Loading

JSM General Surgery Cases and Images

A Closer Look at Cosmetic Plastic Procedures and Implants, Its Imaging Techniques, Detection and Management of Potential Complications: Radiological Point of View

Perspective | Open Access | Volume 6 | Issue 1

  • 1. Radiology and Medical Imaging Department, Fatima College of Health Sciences, United Arab Emirates
+ Show More - Show Less
Corresponding Authors
Hasina Umra Khan, Radiology and Medical Imaging Department, Fatima College of Health Sciences, Abu Dhabi 3798, United Arab Emirates
Citation

Khan HU, Ali FAA (2024) A Closer Look at Cosmetic Plastic Procedures and Implants, Its Imaging Techniques, Detection and Management of Potential Complications: Radiological Point of View. JSM Gen Surg Cases Images 6(1): 1050.

INTRODUCTION

Consulting the material and products utilized in cosmetic procedures can help the radiologist recognize the diverse shapes and sizes of these materials used not only for breast, buttock, lip, face, skin, calves, chest, arms, and penis augmentation, but also localized materials injected to fill facial lines, nasolabial and melo-labial grooves, or relieve depressed scars. Sometimes, these materials are used for an elusive specific requested result. With the option of having images of almost any organ with or without a contrast agent as an essential and unspecialized exam in a modern emergency healthcare service, the habit of analyzing these patients and knowing the many complications that can arise is crucial in radiology as the presence of these implants impact the radiological results. Nevertheless, Imaging of cosmetic plastic procedures and implants in the body is important in a variety of scenarios, including the initial evaluation of patients with cosmetic complaints, possible complications of recent cosmetic procedures, and surveillance for complications of older nonabsorbable implants. There is a great spectrum of foreign materials that may be found on the imaging studies of these patients, and it is important to recognize if the implant is recent and absorbable. We should expect edema and induration from the recent inflammatory response to the material, as well as the expected time span of the implant presence, to avoid further invasive workup or surgery.

IMAGING IN COSMETIC PLASTIC PROCEDURES

In cosmetic plastic procedures, various imaging techniques are employed to evaluate and monitor the outcomes of aesthetic interventions. These imaging modalities include X-rays, ultrasound, Computed Tomography (CT), Magnetic Resonance Imaging (MRI), and Positron Emission Tomography (PETCT) [1]. These techniques are used to identify and assess the appearance of facial aesthetic procedures or fillers, as well as their potential complications, such as foreign-body reactions [2]. For instance, CT and MRI can be used to evaluate the configuration and attenuation of solid silicone implants, which typically appear ellipsoid in shape, hyperattenuating on CT images, and hypointense on T1- and T2-weighted MR images [3]. Ultrasound is particularly useful in evaluating the sonographic outcomes of common cosmetic and plastic surgery procedures [4]. Additionally, imaging techniques can incidentally detect the results of facial dermal injections or injectable facial fillers [5]. These imaging tools enable healthcare professionals to visualize internal structures, facilitating diagnosis, treatment planning, and post-operative monitoring.

Imaging considerations for different types of cosmetic procedures

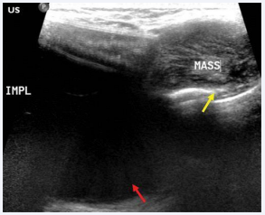
Imaging of implants in the body, including breast implants, facial implants, and buttock implants, is a crucial aspect of evaluating their complications or evidence of failure [3]. Breast implant imaging has been extensively discussed in the literature, with Magnetic Resonance Imaging (MRI) being used to evaluate silicone implant rupture. Facial implants, including cosmetic facial implants and grafts, can also be imaged to assess their expected and complicated outcomes [6]. Additionally, body implants, such as muscular enhancement procedures like silicone arm, calf, and pectoral implants, can be imaged using various modalities. High-resolution ultrasound can be used to screen for breast implant concerns as seen in figure 1 [7].

