Loading

JSM Gastroenterology and Hepatology

Premalignant Potential of Fundic Gland Polyps-associated Familial Polyposis Syndromes

Case Report | Open Access | Volume 2 | Issue 4

  • 1. Department of gastroenterology, Hôpital Nord, France
  • 2. Department of gastroenterology, Hôpital Princesse Grace, Monaco
  • 3. Department of pathology, Hôpital Nord, France
+ Show More - Show Less
Corresponding Authors
Marc Barthet, Department of gastroenterology, Hôpital Nord, Chemin des Bourrely, 13915, Marseille cedex 20, France, Tel: +33 4 91 96 87 37; Fax: +33 4 91 96 13 11;
ABSTRACT

Fundic gland polyps (FGPs) are the most common type of gastric polyps (up to 50%). They are found in up to 0.8-1.9 % of the general population, and in 40-84 % of the patients suffering from familial polyposis syndromes. They might be sporadic or associated to polyposis syndromes. When the former, they should be considered exclusively benign lesions, and possibly related to the chronic use of proton pump inhibitors; the latter, associated to familial adenomatous polyposis (FAP) or attenuated familial adenomatous polyposis (AFAP), may not be a completely hamartomatous process as previously suggested, but carry a risk of dysplasia leading to malignancy. We highlight in this case series of four patients, with underlying familial polyposis syndromes, the adenomatous and carcinomatous degeneration of the gastric FGPs, and we provide an overview of the major clinical features concerning syndromic FGPs, to add an argument to the published data, that FGPs-associated polyposis syndromes represent a dysplastic precursor, and their natural history is also subject to the rule of adenoma-carcinoma progression. Modern endoscopic assessment of FGP like electronic coloration could help to differentiate typical FGP from those with adenomatous component or dysplasia and to manage them endoscopically. Syndromic FGPs deserve more attention for their neoplastic potential, and may warrant close endoscopic surveillance for early detection of dysplasia even when the colorectal disease is eradicated

KEYWORDS

Fundic gland polyps,Familial adenomatous polyposis,Attenuated familial adenomatous polyposis,Adenomatous polyposis coli,and Dysplasia

CITATION

Ezzedine S, Dumas R, Gonzalez JM, Vitton V, Barthet M, et al. (2014) Premalignant Potential of Fundic Gland Polyps-associated Familial Polyposis Syndromes. JSM Gastroenterol Hepatol 2(4): 1035.

ABBREVIATIONS AND ACRONYMS

FAP: Familial adenomatous polyposis; AFAP: Attenuated  familial adenomatous polyposis; APC: Adenomatous polyposis  coli; FGPs: Fundic gland polyps.

INTRODUCTION

FAP and its attenuated form are autosomal dominant inherited conditions-predisposing cancer, characterized by diffuse intestinal polyposis, causally linked to bi-allelic germline inactivation of the APC gene located on the chromosome 5q21-22 in up to 80% of the patients [1,2]. Advances in the prophylactic treatment of FAP, which resulted in reduction of mortality due to colorectal cancer, make the detection of extra-colonic manifestations (i.e. gastro-duodenal) more common, and lifelong surveillance is mandatory even when the colorectal disease is eradicated [3]. In FAP, the general risk for development of an adenocarcinoma in the gastro-duodenal region is 300 times higher than in the general population. The lifetime risk of developing gastric cancer in familial adenomatous polyposis (FAP) is about 0.5-1% [4]. FGPs also known as Elster’s polyps are the most common gastric polyps in FAP [5]. The management of FGP-associated polyposis syndromes is viewed as a challenging clinical and endoscopic problem; they have usually been regarded as non-neoplastic hamartomas; nevertheless gastric cancer and high-grade dysplasia had been reported [6-11]. Although sporadic and FAP-associated FGPs are endoscopically and histologically indistinguishable, they are pathogenetically distinct. The genetics features of FGP-associated FAP were well studied and concluded that there are somatic, second-hit APC gene alterations in more than 50% of syndromic FGPs, which precede morphological dysplasia. In addition, at least some syndromic FGPs involve the APC pathway typically seen in the setting of FAP, with possible implication of other genes, and subsequently leading to their progressive degeneration [12, 13]. This suggests that dysplastic transformation of FGPs in patients with FAP occurs more frequently than previously believed. On the other hand, the detection of FGPs is associated with an increased incidence of colorectal polyps, especially AFAP [14, 15]. However, there is a paucity of specific practical clinical guidance for the management of such lesions. Modern endoscopic assessment of FGP could help to differentiate typical FGP from those with adenomatous component or dysplasia (Figure 1a and 1b).

Typical FGPs

Figure 1a: Typical FGPs

Large adenomatous polyp before EMR; Glandulous cystic pattern is visible at the basis of the stalk ((iscan view; Pentax scope, Japan)

Figure 1b: Large adenomatous polyp before EMR; Glandulous cystic pattern is visible at the basis of the stalk ((iscan view; Pentax scope, Japan)

From a prognostic point of view, current screening recommendations may not be sufficient, given that these polyps could represent dysplastic precursors in the setting of familial polyposis syndromes. We present four FAP/AFAP patients who developed advanced dysplastic/neoplastic lesions on a background of FGPs and we report a summary of the literature [16-20]. The aim of this case series is to clarify whether those patients with FAP needs more frequent monitoring with gastroscopy in case of FGPs, to look for the possibility of dysplasia and even malignancy. 

