 2641-7707
Launched : 2017
Journal of Preventive Medicine and Health Care
ISSN : 2576-0084
Launched : 2018
Journal of Chronic Diseases and Management
ISSN : 2573-1300
Launched : 2016
Annals of Vaccines and Immunization
ISSN : 2378-9379
Launched : 2014
JSM Heart Surgery Cases and Images
ISSN : 2578-3157
Launched : 2016
Annals of Reproductive Medicine and Treatment
ISSN : 2573-1092
Launched : 2016
JSM Brain Science
ISSN : 2573-1289
Launched : 2016
JSM Biomarkers
ISSN : 2578-3815
Launched : 2014
JSM Biology
ISSN : 2475-9392
Launched : 2016
Archives of Stem Cell and Research
ISSN : 2578-3580
Launched : 2014
Annals of Clinical and Medical Microbiology
ISSN : 2578-3629
Launched : 2014
JSM Pediatric Surgery
ISSN : 2578-3149
Launched : 2017
Journal of Memory Disorder and Rehabilitation
ISSN : 2578-319X
Launched : 2016
JSM Tropical Medicine and Research
ISSN : 2578-3165
Launched : 2016
JSM Head and Face Medicine
ISSN : 2578-3793
Launched : 2016
JSM Cardiothoracic Surgery
ISSN : 2573-1297
Launched : 2016
JSM Bone and Joint Diseases
ISSN : 2578-3351
Launched : 2017
JSM Bioavailability and Bioequivalence
ISSN : 2641-7812
Launched : 2017
JSM Atherosclerosis
ISSN : 2573-1270
Launched : 2016
Journal of Genitourinary Disorders
ISSN : 2641-7790
Launched : 2017
Journal of Fractures and Sprains
ISSN : 2578-3831
Launched : 2016
Journal of Autism and Epilepsy
ISSN : 2641-7774
Launched : 2016
Annals of Marine Biology and Research
ISSN : 2573-105X
Launched : 2014
JSM Health Education & Primary Health Care
ISSN : 2578-3777
Launched : 2016
JSM Communication Disorders
ISSN : 2578-3807
Launched : 2016
Annals of Musculoskeletal Disorders
ISSN : 2578-3599
Launched : 2016
Annals of Virology and Research
ISSN : 2573-1122
Launched : 2014
JSM Renal Medicine
ISSN : 2573-1637
Launched : 2016
Journal of Muscle Health
ISSN : 2578-3823
Launched : 2016
JSM Genetics and Genomics
ISSN : 2334-1823
Launched : 2013
JSM Anxiety and Depression
ISSN : 2475-9139
Launched : 2016
Clinical Journal of Heart Diseases
ISSN : 2641-7766
Launched : 2016
Annals of Medicinal Chemistry and Research
ISSN : 2378-9336
Launched : 2014
JSM Pain and Management
ISSN : 2578-3378
Launched : 2016
JSM Women's Health
ISSN : 2578-3696
Launched : 2016
Clinical Research in HIV or AIDS
ISSN : 2374-0094
Launched : 2013
Journal of Endocrinology, Diabetes and Obesity
ISSN : 2333-6692
Launched : 2013
Journal of Substance Abuse and Alcoholism
ISSN : 2373-9363
Launched : 2013
JSM Neurosurgery and Spine
ISSN : 2373-9479
Launched : 2013
Journal of Liver and Clinical Research
ISSN : 2379-0830
Launched : 2014
Journal of Drug Design and Research
ISSN : 2379-089X
Launched : 2014
JSM Clinical Oncology and Research
ISSN : 2373-938X
Launched : 2013
JSM Bioinformatics, Genomics and Proteomics
ISSN : 2576-1102
Launched : 2014
JSM Chemistry
ISSN : 2334-1831
Launched : 2013
Journal of Trauma and Care
ISSN : 2573-1246
Launched : 2014
JSM Surgical Oncology and Research
ISSN : 2578-3688
Launched : 2016
Annals of Food Processing and Preservation
ISSN : 2573-1033
Launched : 2016
Journal of Radiology and Radiation Therapy
ISSN : 2333-7095
Launched : 2013
JSM Physical Medicine and Rehabilitation
ISSN : 2578-3572
Launched : 2016
Annals of Clinical Pathology
ISSN : 2373-9282
Launched : 2013
Annals of Cardiovascular Diseases
ISSN : 2641-7731
Launched : 2016
Journal of Behavior
ISSN : 2576-0076
Launched : 2016
Annals of Clinical and Experimental Metabolism
ISSN : 2572-2492
Launched : 2016
