Simultaneous Decompression Of Hallux Rigidus and Correction of Hallux Valgus Deformity with an Oblique Osteotomy: A Case Report
- 1. Department of Orthopedic Surgery, University of Tennessee College of Medicine, USA
- 2. Department of Orthopedic Surgery, Louisiana State University, USA
Abstract
Hallux rigidus and hallux valgus are challenging clinical entities and represent a particularly difficult dilemma when presenting simultaneously. There is no consensus among surgeons as to a surgical correction for the concomitant treatment of both diagnoses. In this article, we present a case involving a young, active patient with hallux valgus and hallux rigidus who underwent surgical correction involving an oblique, distal-dorsal to plantar-proximal shortening metatarsal osteotomy, which allowed for de-angulation of the hallux valgus deformity and decompression of the first metatarsophalangeal joint. We describe the procedure in detail and provide clinical outcomes. The patient’s pain level, function, and cosmesis all improved postoperatively.
Keywords
• Bunion surgery
• Bunion correction
• Hallux valgus
• Adolescent hallux valgus
• Hallux rigidus
Citation
Kluemper CT, Sumarriva GE, Doty JF (2016) Simultaneous Decompression of Hallux Rigidus and Correction of Hallux Valgus Deformity with an Oblique Osteotomy: A Case Report. JSM Foot Ankle 1(2): 1010
ABBREVIATIONS
MTP: Metatarsal-Phalangeal Joint; DMAA: Distal Metatarsal Articular Angle
INTRODUCTION
Hallux rigidus is a common degenerative condition of the forefoot that results in pain and a decreased range of motion at the first metatarsophalangeal (MTP) joint. Cheilectomy and first MTP fusion are two highly successful techniques utilized by surgeons for the treatment of this condition. Hallux valgus is also a painful condition of the first MTP joint. It is defined as an angular deformity of the forefoot in which the first metatarsal deviates medially and the proximal phalanx of the great toe deviates laterally. Hallux valgus can be effectively treated with various osteotomies and soft tissue procedures of the first ray. The concomitant diagnoses of hallux valgus and hallux rigidus is less common than each entity individually, and treatment options to simultaneously address both issues are largely less agreed upon in the orthopedic literature. The aim of this report is to illustrate a successful clinical outcome with a surgical technique utilized to treat a patient with concomitant hallux rigidus and hallux valgus deformity.
CASE REPORT
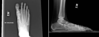
A twenty-five year old female runner and career model presented with chronic right forefoot pain along the first ray as well as the lateral aspect of the fifth ray. She reported a history of previous surgery, at the age of eleven, for hallux valgus deformity, which included pinning across the first MTP joint. After her initial surgery, she experienced worsening pain, increased stiffness, and recurrence of the hallux valgus deformity. Upon physical examination of her forefoot, a prominent hallux valgus deformity was noted with painful bossing at the dorsal aspect of the first MTP joint. Palpation revealed tenderness at the first MTP joint at the medial eminence as well as dorsally at the first metatarsal head. Range of motion was limited to less than 20 degrees of dorsiflexion from the floor. Radiographic assessment revealed degenerative changes at the first MTP joint with subchondral sclerosis, subchondral cyst formation, and mild joint space narrowing. The preoperative hallux valgus angle was 25 degrees and the inter-metatarsal angle was 8 degrees. The fifth ray exhibited a prominent bunionette deformity with curvilinear lateral deviation of the 5th metatarsal shaft (Figure 1).
Figure 1: Pre-op Imaging.
The patient was diagnosed with recurrent hallux valgus deformity and the secondary development of hallux rigidus, Conservative treatment including shoe modifications, stiff insoles, bunion night splints, and anti-inflammatory medications failed to provide relief. She continued to experience significant pain with ambulation and the inability to wear the footwear necessary to continue her modeling career, and therefore requested definitive surgical intervention. The authors have obtained the patient’s informed written consent for print and electronic publication of the case report.
