Loading

JSM General Surgery Cases and Images

Peritoneal pseudomyxoma, a Complication of Appendicular Mucocele: A Case Report

Case Report | Open Access | Volume 6 | Issue 1

  • 1. Department of Visceral and Digestive Surgery, Hassan Ii University Hospital, Fes, Morocco
  • 2. Department of Anatomy and Pathological Cytology, Chu Hassan II, Fes, Morocco
  • 3. Radiology Department, Morocco
+ Show More - Show Less
Corresponding Authors
Serges M, Department of Visceral and Digestive Surgery, Hassan Ii University Hospital, Fes, Morocco
Abstract

Peritoneal pseudomyxoma is a rare disease, classically detected by the discovery of “gelatin” during a laparotomy. Thanks to immunohistochemistry, it is now accepted that its origin is mainly appendicular and not ovarian. It is a “borderline” malignant pathology due to its inevitable persistence and progression in the absence of appropriate therapeutic management: combination of cytoreduction surgery and intraperitoneal perioperative chemotherapy (intraperitoneal chemohyperthermia and/or immediate postoperative intraperitoneal chemotherapy), within specialized centers. Its main prognostic factors are dominated by the importance of the surgical history, the radicality of the cytoreduction and especially by the histopathological grade. We report a case of peritoneal pseudomyxoma detected at the advanced stage whose origin is a ruptured appendicular mucocele disseminated in the peritoneal cavity

Keywords

• Appendix

• LAMN

• Pseudomyxoma peritonei

• CHIP

CITATION

Serges M, Abdellaoui K, Abderrahim A, Toughrail I, Chbani L, et al. (2024) Peritoneal pseudomyxoma, a Complication of Appendicular Mucocele: A Case Report. JSM Gen Surg Cases Images 6(1): 1049.

INTRODUCTION

Peritoneal pseudomyxoma or gelatinous disease of the peritoneum is a rare disease defined by the presence of an abundant gelatinous substance in the abdomen secondary to the rupture of an appendicular mucinous lesion whose cystic macroscopic appearance is mucocele.

Carl Rokitanski was the first to describe an appendicular mucocele in 1842 [1]. Subsequently, in 1884, Werth coined the term PMP [2] in relation to an ovarian tumor. In 1937, Robert Michaelis Von Olshausen, a German gynecologist, hypothesized that epithelial cells from the lining of a ruptured appendicular cyst took root in the peritoneal cavity and continued to secrete gelatinous material leading to PMP [1].

Our observation presents a case of peritoneal pseudomyxoma detected at the advanced stage whose origin is a ruptured appendicular mucocele disseminated in the peritoneal cavity.

OBSERVATION

This is a 69-year-old patient with a history of type II diabetes on insulin who was referred by her treating physician for diffuse abdominal pain at the point of departure of IDF associated with progressive abdominal distension over the past three months.

Clinical examination revealed a patient who was hemodynamically and respiratoryly stable, with a distended abdomen on inspection and a palpable mass at the level of the FID with multiple diffuse, hard and mildly painful parietal nodules and dullness.

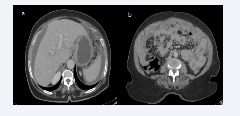
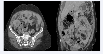
Faced with this clinical picture, an abdominal CT scan with injection of the contrast medium was performed objectifying multiple intraperitoneal tissue nodules in cake above and under mesocolic associated with an effusion of medium abundance with hepatic and splenic impressions achieving an appearance suggestive of peritoneal carcinomatosis (Figures 1-3).

 a). Perihepatic and perisplenic effusion of medium abundance.  b). Nodular peritoneal thickening with epiploic cake suggestive of peritoneal carcinomatosis

Figure 1: a). Perihepatic and perisplenic effusion of medium abundance.

b). Nodular peritoneal thickening with epiploic cake suggestive of peritoneal carcinomatosis

 Multiple intraperitoneal tissue nodules above and below mesocoliaus associated with ascites of moderate abundance suggestive of  diffuse peritoneal carinosis in relation to ruptured appendicular mucocele

Figure 2: Multiple intraperitoneal tissue nodules above and below mesocoliaus associated with ascites of moderate abundance suggestive of diffuse peritoneal carinosis in relation to ruptured appendicular mucocele

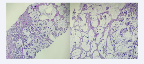
Carcinomatous tumor proliferation arranged in tubes surrounded by puddles of mucin. Tumor cells show cytonuclear atypia, nuclei are  large, irregular, hyperchromatic and nucleolated. Figures of mitosis are noted.