Clinical Research in Infectious Diseases
ISSN : 2379-0636
Launched : 2013
JSM Microbiology
ISSN : 2333-6455
Launched : 2013
Journal of Urology and Research
ISSN : 2379-951X
Launched : 2014
Journal of Family Medicine and Community Health
ISSN : 2379-0547
Launched : 2013
Annals of Pregnancy and Care
ISSN : 2578-336X
Launched : 2017
JSM Cell and Developmental Biology
ISSN : 2379-061X
Launched : 2013
Annals of Aquaculture and Research
ISSN : 2379-0881
Launched : 2014
Clinical Research in Pulmonology
ISSN : 2333-6625
Launched : 2013
Journal of Immunology and Clinical Research
ISSN : 2333-6714
Launched : 2013
Annals of Forensic Research and Analysis
ISSN : 2378-9476
Launched : 2014
JSM Biochemistry and Molecular Biology
ISSN : 2333-7109
Launched : 2013
Annals of Breast Cancer Research
ISSN : 2641-7685
Launched : 2016
Annals of Gerontology and Geriatric Research
ISSN : 2378-9409
Launched : 2014
Journal of Sleep Medicine and Disorders
ISSN : 2379-0822
Launched : 2014
JSM Burns and Trauma
ISSN : 2475-9406
Launched : 2016
Chemical Engineering and Process Techniques
ISSN : 2333-6633
Launched : 2013
Annals of Clinical Cytology and Pathology
ISSN : 2475-9430
Launched : 2014
JSM Allergy and Asthma
ISSN : 2573-1254
Launched : 2016
Journal of Neurological Disorders and Stroke
ISSN : 2334-2307
Launched : 2013
Annals of Sports Medicine and Research
ISSN : 2379-0571
Launched : 2014
JSM Sexual Medicine
ISSN : 2578-3718
Launched : 2016
Annals of Vascular Medicine and Research
ISSN : 2378-9344
Launched : 2014
JSM Biotechnology and Biomedical Engineering
ISSN : 2333-7117
Launched : 2013
Journal of Hematology and Transfusion
ISSN : 2333-6684
Launched : 2013
JSM Environmental Science and Ecology
ISSN : 2333-7141
Launched : 2013
Journal of Cardiology and Clinical Research
ISSN : 2333-6676
Launched : 2013
JSM Nanotechnology and Nanomedicine
ISSN : 2334-1815
Launched : 2013
Journal of Ear, Nose and Throat Disorders
ISSN : 2475-9473
Launched : 2016
JSM Ophthalmology
ISSN : 2333-6447
Launched : 2013
Journal of Pharmacology and Clinical Toxicology
ISSN : 2333-7079
Launched : 2013
Annals of Psychiatry and Mental Health
ISSN : 2374-0124
Launched : 2013
Medical Journal of Obstetrics and Gynecology
ISSN : 2333-6439
Launched : 2013
Annals of Pediatrics and Child Health
ISSN : 2373-9312
Launched : 2013
JSM Clinical Pharmaceutics
ISSN : 2379-9498
Launched : 2014
JSM Foot and Ankle
ISSN : 2475-9112
Launched : 2016
JSM Alzheimer's Disease and Related Dementia
ISSN : 2378-9565
Launched : 2014
Journal of Addiction Medicine and Therapy
ISSN : 2333-665X
Launched : 2013
Journal of Veterinary Medicine and Research
ISSN : 2378-931X
Launched : 2013
Annals of Public Health and Research
ISSN : 2378-9328
Launched : 2014
Annals of Orthopedics and Rheumatology
ISSN : 2373-9290
Launched : 2013
Journal of Clinical Nephrology and Research
ISSN : 2379-0652
Launched : 2014
Annals of Community Medicine and Practice
ISSN : 2475-9465
Launched : 2014
Annals of Biometrics and Biostatistics
ISSN : 2374-0116
Launched : 2013
Journal of Cancer Biology and Research
ISSN : 2373-9436
Launched : 2013
Journal of Surgery and Transplantation Science
ISSN : 2379-0911
Launched : 2013
Journal of Dermatology and Clinical Research
ISSN : 2373-9371
Launched : 2013
JSM Gastroenterology and Hepatology
ISSN : 2373-9487
Launched : 2013
Annals of Nursing and Practice
ISSN : 2379-9501
Launched : 2014
JSM Dentistry
ISSN : 2333-7133
Launched : 2013
Author Information X