CASE REPORTS

Case 1

A 24-year-old man, smoker, previously diagnosed with FAP. His father has also been diagnosed as having FAP. He underwent a prophylactic total colectomy with ileoanal anastomosis, when he was 16 years old. He presented to our institution for endoscopic follow-up and surveillance planning. A rectoscopy was performed and showed normal pouch. At the same time, upper gastrointestinal endoscopy was done and showed a tiny 3 mm duodenal polyp, removed by snare polypectomy. The antrum mucosa was normal, but the body and fundus were carpeted with small polyps ranging in size from 2 to 5 mm. In addition, there was a large 2.5cm “ear shape” polyp, located in the midfundus,along the greater curvature (Figure 2a and 2b).

2a- Endoscopic view showing FGPs, with one large sessile polyp in the midfundus. 2b- Large polyp in the fundus with background of fundic gland polyps. 2c & 2d- Saline sub mucosal injection of the large polyp to be ready for mucosectomy. 2e- Large polyp (2.5 cm) was safely removed by polypectomy snare

Figure 2:

2a- Endoscopic view showing FGPs, with one large sessile polyp in the midfundus.

2b- Large polyp in the fundus with background of fundic gland polyps.

2c & 2d- Saline sub mucosal injection of the large polyp to be ready for mucosectomy.

2e- Large polyp (2.5 cm) was safely removed by polypectomy snare

Subsequent endoscopic ultrasound of the fundus proved no extension beyond the mucosa. Multiple biopsy specimens were obtained from small polyps as well as large polyp. Pathological examination of small fundic polyps showed simple hyperplasia of the fundic glands and microcysts consistent with FGPs. Biopsies from the large polyp proved tubular adenoma. Later on, the patient underwent another therapeutic endoscopic session for endoscopic mucosal resection of the large fundic polyp after saline sub mucosal injection (Figure 2c, 2d, 2e). Histopathologically, the large fundic polyp measures 22 x10 x18 mm, displayed moderate focal glandular epithelial atypia, nuclear enlargement, and pseudo-stratification, with some regular mitoses consistent with dysplastic tubular adenoma, intimately related to FGP without evidence of malignancy (Figure 3a and 3b).

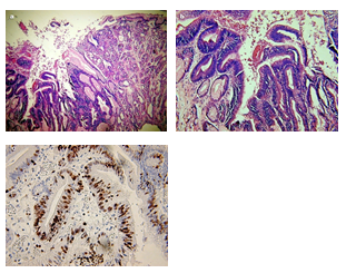
3a & 3b: Photomicrograph of FGP with some microcysts and other part exhibit adenomatous gland with mild dysplasia (HESx100 and x200). 3c- Immunohistochemical staining for the proliferation marker Ki-67 showing numerous proliferating cells in the adenomatous glands with mild dysplasia (x400).

Figure 3a & 3b: Photomicrograph of FGP with some microcysts and other part exhibit adenomatous gland with mild dysplasia (HESx100 and x200).

3c- Immunohistochemical staining for the proliferation marker Ki-67 showing numerous proliferating cells in the adenomatous glands with mild dysplasia (x400).

Immunohistochemistry using MIB1 for detection of antigen Ki-67 proved proliferating dysplastic cells (Figure 3c).

Case 2

A 62-year-old woman, known to have AFAP, underwent total colectomy with ileo-rectal anastomosis at the age of 45. Surveillance by upper and lower gastrointestinal endoscopy was performed regularly. The last one showed normal rectal and ileal mucosa. Upper gastrointestinal endoscopy was done and revealed normal papilla and duodenal mucosa; however the stomach showed numerous fundic gland polyps, many of them had a large diameter ranging from 1 to 3 cm, along the great curvature (Figure 4a).

Gastric polyps (FGPs and adenomas) before multiple EMR.

Figure 4a: Gastric polyps (FGPs and adenomas) before multiple EMR.

Biopsies confirmed the adeno-villous type of these polyps with low-grade dysplasia. Therapeutic endoscopic procedure was performed for resection of the large polyps (Figure 4b and 4c).

EMR of adenomatous FGP (snare resection)

Figure 4b: EMR of adenomatous FGP (snare resection)

Scar after EMR of adenomatous FGP

Figure 4c: Scar after EMR of adenomatous FGP

Extensive mucosectomy had been successful to resect a large area of gastric fundus affected by large polyps (Figure 4d).

Results after extensive EMR (iscan view; Pentax scope, Japan)

Figure 4d: Results after extensive EMR (iscan view; Pentax scope, Japan)

Pathologic examination confirmed the adenomatous nature of these FGPs, and low and high grade dysplasias were described in many fragments of the mucosectomy.