Figure 3: Carcinomatous tumor proliferation arranged in tubes surrounded by puddles of mucin. Tumor cells show cytonuclear atypia, nuclei are large, irregular, hyperchromatic and nucleolated. Figures of mitosis are noted.

On the basis of this clinical and radiological presentation, the case was staffed at the Multidisciplinary consultation meeting and the diagnosis was ruptured and complicated by peritoneal pseudomyxoma. An ultrasound-guided biopsy of the peritoneal nodules was performed to confirm the diagnosis of mucinous cystadenocarcinoma.

The Multidisciplinary consultation meeting decision was to do Hyperthermic Intraperitoneal Chemotherapy (CHIP).

Our patient was referred to a national cancer center in Rabat for further treatment (CHIP) since it is not applicable in our structure.

DISCUSSION

The Appendicular Mucocele (AD) is a distended, mucus- filled appendix in the shape of a sac. It is observed in 0.2-0.7% of appendectomies [2]. This distension may or may not be of tumor origin. It may be a retentional cyst following obstruction by stercoris, inflammatory stenosis, or extrinsic compression.

Other causes include epithelial villous hyperplasia, mucinous cystadenoma, and mucinous cystadenocarcinoma. In half of the cases, it is revealed by chronic pain of the right iliac fossa. Its most formidable complication is its rupture in the peritoneum (5 to 15% of cases): pseudoperitoneal myxoma [3].

Peritoneal Pseudomyxoma (PMP) is a rare peritoneal malignancy, most often resulting from a perforated epithelial tumor of the appendix. Its incidence is estimated at one to three per million inhabitants per year [3]. PMP, also known as “jelly belly,” is characterized by diffuse progressive mucinous ascites.

Its clinical presentation is variable and non-specific. The clinical presentation may manifest as acute or chronic abdominal pain localized to the FID or by a palpable mass, but most often it is asymptomatic, discovered incidentally on imaging or during a complication [4].

Also known as gelatinous peritoneal disease, it includes a spectrum of peritoneal lesions characterized by the accumulation of mucin that can be associated with a variable amount of more or less differentiated epithelial cells [5].

Complete cytoreduction   surgery   followed   by   CHIP   is the reference treatment for peritoneal pseudomyxoma, recommended by a consensus of international experts in 2008 [6]. The aim of this treatment is to completely remove the peritoneal disease; only the areas affected by the disease are resected according to the recommendations of Jacquet and Sugarbaker [7]. These are usually extensive operations, requiring numerous organ resections, with an average operating time of between 8 and 10 hours.

The principle of CHIP is based on:

  • complete resection of all visible peritoneal lesions;
  • combined with a hyperthermic bath of intraperitoneal chemotherapy.
PATHOPHYSIOLOGY

The pathophysiology of peritoneal pseudomyxoma explains its topography [8]. In fact, at the early stage, the gelatinous substance located in the mucocele distributes locally to the rupture site and carries out a proximity inoculation. This gelatin contains mucin or even epithelial cells, more or less atypical, which will continue to proliferate and produce mucin in the peritoneum, first locally and then throughout the abdominal cavity [9].

This diffusion in the peritoneum results in a true mucinous ascites with multiple implantations of mucinous and epithelial deposits on the peritoneum. Retroperitoneum may be affected in retrocecal appendage or during surgical inoculation [10].

Peritoneal dissemination of mucinous lesions occurs by redistribution [9].

RADIOLOGICAL PRESENTATION

The peritoneal pseudomyxoma is studied according   to the different imaging modalities On ultrasound, it takes on a hypoechoic appearance, associated with hyperechoic   septa. Its gelatinous character makes it not very mobile unlike other ascites [11]. On CT scan [12], it appears heterogeneous, rather hypo-dense in the form of lobules whose septa are enhanced by iodinated contrast medium and associated with curvilinear calcifications. The phenomena of peritoneal distribution, proximity and redistribution guide its location. The sites of mesenteric folds as well as the areas of attachment of the intestinal surfaces to the retroperitoneum should be carefully explored. In particular, a thickening of the wall of these loops is sought. Its good spatial resolution allows for good visualization of peritoneal nodules, and images of impressions, scalloping, liver and splenic. The infiltration of the greater omentum appears rather hyperdense and nodular, Later, the epiploic cake appears as a mass of tissue density with polylobed and irregular contours.