Implant-associated fibromatosis in a 49-year-old woman with a history of risk-reducing bilateral mastectomy for lobular carcinsoma in situ and silicone implant reconstruction with a palpable mass in the right inframammary region. (a) US image demonstrates a heterogeneously hypoechoic mass (yellow arrow) abutting the implant (red arrow).

Figure 1: Implant-associated fibromatosis in a 49-year-old woman with a history of risk-reducing bilateral mastectomy for lobular carcinsoma in situ and silicone implant reconstruction with a palpable mass in the right inframammary region. (a) US image demonstrates a heterogeneously hypoechoic mass (yellow arrow) abutting the implant (red arrow).

Several complications have been indicated to be associated with the body implants. Also, there are different ways of detection and management of implant complications, specifically focusing on infection, rupture, and capsular contracture.

BREAST AUGMENTATION

Breast augmentation, also known as augmentation mammoplasty, is a surgical procedure designed to enhance the size and shape of a woman’s breasts. This is typically achieved through the insertion of breast implants or fat transfer. The goal of breast augmentation is to improve the overall aesthetic appearance of the breasts, boosting self-confidence and selfesteem.

RHINOPLASTY

Rhinoplasty, commonly referred to as a “nose job,” is a surgical procedure aimed at reshaping the nose to improve its function and appearance. This may involve modifying the shape of the nasal bridge, tip, or nostrils to achieve a more harmonious facial balance. Rhinoplasty can also help alleviate breathing difficulties or correct nasal deformities.

LIPOSUCTION

Liposuction is a cosmetic surgical procedure that removes excess fat from specific areas of the body, such as the abdomen, thighs, arms, or neck. This is typically achieved using a cannula and suction device to remove unwanted fat cells. Liposuction can help improve body contours, reduce the appearance of cellulite, and enhance overall body shape.

FACELIFT

A facelift, also known as rhytidectomy, is a surgical procedure designed to rejuvenate the appearance of the face and neck. This involves the removal of excess skin, tightening of underlying tissues, and repositioning of facial muscles to reduce signs of aging, such as wrinkles, fine lines, and sagging skin.

The goal of a facelift is to restore a more youthful and refreshed appearance.

Please let me know if you’d like me to provide more information on any of these procedures or if you have any specific questions.

Infection caused by implants

Implant-related infections are a significant concern in the medical field, with a reported incidence rate ranging from 1% to 5% [8]. Early detection and prompt management are crucial to prevent severe consequences, including implant failure and patient morbidity. The following signs and symptoms may indicate an implant infection:

• Erythema, swelling, or warmth around the implant site.

• Purulent discharge or abscess formation.

• Fever or chills.

• Pain or tenderness at the implant site.

• Delayed wound healing or dehiscence.

To manage implant infections, a multidisciplinary approach is essential, involving surgeons, infectious disease specialists, and other healthcare professionals. Treatment options may include:

• Antibiotic therapy, tailored to the causative organism.

• Implant removal, with or without replacement.

• Debridement and irrigation of the affected area.

• Wound care and dressing changes.

Implant rupture

Implant rupture is a rare but potentially catastrophic complication, particularly in breast implant surgery. The reported incidence rate varies depending on the implant type and duration of implantation [9]. Signs and symptoms of implant rupture may include:

• Changes in breast shape or size

• Asymmetry or deformity

• Pain or discomfort

• Swelling or bruising

• Implant deflation or leakage

• Management of implant rupture typically involves surgical intervention, including:

• Implant removal and replacement

• Capsulectomy, if necessary

• Repair of any associated tissue damage

Capsular contracture

Capsular contracture is a common complication of implant surgery, characterized by the formation of a thick, fibrous capsule around the implant. This can lead to implant deformation, pain, and aesthetic dissatisfaction. The Baker grading system is commonly used to classify capsular contracture severity.

Management of capsular contracture may involve:

• Conservative treatment, including massage and compression therapy.

• Surgical intervention, including capsulectomy and implant replacement.

• Use of textured or cohesive gel implants to reduce the risk of capsular contracture.