Case 3

A 65-year-old woman had history of FAP, treated by procto-colectomy and ileo-anal anastomosis at the age of 29 years, complicated with anal incontinence. 20 years later, she underwent surgical ampullectomy for a papillary adenoma with high-grade dysplasia. The patient was followed annually by upper gastrointestinal endoscopy, which showed FGPs carpeting the fundus, and after eight years, there was appearance of 2 giant fundic polyps in the background of FGP. The 2 polyps were removed by mucosectomy, and argon plasma coagulation was applied for the rest of FGPs with moderate size and possible adenomatous changes by FICE (Fujinon Intelligent Chromo Endoscopy). Pathological studies described tubulo-villous adenomas harboring carcinoma-in-situ, with negative margins and without infiltration. Two years later, gastroscopy showed numerous FGPs and 3 polyps: one had a large size of 3 cm, and 2 had a medium size of 1 cm. Those polyps were resected by mucosectomy, and histopathological examination revealed tubular adenomas with high-grade dysplasia in close relation to FGP. The patient refused prophylactic total gastrectomy and continued to receive endoscopic surveillance.

Case 4

A 68-year-old woman, known to have FAP with APC mutation, treated with prophylactic total procto-colectomy and ileoanal anastomosis at the age of 56 years. At that time, histological studies revealed an invasive adenocarcinoma of the sigmoid colon, managed post-operatively by chemotherapy. Six years later, upon the endoscopic surveillance of the upper gastrointestinal tract, we had the following findings: numerous FGPs, multiple duodenal polyps with histological features of high-grade dysplasia, carcinoma-in-situ and high-grade dysplasia of the ampullary adenoma. Duodenal polyps and ampullary adenoma were treated with cephalic duodeno-pancreatectomy. Regular follow-up of the stomach by gastroscopy showed increase in the size of some FGPs, among them there was a giant fundic polyp of 8 cm diameter. This polyp was successfully resected by mucosectomy, and pathology showed villous adenoma without malignancy. One year later, upper gastrointestinal endoscopy showed a large polyp of 15 mm in the fundus, in intimate relation with the numerous FGPs. This polyp was also resected by mucosectomy. The other polyps were treated with plasma argon coagulation when they had features of possible dysplasia displayed by FICE. Pathological studies reported degeneration of FGP to carcinoma-in-situ with normal margins. After six month, gastroscopy revealed 2 polyps of 1 cm diameter in the fundus that were removed by mucosectomy and pathology confirmed the presence of focal high-grade dysplasia. The patient refused prophylactic gastrectomy and continued to undergo annual endoscopic surveillance of her stomach.

DISCUSSION

FGPs are the most common gastric polyps in both polyposis syndromes and normal population. They account for more than 50% of all gastric polyps. Studies estimate that 52-88% of FAP have FGPs. Unlike colonic adenomas, the number of gastric-FGPs is not attenuated in AFAP. Out of FAP or AFAP syndrome, FGPs are usually asymptomatic and discovered incidentally at endoscopy [5,21]. They are usually ranging in size between 1 to 3.5 mm in diameter [22,23]. Helicobacter pylori is absent in the majority of cases [24,25]. A significant proportion of patients with FGPs have co-existent colorectal polyps; for this reason, a thorough diagnostic work-up of the colon in patients with Elster’s polyps is recommended, mainly in younger patients when multiple FGPs are encountered [14,21]. Endoscopically, FGPs appear as small sessile hemispherical-shaped elevations, sharply demarcated, with a smooth surface contour or slightly nodular; sometimes with a waist but no clear stalk (Figure 1a). Their color is pink, resembling the surrounding mucosa but sometimes they are pale [1,22]. On biopsy, polyps chunk off or detach entirely at the base. The most characteristic finding differentiating FGPs from hyperplastic polyps, adenomas, and polypoid carcinomas is their distribution. Almost all fundic gland polyps are located in the fundus and body of the stomach, near the greater curvature, almost exclusively in a normal mucosa, with sparing of the antrum. Preliminary data of chromoendoscopy evaluation by indigo carmin has limited usefulness in detecting potentially premalignant changes in FGP in FAP [5,26]. Electronic colorations might also help to identify adenomatous component occurring in FGP (Figure 1b).

In sporadic, non syndromic FGPs , fewer than 10 polyps are observed in the stomach, and are identified in 0.80 to 1.90 % of normal population [16], more commonly in middle aged women, with a female-to-male ratio of 5/1 [23]. Sporadic FGPs are observed also more frequently in about 7.3 % of patients on long-term use of proton-pump inhibitors [24,27,28]. In the syndromic form, numerous FGPs are usually observed, often numbering in the hundreds, carpeting approximately all the fundus, and occur at a younger age, as early as 8-year-old, without gender preponderance [23,25]. Histopathologically, FGPs are characterized by hyperplasia of surface and foveolar epithelia. There are shallow pits, cystic dilated and irregularly fundic glands in a background of otherwise normal gastric mucosa, and lined by flattened parietals cells, chief cells and variable numbers of mucus neck cells [29,30]. No differences have been detected between sporadic and FAP-associated FGPs with respect to endoscopic, morphological, or mucin histochemical features. In contrast to sporadic FGPs, syndromic FGPs frequently show foveolar dysplasia including a 25% prevalence of low-grade dysplasia in FAP [31-35], and often are preceded by dysregulation of epithelial proliferation when the morphologic abnormalities are indefinite for dysplasia [33]. A high frequency of somatic APC alterations was present in syndromic FGP in more than 50% of polyps. These results show that FGPs in FAP patients are pathogenetically distinct from sporadic FGPs, and indicate that FGPs arising in the setting of FAP are neoplastic lesions [37- 39].