HISTOLOGY

Histologically, B. Ronnett’s classification distinguishes three main histological types of peritoneal pseudomyxoma, based on survival data from a series of patients [13]

  • Disseminated peritoneal adenomucinosis: Peritoneal lesions consist of puddles of abundant extracellular mucin without or with few, minimally or moderately atypical, mucinous epithelial cells and low mitotic activity. The initial lesion is a mucinous adenoma of the appendix.
  • Peritoneal mucinous carcinomatosis: peritoneal lesions include extracellular mucin associated with more abundant epithelial clusters, exhibiting cytoarchitectural characteristics of carcinoma with high mitotic activity. The initial lesion is appendicular mucinous adenocarcinoma [14]. Peritoneal mucinous carcinomatosis with intermediate appearances, CMP-I or with discordant aspects, CMP-D:

For CMP-I it is a combination of adenomucinosis lesions and rare areas of well-differentiated adenocarcinoma, the initial lesion being mucinous adenocarcinoma of the appendix with associated adenoma lesion.

For CMP-D, these are peritoneal lesions of mucinous adenocarcinoma, with the initial appendicular lesion being a mucinous adenoma or intramucosal adenocarcinoma without true invasive carcinoma.

The prognosis of the disease is directly correlated with the histological type. Disseminated peritoneal adenomucinosis, AMPD of relatively benign course, is accompanied by a survival greater than 80% at 10 years. Survival drops to less than 60% at 3 years for intermediate CMP-I forms. For malignant forms of mucinous peritoneal carcinomatosis CMP, the evolution is serious with less than 10% survival at 3 years [13].

Treatment

There are essentially two main types of surgical management of PMP: multiple surgical “debulking” and Cytoreduction Surgery (CRS) with perioperative intraperitoneal chemotherapy: hyperthermic intraperitoneal chemotherapy (HIPC) with or without Immediate Postoperative Intraperitoneal Chemotherapy (IPPIC).

Surgical debulking

The goal of surgical debulking is to remove as much gelatin and tumor formations as possible by dissection generally limited to a right hemicolectomy, a partial resection of the greater omentum, and for women, a hysterectomy with bilateral salpingo-oophorectomy.

As this “debulking” is more often incomplete, the disease persists and leads irremediably to death. Symptomatic recurrences in the form of bowel obstruction, abdominal pain or abdominal distension are treated with further debulking.

Each reoperation becomes more difficult (due to the numerous adhesions), more ineffective (due to the tumor cell trap phenomenon) and more at risk of complications such as enterotomies, digestive fistula, postoperative peritonitis, etc [15].

Cytoreduction surgery and perioperative intraperitoneal chemotherapy

Most centers specializing in the therapeutic management of PMP recommend CRC plus CHIP with or without CIPPI [16-18].

CRC consists of resecting any visible tumor formation by performing peritonectomy procedures. The most frequently required resections are: resection of the large and minor omentum, peritonectomy of the right and left diaphragmatic cupolas, anterior peritonectomy, peritonectomy of the parietal peritoneum of the cul de sac of Douglas (with or without resection of the rectosigmoid), splenectomy, cholecystectomy, and antrectomy.

Not all of these procedures are carried out systematically. They are only performed in the event of tumor invasion of these organs. It should be noted that in addition to these surgical procedures, a right hemicolectomy and a hysterectomy with bilateral salpingo-oophorectomy in women are recommended. The goal of CRC is to resect any visible tumor leaving only tumor nodules less than 2.5 mm in diameter.

At the end of the surgical procedure, a CHIP is then started for a duration varying from 30 to 90 minutes [16-18]. The chemotherapeutic agents used in CHIP vary by centre: most commonly mitomycin C and cisplatin [19-23] and oxaliplatin. Some centers additionally administer CIPPI for five days with 5-FU [19].