The detection and management of implant complications require a thorough understanding of the signs, symptoms, and treatment options. A multidisciplinary approach and prompt intervention are essential to prevent severe consequences and ensure optimal patient outcomes.

In a number of situations, including as the initial assessment of patients with cosmetic complaints, potential complications from recent cosmetic surgeries, and monitoring for difficulties from older non-absorbable implants, imaging of cosmetic plastic procedures and implants within the body is crucial. The imaging studies of these individuals may reveal a wide range of foreign materials, and it’s critical to determine whether the implant is new and absorbable. In order to prevent more invasive workup or surgery, we should anticipate edema and induration due to the recent inflammatory response to the material as well as the anticipated duration of the implant presence.

Khan HU, Ali FAA (2024) A Closer Look at Cosmetic Plastic Procedures and Implants, Its Imaging Techniques, Detection and Management of Potential Complications: Radiological Point of View. JSM Gen Surg Cases Images 6(1): 1050.

Received : 10 Jul 2024
Accepted : 23 Jul 2024
Published : 25 Jul 2024
Journals
Annals of Otolaryngology and Rhinology
ISSN : 2379-948X
Launched : 2014
JSM Schizophrenia
Launched : 2016
Journal of Nausea
Launched : 2020
JSM Internal Medicine
Launched : 2016
JSM Hepatitis
Launched : 2016
JSM Oro Facial Surgeries
ISSN : 2578-3211
Launched : 2016
Journal of Human Nutrition and Food Science
ISSN : 2333-6706
Launched : 2013
JSM Regenerative Medicine and Bioengineering
ISSN : 2379-0490
Launched : 2013
JSM Spine
ISSN : 2578-3181
Launched : 2016
Archives of Palliative Care
ISSN : 2573-1165
Launched : 2016
JSM Nutritional Disorders
ISSN : 2578-3203
Launched : 2017
Annals of Neurodegenerative Disorders
ISSN : 2476-2032
Launched : 2016
Journal of Fever
ISSN : 2641-7782
Launched : 2017
JSM Bone Marrow Research
ISSN : 2578-3351
Launched : 2016
JSM Mathematics and Statistics
ISSN : 2578-3173
Launched : 2014
Journal of Autoimmunity and Research
ISSN : 2573-1173
Launched : 2014
JSM Arthritis
ISSN : 2475-9155
Launched : 2016
JSM Head and Neck Cancer-Cases and Reviews
ISSN : 2573-1610
Launched : 2016
JSM Anatomy and Physiology
ISSN : 2573-1262
Launched : 2016
JSM Dental Surgery
ISSN : 2573-1548
Launched : 2016
Annals of Emergency Surgery
ISSN : 2573-1017
Launched : 2016
Annals of Mens Health and Wellness
ISSN : 2641-7707
Launched : 2017
Journal of Preventive Medicine and Health Care
ISSN : 2576-0084
Launched : 2018
Journal of Chronic Diseases and Management
ISSN : 2573-1300
Launched : 2016
Annals of Vaccines and Immunization
ISSN : 2378-9379
Launched : 2014
JSM Heart Surgery Cases and Images
ISSN : 2578-3157
Launched : 2016
Annals of Reproductive Medicine and Treatment
ISSN : 2573-1092
Launched : 2016
JSM Brain Science
ISSN : 2573-1289
Launched : 2016
JSM Biomarkers
ISSN : 2578-3815
Launched : 2014
JSM Biology
ISSN : 2475-9392
Launched : 2016
Archives of Stem Cell and Research
ISSN : 2578-3580
Launched : 2014
Annals of Clinical and Medical Microbiology