It is generally believed that FGP have little or no potential for malignant transformation in the population at large; but recently multiple case reports describe the development of high-grade dysplasia or gastric adenocarcinoma associated FGP in patients with FAP [6-11]. Knowledge of the position of the germline APC mutation may benefit the clinical management of FGPs, and more frequent screening could be offered to certain patients, particularly those with germline APC mutations distal to codon 1400 [40]. In the present series, the last three patients were older (median age, 60 years) than the first patient (24 years), and had a longer duration of disease (median duration, 45 years); two among them had severe duodenal disease managed by surgery, and more interestingly, all four patients had all the stages of degeneration of the disease from low-moderate grade dysplasia to carcinoma-in-situ. All the large FGP lesions were found in the midfundus, where numerous FGP were present.

There is uniform agreement that there is a close relationship between the size of the polyp and the neoplastic potential. A recent prospective multivariate analysis with 75 FAP patients identified risk factors associated with an increased risk of dysplasia, reaching 44% in this series [41]. These risk factors were larger FGP size (Odds Ratio 4) and higher stage of duodenal polyposis (Odds Ratio 2.3) [41]. In our series, 2 patients had no duodenal polyps or only one small polyp, whereas the 2 others had previously undergone surgery for adenocarcinoma of the papilla or of the duodenum. A recent case of gastric cancer arising in FAP with large FGP has recently been reported [41]. Based on our findings, we recommend that when multiple FGPs are encountered in different sizes or exhibit an unusual appearance (Figure 1a and 1b), a biopsy of the largest polyps should be performed or they should be excised if more than 10 mm diameter, and representative biopsy specimens should be taken randomly from some others, and examined histologically for the indolent presence of dysplasia or malignant transformation. It is usually recognized that distinguishing FGPs from FGPs with adenomatous component is not easy despite the use of indigo carmine or virtual coloration. However in our 4 patients, this was possible (Figure 1a and b) leading to endoscopic mucosal resection and follow-up with endoscopic surveillance (Figure 2 and 4). Until now, no recommendations are available about the need or the modality for endoscopic surveillance of FGPs polyps in FAP [41, 42].

Obviously, with the development of more effective prophylactic surgery and endoscopic treatment for colonic and duodenal disease of FAP, the stomach might be the next problem, especially with the increased risk of degeneration of FGPs. Endoscopic treatment options for these lesions could include snare excision and argon plasma coagulation. An outstanding review of the management of gastric polyps by Carmack and colleagues had been published and found that the risk factors for dysplasia-malignancy in syndromic FGPs include polyps larger than 1 cm and increased severity of duodenal polyposis, [43]. As duodenal polyposis, we think that syndromic FGPs slowly progress in size, number, and histology, and eventually develop malignancy, which may appear later in life [44]. A Consensus on the management of syndromic-FGPs is required, and more recognition of their natural history seems mandatory, to reliably report and follow the course of these polyps. Our case series, and consistently with previous studies, raises doubts about the benign nature of FGP-associated FAP. The need for an appropriate surveillance and management recommendations for syndromic FGPs is obvious, and should be undertaken based upon the preliminary results of our study. Additional studies on the behavior of FGPs in FAP and AFAP patients are warranted, to improve the prognosis of patients with Familial polyposis.

 

REFERENCES

1. Cruz-Correa M, Giardiello FM. Familial adenomatous polyposis. Gastrointest Endosc. 2003; 58: 885-894.

2. Spirio L, Olschwang S, Groden J, Robertson M, Samowitz W, Joslyn G, et al. Alleles of the APC gene: an attenuated form of familial polyposis. Cell. 1993; 75: 951-957.

3. Goodman AJ, Dundas SA, Scholefield JH, Johnson BF. Gastric carcinoma and familial adenomatous polyposis (FAP). Int J Colorectal Dis. 1988; 3: 201-203.

4. Wallace MH, Phillips RK. Upper gastrointestinal disease in patients with familial adenomatous polyposis. Br J Surg. 1998; 85: 742-750.

5. Burt RW. Gastric fundic gland polyps. Gastroenterology. 2003; 125: 1462-1469.

6. Zwick A, Munir M, Ryan CK, Gian J, Burt RW, Leppert M, et al. Gastric adenocarcinoma and dysplasia in fundic gland polyps of a patient with attenuated adenomatous polyposis coli. Gastroenterology. 1997; 113: 659-663.