CONCLUSION

Significant progress has been made in recent years in the understanding of this rare disease that is Pseudoperitoneal Myxoma. Despite its name, PMP remains a lethal disease in the short or long term and must be treated appropriately. CRC with CHIP appears to be the treatment recommended and preferred by most experienced centers. A rigorous selection of surgical candidates by a surgical team experienced in the management of such patients is the guarantee of greater success.

Conflicts of Interest

The Authors declare no conflicts of interest in relation to this study.

REFERENCES
  1. Morera-Ocon FJ, Navarro-Campoy C. History of pseudomyxoma peritonei from its origin to the first decades of the twenty-first century. World J Gastrointest Surg. 2019; 11: 358–364.
  2. Sharma P, Soin P, Chugh M, Goyal P. Dilated appendix: Is there more to it? Case report and brief review of literature with radiologic- pathological correlation. J Clin Imaging Sci. 2019; 9: 9.
  3. Rizvi SA, Syed W, Shergill R. Approach to pseudomyxoma peritonei. World J Gastrointest Surg. 2018; 10: 49-56.
  4. Houlzé-Laroye C, Eveno C. Low-grade appendiceal mucinous neoplasms with bowel obstruction. Pleura Peritoneum. 2019; 4: 20190020.
  5. Taourel P, Baud C, Lesnik A, Guen V.L, Pujol J, Bruel J, et al. Le peritoine acteur de la pathologie abdominale. J Radiol. 2004; 85: 574-590.
  6. Moran B, Baratti D, Yan TD, Kusamura S, Deraco M. Consensus statement on the loco-regional treatment of appendiceal mucinous neoplasms with peritoneal dissemination (Pseudomyxoma peritonei). J Surg Oncol. 2008; 98: 277-282.
  7. Jacquet P, Sugarbaker PH. Current methodologies for clinical assessment of patients with peritoneal carcinomatosis. J Exp Clin Cancer Res. 1996; 15: 49-58.
  8. Moran BJ, Cecil TD. The ethiology, clinical presentation and management of Pseudomyxoma peritonei. Surg oncol Clin N Am. 2003; 12: 585-603.
  9. Hemet J, Lemoine F, Irimescu D. Le Pseudomyxome extra peritoneal. Ann Pathol. 1998; 18: 137-140.
  10. Sugarbaker PH. Pseudomyxome peritonei: A cancer whose biology is characterized by a redistribuction phenomen. Ann Surg. 1994; 219: 109-111.
  11. Loungnarath R, Causeret S, Brigand C, Gilly FN, Glehen O. Pseudomyxome peritoneal ou maladie gelatineuse du peritoine: Nouveaux concepts et nouvelle prise en charge. Ann Chir. 2005; 130: 63-69.
  12. Sharma P, Soin P, Chugh M, Goyal P. Dilated appendix: Is there more to it? Case report and brief review of literature with radiologic- pathological correlation. J Clin Imaging Sci. 2019; 9: 9.
  13. Ronnett BM, Zahn CM, Kurman RJ, Kass ME, Sugarbaker PH, Shmookler BM, et al. Disseminated peritoneal adenomucinosis and peritoneal mucinous carcinomatosis. Am J Surg Pathol. 1995; 19: 1390-1408.
  14. Miner TJ, Shia J, Jaques DP, Klimstra DS, Brennan MF, Coit DG, et al. Long-term survival following treatment of Pseudomyxoma peritonei: An analysis of surgical therapy. Ann Surg. 2005; 241: 300-308.
  15. 15. Gough DB, Donohue JH, Schutt AJ, Gonchoroff N, Goellner JR, Wilson TO, et al. Pseudomyxoma peritonei : Long-term patient survival with an agressive regional approach. Ann Surg. 1994; 219: 112–119.
  16. Witkamp AJ, de Bree E, Kaag MM, Van Slooten GW, Van Coevorden F, Zoetmulder FA, et al. Extensive surgical cytoreduction and intraoperative hyperthermic intraperitoneal chemotherapy in patients with Pseudomyxoma peritonei. Br J Surg. 2001; 88: 458-463.
  17. Elias D, Laurent S, Antoun S, Duvillard P, Ducreux M, Pocard M, et al. Pseudomyxoma peritonei treated with complete resection and immediate intraperitoneal chemotherapy. Gastroenterol Clin Biol. 2003; 27: 407-412.
  18. Sugarbaker PH, Chang D. Results of treatment of 385 patients with peritoneal surface spread of appendiceal malignancy. Ann Surg Oncol. 1999; 6: 727–731.
  19. Chua TC, Chong CH, Liauw W, Zhao J, Morris DL. Inflammatory markers in blood and serum tumor markers predict survival in patients with epithelial appendiceal neoplasms undergoing surgical cytoreduction and intraperitoneal chemotherapy. Ann Surg. 2012; 256: 342-349.
  20. Chua TC, Liauw W, Morris DL. Early recurrence of pseudomyxoma peritonei following treatment failure of cytoreductive surgery and perioperative intraperitoneal chemotherapy is indicative of a poor survival outcome. Int J Colorectal Dis. 2012; 27: 381-389.
  21. Sugarbaker PH. Peritonectomy procedures. Ann Surg. 1995; 221: 29- 42.
  22. Deraco M, Gronchi A, Mazzaferro V, Inglese MG, Pennacchioli E, Kusamura S,   et   al.   Feasability   of   peritonectomy   associated with intraperitoneal hyperthermic perfusion in patients with Pseudomyxoma peritonei. Tumori. 2002; 88: 370–375.
  23. Loungnarath R, Causeret S, Bossard N, Sayag-Beaujard AC, Brigand C, Gilly FN, et al: Cytoreductive surgery with intraperitoneal hyperthermic chemotherapy for the treatment of Pseudomyxoma peritonei : A prospective study. Dis Colon rectum. 2005; 48: 1372- 1379.