ISSN : 2578-3629
Launched : 2014
JSM Pediatric Surgery
ISSN : 2578-3149
Launched : 2017
Journal of Memory Disorder and Rehabilitation
ISSN : 2578-319X
Launched : 2016
JSM Tropical Medicine and Research
ISSN : 2578-3165
Launched : 2016
JSM Head and Face Medicine
ISSN : 2578-3793
Launched : 2016
JSM Cardiothoracic Surgery
ISSN : 2573-1297
Launched : 2016
JSM Bone and Joint Diseases
ISSN : 2578-3351
Launched : 2017
JSM Bioavailability and Bioequivalence
ISSN : 2641-7812
Launched : 2017
JSM Atherosclerosis
ISSN : 2573-1270
Launched : 2016
Journal of Genitourinary Disorders
ISSN : 2641-7790
Launched : 2017
Journal of Fractures and Sprains
ISSN : 2578-3831
Launched : 2016
Journal of Autism and Epilepsy
ISSN : 2641-7774
Launched : 2016
Annals of Marine Biology and Research
ISSN : 2573-105X
Launched : 2014
JSM Health Education & Primary Health Care
ISSN : 2578-3777
Launched : 2016
JSM Communication Disorders
ISSN : 2578-3807
Launched : 2016
Annals of Musculoskeletal Disorders
ISSN : 2578-3599
Launched : 2016
Annals of Virology and Research
ISSN : 2573-1122
Launched : 2014
JSM Renal Medicine
ISSN : 2573-1637
Launched : 2016
Journal of Muscle Health
ISSN : 2578-3823
Launched : 2016
JSM Genetics and Genomics
ISSN : 2334-1823
Launched : 2013
JSM Anxiety and Depression
ISSN : 2475-9139
Launched : 2016
Clinical Journal of Heart Diseases
ISSN : 2641-7766
Launched : 2016
Annals of Medicinal Chemistry and Research
ISSN : 2378-9336
Launched : 2014
JSM Pain and Management
ISSN : 2578-3378
Launched : 2016
JSM Women's Health
ISSN : 2578-3696
Launched : 2016
Clinical Research in HIV or AIDS
ISSN : 2374-0094
Launched : 2013
Journal of Endocrinology, Diabetes and Obesity
ISSN : 2333-6692
Launched : 2013
Journal of Substance Abuse and Alcoholism
ISSN : 2373-9363
Launched : 2013
JSM Neurosurgery and Spine
ISSN : 2373-9479
Launched : 2013
Journal of Liver and Clinical Research
ISSN : 2379-0830
Launched : 2014
Journal of Drug Design and Research
ISSN : 2379-089X
Launched : 2014
JSM Clinical Oncology and Research
ISSN : 2373-938X
Launched : 2013
JSM Bioinformatics, Genomics and Proteomics
ISSN : 2576-1102
Launched : 2014
JSM Chemistry
ISSN : 2334-1831
Launched : 2013
Journal of Trauma and Care
ISSN : 2573-1246
Launched : 2014
JSM Surgical Oncology and Research
ISSN : 2578-3688
Launched : 2016
Annals of Food Processing and Preservation
ISSN : 2573-1033
Launched : 2016
Journal of Radiology and Radiation Therapy
ISSN : 2333-7095
Launched : 2013
JSM Physical Medicine and Rehabilitation
ISSN : 2578-3572
Launched : 2016
Annals of Clinical Pathology
ISSN : 2373-9282
Launched : 2013
Annals of Cardiovascular Diseases
ISSN : 2641-7731
Launched : 2016
Journal of Behavior
ISSN : 2576-0076
Launched : 2016
Annals of Clinical and Experimental Metabolism
ISSN : 2572-2492
Launched : 2016
Clinical Research in Infectious Diseases
ISSN : 2379-0636
Launched : 2013
JSM Microbiology
ISSN : 2333-6455
Launched : 2013
Journal of Urology and Research
ISSN : 2379-951X
Launched : 2014
Journal of Family Medicine and Community Health
ISSN : 2379-0547
Launched : 2013
Annals of Pregnancy and Care
ISSN : 2578-336X
Launched : 2017
JSM Cell and Developmental Biology