TECHNIQUE
A dorsal first web-space incision was made and dissection was continued down to identify the adductor hallucis insertion and lateral MTP joint capsule. The adductor hallucis was released from the subluxated lateral sesamoid, and the inter-sesamoid ligament was also transected to eliminate some of the pronation force on the 1st MTP joint. A vertical lateral capsulotomy parallel to the joint was also performed.
Next, an incision was made over the medial eminence, and a capsular flap was raised distal and plantar off the metatarsal head with the apex proximal and dorsal. There was Outer bridge grade III cartilage loss medially and a large dorsal osteophyte. The area of cartilage loss was perforated with a small Kirschner wire and the dorsal osteophyte was excised. A long mid shaft dorsal-distal to plantar-proximal osteotomy of the first metatarsal was performed similar to a Mau osteotomy described for hallux valgus deformity correction. Lateral translation as well as rotation at the osteotomy site prior to fixation provided simultaneous improvement of the hallux valgus angle and the distal metatarsal articular angle. In order to address the hallux rigidus component of the deformity, the overall metatarsal length was shortened along the osteotomy site approximately 3 mm thereby decompressing the MTP joint and simultaneously improving the arc of motion (Figure 2).
Figure 2: Illustration of Osteotomy
The osteotomy was held in place with three 2-mm cortical screws. A dorsal cheilectomy was performed to decrease any dorsal impingement and nearly 60 degrees of dorsiflexion from the floor was immediately obtained. A medial capsular repair was performed to maintain the position of the proximal phalanx on the metatarsal head. Lastly, a dorsal-medial closing wedge osteotomy at the metaphysis of the proximal phalanx was performed and stabilized with a Kirschner wire. The proximal phalanx osteotomy was performed to increase the functional dorsiflexion of the toe during ambulation and to maximize any angular correction in the transverse plane that may have been limited by the inability to fully correct the Distal Metatarsal Articular Angle (DMAA).
The bunionette along the 5th ray was corrected with a lateral exostectomy and long diaphyseal osteotomy with medial rotation of the distal capital segment. This was secured with two 2-mm cortical screws (Figure 3).
Figure 3: Immediate Post-op Imaging
RESULTS AND DISCUSSION
Postoperatively, the patient remained non-weight bearing for a total of four weeks. Passive and active flexion and extension exercises were commenced at the time of incision healing. At four weeks, the proximal phalanx Kirschner wire was removed and weight bearing in a CAM boot was allowed. Transition into a cushioned athletic shoe occurred at 8 weeks and running was allowed at 12 weeks. At 6 months, the patient reported less pain with running and walking, improved function during daily activities, and improved satisfaction with cosmesis. Physical exam revealed an increase in range of motion compared with pre-operative status.
We chose the AOFAS and Visual Analog (VAS) scales to evaluate her pre-operative and post-operative function and pain level. Her AOFAS Hallux Metatarsophalangeal-Interphalangeal Scale improved from 48 pre-operatively to 90 post-operatively at 1 year follow-up. Her VAS reflecting pain decreased from 75 pre-operatively to 10 post-operatively (Figure 4).
Figure 4: One-year Post-op Imaging
At her one-year appointment, the patient endorsed bothersome prominent hardware on the lateral fifth metatarsal. She had no such concern along the first ray. For this reason, we removed the two fifth metatarsal screws only. This relieved the patient’s complaints and she remained symptom-free six weeks from the hardware removal.
At two years, the patient was interviewed by telephone for this report. The authors asked her to give subjective outcomes about her function, pain and perceived cosmesis. She endorsed the ability to jog at a recreational level multiple times per week and had retained her employment as a model. She continued to wear high fashion shoe-wear, and reported no discomfort. Her opinion of the cosmetic appearance of her foot had improved largely due to the fact that the medial forefoot prominence had decreased. She remained satisfied with her care.
Hallux valgus is a common pathologic angular deformity of the first ray involving medial angulation of the first metatarsal and lateral deviation of the proximal phalanx. The incidence of adolescent onset is variably reported to be between 23% and 57% of patients [1,2]. Symptoms include medial eminence pain, crowding of the lesser toes, metatarsalgia, callosities, and poor cosmetic appearance. A variety of surgical interventions are acceptable when conservative treatment fails. Soft tissue release and imbrication, proximal, distal and midshaft metatarsal osteotomies, and tarsal-metatarsal arthrodesis are common supported practices [3-5].