7. Hofgärtner WT, Thorp M, Ramus MW, Delorefice G, Chey WY, Ryan CK, et al. Gastric adenocarcinoma associated with fundic gland polyps in a patient with attenuated familial adenomatous polyposis. Am J Gastroenterol. 1999; 94: 2275-2281.

8. Sekine S, Shimoda T, Nimura S, Nakanishi Y, Akasu T, Katai H, et al. High-grade dysplasia associated with fundic gland polyposis in a familial adenomatous polyposis patient, with special reference to APC mutation profiles. Mod Pathol. 2004; 17: 1421-1426.

9. Coffey RJ Jr, Knight CD Jr, van Heerden JA, Weiland LH. Gastric adenocarcinoma complicating Gardner’s syndrome in a North American woman. Gastroenterology. 1985; 88: 1263-1266.

10.Attard TM, Giardiello FM, Argani P, Cuffari C. Fundic gland polyposis with high-grade dysplasia in a child with attenuated familial adenomatous polyposis and familial gastric cancer. J Pediatr Gastroenterol Nutr. 2001; 32: 215-218.

11.Garrean S, Hering J, Saied A, Jani J, Espat NJ. Gastric adenocarcinoma arising from fundic gland polyps in a patient with familial adenomatous polyposis syndrome. Am Surg. 2008; 74: 79-83.

12.Abraham SC, Nobukawa B, Giardiello FM, Hamilton SR, Wu TT. Fundic gland polyps in familial adenomatous polyposis: neoplasms with frequent somatic adenomatous polyposis coli gene alterations. Am J Pathol. 2000; 157: 747-754.

13.Hassan A, Yerian LM, Kuan SF, Xiao SY, Hart J, Wang HL. Immunohistochemical evaluation of adenomatous polyposis coli, beta-catenin, c-Myc, cyclin D1, p53, and retinoblastoma protein expression in syndromic and sporadic fundic gland polyps. Hum Pathol. 2004; 35: 328-334.

14.Jung A, Vieth M, Maier O, Stolte M. Fundic gland polyps (Elster’s cysts) of the gastric mucosa. A marker for colorectal epithelial neoplasia? Pathol Res Pract. 2002; 198: 731-734.

15.Samarasam I, Roberts-Thomson J, Brockwell D. Gastric fundic gland polyps: a clinico-pathological study from North West Tasmania. ANZ J Surg. 2009; 79: 467-470.

16.Declich P, Porcellati M, Bellone S, Bortoli A, Gozzini C, Prada A, et al. Are syndromic fundic gland polyps true neoplasms? Am J Pathol. 2001; 159: 381-382.

17.Declich P, Ambrosiani L, Bellone S, Tavani E, Sironi M. Do fundic gland polyps enter the mainstream of gastric carcinogenesis? Am J Gastroenterol. 1998; 93: 2636.

18.Odze RD. Gastric fundic gland polyps: are they preneoplastic lesions? Gastroenterology. 1998; 114: 422-423.

19.Declich P, Tavani E, Bellone S, Gozzini C, Bortoli A, Prada A, et al. Fundic gland polyps: sporadic or not sporadic, that is the question. Pol J Pathol. 2004; 55: 181-182.

20.Teichmann J, Weickert U, Riemann JF. Gastric fundic gland polyps and colonic polyps - is there a link, really? Eur J Med Res. 2008; 13: 192- 195.

21.Maguire A, Sebestian S, McLoughlin R. Gastric polyps; frequency, types, endoscopic features and association. Endoscopy 2004; 36: 479.

22.Marcial MA, Villafaña M, Hernandez-Denton J, Colon-Pagan JR. Fundic gland polyps: prevalence and clinicopathologic features. Am J Gastroenterol. 1993; 88: 1711-1713.

23.Stolte M, Sticht T, Eidt S, Ebert D, Finkenzeller G. Frequency, location, and age and sex distribution of various types of gastric polyp. Endoscopy. 1994; 26: 659-665.

24.Choudhry U, Boyce HW Jr, Coppola D. Proton pump inhibitorassociated gastric polyps: a retrospective analysis of their frequency, and endoscopic, histologic, and ultrastructural characteristics. Am J Clin Pathol. 1998; 110: 615-621.

25.Weston BR, Helper DJ, Rex DK. Positive predictive value of endoscopic features deemed typical of gastric fundic gland polyps. J Clin Gastroenterol. 2003; 36: 399-402.

26.Attard T, Kunnath S, Reyes C. preliminary data on the use of chromoendoscopy to detect adenomatous foci within fundic gland polyps in pediatric patients with FAP. Gastrointestinal Endosc. 2003; 57.

27.el-Zimaity HM, Jackson FW, Graham DY. Fundic gland polyps developing during omeprazole therapy. Am J Gastroenterol. 1997; 92: 1858-1860.