ISSN : 2379-061X
Launched : 2013
Annals of Aquaculture and Research
ISSN : 2379-0881
Launched : 2014
Clinical Research in Pulmonology
ISSN : 2333-6625
Launched : 2013
Journal of Immunology and Clinical Research
ISSN : 2333-6714
Launched : 2013
Annals of Forensic Research and Analysis
ISSN : 2378-9476
Launched : 2014
JSM Biochemistry and Molecular Biology
ISSN : 2333-7109
Launched : 2013
Annals of Breast Cancer Research
ISSN : 2641-7685
Launched : 2016
Annals of Gerontology and Geriatric Research
ISSN : 2378-9409
Launched : 2014
Journal of Sleep Medicine and Disorders
ISSN : 2379-0822
Launched : 2014
JSM Burns and Trauma
ISSN : 2475-9406
Launched : 2016
Chemical Engineering and Process Techniques
ISSN : 2333-6633
Launched : 2013
Annals of Clinical Cytology and Pathology
ISSN : 2475-9430
Launched : 2014
JSM Allergy and Asthma
ISSN : 2573-1254
Launched : 2016
Journal of Neurological Disorders and Stroke
ISSN : 2334-2307
Launched : 2013
Annals of Sports Medicine and Research
ISSN : 2379-0571
Launched : 2014
JSM Sexual Medicine
ISSN : 2578-3718
Launched : 2016
Annals of Vascular Medicine and Research
ISSN : 2378-9344
Launched : 2014
JSM Biotechnology and Biomedical Engineering
ISSN : 2333-7117
Launched : 2013
Journal of Hematology and Transfusion
ISSN : 2333-6684
Launched : 2013
JSM Environmental Science and Ecology
ISSN : 2333-7141
Launched : 2013
Journal of Cardiology and Clinical Research
ISSN : 2333-6676
Launched : 2013
JSM Nanotechnology and Nanomedicine
ISSN : 2334-1815
Launched : 2013
Journal of Ear, Nose and Throat Disorders
ISSN : 2475-9473
Launched : 2016
JSM Ophthalmology
ISSN : 2333-6447
Launched : 2013
Journal of Pharmacology and Clinical Toxicology
ISSN : 2333-7079
Launched : 2013
Annals of Psychiatry and Mental Health
ISSN : 2374-0124
Launched : 2013
Medical Journal of Obstetrics and Gynecology
ISSN : 2333-6439
Launched : 2013
Annals of Pediatrics and Child Health
ISSN : 2373-9312
Launched : 2013
JSM Clinical Pharmaceutics
ISSN : 2379-9498
Launched : 2014
JSM Foot and Ankle
ISSN : 2475-9112
Launched : 2016
JSM Alzheimer's Disease and Related Dementia
ISSN : 2378-9565
Launched : 2014
Journal of Addiction Medicine and Therapy
ISSN : 2333-665X
Launched : 2013
Journal of Veterinary Medicine and Research
ISSN : 2378-931X
Launched : 2013
Annals of Public Health and Research
ISSN : 2378-9328
Launched : 2014
Annals of Orthopedics and Rheumatology
ISSN : 2373-9290
Launched : 2013
Journal of Clinical Nephrology and Research
ISSN : 2379-0652
Launched : 2014
Annals of Community Medicine and Practice
ISSN : 2475-9465
Launched : 2014
Annals of Biometrics and Biostatistics
ISSN : 2374-0116
Launched : 2013
JSM Clinical Case Reports
ISSN : 2373-9819
Launched : 2013
Journal of Cancer Biology and Research
ISSN : 2373-9436
Launched : 2013
Journal of Surgery and Transplantation Science
ISSN : 2379-0911
Launched : 2013
Journal of Dermatology and Clinical Research
ISSN : 2373-9371
Launched : 2013
JSM Gastroenterology and Hepatology
ISSN : 2373-9487
Launched : 2013
Annals of Nursing and Practice
ISSN : 2379-9501
Launched : 2014
JSM Dentistry
ISSN : 2333-7133
Launched : 2013
Author Information X