Serges M, Abdellaoui K, Abderrahim A, Toughrail I, Chbani L, et al. (2024) Peritoneal pseudomyxoma, a Complication of Appendicular Mucocele: A Case Report. JSM Gen Surg Cases Images 6(1): 1049.

Received : 20 Mar 2024
Accepted : 04 Apr 2024
Published : 06 Apr 2024
Journals
Annals of Otolaryngology and Rhinology
ISSN : 2379-948X
Launched : 2014
JSM Schizophrenia
Launched : 2016
Journal of Nausea
Launched : 2020
JSM Internal Medicine
Launched : 2016
JSM Hepatitis
Launched : 2016
JSM Oro Facial Surgeries
ISSN : 2578-3211
Launched : 2016
Journal of Human Nutrition and Food Science
ISSN : 2333-6706
Launched : 2013
JSM Regenerative Medicine and Bioengineering
ISSN : 2379-0490
Launched : 2013
JSM Spine
ISSN : 2578-3181
Launched : 2016
Archives of Palliative Care
ISSN : 2573-1165
Launched : 2016
JSM Nutritional Disorders
ISSN : 2578-3203
Launched : 2017
Annals of Neurodegenerative Disorders
ISSN : 2476-2032
Launched : 2016
Journal of Fever
ISSN : 2641-7782
Launched : 2017
JSM Bone Marrow Research
ISSN : 2578-3351
Launched : 2016
JSM Mathematics and Statistics
ISSN : 2578-3173
Launched : 2014
Journal of Autoimmunity and Research
ISSN : 2573-1173
Launched : 2014
JSM Arthritis
ISSN : 2475-9155
Launched : 2016
JSM Head and Neck Cancer-Cases and Reviews
ISSN : 2573-1610
Launched : 2016
JSM Anatomy and Physiology
ISSN : 2573-1262
Launched : 2016
JSM Dental Surgery
ISSN : 2573-1548
Launched : 2016
Annals of Emergency Surgery
ISSN : 2573-1017
Launched : 2016
Annals of Mens Health and Wellness
ISSN : 2641-7707
Launched : 2017
Journal of Preventive Medicine and Health Care
ISSN : 2576-0084
Launched : 2018
Journal of Chronic Diseases and Management
ISSN : 2573-1300
Launched : 2016
Annals of Vaccines and Immunization
ISSN : 2378-9379
Launched : 2014
JSM Heart Surgery Cases and Images
ISSN : 2578-3157
Launched : 2016
Annals of Reproductive Medicine and Treatment
ISSN : 2573-1092
Launched : 2016
JSM Brain Science
ISSN : 2573-1289
Launched : 2016
JSM Biomarkers
ISSN : 2578-3815
Launched : 2014
JSM Biology
ISSN : 2475-9392
Launched : 2016
Archives of Stem Cell and Research
ISSN : 2578-3580
Launched : 2014
Annals of Clinical and Medical Microbiology
ISSN : 2578-3629
Launched : 2014
JSM Pediatric Surgery
ISSN : 2578-3149
Launched : 2017
Journal of Memory Disorder and Rehabilitation
ISSN : 2578-319X
Launched : 2016
JSM Tropical Medicine and Research
ISSN : 2578-3165
Launched : 2016
JSM Head and Face Medicine
ISSN : 2578-3793
Launched : 2016
JSM Cardiothoracic Surgery
ISSN : 2573-1297
Launched : 2016
JSM Bone and Joint Diseases
ISSN : 2578-3351
Launched : 2017
JSM Bioavailability and Bioequivalence
ISSN : 2641-7812
Launched : 2017
JSM Atherosclerosis
ISSN : 2573-1270
Launched : 2016
Journal of Genitourinary Disorders
ISSN : 2641-7790
Launched : 2017
Journal of Fractures and Sprains
ISSN : 2578-3831