28.Nakamura S, Matsumoto T, Kobori Y, Iida M. Impact of Helicobacter pylori infection and mucosal atrophy on gastric lesions in patients with familial adenomatous polyposis. Gut. 2002; 51: 485-489. 29.Nishiura M, Hirota T, Itabashi M, Ushio K, Yamada T, Oguro Y. A clinical and histopathological study of gastric polyps in familial polyposis coli. Am J Gastroenterol. 1984; 79: 98-103.

30.Odze RD, Marcial MA, Antonioli D. Gastric fundic gland polyps: a morphological study including mucin histochemistry, stereometry, and MIB-1 immunohistochemistry. Hum Pathol. 1996; 27: 896-903.

31.Abraham SC, Nobukawa B, Giardiello FM, Hamilton SR, Wu TT. Sporadic fundic gland polyps: common gastric polyps arising through activating mutations in the beta-catenin gene. Am J Pathol. 2001; 158: 1005-1010.

32.Abraham SC. Gastric polyps: classification and meaning. Path Case Rev. 2002; 7: 2-11.

33.Wu TT, Kornacki S, Rashid A, Yardley JH, Hamilton SR. Dysplasia and dysregulation of proliferation in foveolar and surface epithelia of fundic gland polyps from patients with familial adenomatous polyposis. Am J Surg Pathol. 1998; 22: 293-298.

34.Declich P, Carneiro F, Omazzi B, Tavani E, Grassini R, Ferrara A, et al. Immunophenotype of sporadic and familial adenomatous polyposis associated fundic gland polyps: a mucin and MIB1 study. Pol J Pathol. 2006; 57: 141-148.

35.Abraham SC, Park SJ, Cruz-Correa M, Houlihan PS, Half EE, Lynch PM, et al. Frequent CpG island methylation in sporadic and syndromic gastric fundic gland polyps. Am J Clin Pathol. 2004; 122: 740-746. 36.Torbenson M, Lee JH, Cruz-Correa M, Ravich W, Rastgar K, Abraham SC, et al. Sporadic fundic gland polyposis: a clinical, histological, and molecular analysis. Mod Pathol. 2002; 15: 718-723.

37.Abraham SC, Nobukawa B, Giardiello FM, Hamilton SR, Wu TT. Fundic gland polyps in familial adenomatous polyposis: neoplasms with frequent somatic adenomatous polyposis coli gene alterations. Am J Pathol. 2000; 157: 747-754.

38.Bülow S. Clinical features in familial polyposis coli. Results of the Danish Polyposis Register. Dis Colon Rectum. 1986; 29: 102-107.

39.Alexander JR, Andrews JM, Buchi KN, Lee RG, Becker JM, Burt RW. High prevalence of adenomatous polyps of the duodenal papilla in familial adenomatous polyposis. Dig Dis Sci. 1989; 34: 167-170. 40.Groves C, Lamlum H, Crabtree M, Williamson J, Taylor C, Bass S, et al. Mutation Cluster Region, Association Between Germline and Somatic Mutations and Genotype-Phenotype Correlation in Upper Gastrointestinal Familial Adenomatous Polyposis. Am J Pathol 2002; 160: 2055–2061.

41.Bianchi LK, Burke CA, Bennett AE, Lopez R, Hasson H, Church JM. Fundic gland polyp dysplasia is common in familial adenomatous polyposis. Clin Gastroenterol Hepatol. 2008; 6: 180-185.

42.Garrean S, Hering J, Saied A, Jani J, Espat NJ. Gastric adenocarcinoma arising from fundic gland polyps in a patient with familial adenomatous polyposis syndrome. Am Surg. 2008; 74: 79-83.

43.Carmack SW, Genta RM, Graham DY, Lauwers GY. Management of gastric polyps: a pathology-based guide for gastroenterologists. Nat Rev Gastroenterol Hepatol. 2009; 6: 331-341.

44.Spigelman AD, Talbot IC, Penna C, Nugent KP, Phillips RK, Costello C, et al. Evidence for adenoma-carcinoma sequence in the duodenum of patients with familial adenomatous polyposis. The Leeds Castle Polyposis Group (Upper Gastrointestinal Committee). J Clin Pathol. 1994; 47: 709-710

Ezzedine S, Dumas R, Gonzalez JM, Vitton V, Barthet M, et al. (2014) Premalignant Potential of Fundic Gland Polyps-associated Familial Polyposis Syndromes. JSM Gastroenterol Hepatol 2(4): 1035.