Hallux rigidus is a common degenerative condition affecting the first MTP joint. Symptoms invariably include decreased range of motion and pain, classified as grade 1-4. Grades 1, 2, and some Grade 3 conditions can be successfully treated with cheilectomy3 , while patients with more severe disease may best be treated with arthrodesis [6]. The predictable loss of motion with arthrodesis is an effect that younger more active patients may be unwilling to accept. This patient required the continued ability to wear high-heeled shoes common in the modeling industry, and thus maintaining and increasing her range of motion was a strong consideration.
Concomitant treatment of hallux valgus deformity with simultaneous hallux rigidus can be a difficult surgical dilemma. The Keller arthroplasty has been described for older patients with fewer functional demands, but continued pain and difficulty with shoe wear are two common sequellae of this procedure [7]. We feel that reoperation for recurrent hallux valgus likely contains an element of hallux rigidus more often than generally reported. This may contribute to the increased rate of complications for hallux valgus surgery, which is reported to be from 10-55% [8]. Multiple operations at the MTP joint likely increase scar tissue formation and secondary stiffness. Especially, with repeat hallux valgus deformity operations, it is important to intra operatively determine the congruency of the joint based on high inter- and intraobserver variability of radiographic angular measurements [9]. Postoperative recurrence of a hallux valgus deformity can also be an indicator that the initial operation failed because of iatrogenic incongruity, and with time the joint tends to deviate back into a reduced position. During the reoperation, it is equally important to choose the appropriate osteotomies and angular corrections because forceful realignment of the hallux can lead to production of another incongruent joint [10,11]. Doty et al., reported on analysis of cadaveric hallux valgus deformity specimens and found that only 10% of specimens had the absence of chondral damage on the metatarsal head [12]. The authors then performed a subsequent in vivo evaluation of patients undergoing hallux valgus surgery and found a 91% prevalence of osteochondral defects. An average of 2.9 of 9 total metatarsal head zones had chondral damage with an International Cartilage Repair Society (ICRS) scale lesion grade of 2.9 out of 4 [13]. This further supports the notion that hallux valgus rarely presents in an isolated manner without at least a minor component of hallux rigidus. It remains difficult to determine the clinical contribution of the chondral damage and the necessity of simultaneously addressing the rigidus component; however, an astute clinician should certainly factor in these challenges to the preoperative plan and patient discussion.
The Weil osteotomy is a joint-sparing, distal oblique metatarsal osteotomy that is typically utilized in the treatment of lesser toe deformities and dislocations [3,14]. The osteotomy is made parallel to the weight bearing surface of the foot, which is generally between 35° and 45° from the long axis of the metatarsal. An oblique cut provides a large area of bone contact for consistent fixation [15], which may decrease the incidence of non-union [16]. The oblique osteotomy can address several goals such as shortening of a long metatarsal, plantar-flexing an elevated metatarsal, decompressing a painful joint, and correcting an increase in the articular angle [17]. Shortening in the transverse plane can be skillfully performed without elevation or depression of the metatarsal head [9]. To date, there is a paucity of literature evaluating the use of the Weil osteotomy in the first ray for the treatment of hallux valgus deformity with hallux rigidus.
CONCLUSION
The authors chose this technique because we felt that the first metatarsal oblique osteotomy allowed correction of the hallux valgus angle and simultaneous decrease in the axial load across the MTP joint. The patient’s prior procedure involving violation of the first MTP joint cartilage with pinning may have contributed to the amount of metatarsal head cartilage loss seen intra-operatively. The combination of a long oblique osteotomy, soft tissue imbrication, and cheilectomy provided comprehensive correction of this complicated clinical problem. The patient’s satisfaction with pain level, function, and range of motion suggest that this procedure may be met with continued clinical success in young active patients that present with this clinical dilemma.