Launched : 2016
Journal of Autism and Epilepsy
ISSN : 2641-7774
Launched : 2016
Annals of Marine Biology and Research
ISSN : 2573-105X
Launched : 2014
JSM Health Education & Primary Health Care
ISSN : 2578-3777
Launched : 2016
JSM Communication Disorders
ISSN : 2578-3807
Launched : 2016
Annals of Musculoskeletal Disorders
ISSN : 2578-3599
Launched : 2016
Annals of Virology and Research
ISSN : 2573-1122
Launched : 2014
JSM Renal Medicine
ISSN : 2573-1637
Launched : 2016
Journal of Muscle Health
ISSN : 2578-3823
Launched : 2016
JSM Genetics and Genomics
ISSN : 2334-1823
Launched : 2013
JSM Anxiety and Depression
ISSN : 2475-9139
Launched : 2016
Clinical Journal of Heart Diseases
ISSN : 2641-7766
Launched : 2016
Annals of Medicinal Chemistry and Research
ISSN : 2378-9336
Launched : 2014
JSM Pain and Management
ISSN : 2578-3378
Launched : 2016
JSM Women's Health
ISSN : 2578-3696
Launched : 2016
Clinical Research in HIV or AIDS
ISSN : 2374-0094
Launched : 2013
Journal of Endocrinology, Diabetes and Obesity
ISSN : 2333-6692
Launched : 2013
Journal of Substance Abuse and Alcoholism
ISSN : 2373-9363
Launched : 2013
JSM Neurosurgery and Spine
ISSN : 2373-9479
Launched : 2013
Journal of Liver and Clinical Research
ISSN : 2379-0830
Launched : 2014
Journal of Drug Design and Research
ISSN : 2379-089X
Launched : 2014
JSM Clinical Oncology and Research
ISSN : 2373-938X
Launched : 2013
JSM Bioinformatics, Genomics and Proteomics
ISSN : 2576-1102
Launched : 2014
JSM Chemistry
ISSN : 2334-1831
Launched : 2013
Journal of Trauma and Care
ISSN : 2573-1246
Launched : 2014
JSM Surgical Oncology and Research
ISSN : 2578-3688
Launched : 2016
Annals of Food Processing and Preservation
ISSN : 2573-1033
Launched : 2016
Journal of Radiology and Radiation Therapy
ISSN : 2333-7095
Launched : 2013
JSM Physical Medicine and Rehabilitation
ISSN : 2578-3572
Launched : 2016
Annals of Clinical Pathology
ISSN : 2373-9282
Launched : 2013
Annals of Cardiovascular Diseases
ISSN : 2641-7731
Launched : 2016
Journal of Behavior
ISSN : 2576-0076
Launched : 2016
Annals of Clinical and Experimental Metabolism
ISSN : 2572-2492
Launched : 2016
Clinical Research in Infectious Diseases
ISSN : 2379-0636
Launched : 2013
JSM Microbiology
ISSN : 2333-6455
Launched : 2013
Journal of Urology and Research
ISSN : 2379-951X
Launched : 2014
Journal of Family Medicine and Community Health
ISSN : 2379-0547
Launched : 2013
Annals of Pregnancy and Care
ISSN : 2578-336X
Launched : 2017
JSM Cell and Developmental Biology
ISSN : 2379-061X
Launched : 2013
Annals of Aquaculture and Research
ISSN : 2379-0881
Launched : 2014
Clinical Research in Pulmonology
ISSN : 2333-6625
Launched : 2013
Journal of Immunology and Clinical Research
ISSN : 2333-6714
Launched : 2013
Annals of Forensic Research and Analysis
ISSN : 2378-9476
Launched : 2014