Received : 25 Nov 2014
Accepted : 26 Nov 2014
Published : 28 Nov 2014
Journals
Annals of Otolaryngology and Rhinology
ISSN : 2379-948X
Launched : 2014
JSM Schizophrenia
Launched : 2016
Journal of Nausea
Launched : 2020
JSM Internal Medicine
Launched : 2016
JSM Hepatitis
Launched : 2016
JSM Oro Facial Surgeries
ISSN : 2578-3211
Launched : 2016
Journal of Human Nutrition and Food Science
ISSN : 2333-6706
Launched : 2013
JSM Regenerative Medicine and Bioengineering
ISSN : 2379-0490
Launched : 2013
JSM Spine
ISSN : 2578-3181
Launched : 2016
Archives of Palliative Care
ISSN : 2573-1165
Launched : 2016
JSM Nutritional Disorders
ISSN : 2578-3203
Launched : 2017
Annals of Neurodegenerative Disorders
ISSN : 2476-2032
Launched : 2016
Journal of Fever
ISSN : 2641-7782
Launched : 2017
JSM Bone Marrow Research
ISSN : 2578-3351
Launched : 2016
JSM Mathematics and Statistics
ISSN : 2578-3173
Launched : 2014
Journal of Autoimmunity and Research
ISSN : 2573-1173
Launched : 2014
JSM Arthritis
ISSN : 2475-9155
Launched : 2016
JSM Head and Neck Cancer-Cases and Reviews
ISSN : 2573-1610
Launched : 2016
JSM General Surgery Cases and Images
ISSN : 2573-1564
Launched : 2016
JSM Anatomy and Physiology
ISSN : 2573-1262
Launched : 2016
JSM Dental Surgery
ISSN : 2573-1548
Launched : 2016
Annals of Emergency Surgery
ISSN : 2573-1017
Launched : 2016
Annals of Mens Health and Wellness
ISSN : 2641-7707
Launched : 2017
Journal of Preventive Medicine and Health Care
ISSN : 2576-0084
Launched : 2018
Journal of Chronic Diseases and Management
ISSN : 2573-1300
Launched : 2016
Annals of Vaccines and Immunization
ISSN : 2378-9379
Launched : 2014
JSM Heart Surgery Cases and Images
ISSN : 2578-3157
Launched : 2016
Annals of Reproductive Medicine and Treatment
ISSN : 2573-1092
Launched : 2016
JSM Brain Science
ISSN : 2573-1289
Launched : 2016
JSM Biomarkers
ISSN : 2578-3815
Launched : 2014
JSM Biology
ISSN : 2475-9392
Launched : 2016
Archives of Stem Cell and Research
ISSN : 2578-3580
Launched : 2014
Annals of Clinical and Medical Microbiology
ISSN : 2578-3629
Launched : 2014
JSM Pediatric Surgery
ISSN : 2578-3149
Launched : 2017
Journal of Memory Disorder and Rehabilitation
ISSN : 2578-319X
Launched : 2016
JSM Tropical Medicine and Research
ISSN : 2578-3165
Launched : 2016
JSM Head and Face Medicine
ISSN : 2578-3793
Launched : 2016
JSM Cardiothoracic Surgery
ISSN : 2573-1297
Launched : 2016
JSM Bone and Joint Diseases
ISSN : 2578-3351
Launched : 2017
JSM Bioavailability and Bioequivalence
ISSN : 2641-7812
Launched : 2017
JSM Atherosclerosis
ISSN : 2573-1270
Launched : 2016
Journal of Genitourinary Disorders
ISSN : 2641-7790
Launched : 2017
Journal of Fractures and Sprains
ISSN : 2578-3831
Launched : 2016
Journal of Autism and Epilepsy
ISSN : 2641-7774
Launched : 2016
Annals of Marine Biology and Research
ISSN : 2573-105X
Launched : 2014
JSM Health Education & Primary Health Care
ISSN : 2578-3777
Launched : 2016
JSM Communication Disorders
ISSN : 2578-3807
Launched : 2016
Annals of Musculoskeletal Disorders
ISSN : 2578-3599
Launched : 2016
Annals of Virology and Research
ISSN : 2573-1122
Launched : 2014
JSM Renal Medicine
ISSN : 2573-1637
Launched : 2016
Journal of Muscle Health
ISSN : 2578-3823
Launched : 2016
JSM Genetics and Genomics
ISSN : 2334-1823
Launched : 2013
JSM Anxiety and Depression
ISSN : 2475-9139
Launched : 2016
Clinical Journal of Heart Diseases
ISSN : 2641-7766
Launched : 2016
Annals of Medicinal Chemistry and Research
ISSN : 2378-9336
Launched : 2014
JSM Pain and Management
ISSN : 2578-3378
Launched : 2016
JSM Women's Health
ISSN : 2578-3696
Launched : 2016
Clinical Research in HIV or AIDS
ISSN : 2374-0094
Launched : 2013
Journal of Endocrinology, Diabetes and Obesity
ISSN : 2333-6692
Launched : 2013
Journal of Substance Abuse and Alcoholism
ISSN : 2373-9363
Launched : 2013
JSM Neurosurgery and Spine
ISSN : 2373-9479
Launched : 2013
Journal of Liver and Clinical Research
ISSN : 2379-0830
Launched : 2014
Journal of Drug Design and Research
ISSN : 2379-089X
Launched : 2014
JSM Clinical Oncology and Research
ISSN : 2373-938X
Launched : 2013
JSM Bioinformatics, Genomics and Proteomics