JSM Biochemistry and Molecular Biology
ISSN : 2333-7109
Launched : 2013
Annals of Breast Cancer Research
ISSN : 2641-7685
Launched : 2016
Annals of Gerontology and Geriatric Research
ISSN : 2378-9409
Launched : 2014
Journal of Sleep Medicine and Disorders
ISSN : 2379-0822
Launched : 2014
JSM Burns and Trauma
ISSN : 2475-9406
Launched : 2016
Chemical Engineering and Process Techniques
ISSN : 2333-6633
Launched : 2013
Annals of Clinical Cytology and Pathology
ISSN : 2475-9430
Launched : 2014
JSM Allergy and Asthma
ISSN : 2573-1254
Launched : 2016
Journal of Neurological Disorders and Stroke
ISSN : 2334-2307
Launched : 2013
Annals of Sports Medicine and Research
ISSN : 2379-0571
Launched : 2014
JSM Sexual Medicine
ISSN : 2578-3718
Launched : 2016
Annals of Vascular Medicine and Research
ISSN : 2378-9344
Launched : 2014
JSM Biotechnology and Biomedical Engineering
ISSN : 2333-7117
Launched : 2013
Journal of Hematology and Transfusion
ISSN : 2333-6684
Launched : 2013
JSM Environmental Science and Ecology
ISSN : 2333-7141
Launched : 2013
Journal of Cardiology and Clinical Research
ISSN : 2333-6676
Launched : 2013
JSM Nanotechnology and Nanomedicine
ISSN : 2334-1815
Launched : 2013
Journal of Ear, Nose and Throat Disorders
ISSN : 2475-9473
Launched : 2016
JSM Ophthalmology
ISSN : 2333-6447
Launched : 2013
Journal of Pharmacology and Clinical Toxicology
ISSN : 2333-7079
Launched : 2013
Annals of Psychiatry and Mental Health
ISSN : 2374-0124
Launched : 2013
Medical Journal of Obstetrics and Gynecology
ISSN : 2333-6439
Launched : 2013
Annals of Pediatrics and Child Health
ISSN : 2373-9312
Launched : 2013
JSM Clinical Pharmaceutics
ISSN : 2379-9498
Launched : 2014
JSM Foot and Ankle
ISSN : 2475-9112
Launched : 2016
JSM Alzheimer's Disease and Related Dementia
ISSN : 2378-9565
Launched : 2014
Journal of Addiction Medicine and Therapy
ISSN : 2333-665X
Launched : 2013
Journal of Veterinary Medicine and Research
ISSN : 2378-931X
Launched : 2013
Annals of Public Health and Research
ISSN : 2378-9328
Launched : 2014
Annals of Orthopedics and Rheumatology
ISSN : 2373-9290
Launched : 2013
Journal of Clinical Nephrology and Research
ISSN : 2379-0652
Launched : 2014
Annals of Community Medicine and Practice
ISSN : 2475-9465
Launched : 2014
Annals of Biometrics and Biostatistics
ISSN : 2374-0116
Launched : 2013
JSM Clinical Case Reports
ISSN : 2373-9819
Launched : 2013
Journal of Cancer Biology and Research
ISSN : 2373-9436
Launched : 2013
Journal of Surgery and Transplantation Science
ISSN : 2379-0911
Launched : 2013
Journal of Dermatology and Clinical Research
ISSN : 2373-9371
Launched : 2013
JSM Gastroenterology and Hepatology
ISSN : 2373-9487
Launched : 2013
Annals of Nursing and Practice
ISSN : 2379-9501
Launched : 2014
JSM Dentistry
ISSN : 2333-7133
Launched : 2013
Author Information X