ISSN : 2576-1102
Launched : 2014
JSM Chemistry
ISSN : 2334-1831
Launched : 2013
Journal of Trauma and Care
ISSN : 2573-1246
Launched : 2014
JSM Surgical Oncology and Research
ISSN : 2578-3688
Launched : 2016
Annals of Food Processing and Preservation
ISSN : 2573-1033
Launched : 2016
Journal of Radiology and Radiation Therapy
ISSN : 2333-7095
Launched : 2013
JSM Physical Medicine and Rehabilitation
ISSN : 2578-3572
Launched : 2016
Annals of Clinical Pathology
ISSN : 2373-9282
Launched : 2013
Annals of Cardiovascular Diseases
ISSN : 2641-7731
Launched : 2016
Journal of Behavior
ISSN : 2576-0076
Launched : 2016
Annals of Clinical and Experimental Metabolism
ISSN : 2572-2492
Launched : 2016
Clinical Research in Infectious Diseases
ISSN : 2379-0636
Launched : 2013
JSM Microbiology
ISSN : 2333-6455
Launched : 2013
Journal of Urology and Research
ISSN : 2379-951X
Launched : 2014
Journal of Family Medicine and Community Health
ISSN : 2379-0547
Launched : 2013
Annals of Pregnancy and Care
ISSN : 2578-336X
Launched : 2017
JSM Cell and Developmental Biology
ISSN : 2379-061X
Launched : 2013
Annals of Aquaculture and Research
ISSN : 2379-0881
Launched : 2014
Clinical Research in Pulmonology
ISSN : 2333-6625
Launched : 2013
Journal of Immunology and Clinical Research
ISSN : 2333-6714
Launched : 2013
Annals of Forensic Research and Analysis
ISSN : 2378-9476
Launched : 2014
JSM Biochemistry and Molecular Biology
ISSN : 2333-7109
Launched : 2013
Annals of Breast Cancer Research
ISSN : 2641-7685
Launched : 2016
Annals of Gerontology and Geriatric Research
ISSN : 2378-9409
Launched : 2014
Journal of Sleep Medicine and Disorders
ISSN : 2379-0822
Launched : 2014
JSM Burns and Trauma
ISSN : 2475-9406
Launched : 2016
Chemical Engineering and Process Techniques
ISSN : 2333-6633
Launched : 2013
Annals of Clinical Cytology and Pathology
ISSN : 2475-9430
Launched : 2014
JSM Allergy and Asthma
ISSN : 2573-1254
Launched : 2016
Journal of Neurological Disorders and Stroke
ISSN : 2334-2307
Launched : 2013
Annals of Sports Medicine and Research
ISSN : 2379-0571
Launched : 2014
JSM Sexual Medicine
ISSN : 2578-3718
Launched : 2016
Annals of Vascular Medicine and Research
ISSN : 2378-9344
Launched : 2014
JSM Biotechnology and Biomedical Engineering
ISSN : 2333-7117
Launched : 2013
Journal of Hematology and Transfusion
ISSN : 2333-6684
Launched : 2013
JSM Environmental Science and Ecology
ISSN : 2333-7141
Launched : 2013
Journal of Cardiology and Clinical Research
ISSN : 2333-6676
Launched : 2013
JSM Nanotechnology and Nanomedicine
ISSN : 2334-1815
Launched : 2013
Journal of Ear, Nose and Throat Disorders
ISSN : 2475-9473
Launched : 2016
JSM Ophthalmology
ISSN : 2333-6447
Launched : 2013
Journal of Pharmacology and Clinical Toxicology
ISSN : 2333-7079
Launched : 2013
Annals of Psychiatry and Mental Health
ISSN : 2374-0124
Launched : 2013
Medical Journal of Obstetrics and Gynecology
ISSN : 2333-6439
Launched : 2013
Annals of Pediatrics and Child Health
ISSN : 2373-9312
Launched : 2013
JSM Clinical Pharmaceutics
ISSN : 2379-9498
Launched : 2014
JSM Foot and Ankle
ISSN : 2475-9112
Launched : 2016
JSM Alzheimer's Disease and Related Dementia
ISSN : 2378-9565
Launched : 2014
Journal of Addiction Medicine and Therapy
ISSN : 2333-665X
Launched : 2013
Journal of Veterinary Medicine and Research
ISSN : 2378-931X
Launched : 2013
Annals of Public Health and Research
ISSN : 2378-9328
Launched : 2014
Annals of Orthopedics and Rheumatology
ISSN : 2373-9290
Launched : 2013
Journal of Clinical Nephrology and Research
ISSN : 2379-0652
Launched : 2014
Annals of Community Medicine and Practice
ISSN : 2475-9465
Launched : 2014
Annals of Biometrics and Biostatistics
ISSN : 2374-0116
Launched : 2013
JSM Clinical Case Reports
ISSN : 2373-9819
Launched : 2013
Journal of Cancer Biology and Research
ISSN : 2373-9436
Launched : 2013
Journal of Surgery and Transplantation Science
ISSN : 2379-0911
Launched : 2013
Journal of Dermatology and Clinical Research
ISSN : 2373-9371
Launched : 2013
Annals of Nursing and Practice
ISSN : 2379-9501
Launched : 2014
JSM Dentistry
ISSN : 2333-7133
Launched : 2013
Author Information X